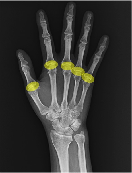
MP関節(metacarpophalangeal joint)の手関節レントゲン画像における正常解剖
症例
舟状骨(scaphoid)
月状骨(lunate)
三角骨(triquetrum)
中手骨(metacarpal bone)
基節骨(proximal phalanx)
中節骨(middle phalanx)
末節骨(distal phalanx)
橈骨(radius)
尺骨(ulna)
尺骨茎状突起(ulnar styloid process)
CM関節(carpometacarpal joint)
IP関節(interphalangeal joint)
PIP関節(proximal interphalangeal joint)
DIP関節(distal interphalangeal joint)
