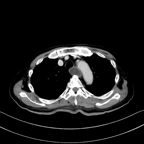
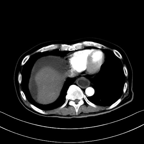
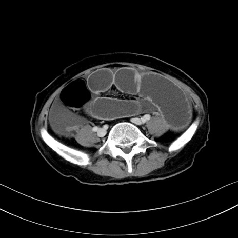
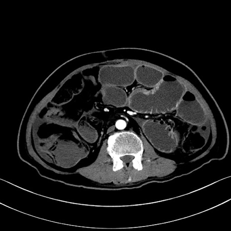
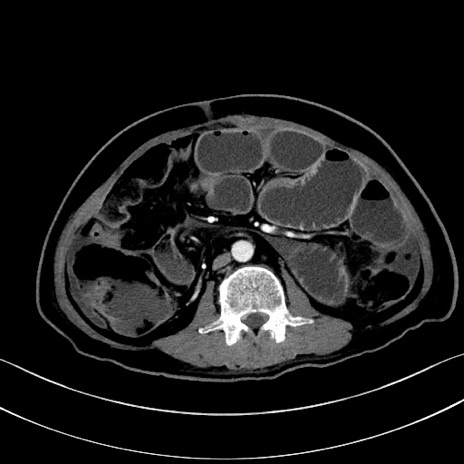
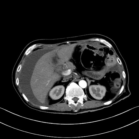
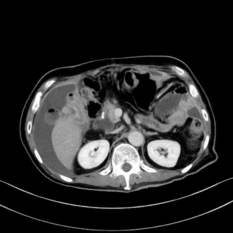
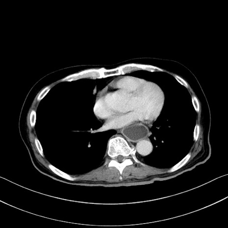
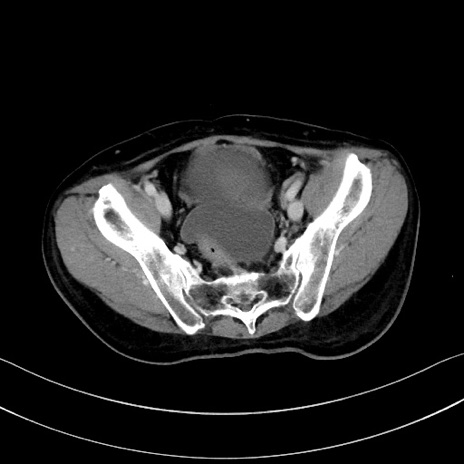
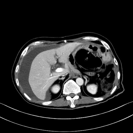
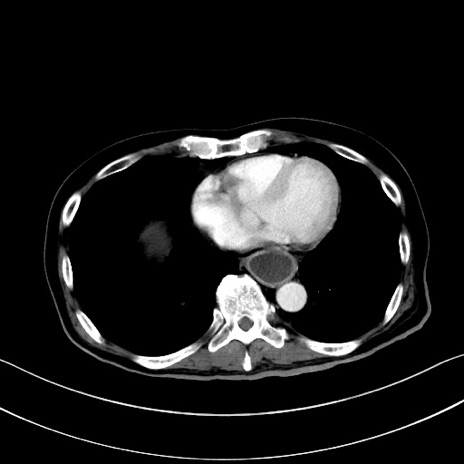
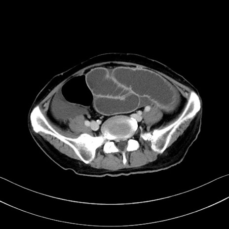
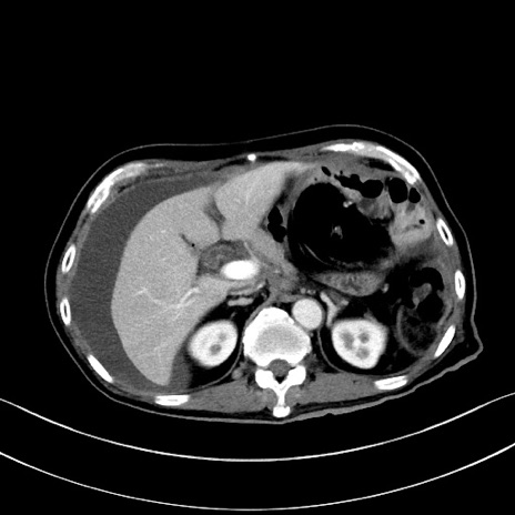
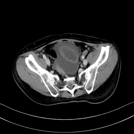
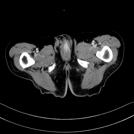
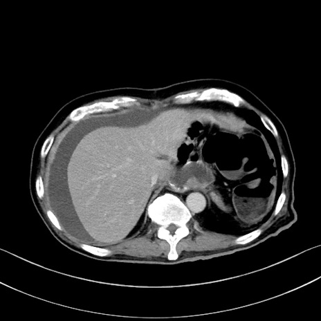
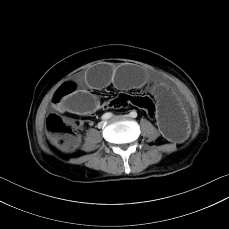
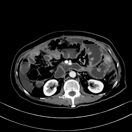
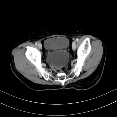
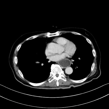
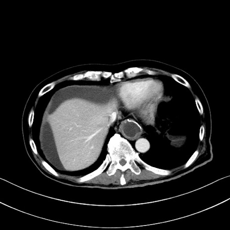
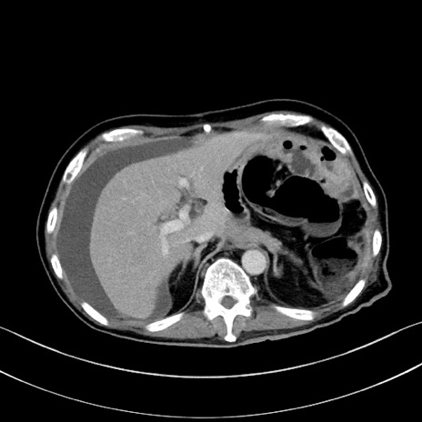
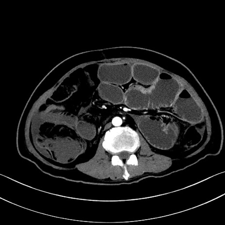
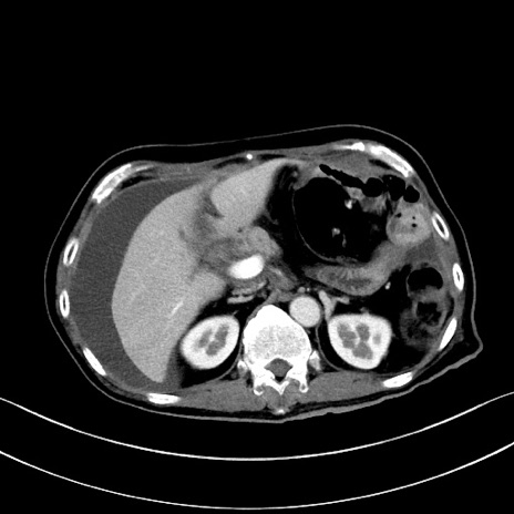
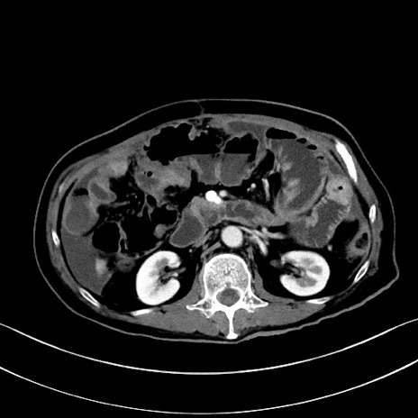
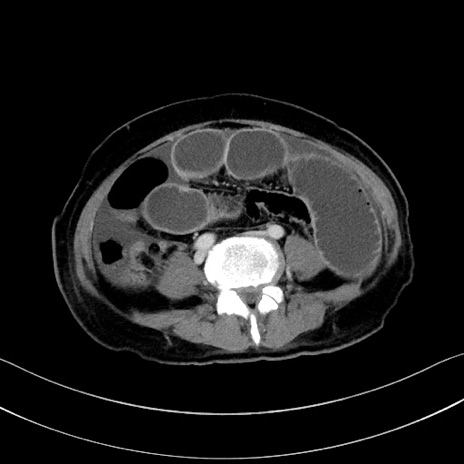
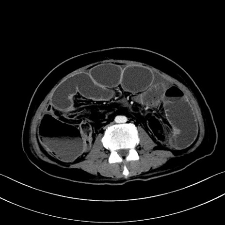
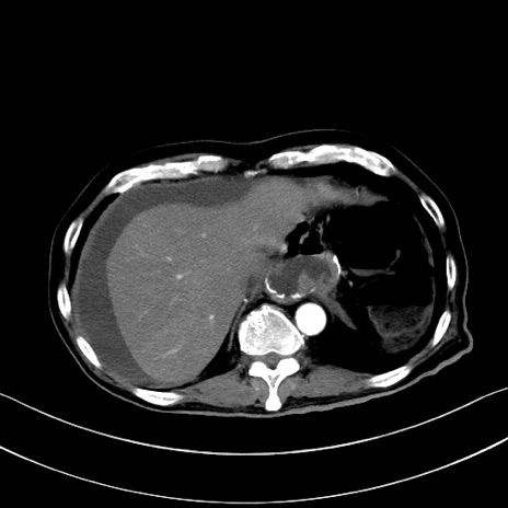
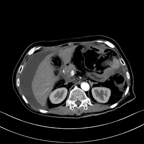
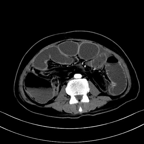
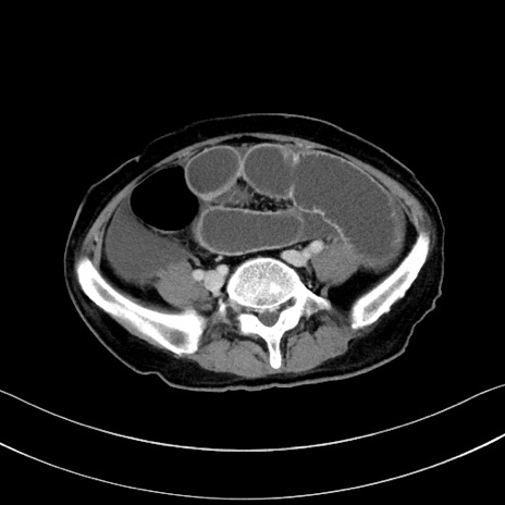
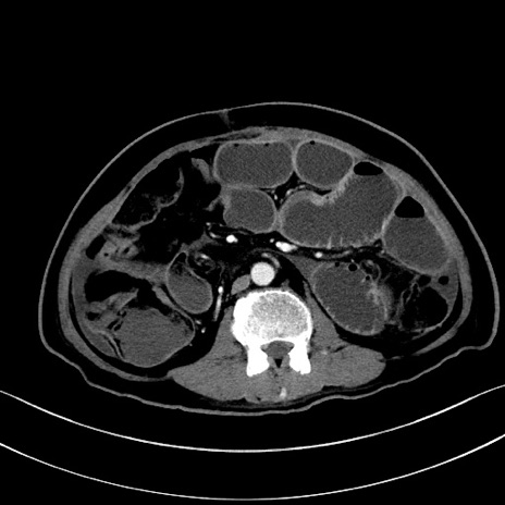
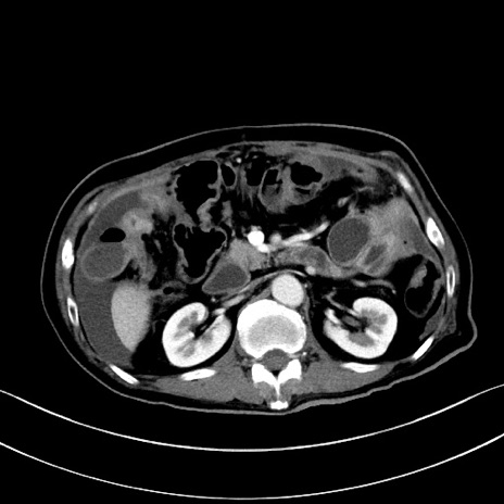
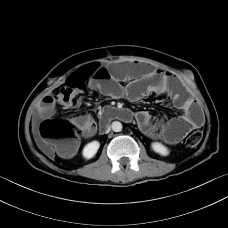
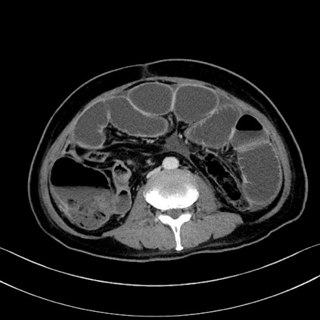
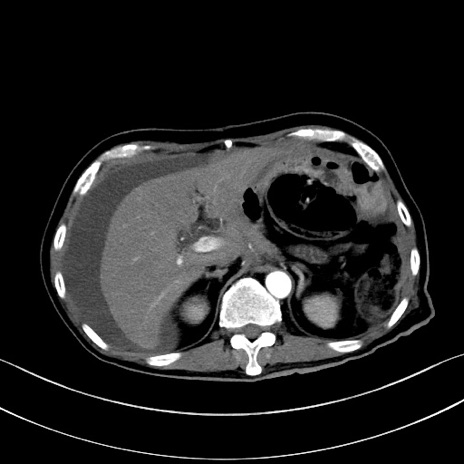
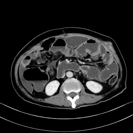
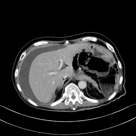
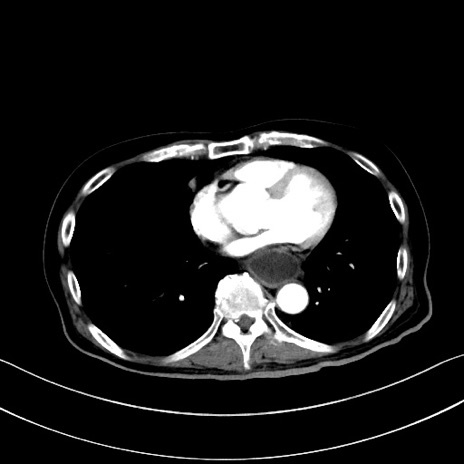
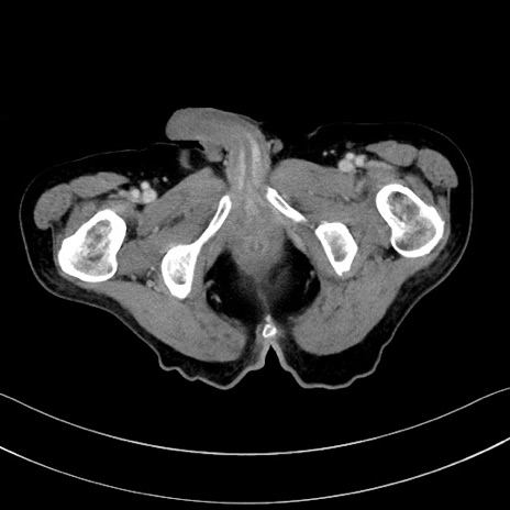
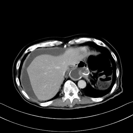
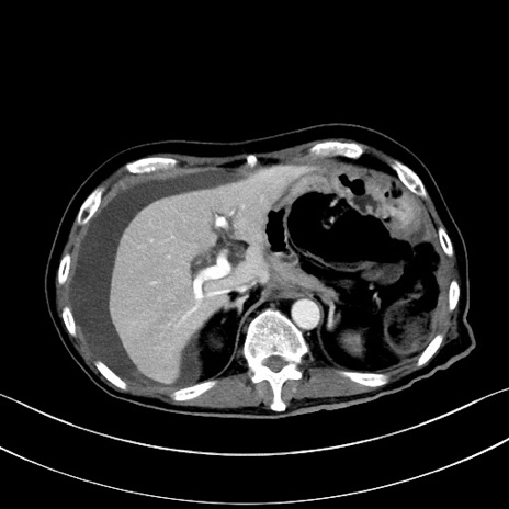
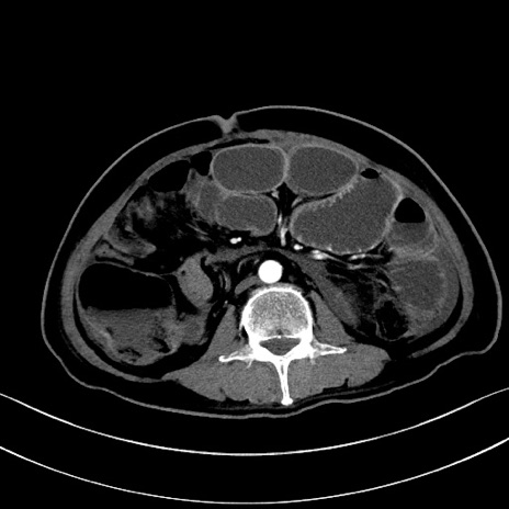
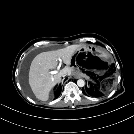
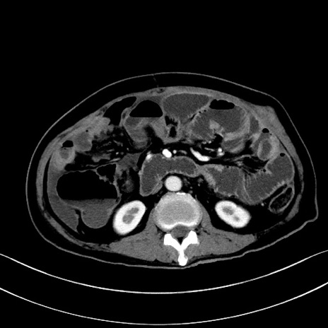
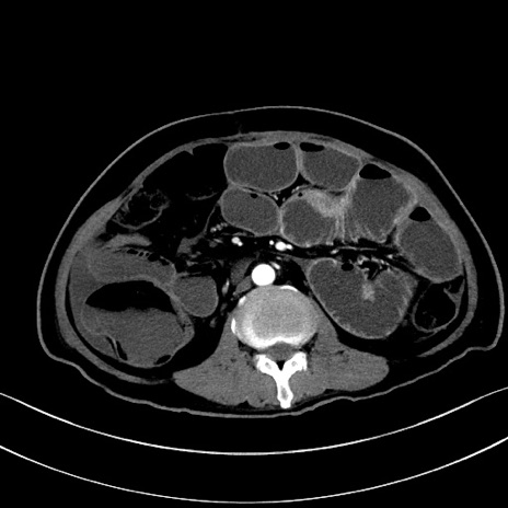
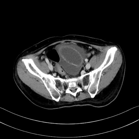
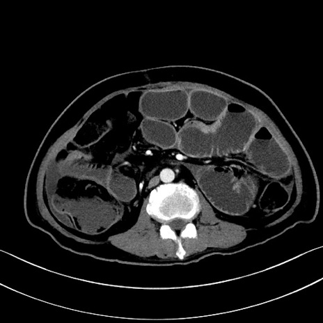
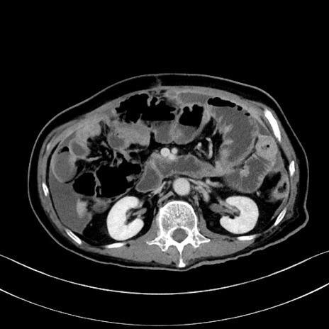
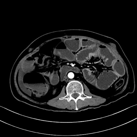
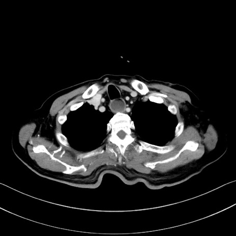
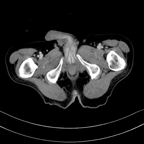
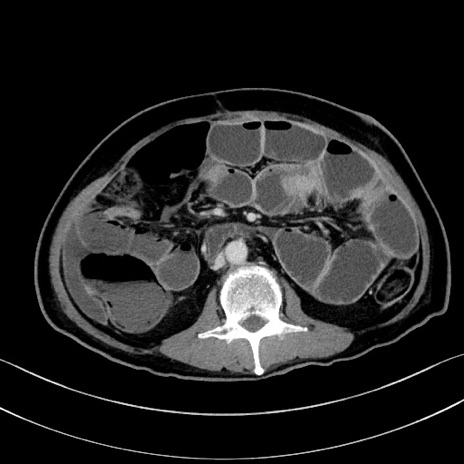
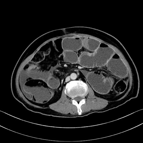
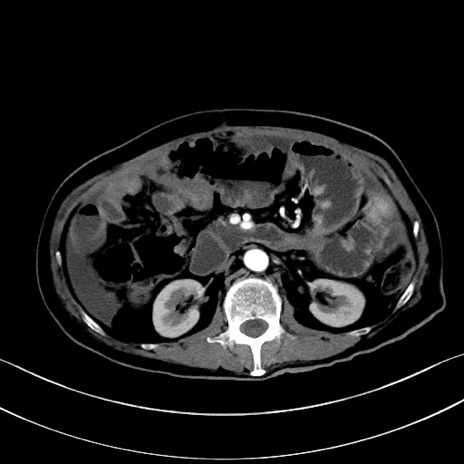
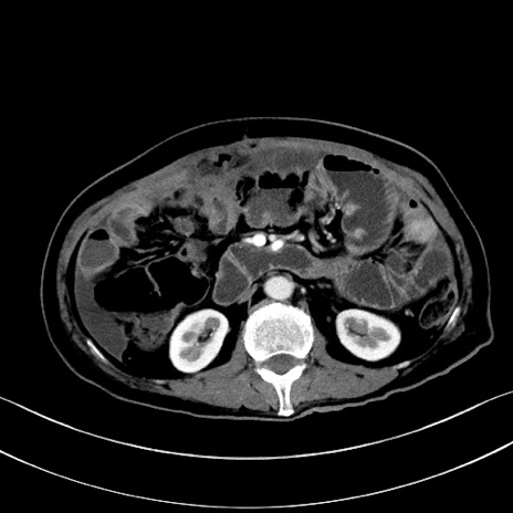
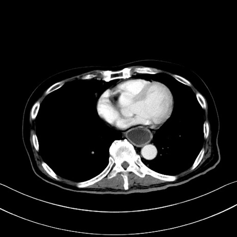
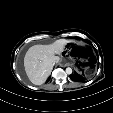
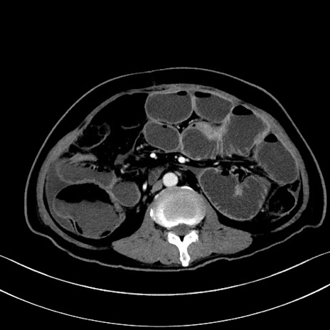
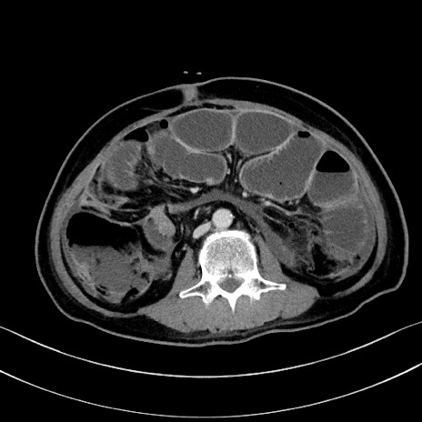
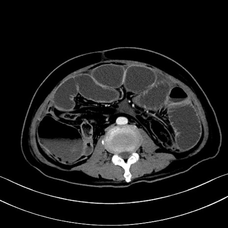
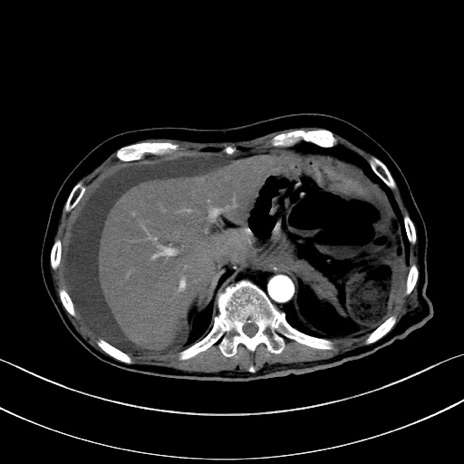
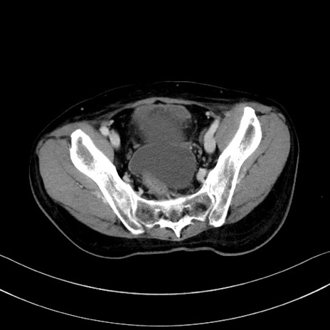
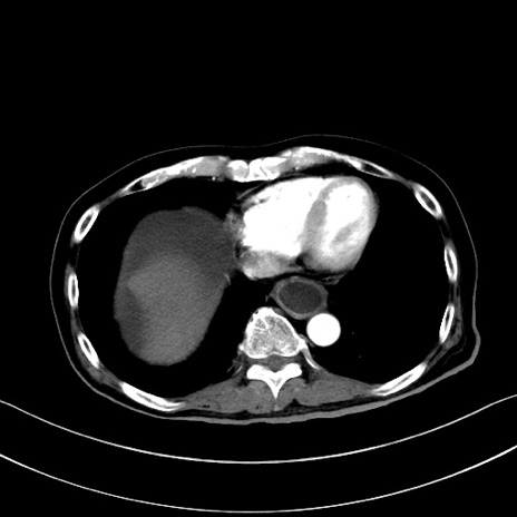
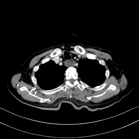
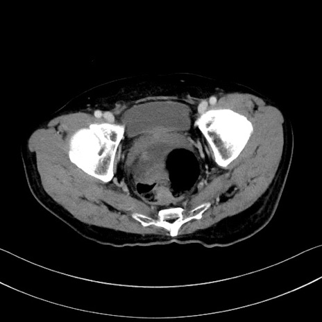
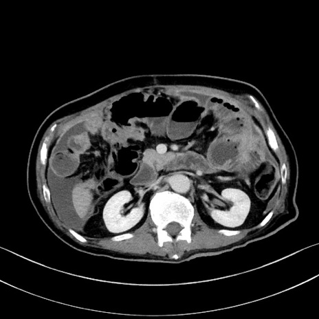
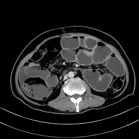
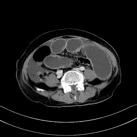
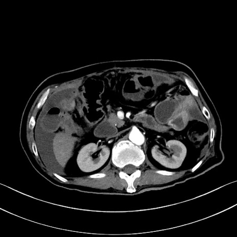
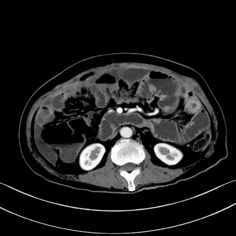
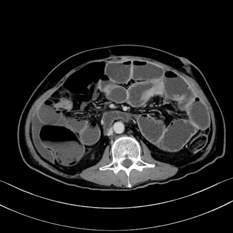
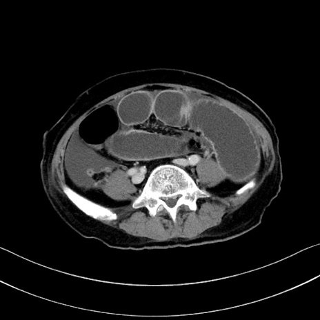
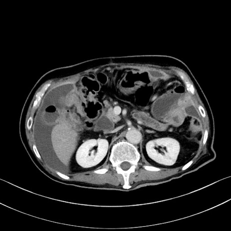
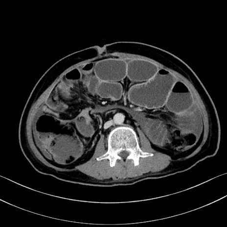
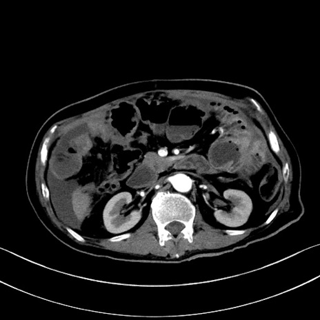
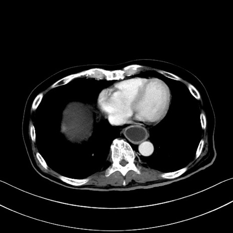
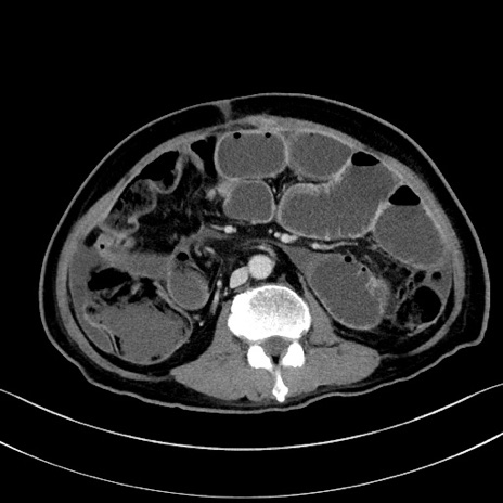
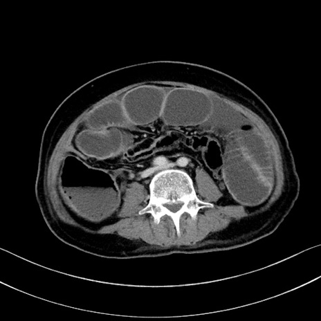
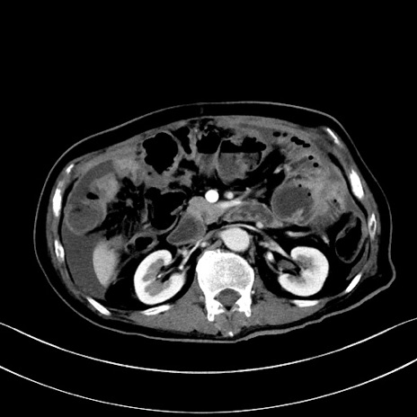
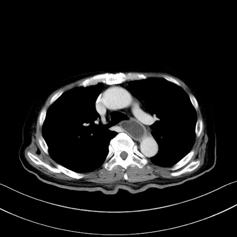
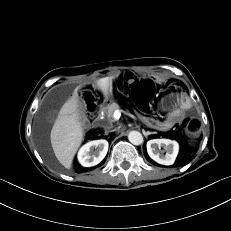
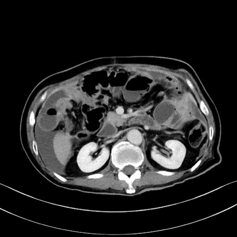
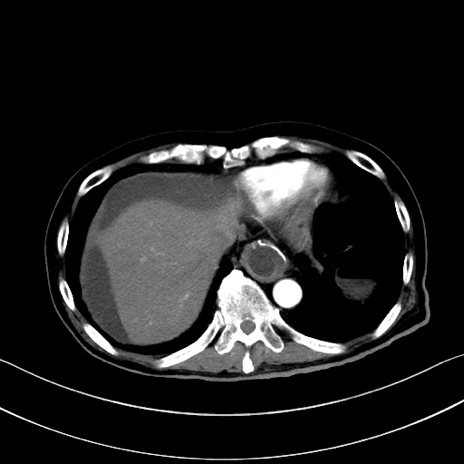
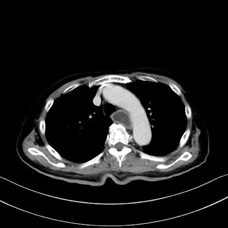
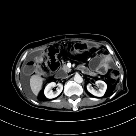
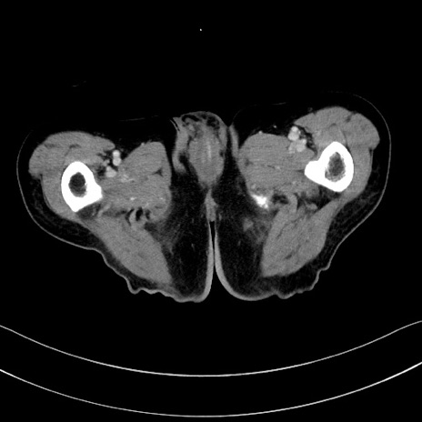
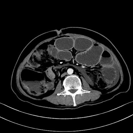
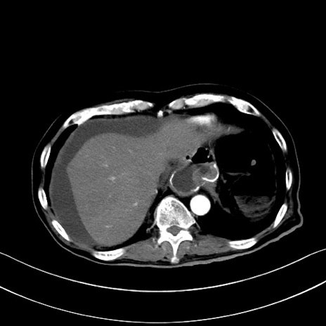
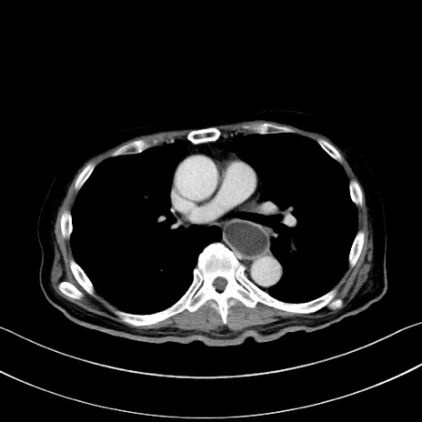
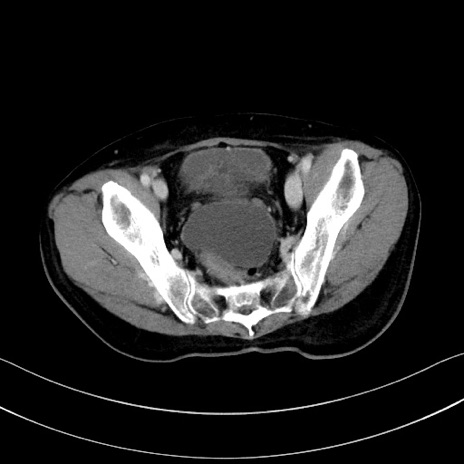
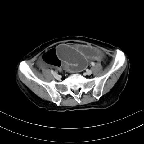
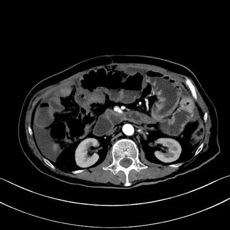
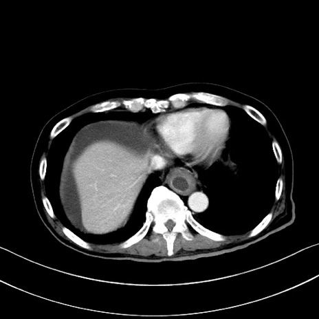
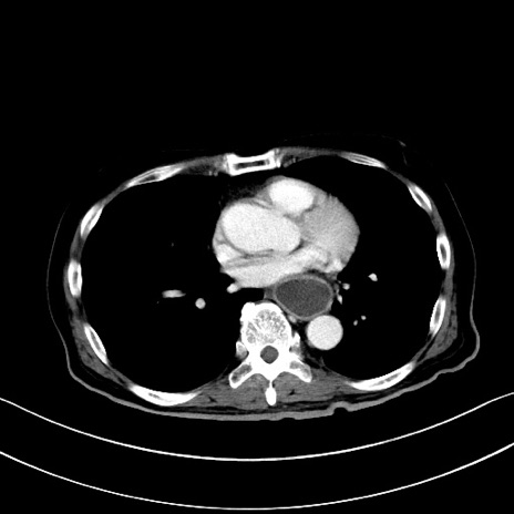
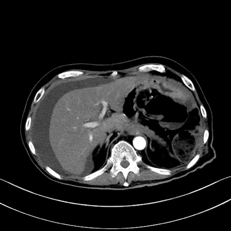
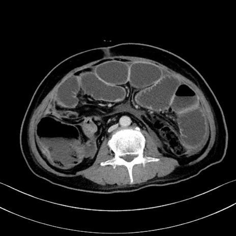
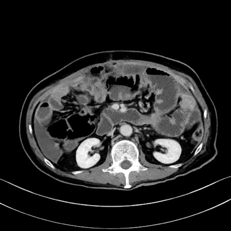
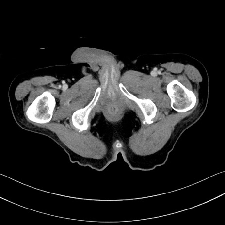
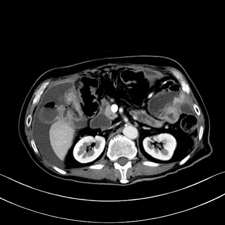
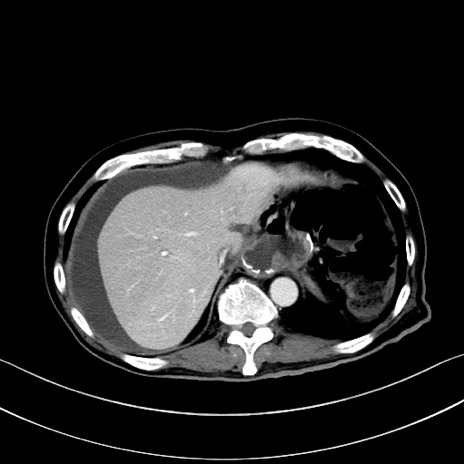
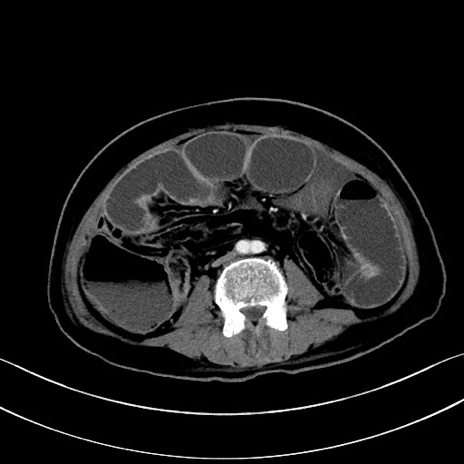
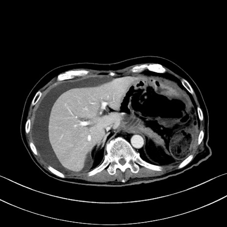
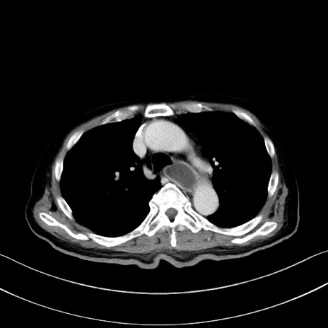
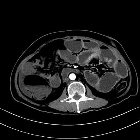
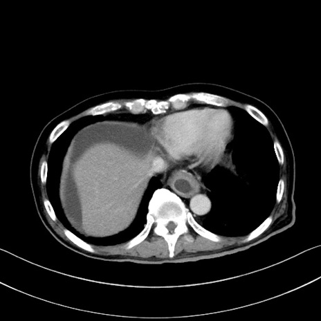
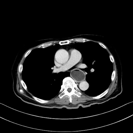
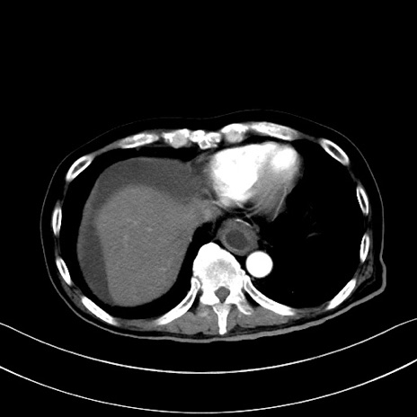
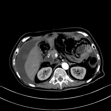
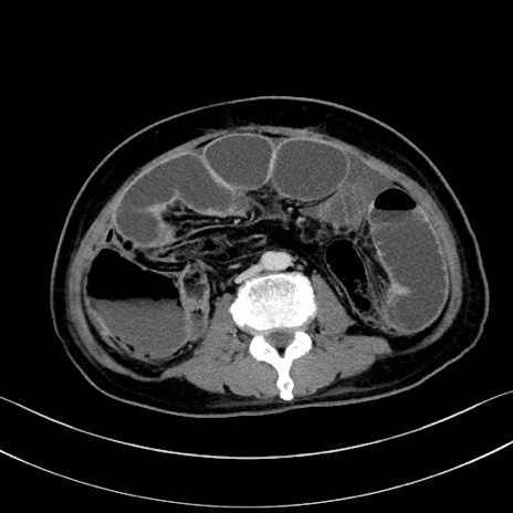
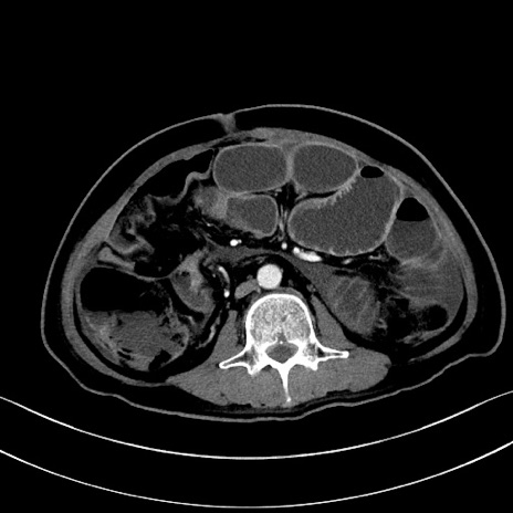
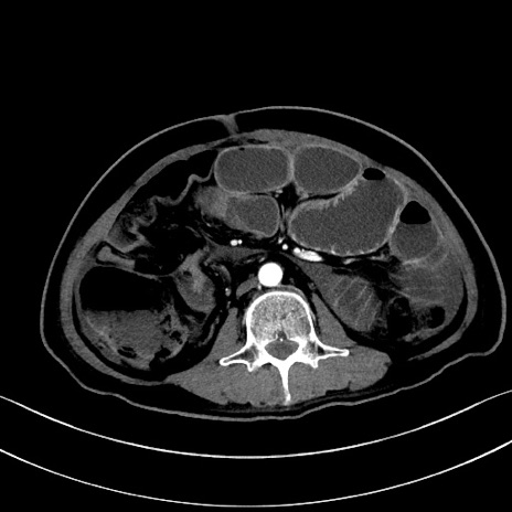
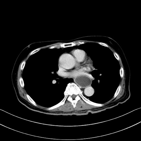
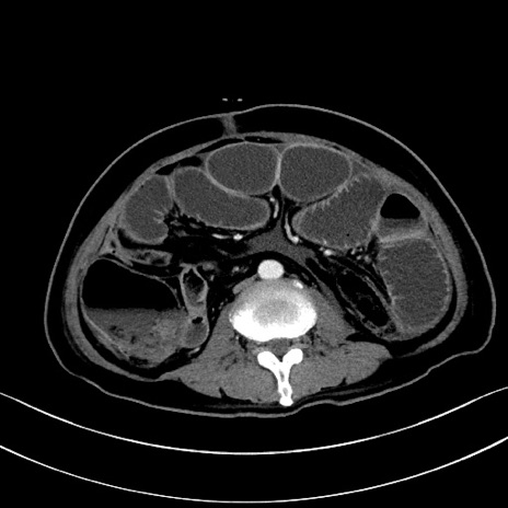
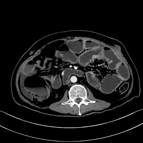
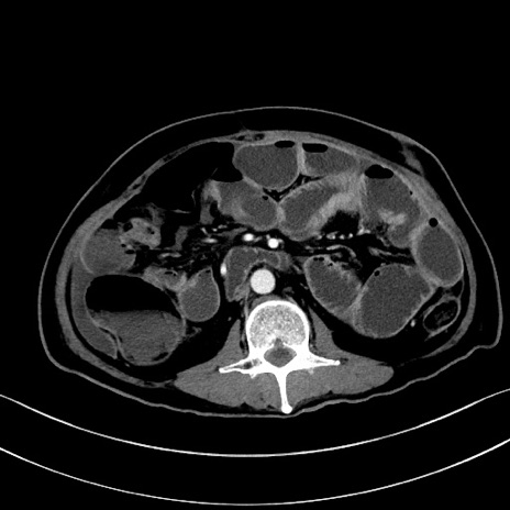
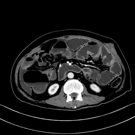
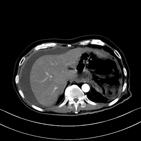
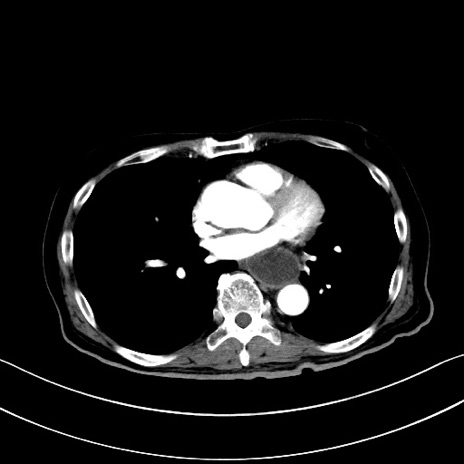
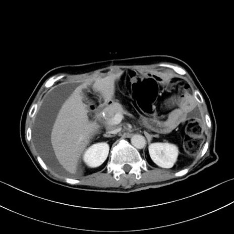
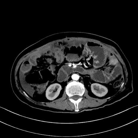
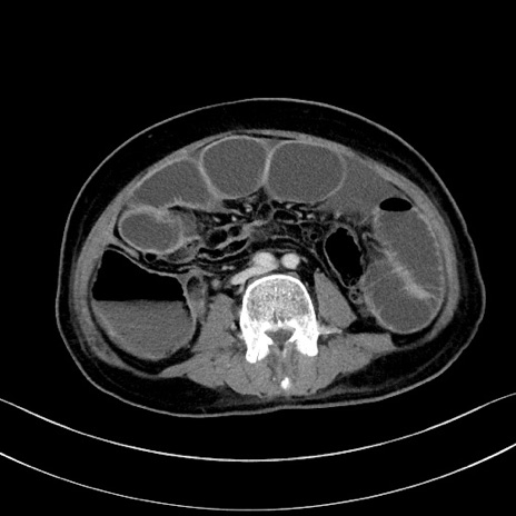
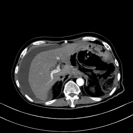
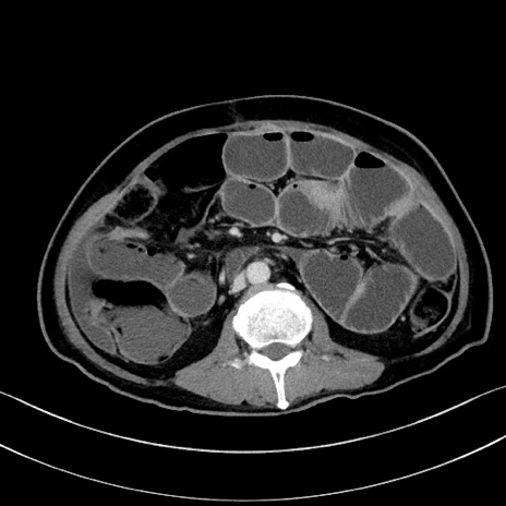
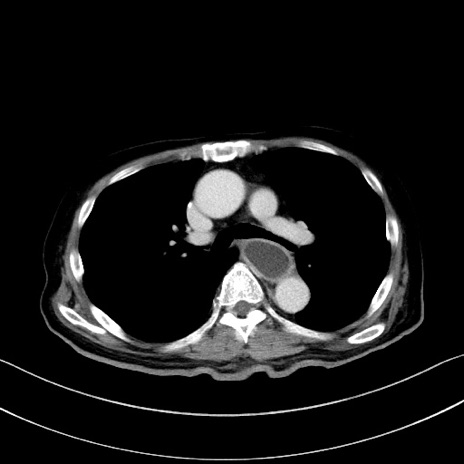
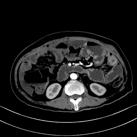
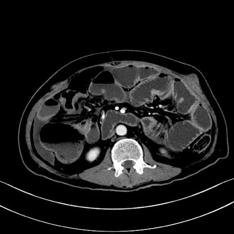
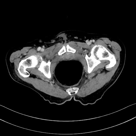
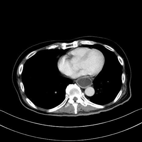
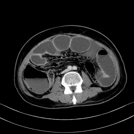
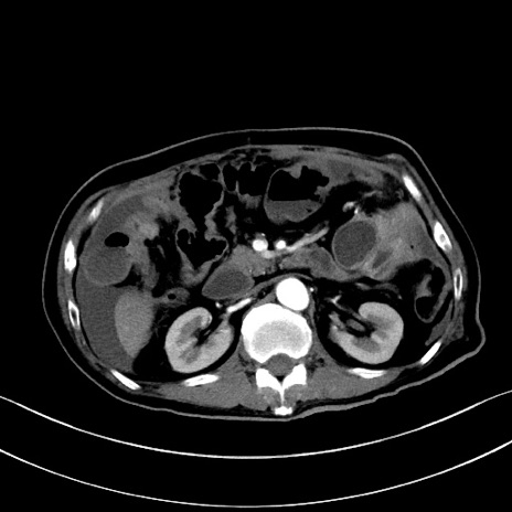
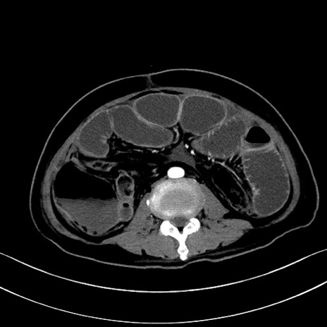
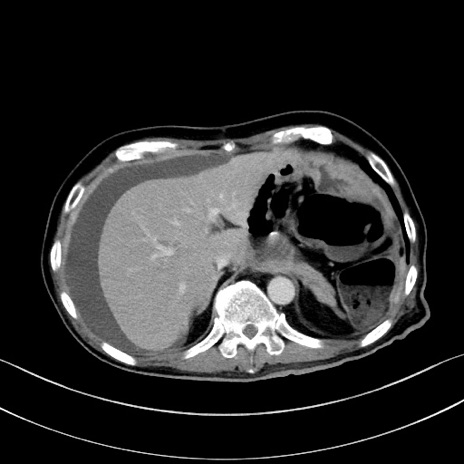
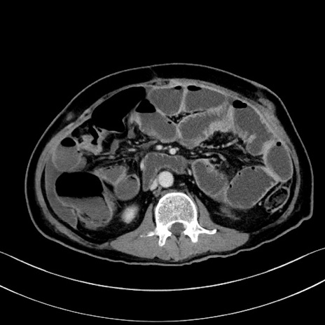
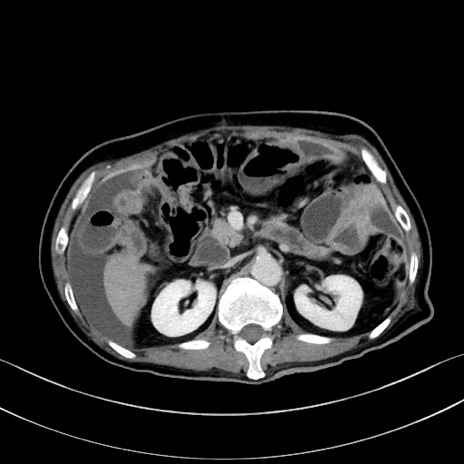
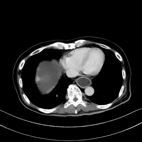
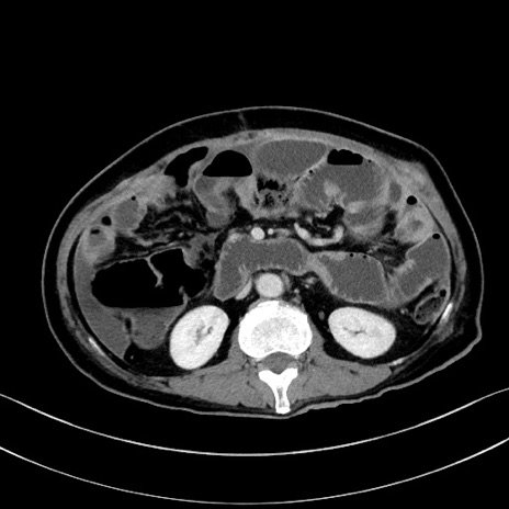
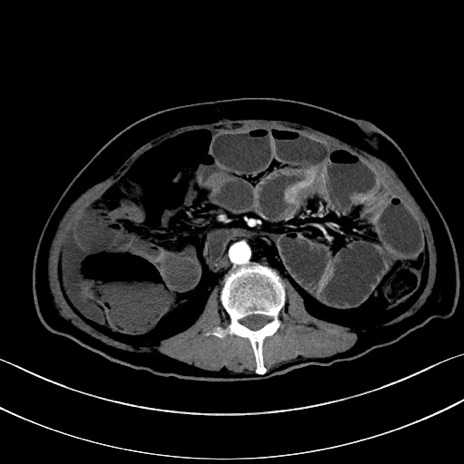
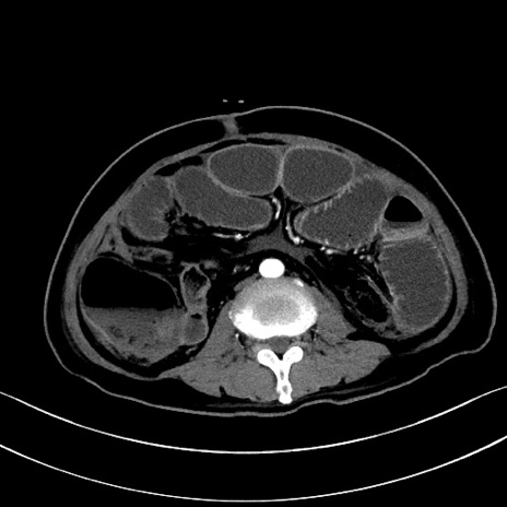
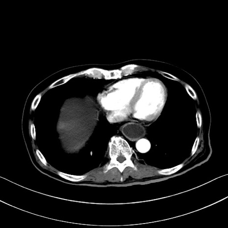
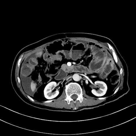
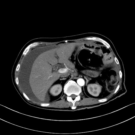
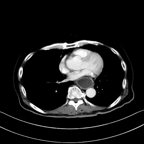
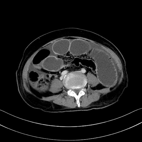
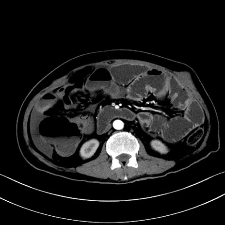
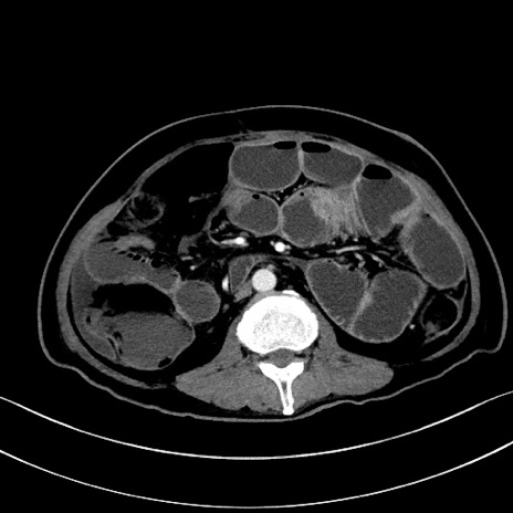
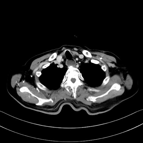
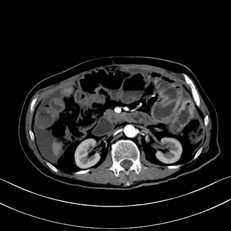
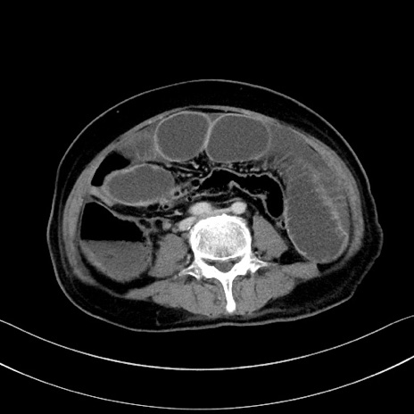
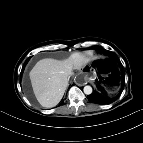
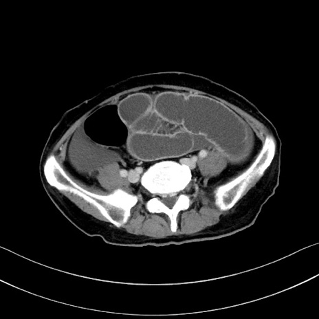
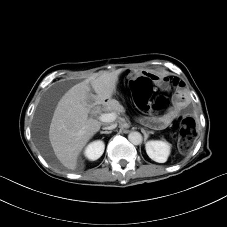
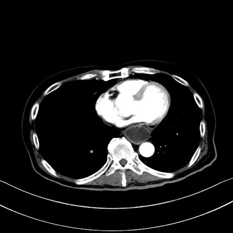
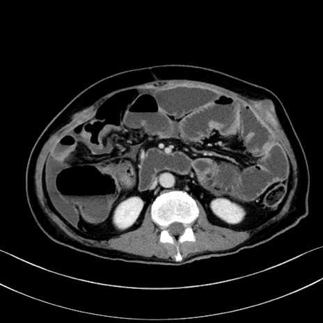
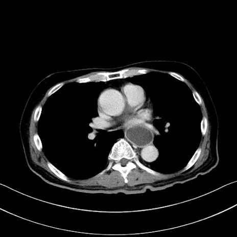
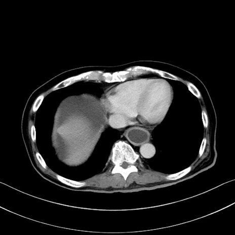
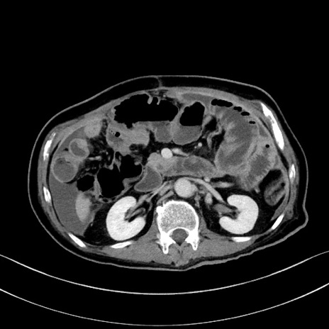
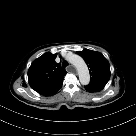
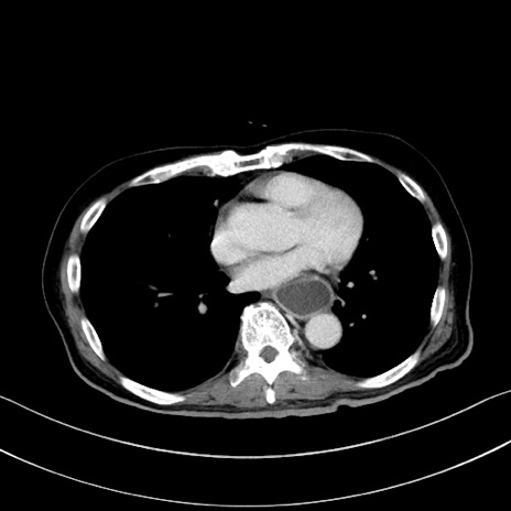
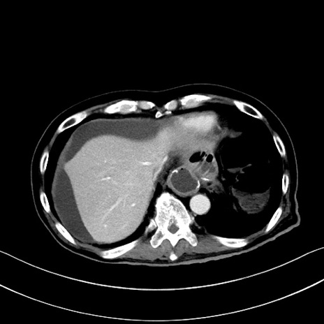
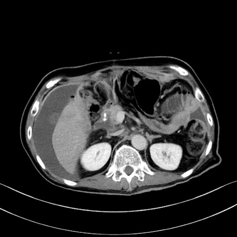
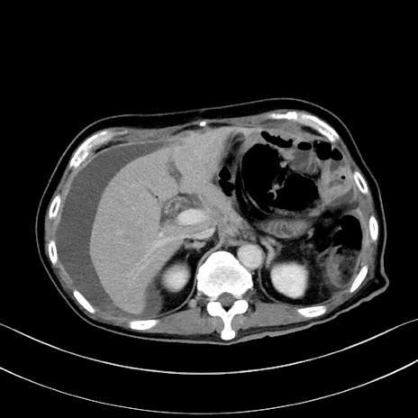
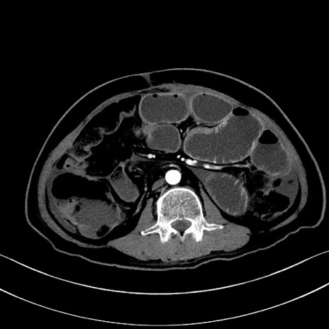
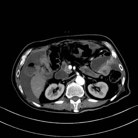
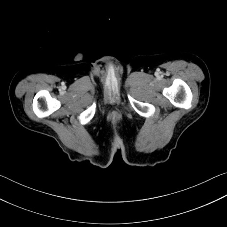
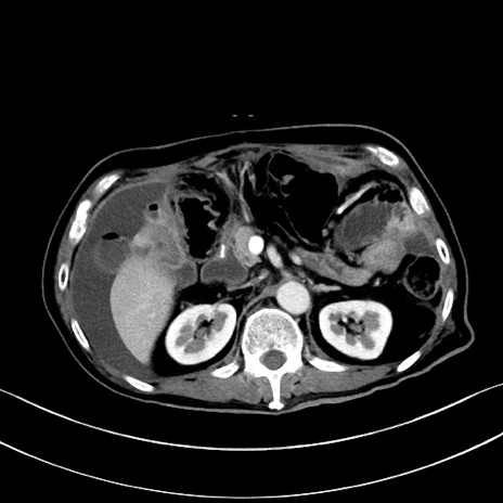
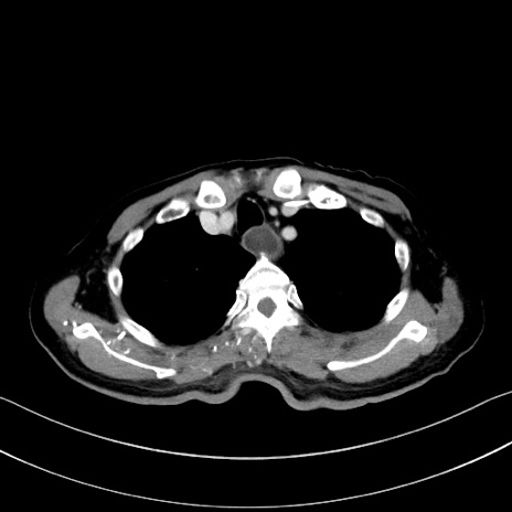
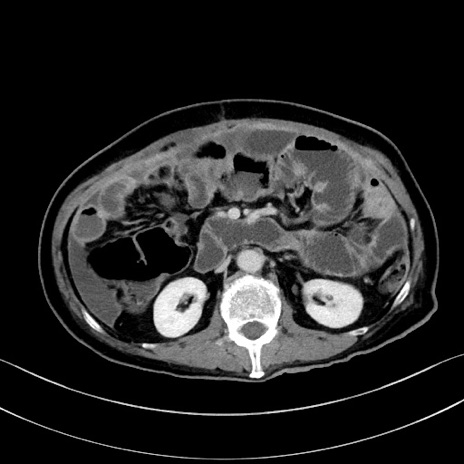
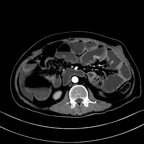
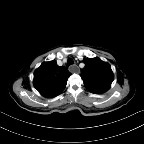
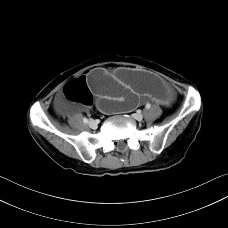
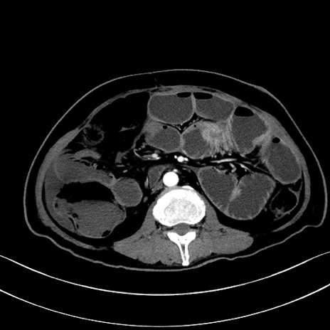
症例28(横断像)

 

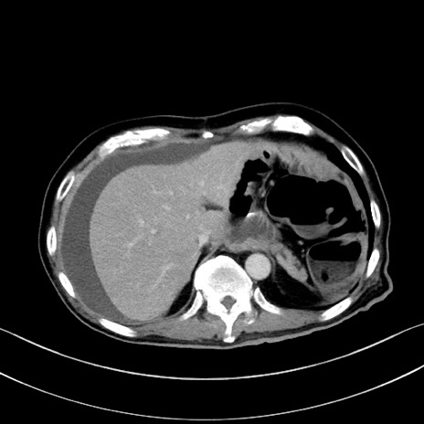
症例

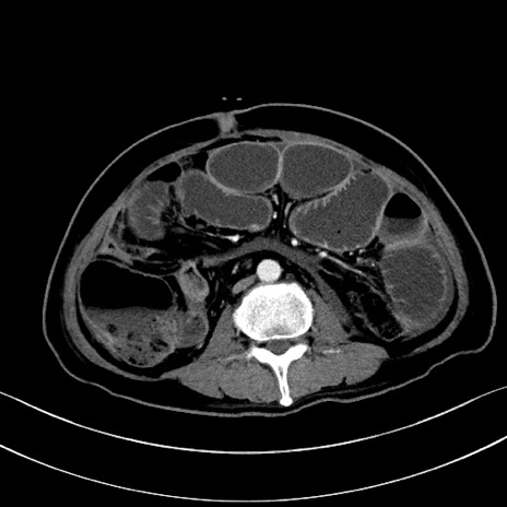
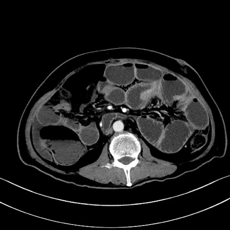
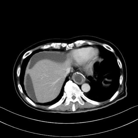
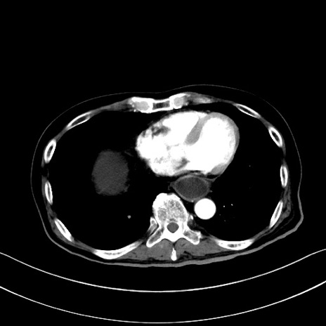
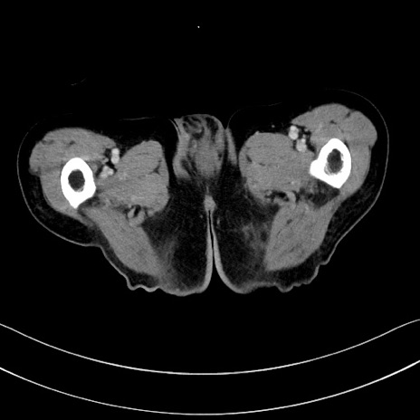
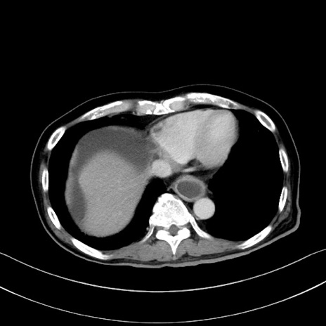
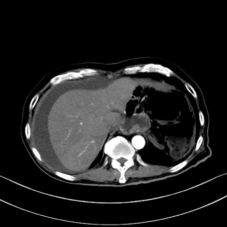
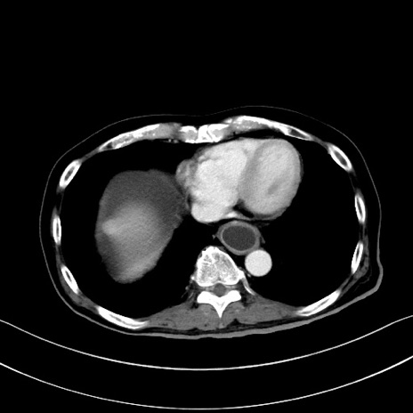
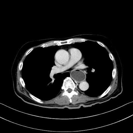
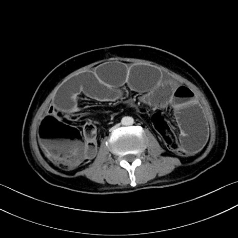
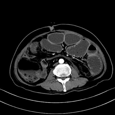
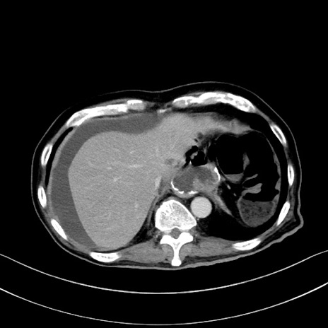
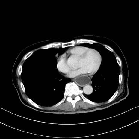
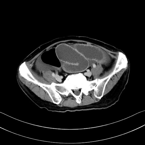
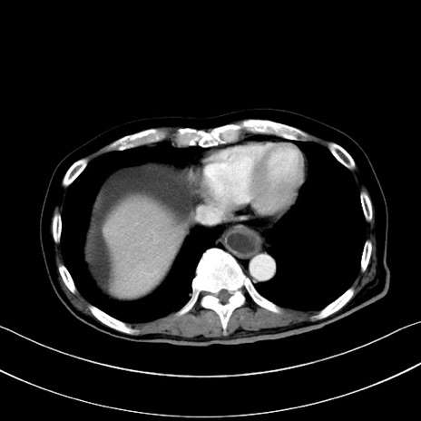
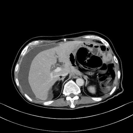
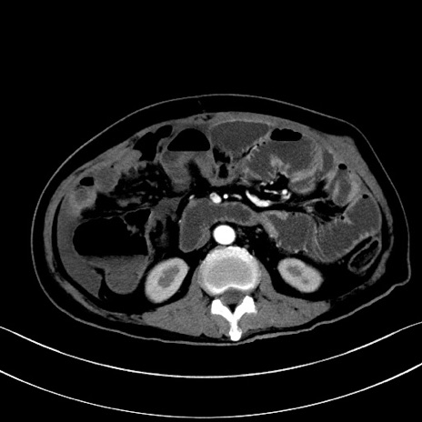
【症例】60歳代男性
【主訴】嘔吐
【現病歴】胃癌にて胃全摘後。食思不振が悪化し、夜中に嘔吐することがある。
【既往歴】胃癌、胃全摘、脾摘、胆摘後
【データ】WBC 5900、CRP 10.56

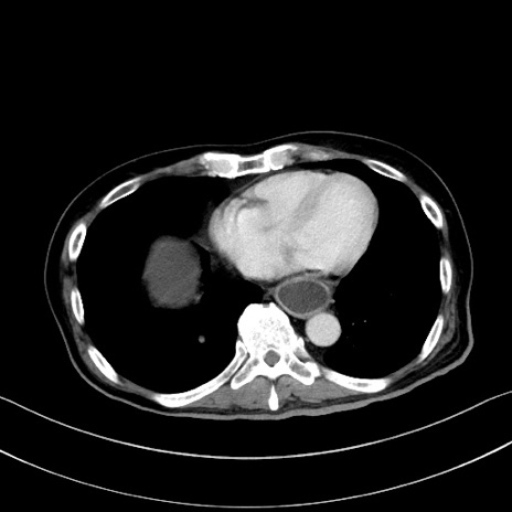
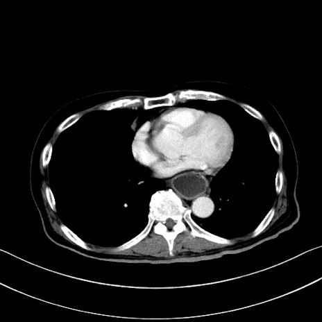
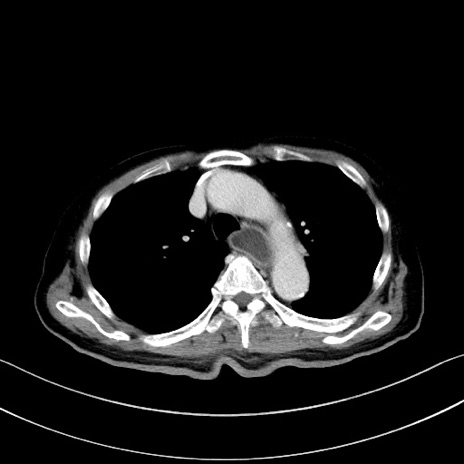
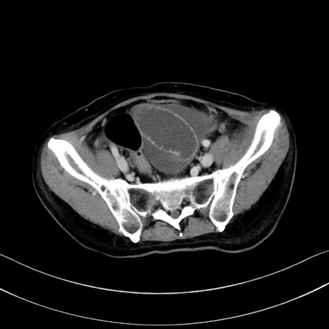
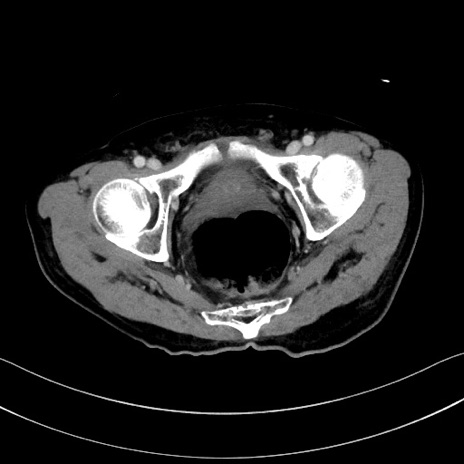
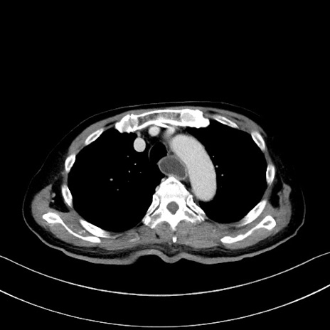
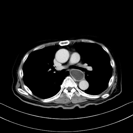
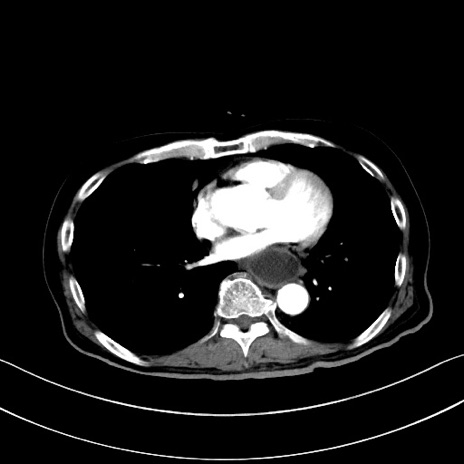
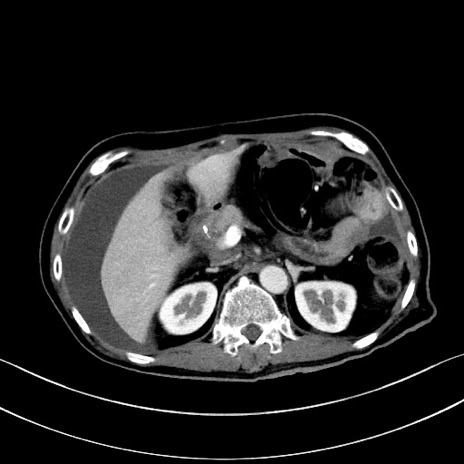
冠状断像