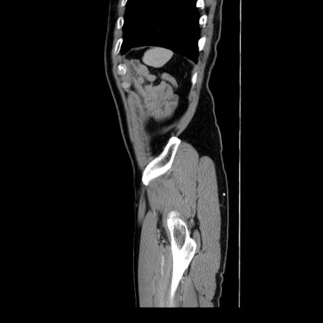
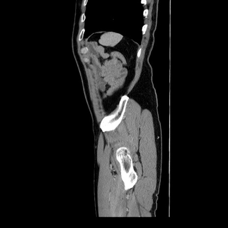
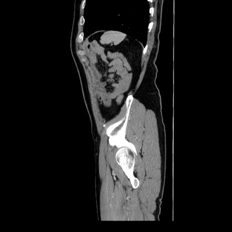
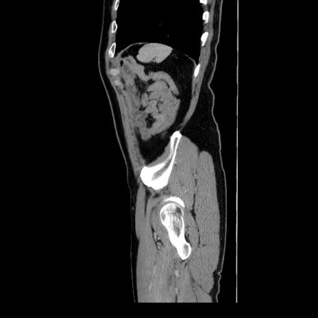
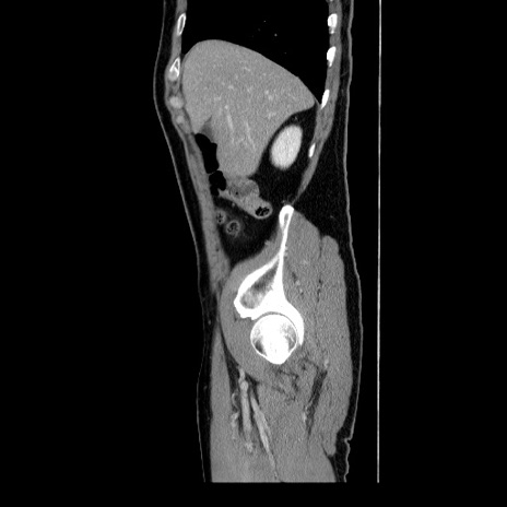
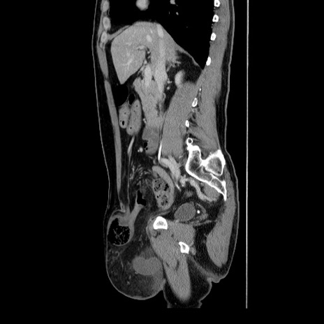
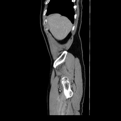
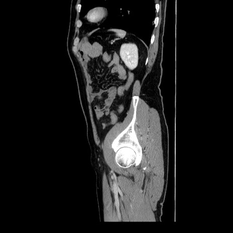
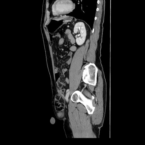
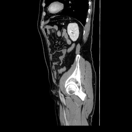
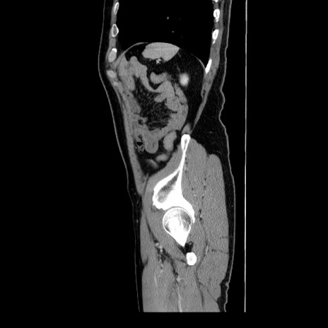
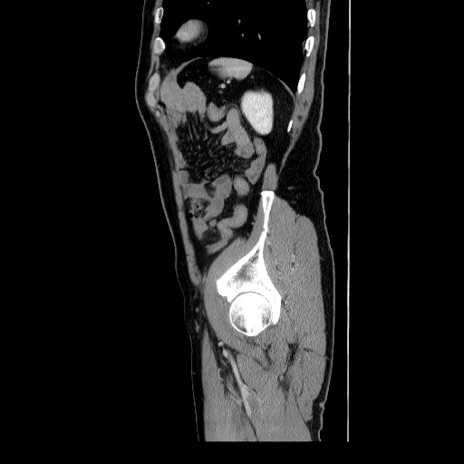
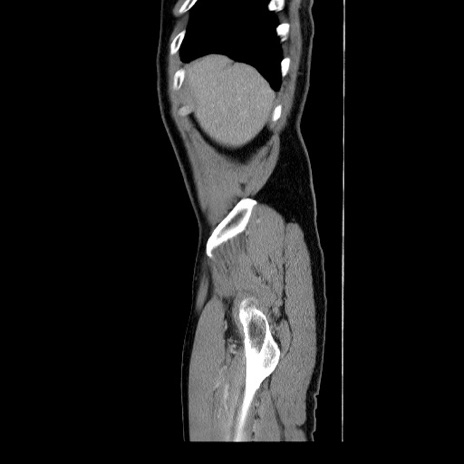
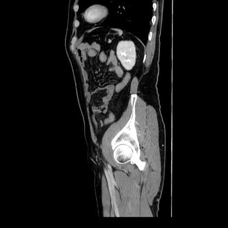
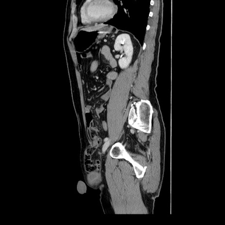
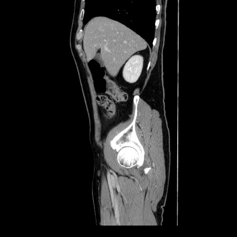
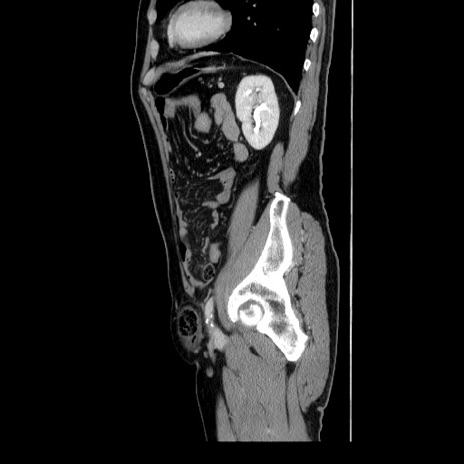
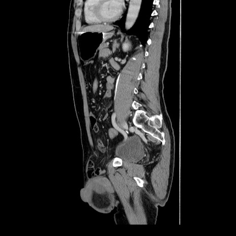
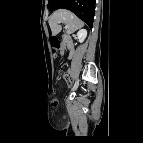
症例34(矢状断像)

 

症例

【症例】60歳代 男性
【主訴】右鼠径部膨隆

【現病歴】1年程前より右鼠径部膨隆あり。自己にて還納可能だったため放置していた。3時間前より右鼠径部の脱出を認め、還納困難となり受診。
【既往歴】高血圧
【身体所見】右鼠径部に小児頭大の膨隆あり。弾性硬であり、用手還納は困難。左鼠径部にも膨隆を認める。脱出はなし。
【データ】WBC 15500、CRP 測定なし

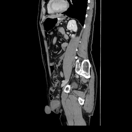
横断像
冠状断像