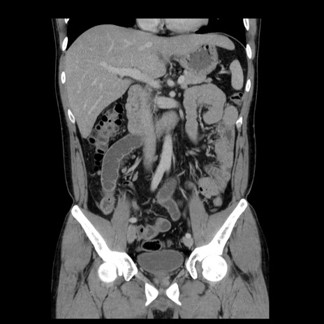
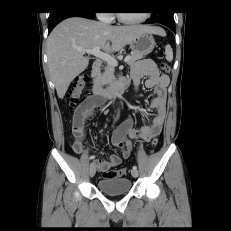
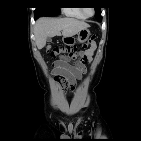
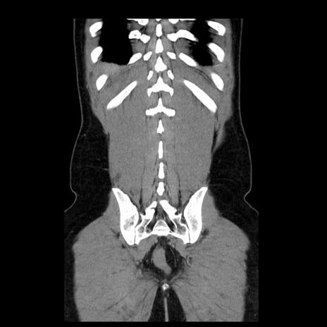
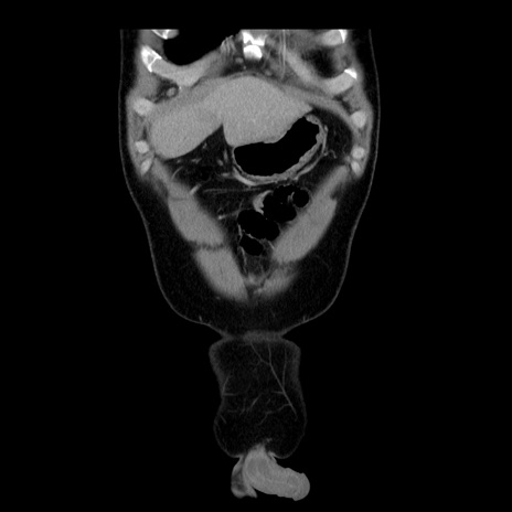
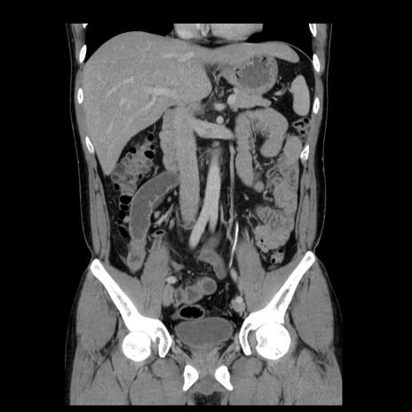
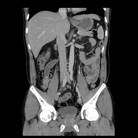
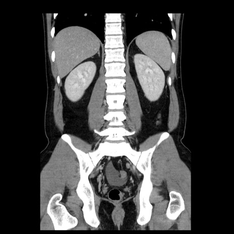
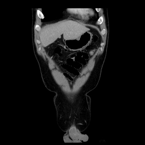
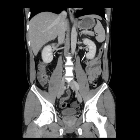
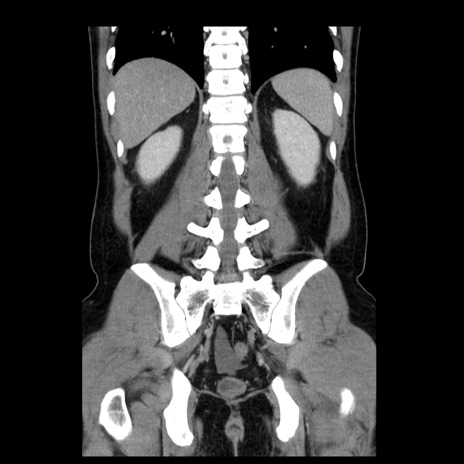
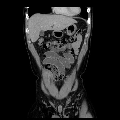
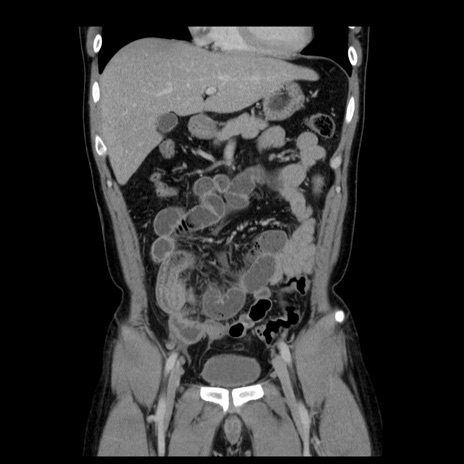
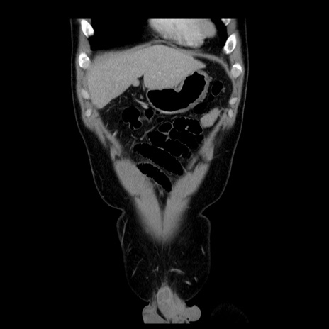
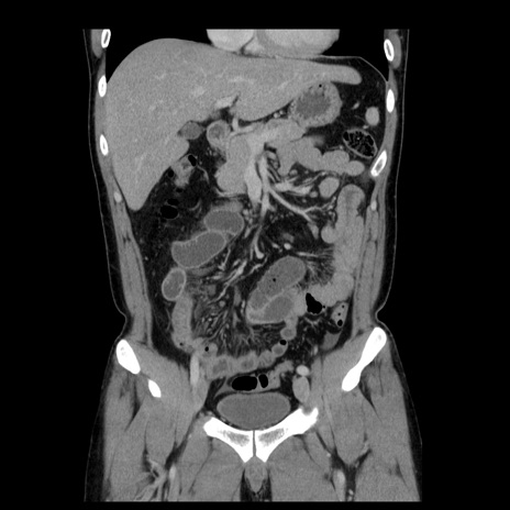
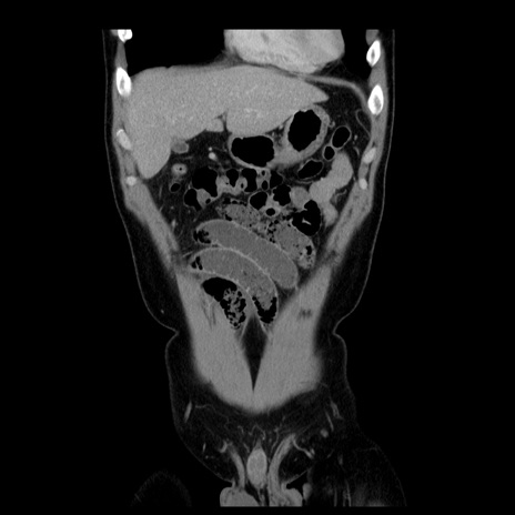
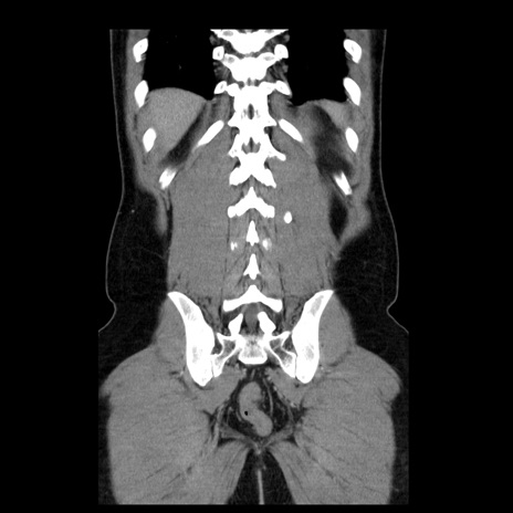
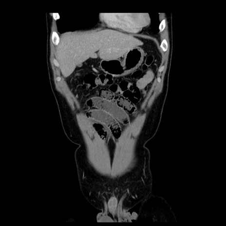
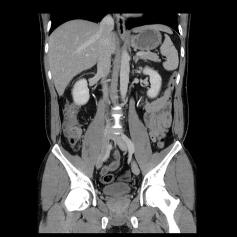
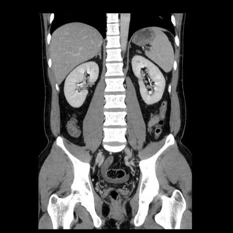
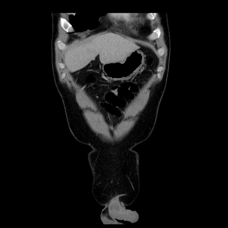
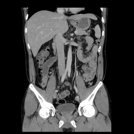
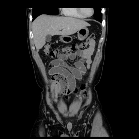
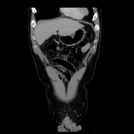
症例4(冠状断像)

 

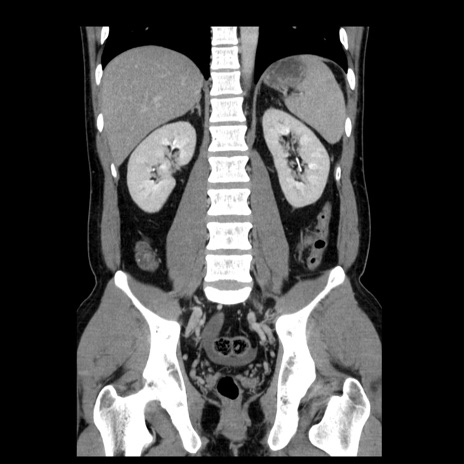
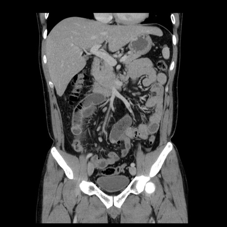
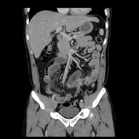
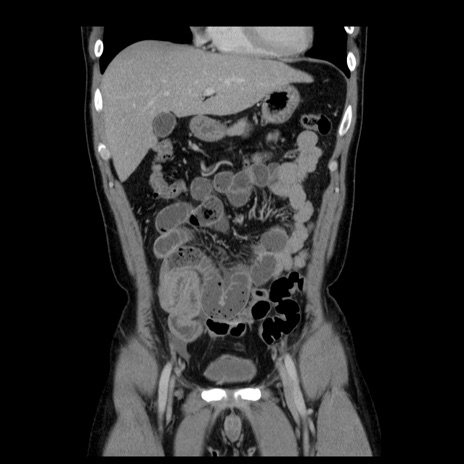
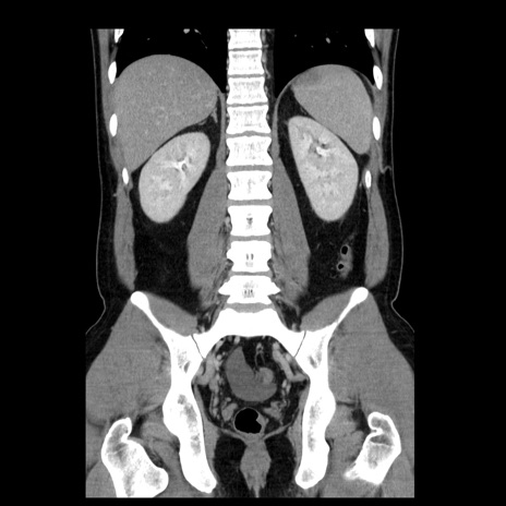
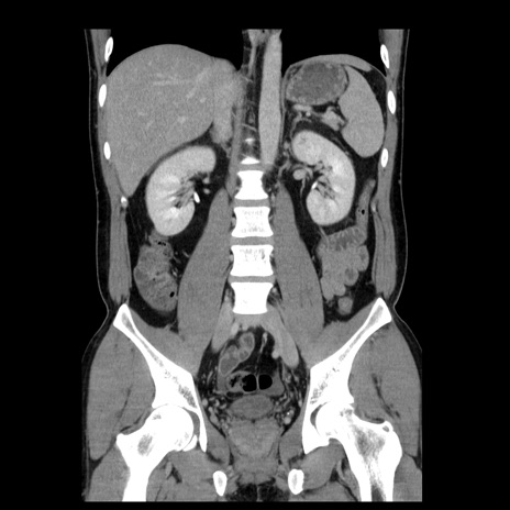
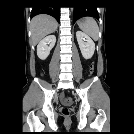
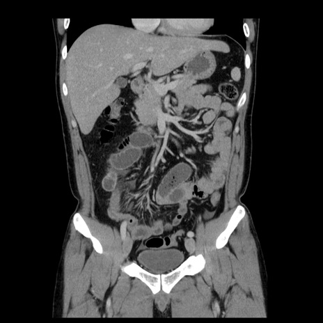
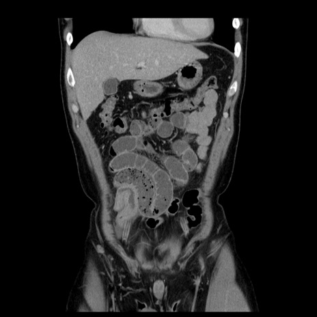
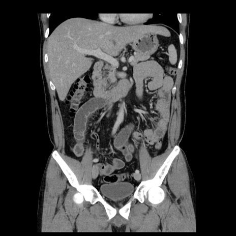
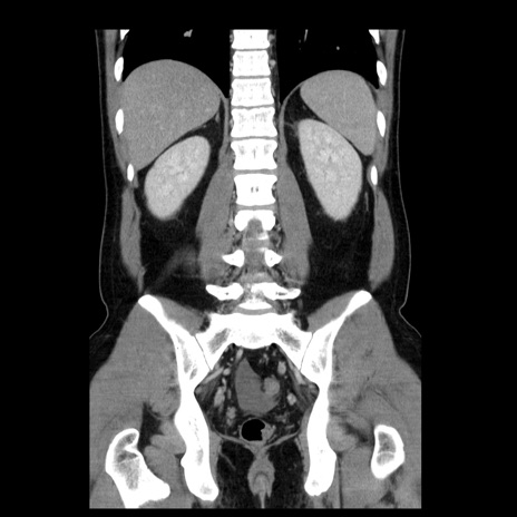
症例

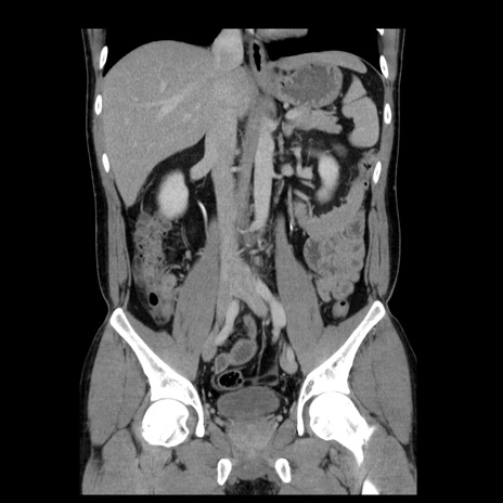
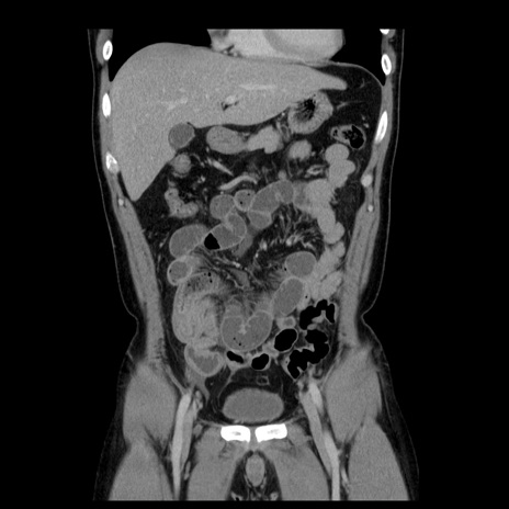
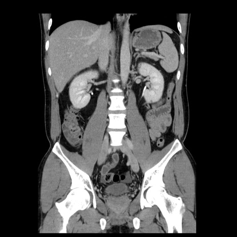
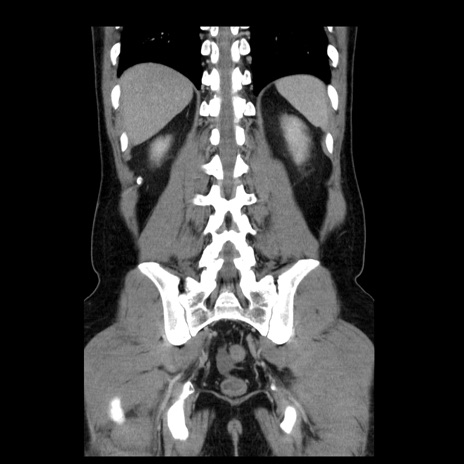
【症例】30歳代男性
【主訴】腹痛、嘔吐
【現病歴】昨晩から突然の腹痛あり、その後嘔吐、軟便も出現。腹痛が改善しないため救急搬送となる。2日前にしめ鯖の食事歴あり。
【身体所見】意識清明、苦悶様、BP 135/90mmHg、BT 35.7℃、腹部:平坦、やや硬、心窩部〜臍部に自発痛、圧痛あり、筋性防御+、反跳痛-
【データ】WBC 8100、CRP 0.57

横断像