中心溝、中心前溝、中心後溝、中心前回、中心後回のMRI画像における解剖
症例
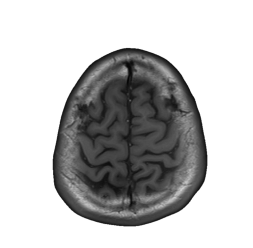
主に脳梗塞診断などで重要な中心溝、中心前溝、中心後溝、中心前回、中心後回のMRI画像における解剖(CTでも使えます。)をご覧いただけます。
中心溝を同定する際には、以下の4つの原則があります。
・中心前溝は上前頭溝と、中心後溝は頭頂間溝と、連続するが、中心溝が連続する脳溝はない。
・中心後溝の内側端はY字型になり、帯状溝縁部(ちょび髭)は分岐に挟まれる。中心溝の内側端は帯状溝縁部(ちょび髭)のすぐ前にくる。
・脳回の前後幅は中心前回が後回より太い。
・中心前回の手指運動野は後方凸を示す(precentralknob sign)
詳しくはこちらの記事を参考にしてください。


























