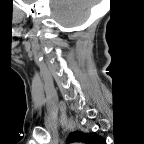
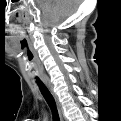
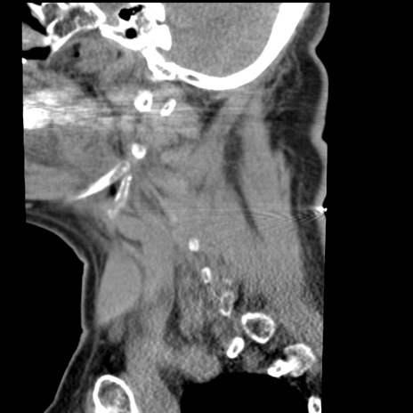
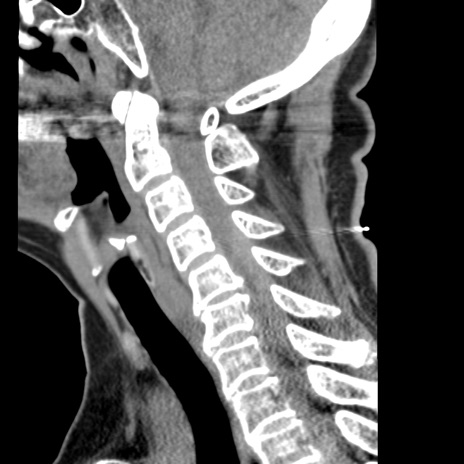
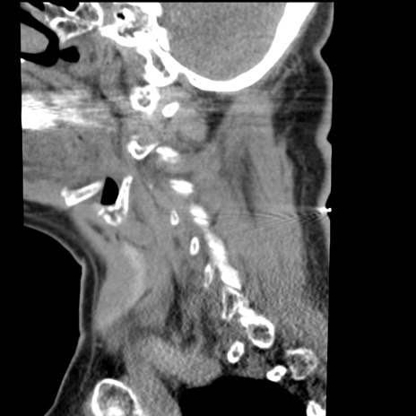
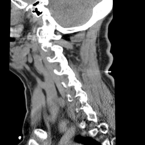
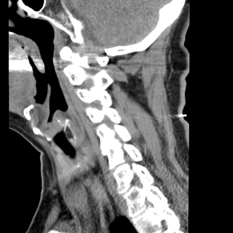
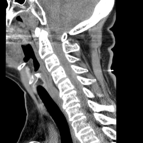
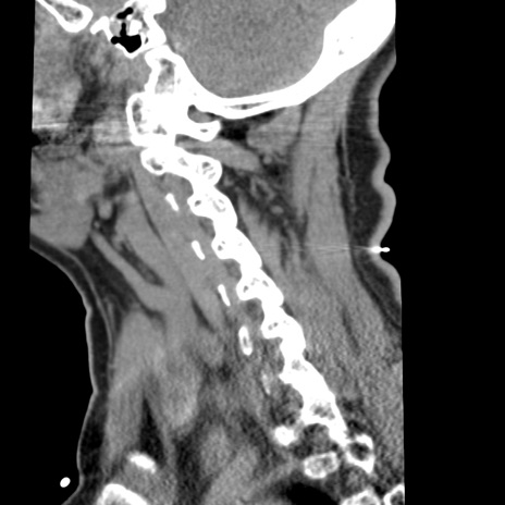
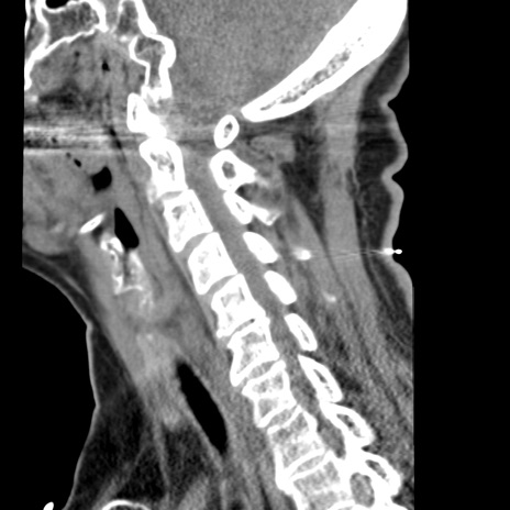
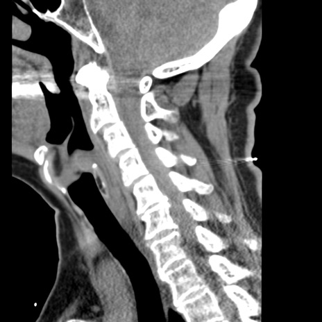
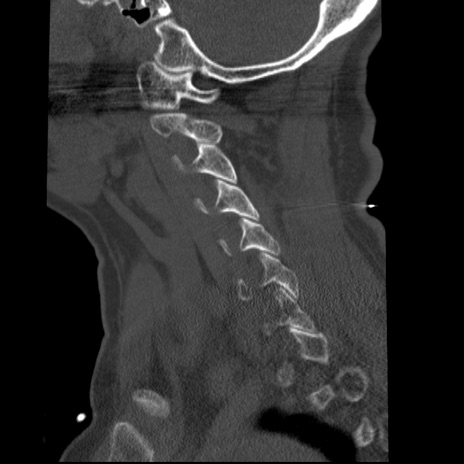
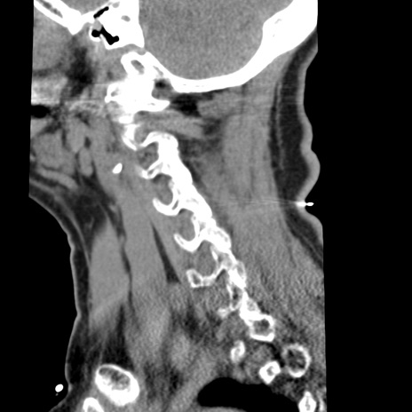
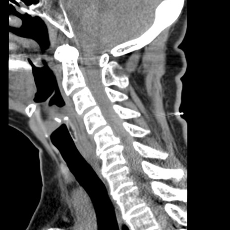
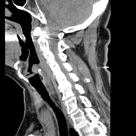
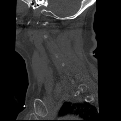
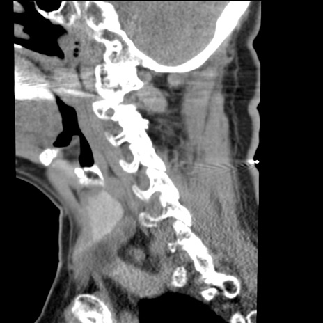
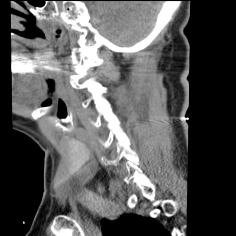
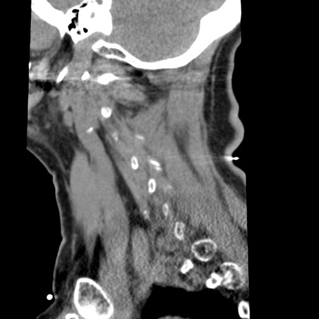
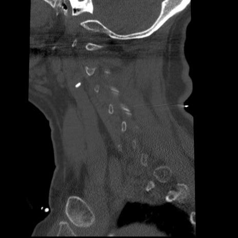
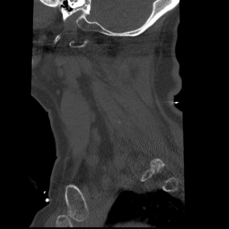
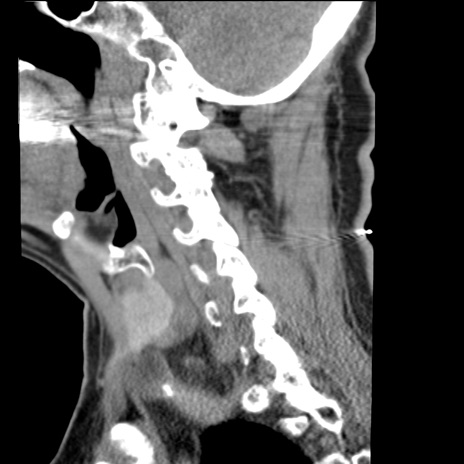
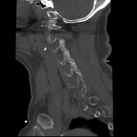
症例50 頚椎CT(矢状断像)

 

症例

【症例】60歳代女性
【主訴】後頭部〜右後頸部にかけての痛み
【現病歴】本日飲食店でコーヒーを飲んでいたところ、突然後頭部〜右後頸部にかけて痛みが出現し、右上肢の感覚障害を伴ったため救急要請。
【身体所見】脳神経学的に明らかな異常所見を認めず。右上肢に軽度の感覚障害あり。

異常所見と診断は?

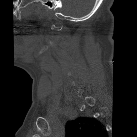
頚椎CT
横断像
冠状断像