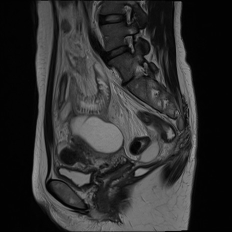
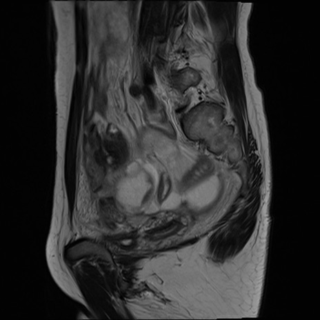
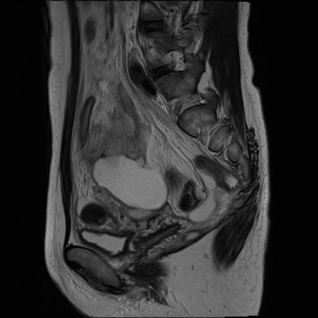
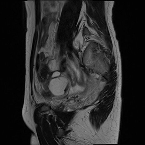
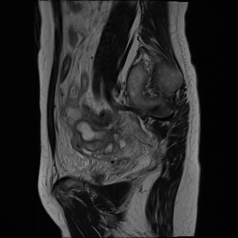
症例39 T2WI(矢状断像)

 

症例

【症例】40歳代女性
【主訴】上下腹部痛

【現病歴】2日目から下腹部痛あり。夜間は痛みで眠れなかった。昨日より上腹部痛と下痢が出現。臥位で痛みは軽快したため、休んでいた。本日になって臥位でも立位でも痛みが強くなってきたため救急要請。
【既往歴】子宮内膜症
【身体所見】部:平坦・軟、左上下腹部に圧痛あり、反跳痛あり。
【データ】WBC 21800、CRP 26.78

 

CT

横断像
冠状断像
矢状断像

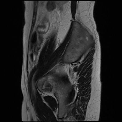
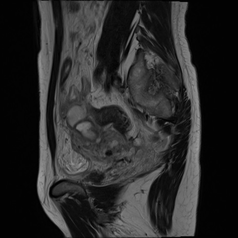
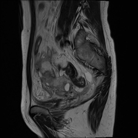
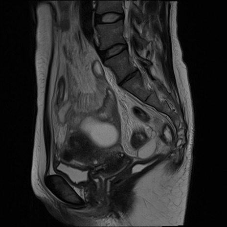
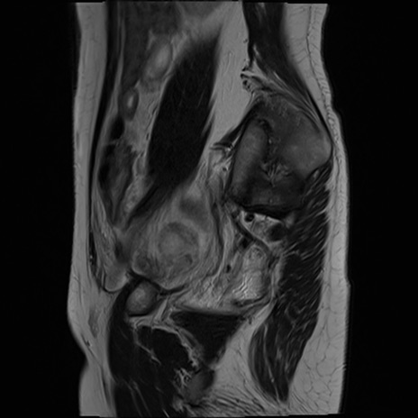
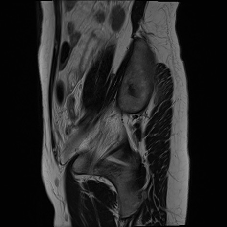
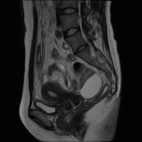
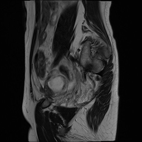
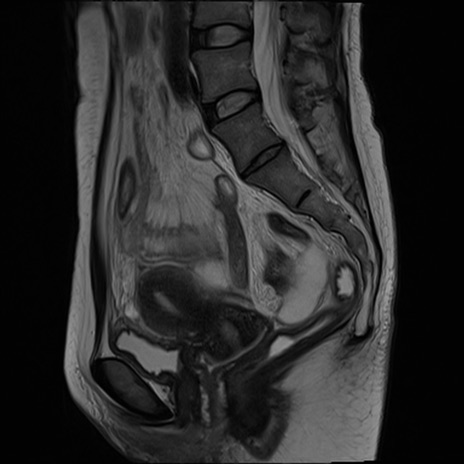
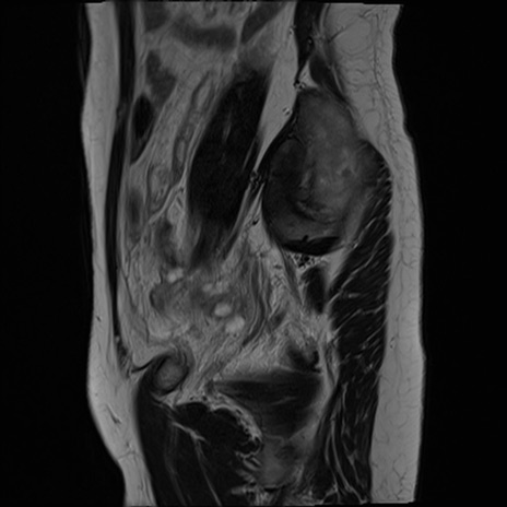
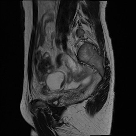
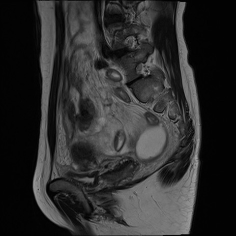
MRI(4日後)

T1WI(横断像)
T2WI(横断像)
脂肪抑制T1WI(横断像)
DWI/ADC