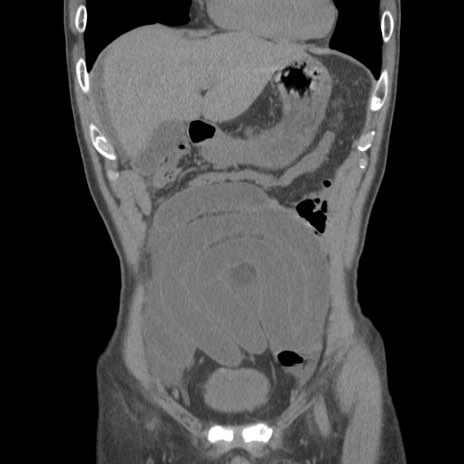
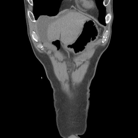
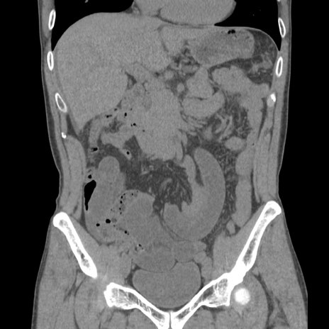
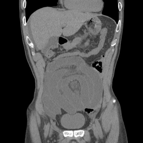
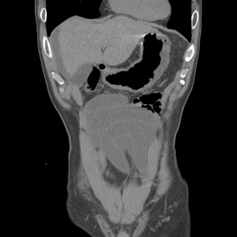
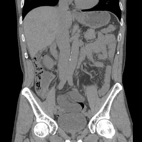
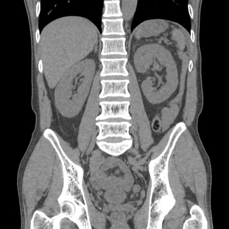
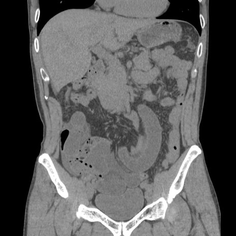
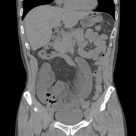
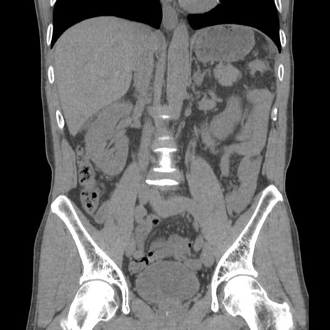
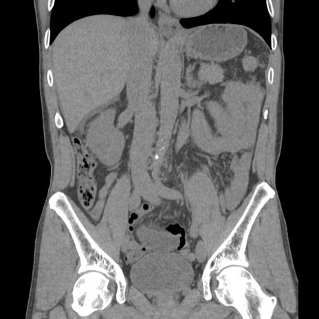
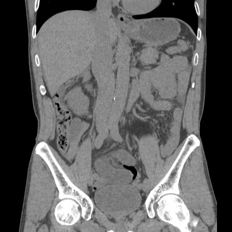
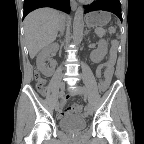
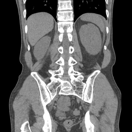
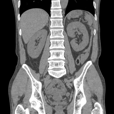
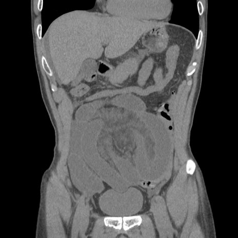
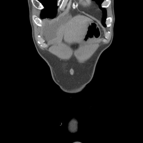
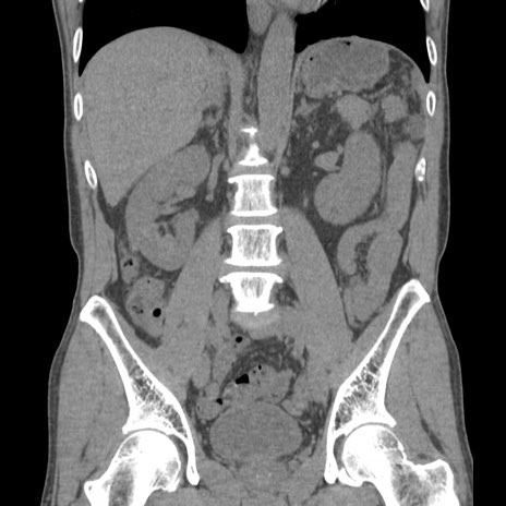
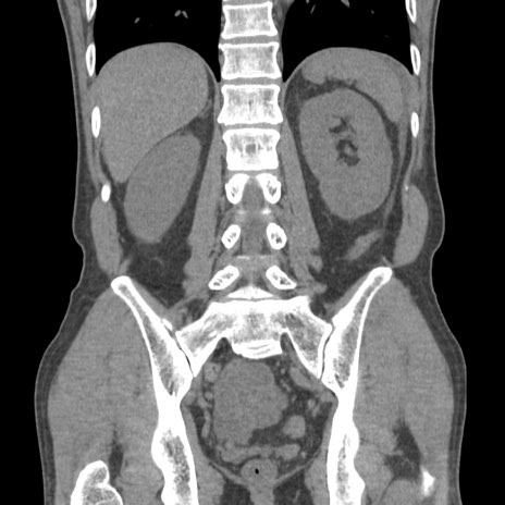
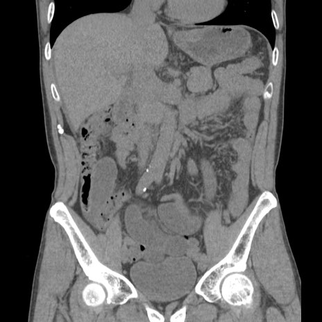
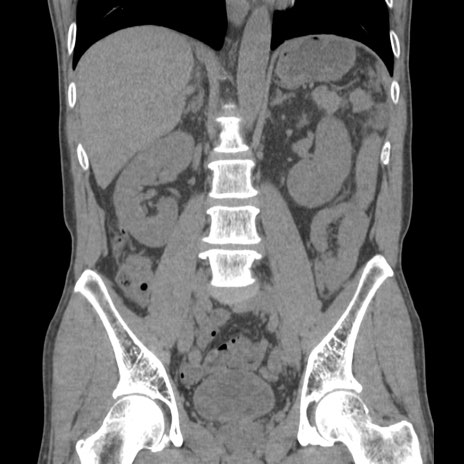
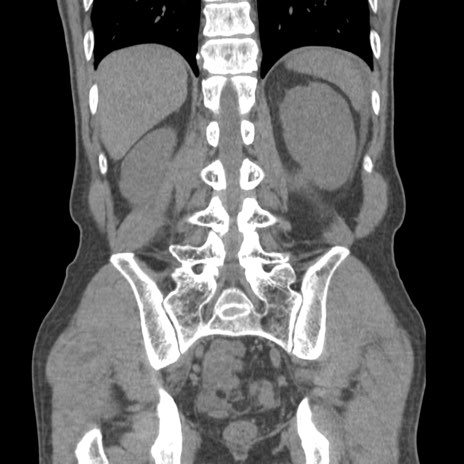
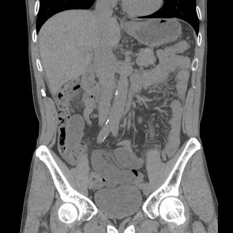
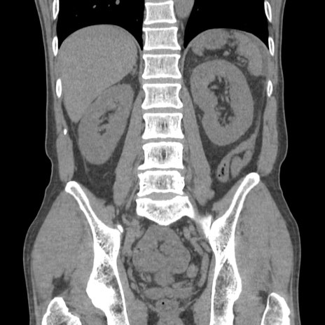
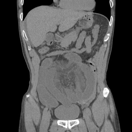
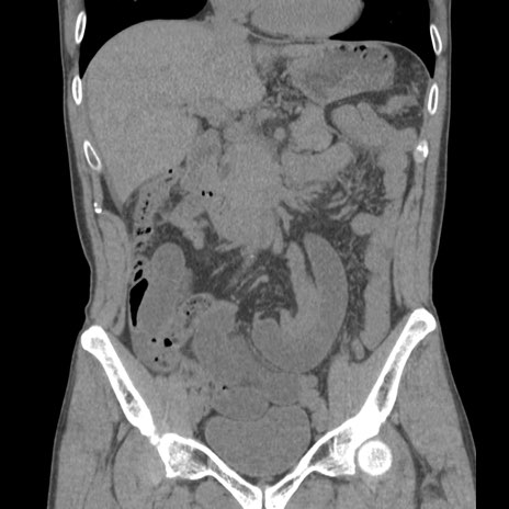
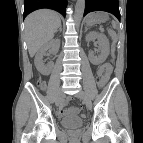
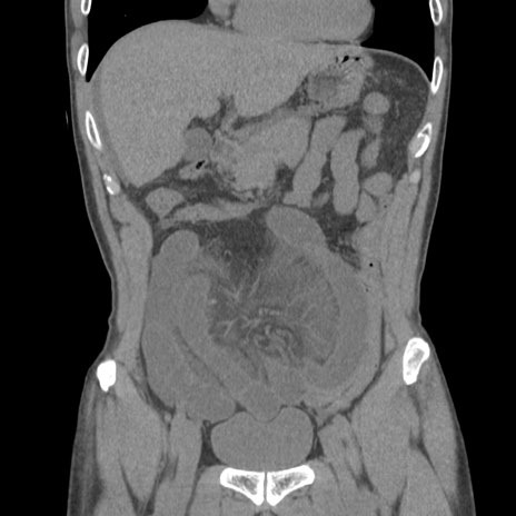
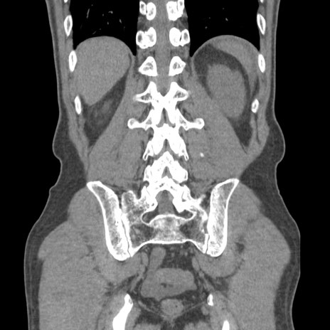
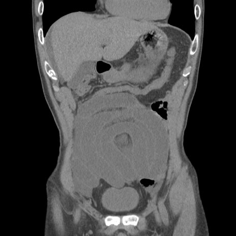
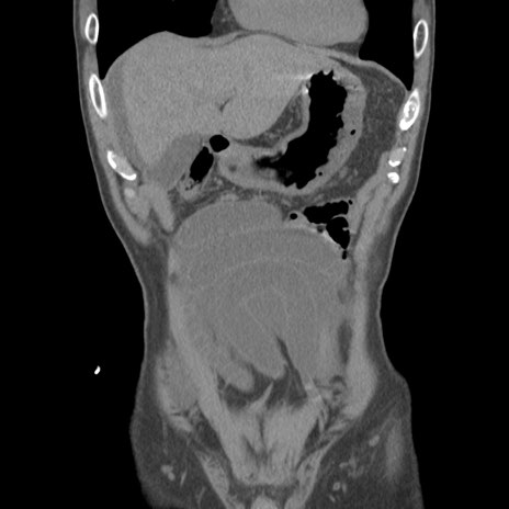
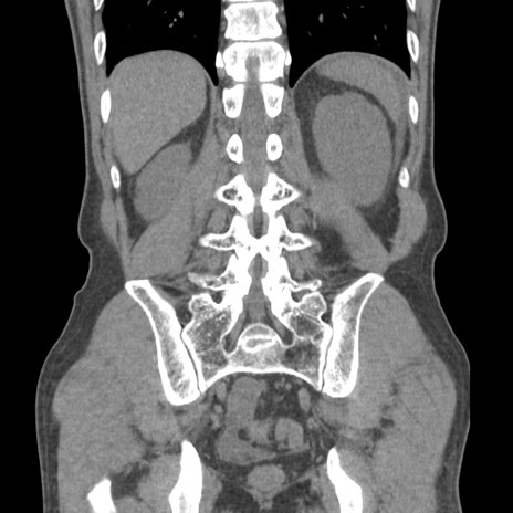
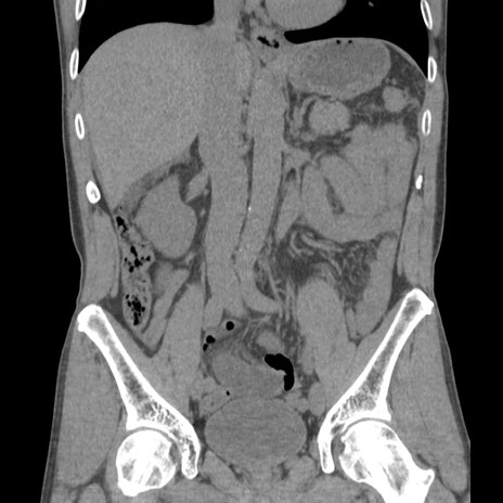
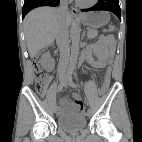
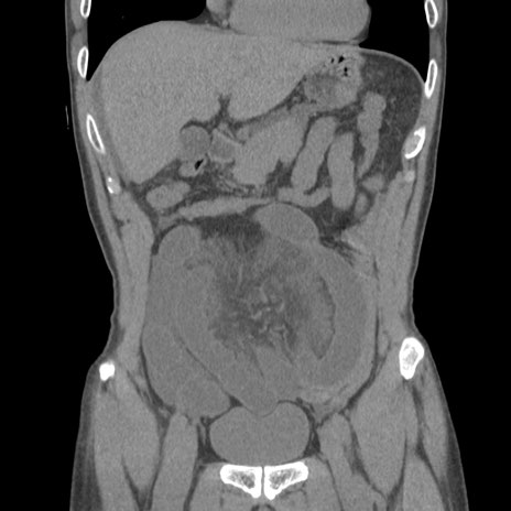
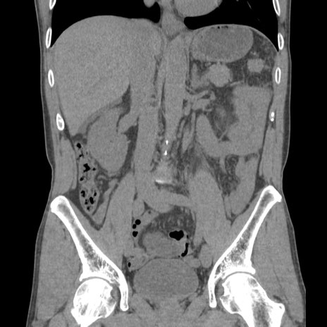
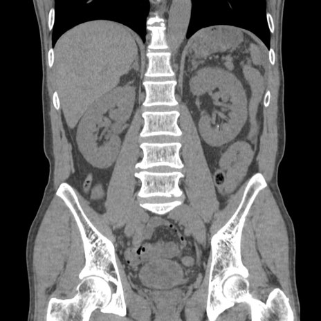
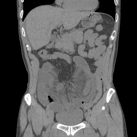
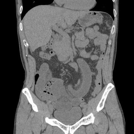
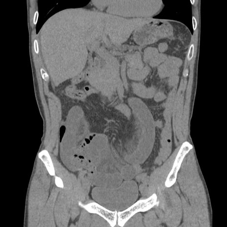
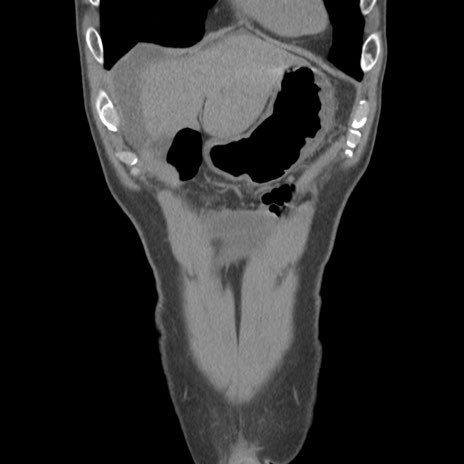
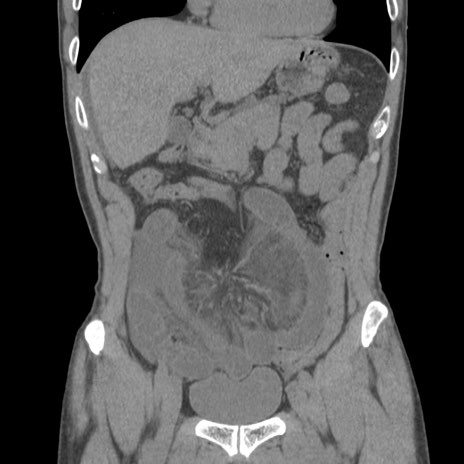
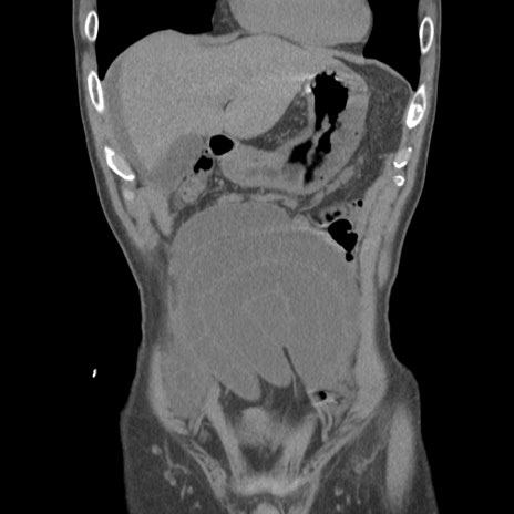
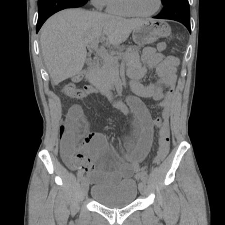
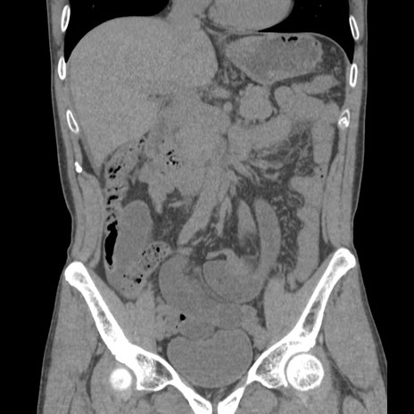
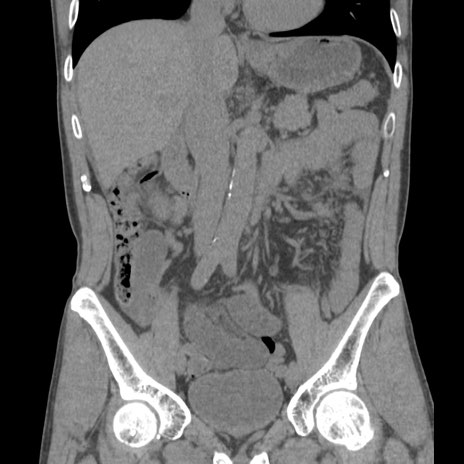
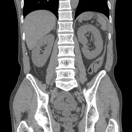
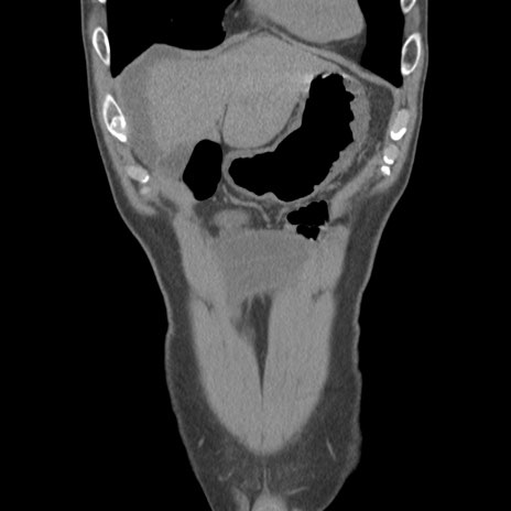
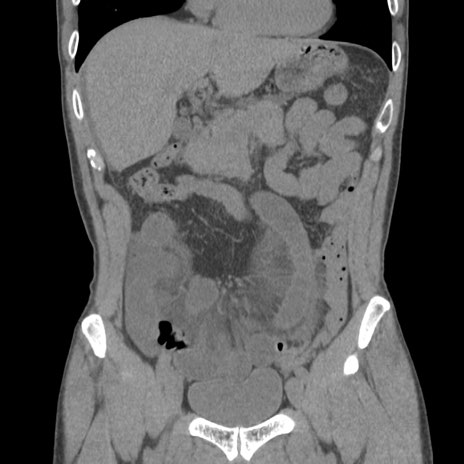
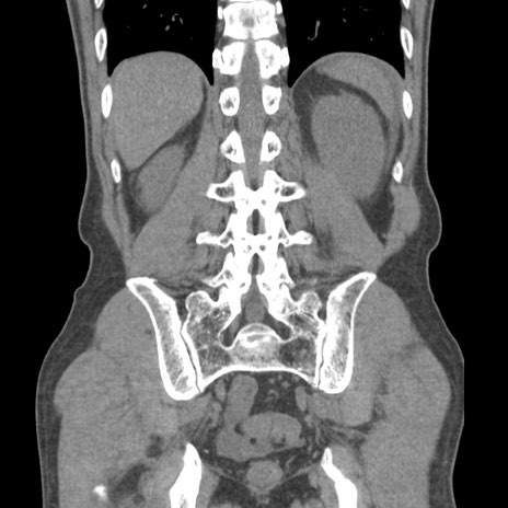
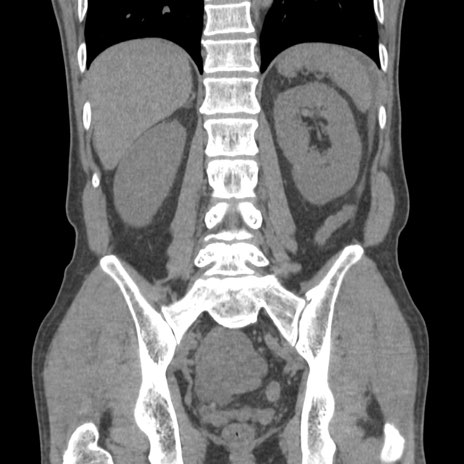
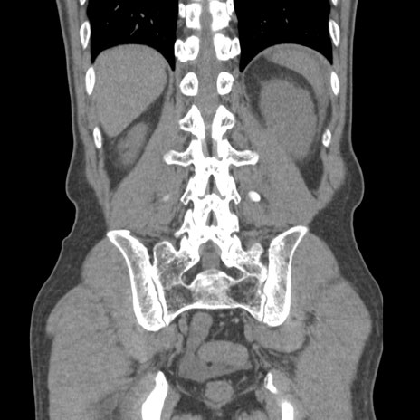
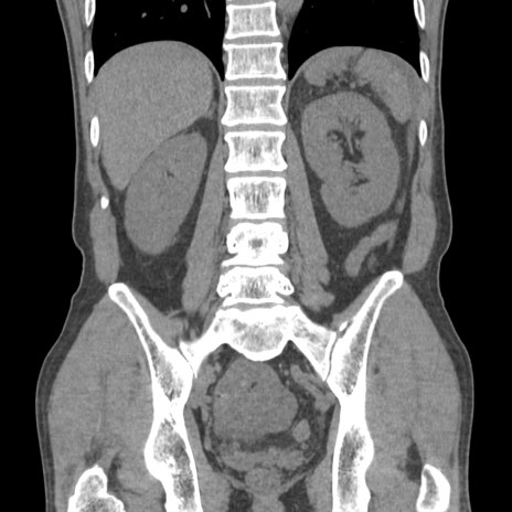
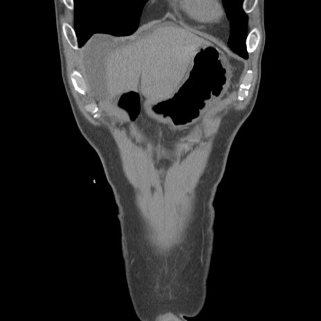
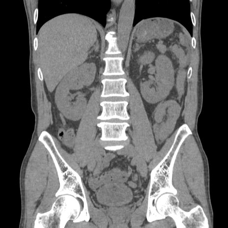
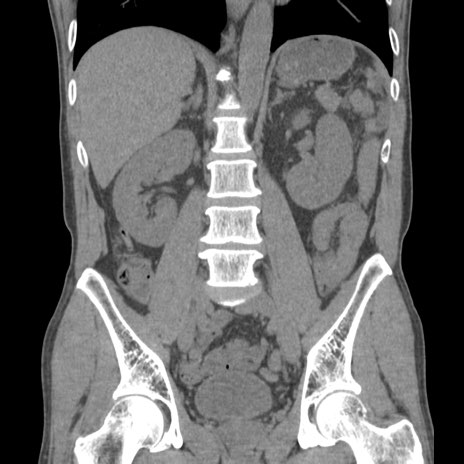
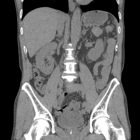
症例56 CT(冠状断像)
△
▽
+
ー
症例
脂肪ウインドウ
横断像