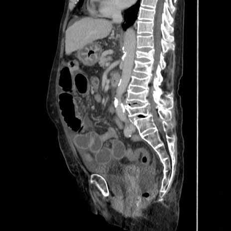
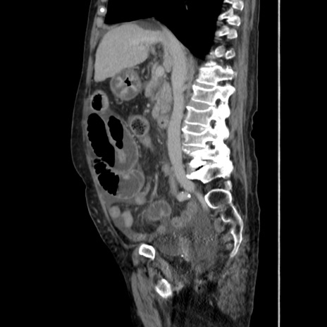
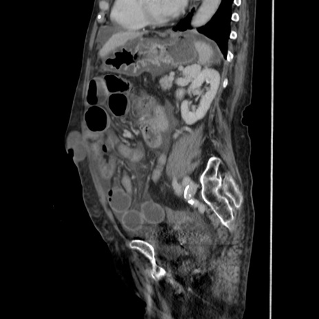
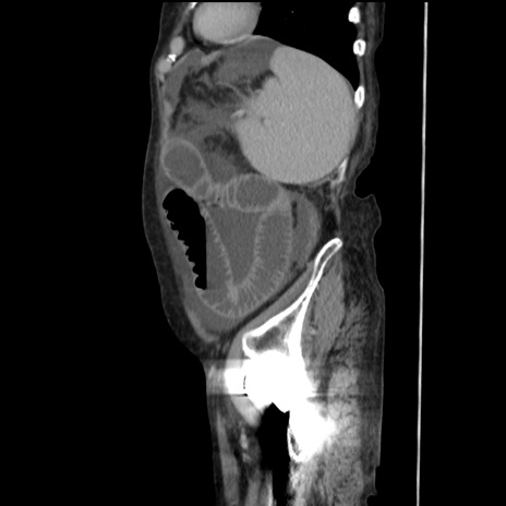
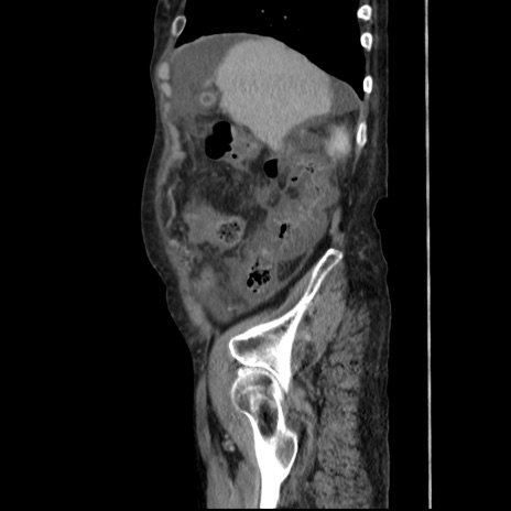
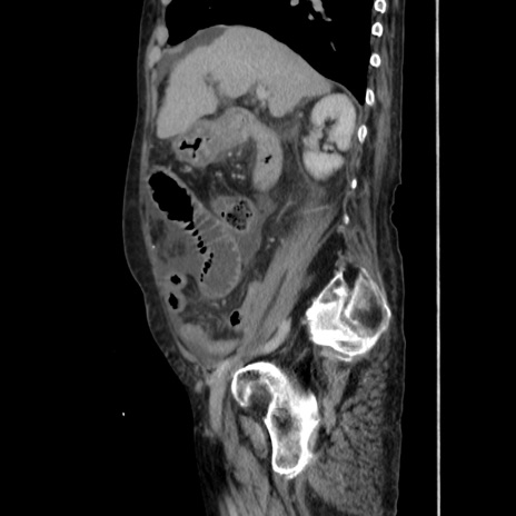
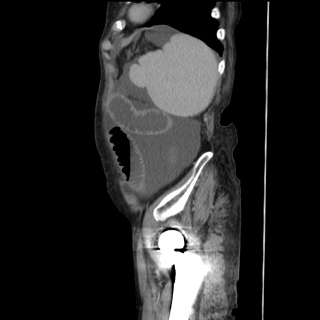
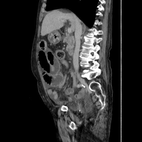
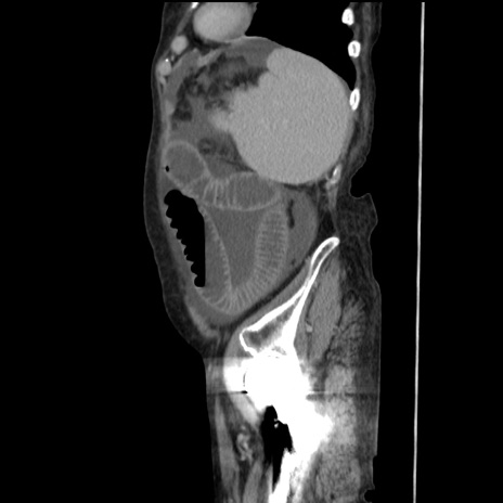
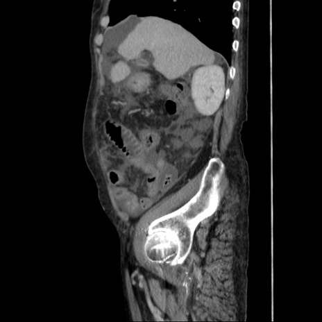
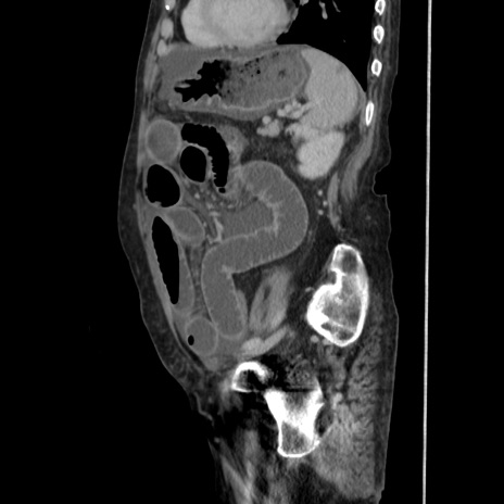
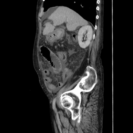
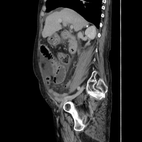
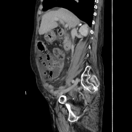
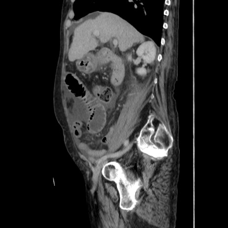
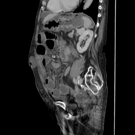
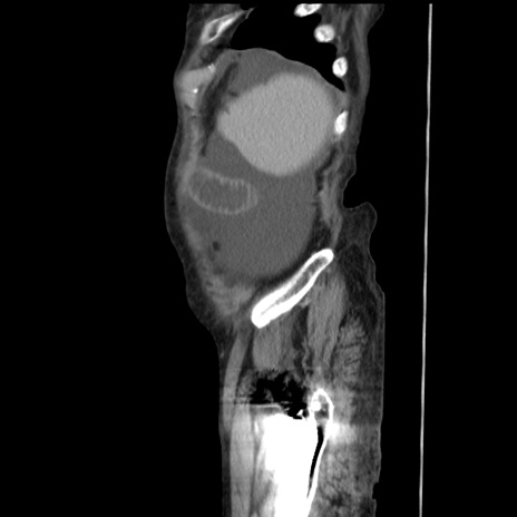
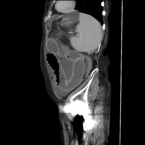
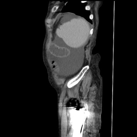
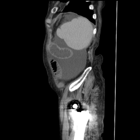
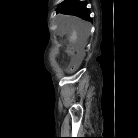
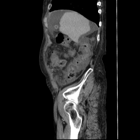
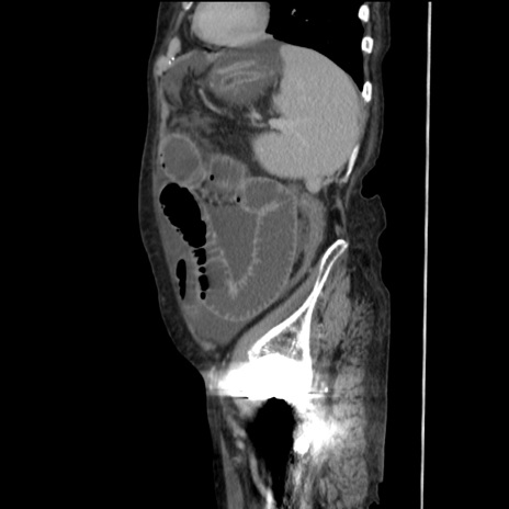
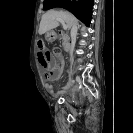
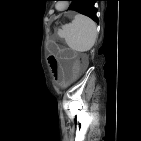
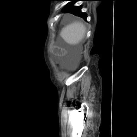
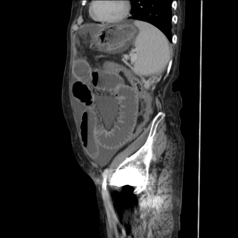
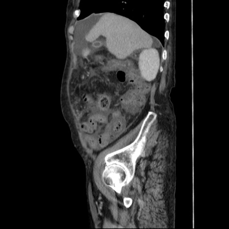
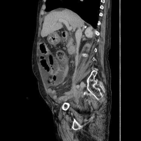
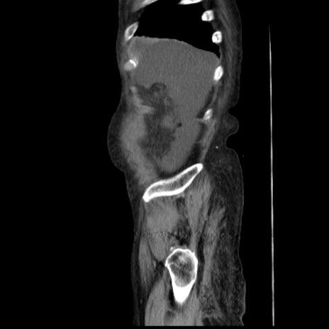
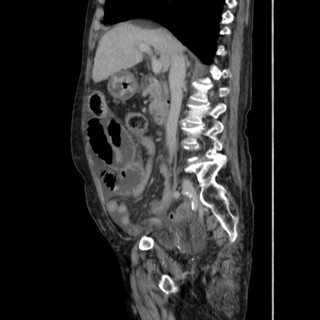
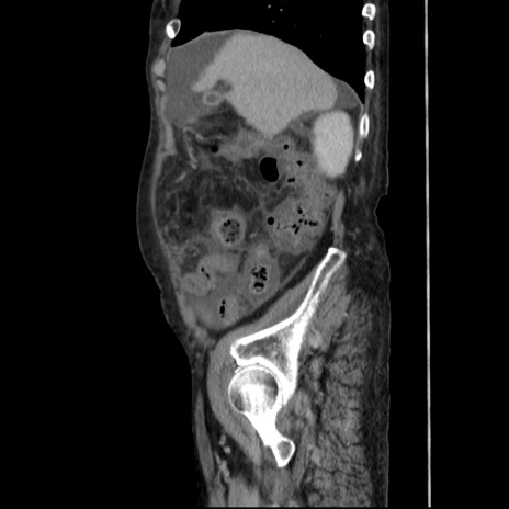
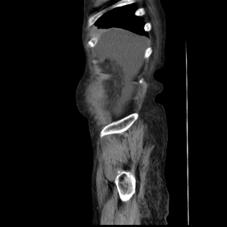
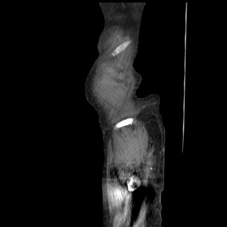
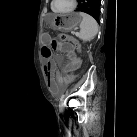
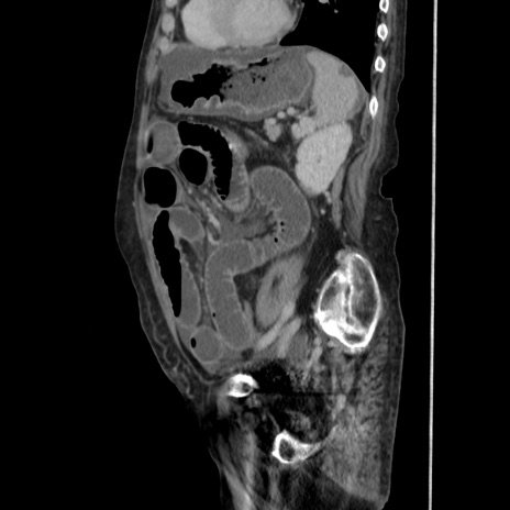
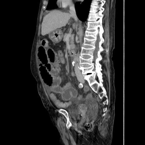
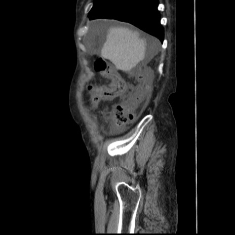
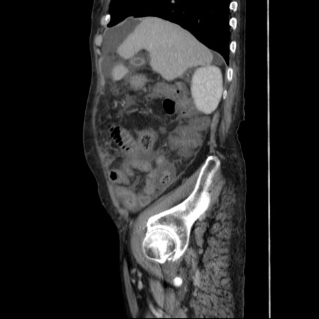
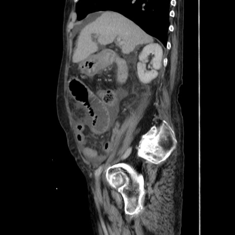
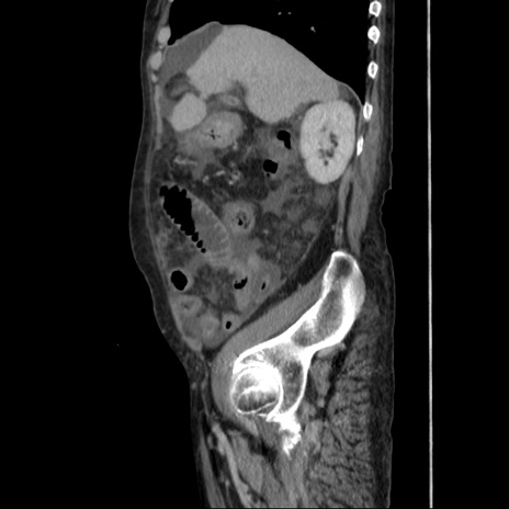
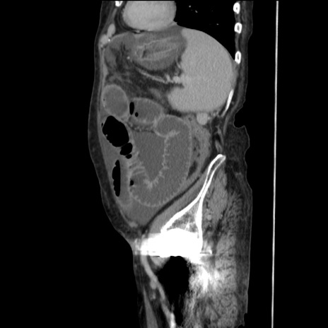
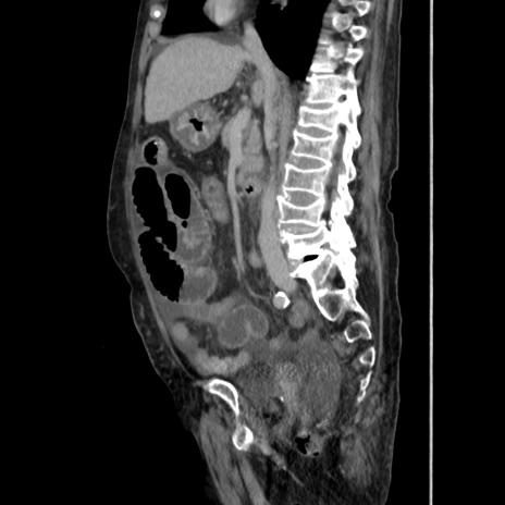
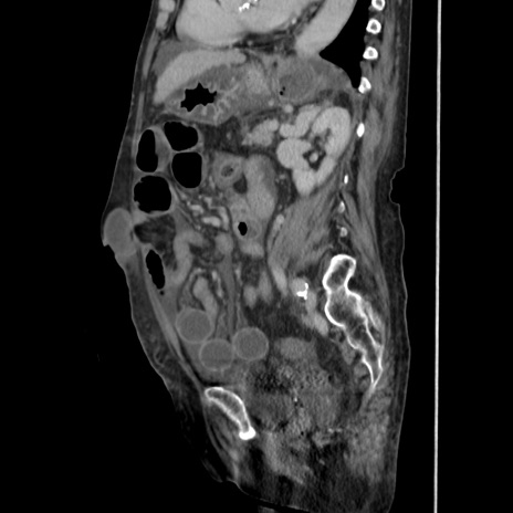
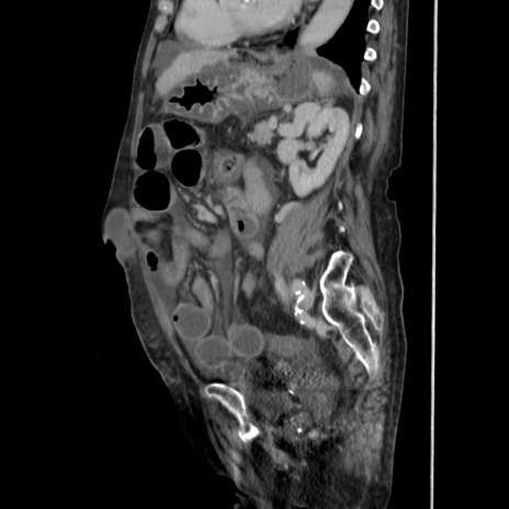
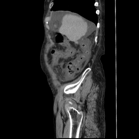
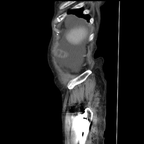
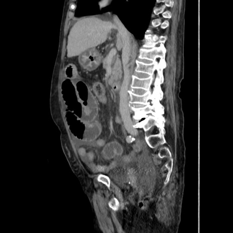
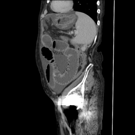
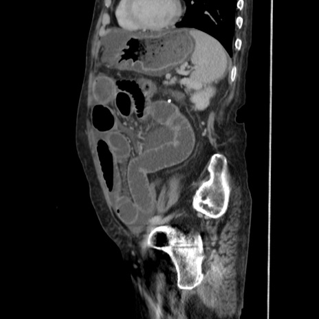
症例31(矢状断像)

 

症例

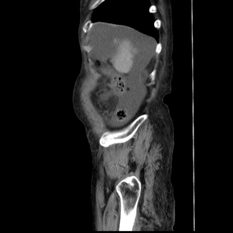
【症例】80歳代 女性
【主訴】腹部膨満感

【現病歴】他院にて肝硬変にてフォロー中。1週間前から便秘、腹部膨満感、臍部腫瘤あり受診となる。
【既往歴】肝硬変
【身体所見】腹部膨隆あり、皮膚変化なし、疼痛なし。
【データ】WBC 4600、CRP 0.25

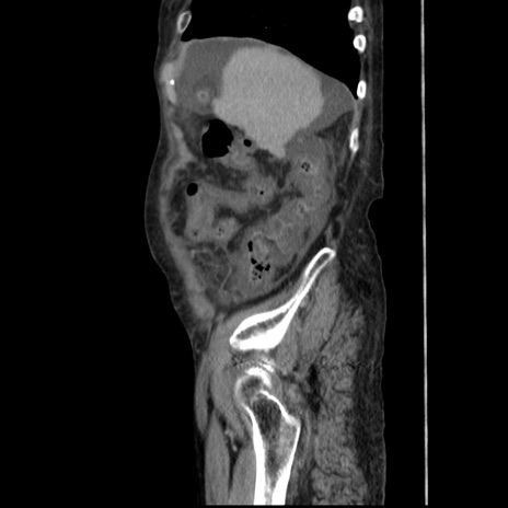
横断像
冠状断像