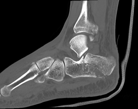
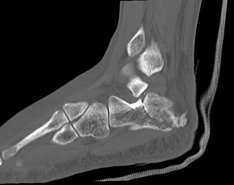
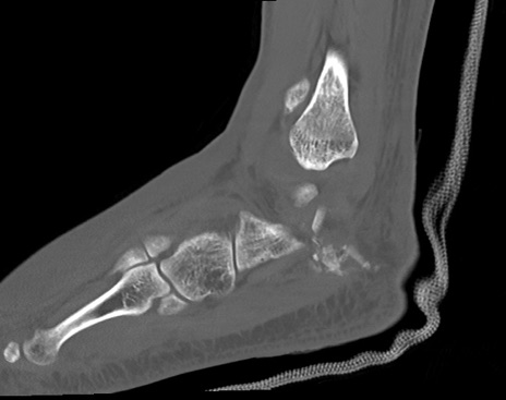
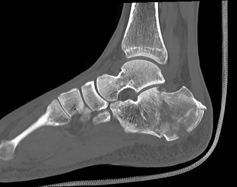
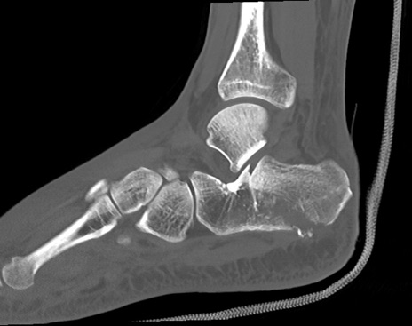
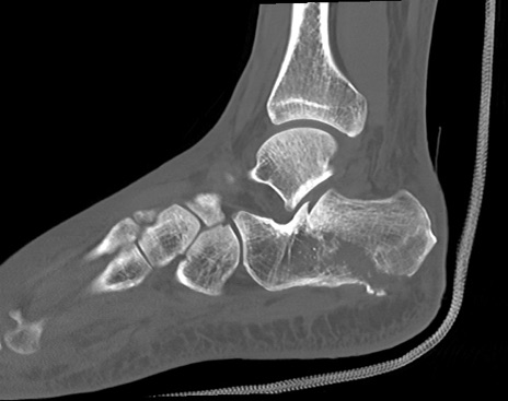
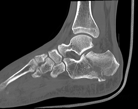
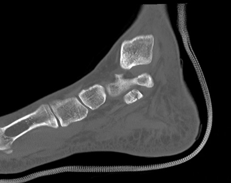
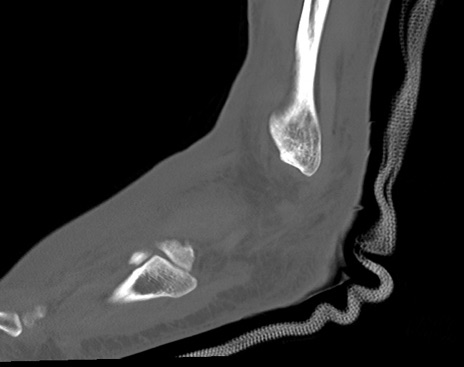
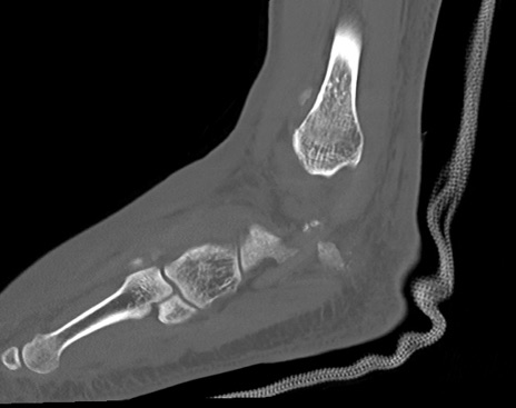
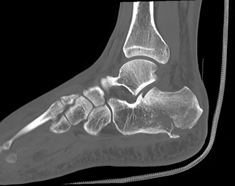
症例37 左足関節CT(矢状断像)

 

症例

【症例】50歳代男性
【主訴】左踵部の痛み、腫脹
【現病歴】4日前に1.5m程度の高さのトラックの荷台から荷物と一緒に転落し、左足部を打撲。近医受診し、当院へ紹介受診となる。
【身体所見】左踵部の腫脹、圧痛あり。

異常所見と診断は?

踵骨レントゲン
右正面像
右側面像
左正面像
左側面像

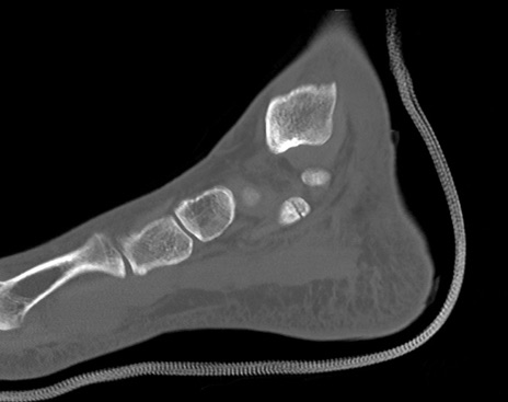
左足関節CT
横断像
冠状断像
3D再構成