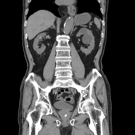
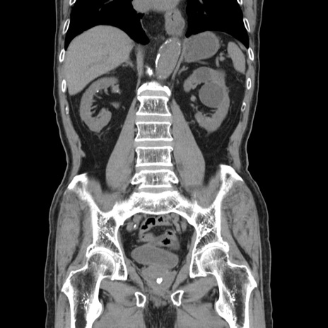
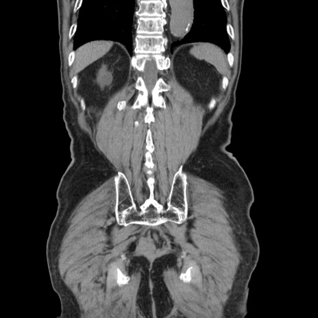
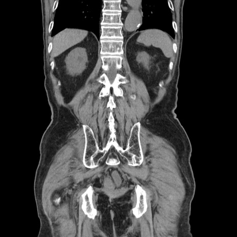
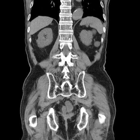
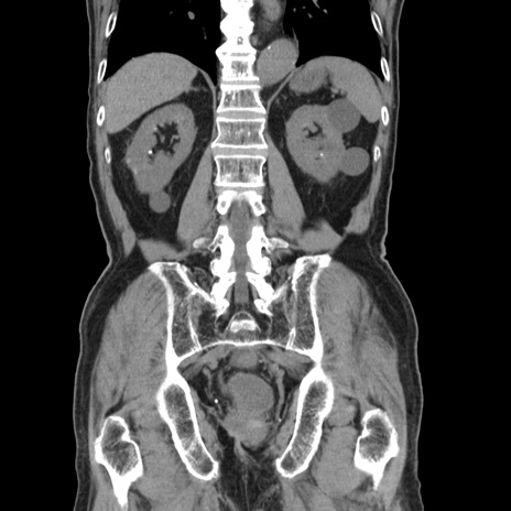
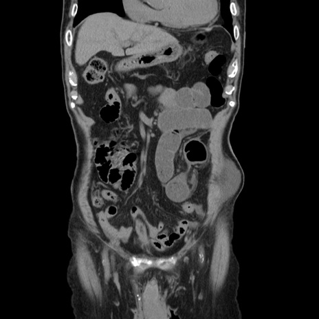
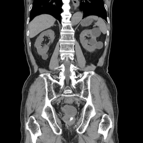
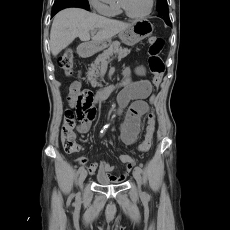
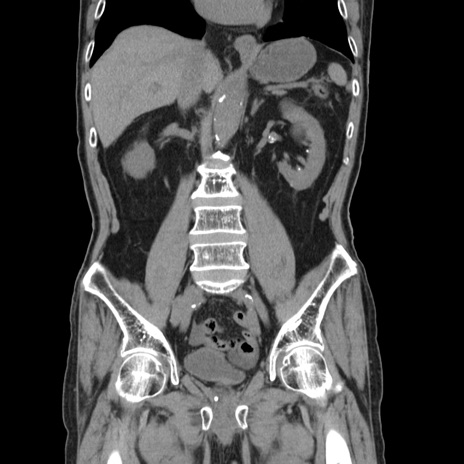
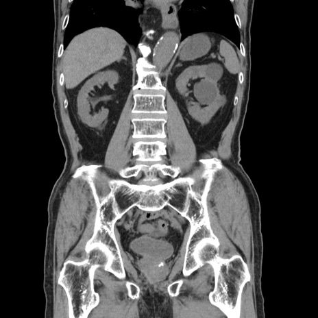
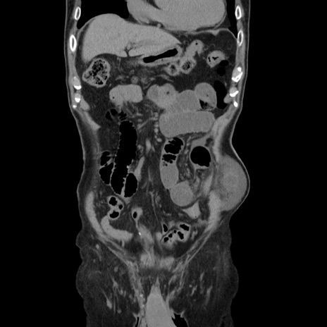
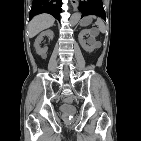
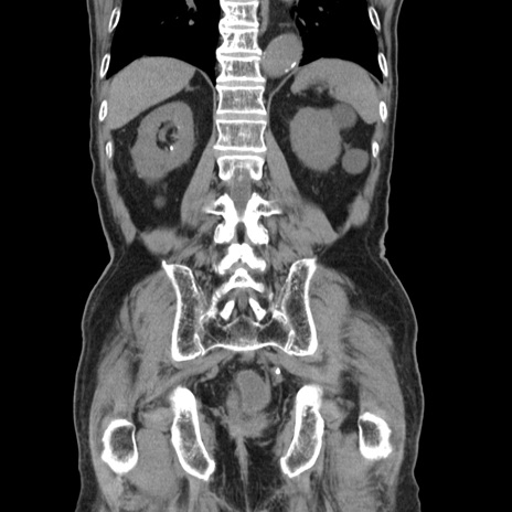
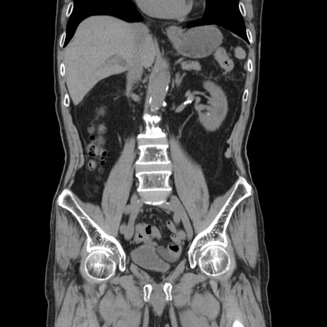
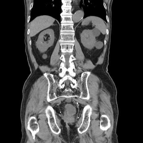
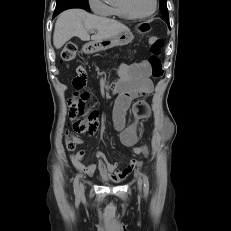
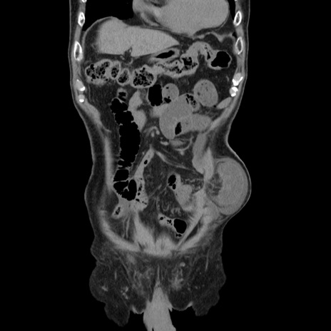
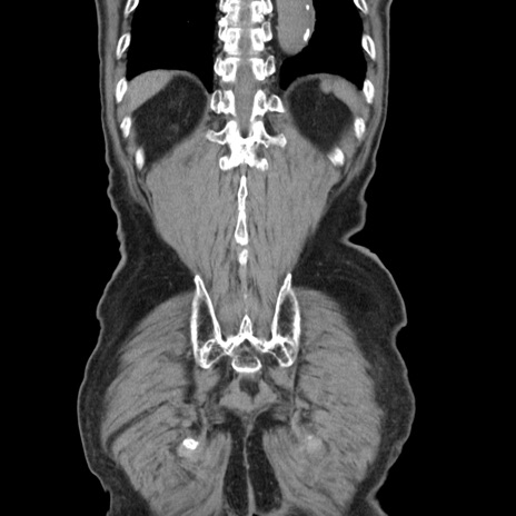
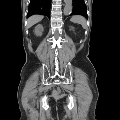
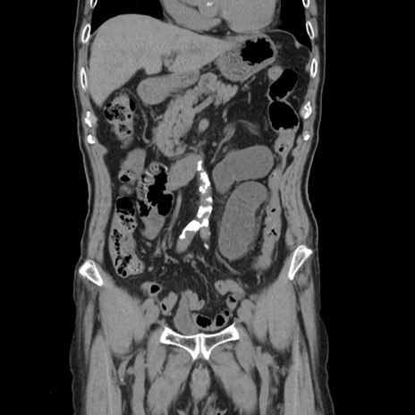
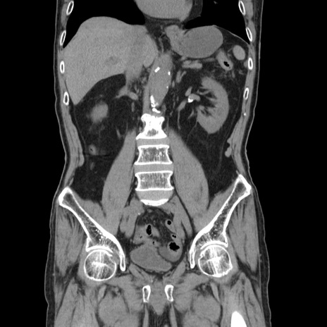
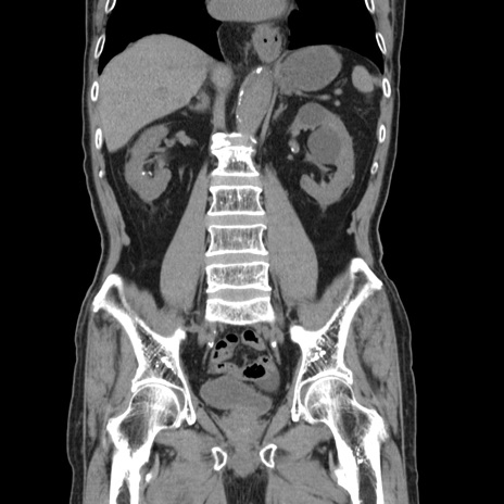
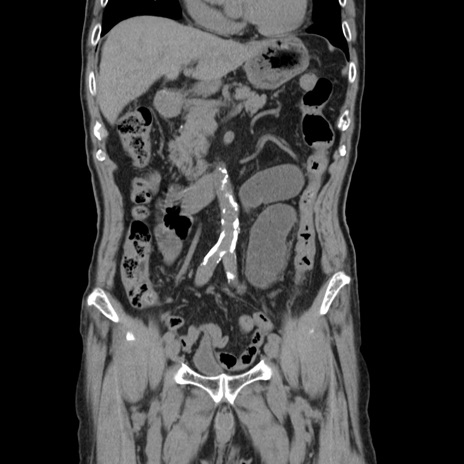
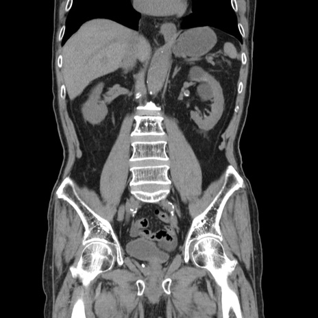
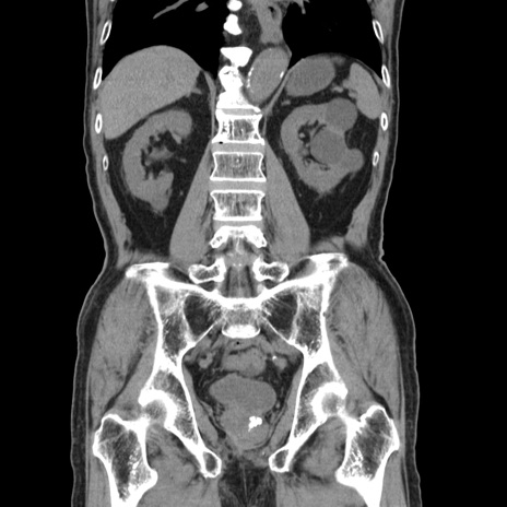
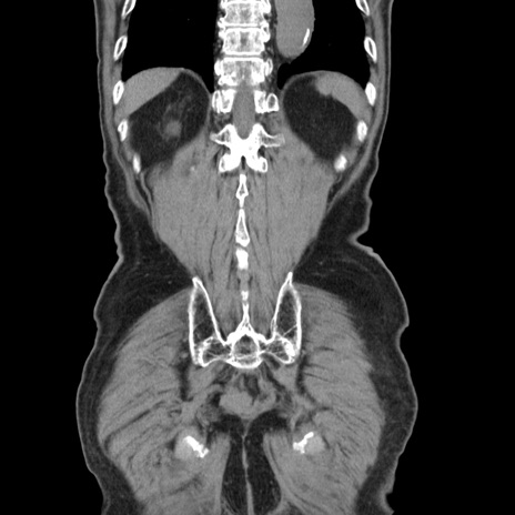
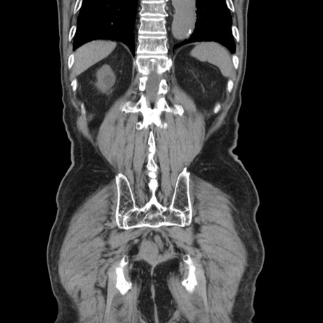
症例24(冠状断像)

 

症例

【症例】80歳代男性
【主訴】左側腹部痛、嘔吐
【現病歴】本日早朝より左腹部に痛みあり。昼頃嘔吐認めたため、救急要請。
【既往歴】直腸癌(Mile手術)、胆摘
【身体所見】意識清明、BT 35.9℃、BP 221/93mmHg、SpO2 97%(RA) 、腹部:左ストーマ周囲に限局性の腹部膨隆あり。 膨隆部自発痛・圧痛あり・軟。
【データ】WBC 7700、CRP 0.09

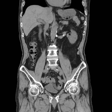
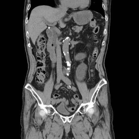
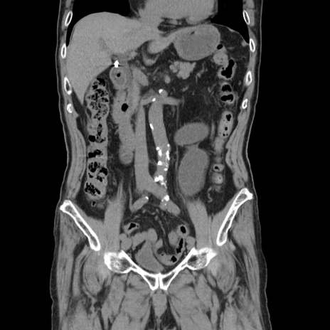
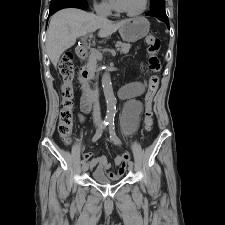
横断像
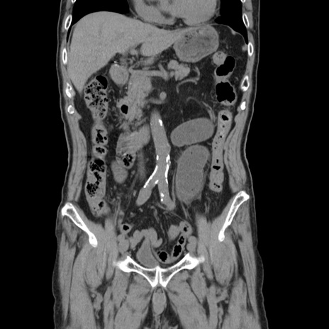
矢状断像