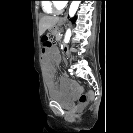
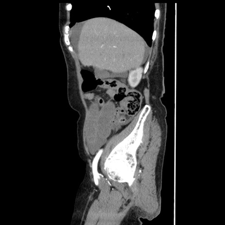
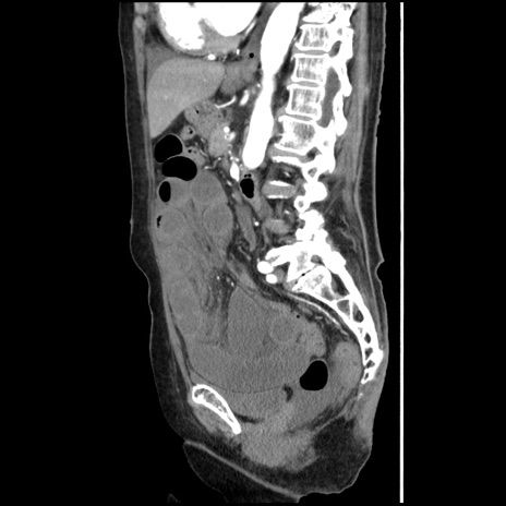
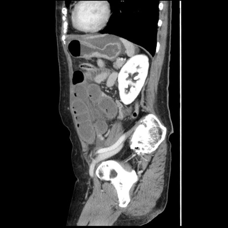
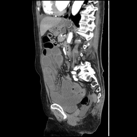
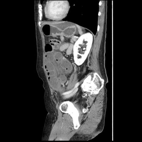
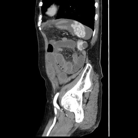
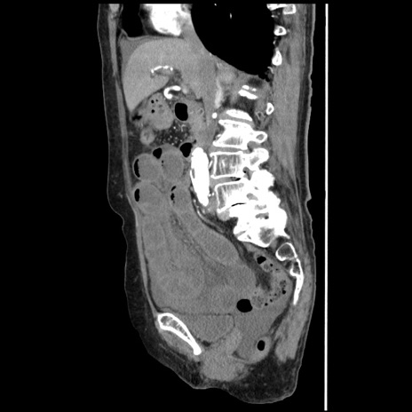
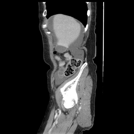
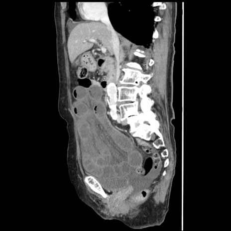
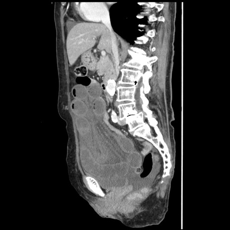
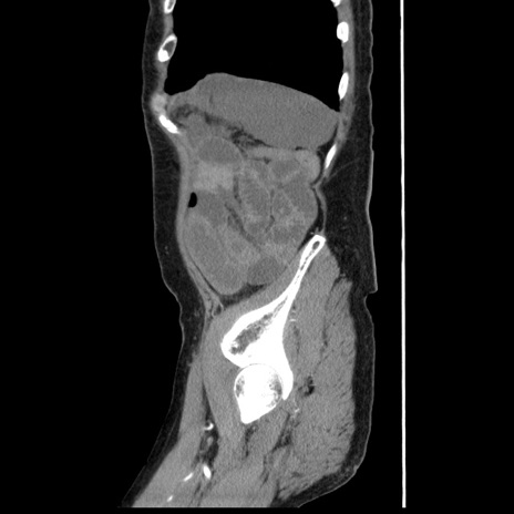
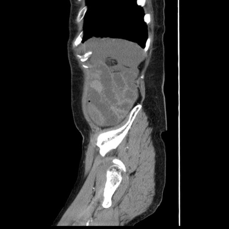
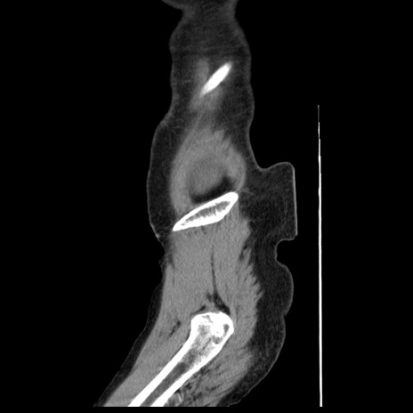
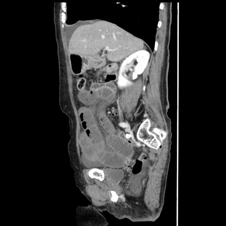
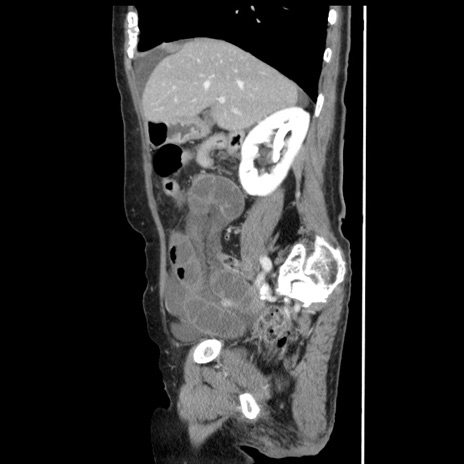
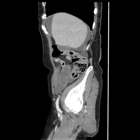
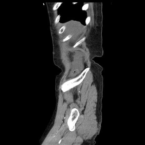
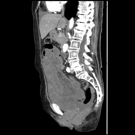
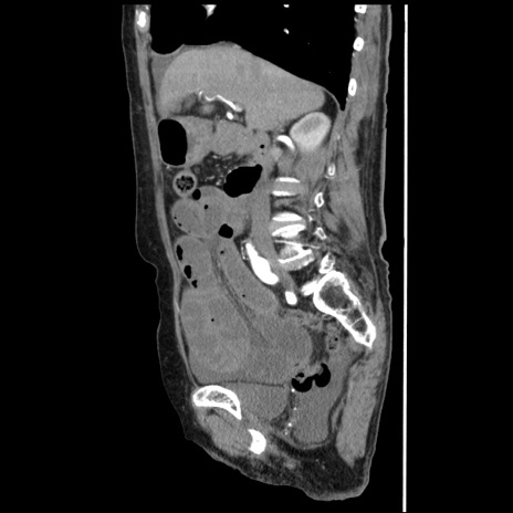
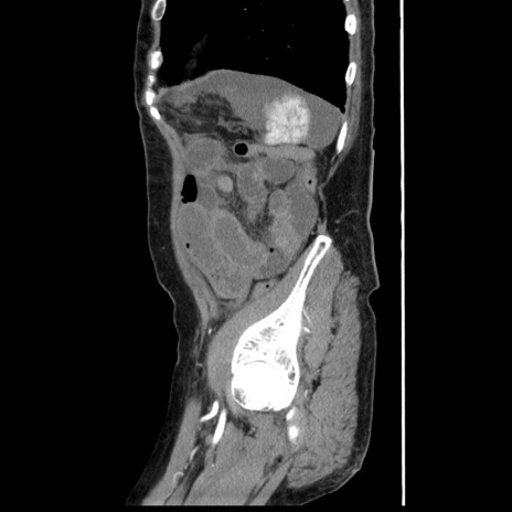
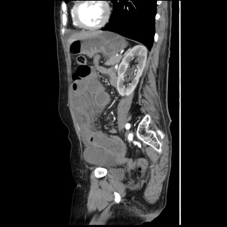
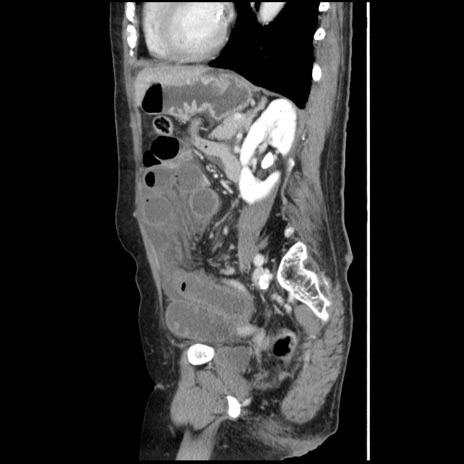
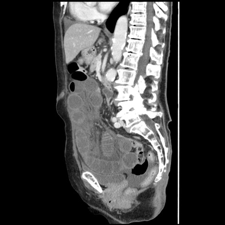
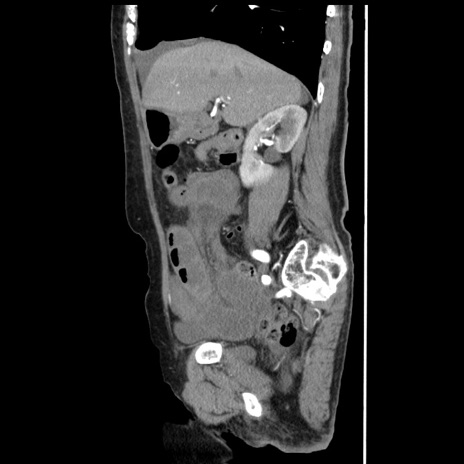
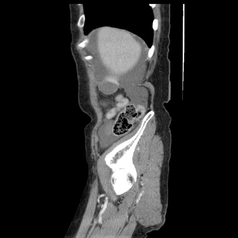
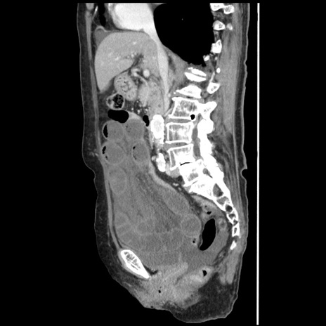
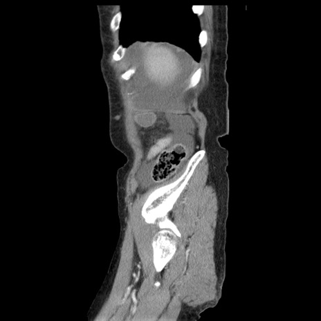
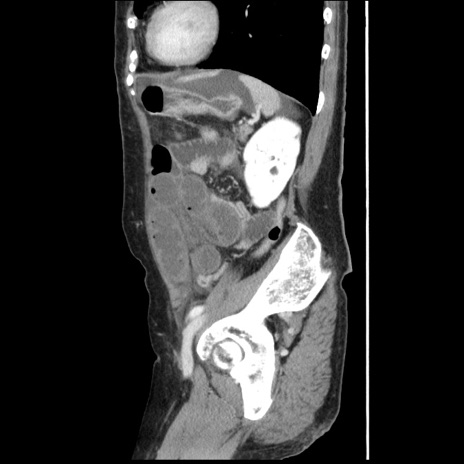
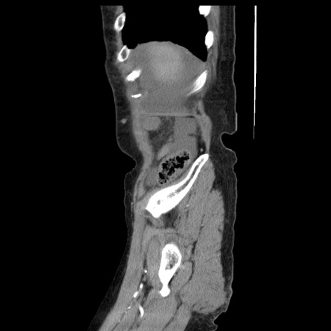
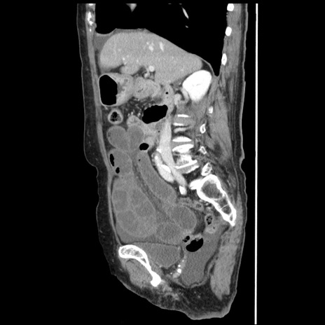
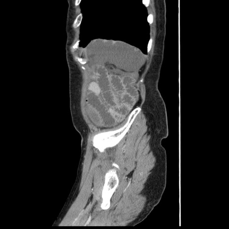
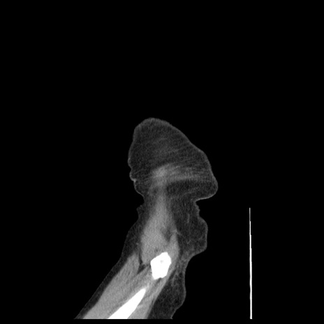
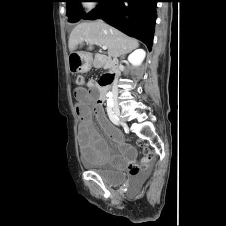
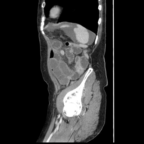
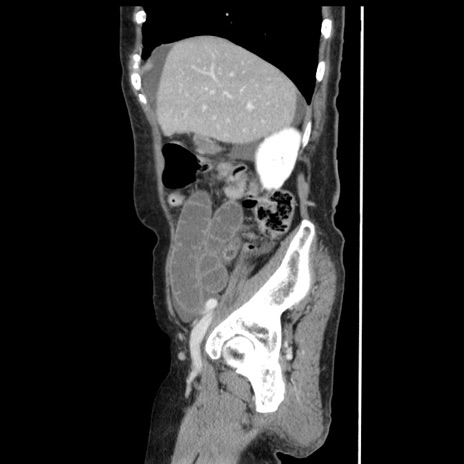
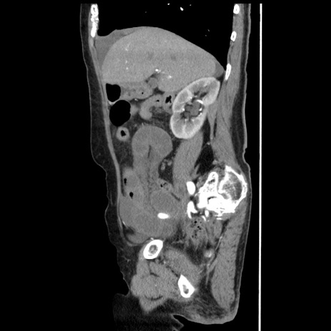
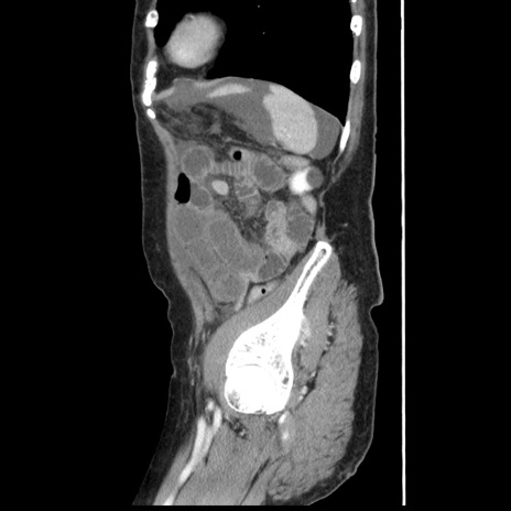
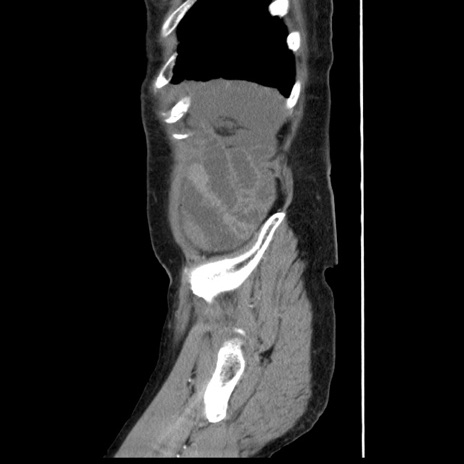
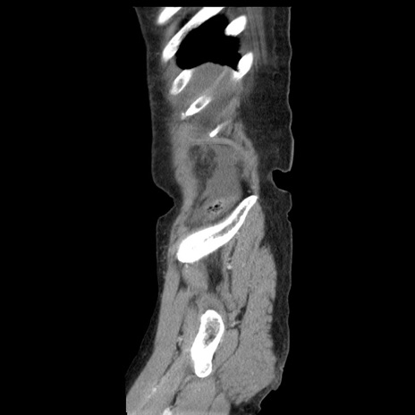
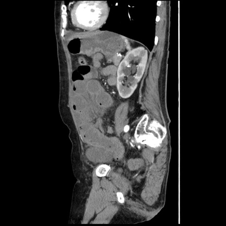
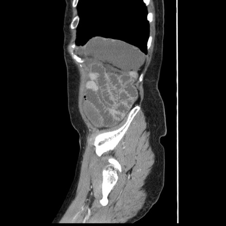
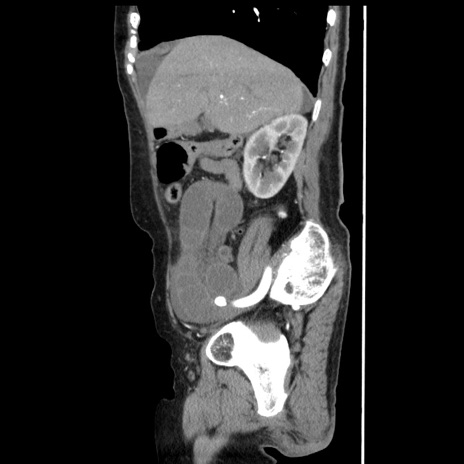
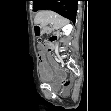
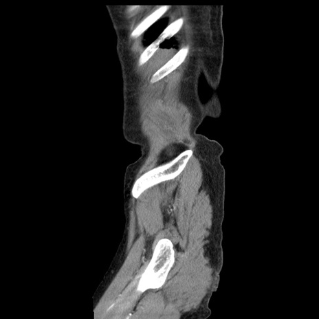
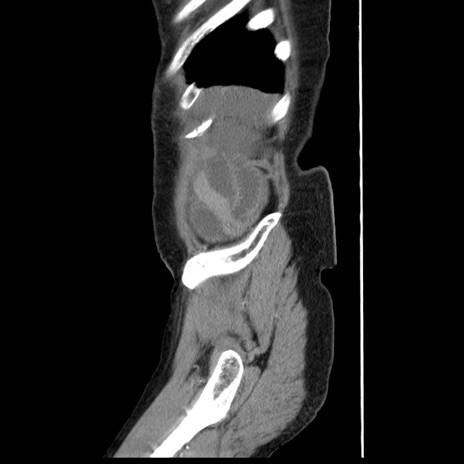
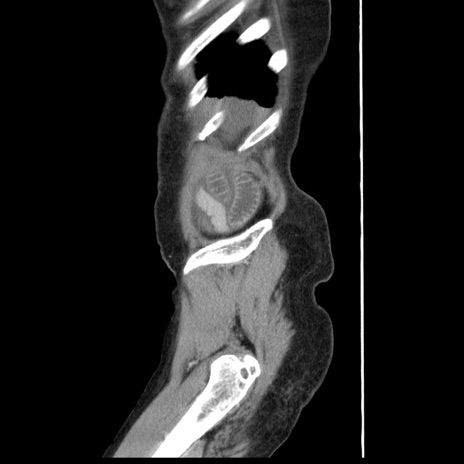
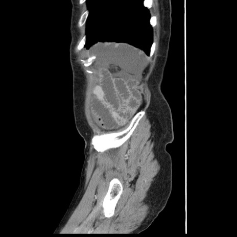
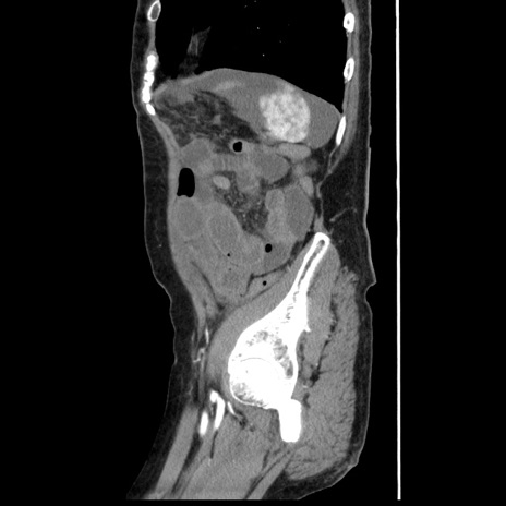
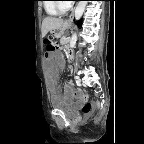
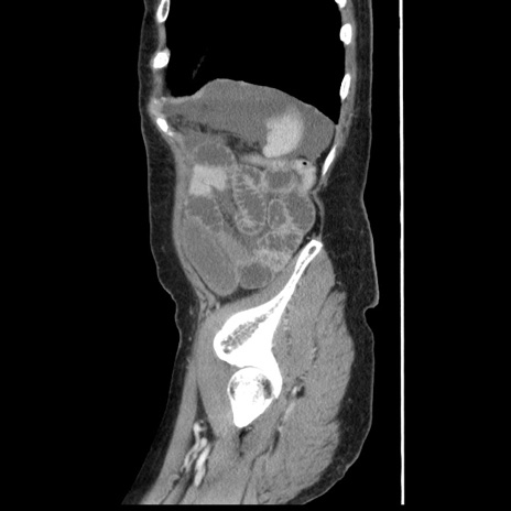
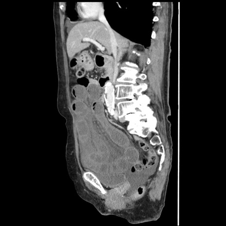
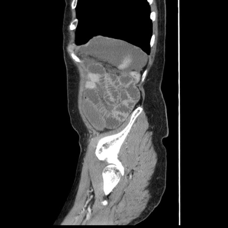
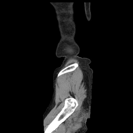
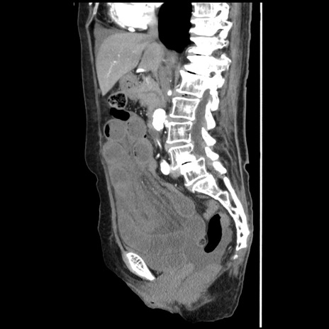
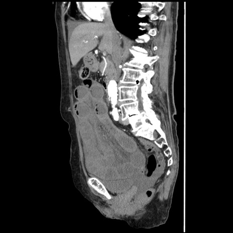
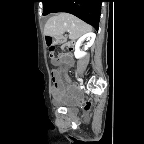
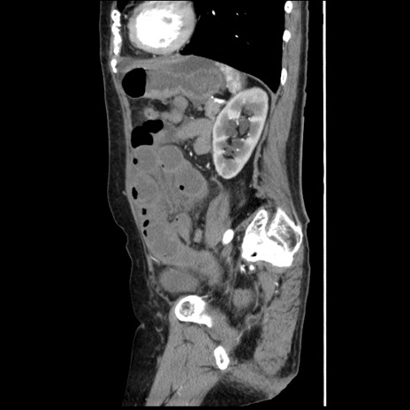
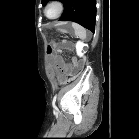
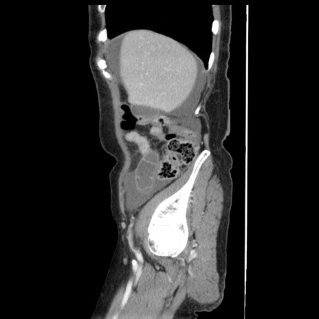
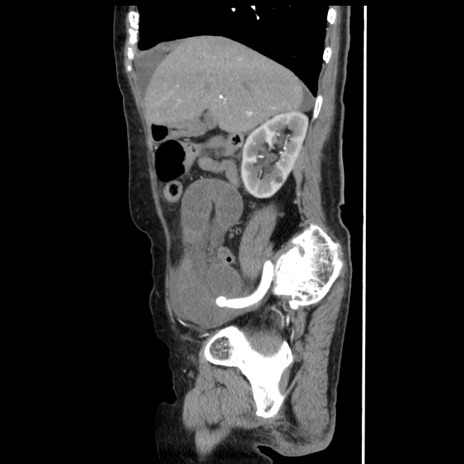
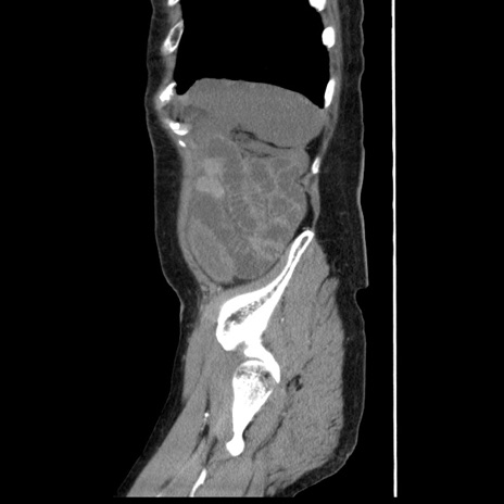
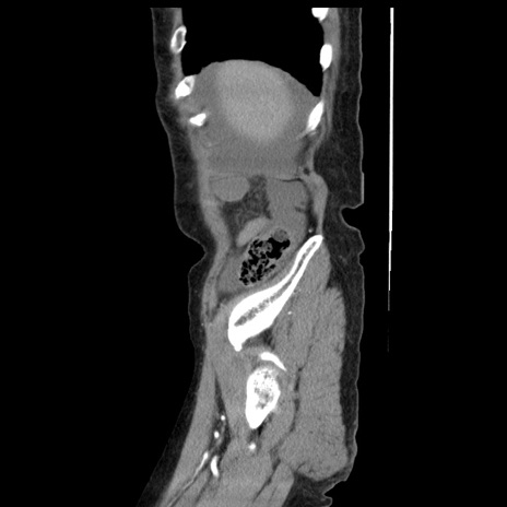
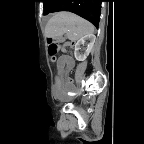
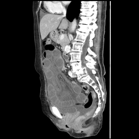
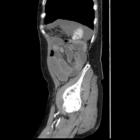
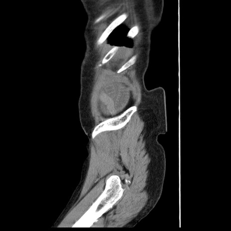
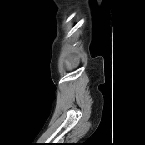
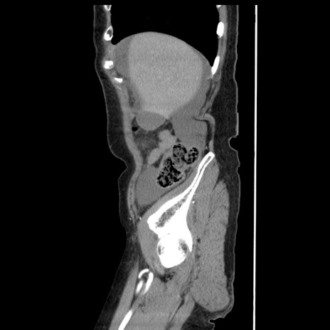
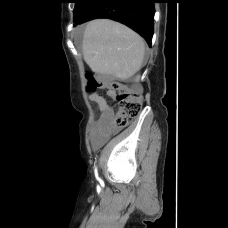
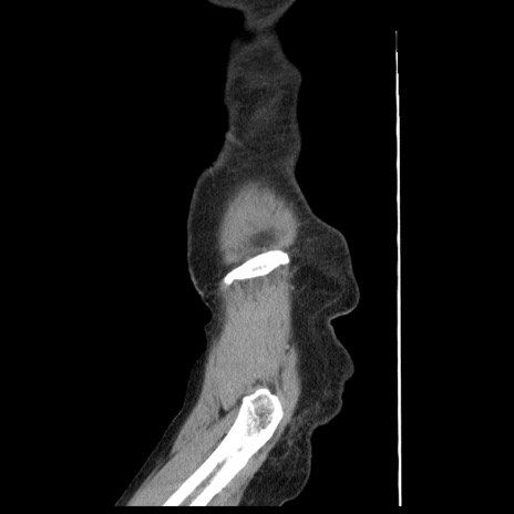
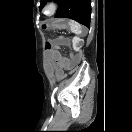
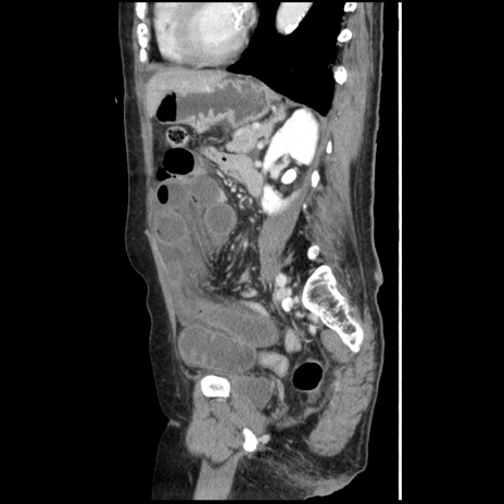
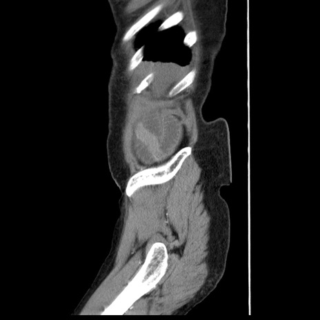
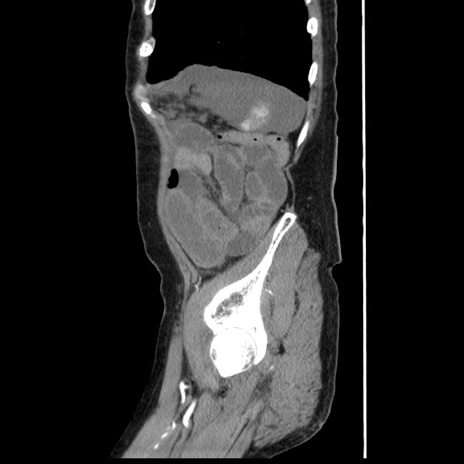
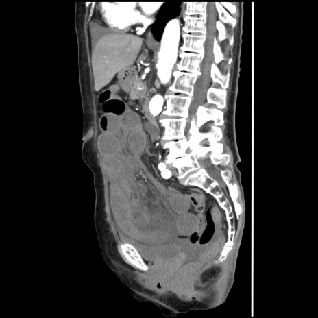
症例1(矢状断像)

 

症例

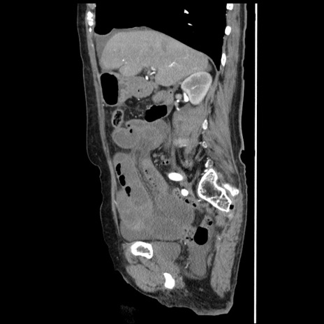
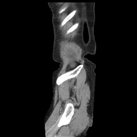
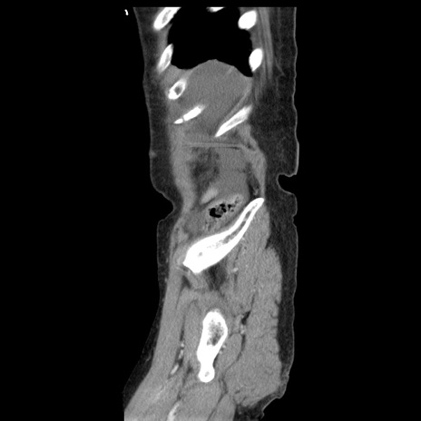
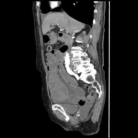
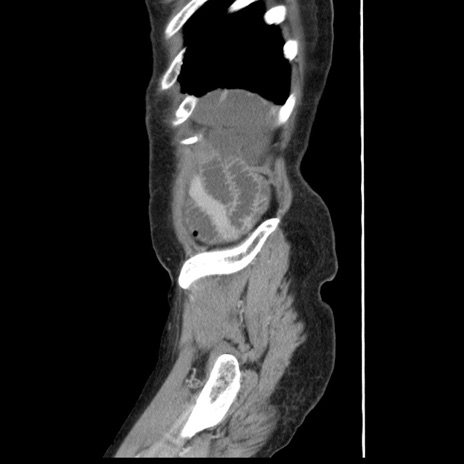
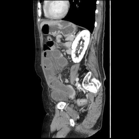
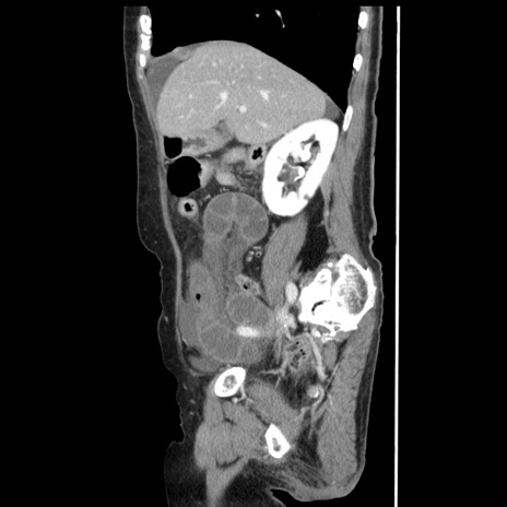
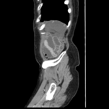
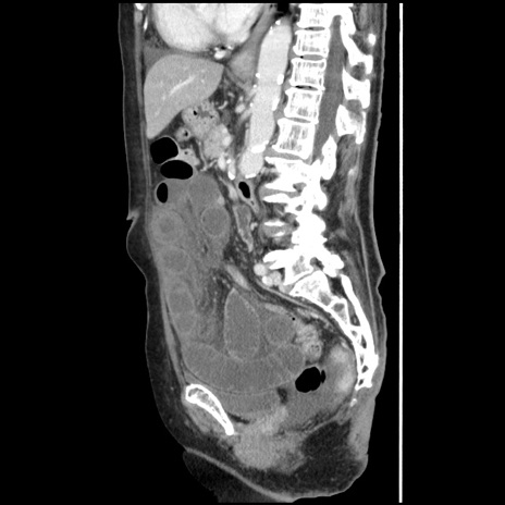
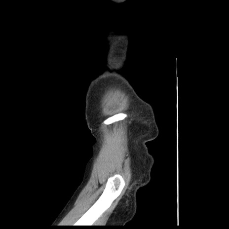
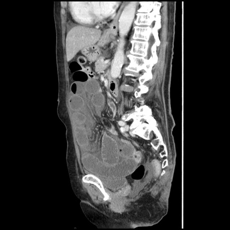
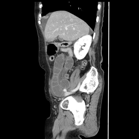
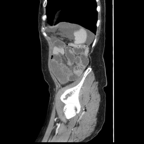
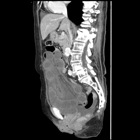
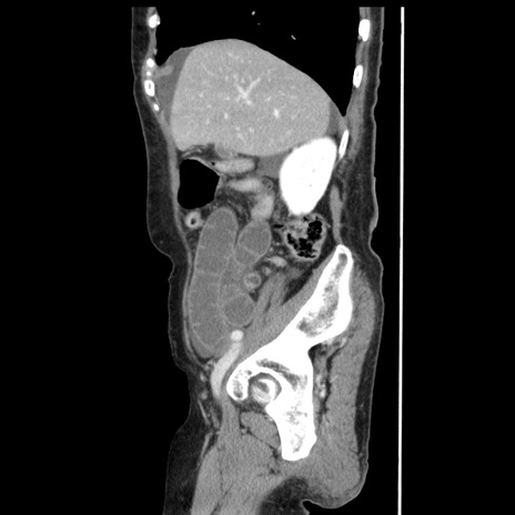
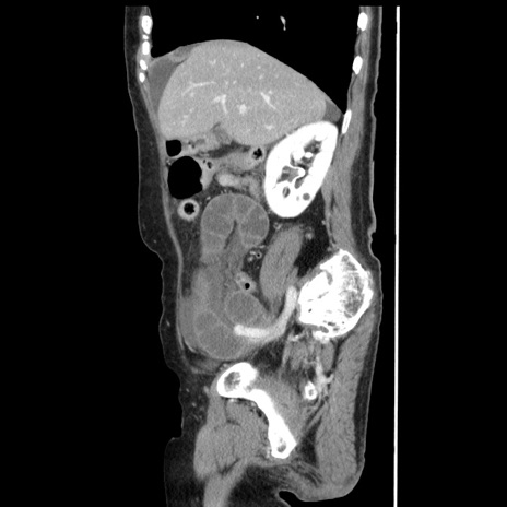
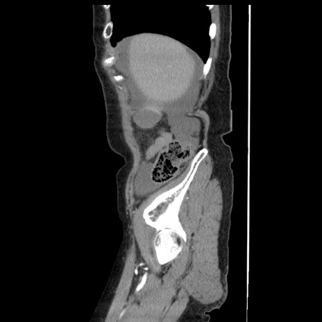
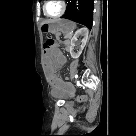
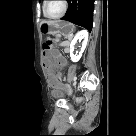
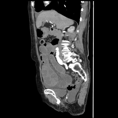
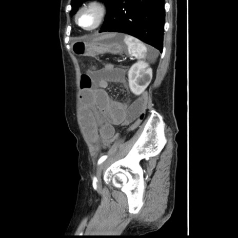
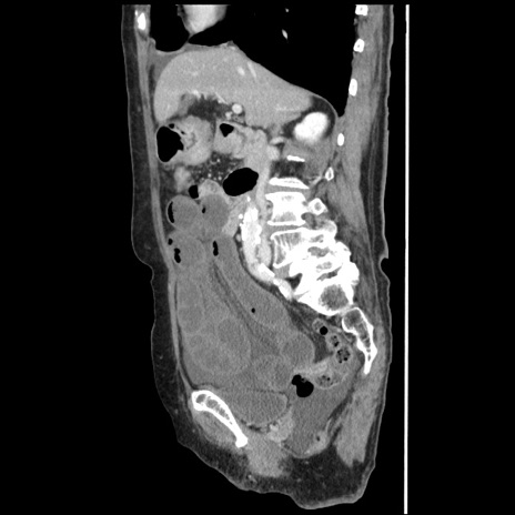
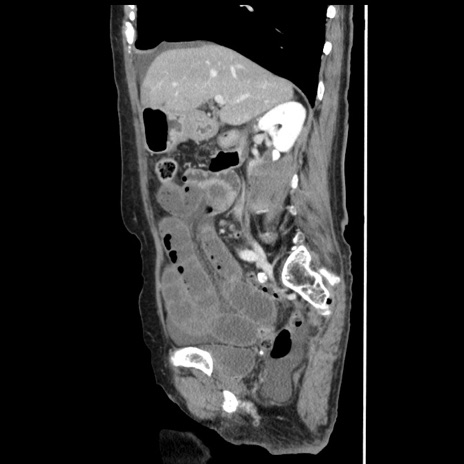
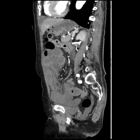
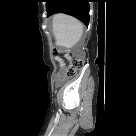
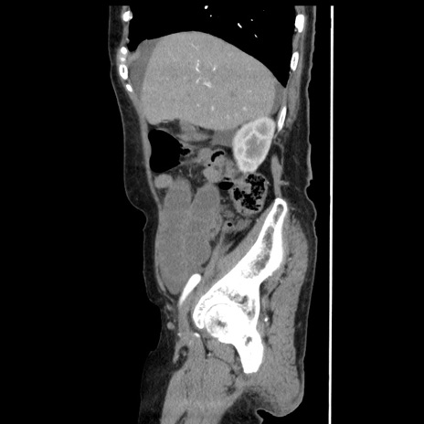
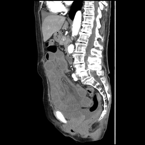
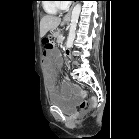
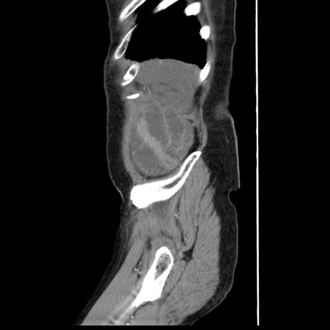
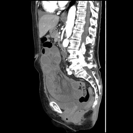
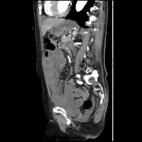
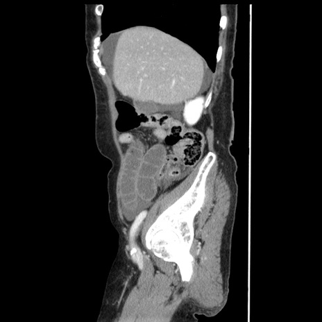
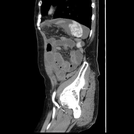
【症例】80歳代女性
【主訴】腹痛
【現病歴】8時間前から腹痛あり来院。
【既往歴】糖尿病、脂質異常症、子宮体癌にて子宮全摘術
【身体所見】意識清明・会話良好だが腹痛で苦悶様、全腹部にわたって反跳痛と圧痛あり
【データ】WBC 13600、CRP 0.14、LDH 224、CK 90

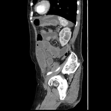
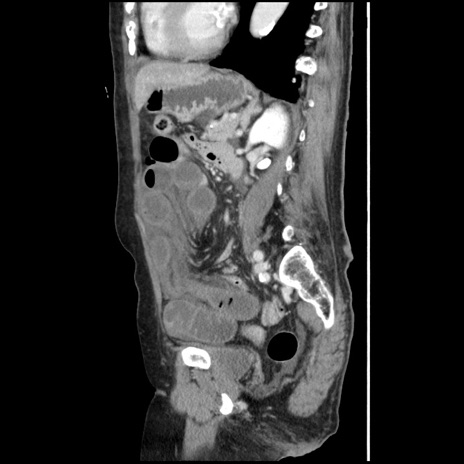
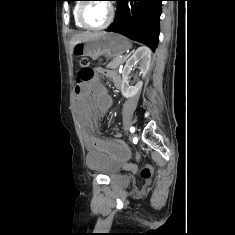
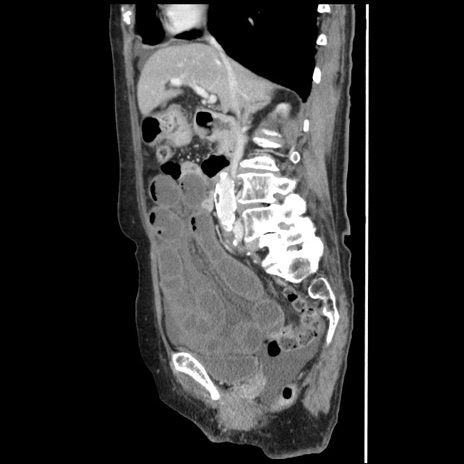
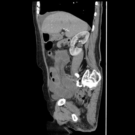
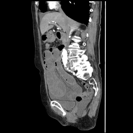
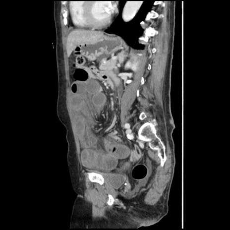
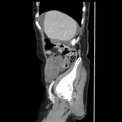
横断像
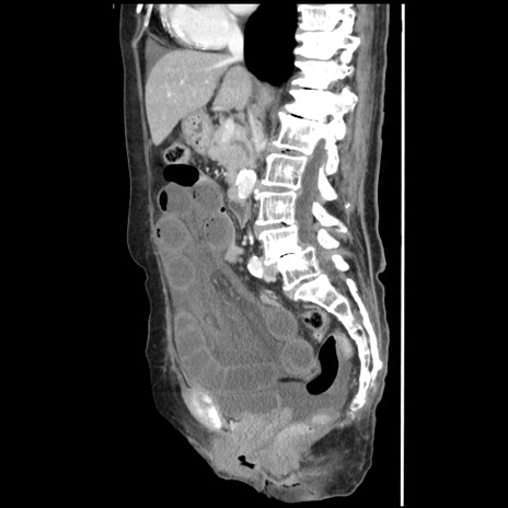
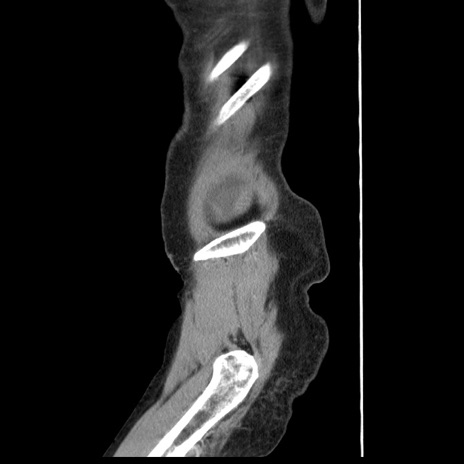
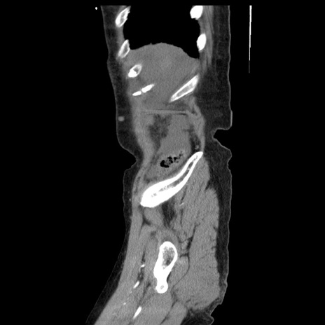
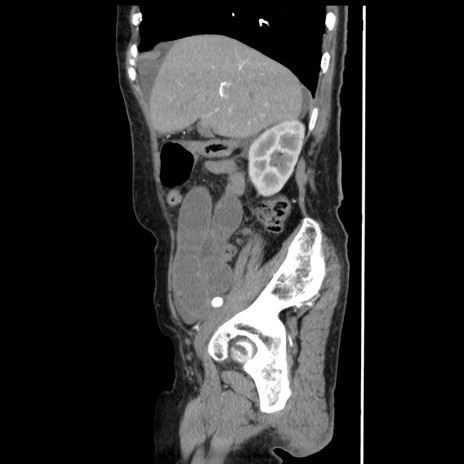
冠状断像