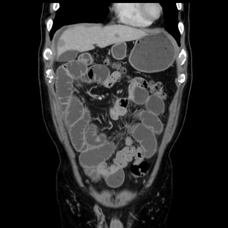
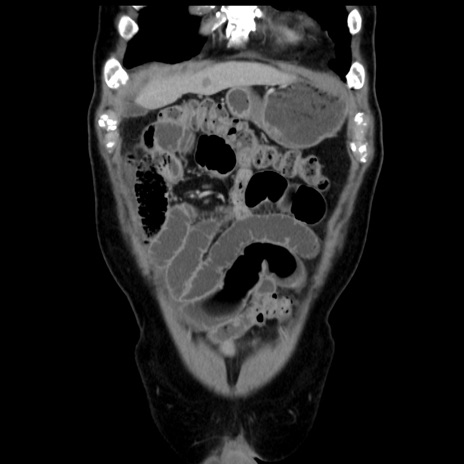
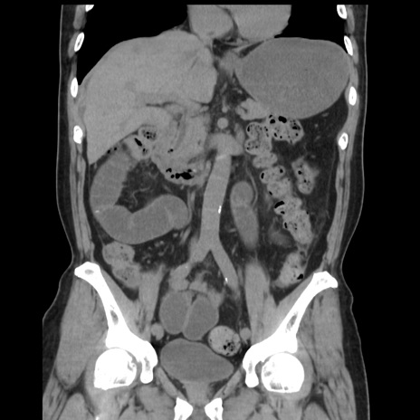
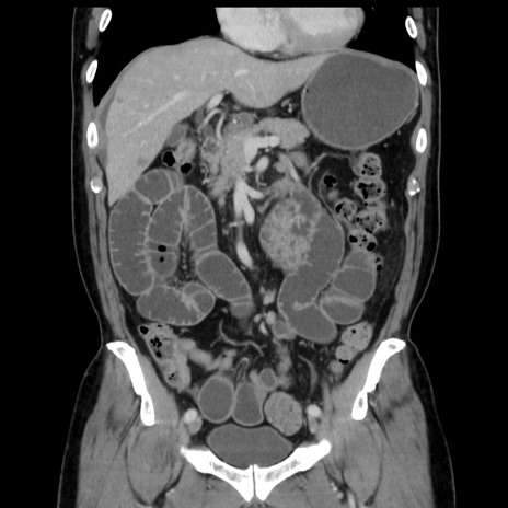
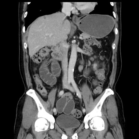
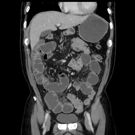
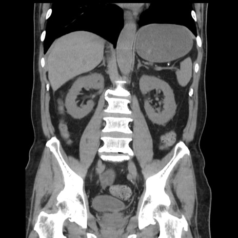
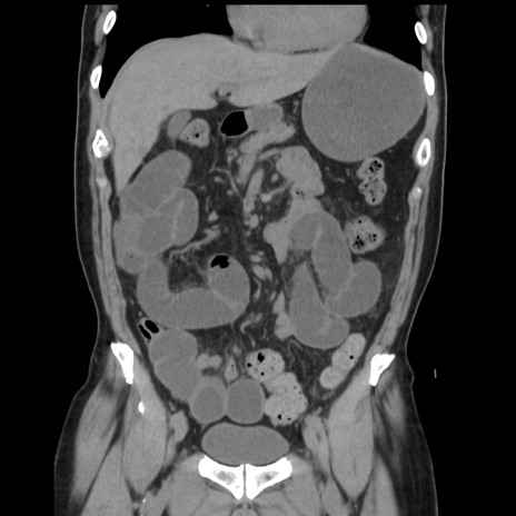
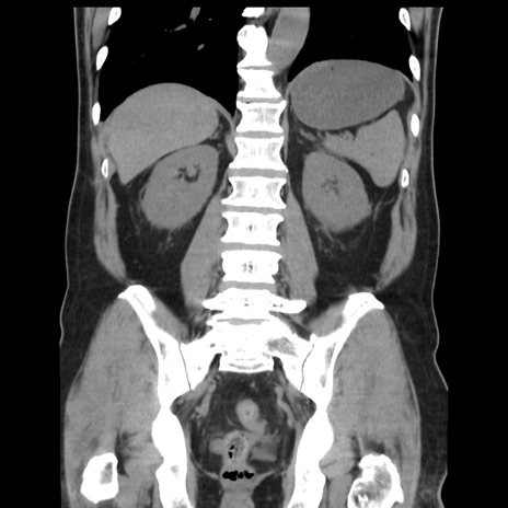
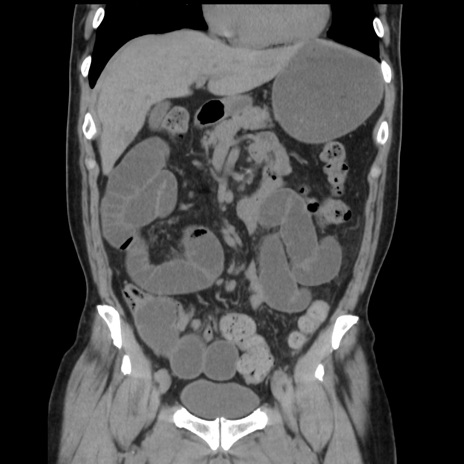
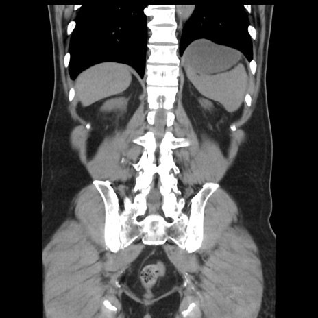
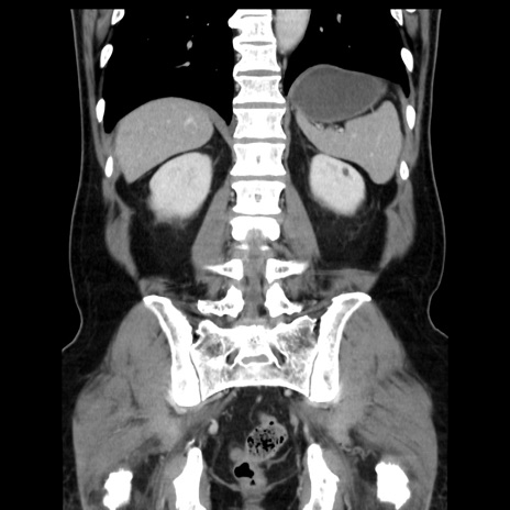
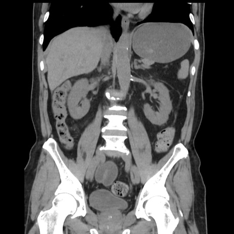
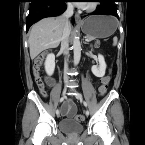
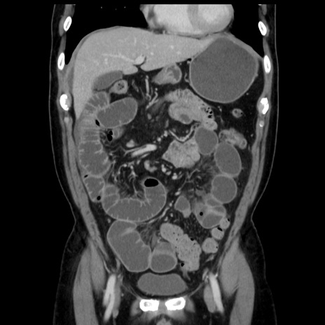
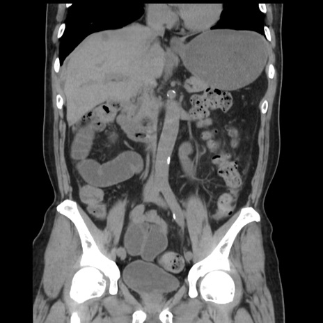
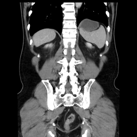
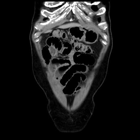
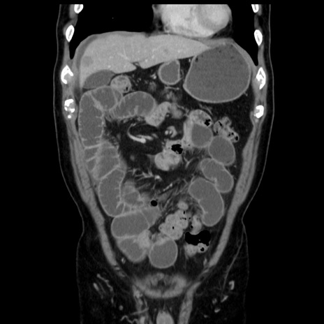
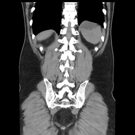
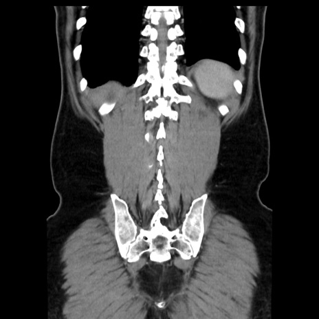
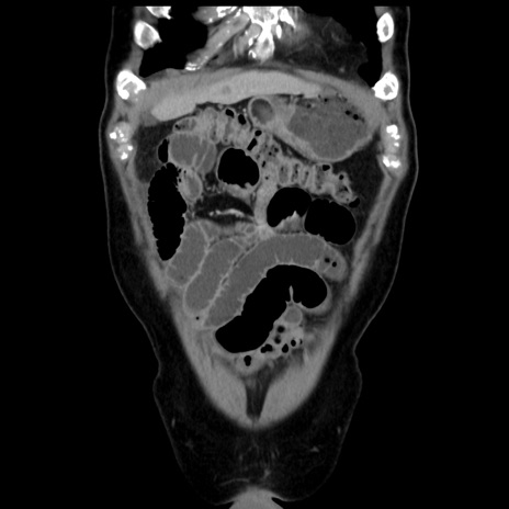
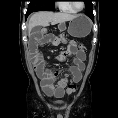
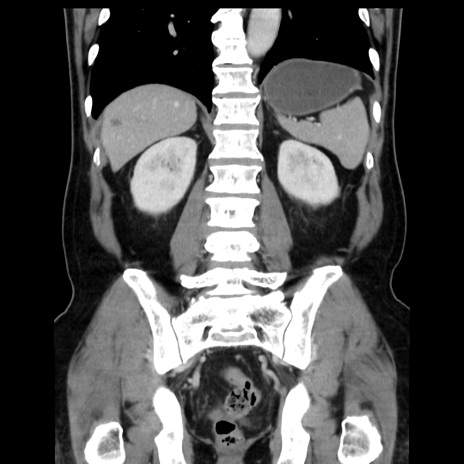
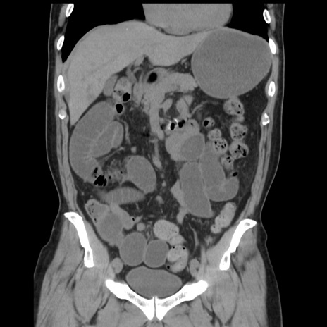
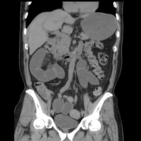
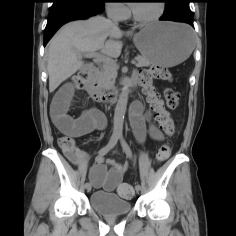
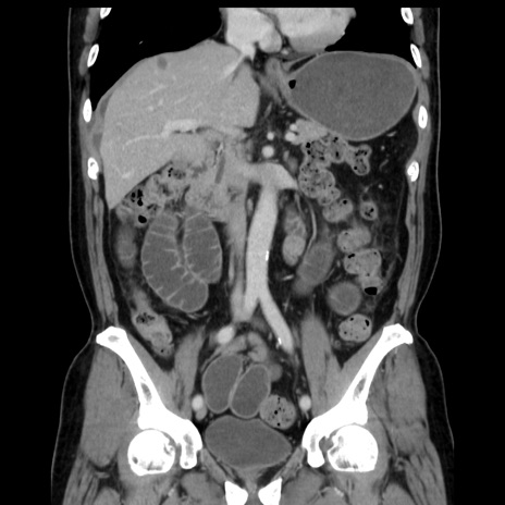
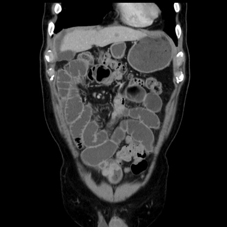
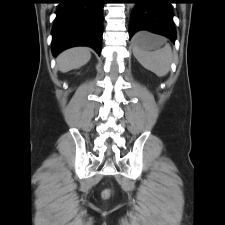
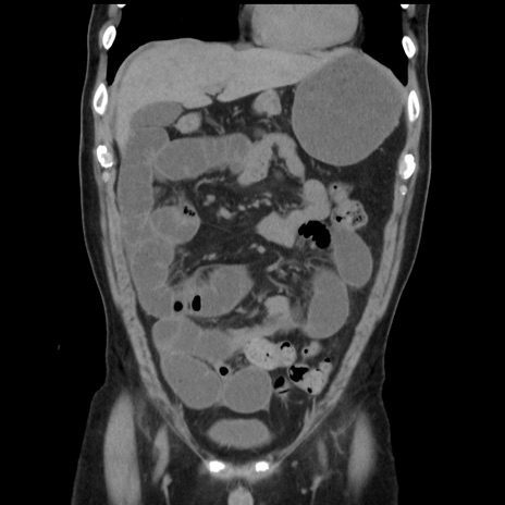
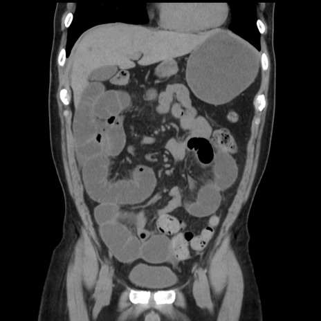
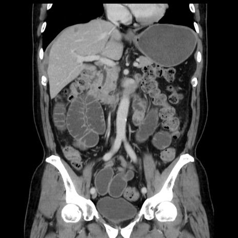
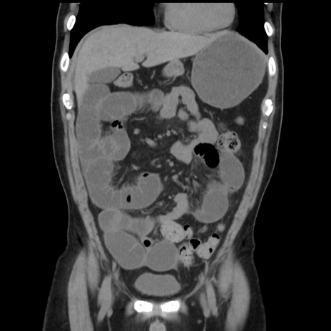
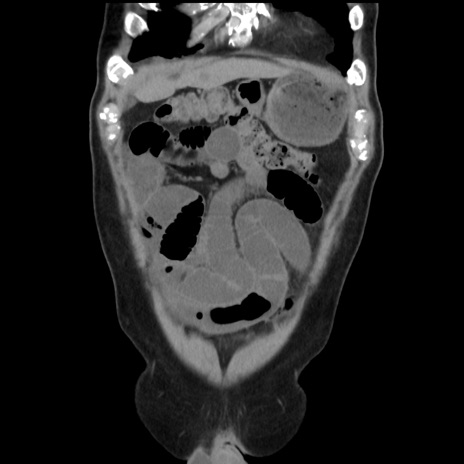
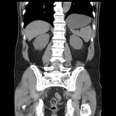
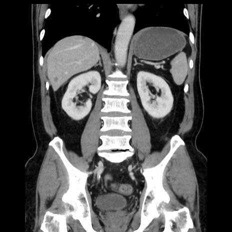
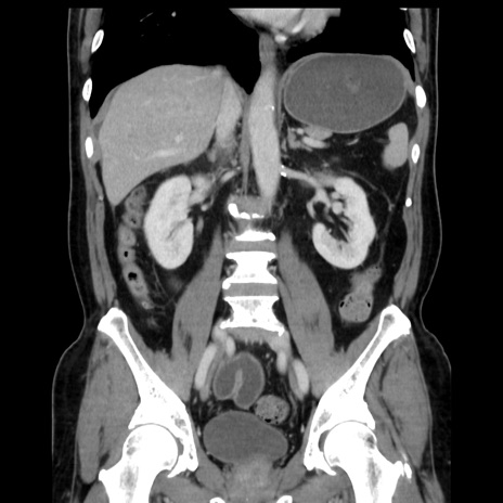
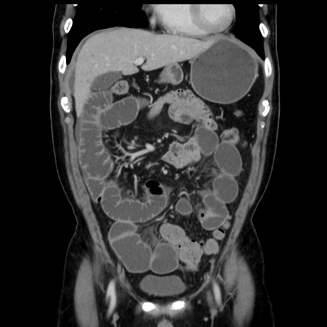
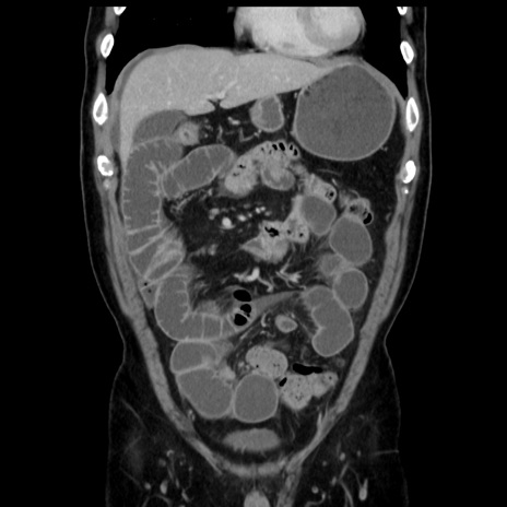
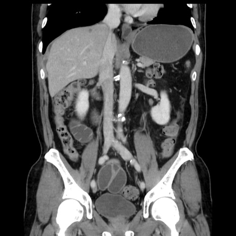
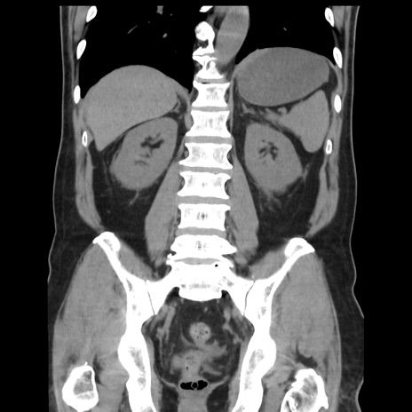
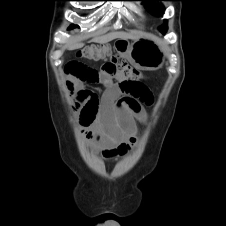
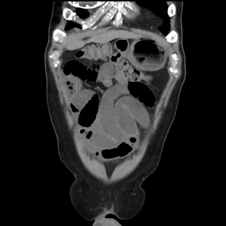
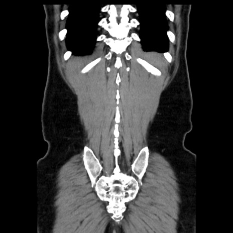
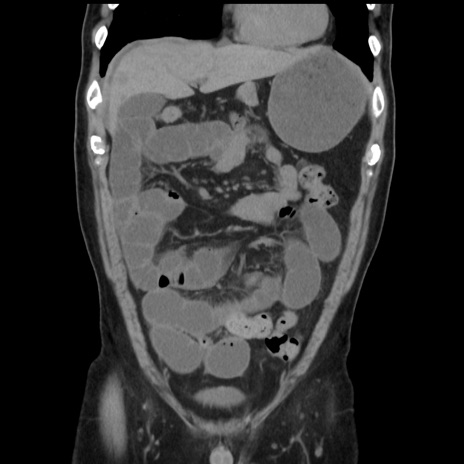
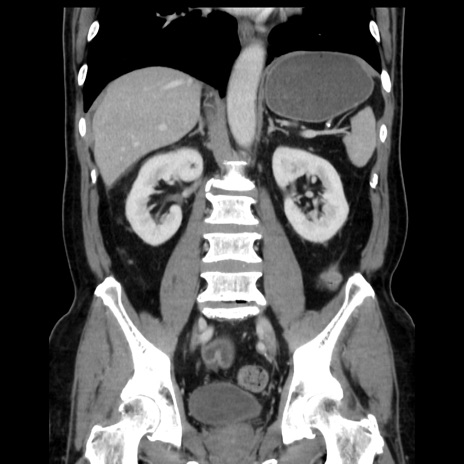
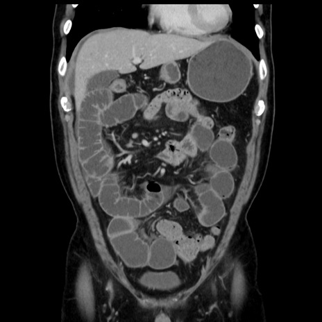
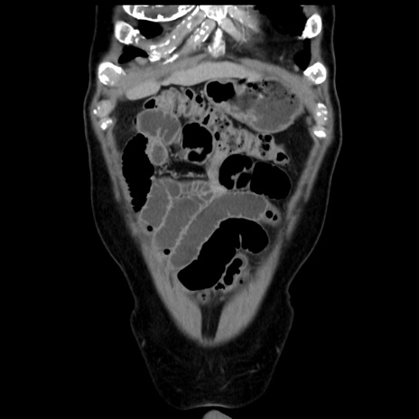
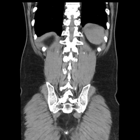
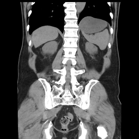
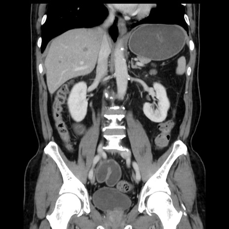
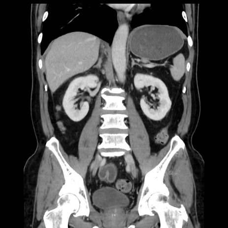
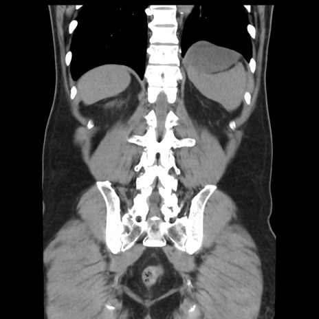
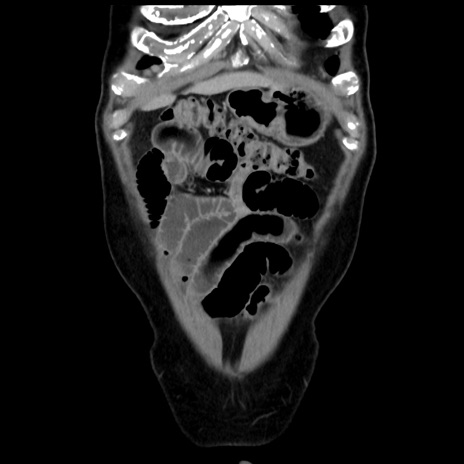
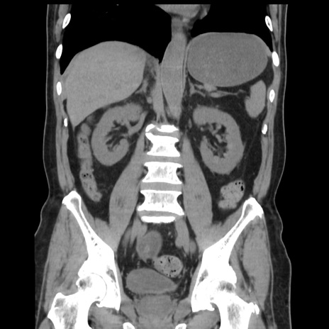
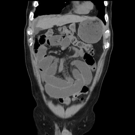
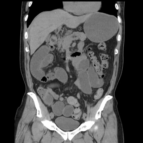
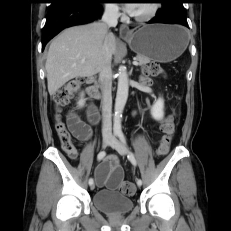
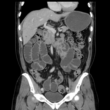
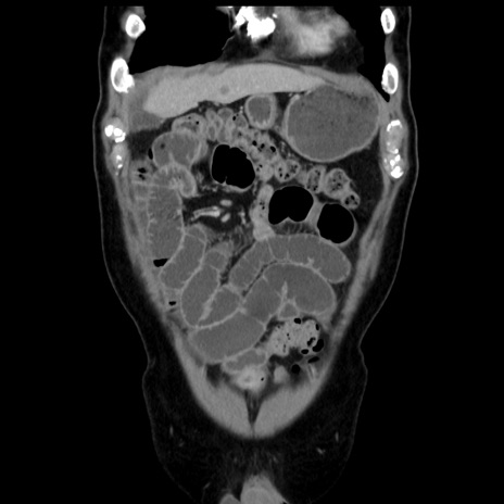
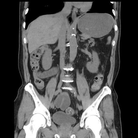
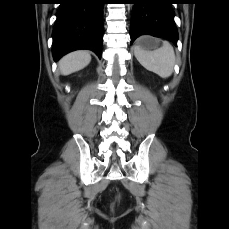
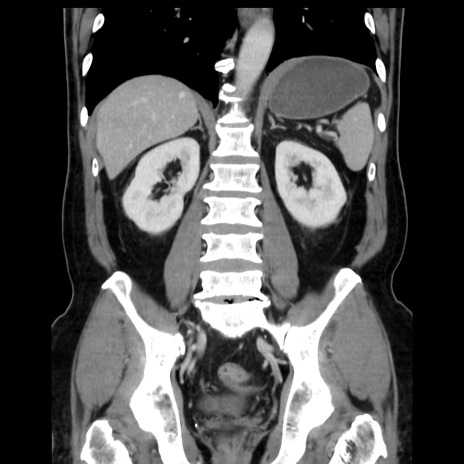
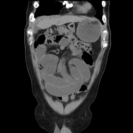
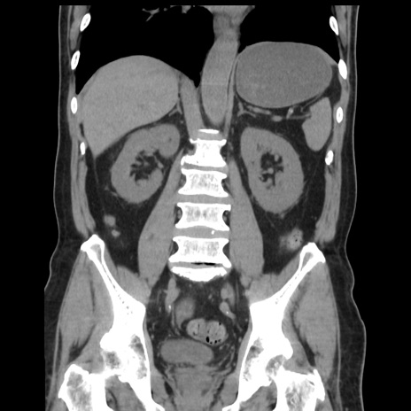
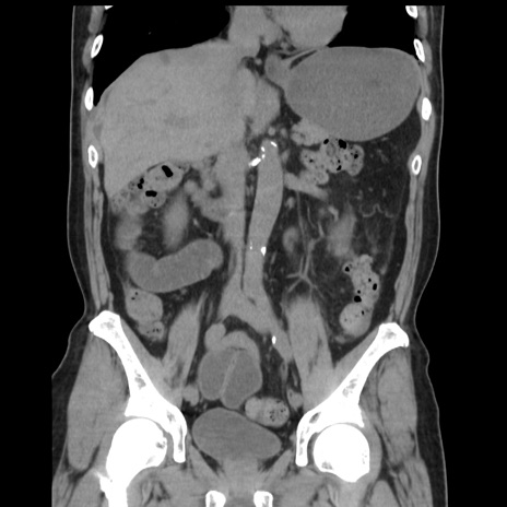
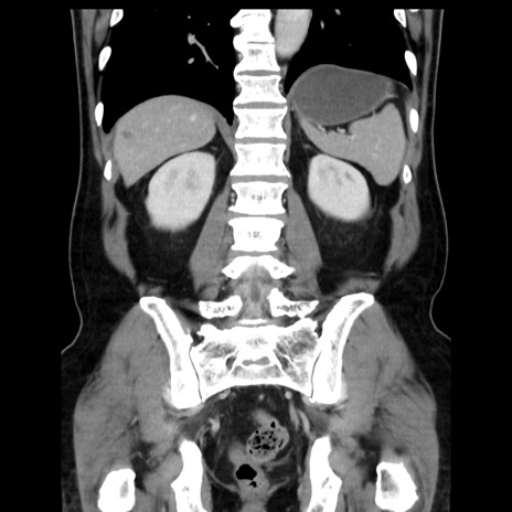
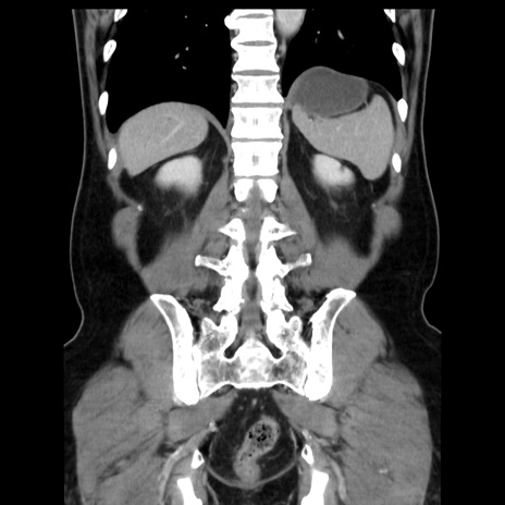
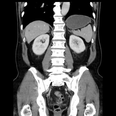
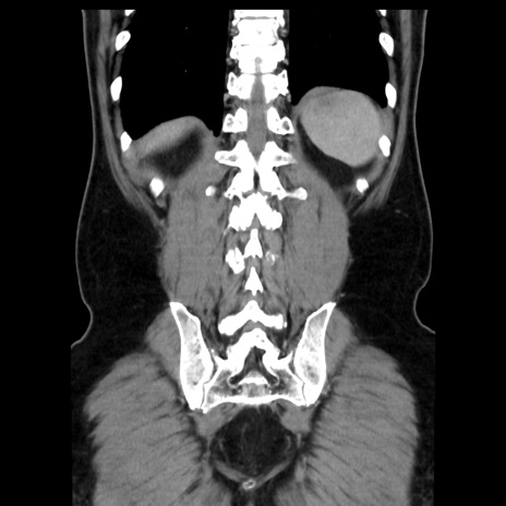
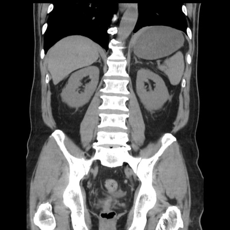
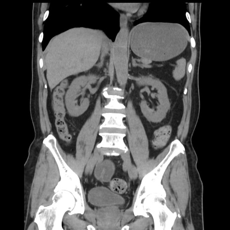
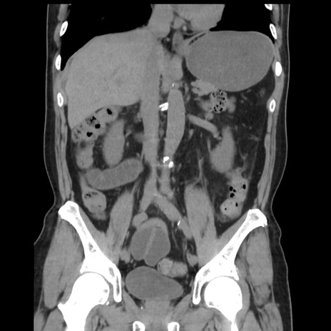
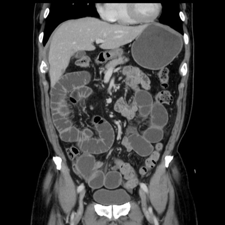
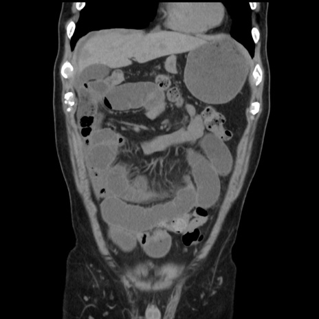
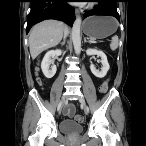
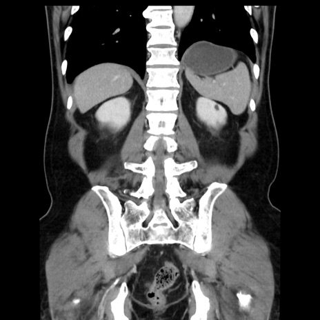
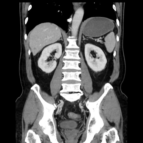
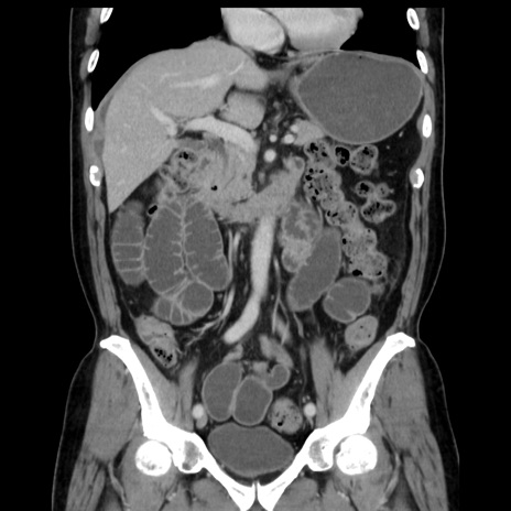
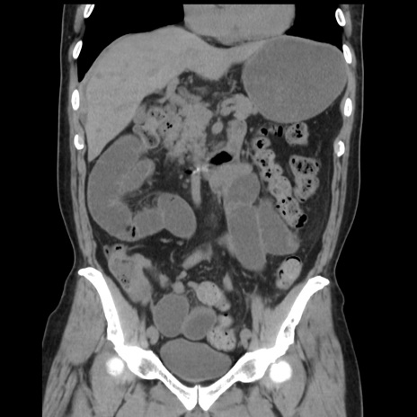
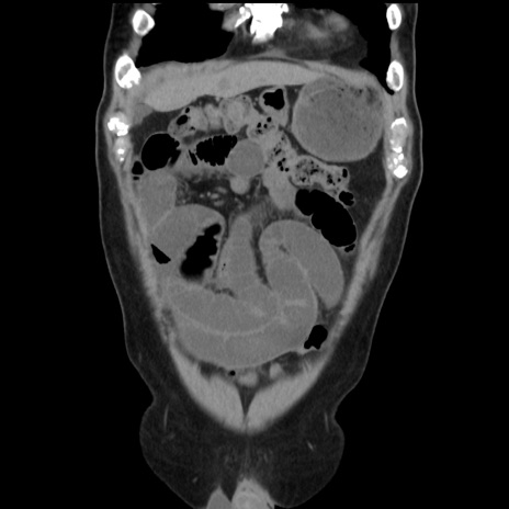
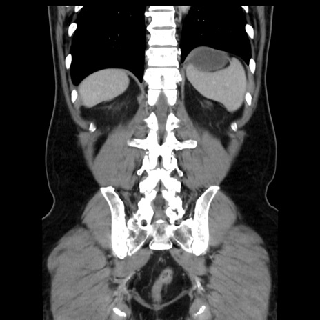
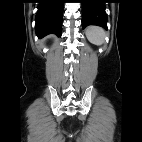
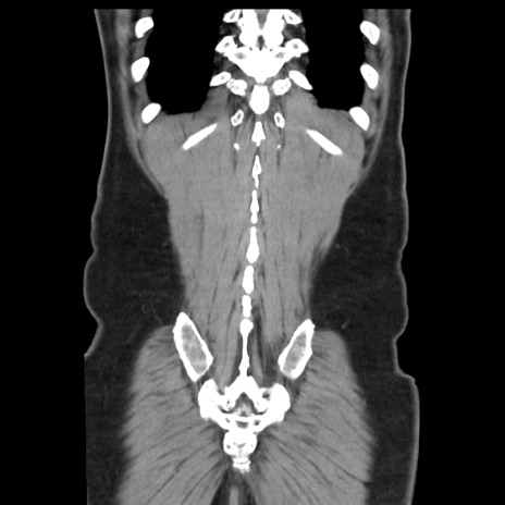
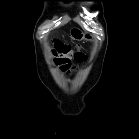
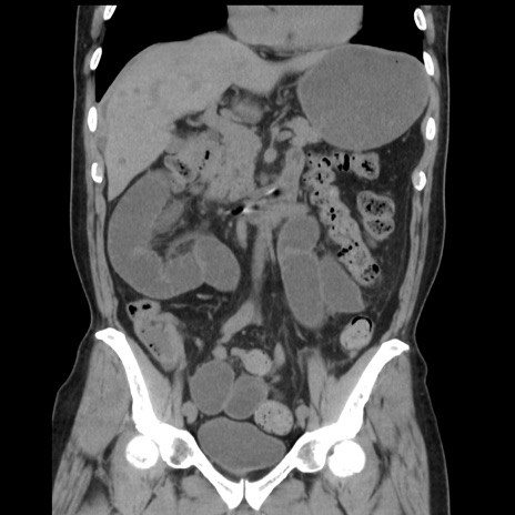
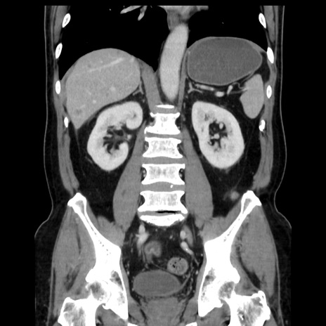
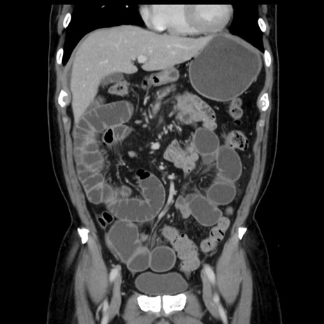
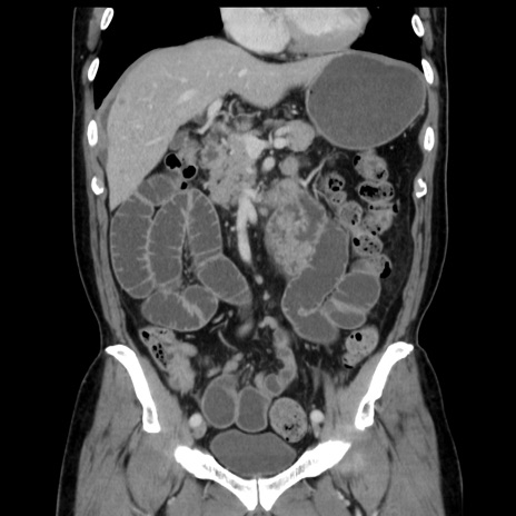
症例16(冠状断像)

 

症例

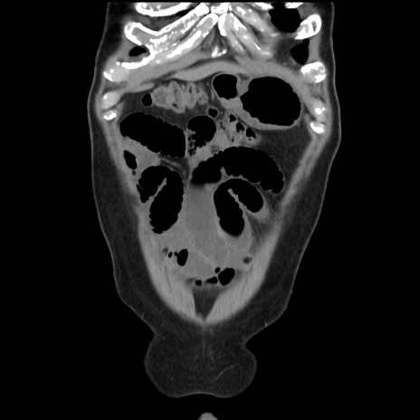
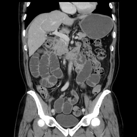
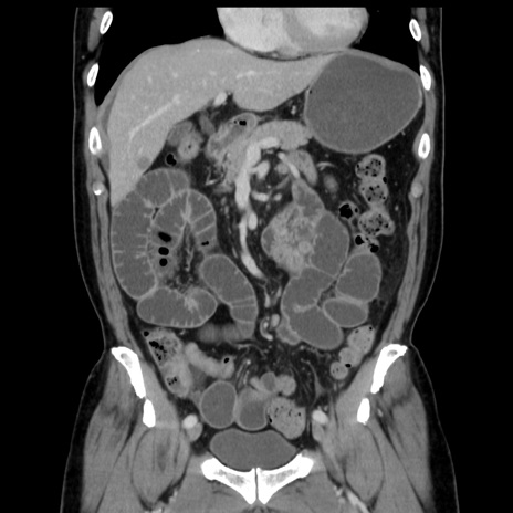
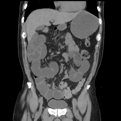
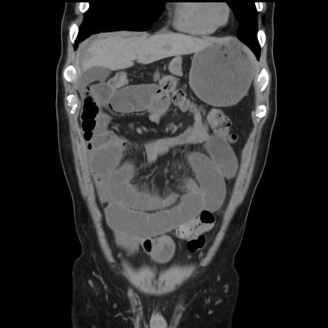
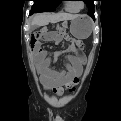
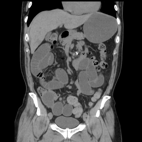
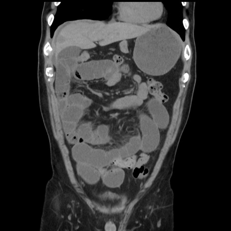
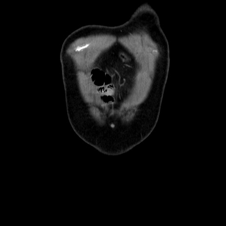
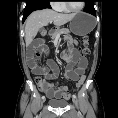
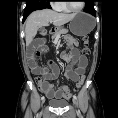
【症例】 70歳代男性
【主訴】 腹痛、嘔吐
【現病歴】 約1ヶ月前より間欠的に腹痛と嘔吐あり、当院消化器内科を受診したところCTで多発する肝臓のLDAを指摘され、精査中であった。以降は消化器症状は安定していたが、2日前より嘔気と腹痛があり、同日より排便・排ガスが消失した。改善認めず、 本日、救急外来を受診した。
【既往歴】 大腸ポリープ切除後。
【身体所見】意識清明・会話良好、BT 36.3℃、BP 127/80mmHg、 P 80bpm、腹部:膨満あり、平坦・軟、上腹部正中および下腹部正中に圧痛あり、反跳痛なし、筋性防御なし。
【データ】WBC 7200、CRP 0.77

横断像