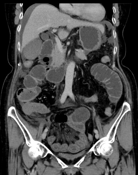
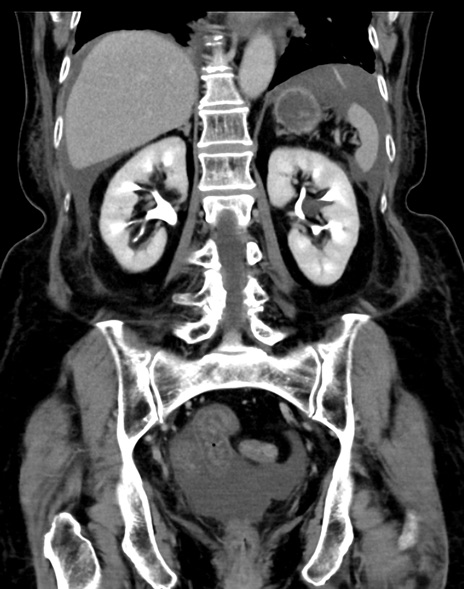
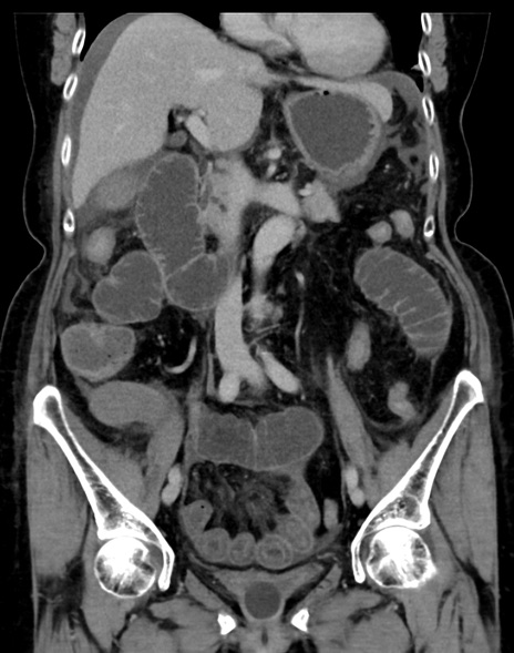
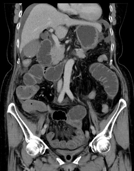
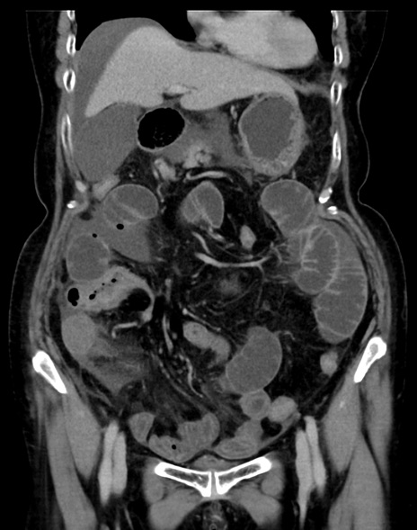
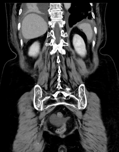
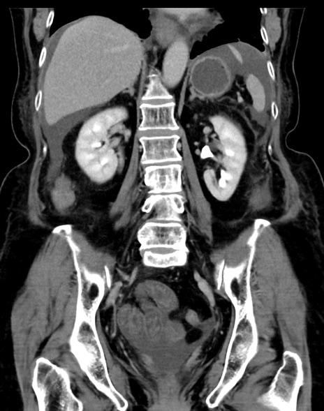
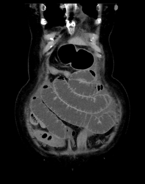
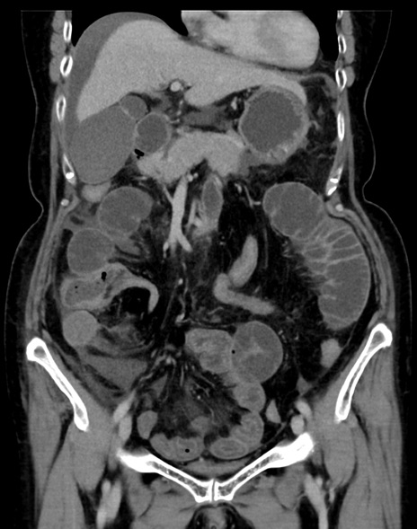
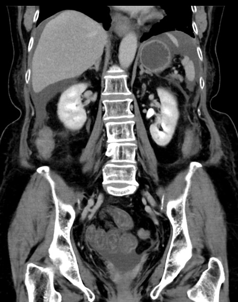
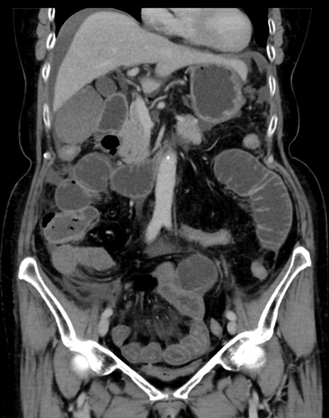
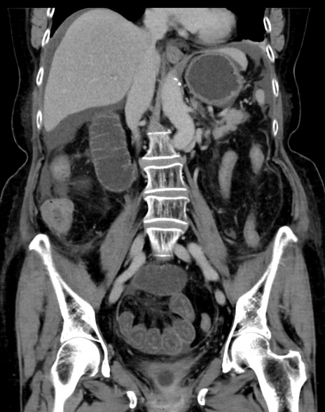
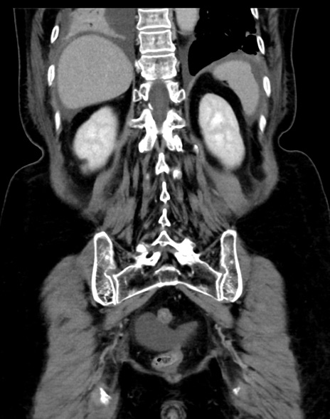
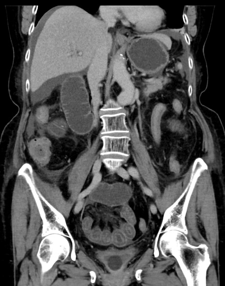
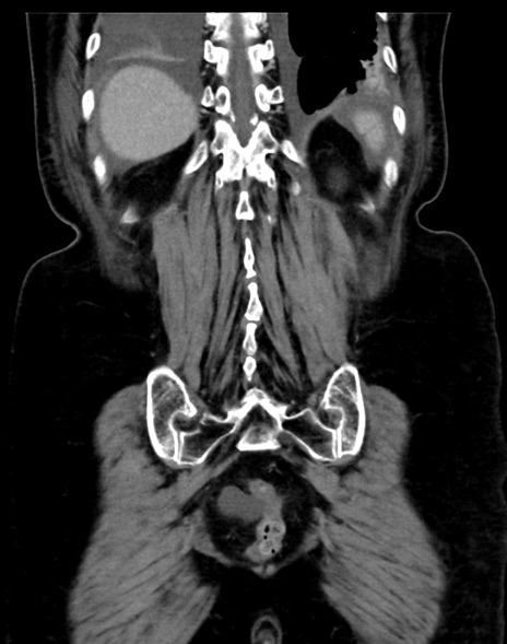
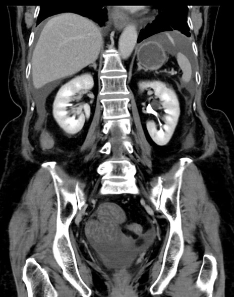
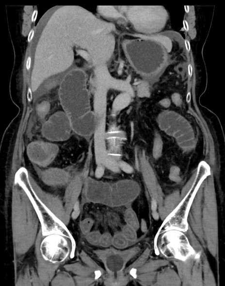
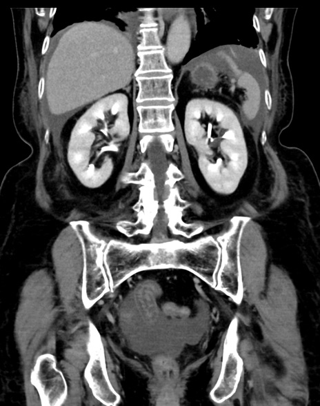
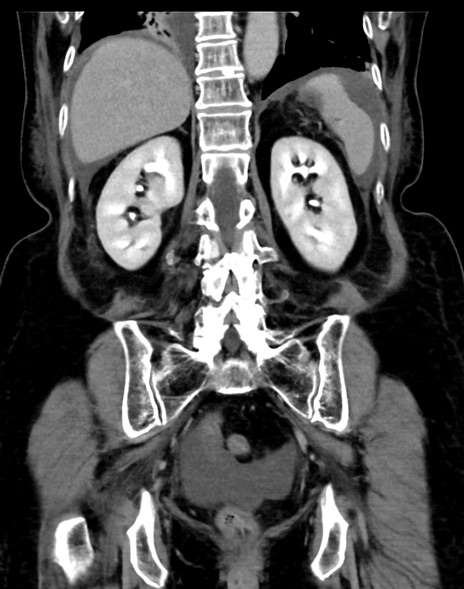
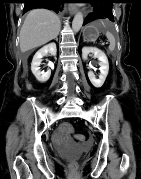
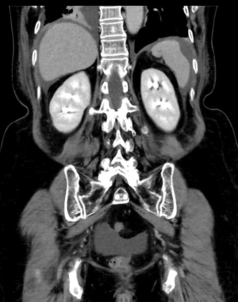
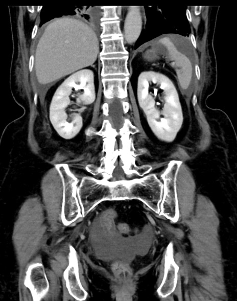
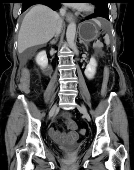
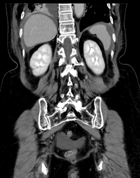
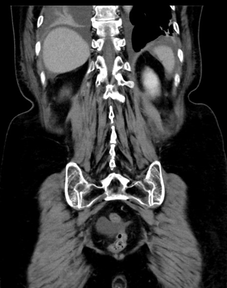
症例13 CT(冠状断像)1日半後
△
▽
+
ー
症例
(横断像)1日半後