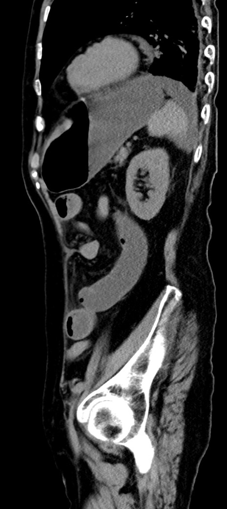
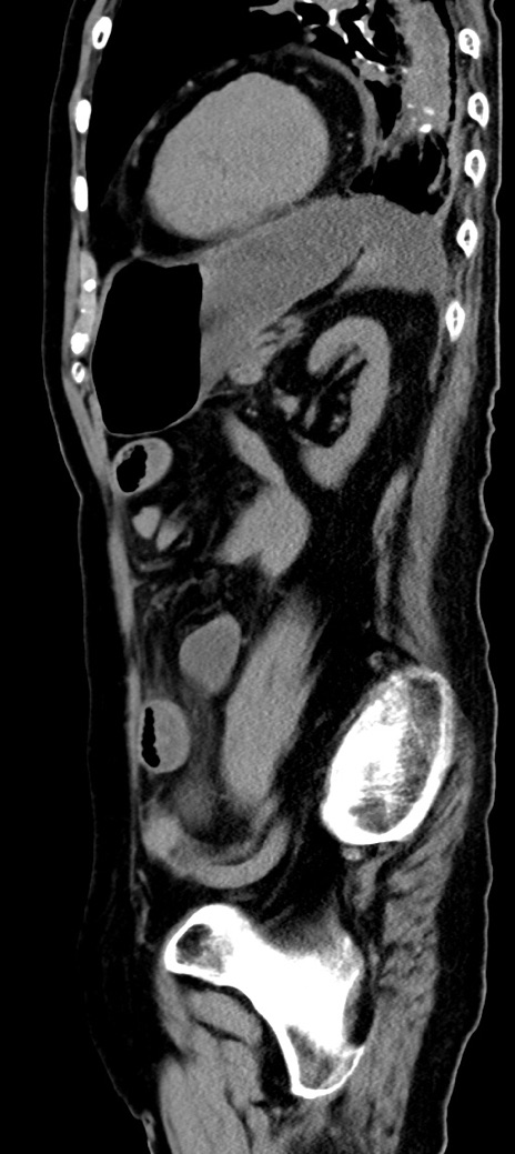
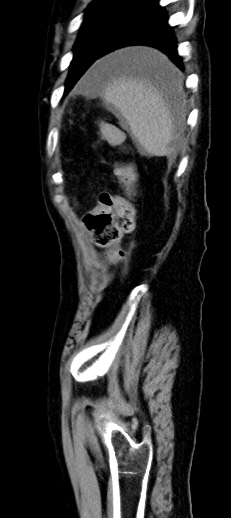
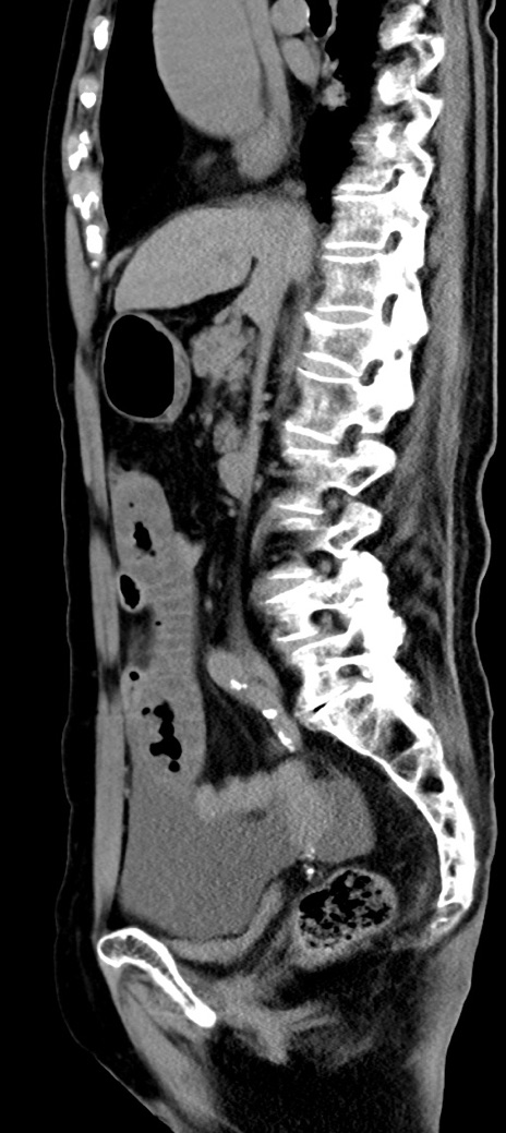
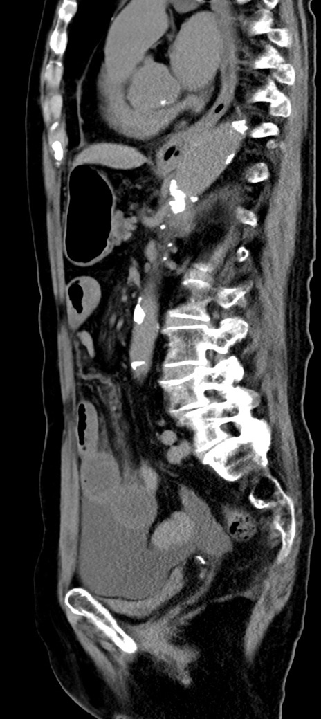
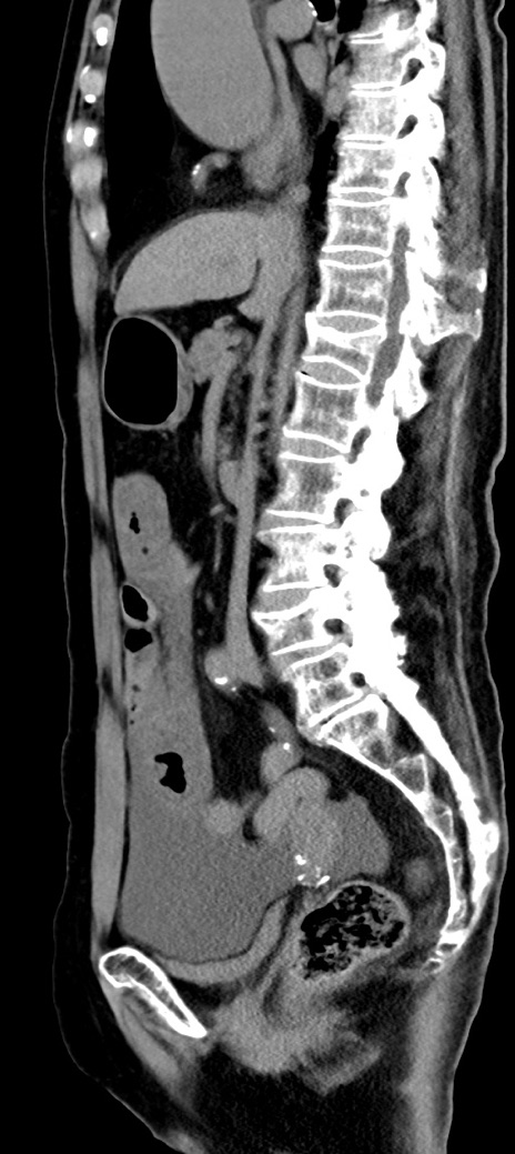
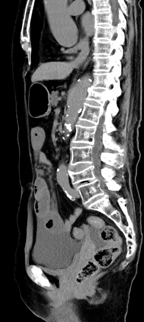
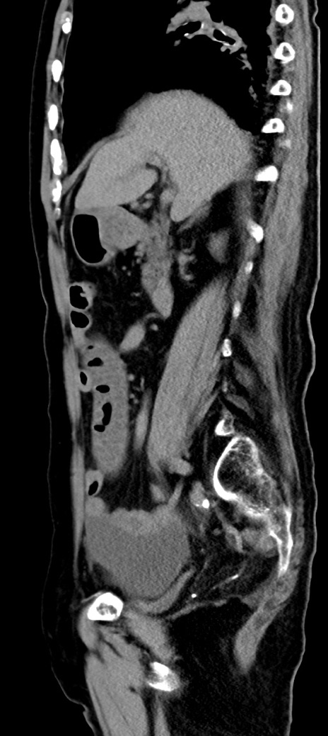
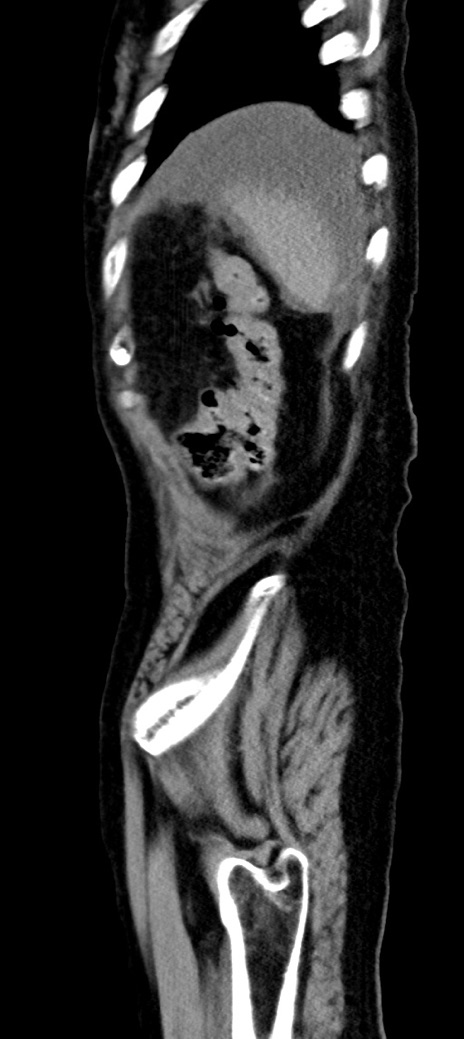
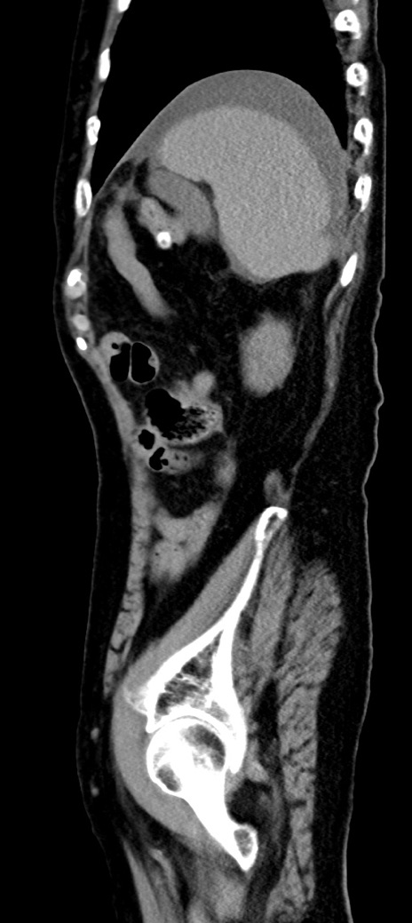
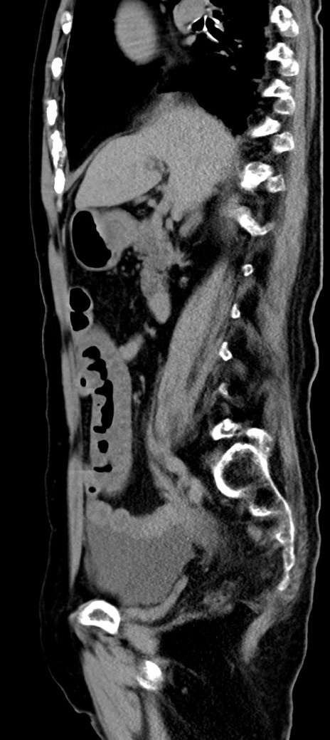
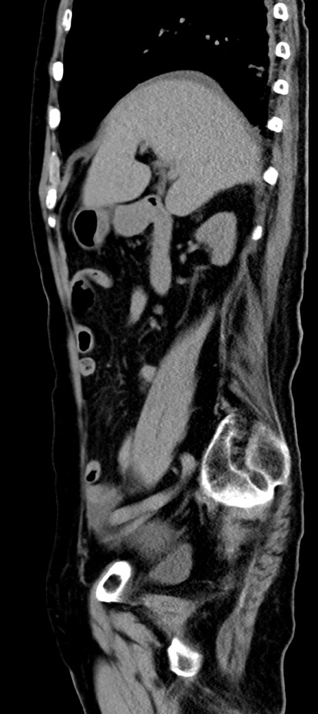
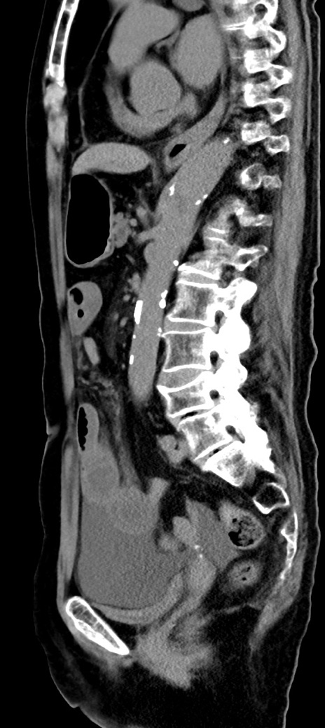
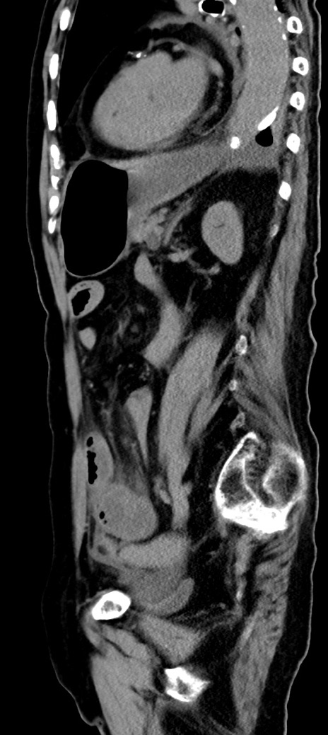
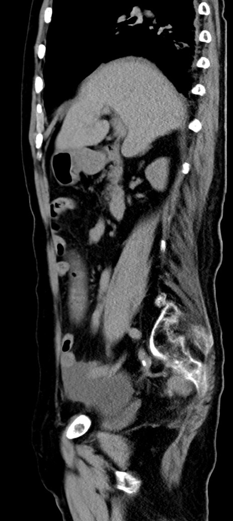
症例40(矢状断像)他院1日前

 

症例

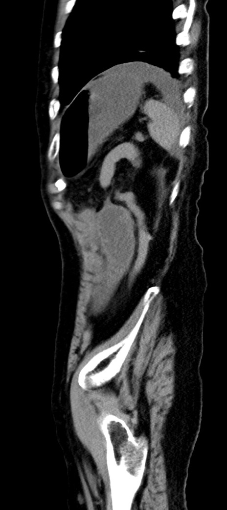
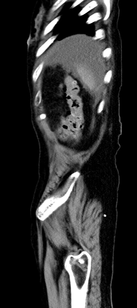
【症例】90歳代女性
【主訴】腹痛・嘔吐
【現病歴】 食欲低下、嘔吐があり昨日他院受診。肺炎と診断され入院となる。入院後より腹部全体に圧痛あり。胃管留置され経過みていたが、症状持続するため、
当院転院となる。
【既往歴】胸椎圧迫骨折、胆石症
【身体所見】腹部:中央に激痛あり、圧痛あり、反跳痛不明
【データ】WBC 17100、CRP 18.82

 

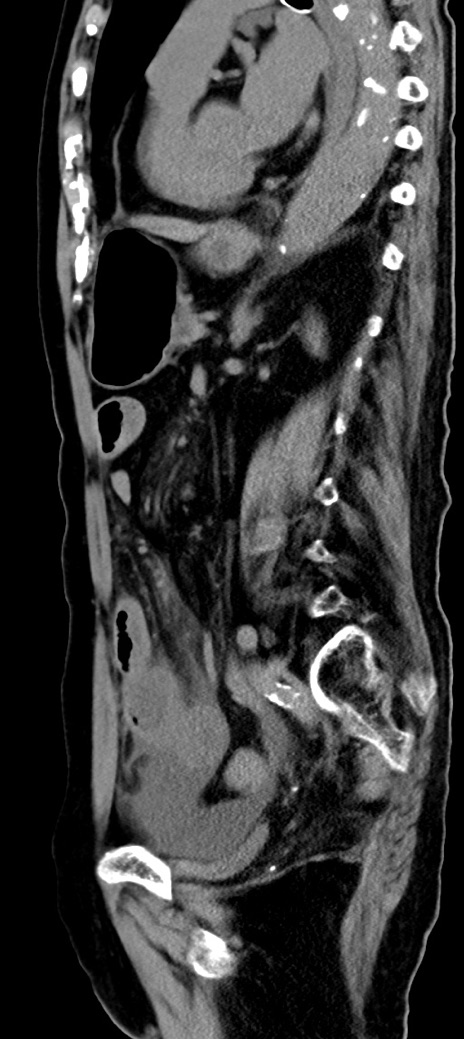
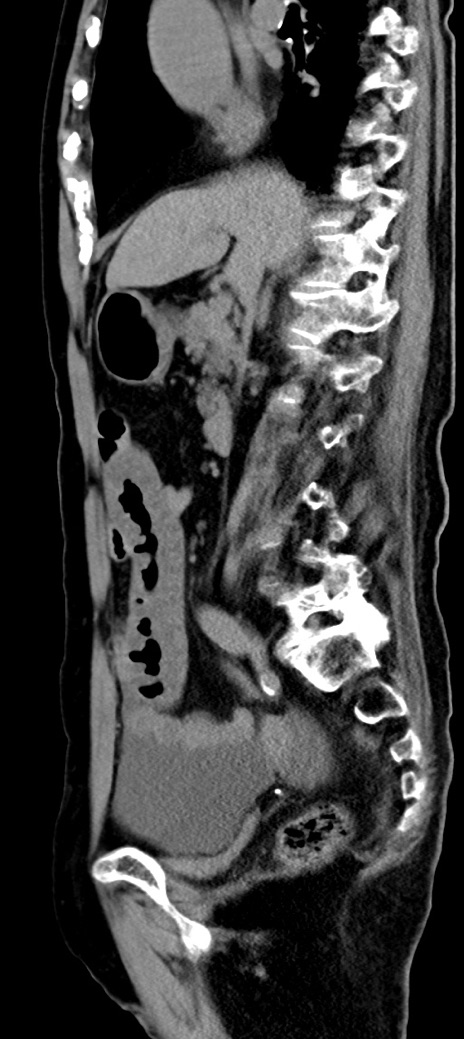
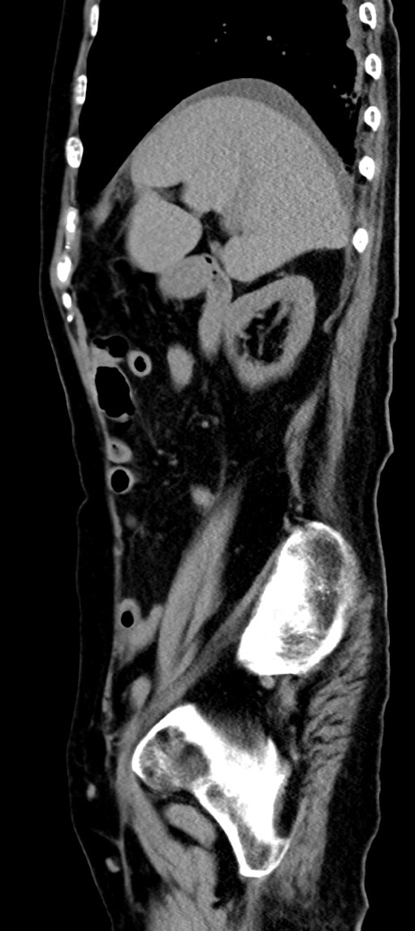
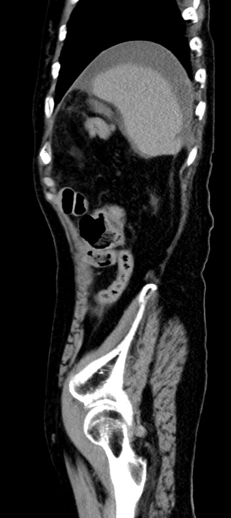
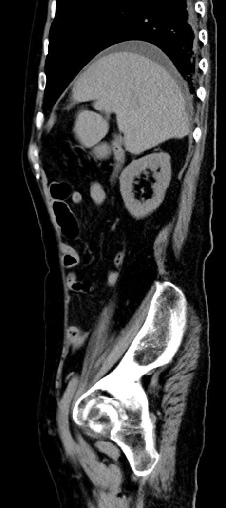
横断像
冠状断像

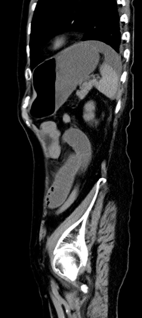
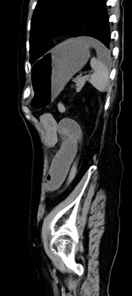
他院CT

横断像
冠状断像