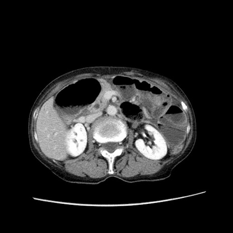
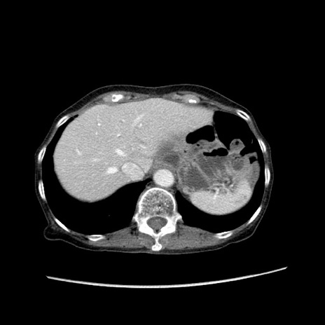
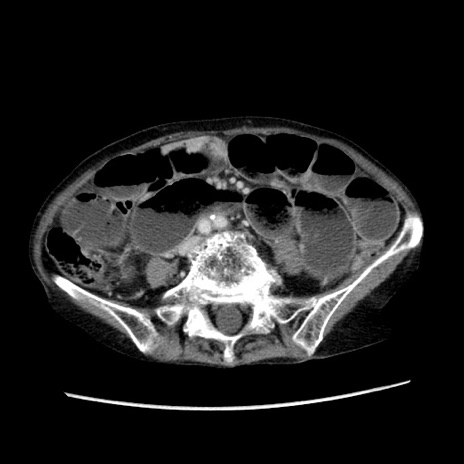
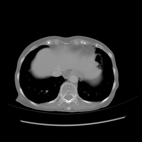
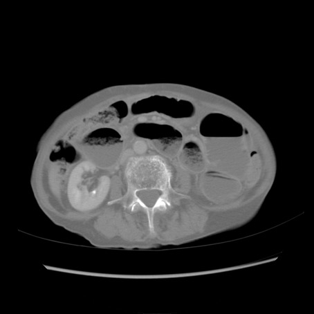
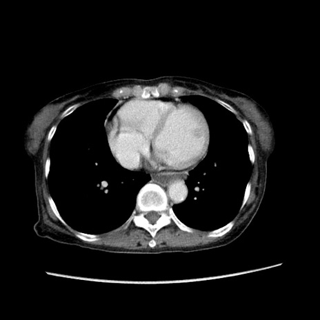
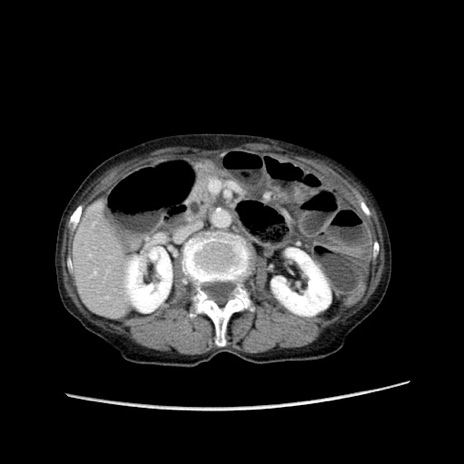
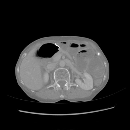
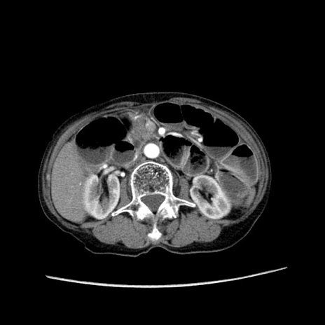
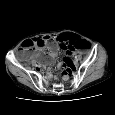
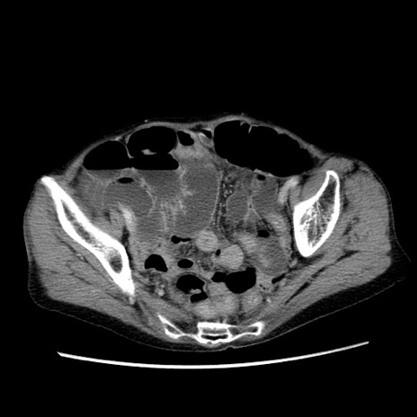
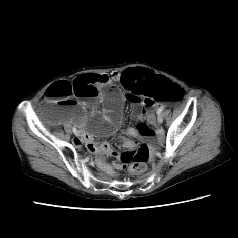
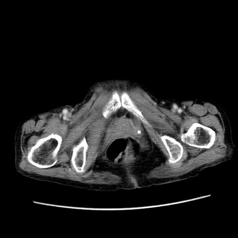
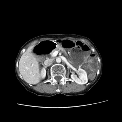
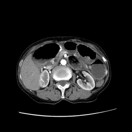
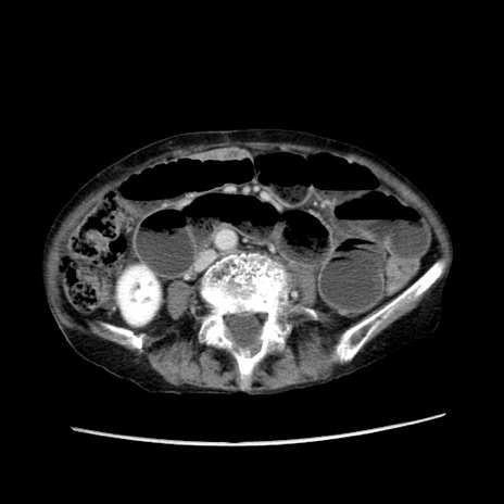
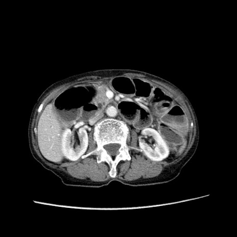
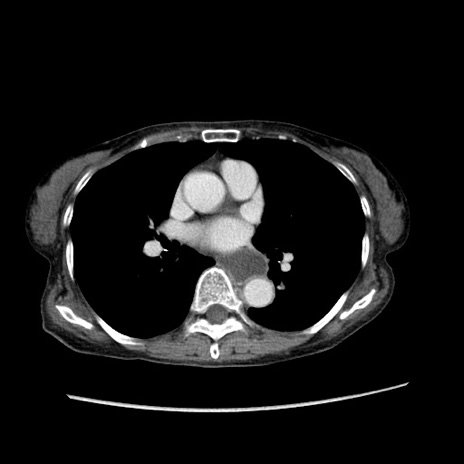
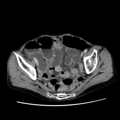
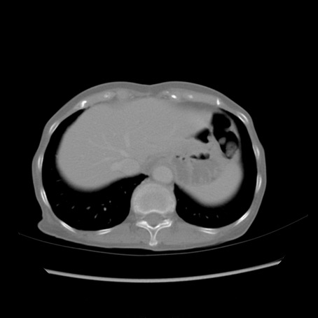
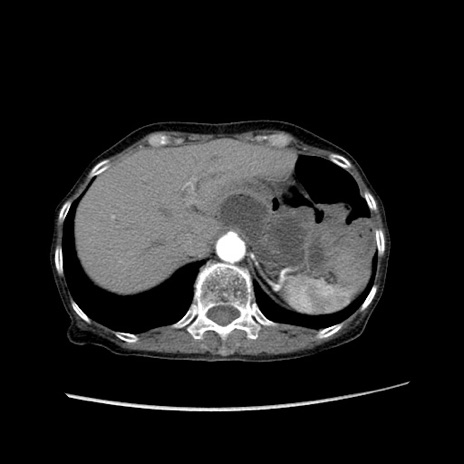
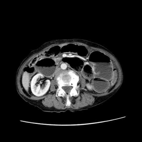
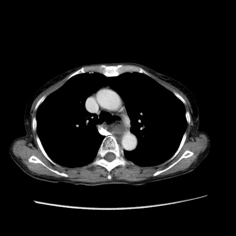
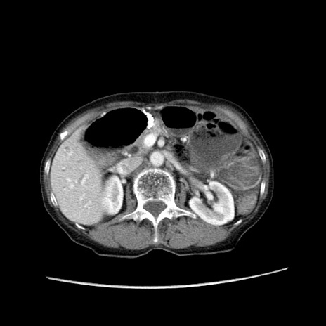
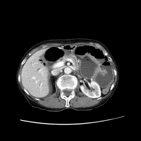
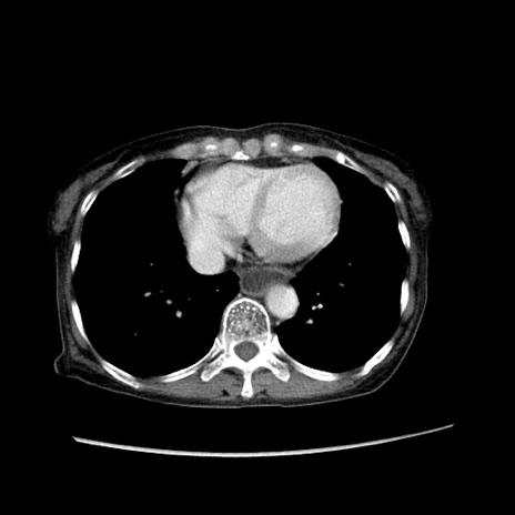
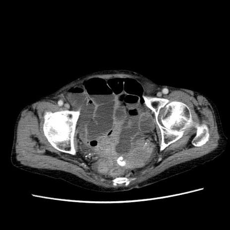
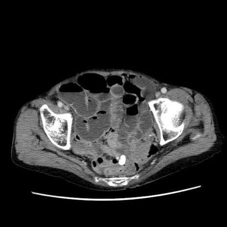
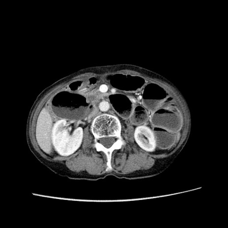
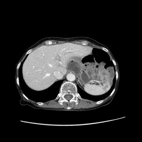
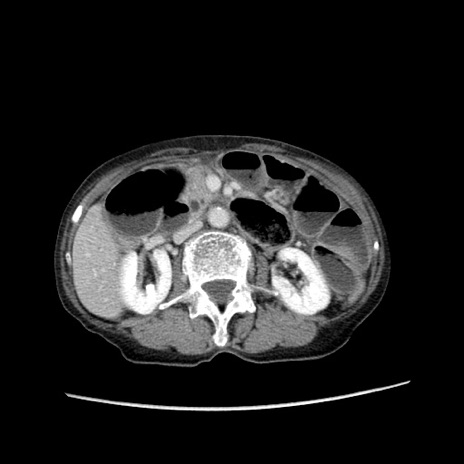
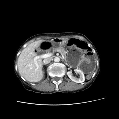
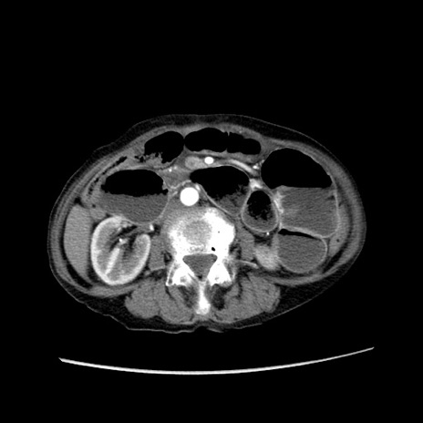
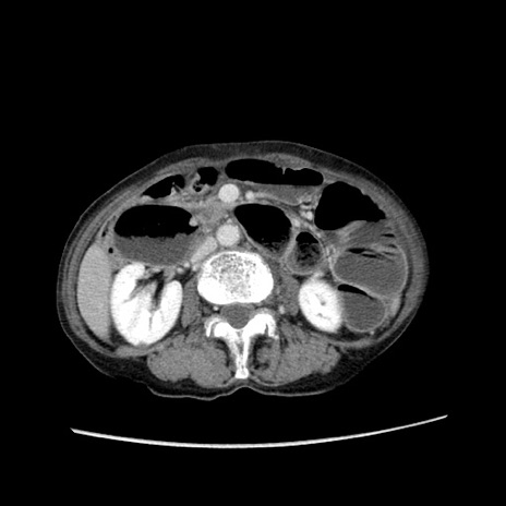
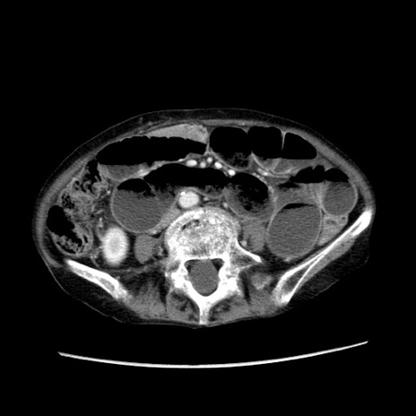
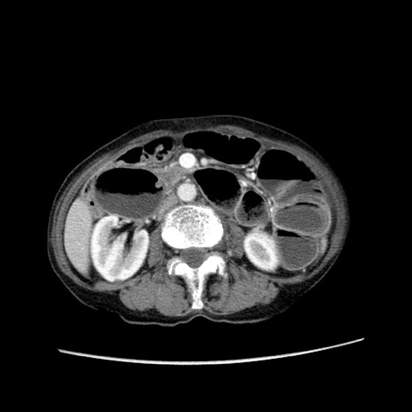
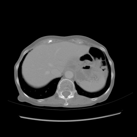
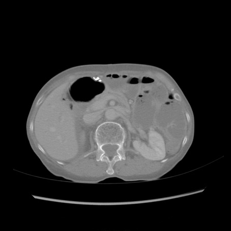
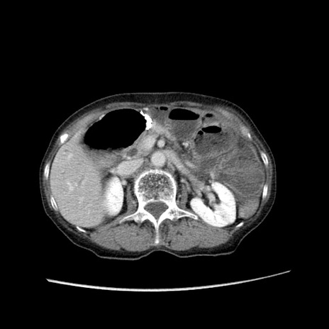
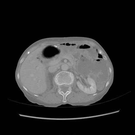
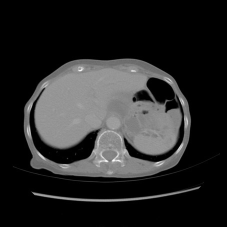
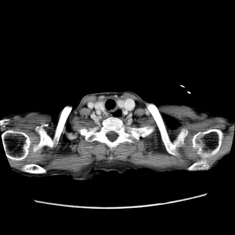
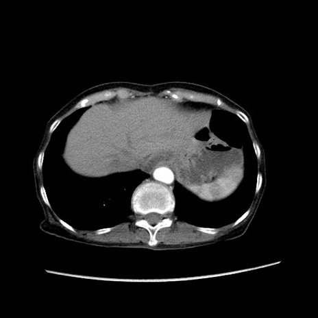
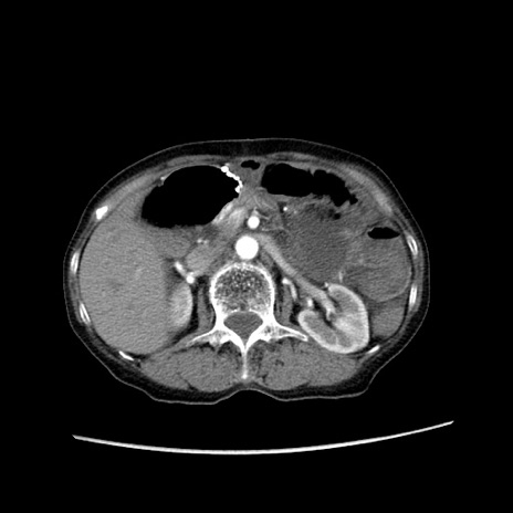
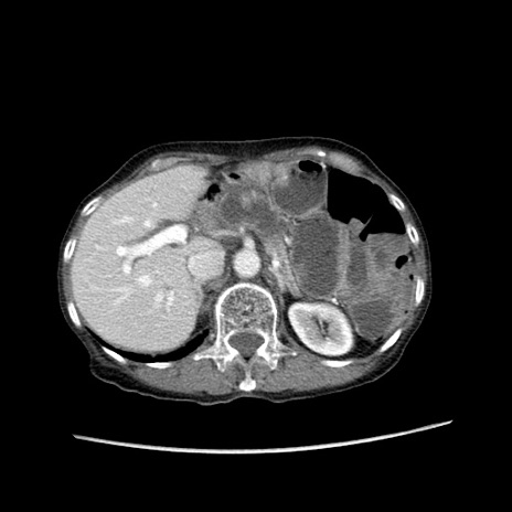
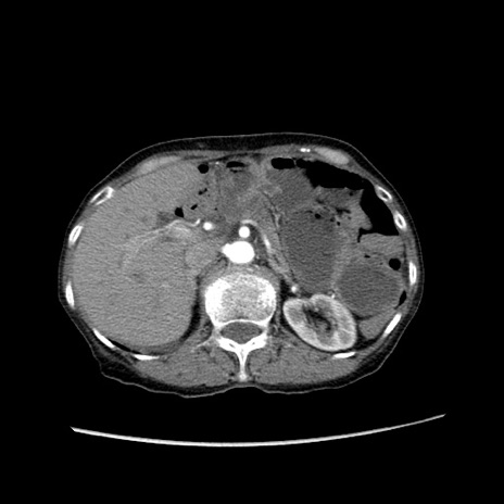
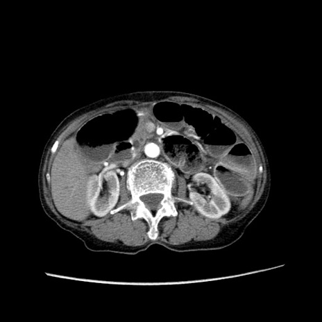
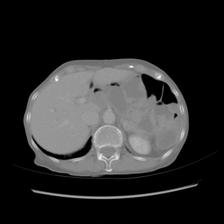
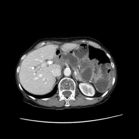
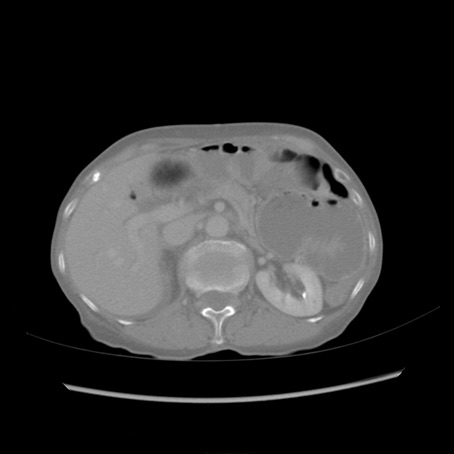
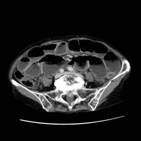
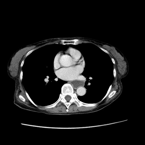
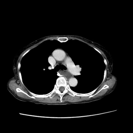
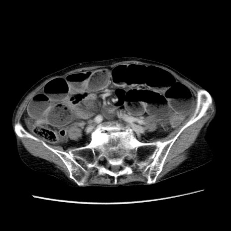
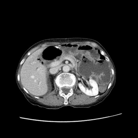
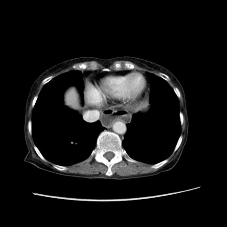
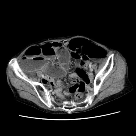
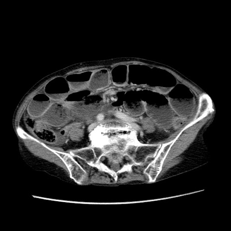
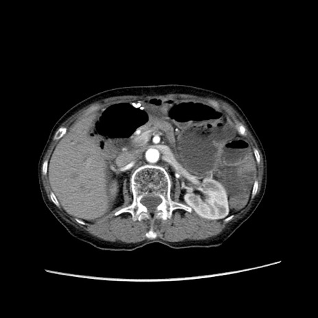
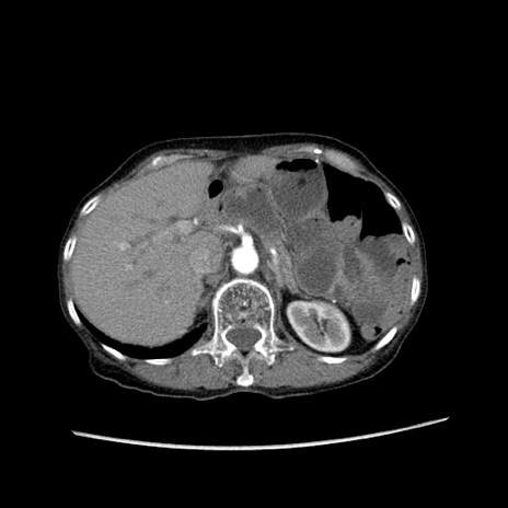
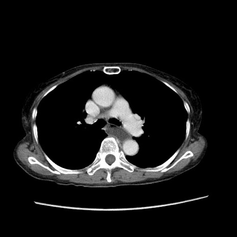
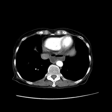
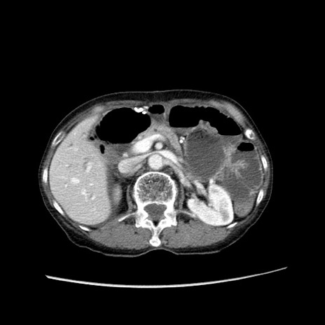
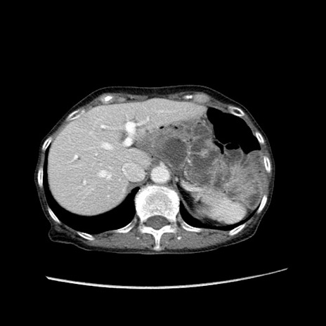
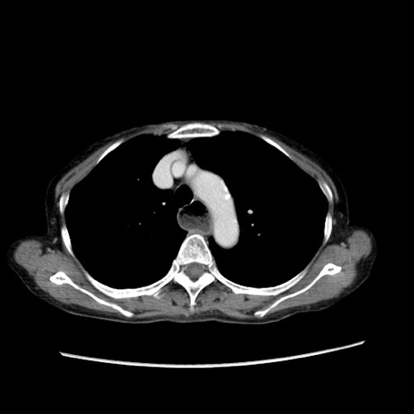
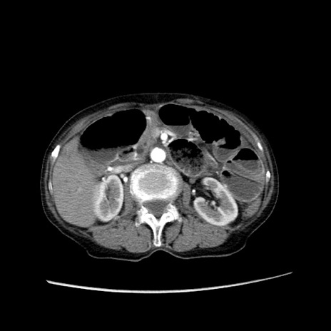
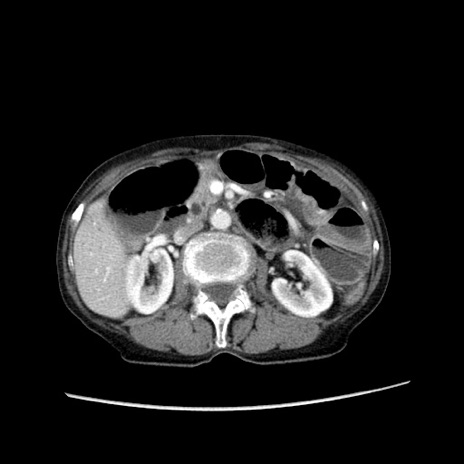
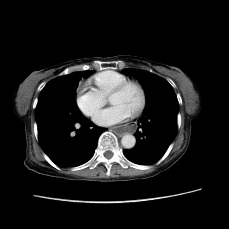
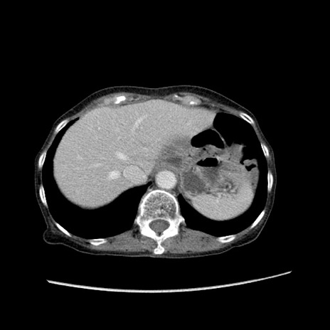
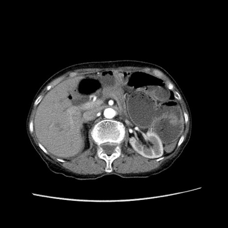
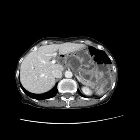
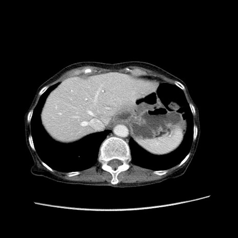
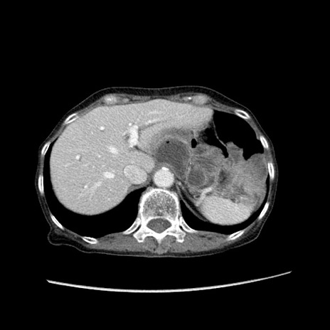
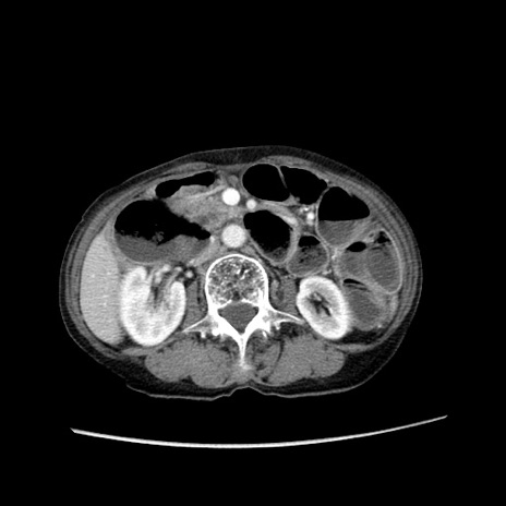
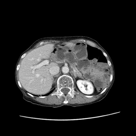
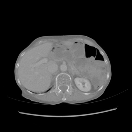
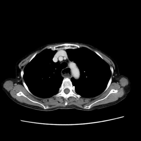
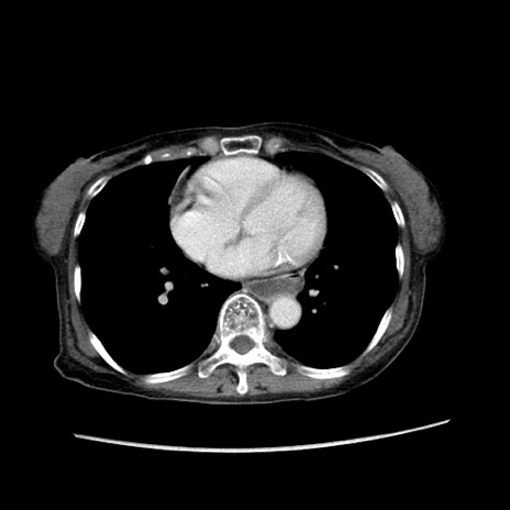
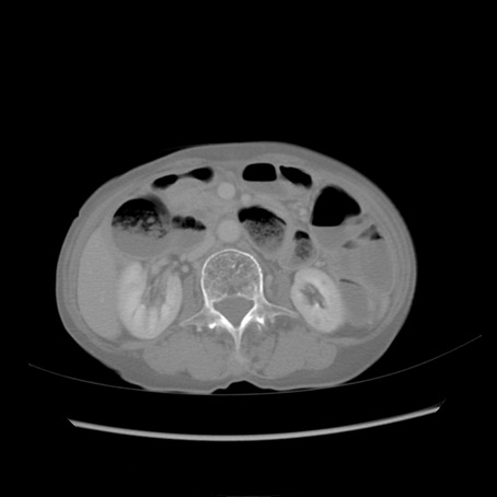
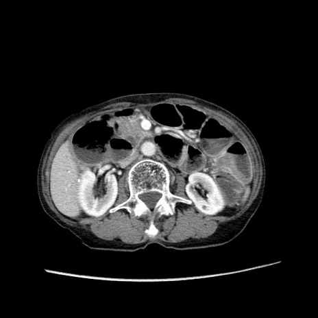
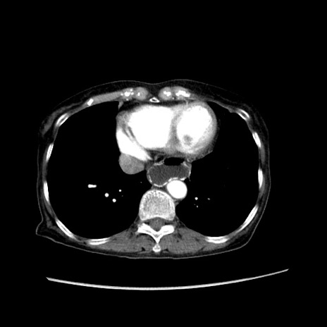
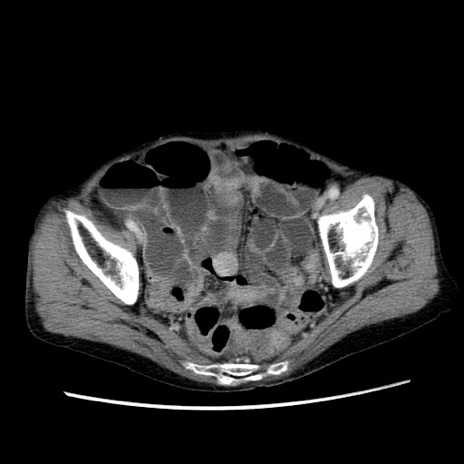
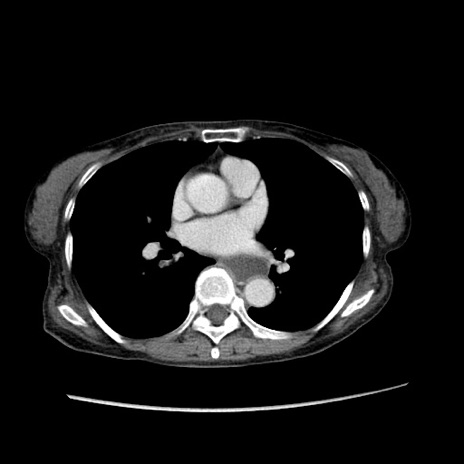
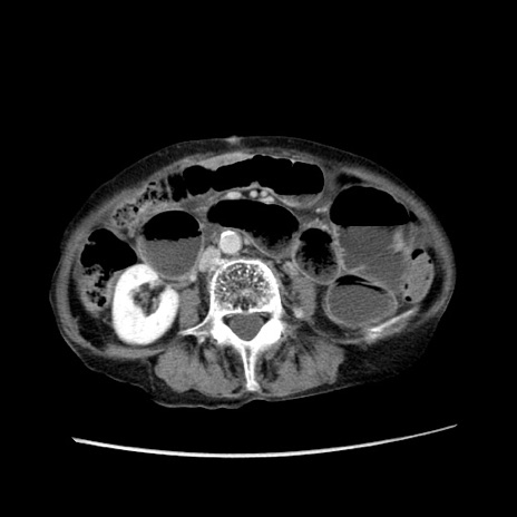
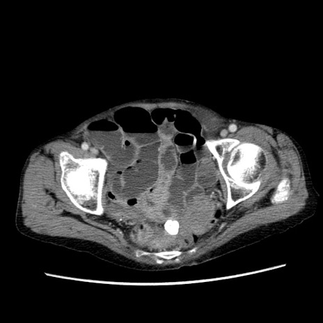
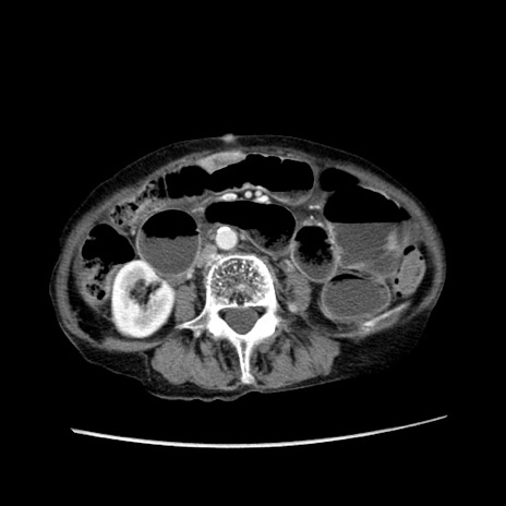
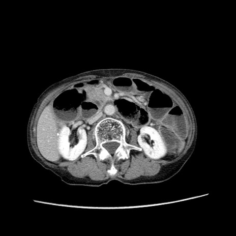
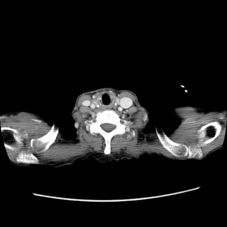
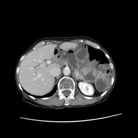
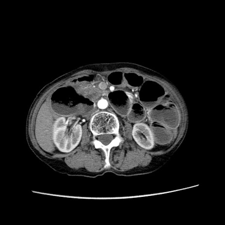
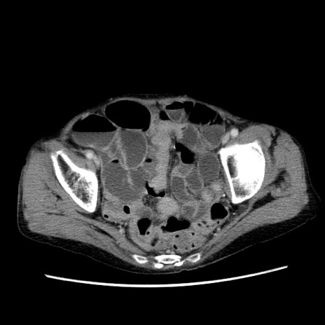
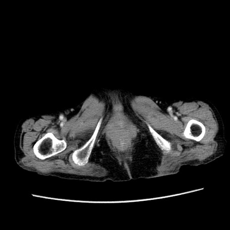
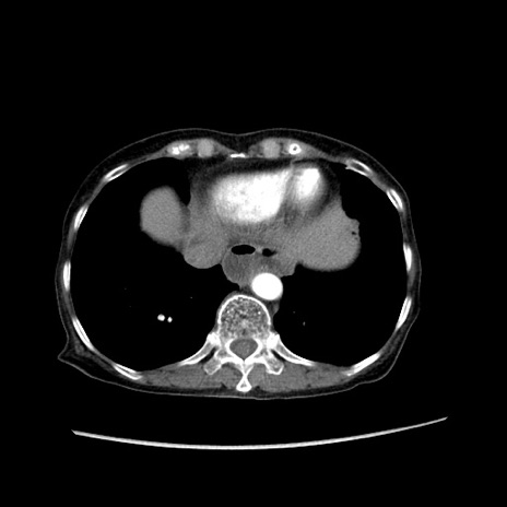
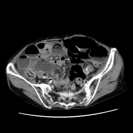
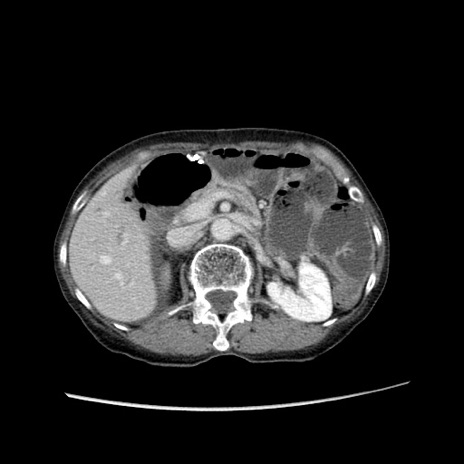
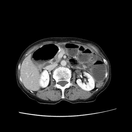
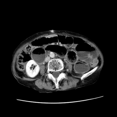
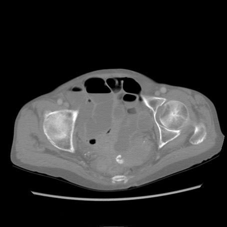
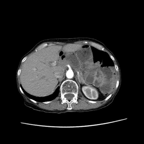
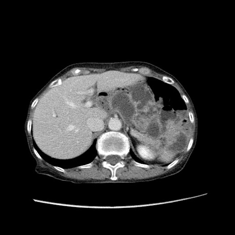
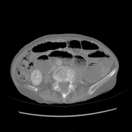
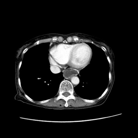
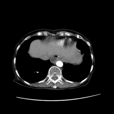
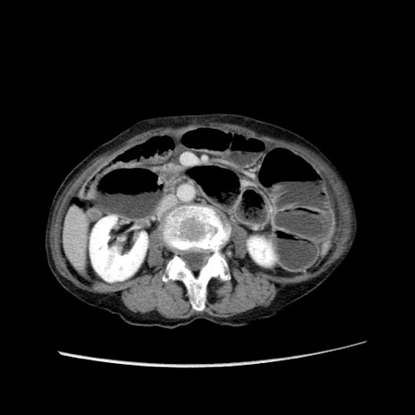
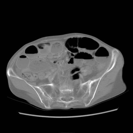
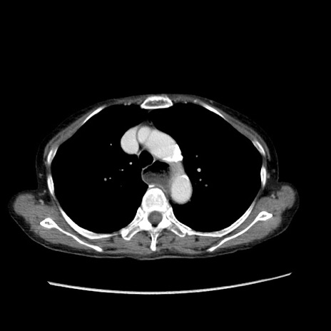
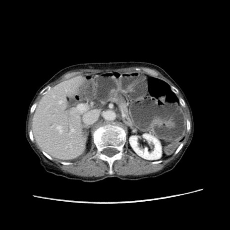
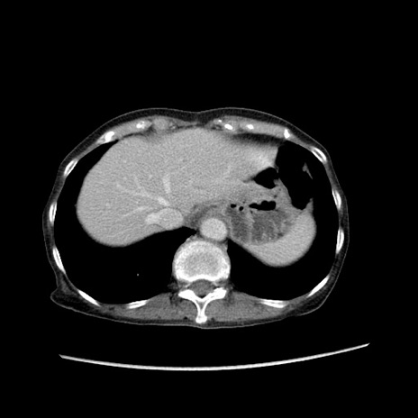
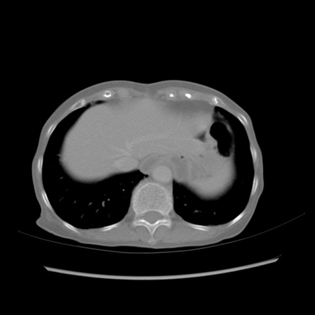
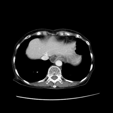
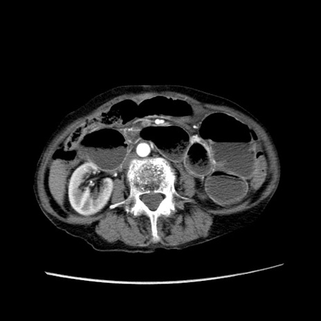
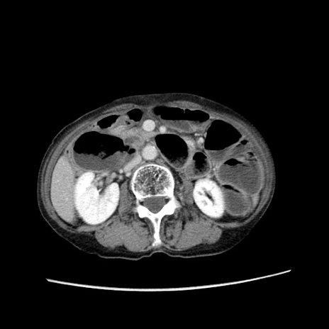
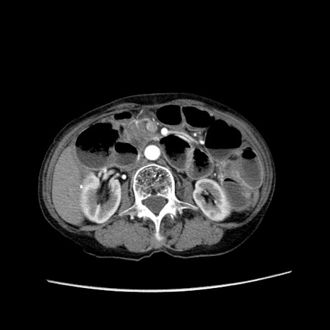
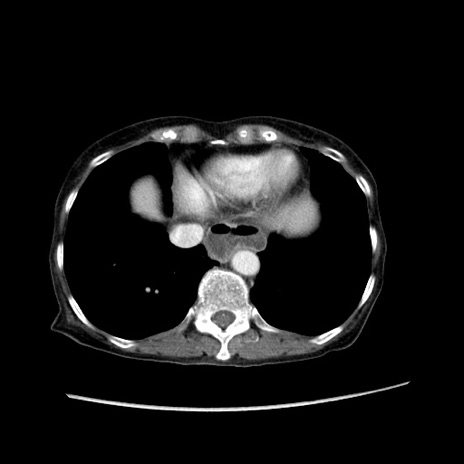
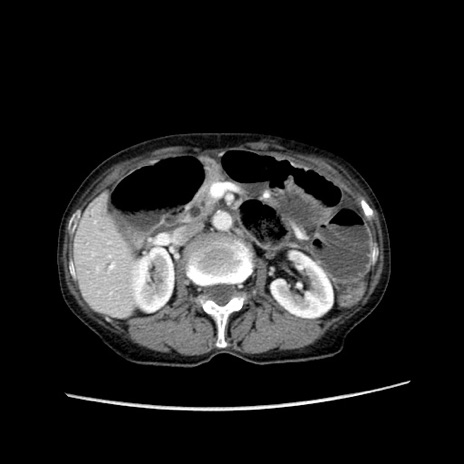
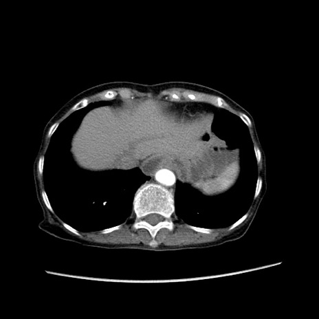
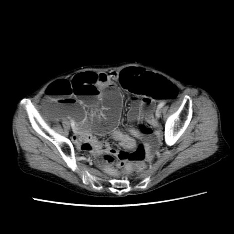
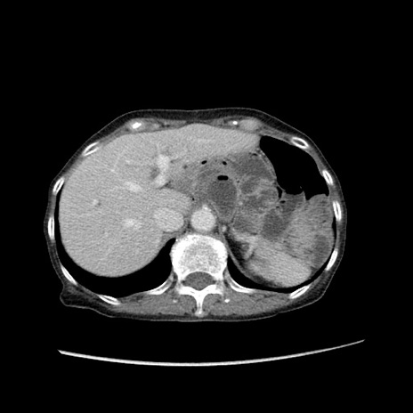
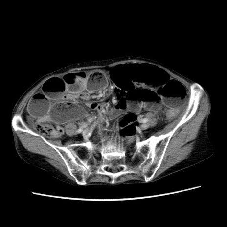
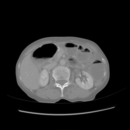
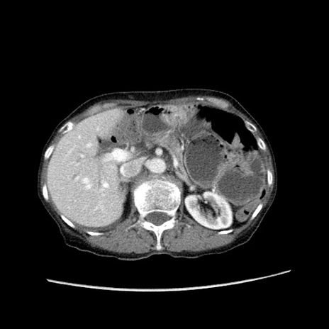
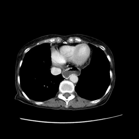
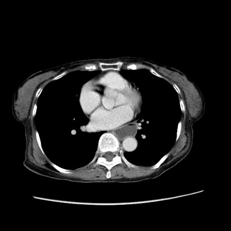
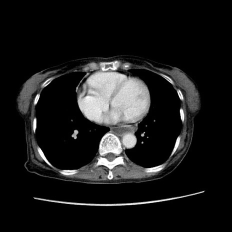
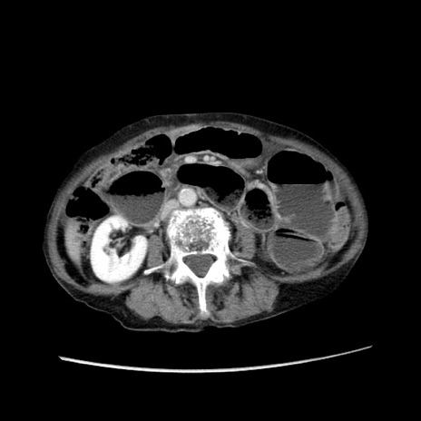
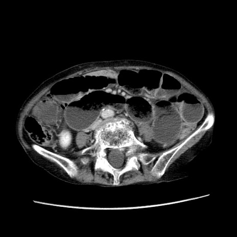
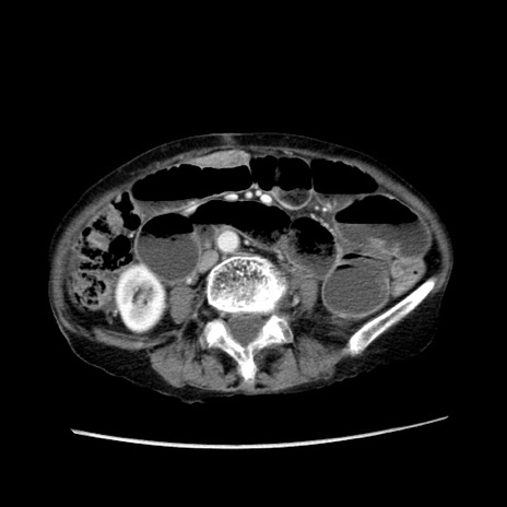
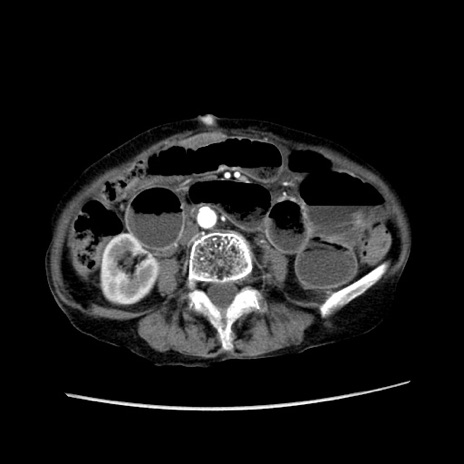
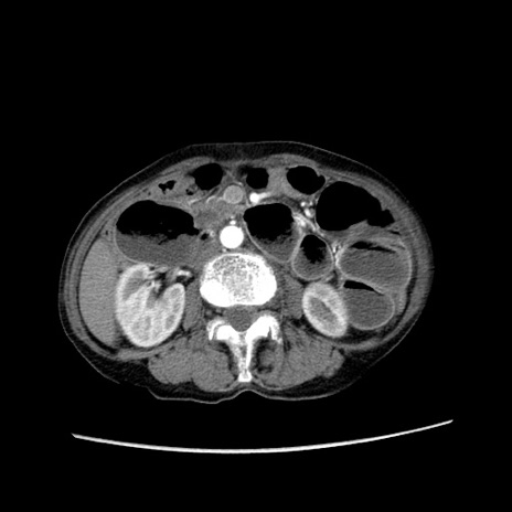
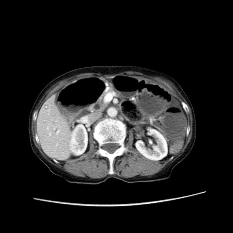
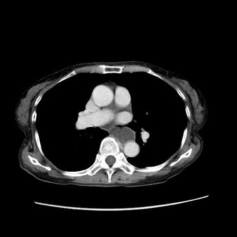
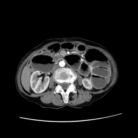
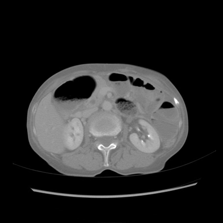
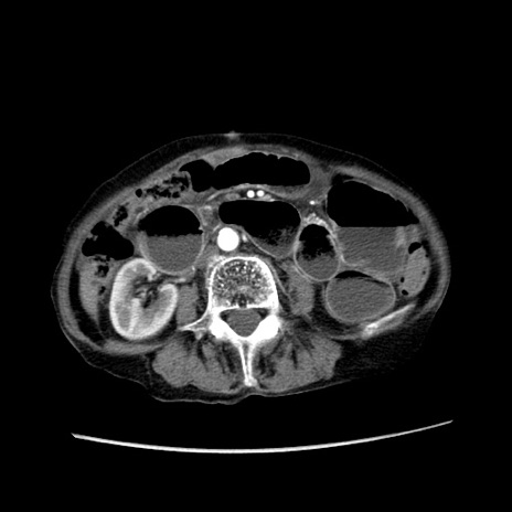
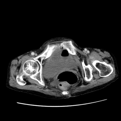
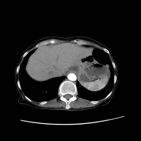
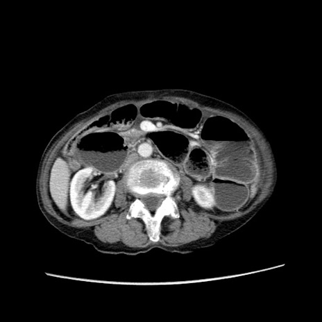
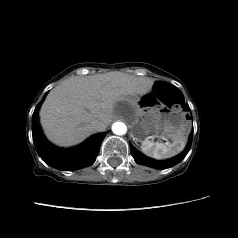
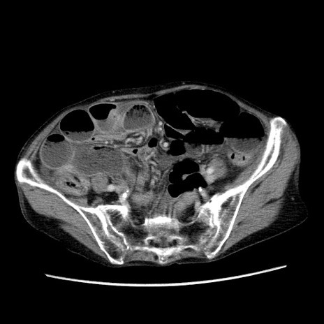
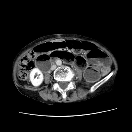
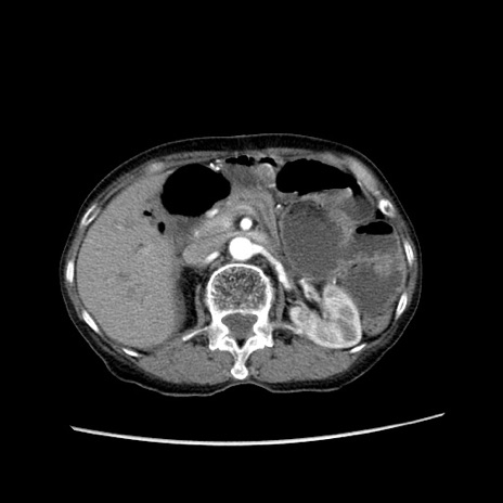
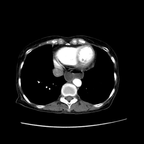
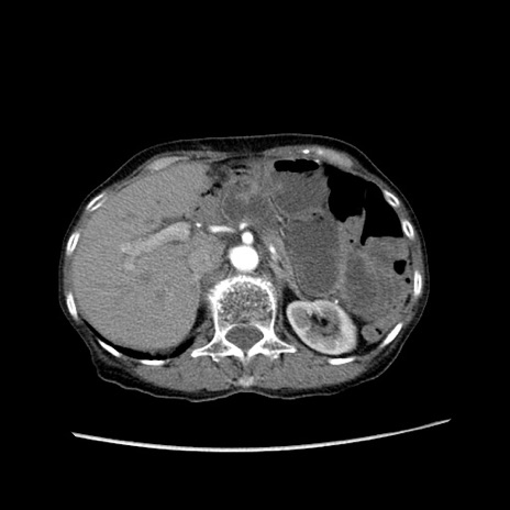
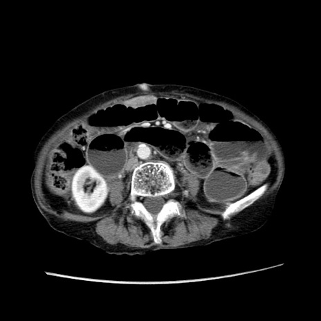
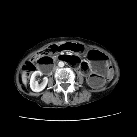
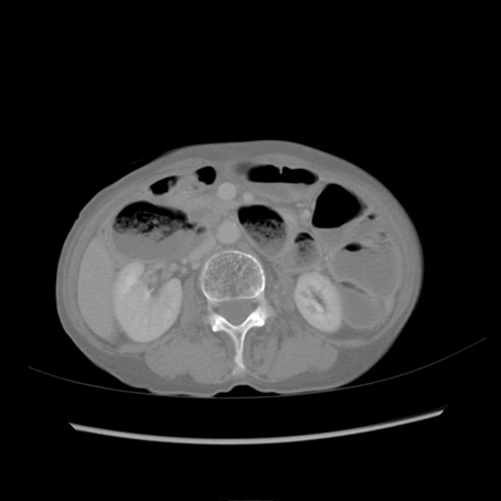
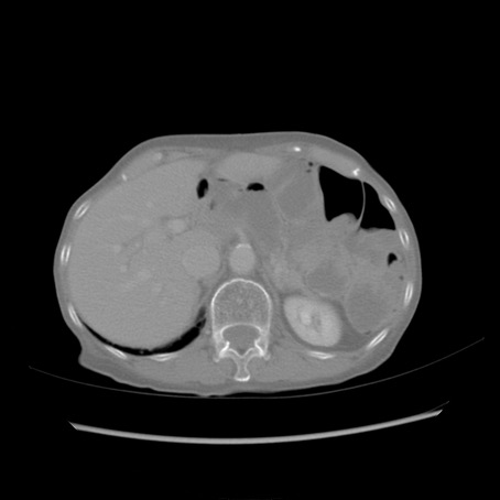
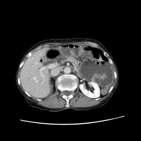
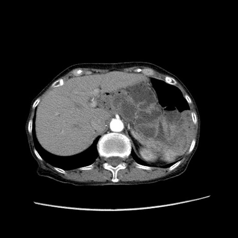
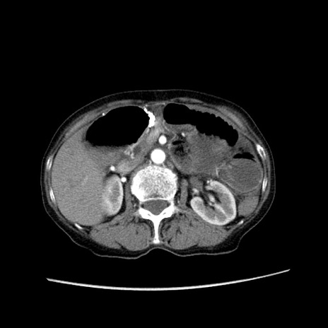
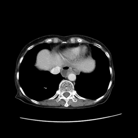
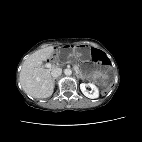
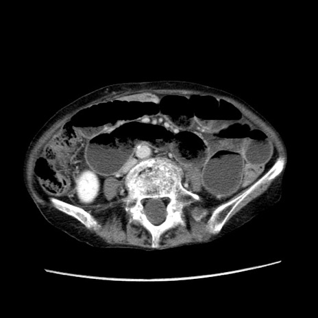
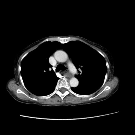
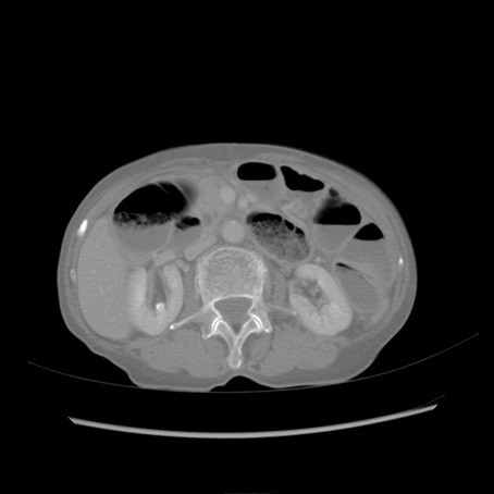
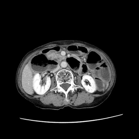
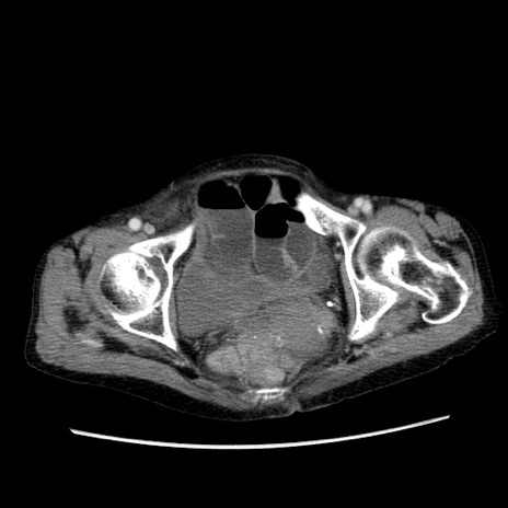
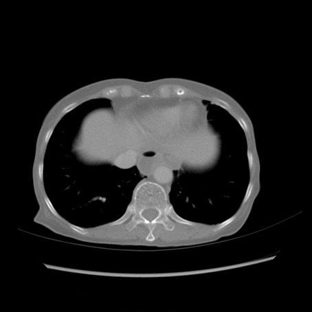
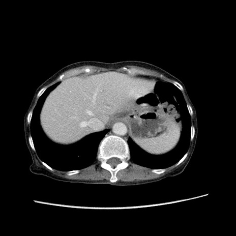
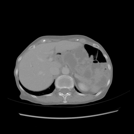
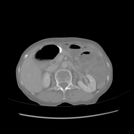
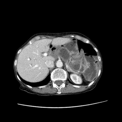
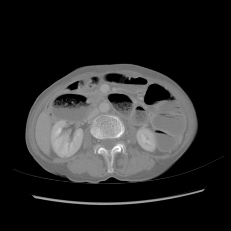
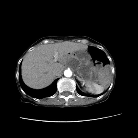
症例25(横断像)

 

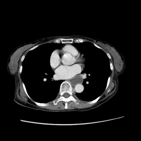
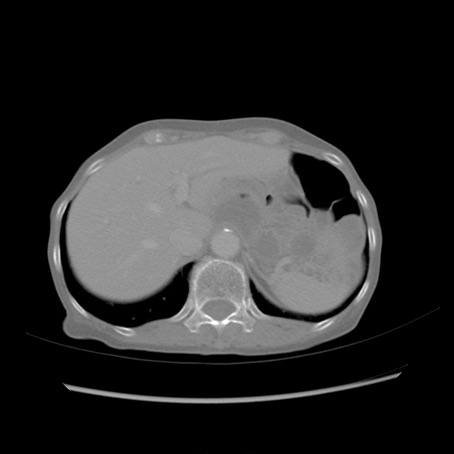
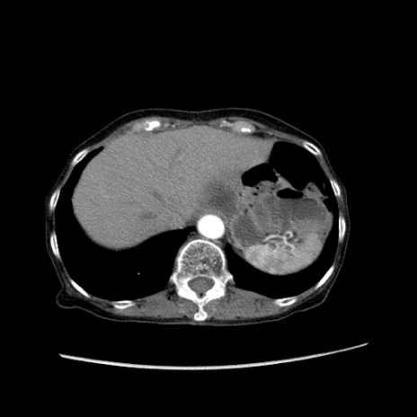
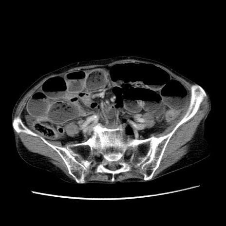
症例

【症例】80歳代女性
【主訴】胸のつかえ感
【現病歴】約9時間前に食後から胸のつかえた感じあり、嘔吐あり、来院。
【既往歴】胃癌(全摘)、胆摘、虫垂炎
【身体所見】心窩部に圧痛あり、反跳痛なし。
【データ】WBC 5700、CRP 0.05

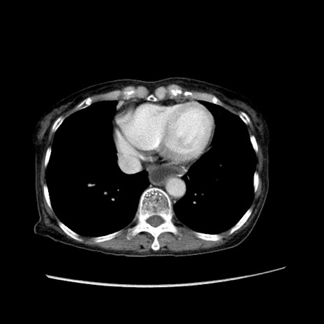
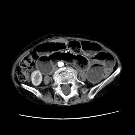
冠状断像