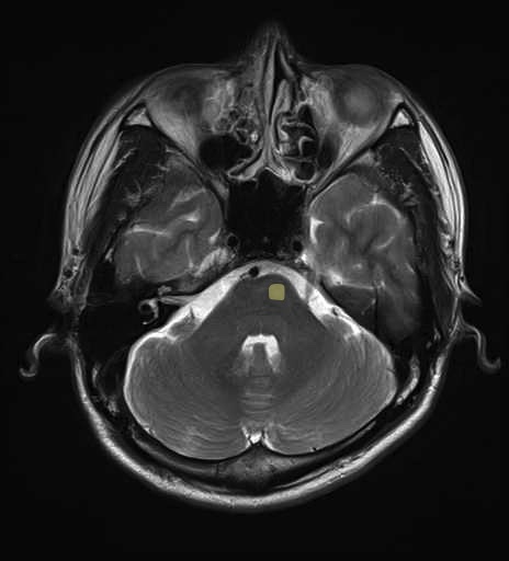
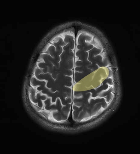
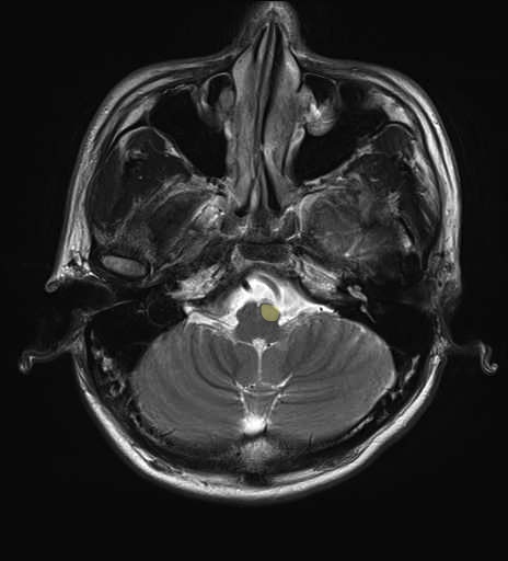
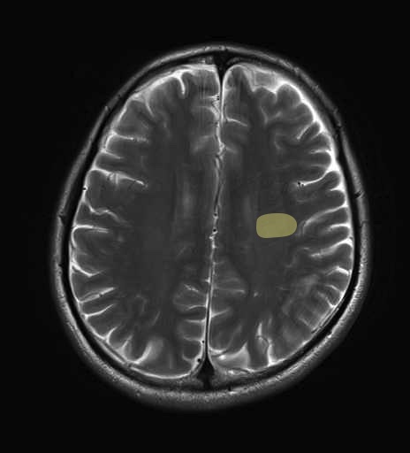
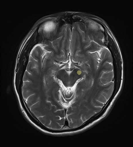
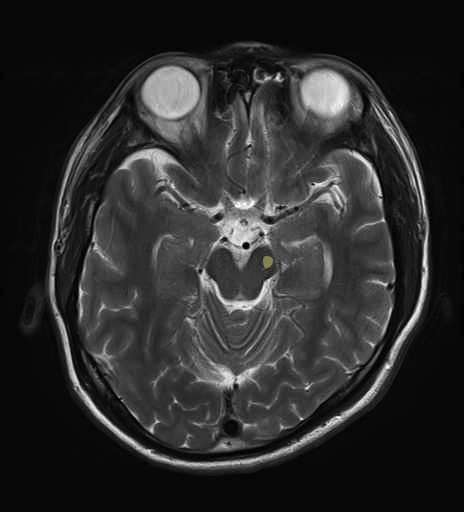
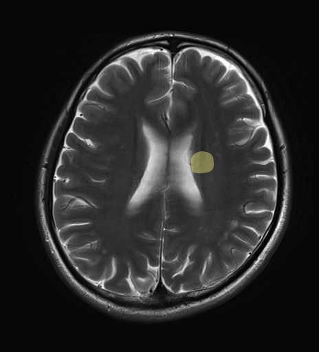
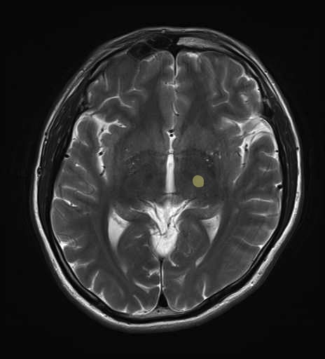
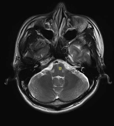
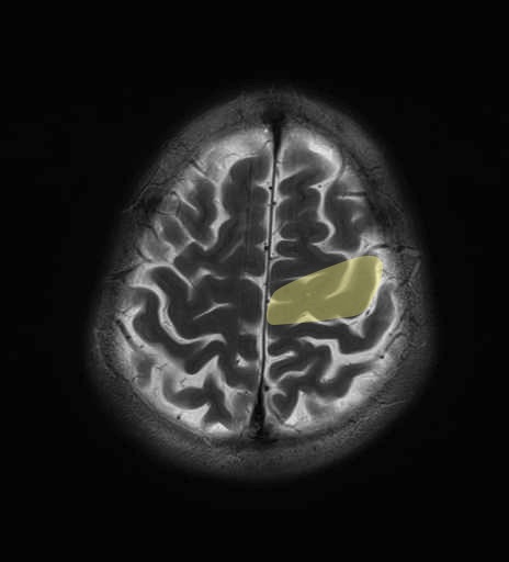
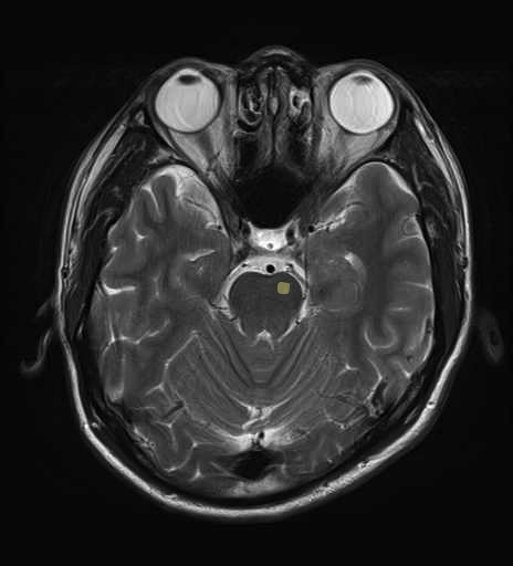
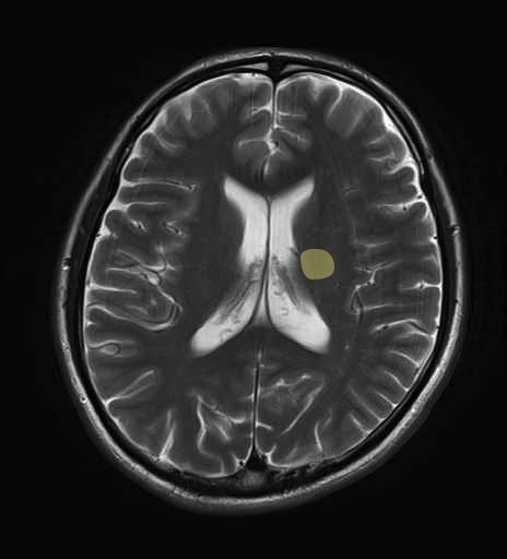
錐体路・皮質脊髄路のMRI画像解剖
△
▽
+
ー
症例
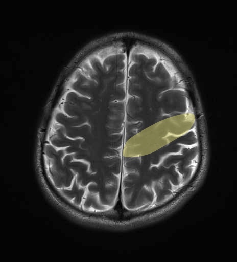
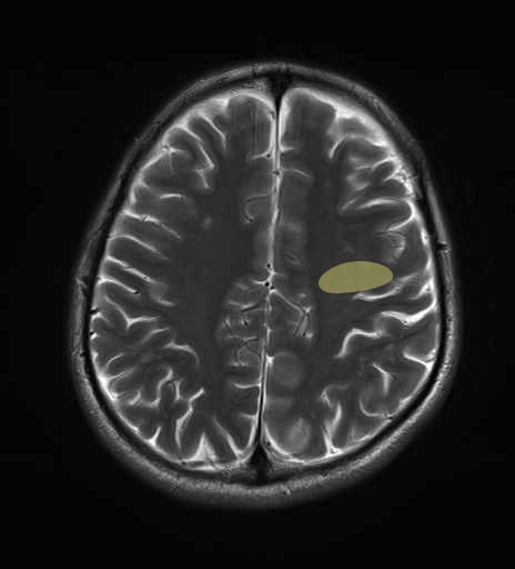
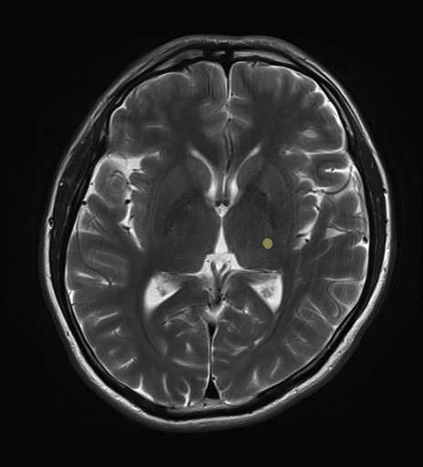
運動系 錐体路系に色を付けました。
■皮質脊髄路(いわゆる錐体路):一次運動野から脊髄遠隔の下位運動ニューロン細胞体まで
■皮質核路:一次運動野から橋及び脊髄神経核まで