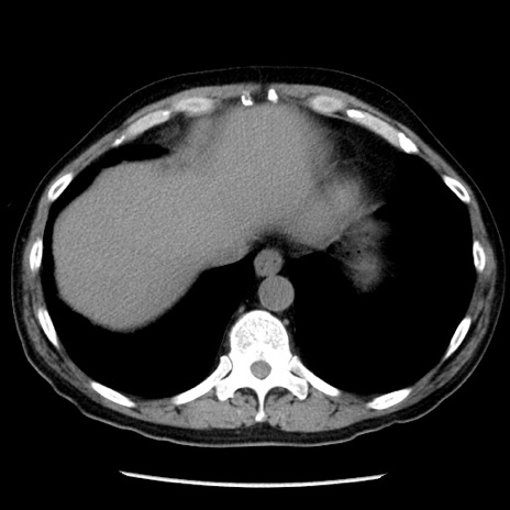
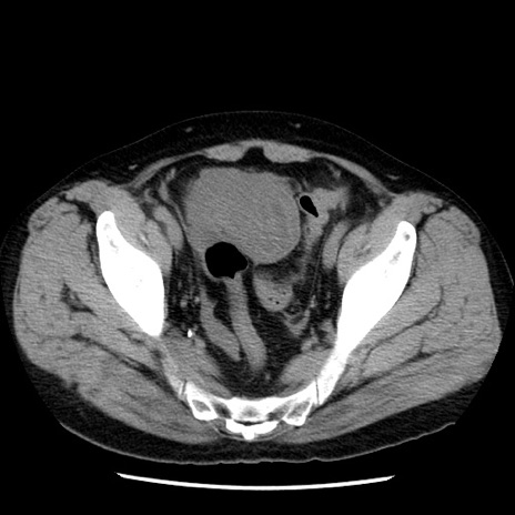
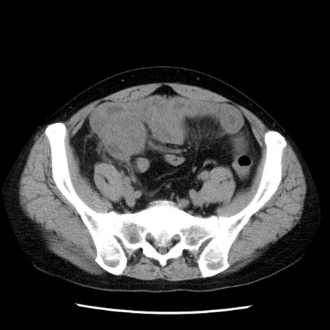
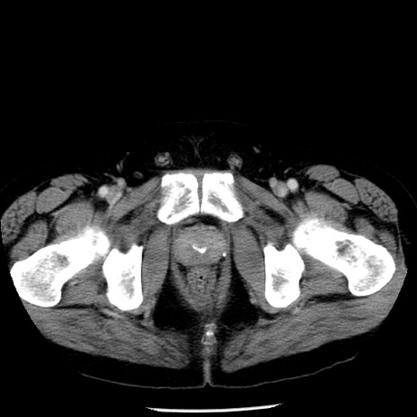
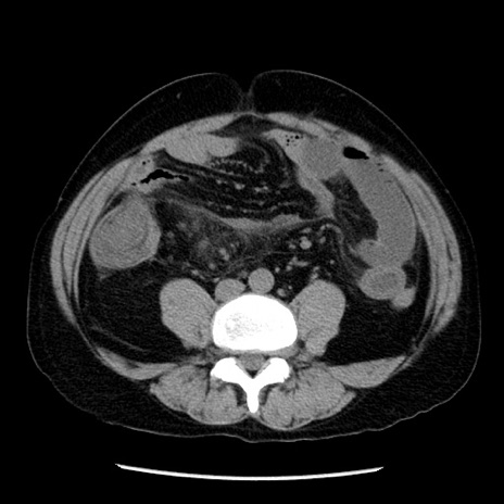
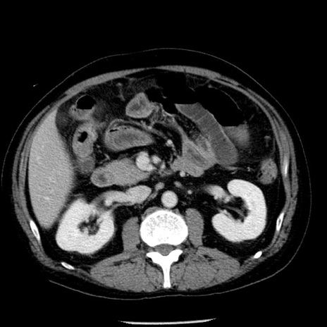
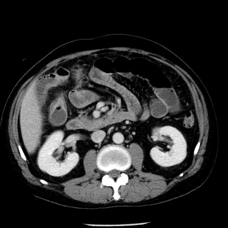
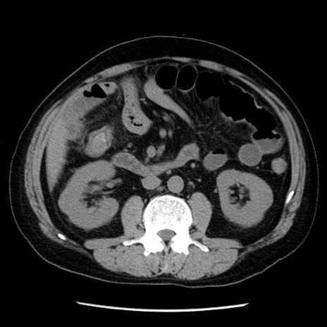
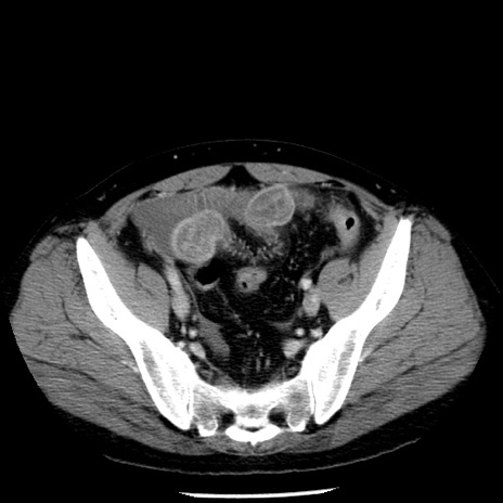
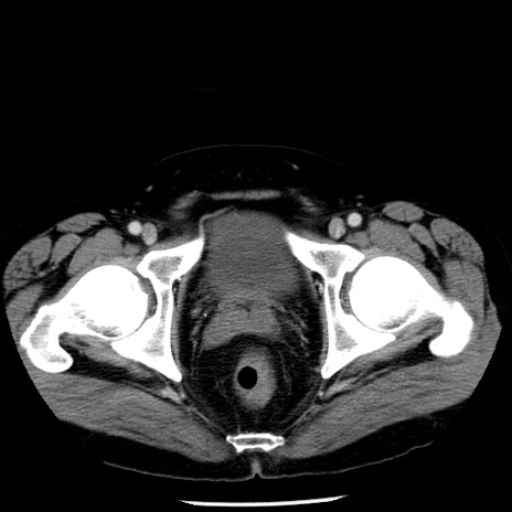
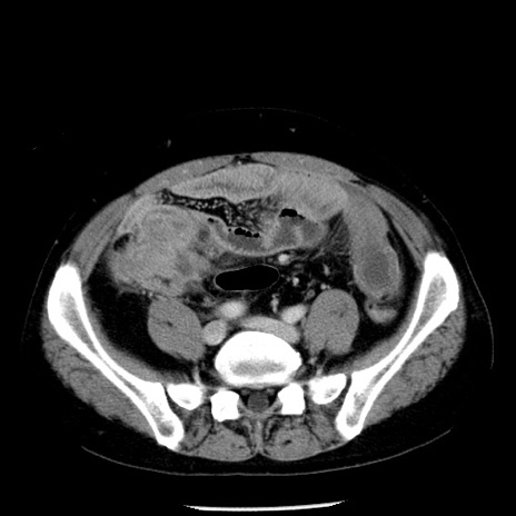
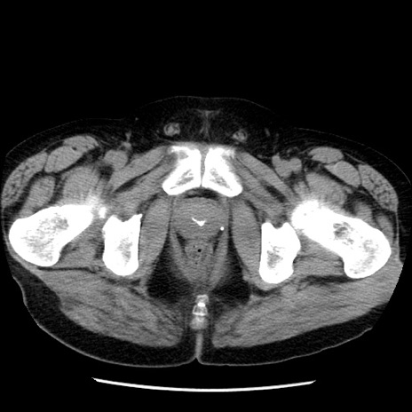
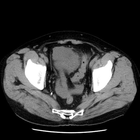
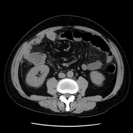
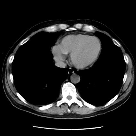
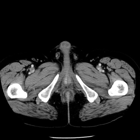
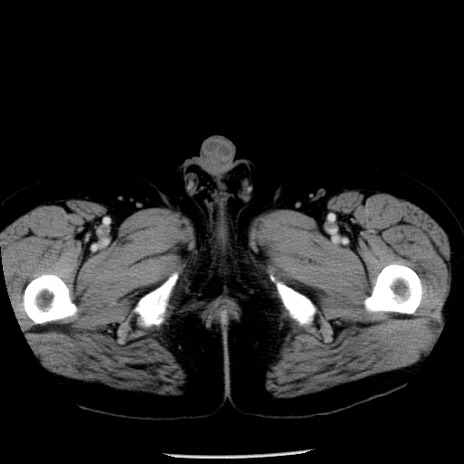
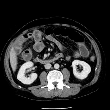
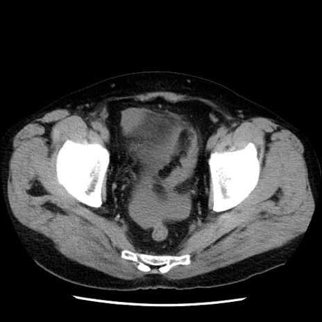
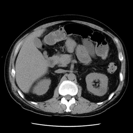
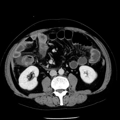
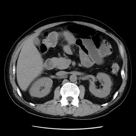
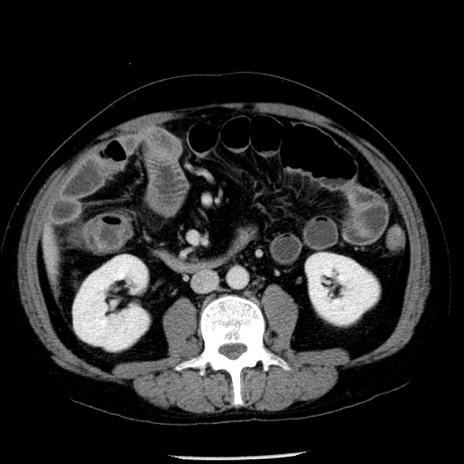
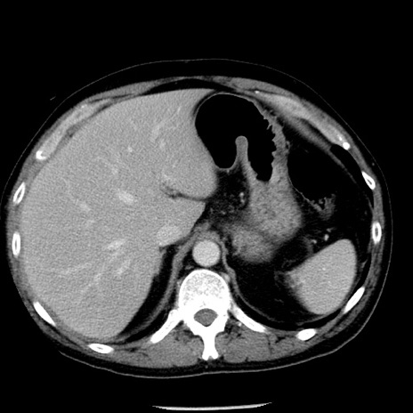
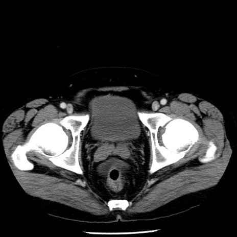
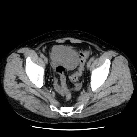
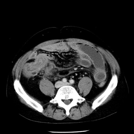
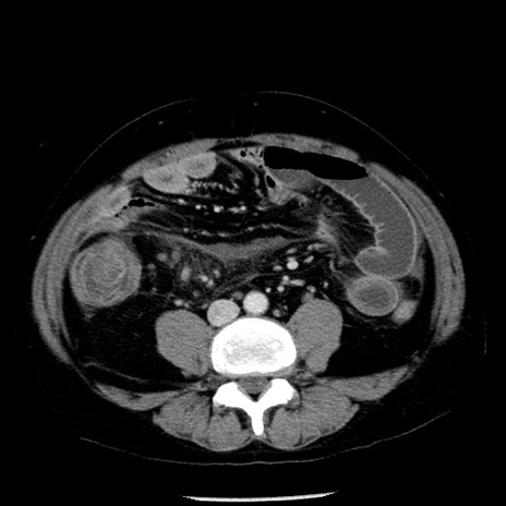
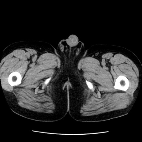
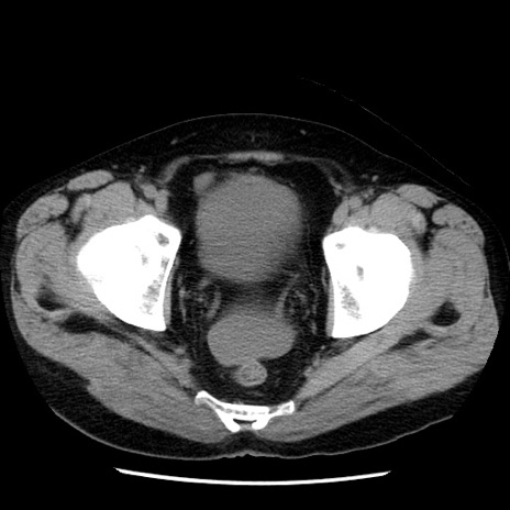
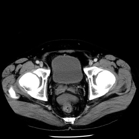
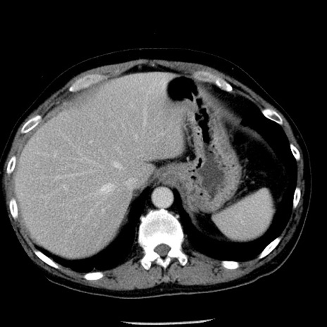
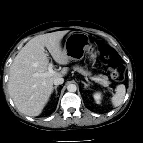
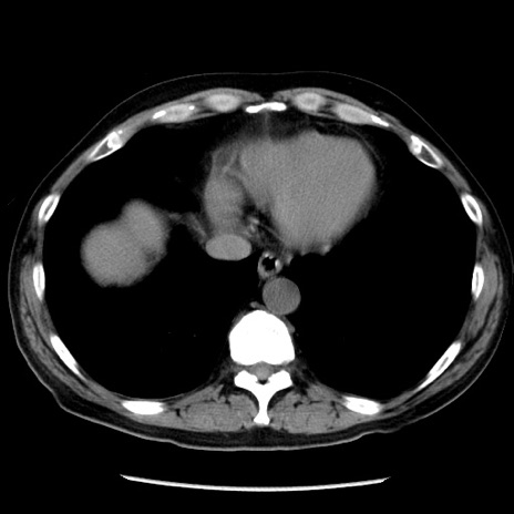
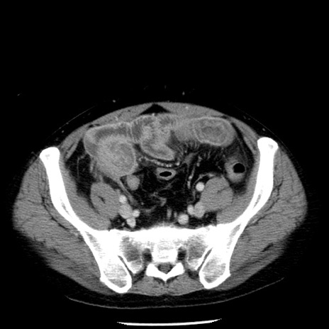
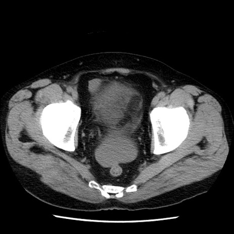
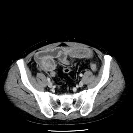
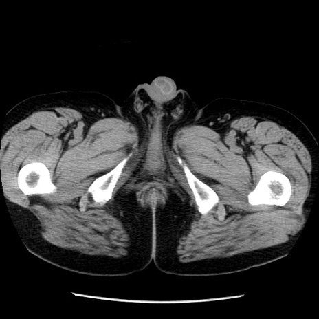
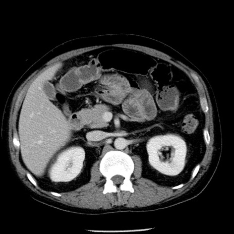
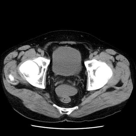
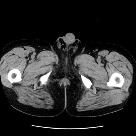
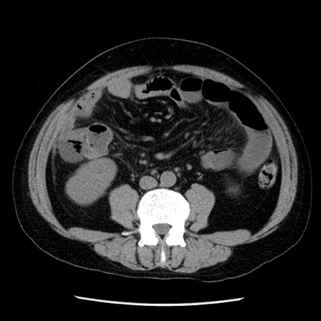
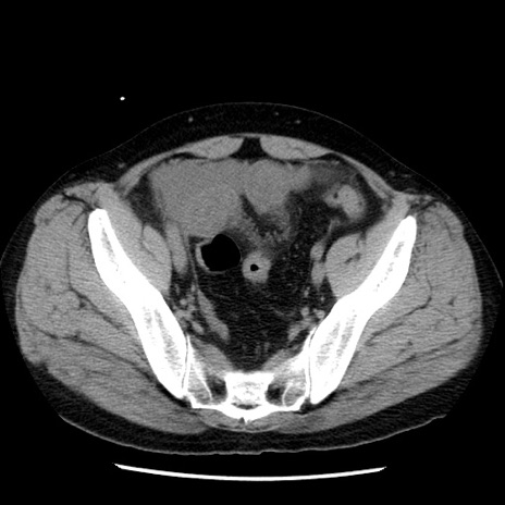
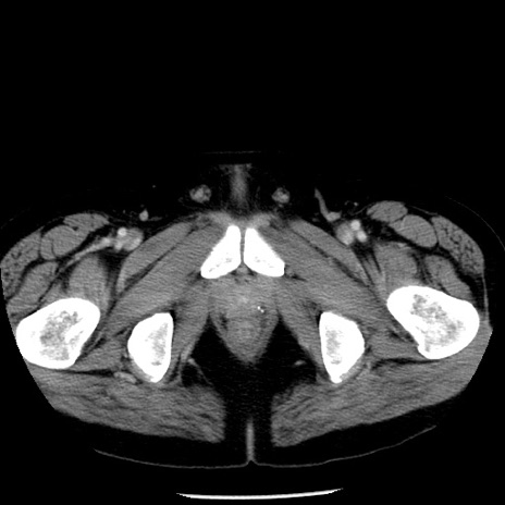
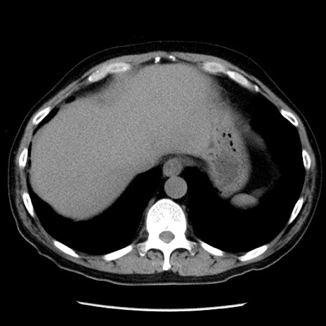
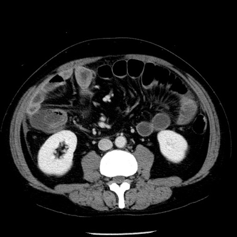
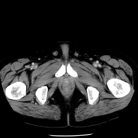
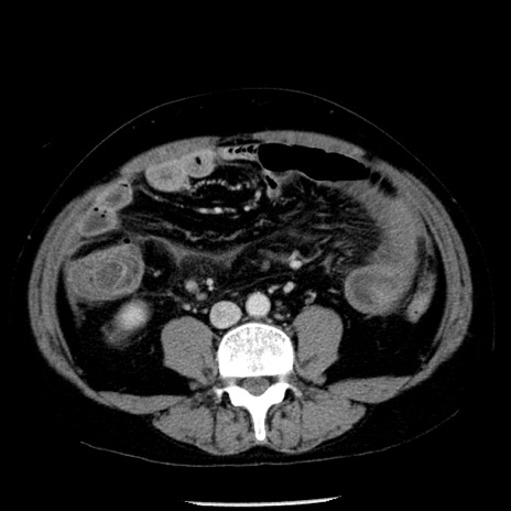
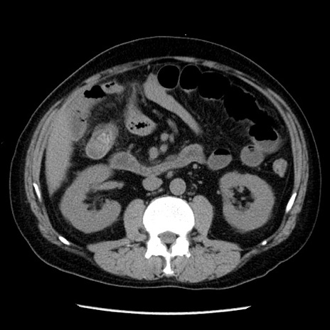
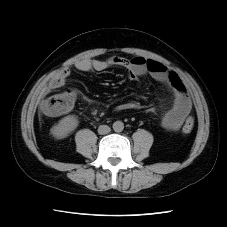
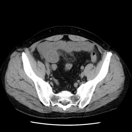
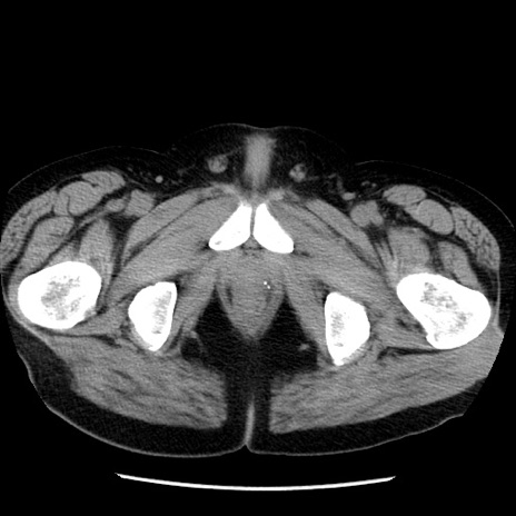
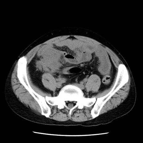
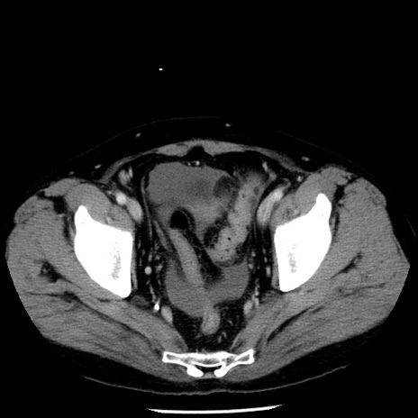
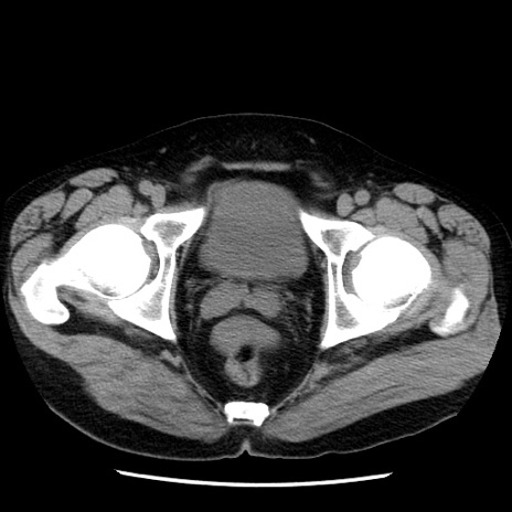
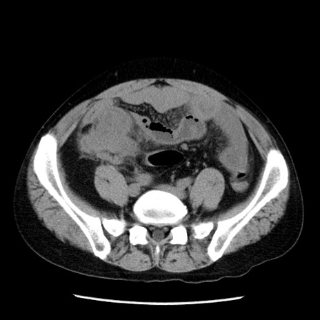
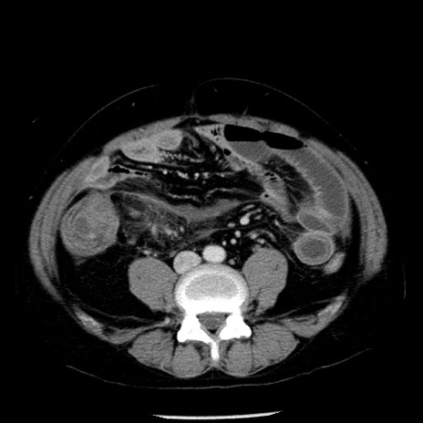
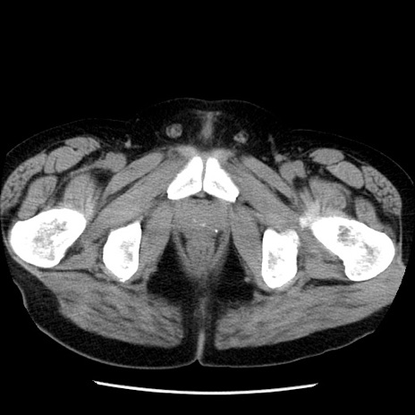
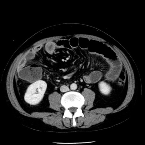
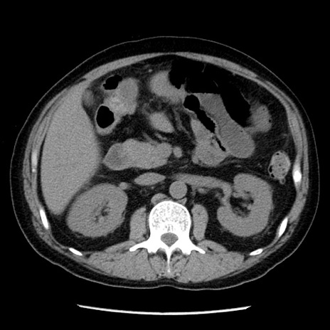
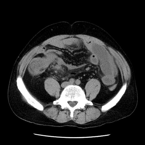
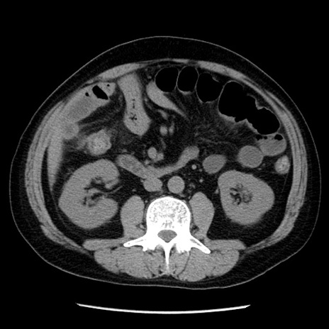
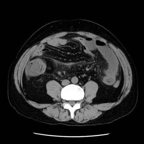
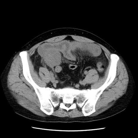
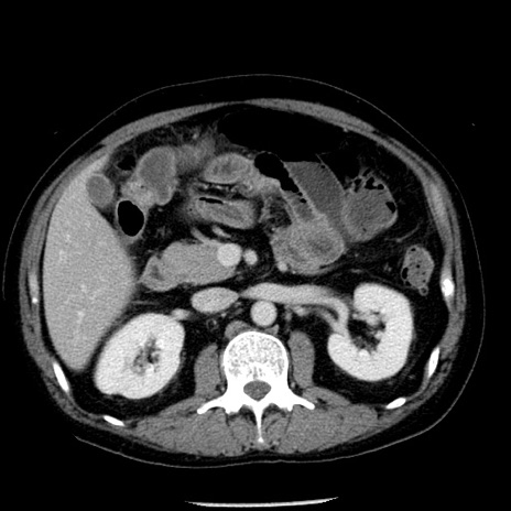
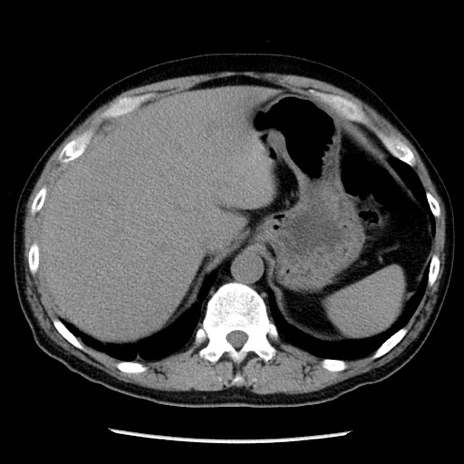
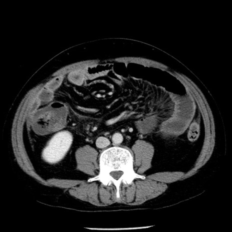
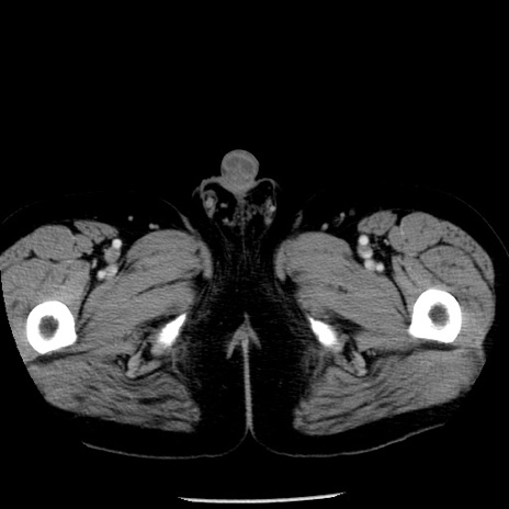
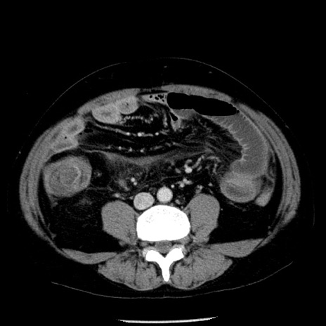
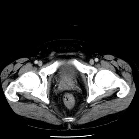
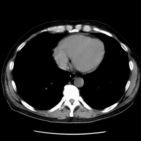
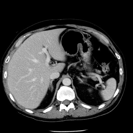
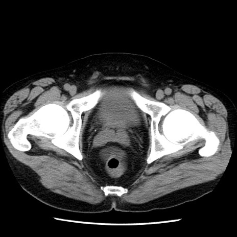
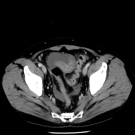
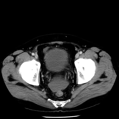
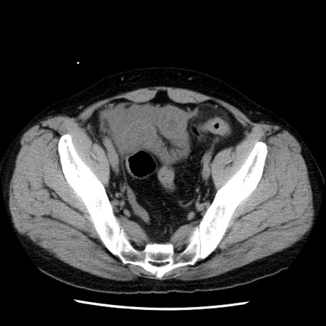
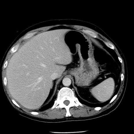
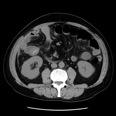
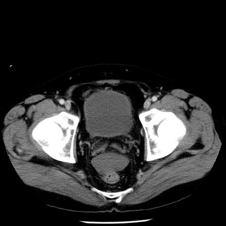
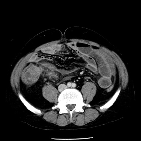
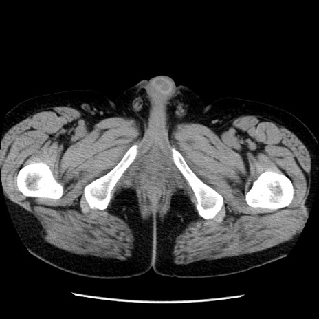
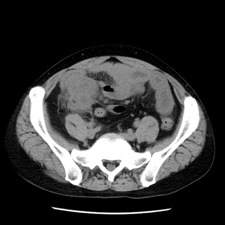
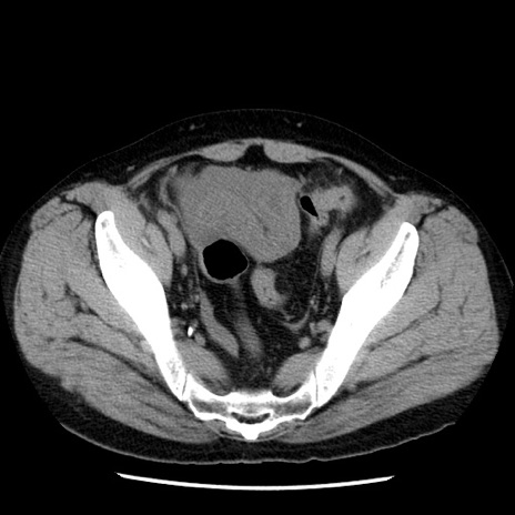
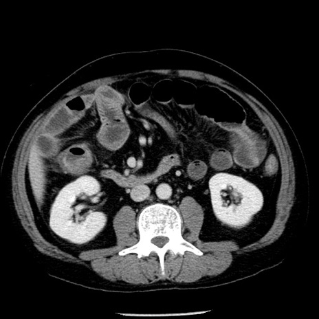
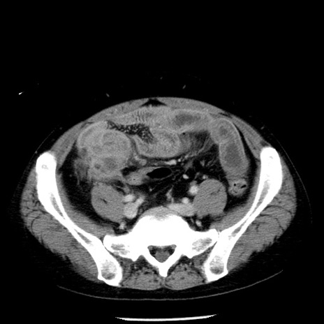
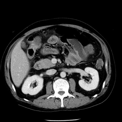
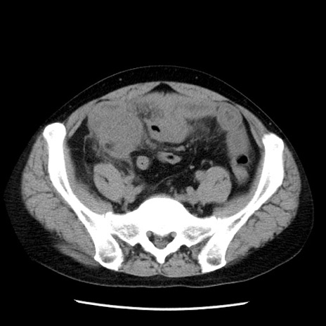
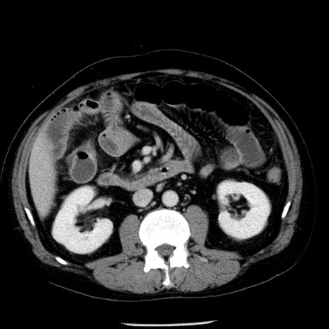
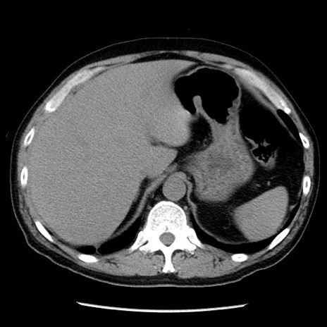
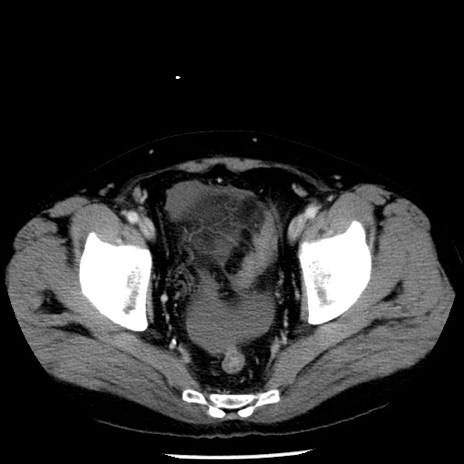
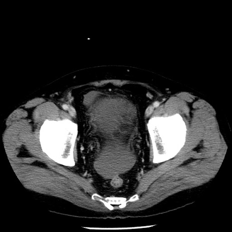
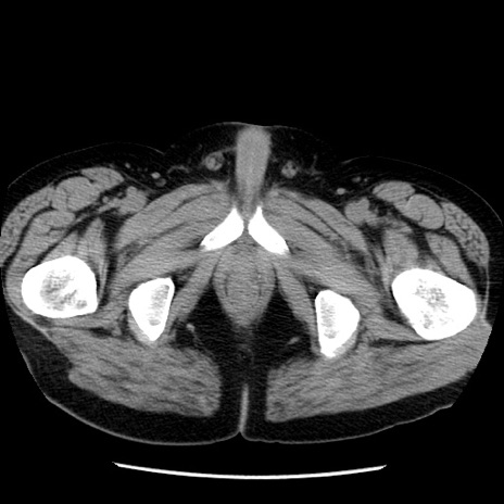
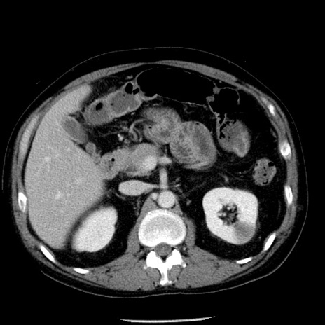
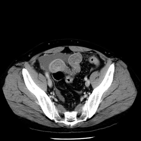
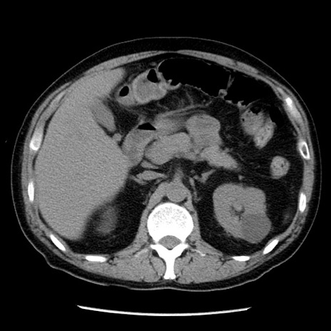
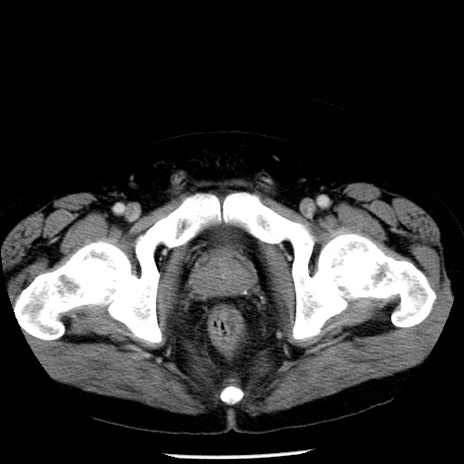
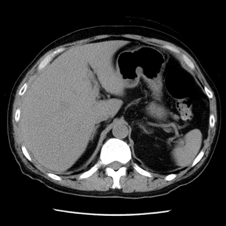
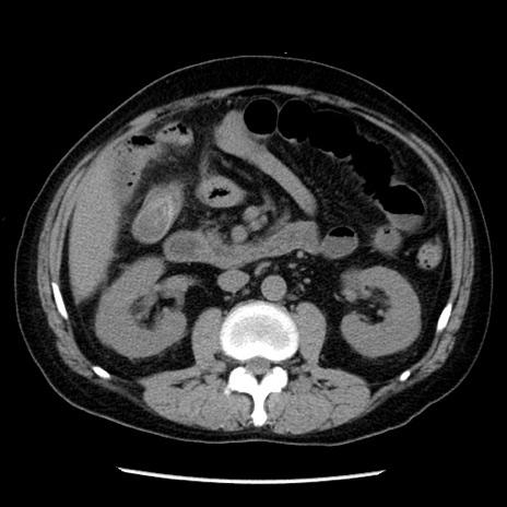
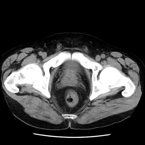
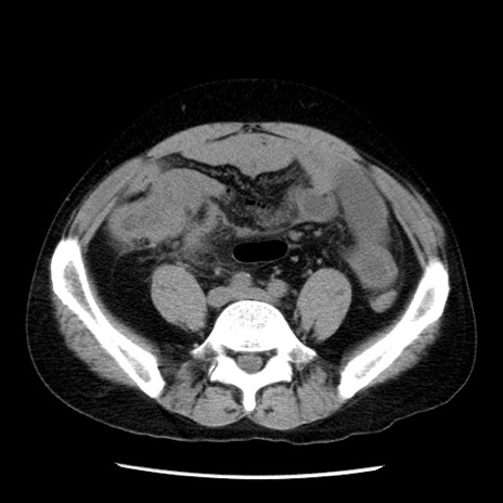
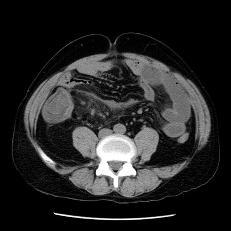
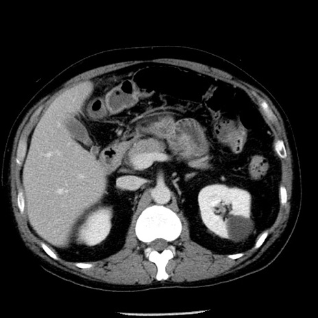
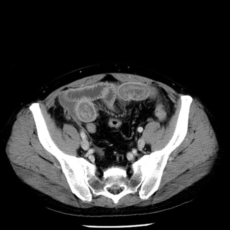
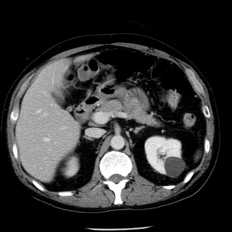
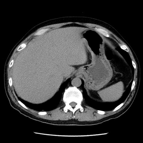
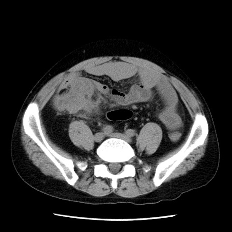
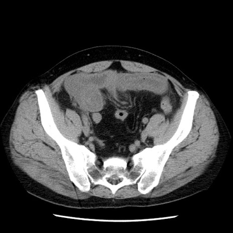
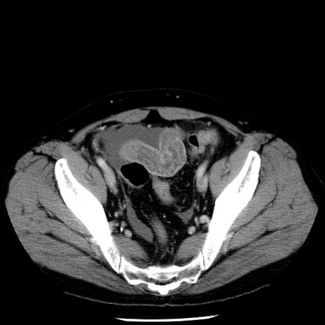
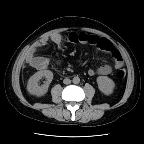
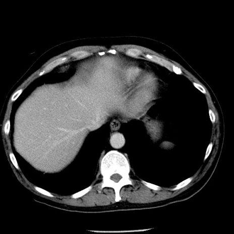
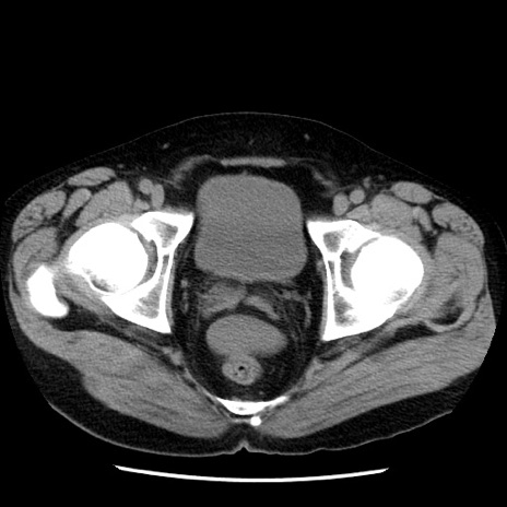
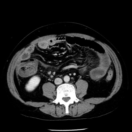
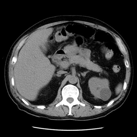
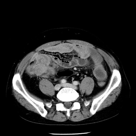
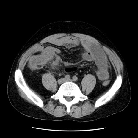
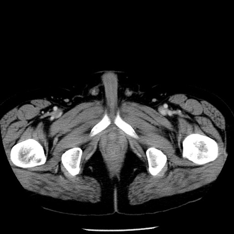
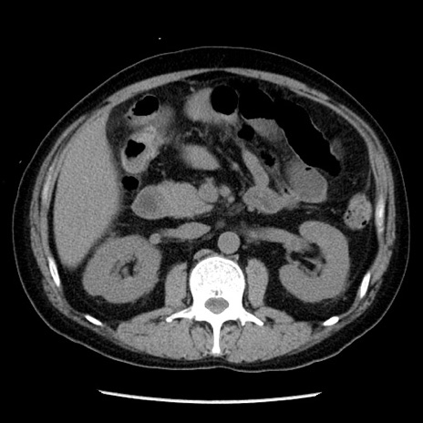
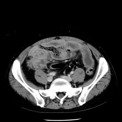
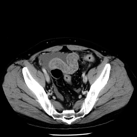
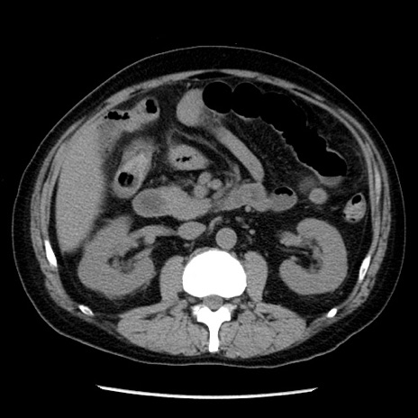
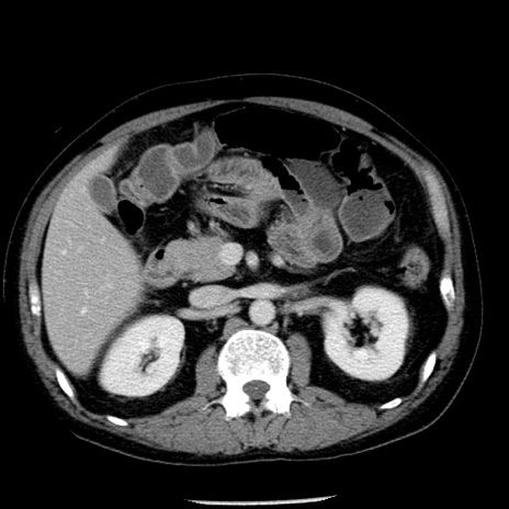
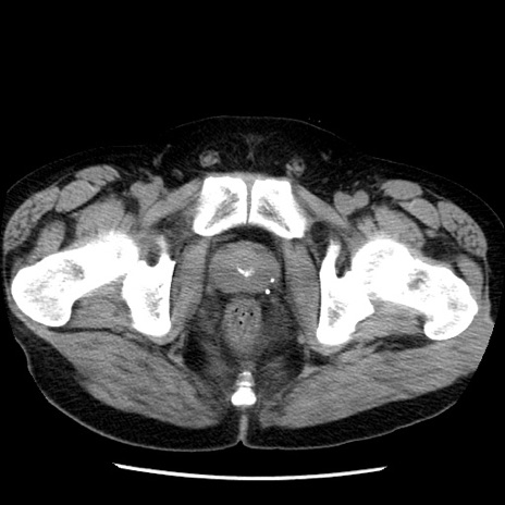
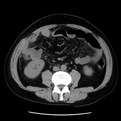
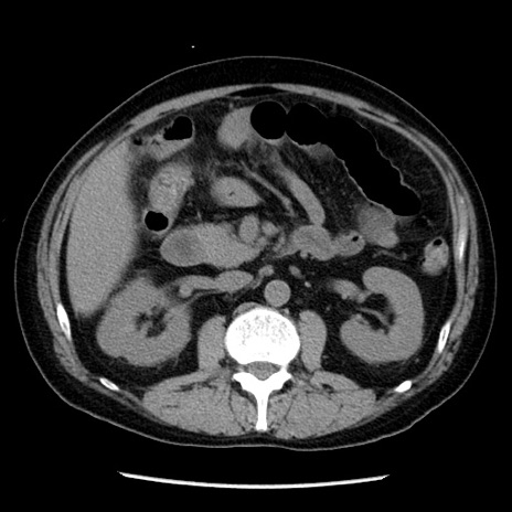
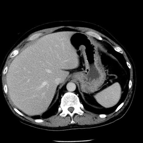
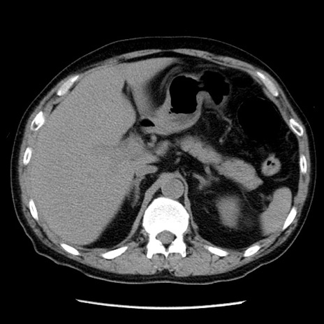
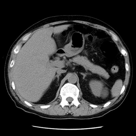
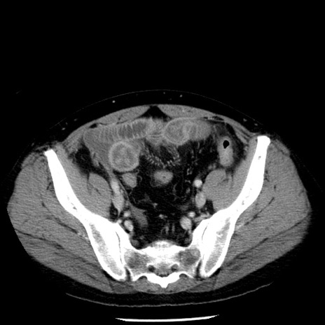
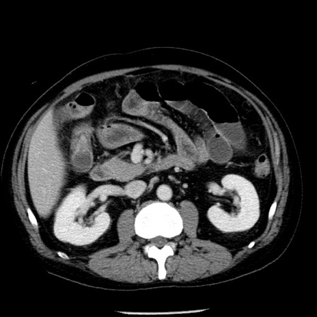
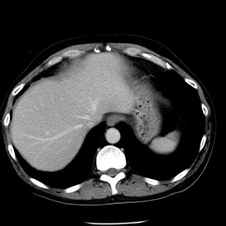
症例29(横断像)

 

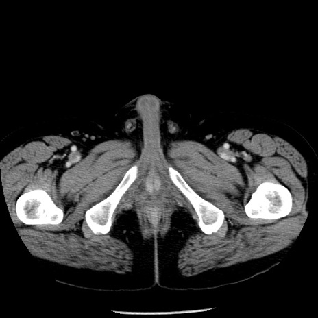
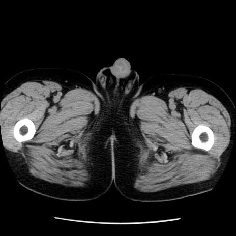
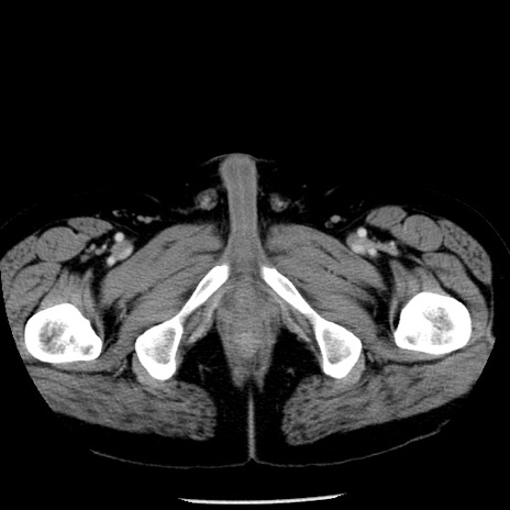
症例

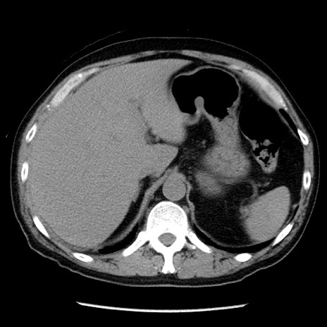
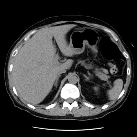
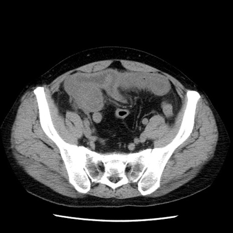
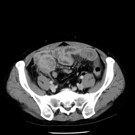
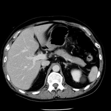
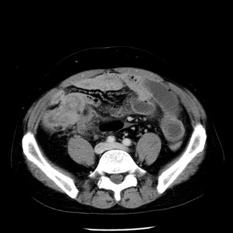
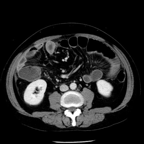
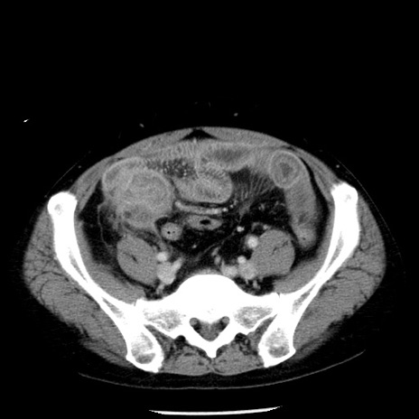
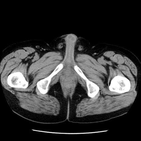
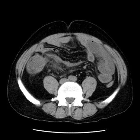
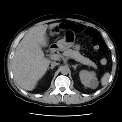
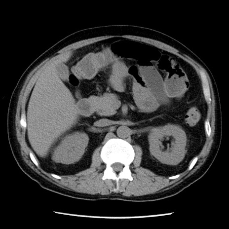
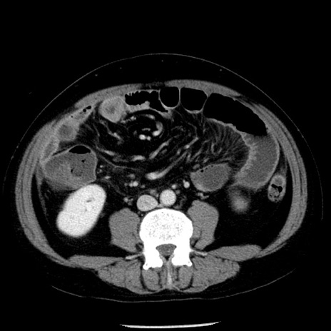
【症例】40歳代男性
【現病歴】2日前から胃痛あり。徐々に周期的な激痛に変化した。本日になっても激痛があるため受診。
【既往歴】なし
【身体所見】意識清明、BT 38-39℃台あり、腹部:膨満、やや硬、右下腹部に圧痛あり。
【データ】WBC 8500、CRP 23.26

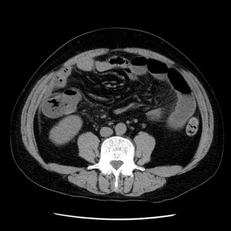
冠状断像