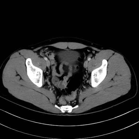
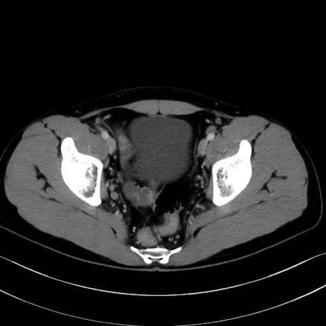
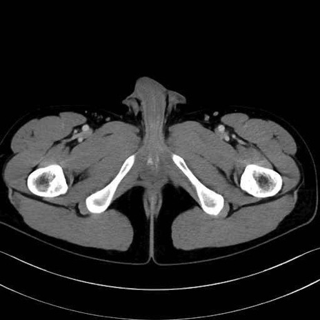
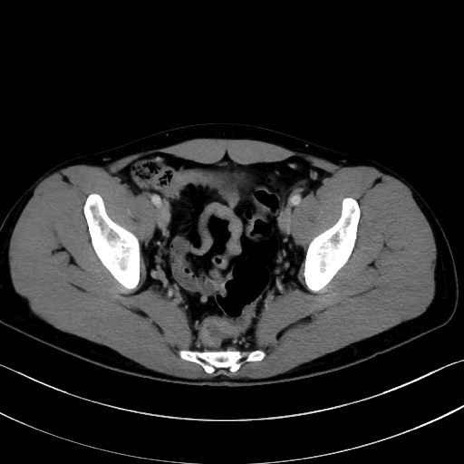
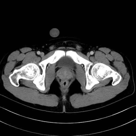
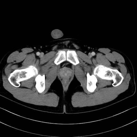
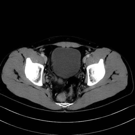
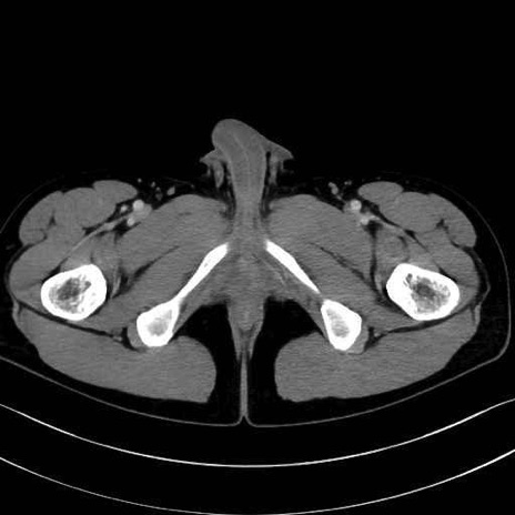
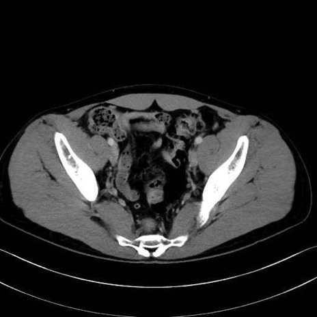
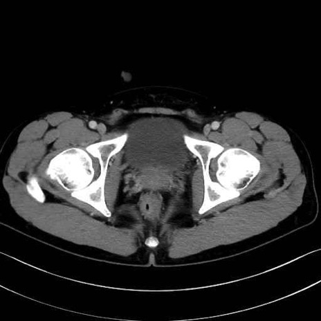
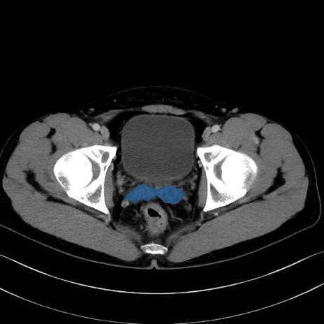
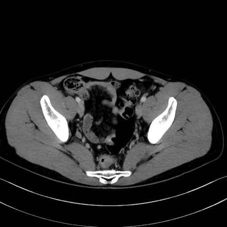
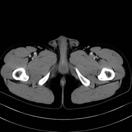
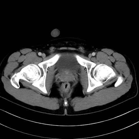
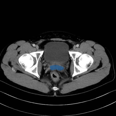
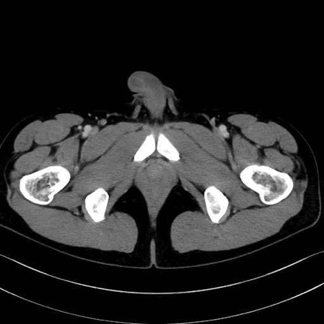
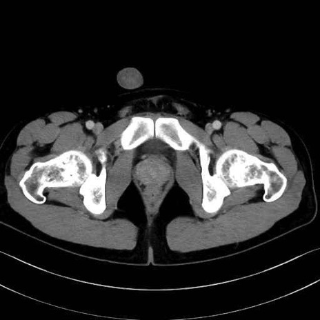
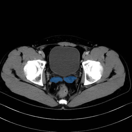
精嚢(seminal vesicle)のCT画像における解剖
△
▽
+
ー
症例
【症例】20歳代 男性 スクリーニング