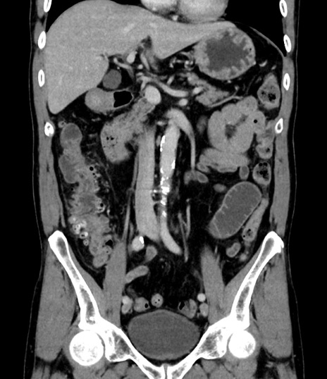
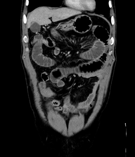
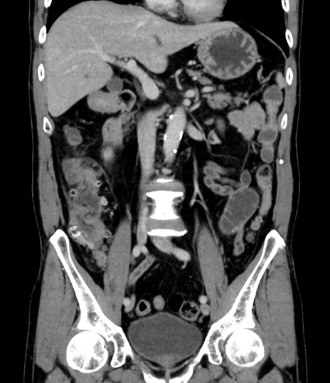
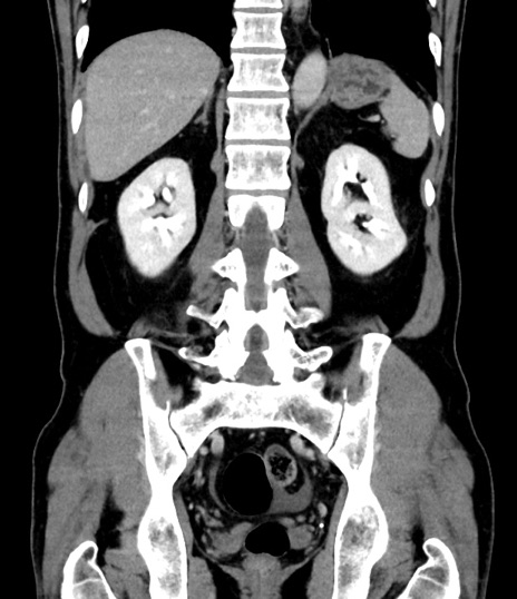
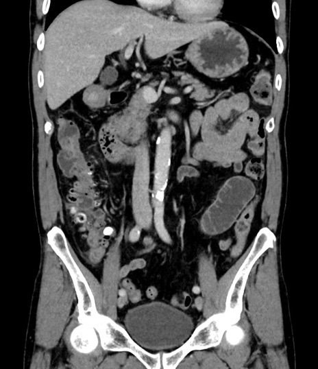
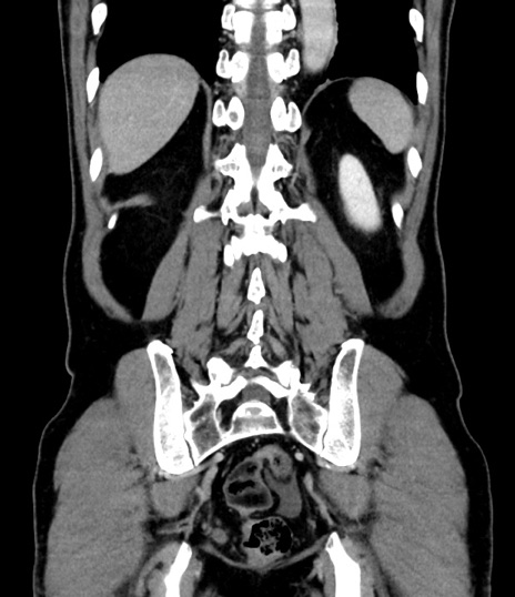
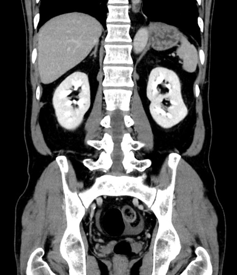
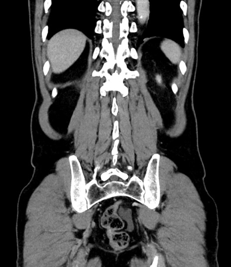
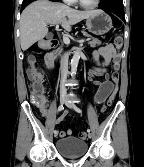
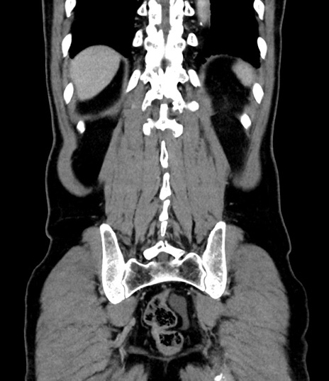
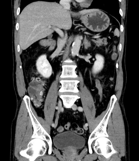
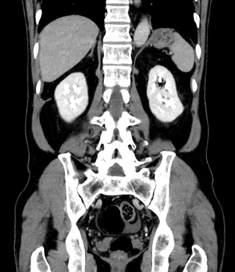
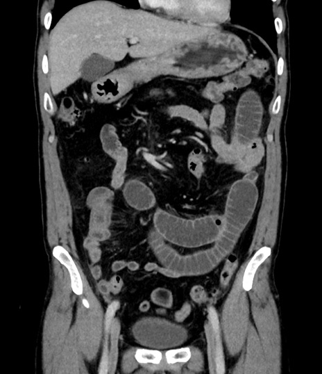
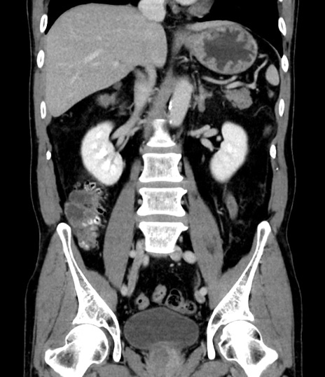
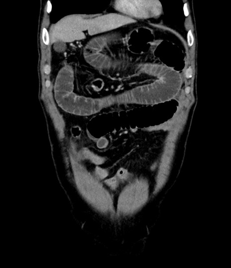
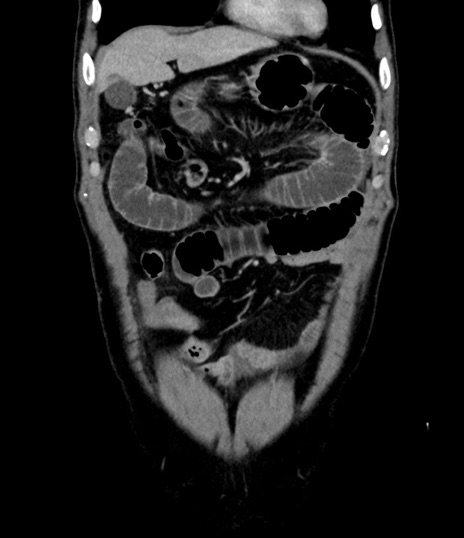
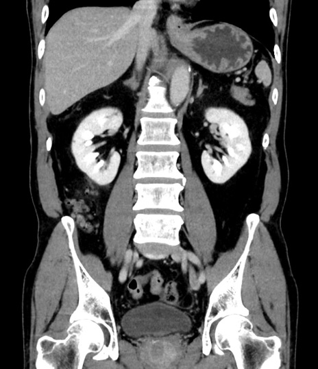
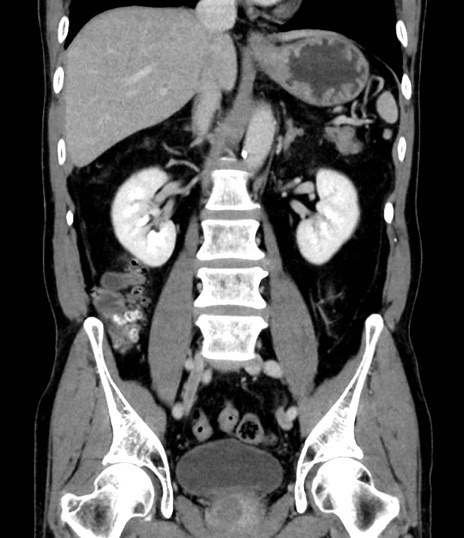
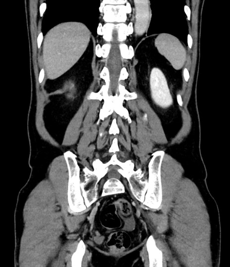
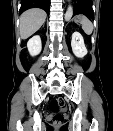
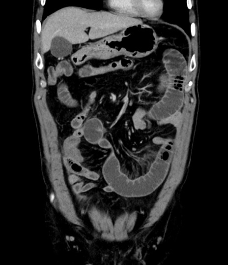
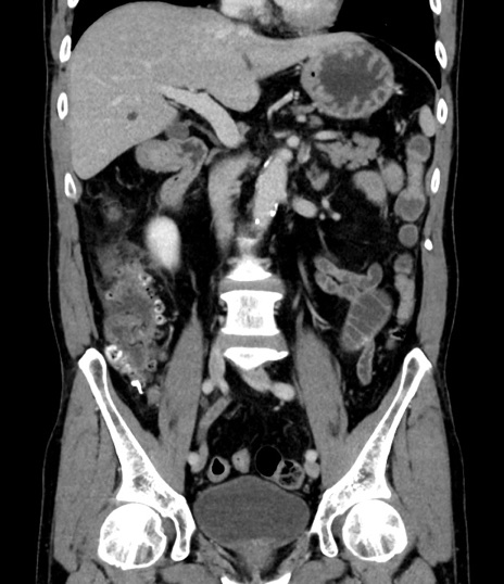
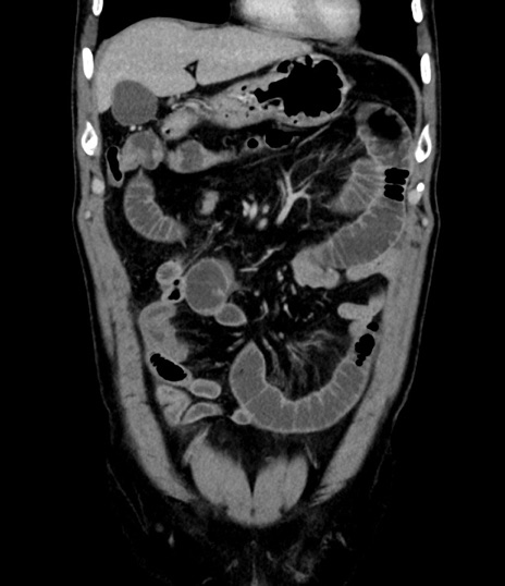
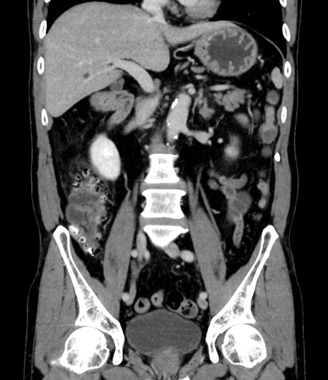
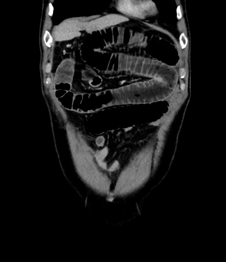
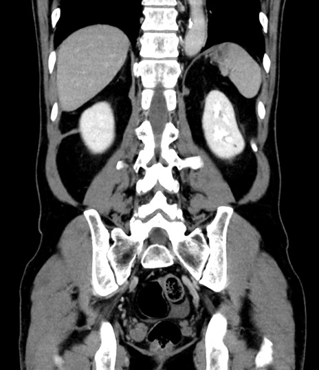
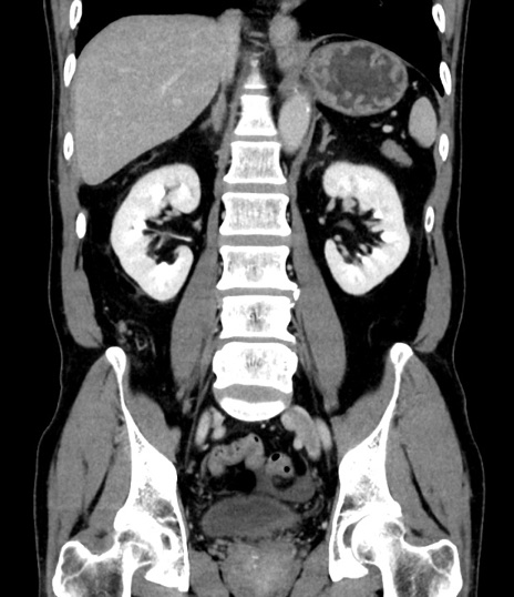
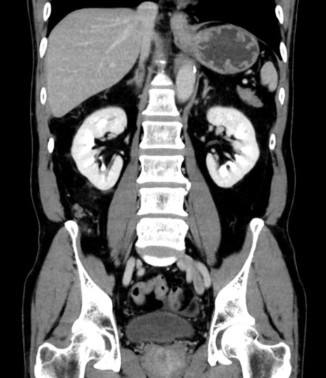
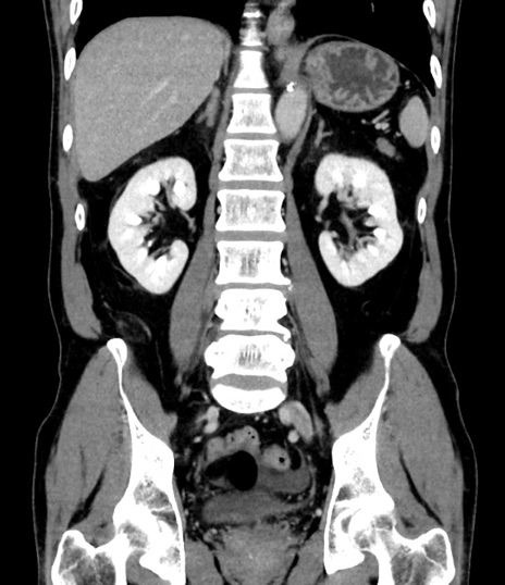
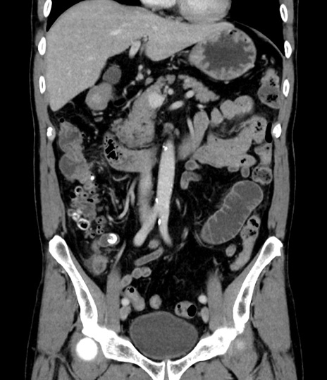
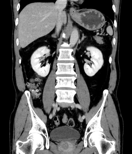
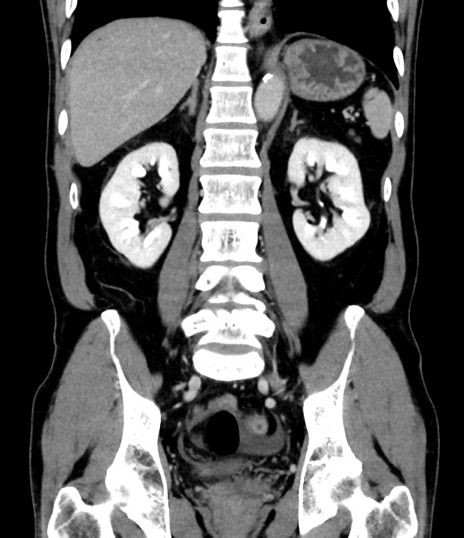
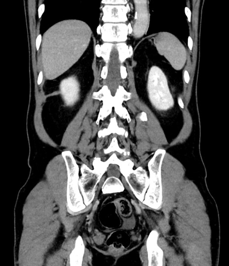
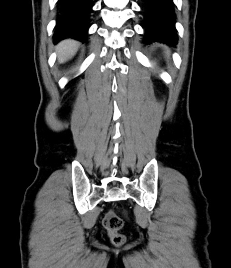
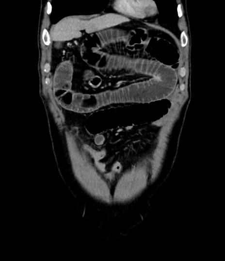
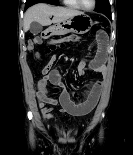
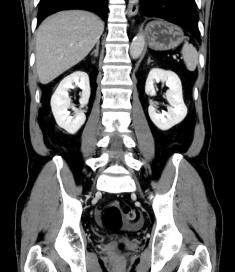
症例8(冠状断像)

 

症例

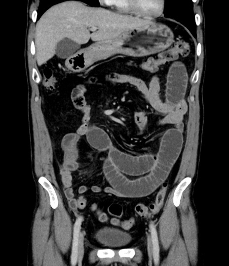
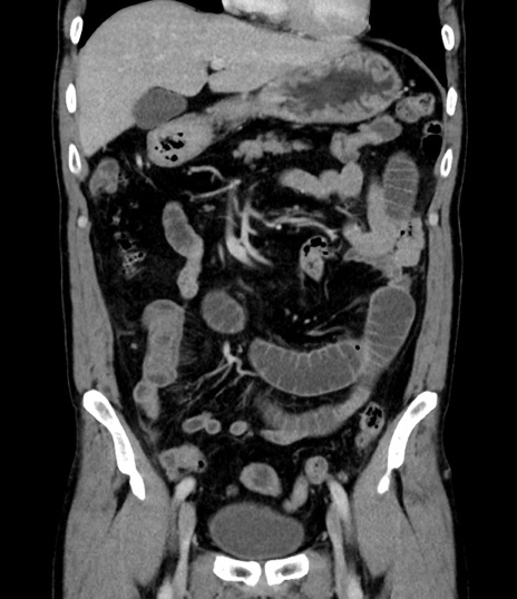
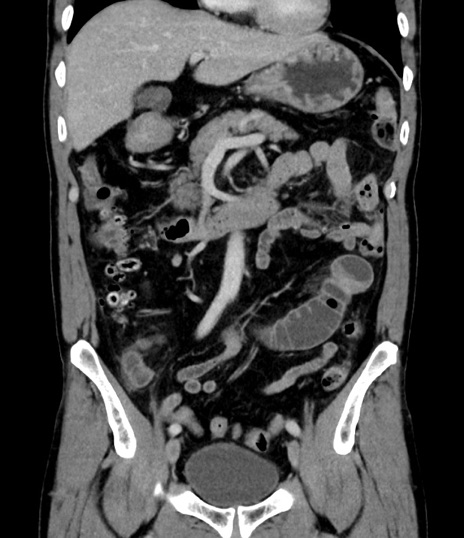
【症例】 60歳代男性
【主訴】 黒色吐物
【現病歴】 4日前から嘔気自覚、2日前の朝食後にも嘔気あり、自分で手で嘔吐反射起こし嘔吐したところ血が混ざっていたため受診。
【既往歴】 5年前汎発性腹膜炎を伴う急性虫垂炎で手術、高血圧、前立腺肥大症、高脂血症
【身体所見】 腹部正中に手術癩痕あり 腹部平坦・軟圧痛なし膨満感あり
【データ】WBC 8400、CRP 4.54

横断像