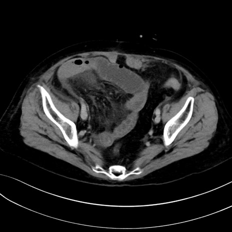
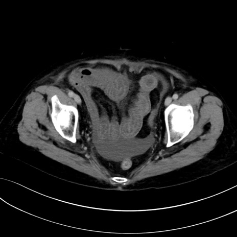
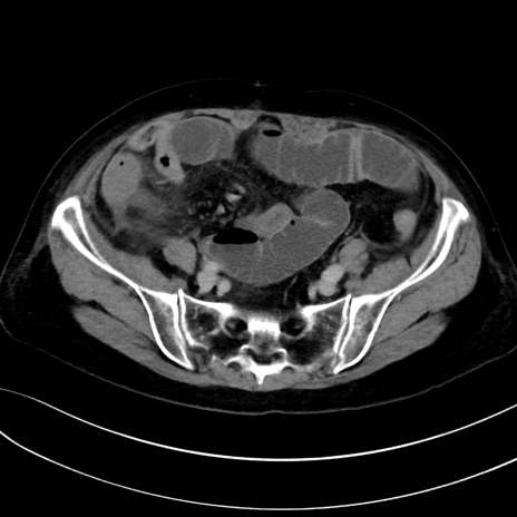
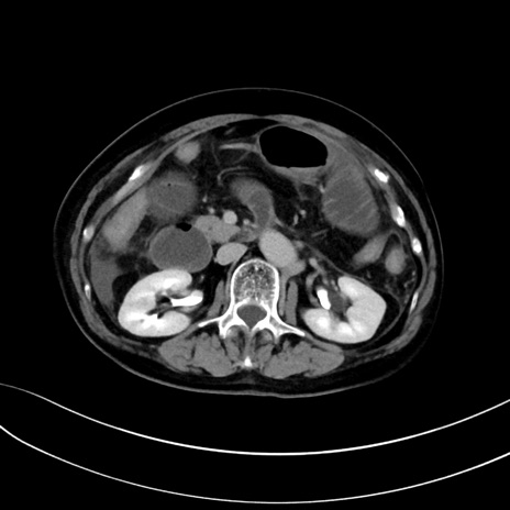
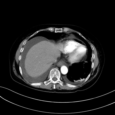
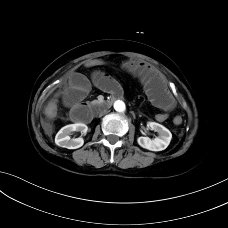
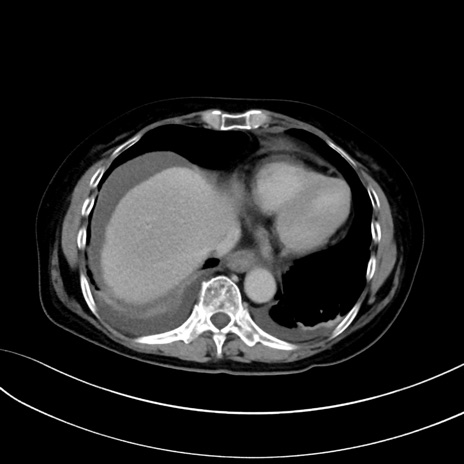
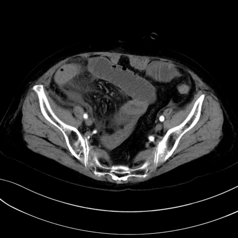
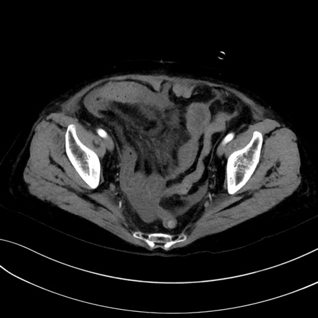
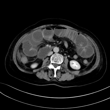
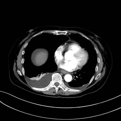
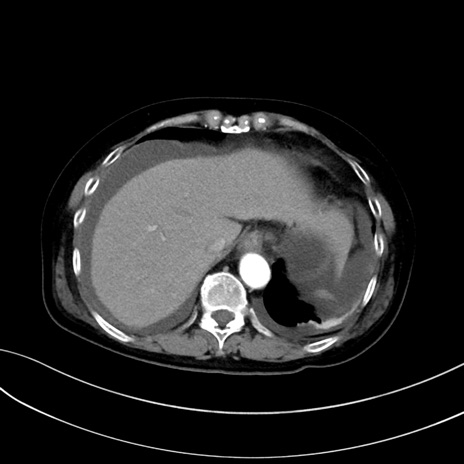
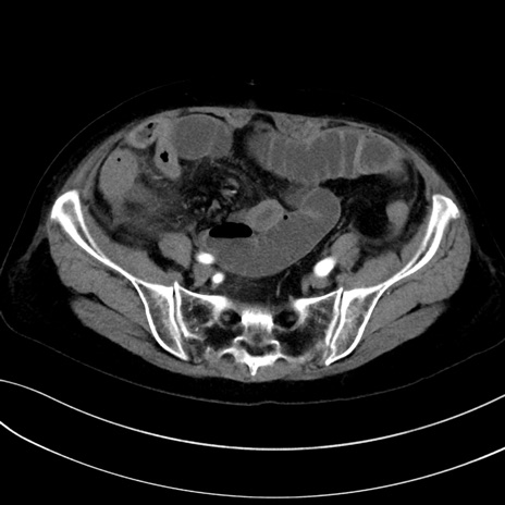
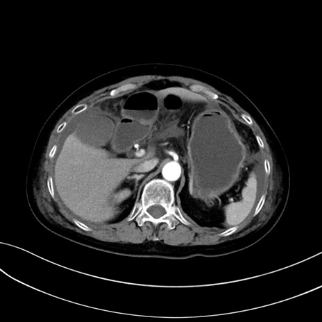
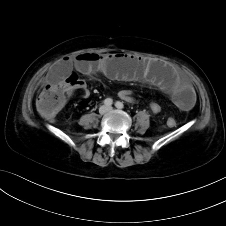
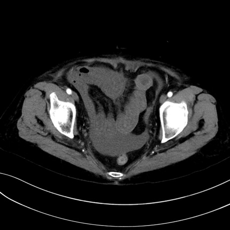
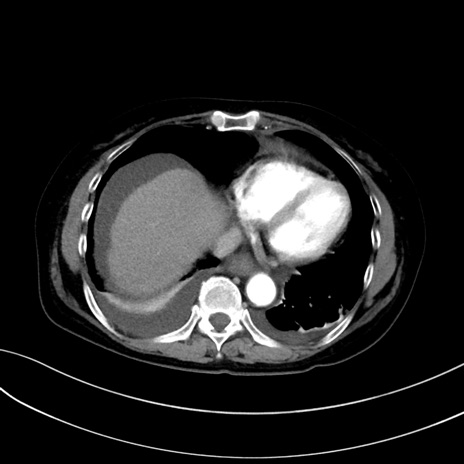
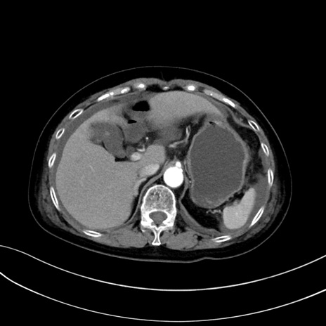
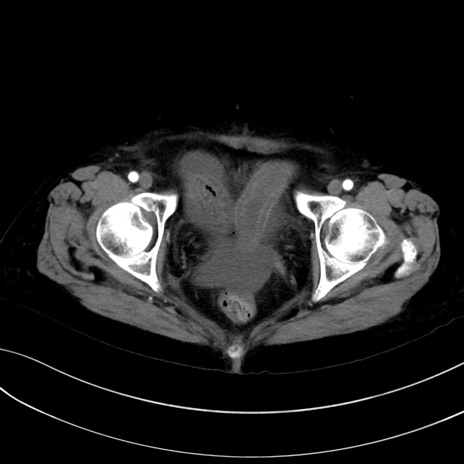
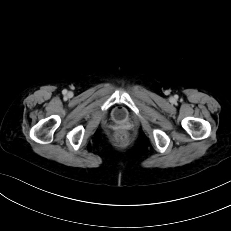
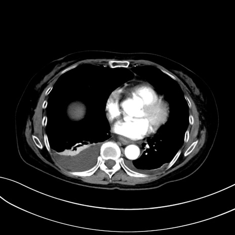
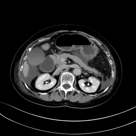
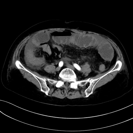
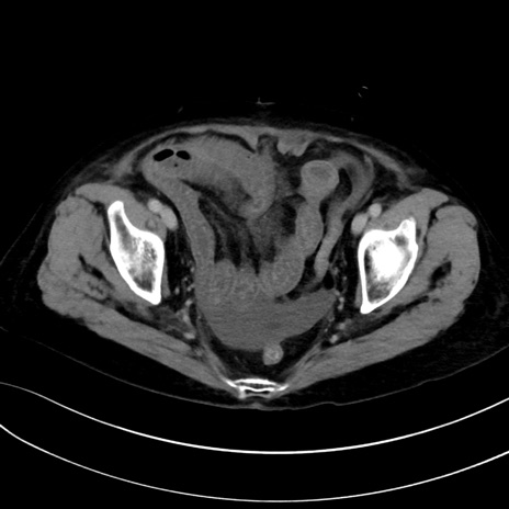
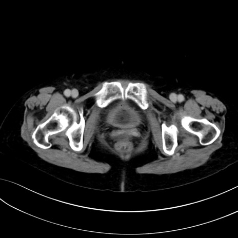
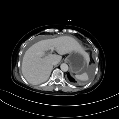
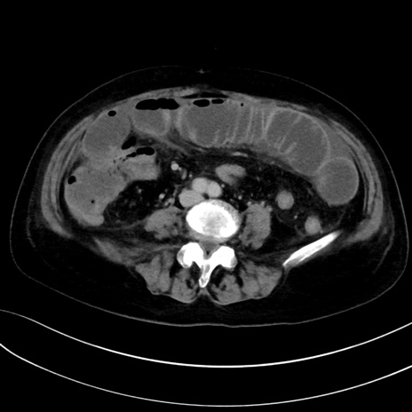
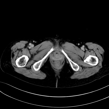
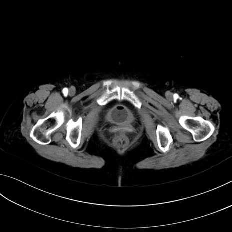
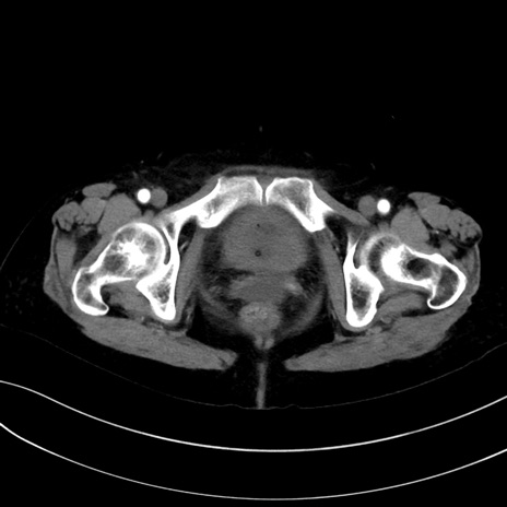
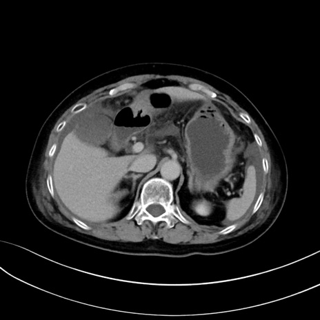
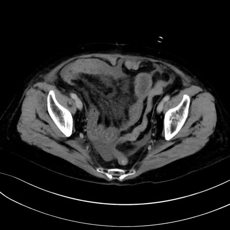
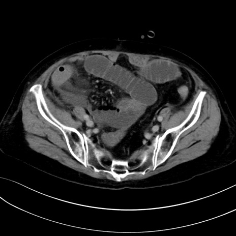
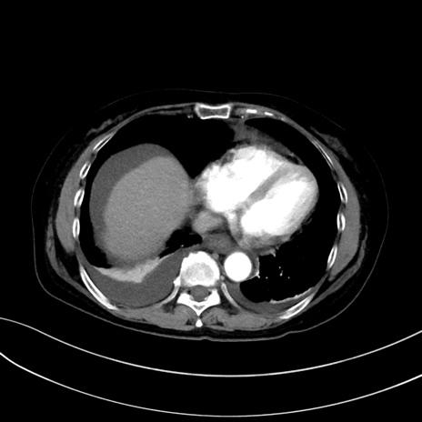
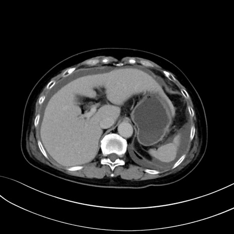
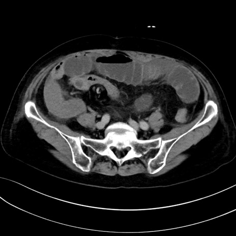
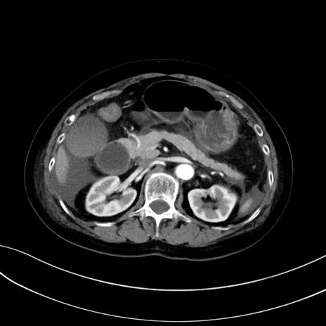
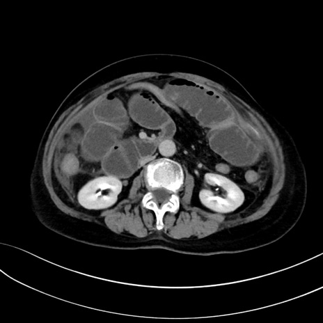
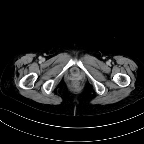
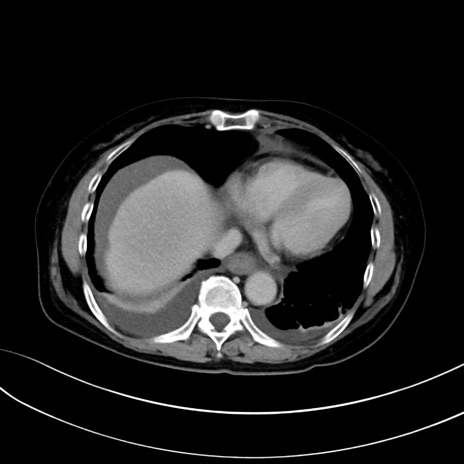
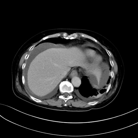
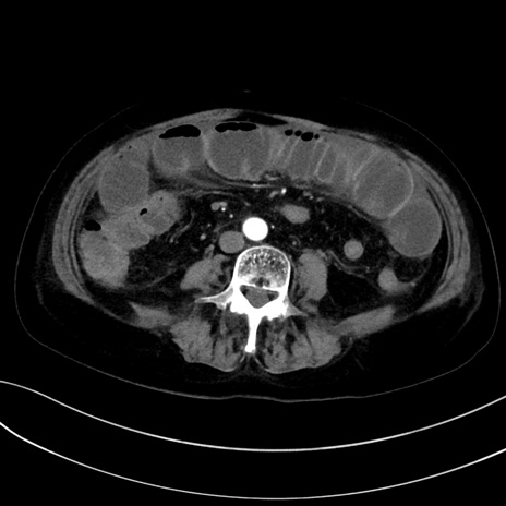
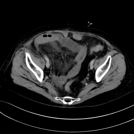
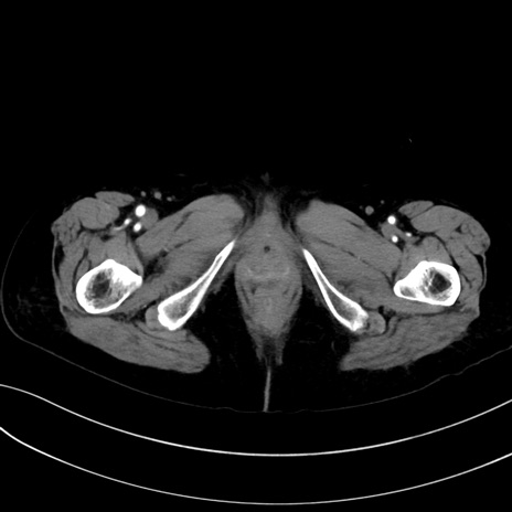
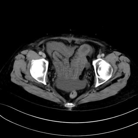
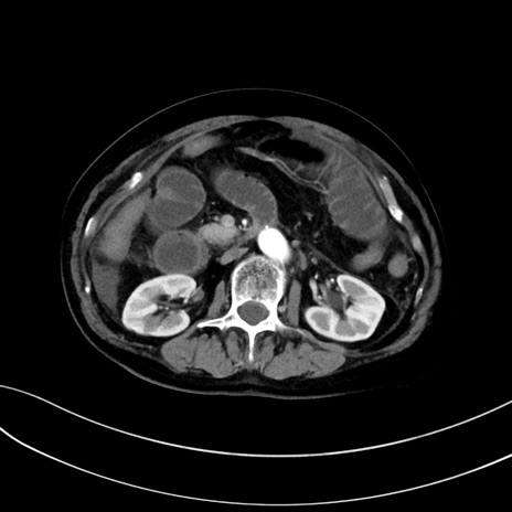
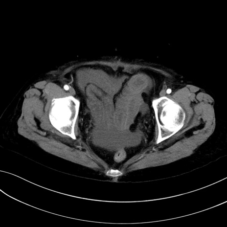
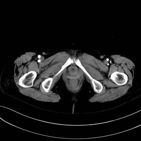
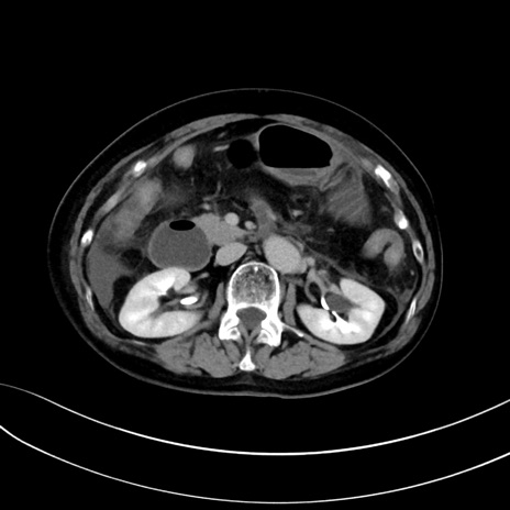
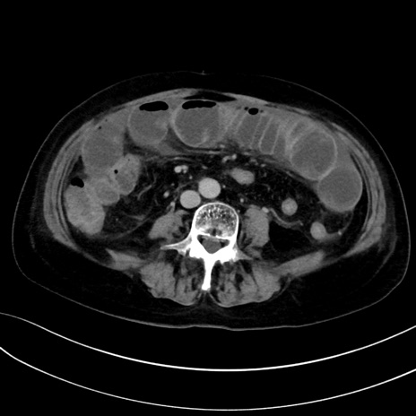
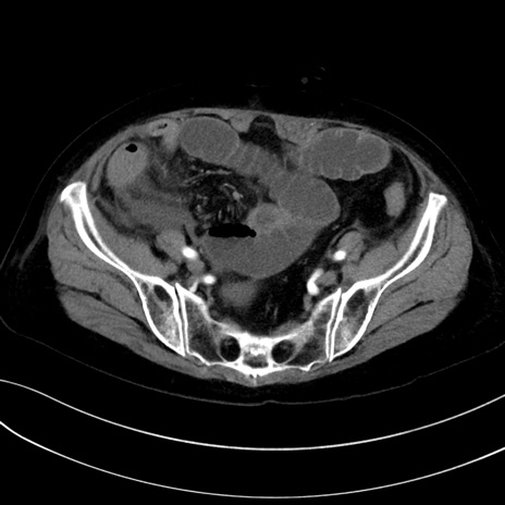
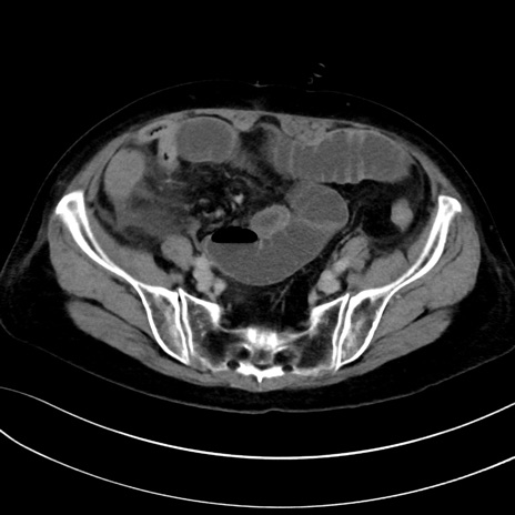
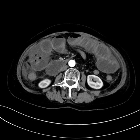
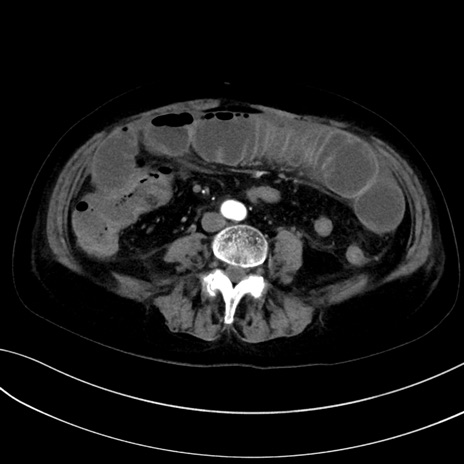
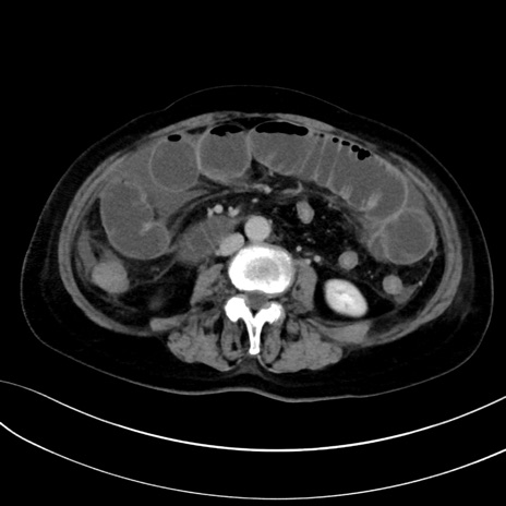
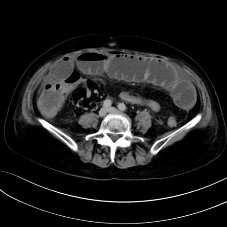
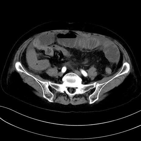
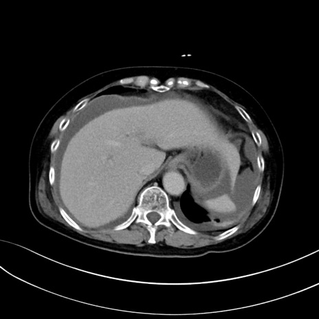
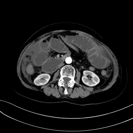
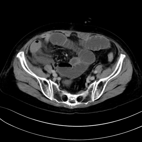
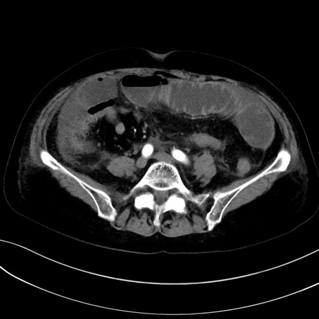
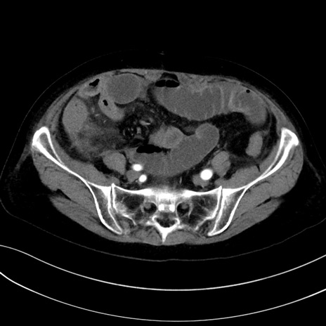
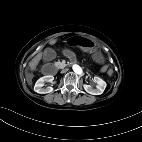
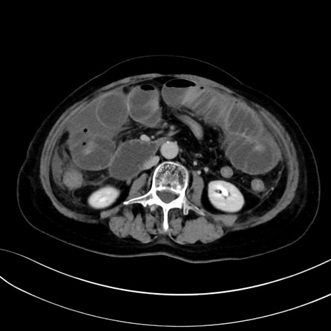
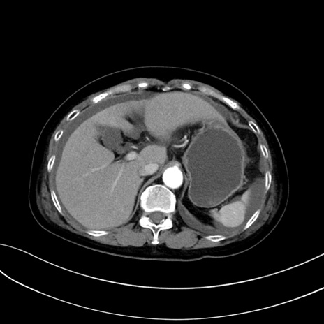
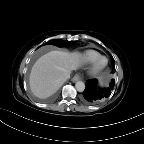
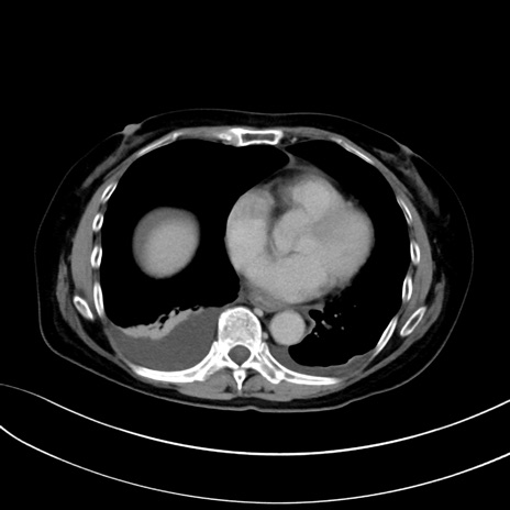
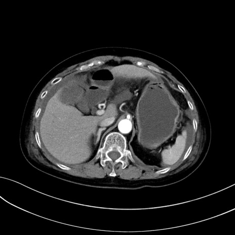
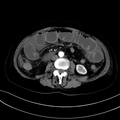
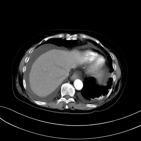
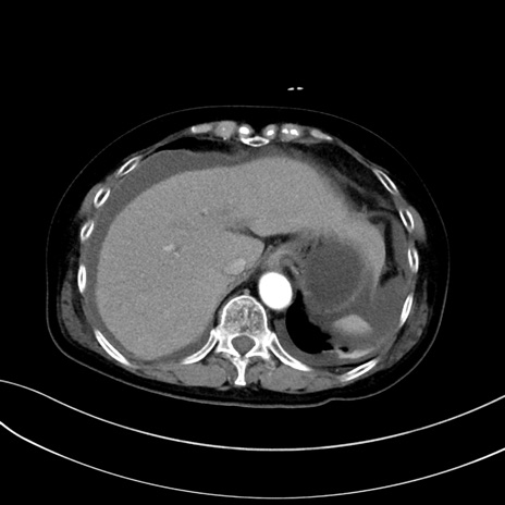
症例13 CT(横断像)1日半後
△
▽
+
ー
症例
(冠状断像)1日半後