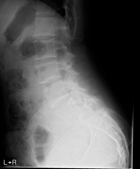
【整形】TIPS症例4 腰椎レントゲン(側面像)
症例
【症例】30歳代男性
【主訴】腰痛、両大腿後面の痛み
【現病歴】高校時代に●●を指摘されたが経過観察されてきた。体動時の腰痛があり、長時間立位、坐位にて両大腿後面の痛みを感じる。外来にて経過観察されてきたが改善ない。
【身体所見】SLR 60/60、TA5/5,EHL 5/5,FHL 5/5、psoas 5/5、quad 5/5、PTR+/+、ATR+/+、babinski-/-、長時間歩行で症状あるがなんとか歩いている。安静時痛なし。体動時、長時間立位、坐位にて症状あり。
異常所見と診断は?
