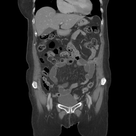
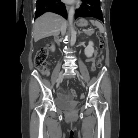
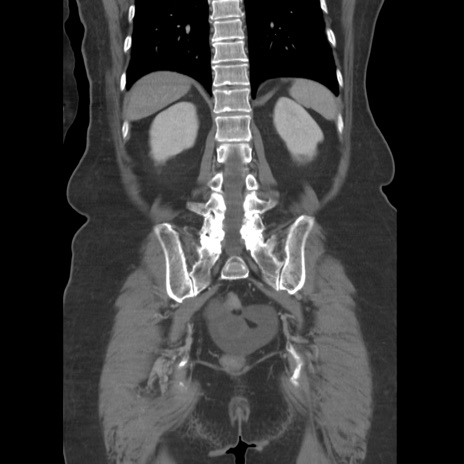
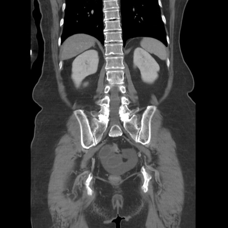
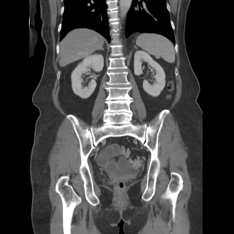
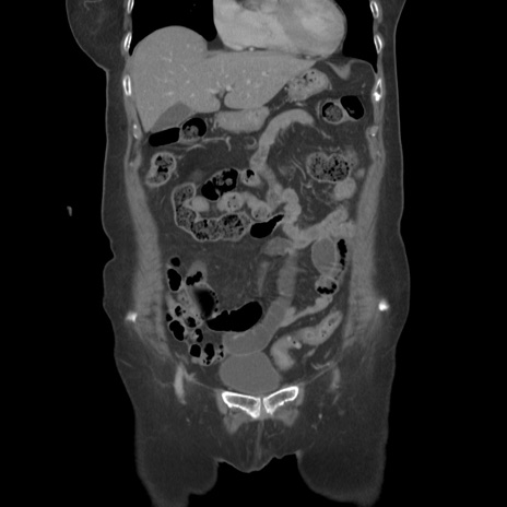
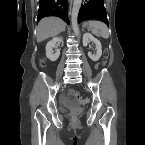
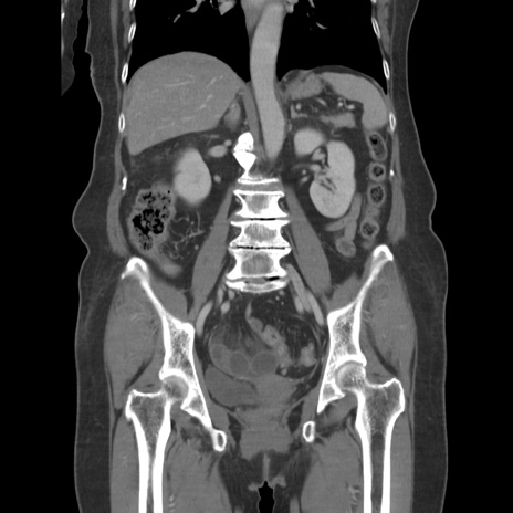
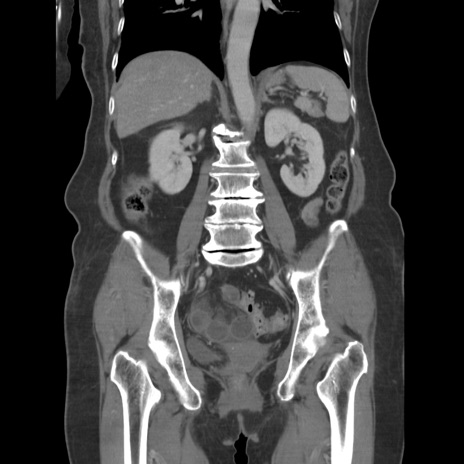
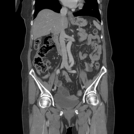
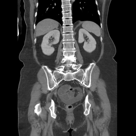
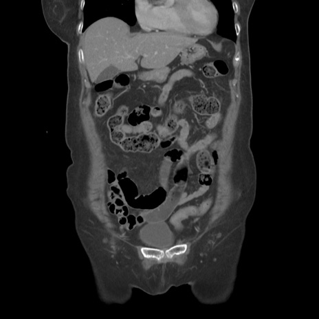
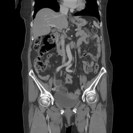
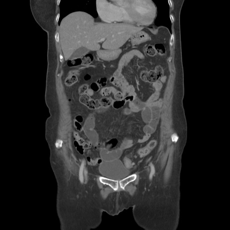
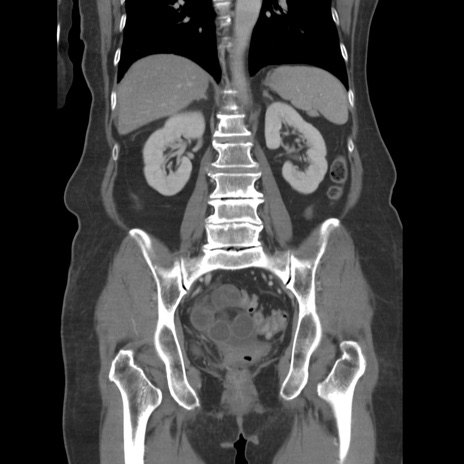
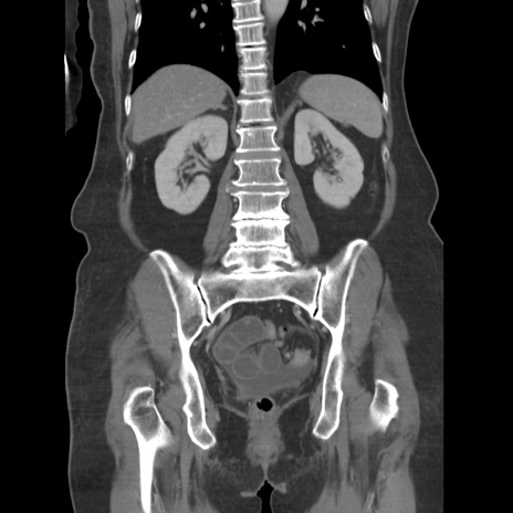
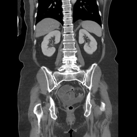
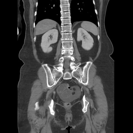
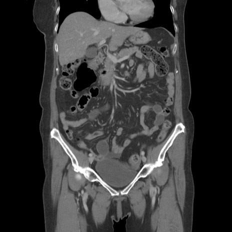
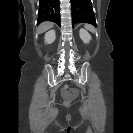
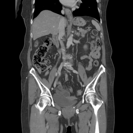
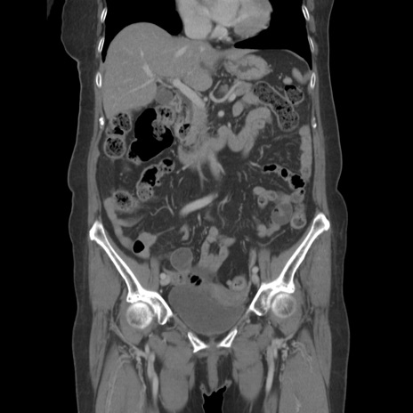
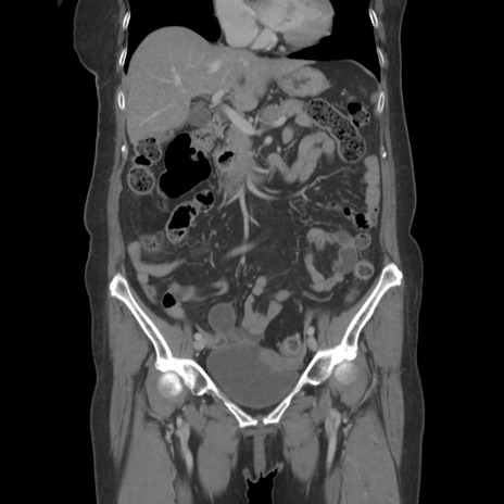
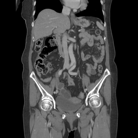
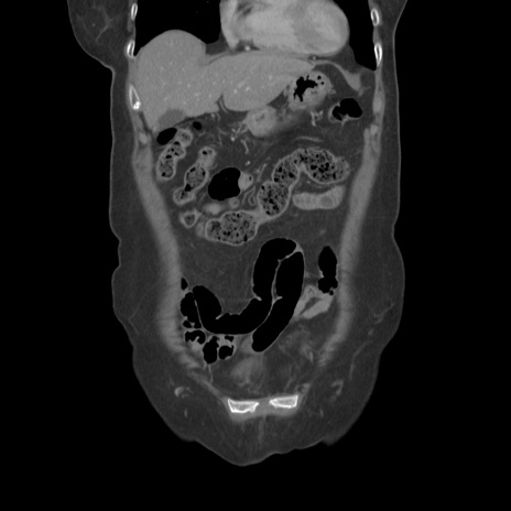
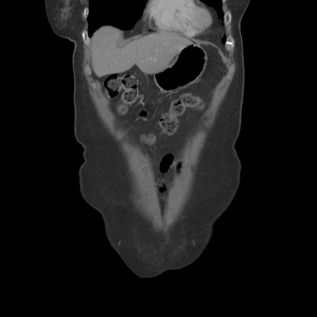
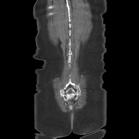
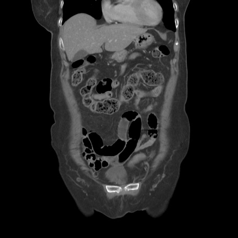
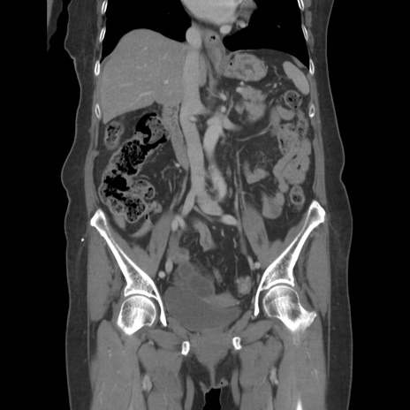
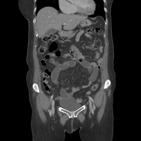
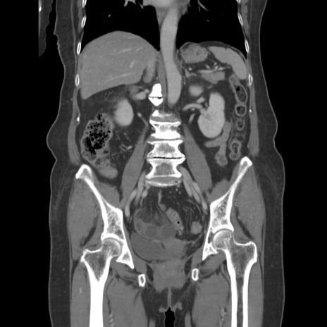
症例19(冠状断像)

 

症例

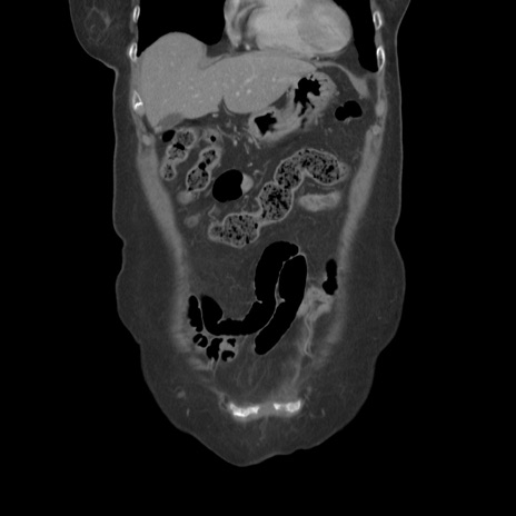
【症例】80歳代女性
【主訴】下腹部痛
【現病歴】約8時間前より下腹部痛の出現あり、救急外来受診。
【既往歴】両側付属器切除
【身体所見】意識清明、下腹部正中に手術痕あり、その部位に一致して圧痛と反跳痛あり。腸蠕動音は亢進。
【データ】WBC 9300、CRP 0.15

横断像