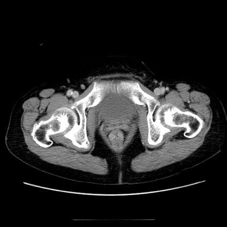
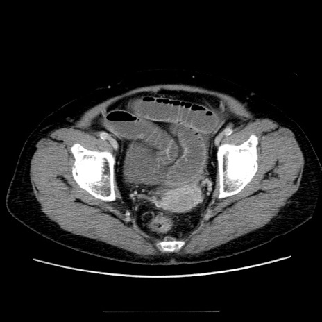
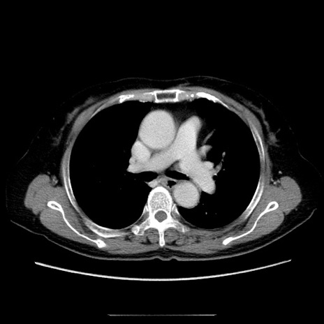
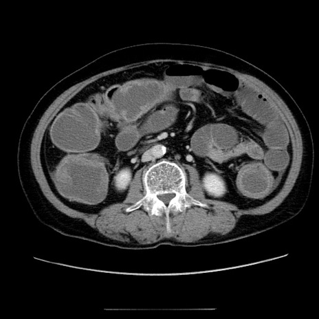
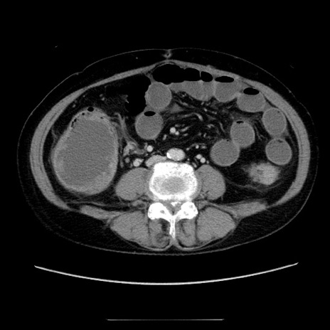
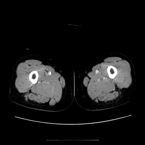
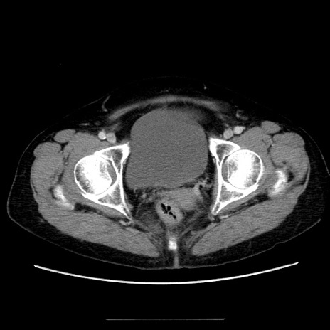
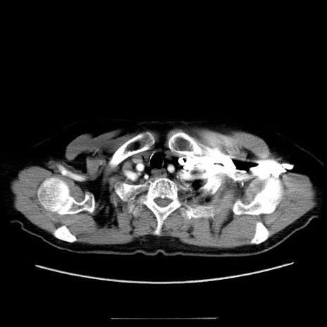
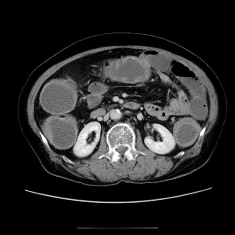
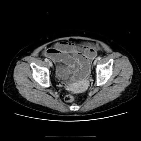
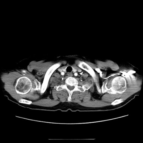
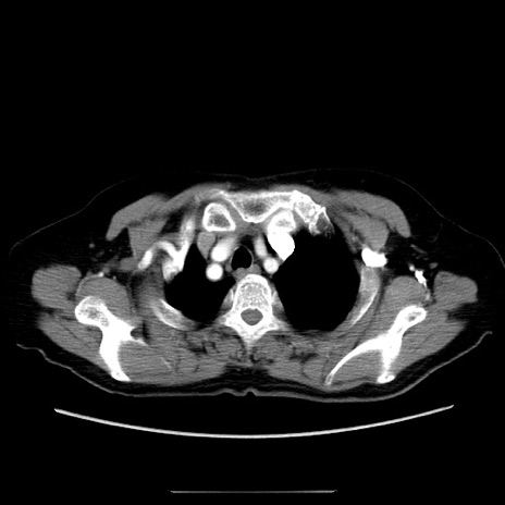
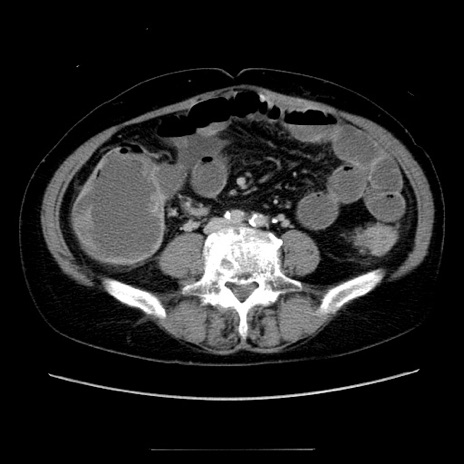
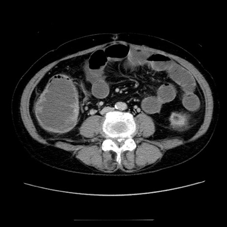
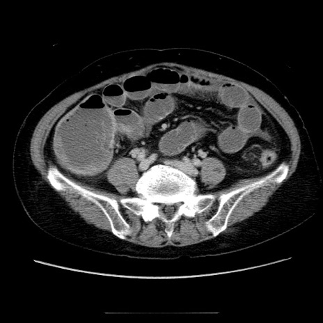
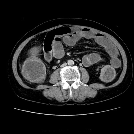
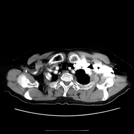
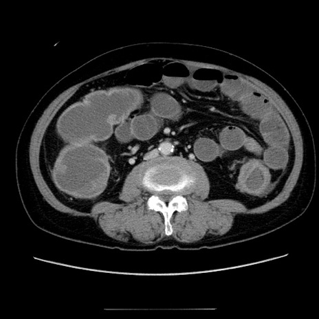
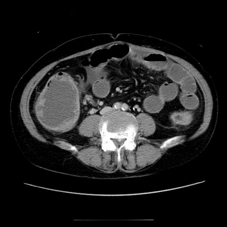
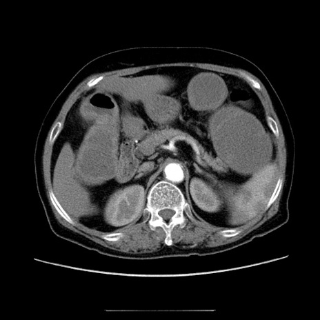
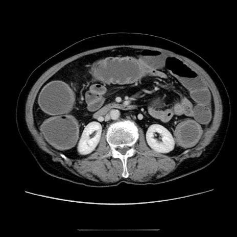
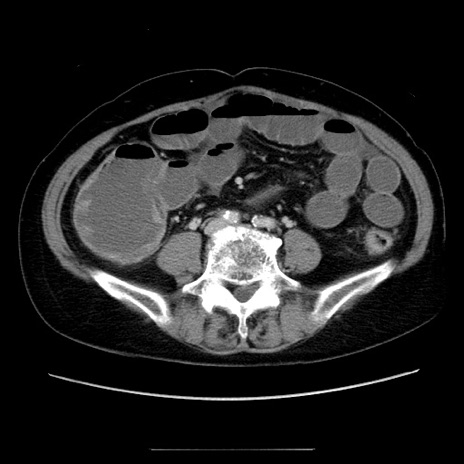
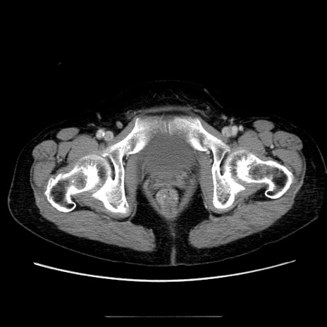
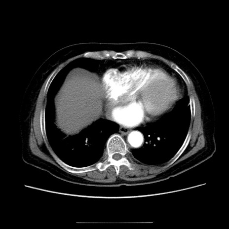
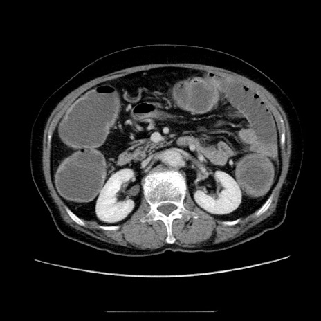
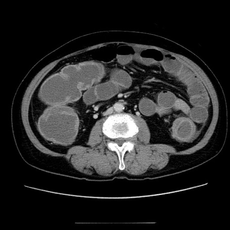
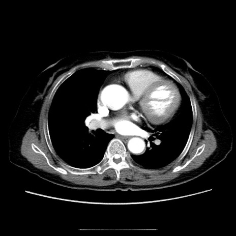
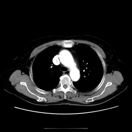
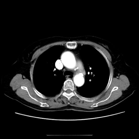
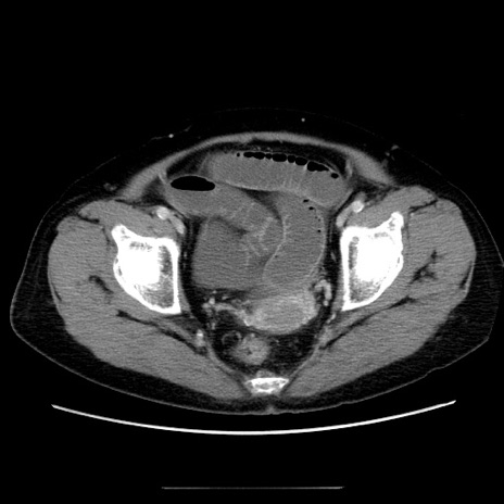
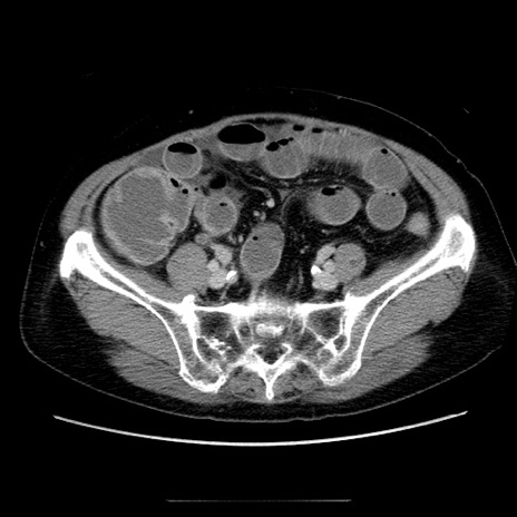
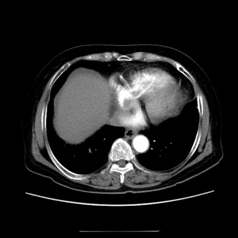
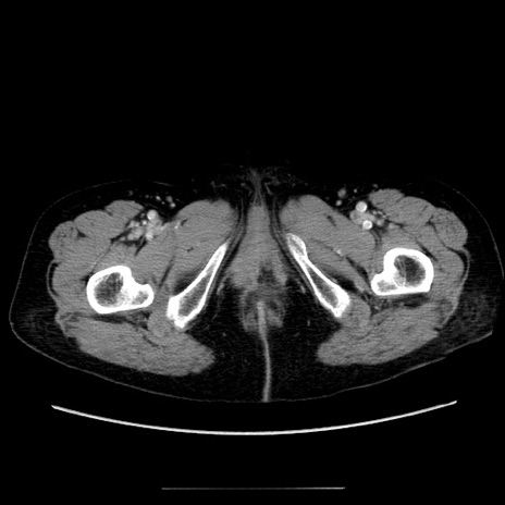
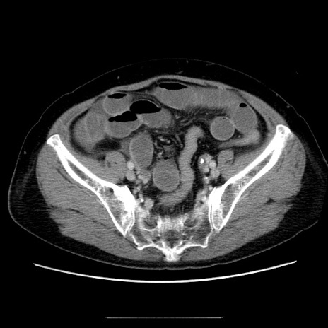
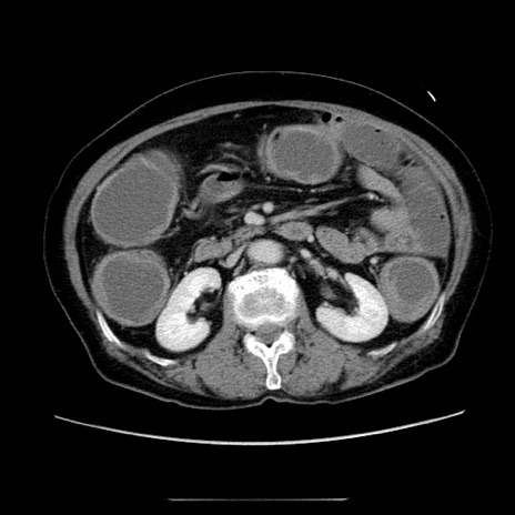
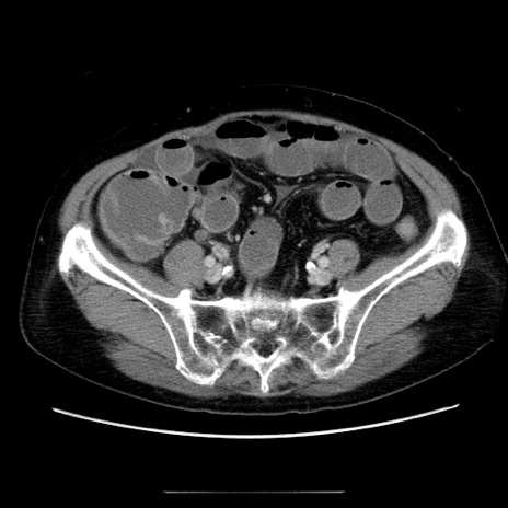
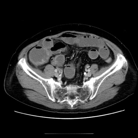
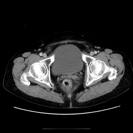
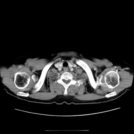
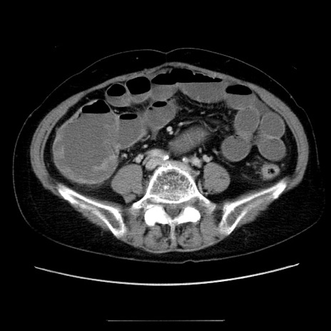
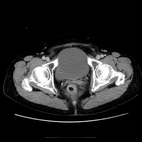
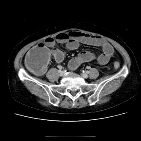
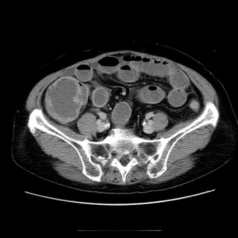
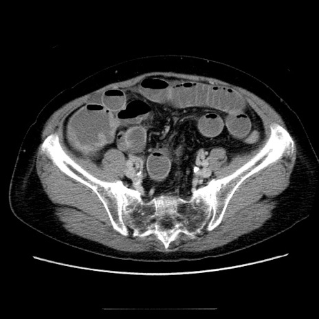
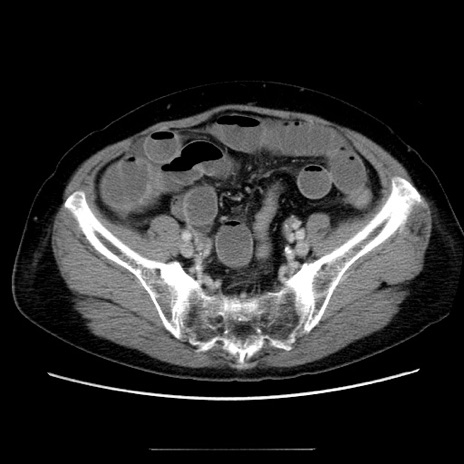
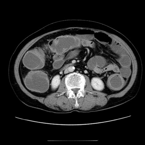
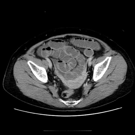
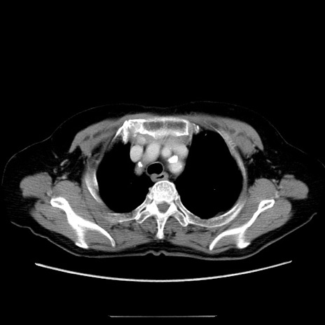
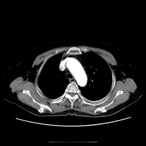
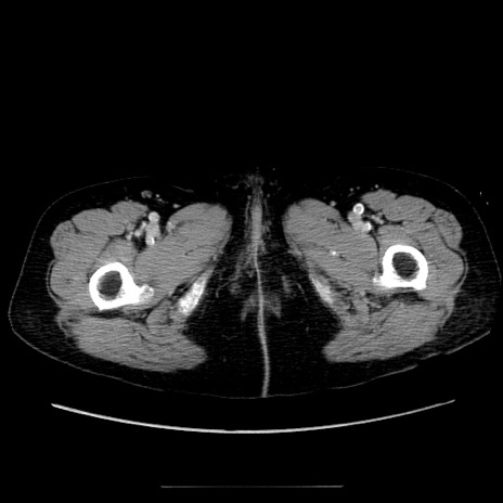
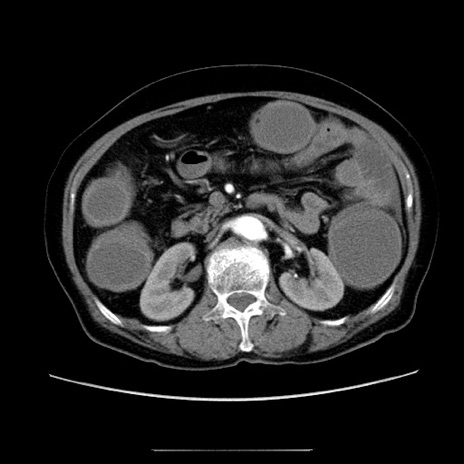
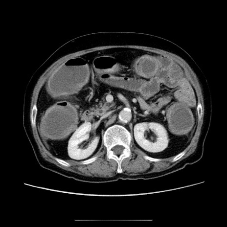
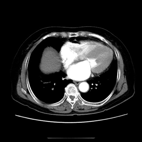
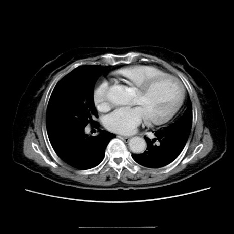
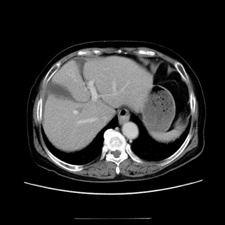
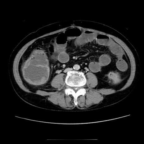
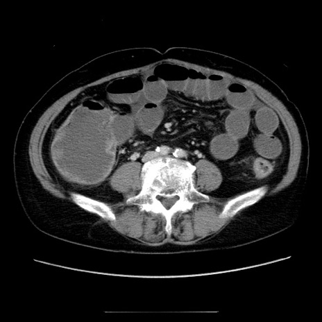
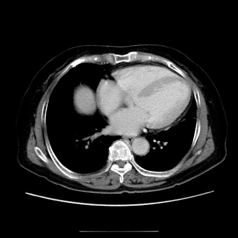
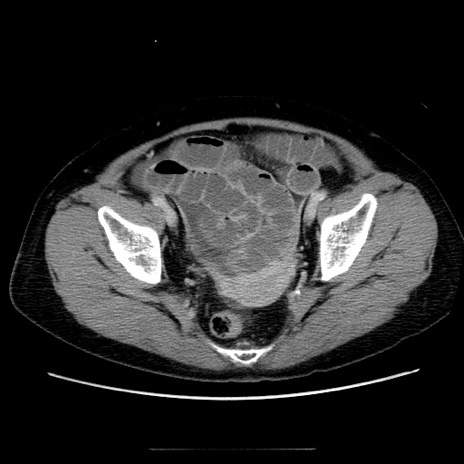
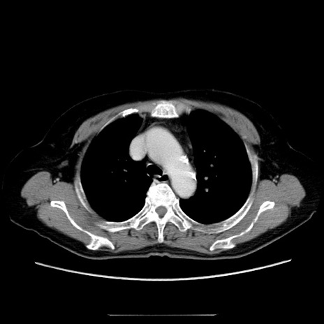
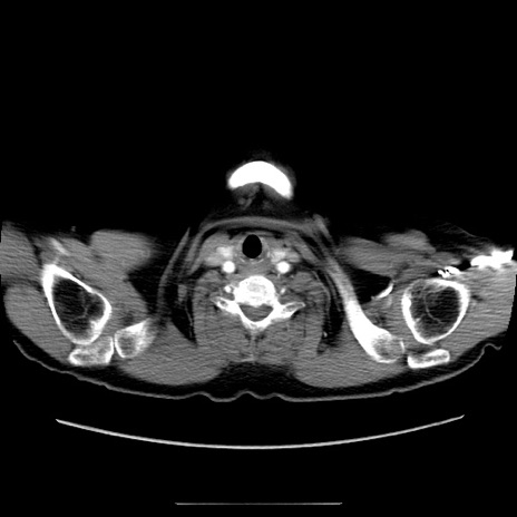
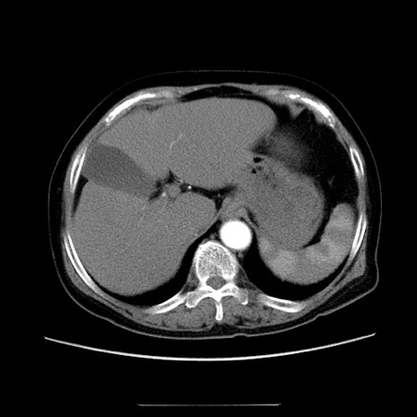
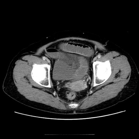
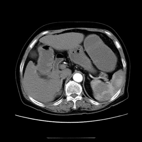
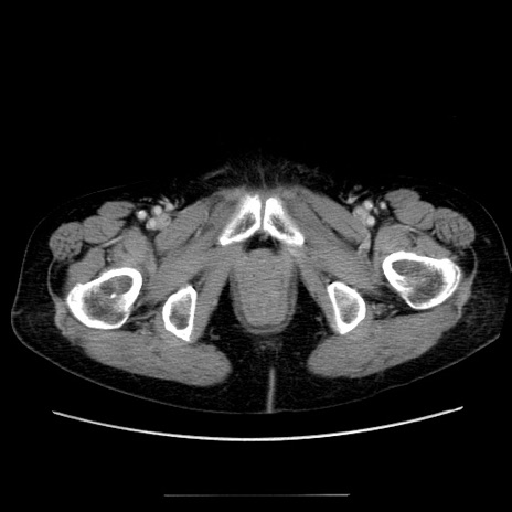
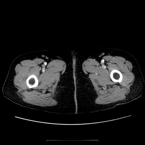
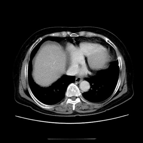
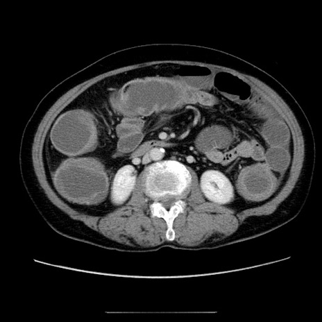
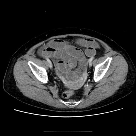
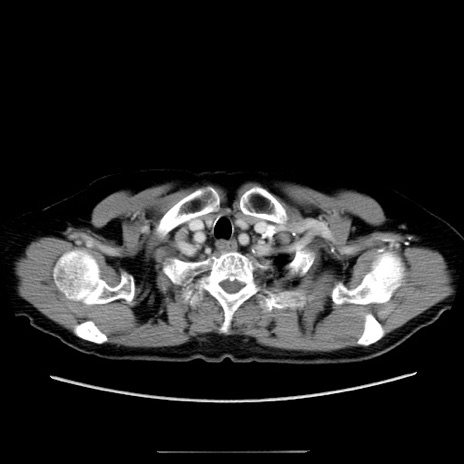
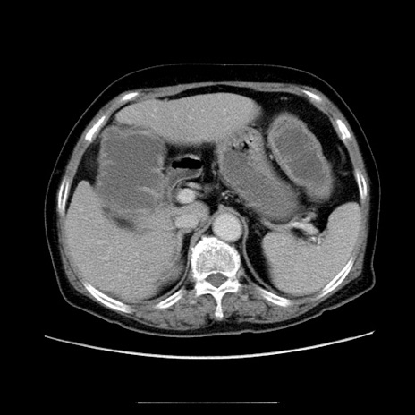
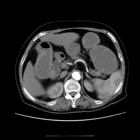
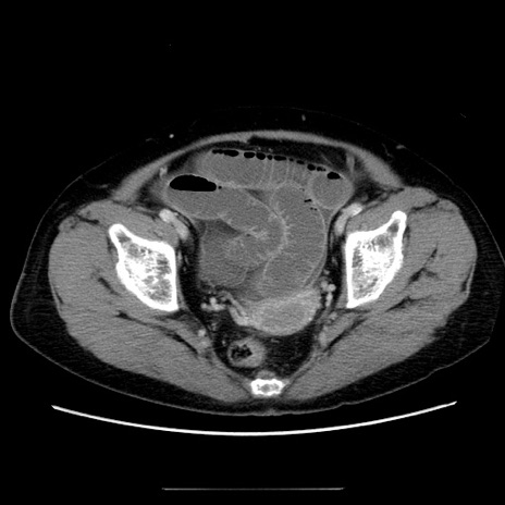
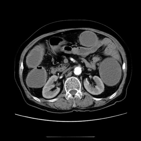
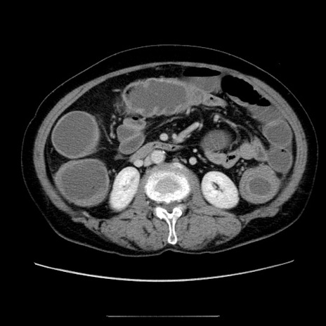
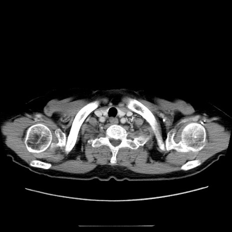
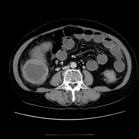
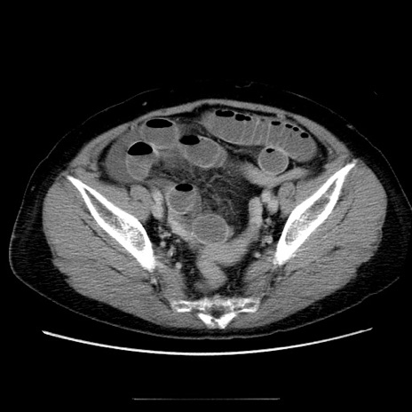
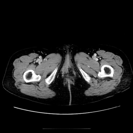
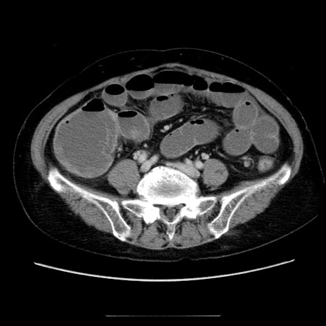
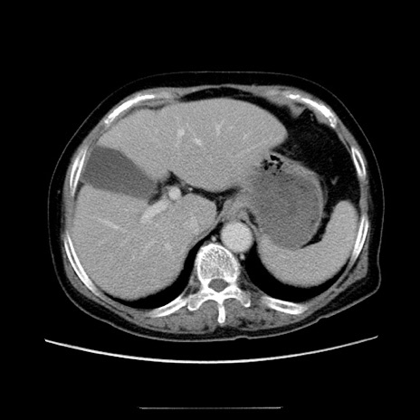
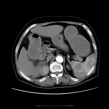
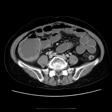
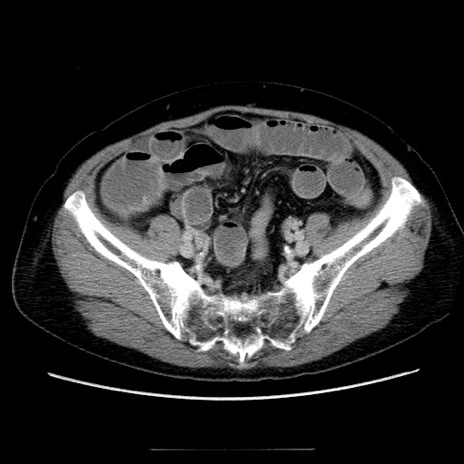
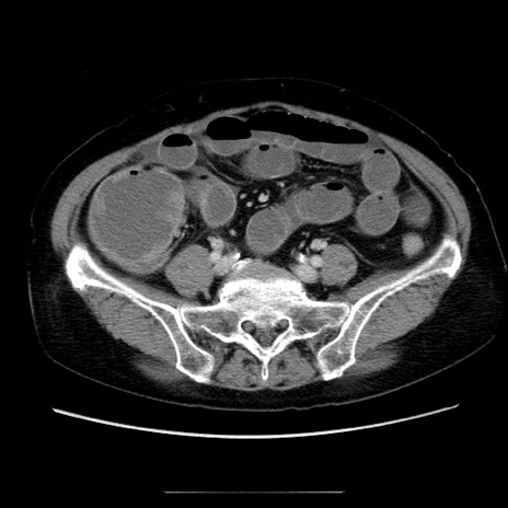
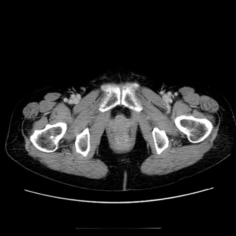
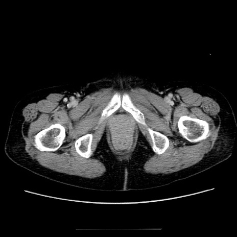
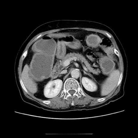
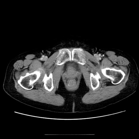
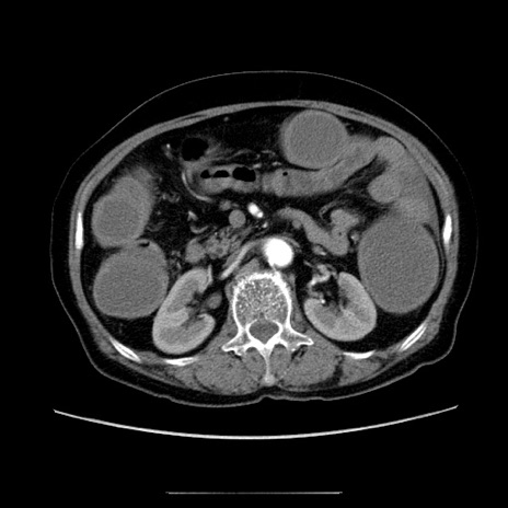
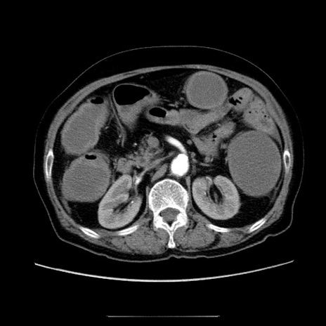
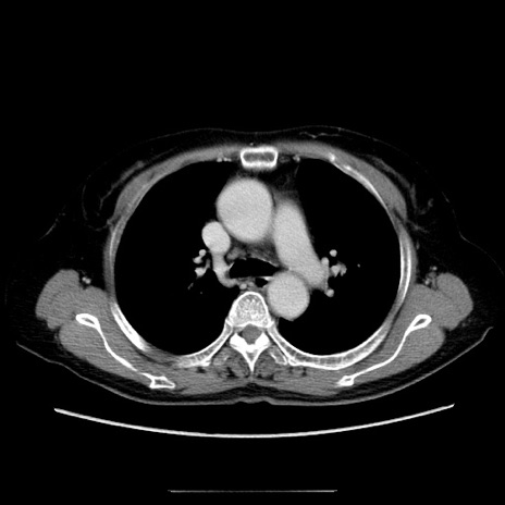
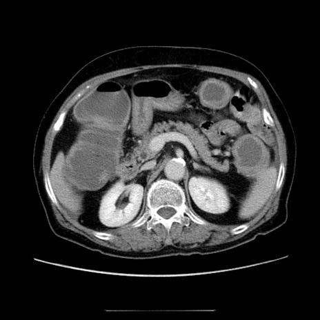
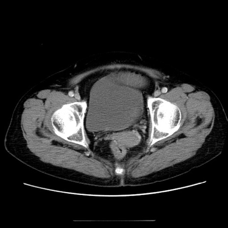
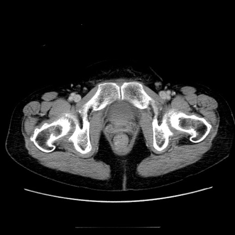
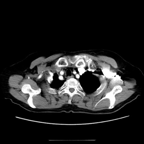
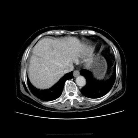
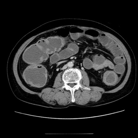
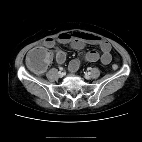
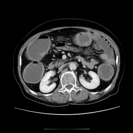
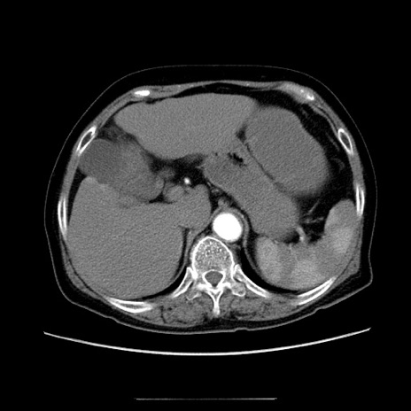
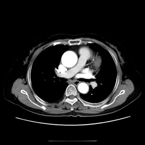
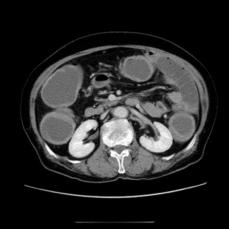
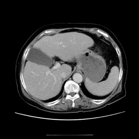
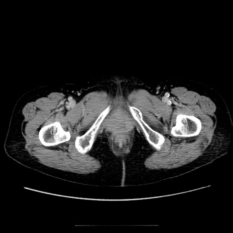
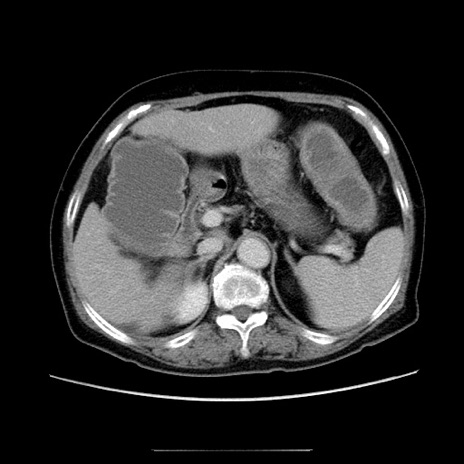
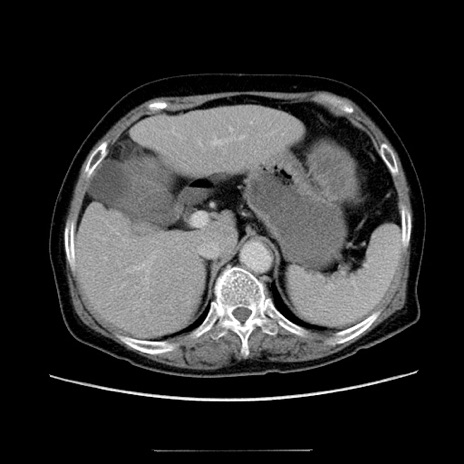
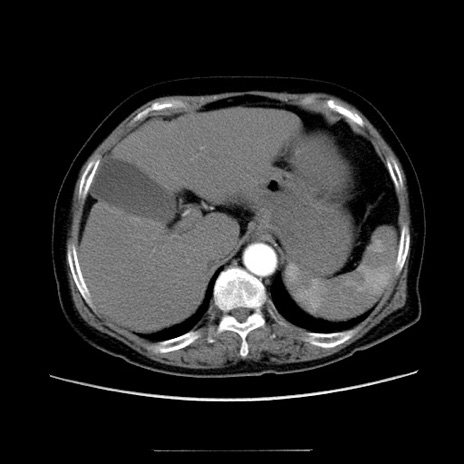
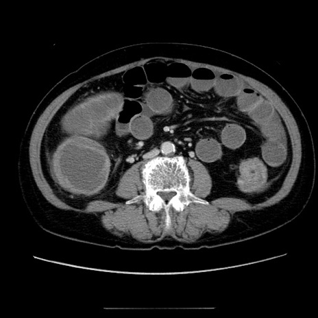
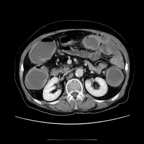
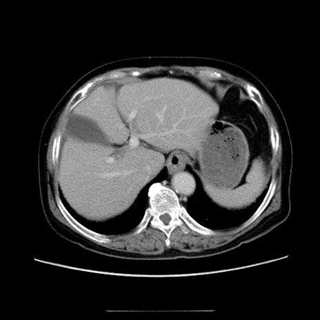
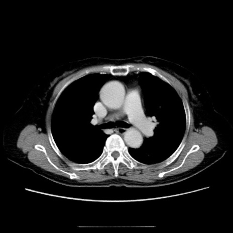
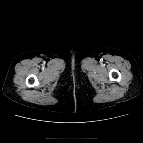
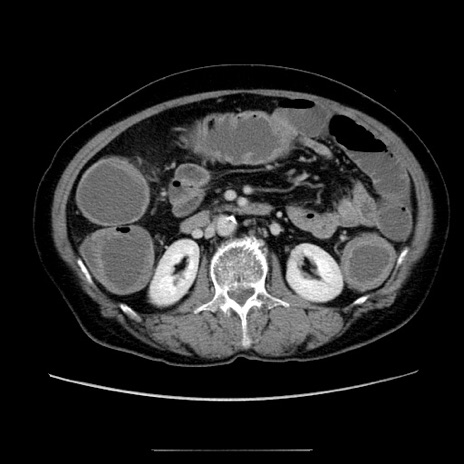
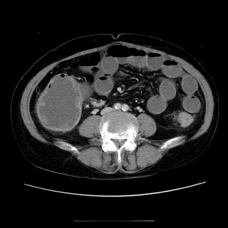
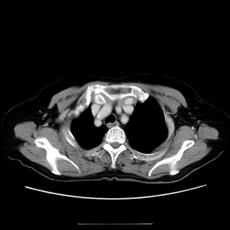
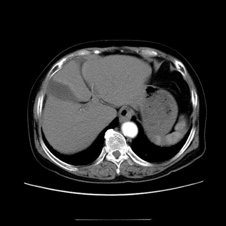
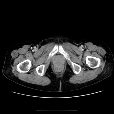
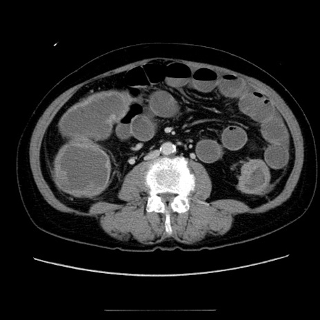
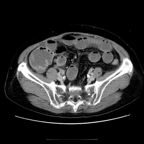
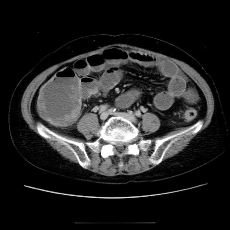
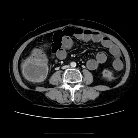
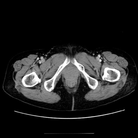
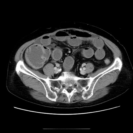
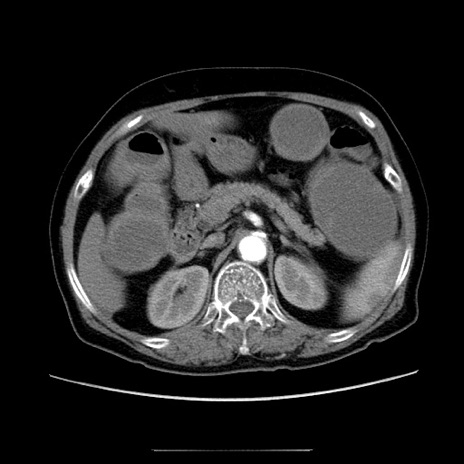
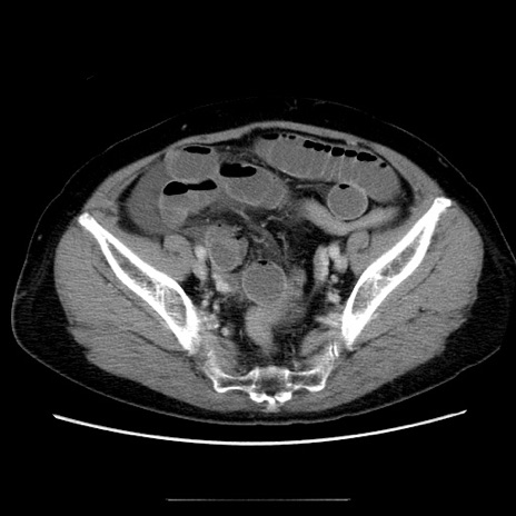
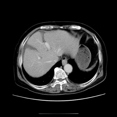
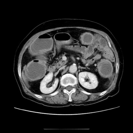
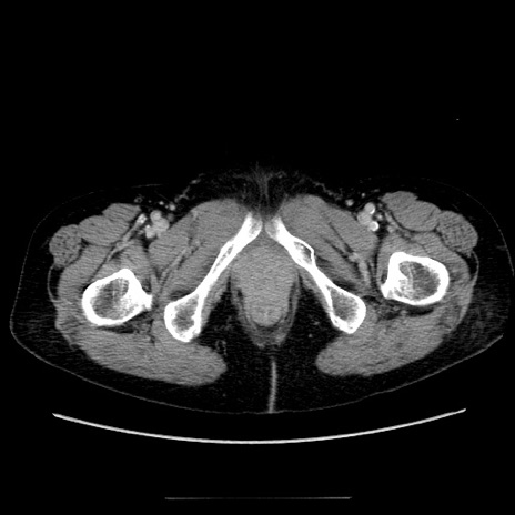
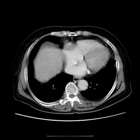
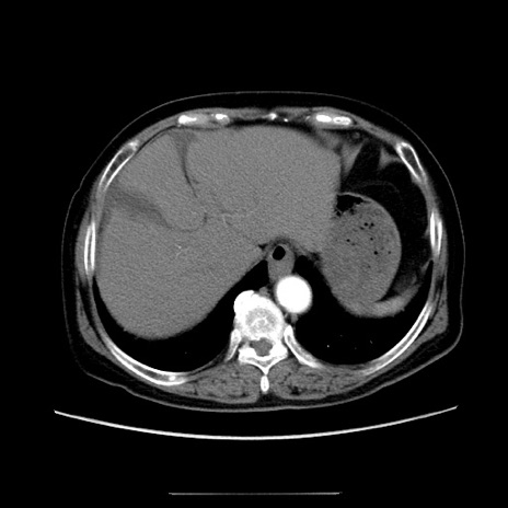
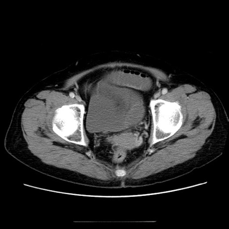
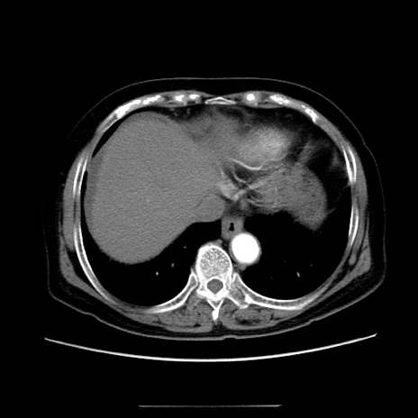
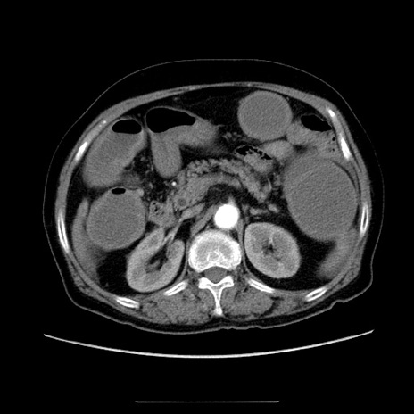
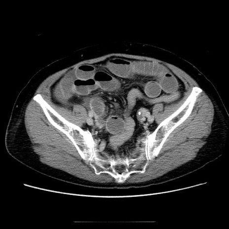
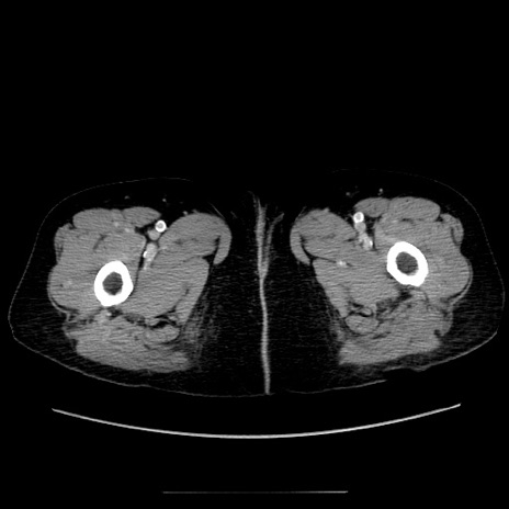
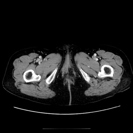
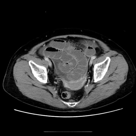
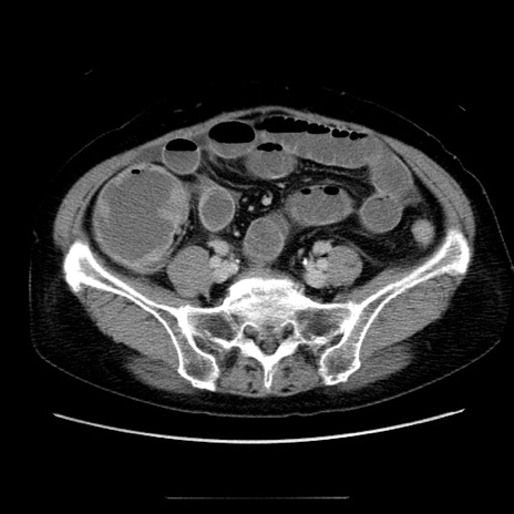
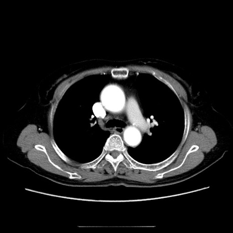
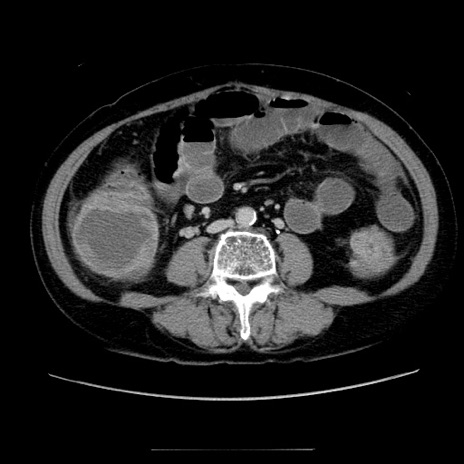
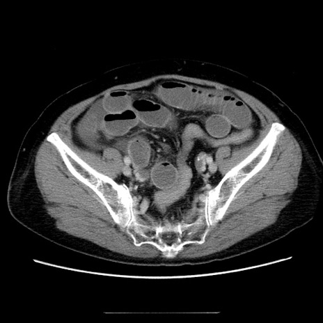
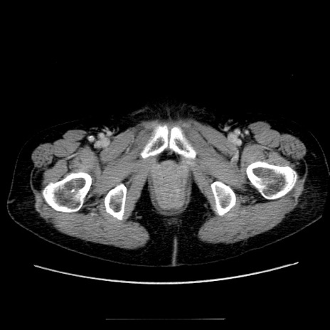
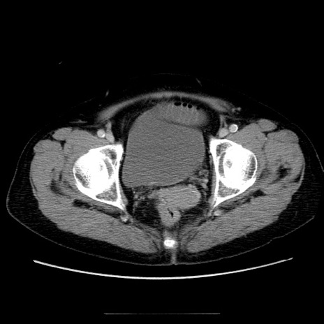
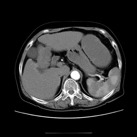
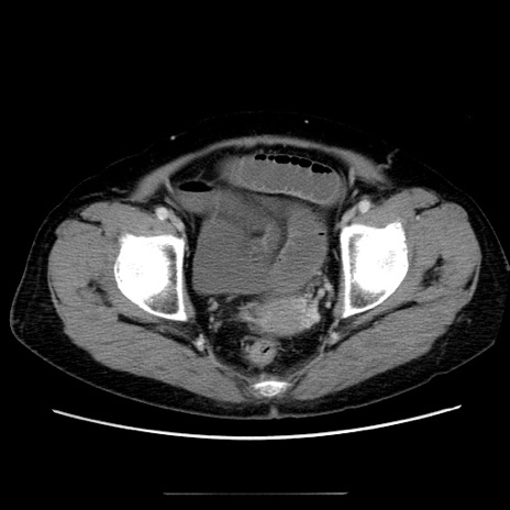
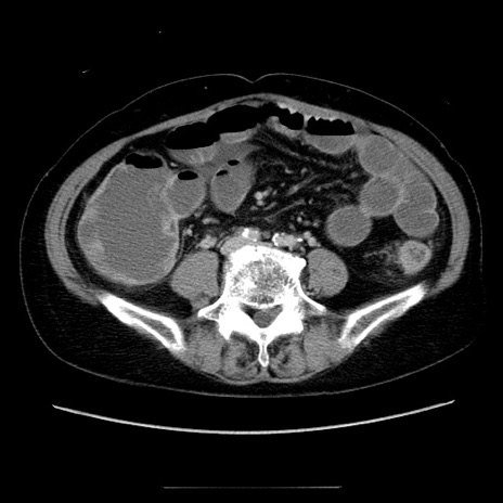
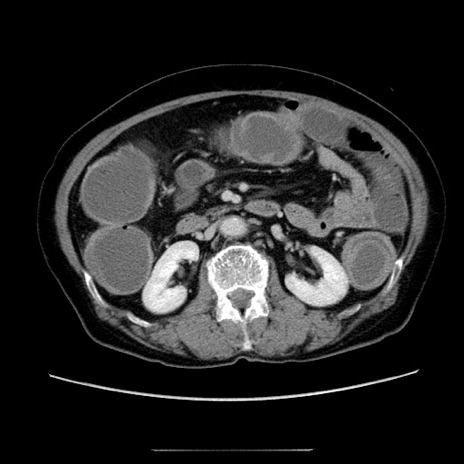
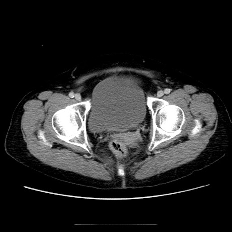
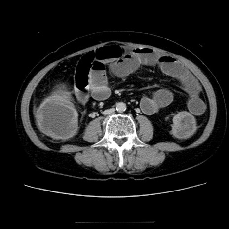
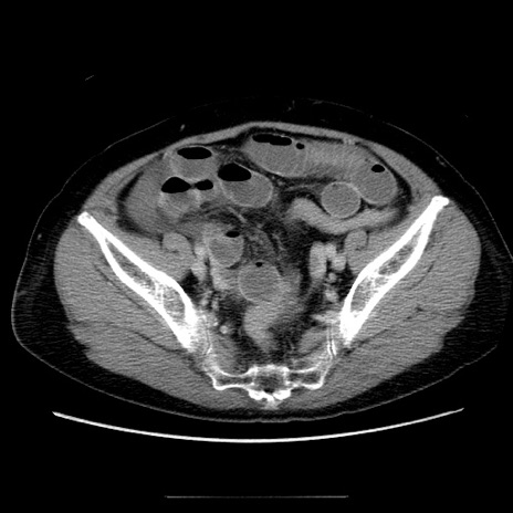
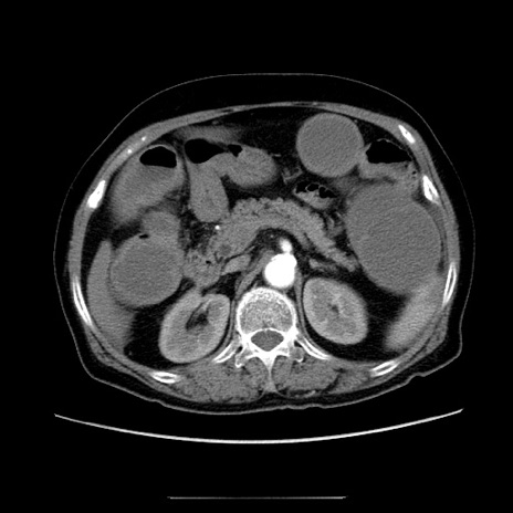
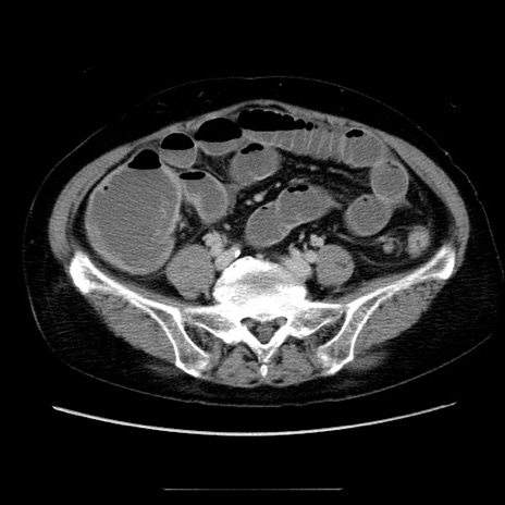
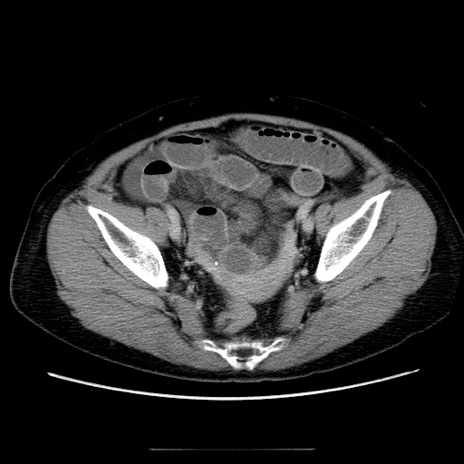
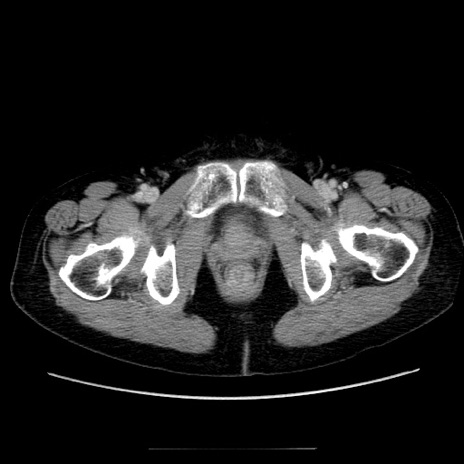
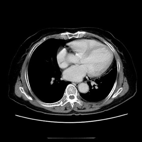
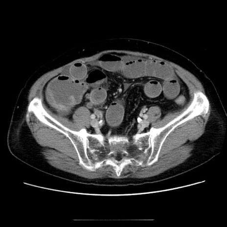
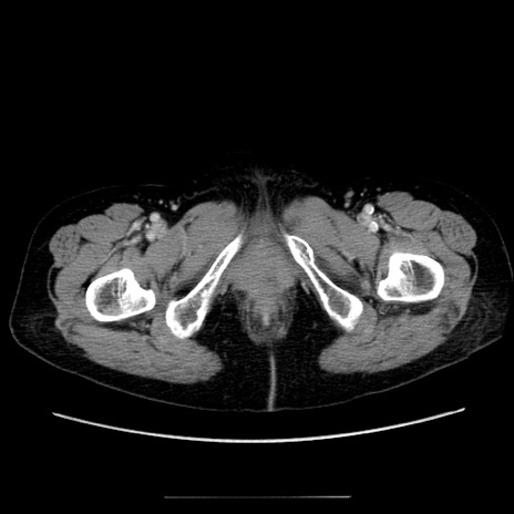
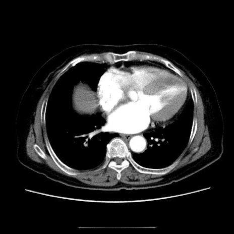
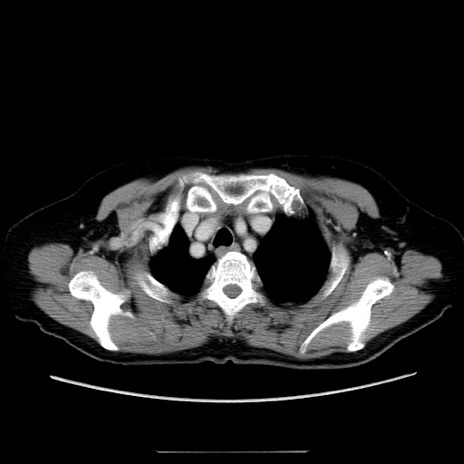
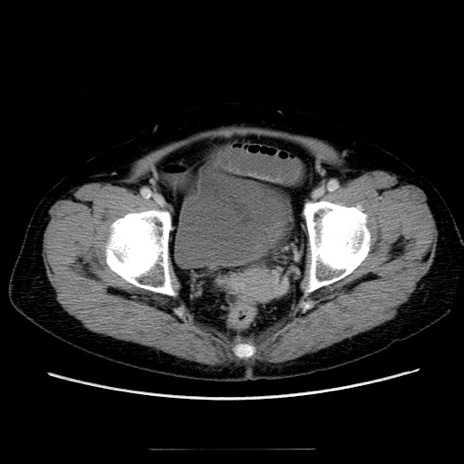
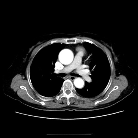
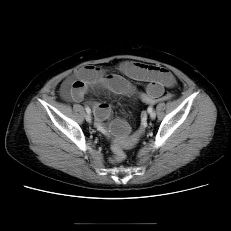
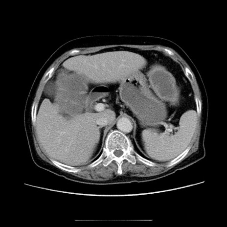
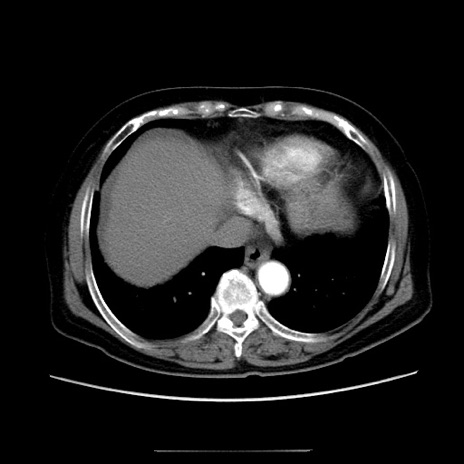
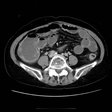
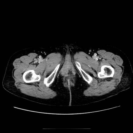
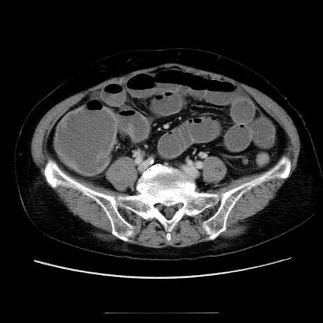
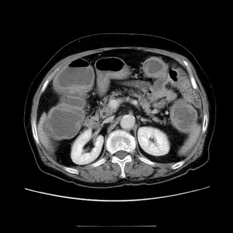
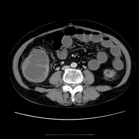
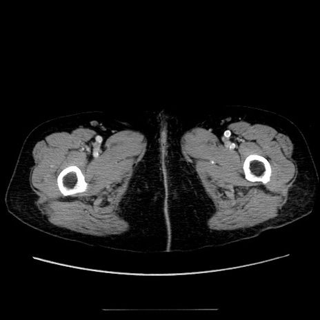
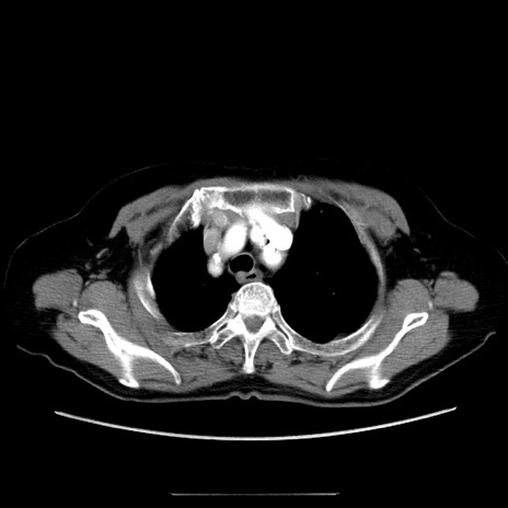
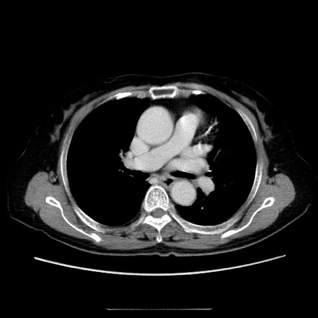
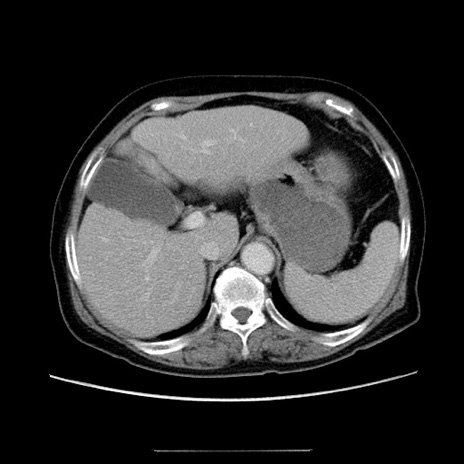
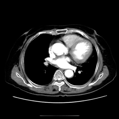
症例5(横断像)

 

症例

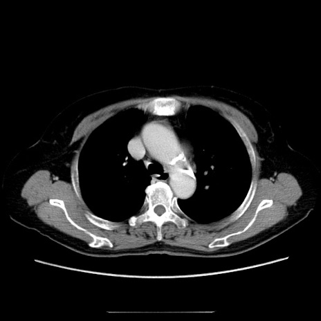
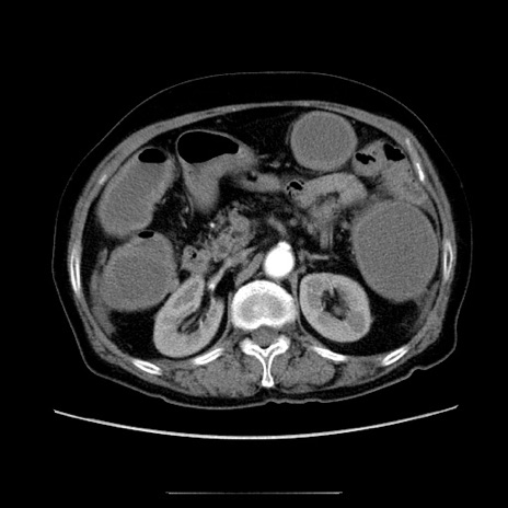
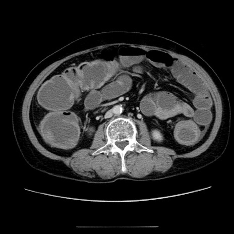
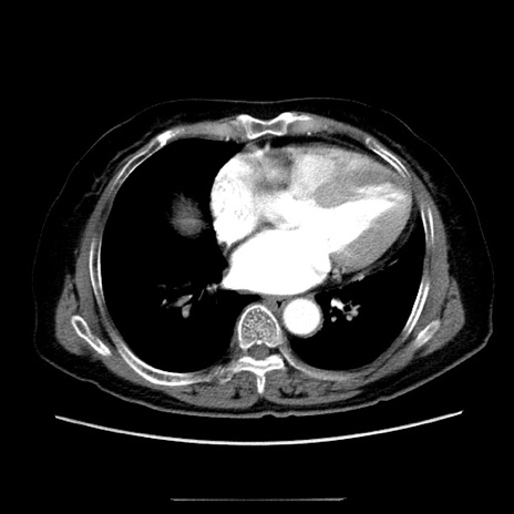
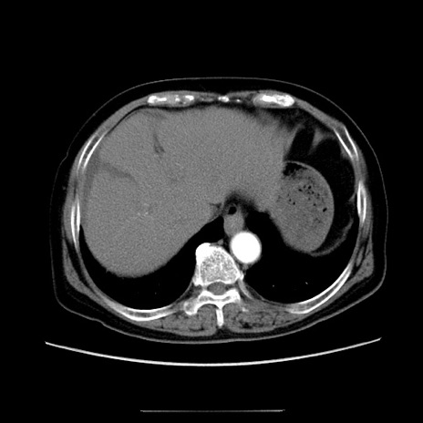
【症例】70歳代女性
【主訴】お腹が張る
【現病歴】1週間くらい前から腹部膨満の自覚あり。昨日夜から増悪したため、本日救急外来受診。
【既往歴】なし
【身体所見】意識清明、BT 36.5℃、BP 165/106mmHg、HR 80bpm、SpO2 98%、腹部:膨満、軟、自発痛・圧痛なし、触診にて不快感あり、腸蠕動音:減弱
【データ】WBC 12600、CRP 1.04

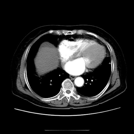
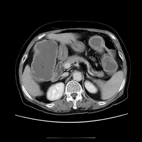
冠状断像