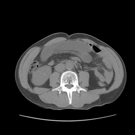
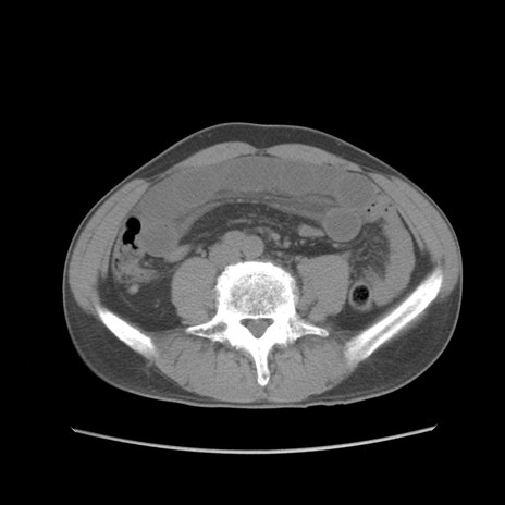
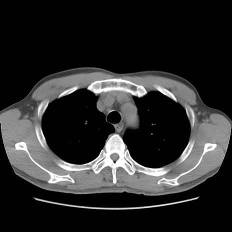
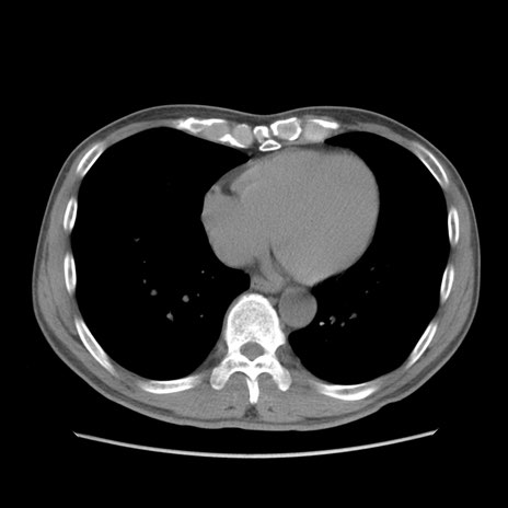
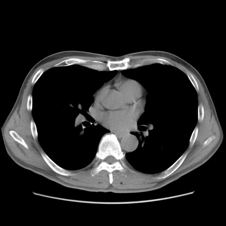
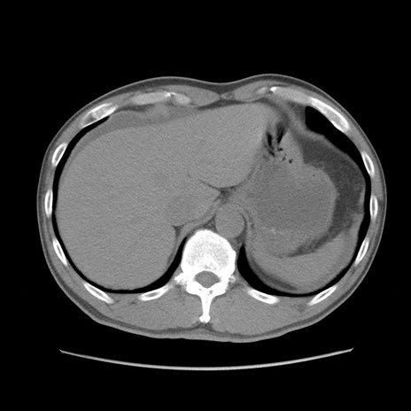
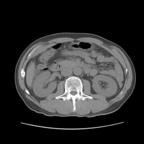
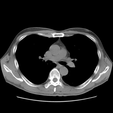
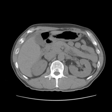
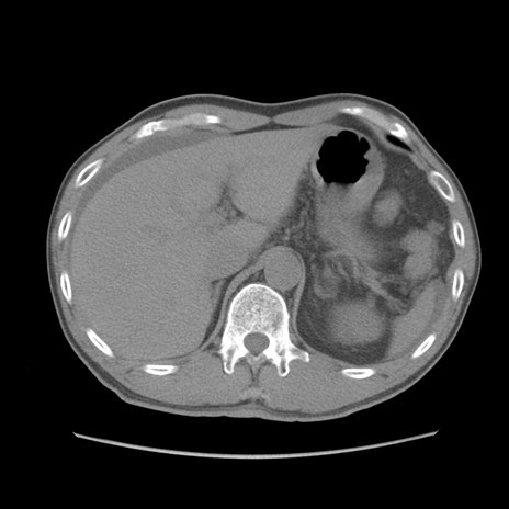
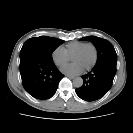
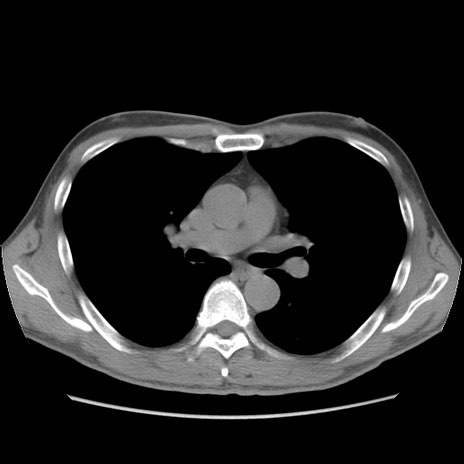
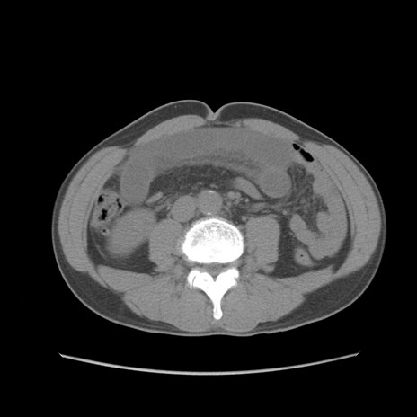
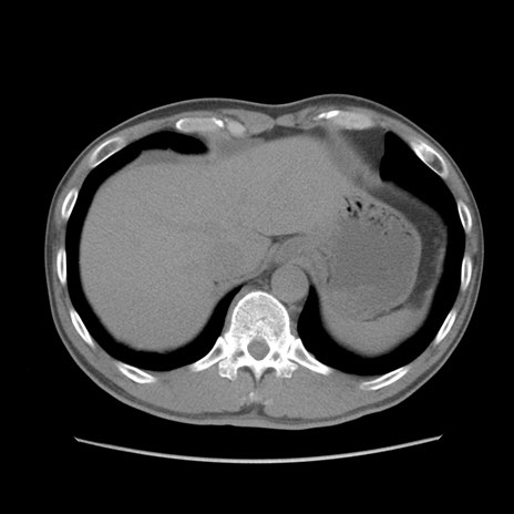
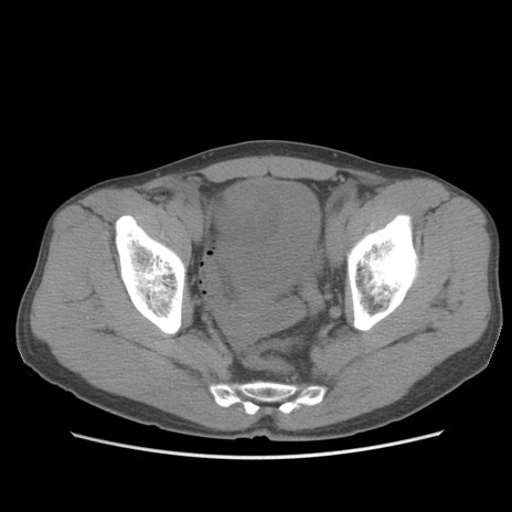
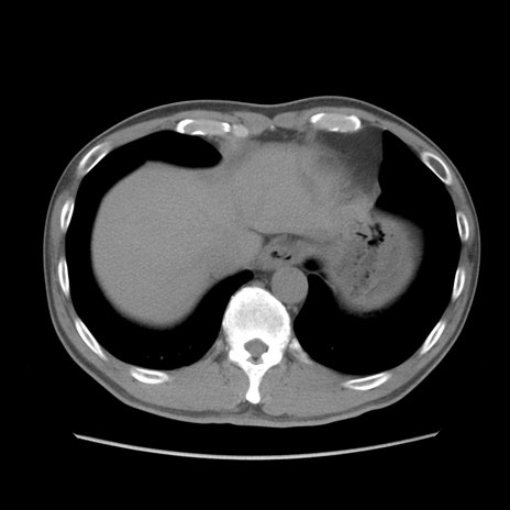
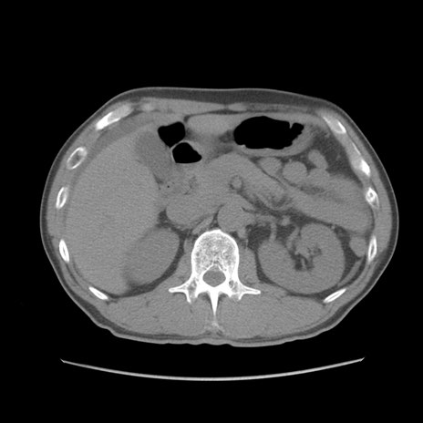
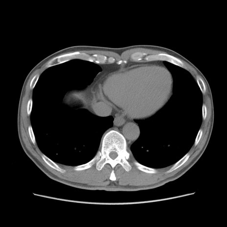
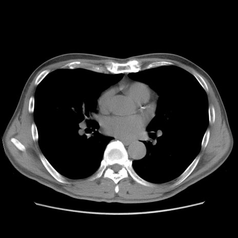
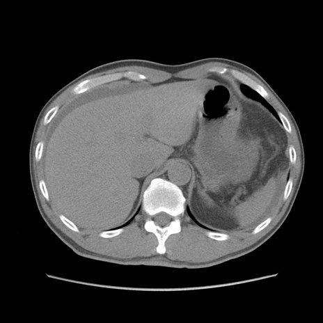
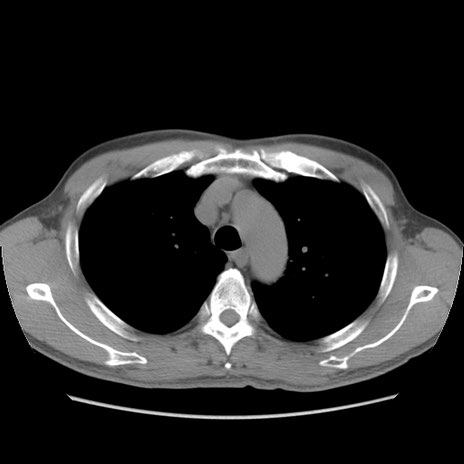
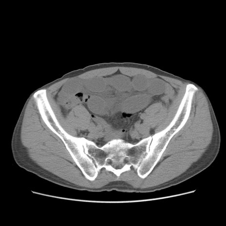
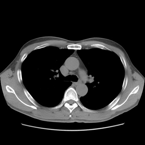
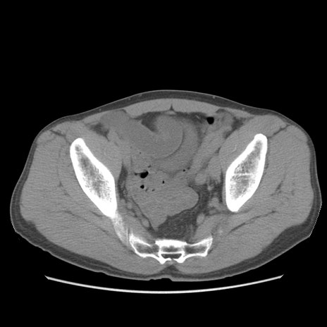
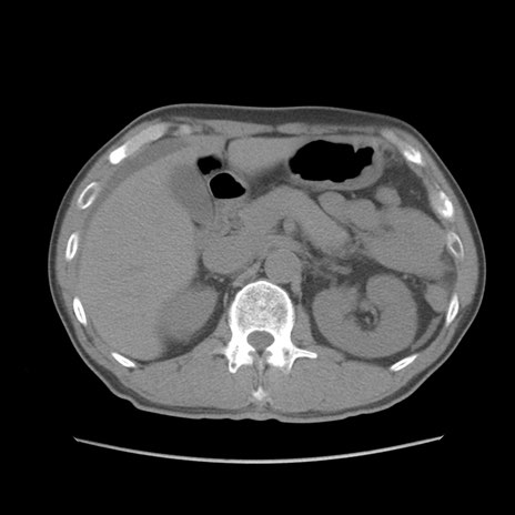
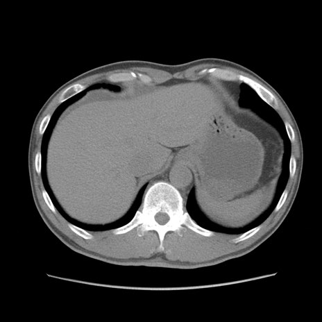
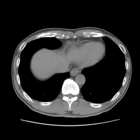
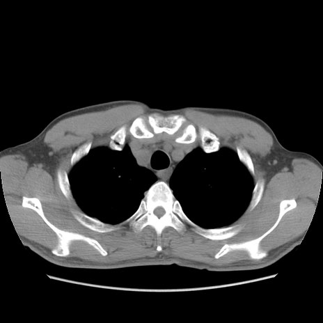
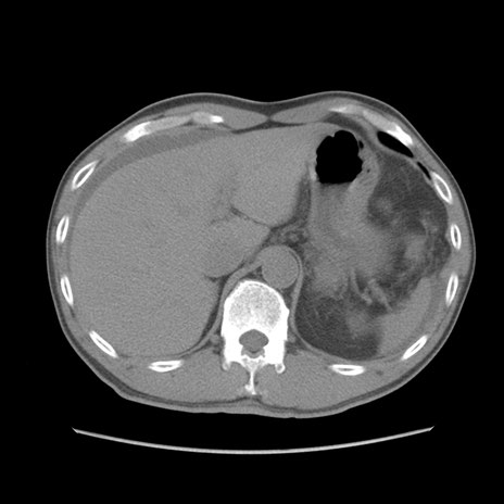
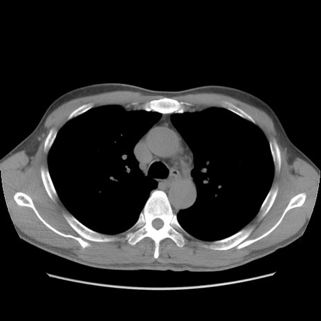
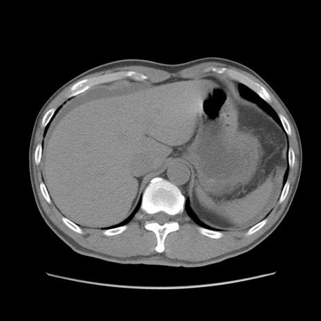
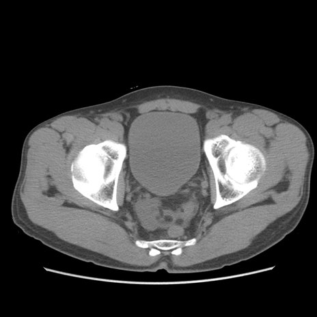
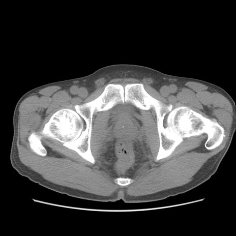
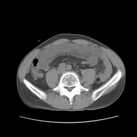
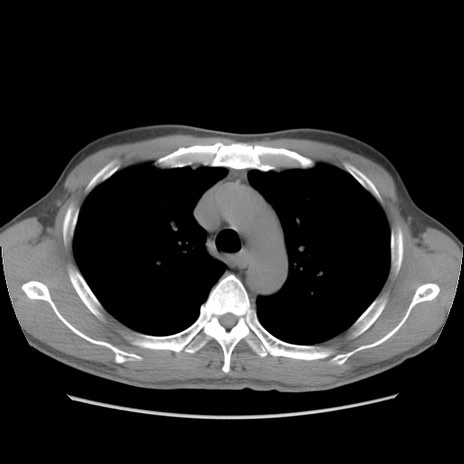
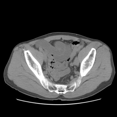
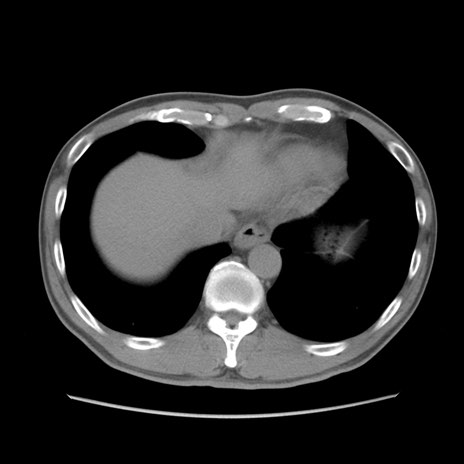
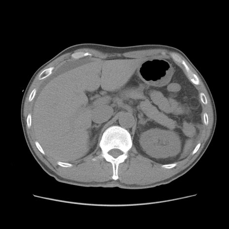
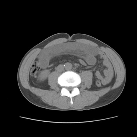
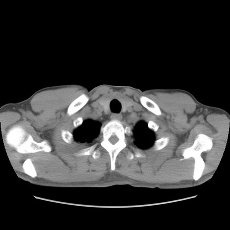
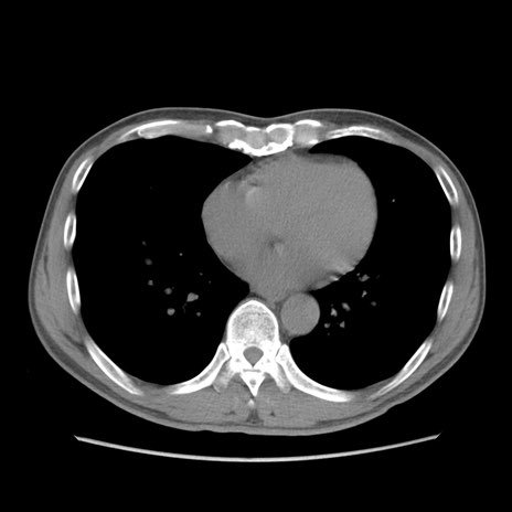
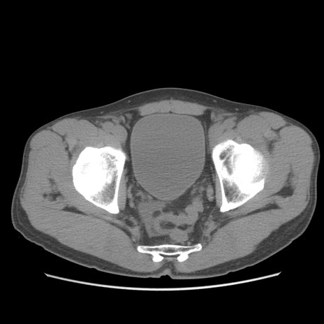
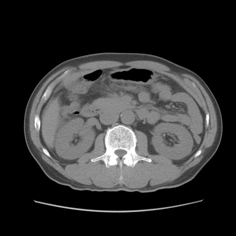
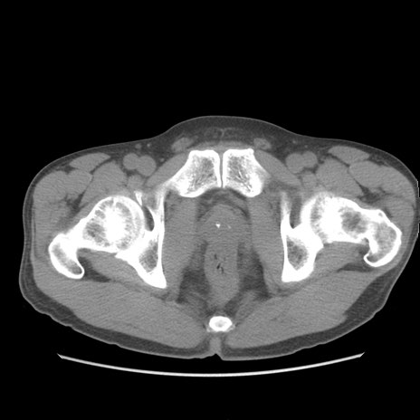
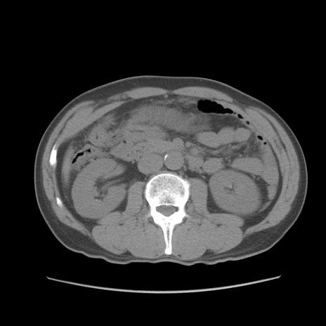
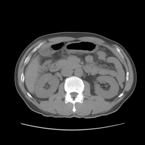
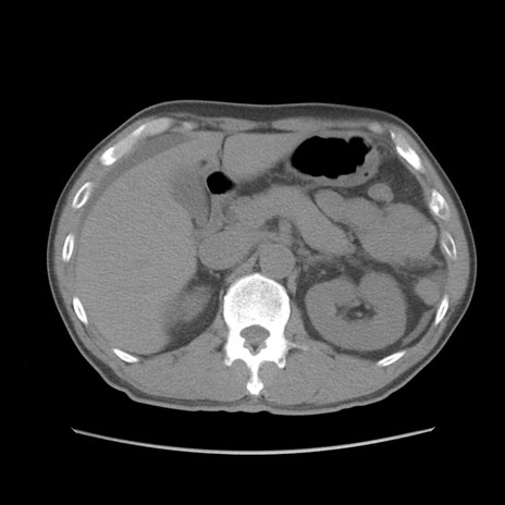
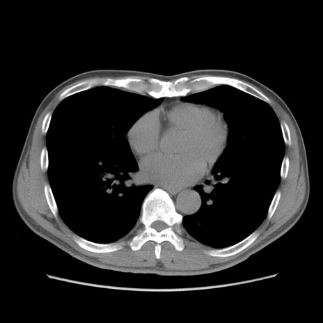
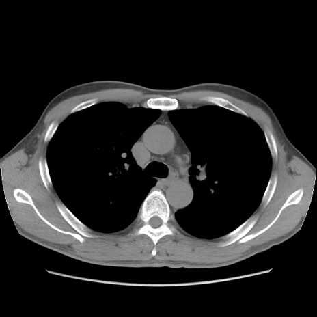
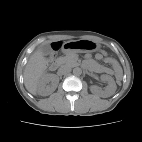
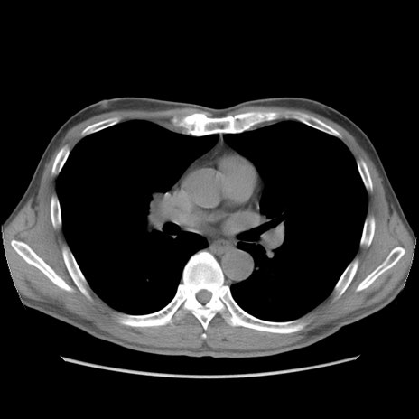
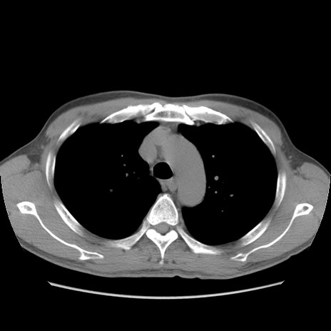
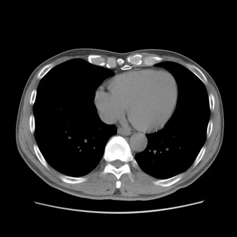
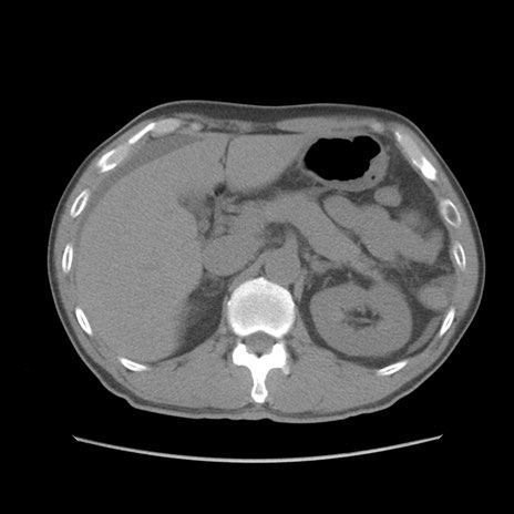
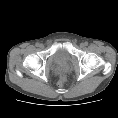
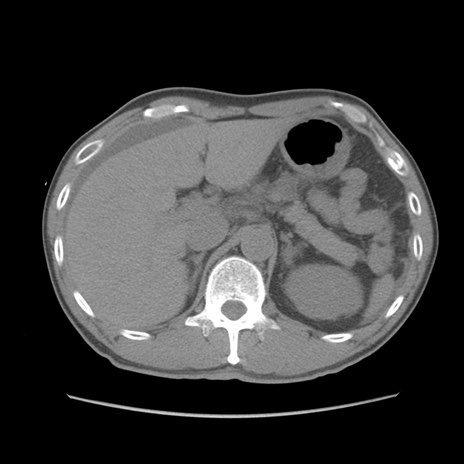
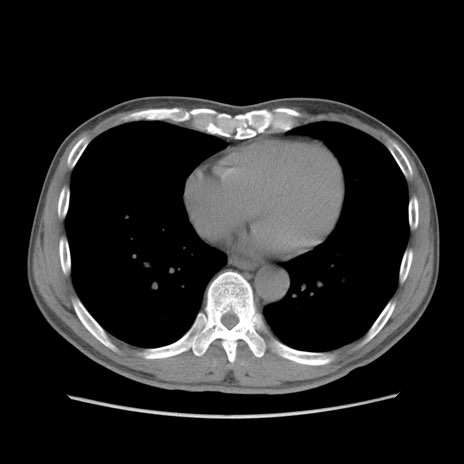
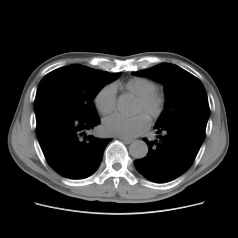
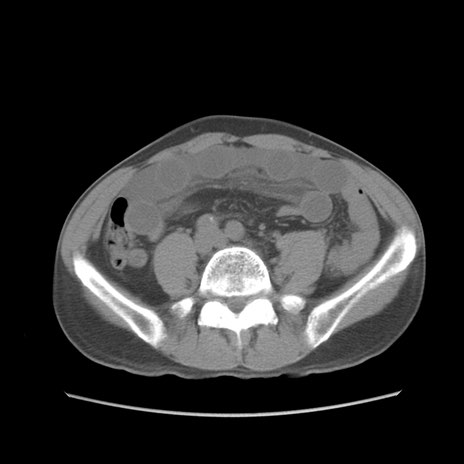
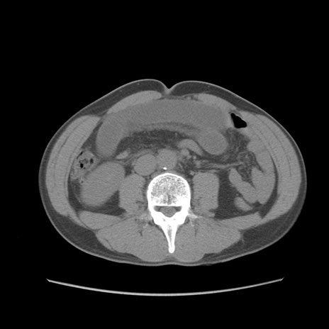
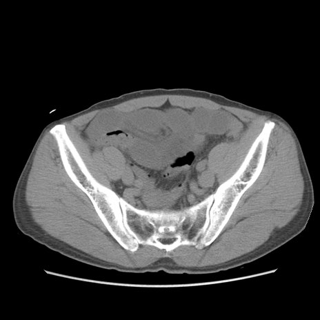
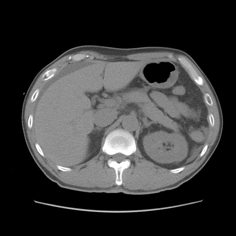
症例56 CT(横断像)
△
▽
+
ー
症例
脂肪ウインドウ
冠状断像