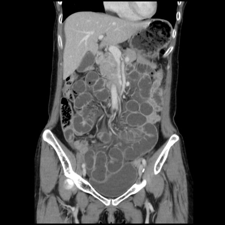
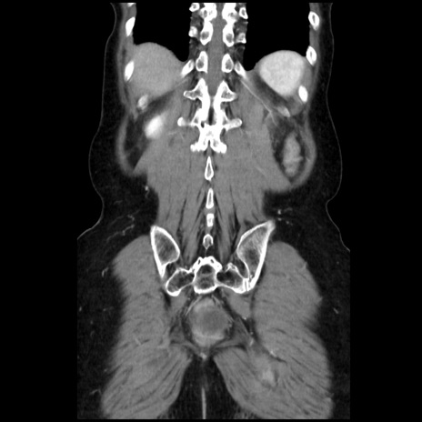
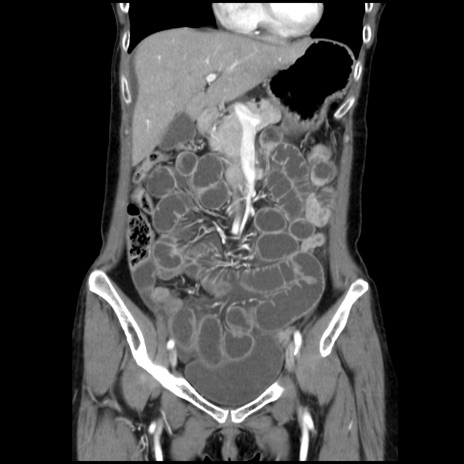
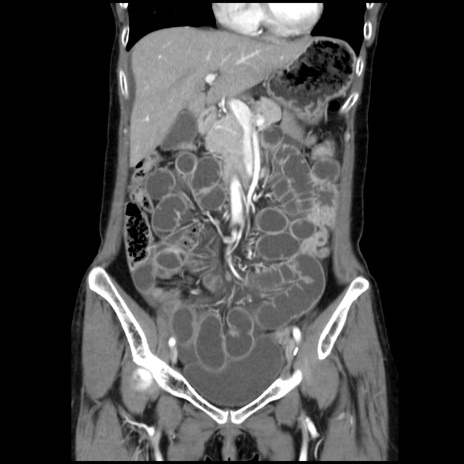
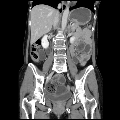
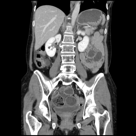
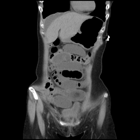
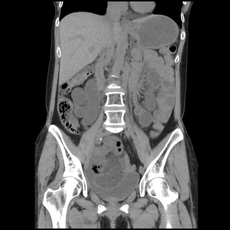
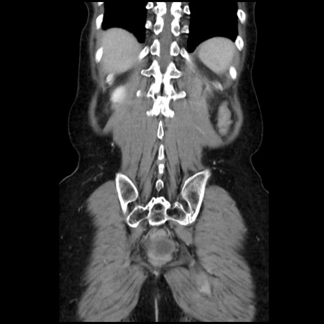
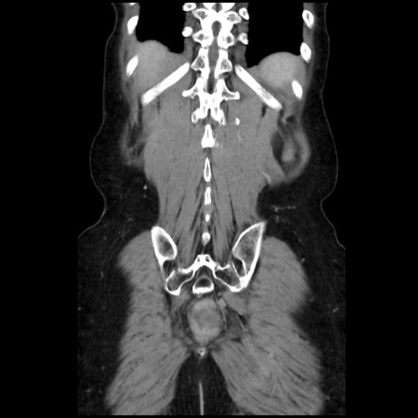
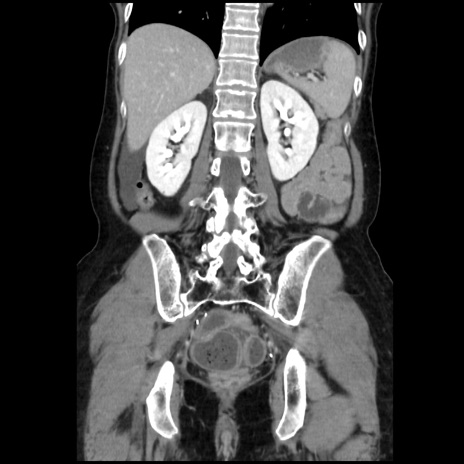
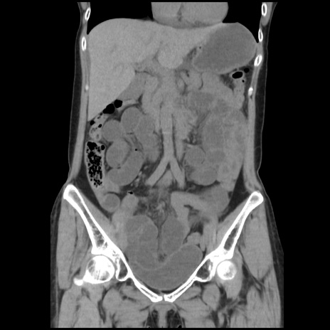
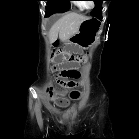
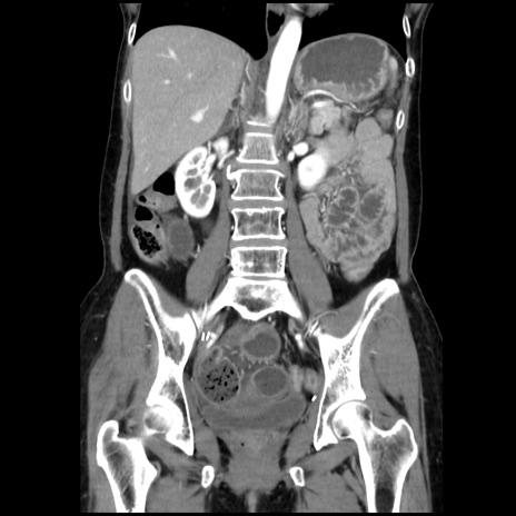
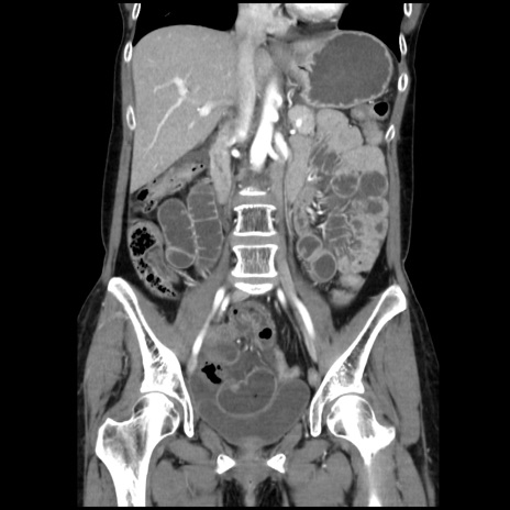
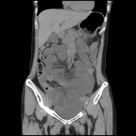
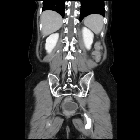
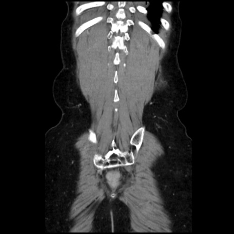
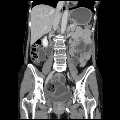
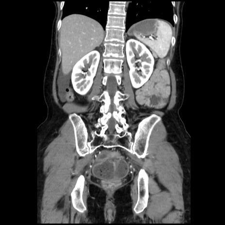
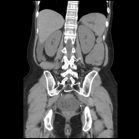
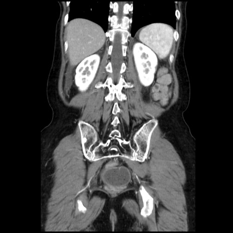
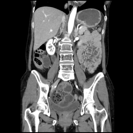
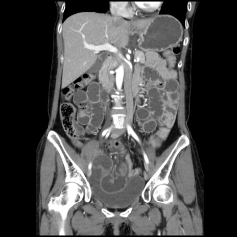
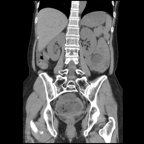
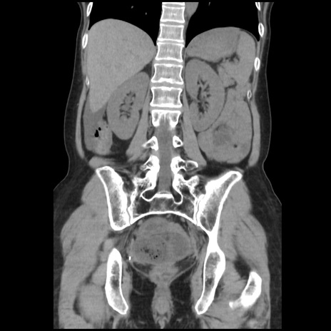
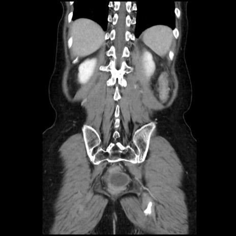
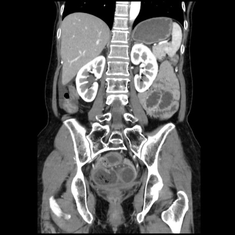
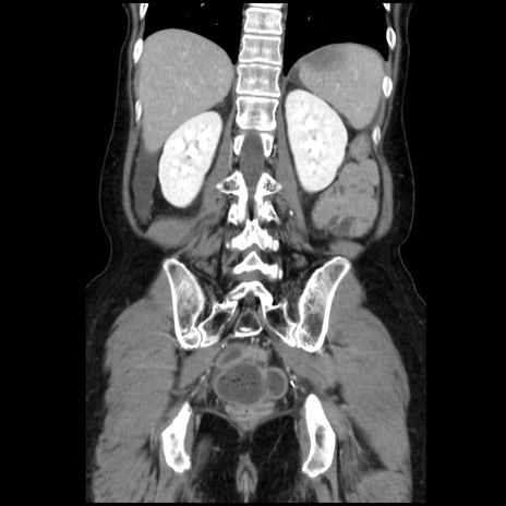
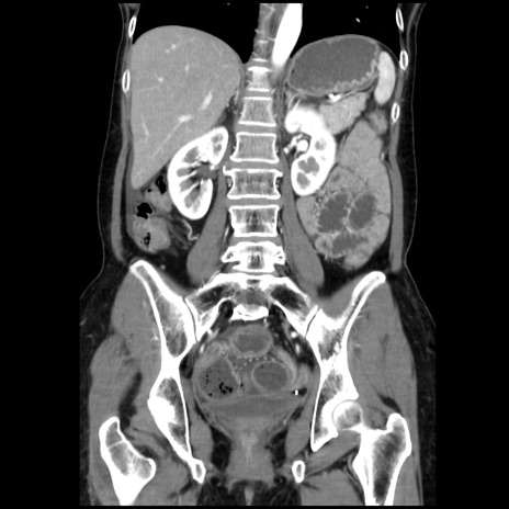
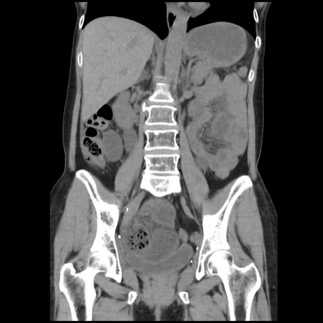
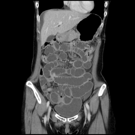
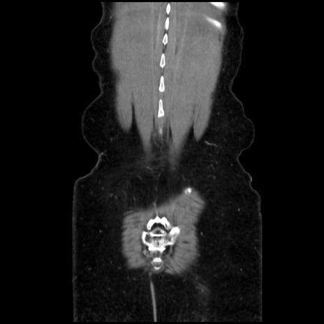
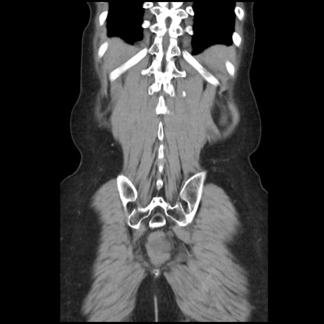
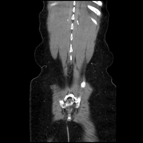
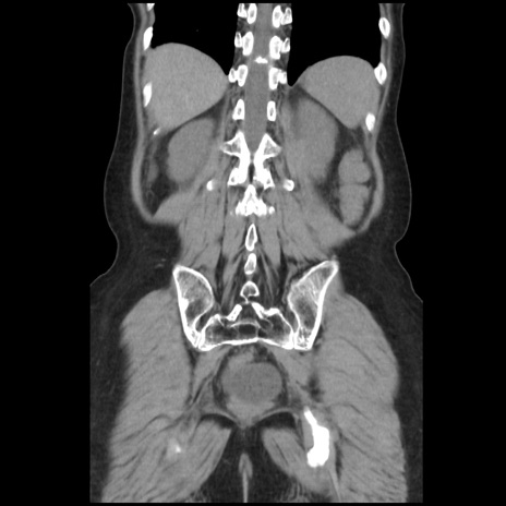
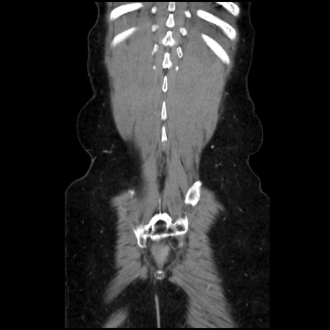
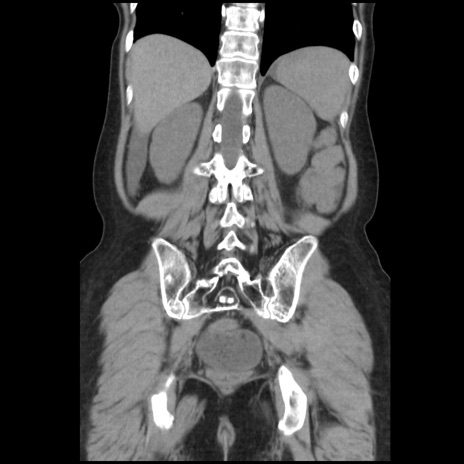
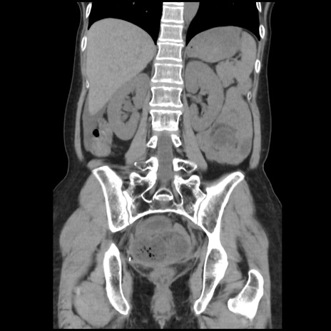
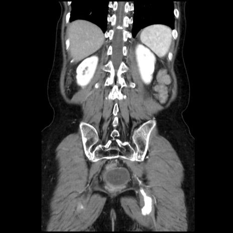
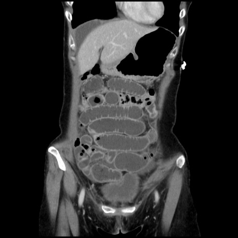
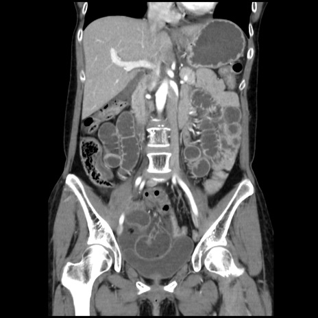
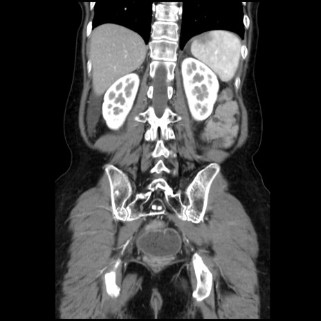
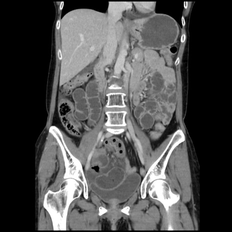
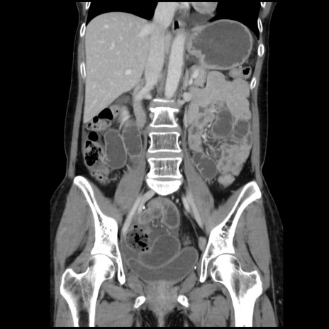
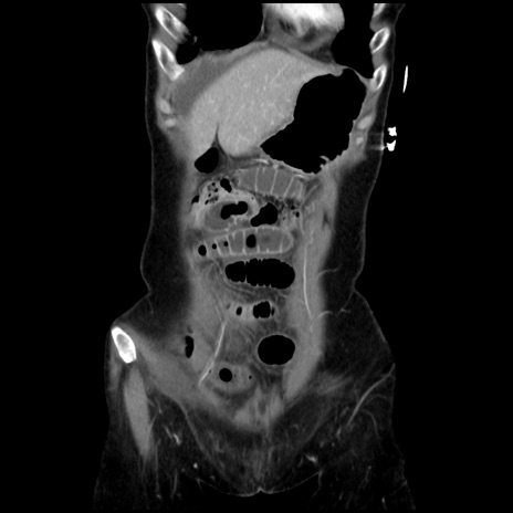
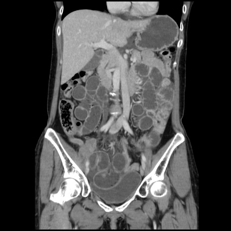
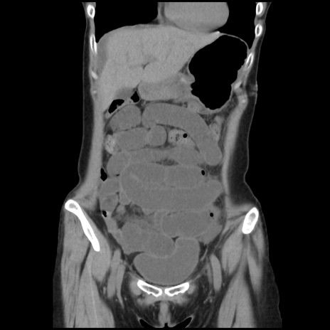
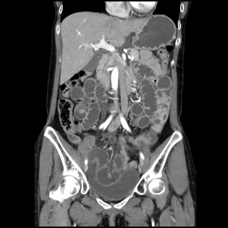
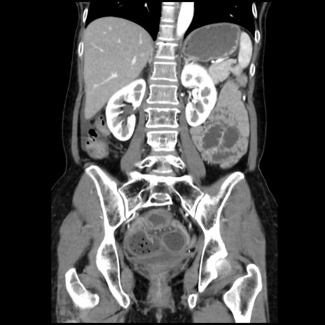
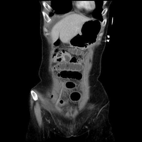
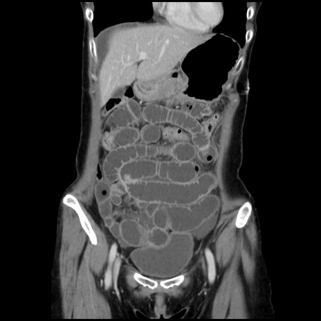
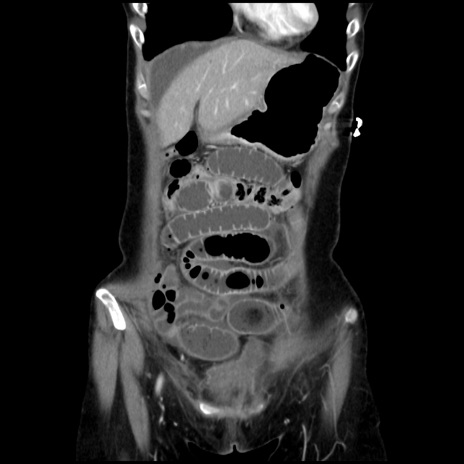
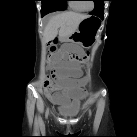
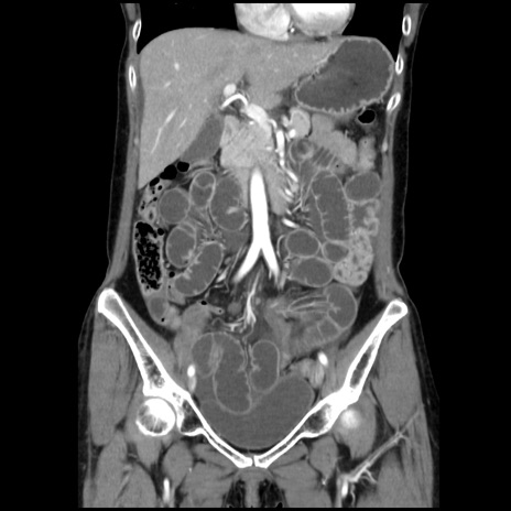
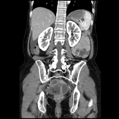
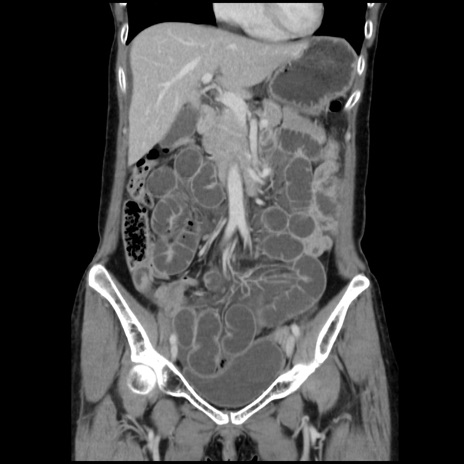
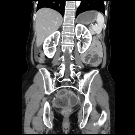
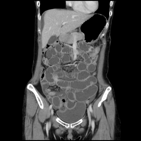
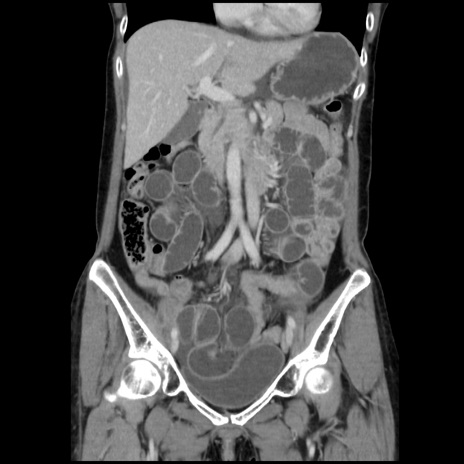
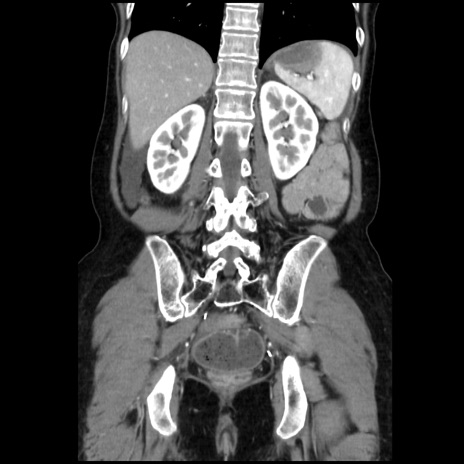
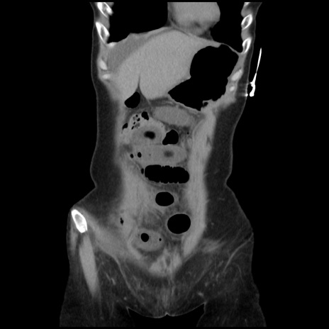
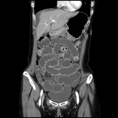
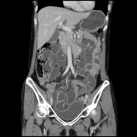
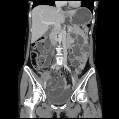
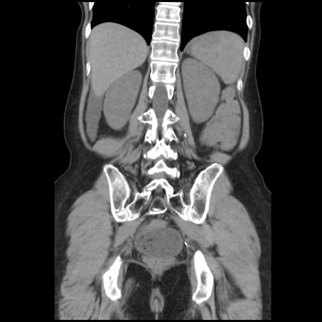
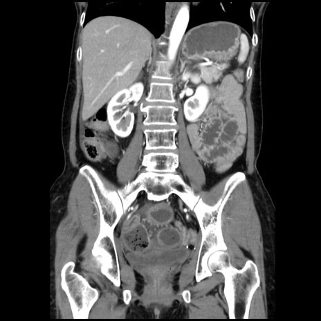
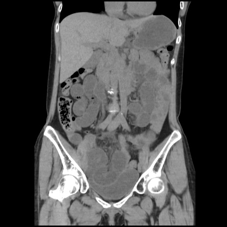
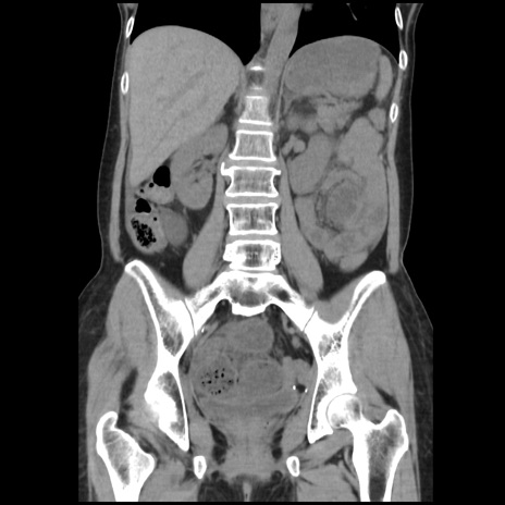
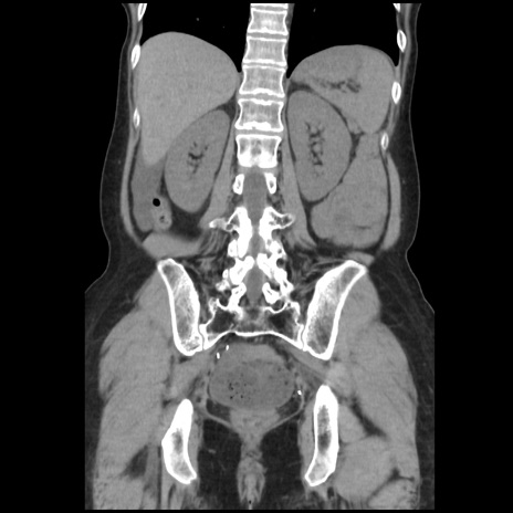
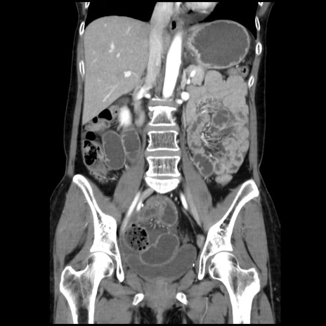
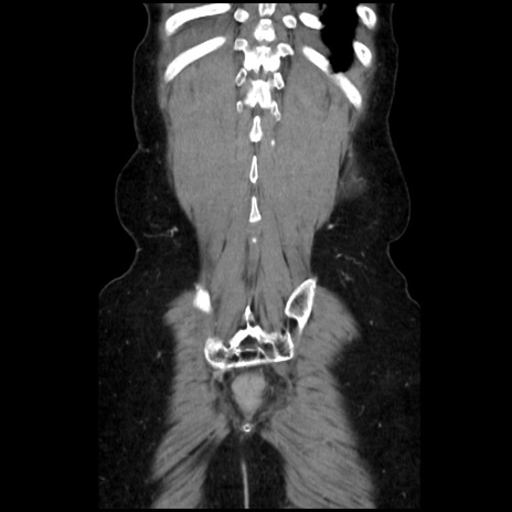
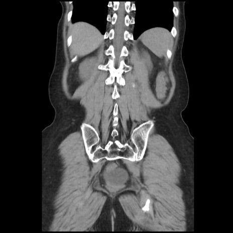
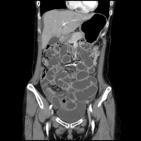
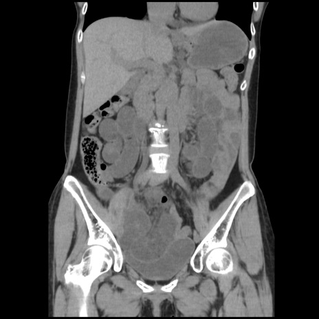
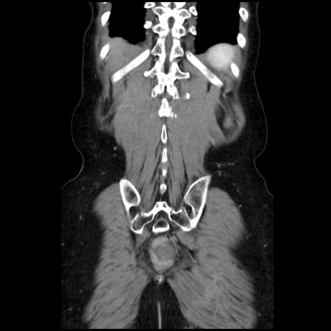
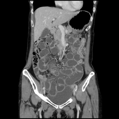
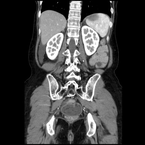
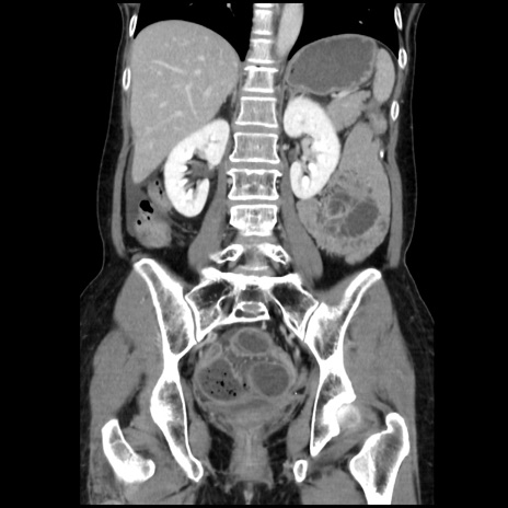
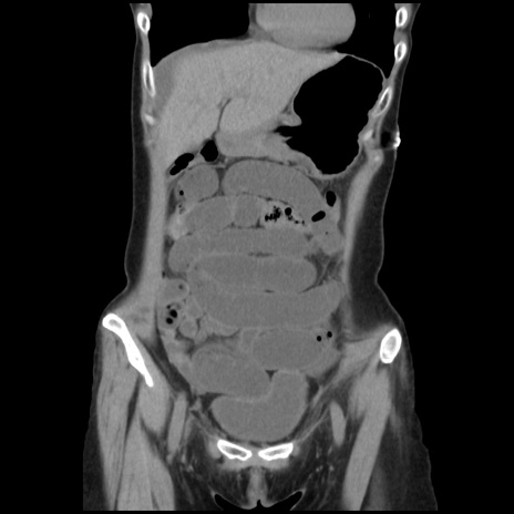
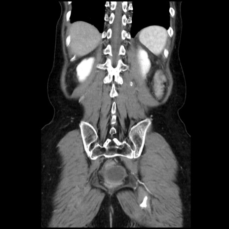
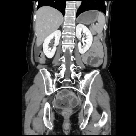
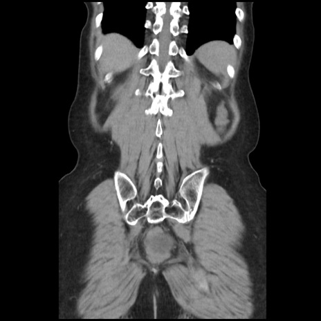
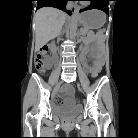
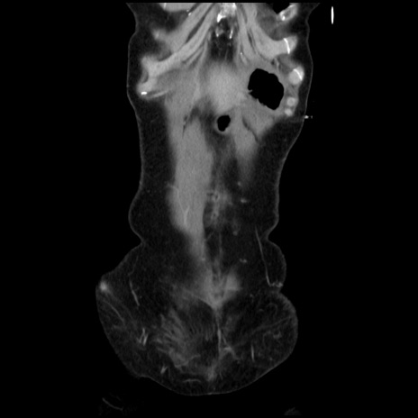
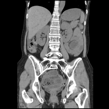
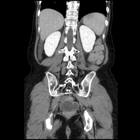
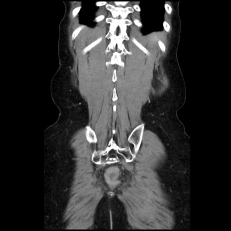
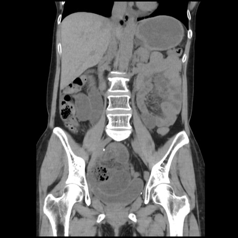
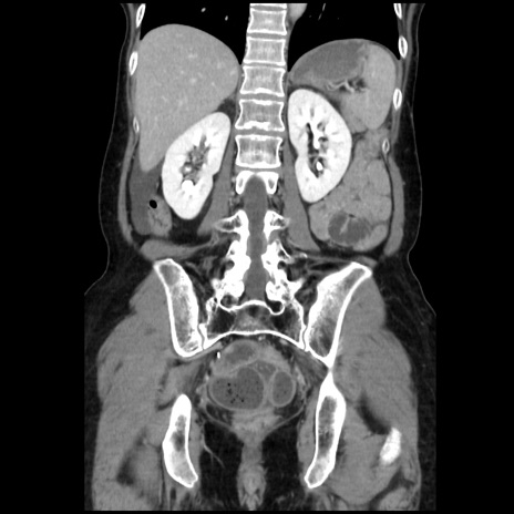
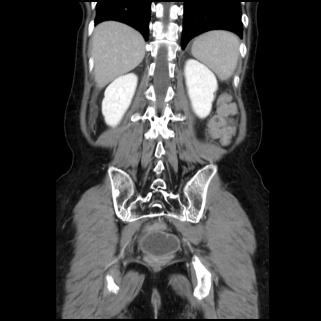
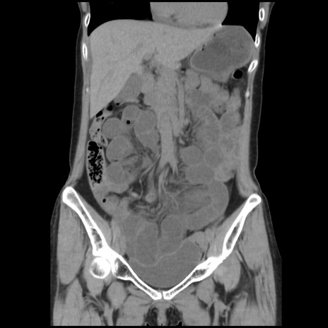
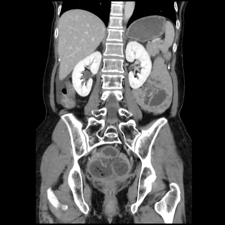
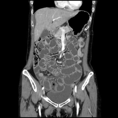
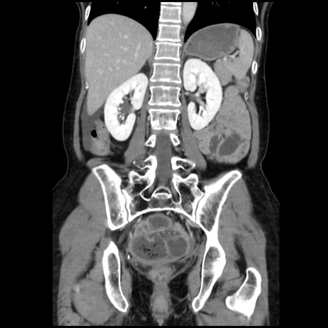
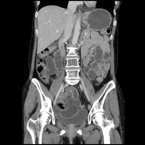
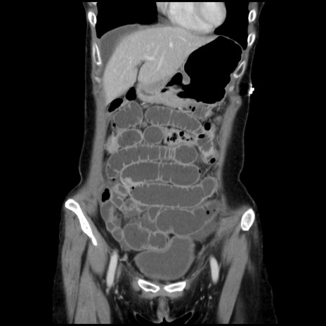
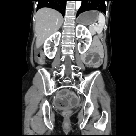
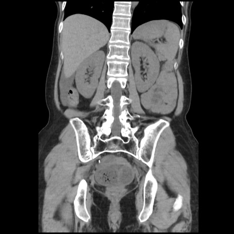
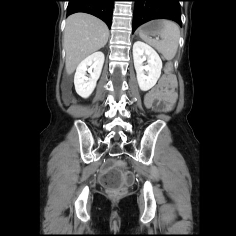
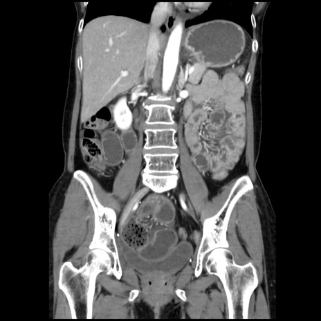
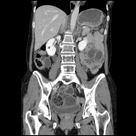
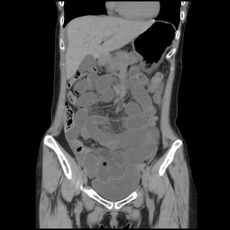
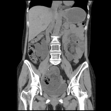
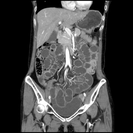
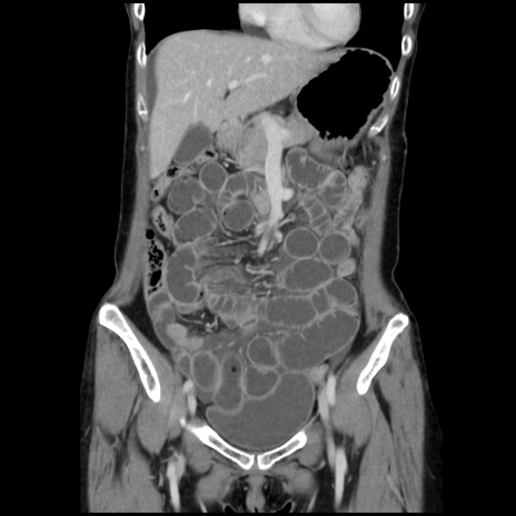
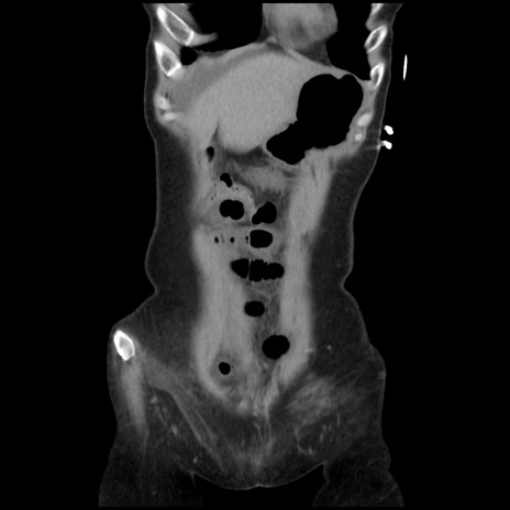
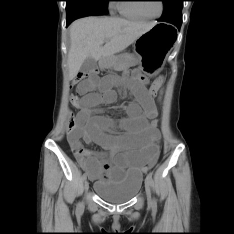
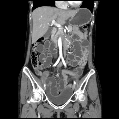
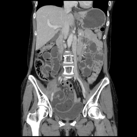
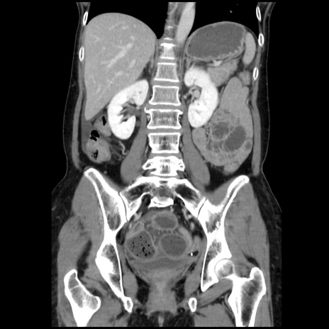
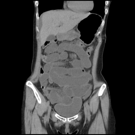
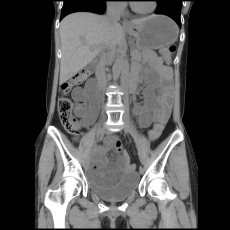
症例32(冠状断像)

 

症例

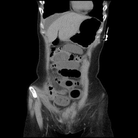
【症例】40歳代 女性
【主訴】上腹部痛、嘔気・嘔吐

【現病歴】約9時間前頃から急に上腹部痛、嘔気、嘔吐が出現。改善しないため救急要請。
【既往歴】子宮頚癌(広汎子宮全摘術、放射線療法)、腸閉塞
【身体所見】腹部:平坦、軟、腸雑音亢進、上腹部を中心に腹部全体に圧痛あり。
【データ】WBC 8400、CRP 0.03

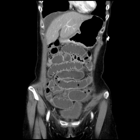
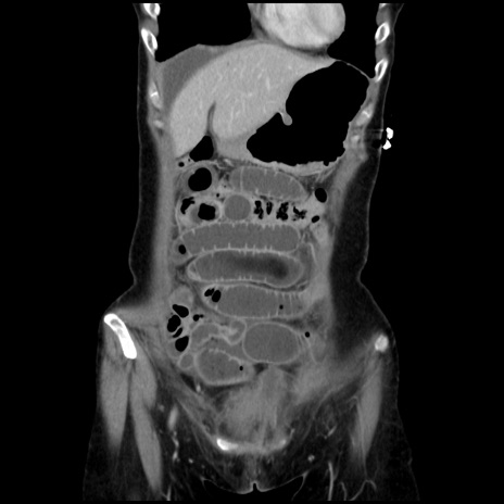
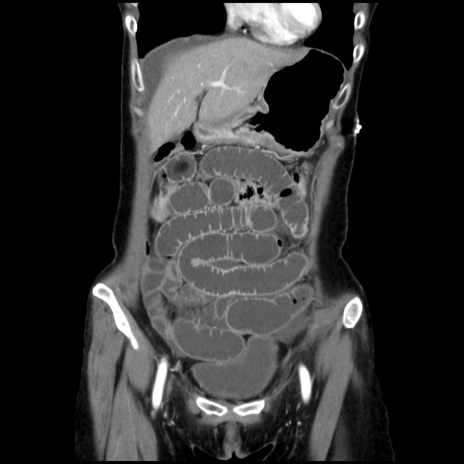
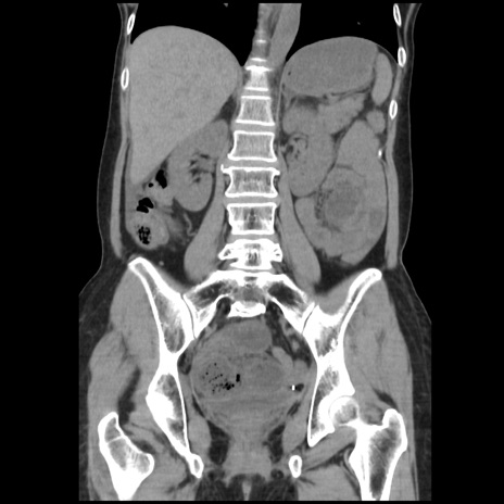
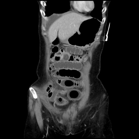
横断像
矢状断像