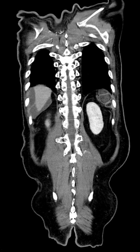
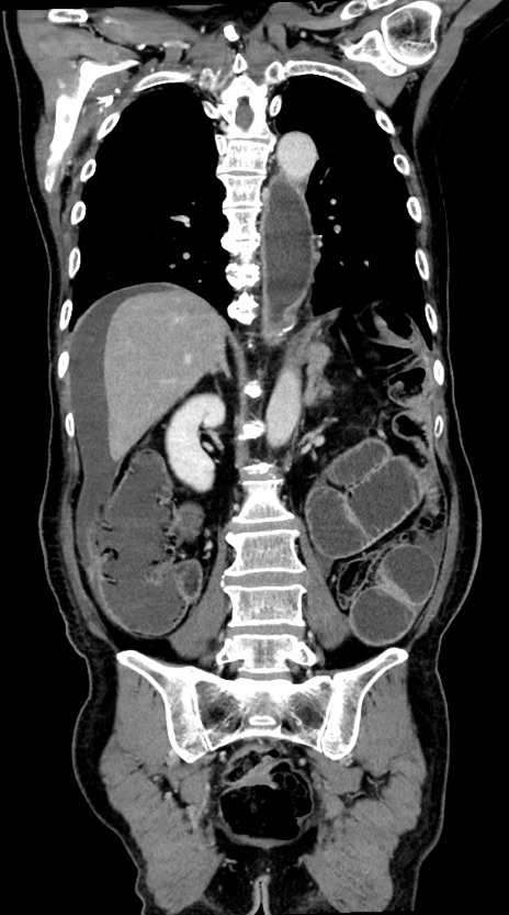
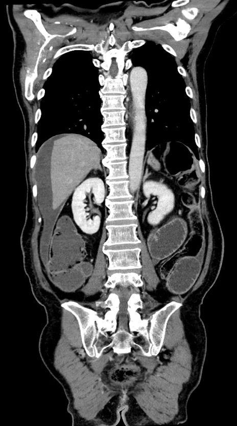
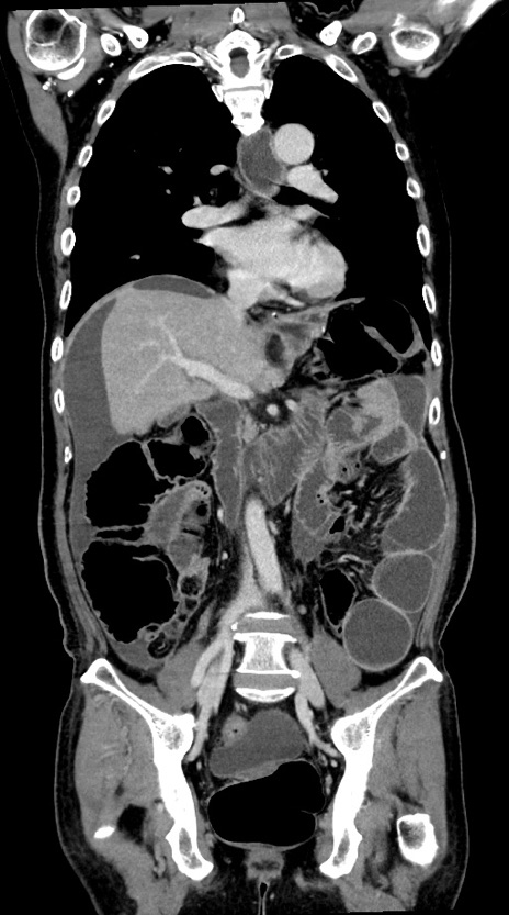
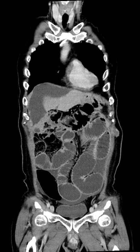
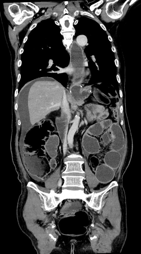
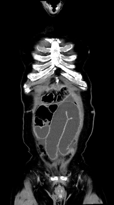
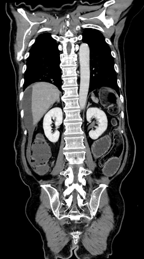
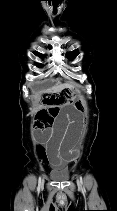
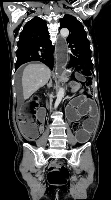
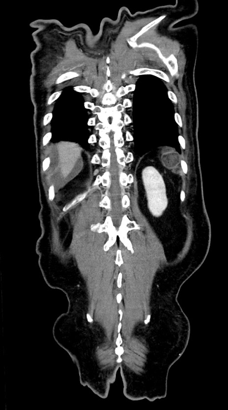
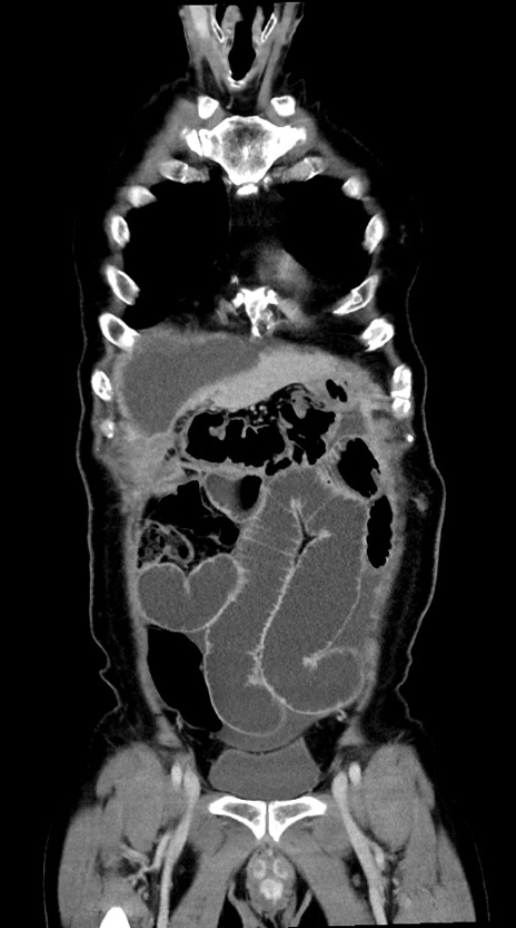
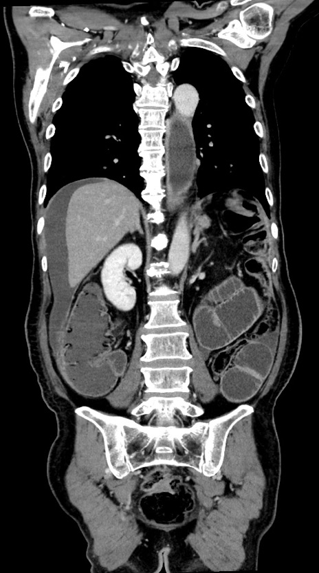
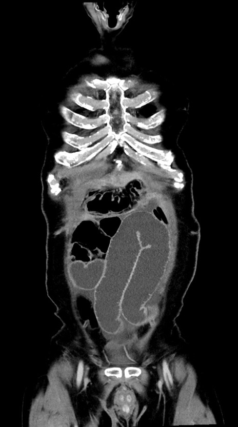
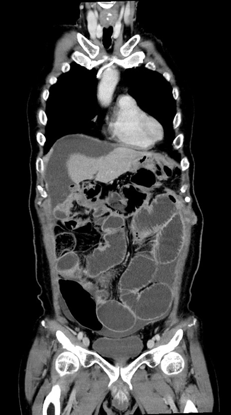
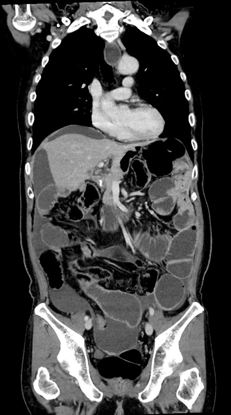
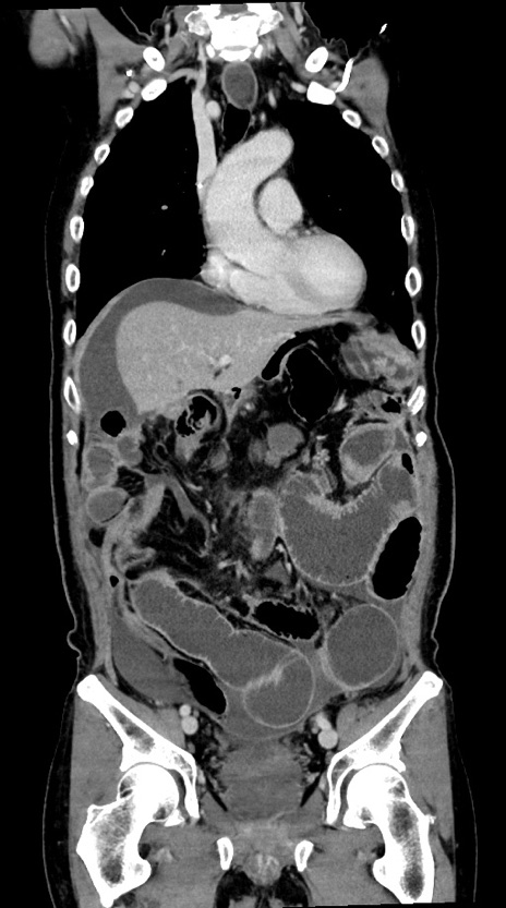
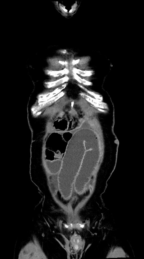
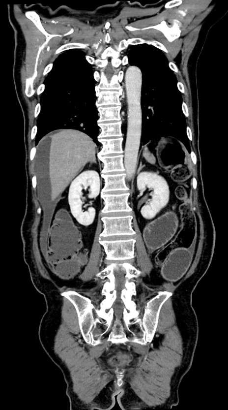
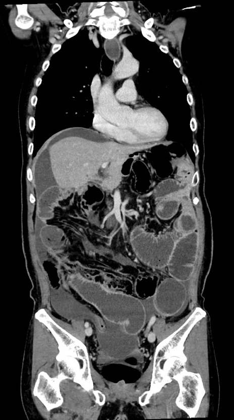
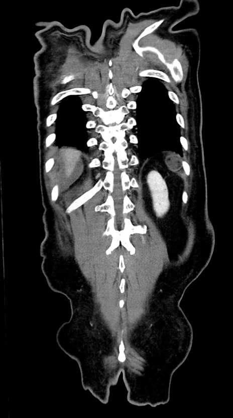
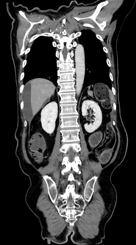
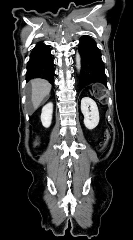
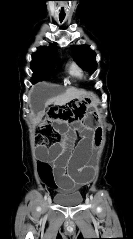
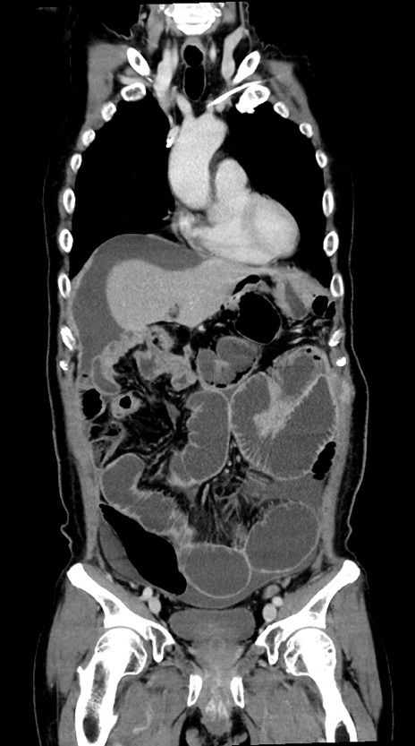
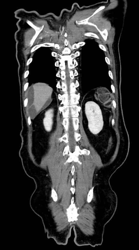
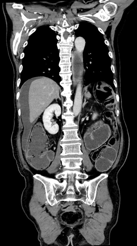
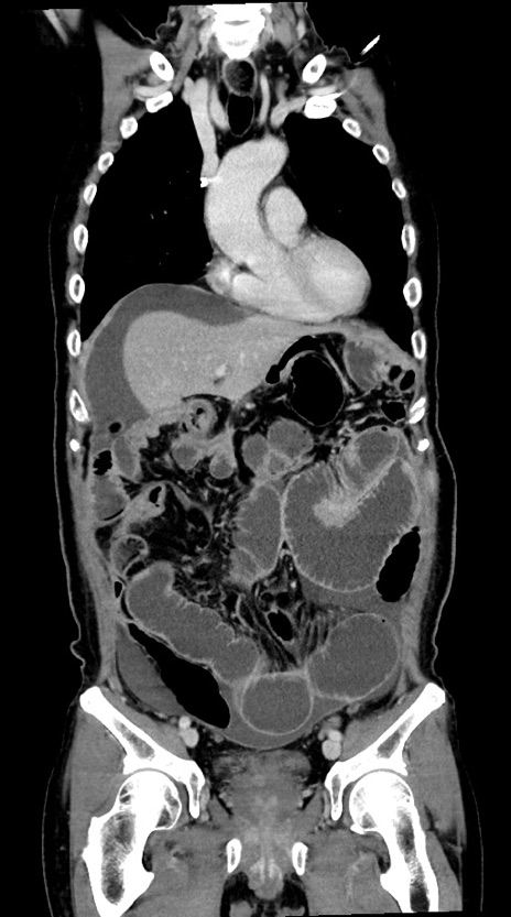
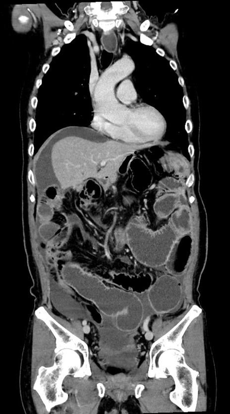
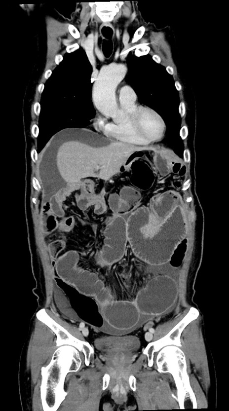
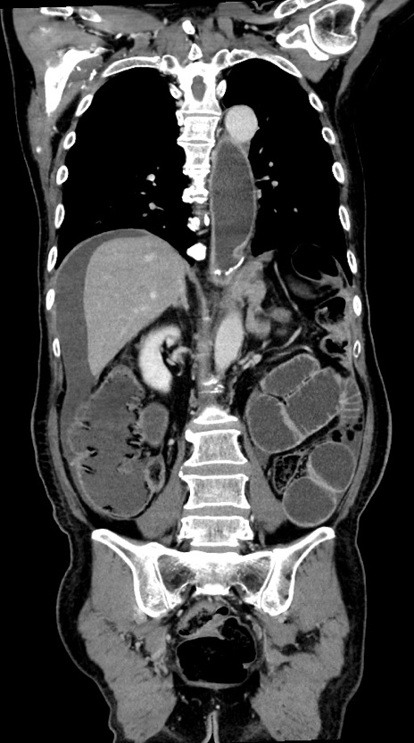
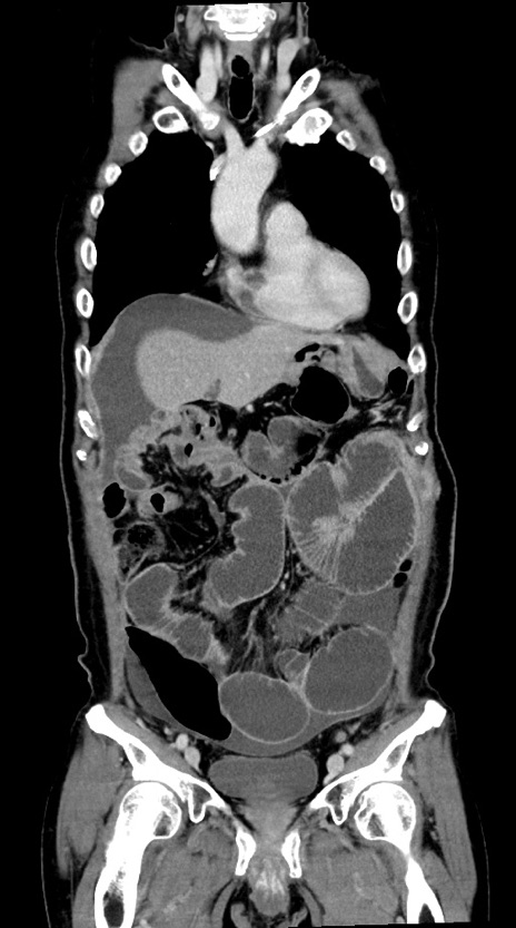
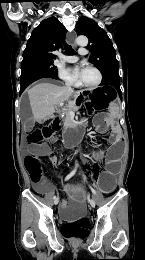
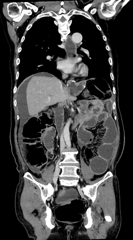
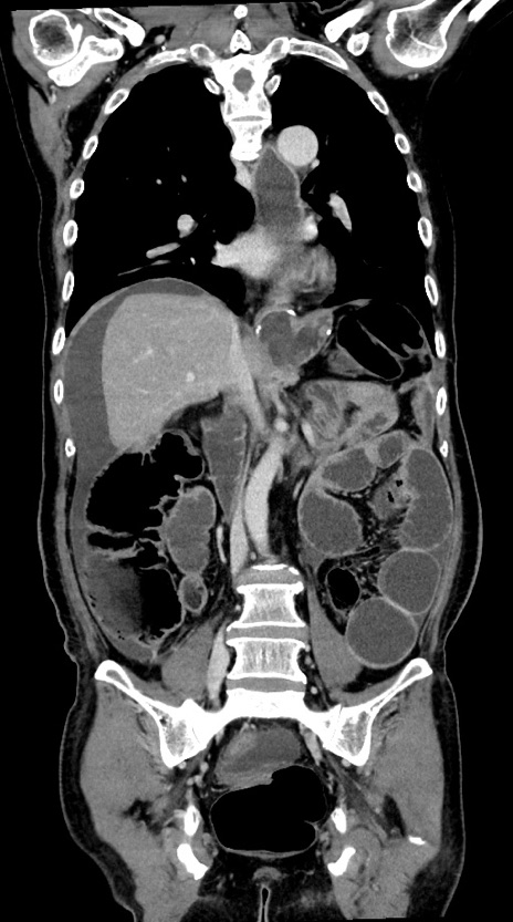
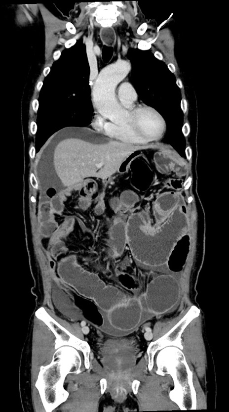
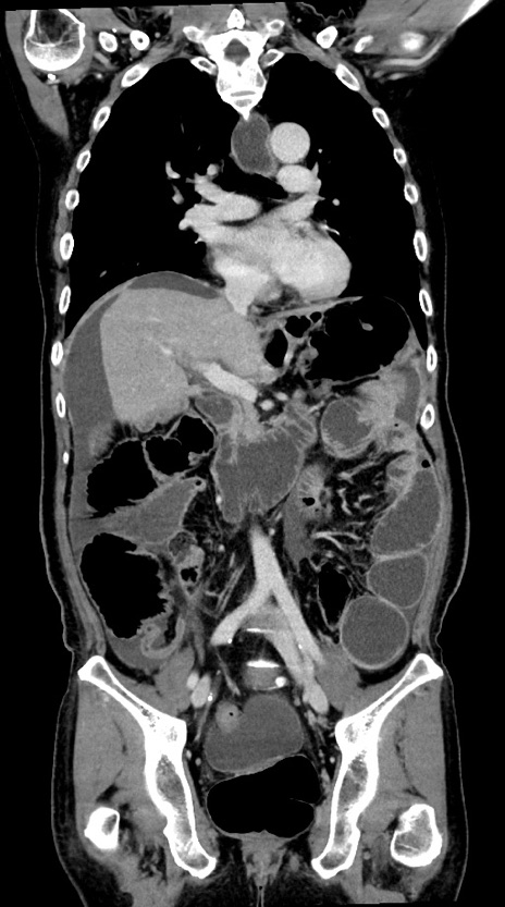
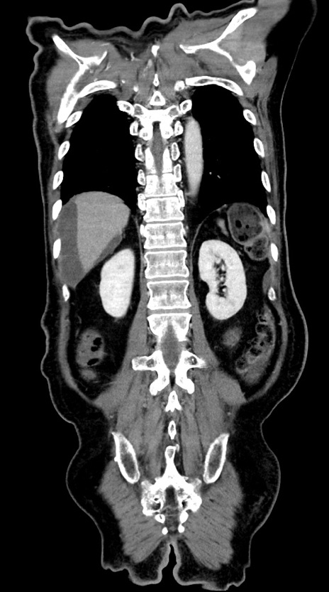
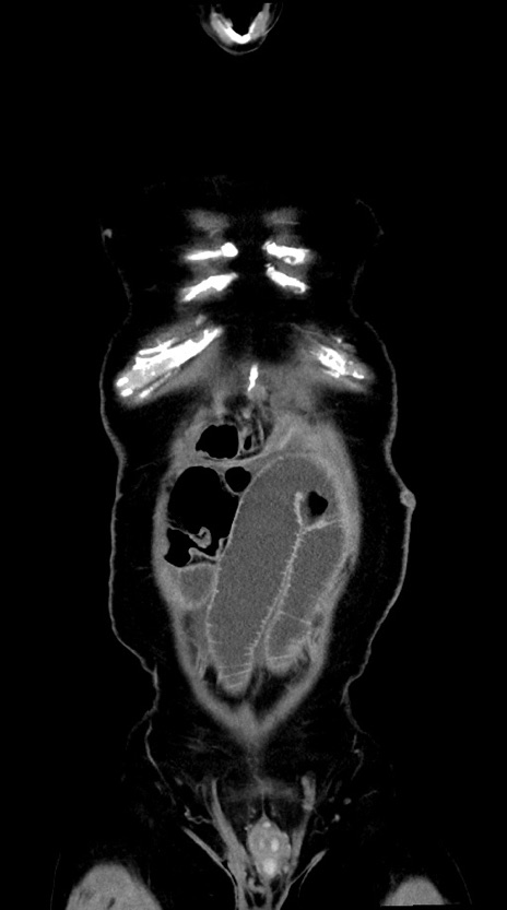
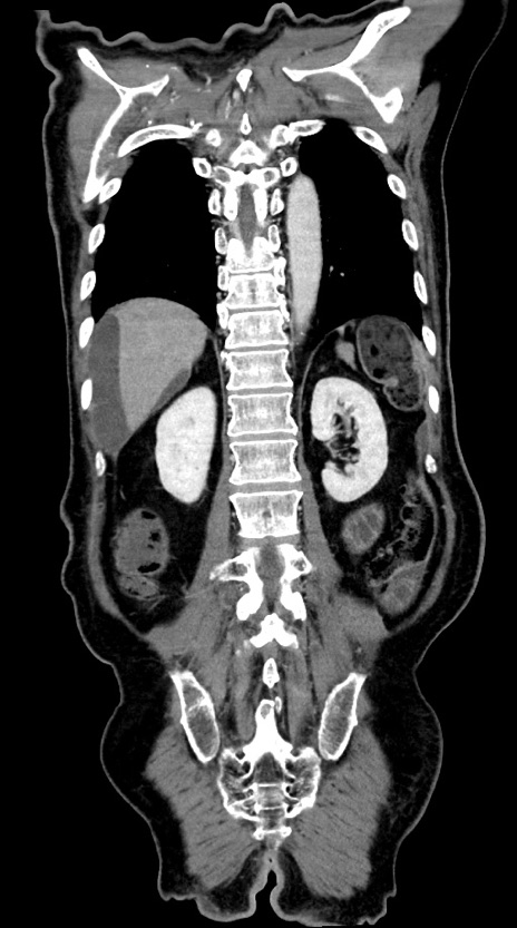
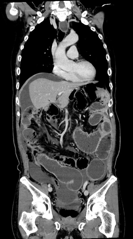
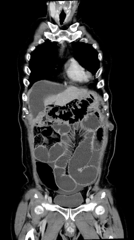
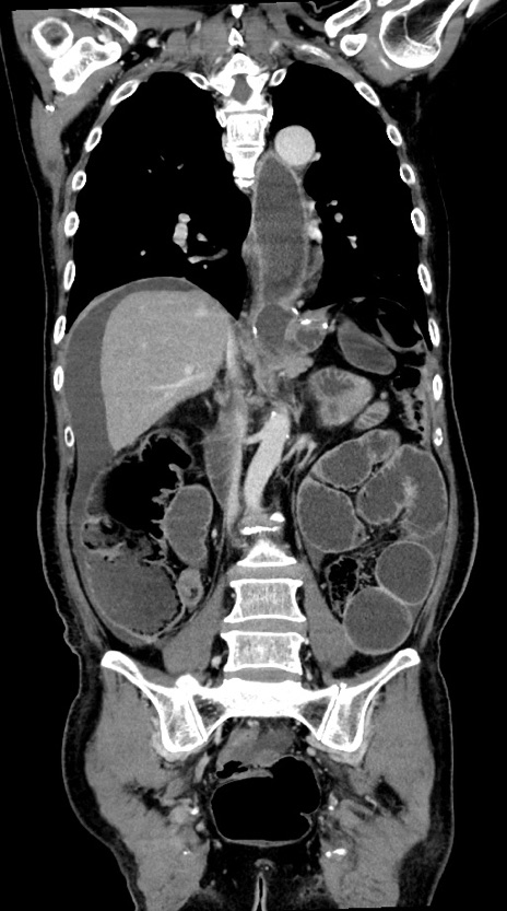
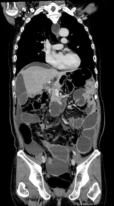
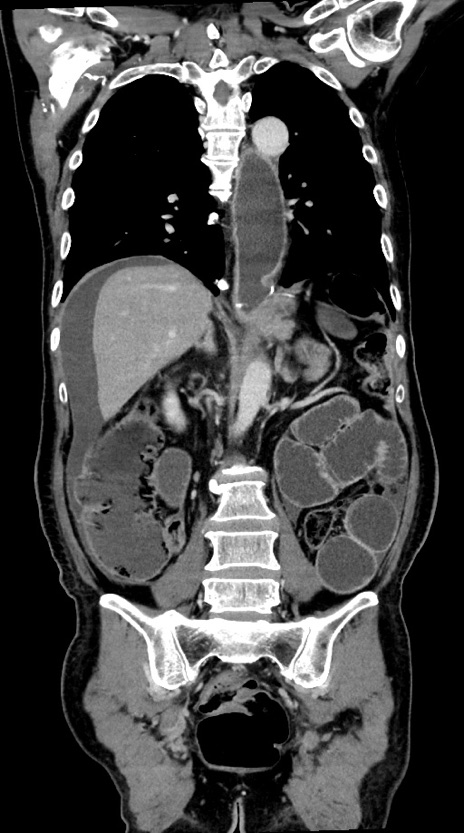
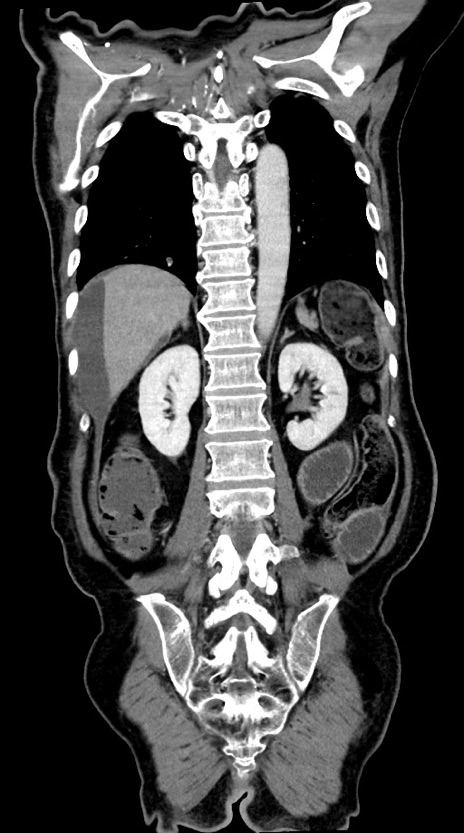
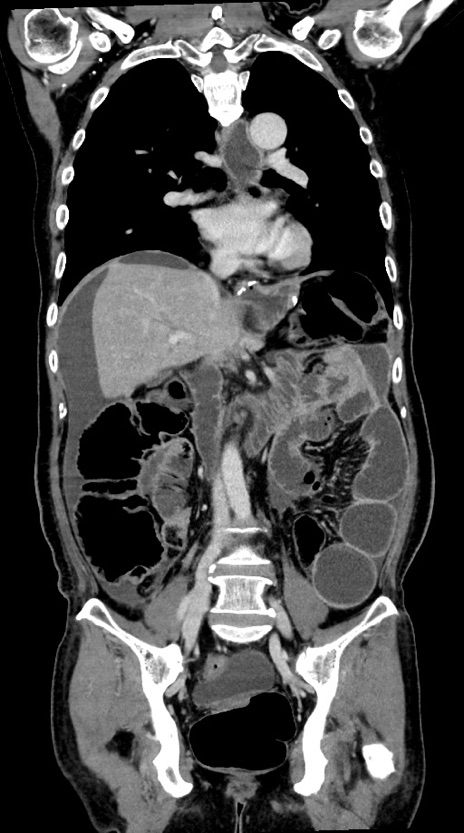
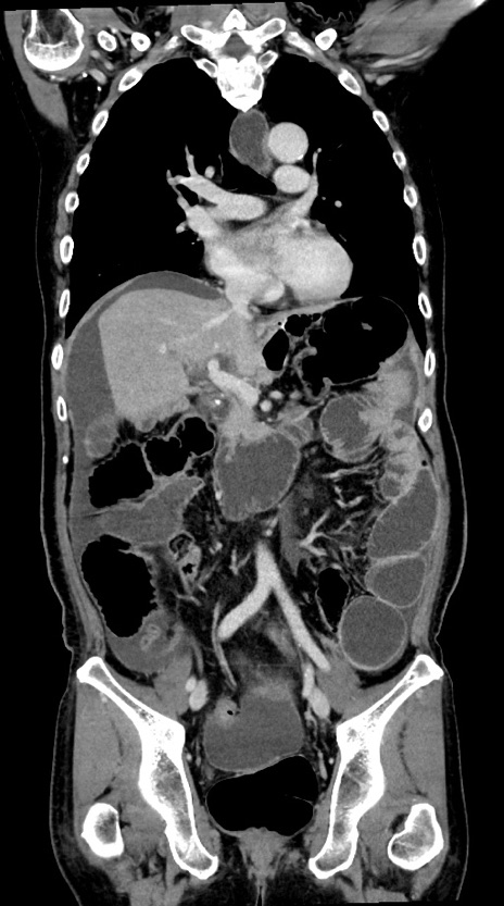
症例28(冠状断像)

 

症例

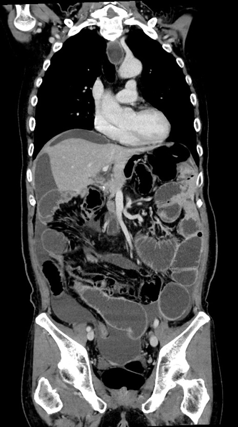
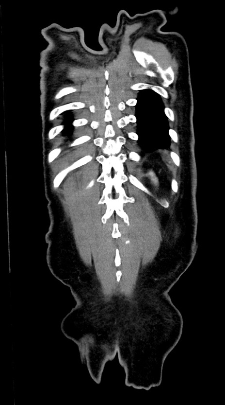
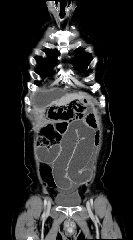
【症例】60歳代男性
【主訴】嘔吐
【現病歴】胃癌にて胃全摘後。食思不振が悪化し、夜中に嘔吐することがある。
【既往歴】胃癌、胃全摘、脾摘、胆摘後
【データ】WBC 5900、CRP 10.56

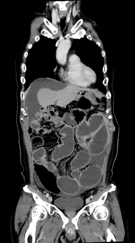
横断像