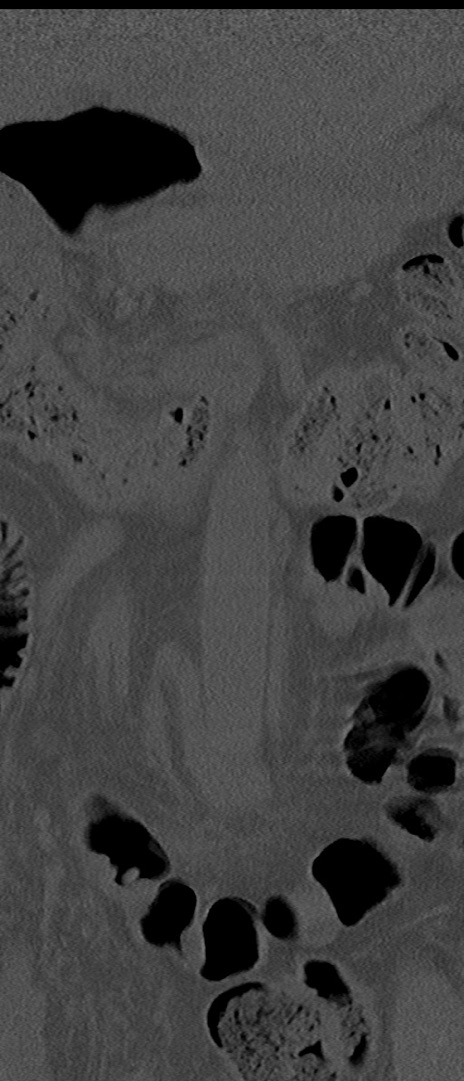
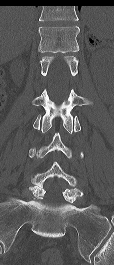
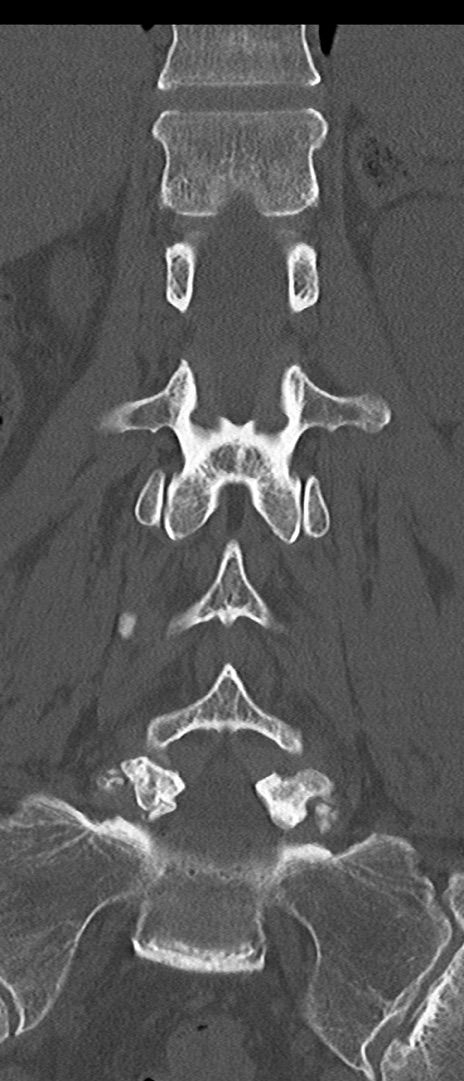
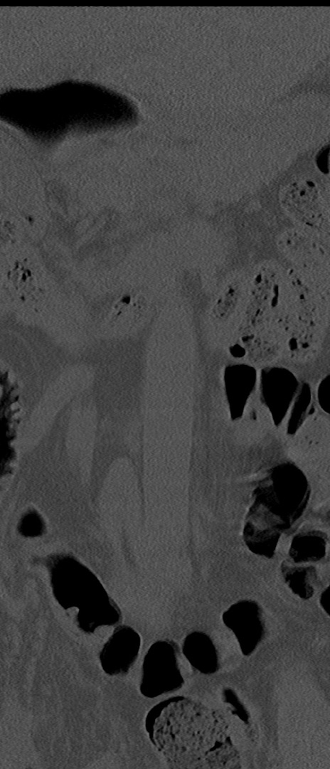
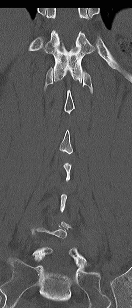
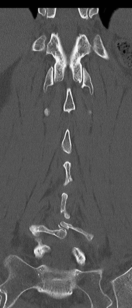
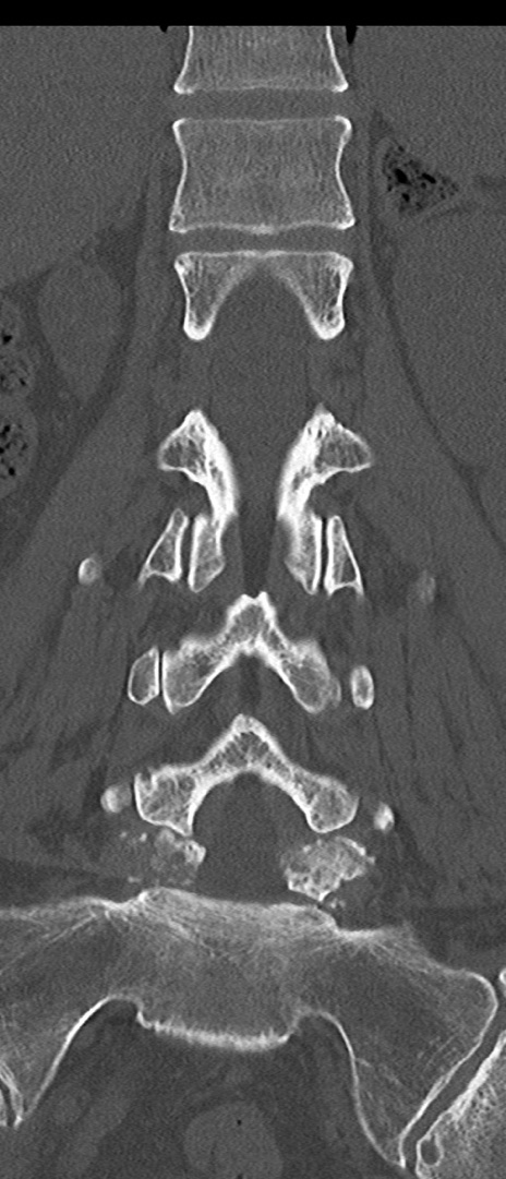
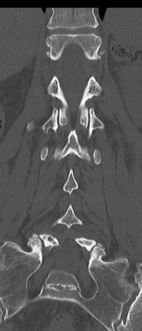
【整形】TIPS症例4 腰椎CT(冠状断像)

 

症例

【症例】30歳代男性
【主訴】腰痛、両大腿後面の痛み

【現病歴】高校時代に●●を指摘されたが経過観察されてきた。体動時の腰痛があり、長時間立位、坐位にて両大腿後面の痛みを感じる。外来にて経過観察されてきたが改善ない。
【身体所見】SLR 60/60、TA5/5,EHL 5/5,FHL 5/5、psoas 5/5、quad 5/5、PTR+/+、ATR+/+、babinski-/-、長時間歩行で症状あるがなんとか歩いている。安静時痛なし。体動時、長時間立位、坐位にて症状あり。

異常所見と診断は?

腰椎レントゲン
正面像
側面像
側面像(屈曲位)
側面像(伸展位)

腰椎CT
横断像
矢状断像

腰椎MRI
T1WI(矢状断像)
T2WI(横断像)
T2WI(矢状断像)
STIR(矢状断像)
横断像と矢状断像