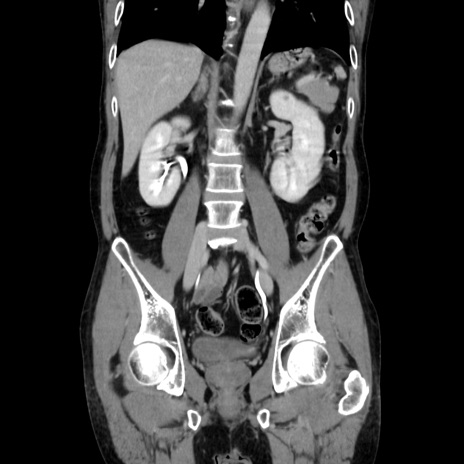
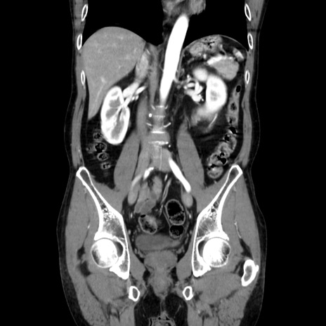
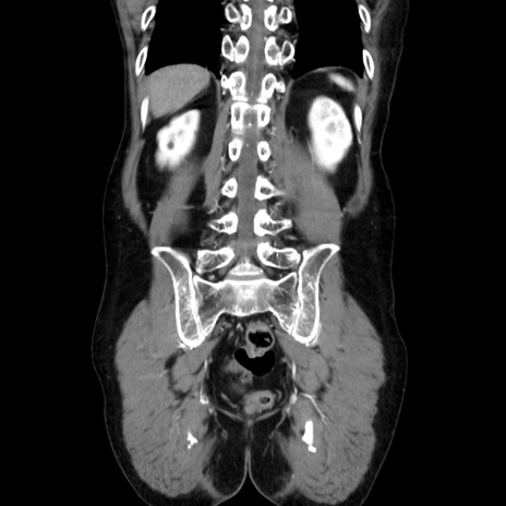
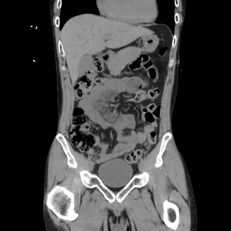
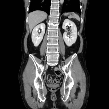
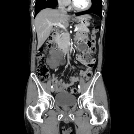
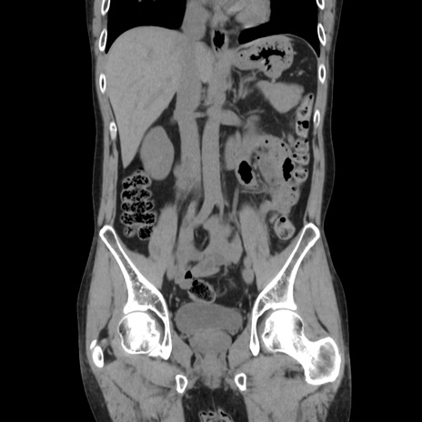
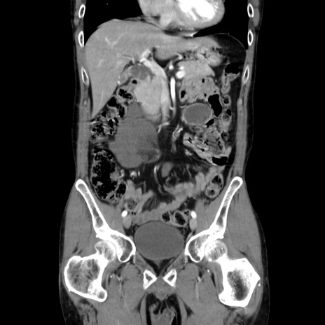
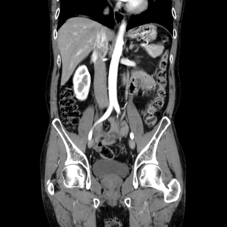
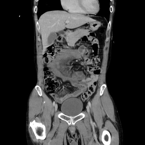
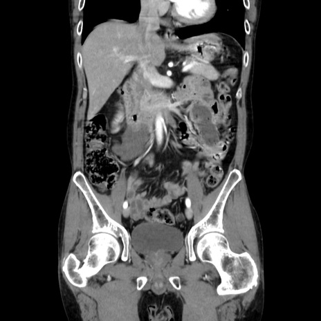
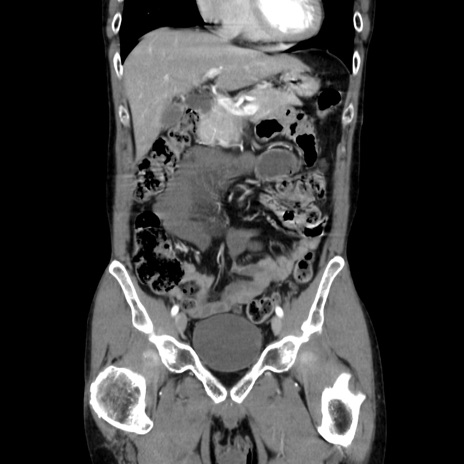
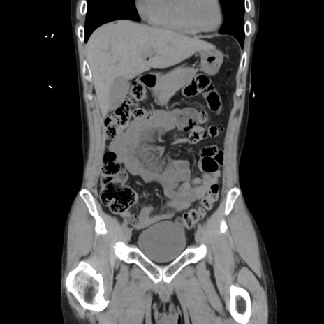
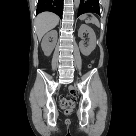
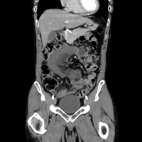
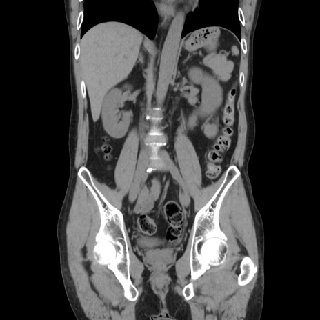
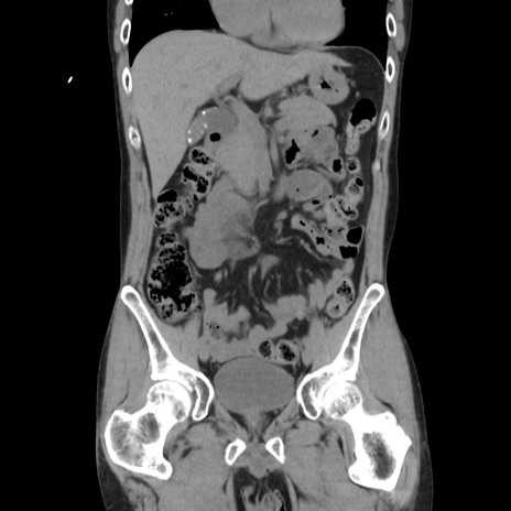
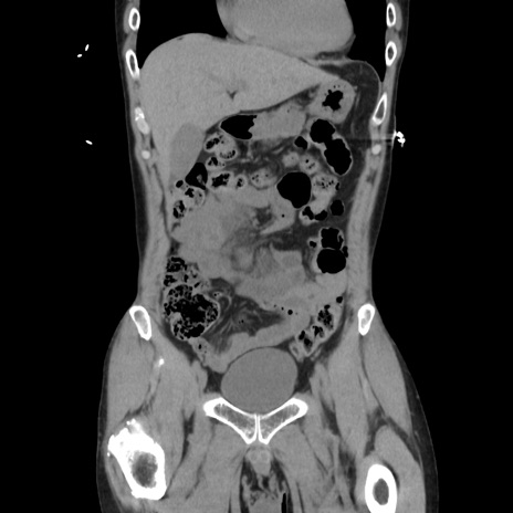
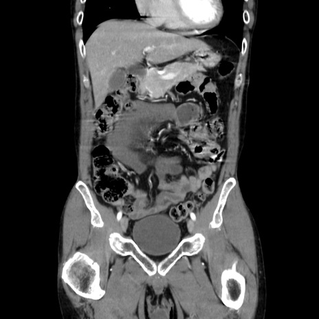
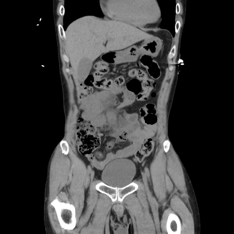
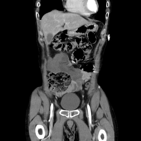
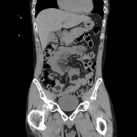
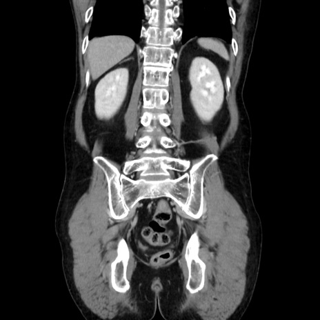
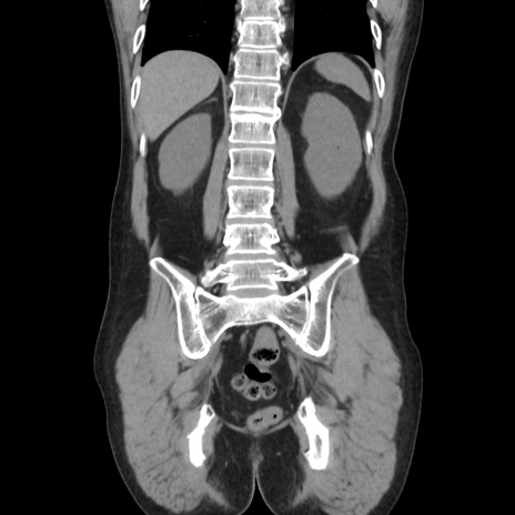
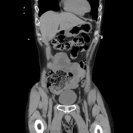
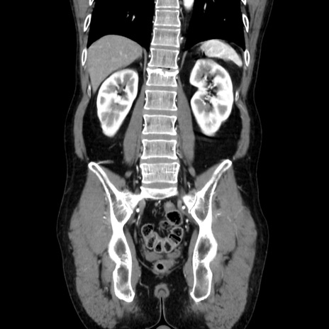
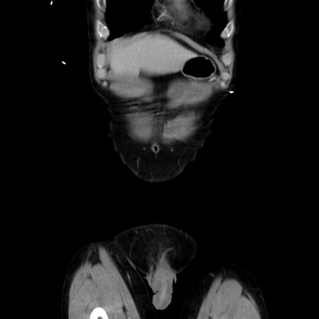
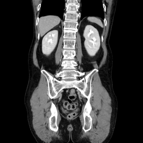
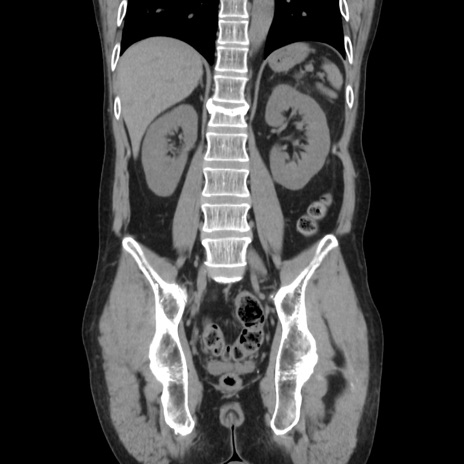
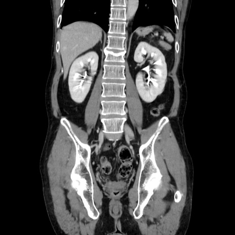
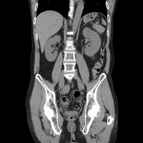
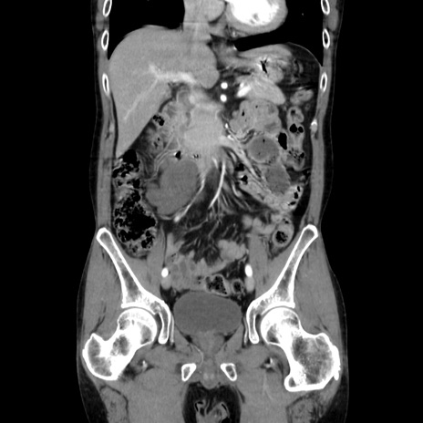
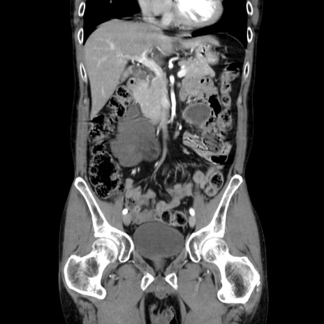
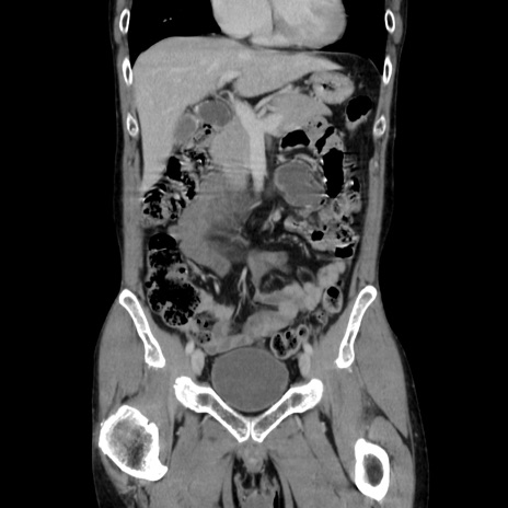
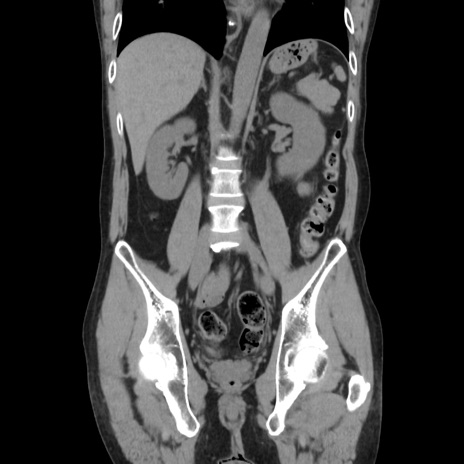
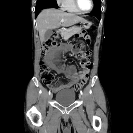
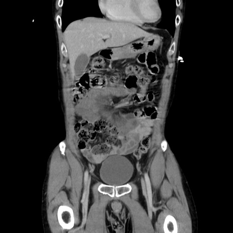
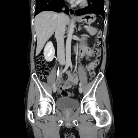
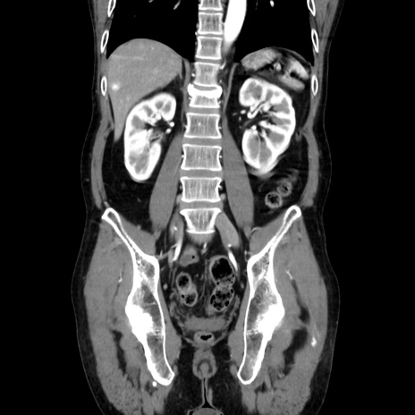
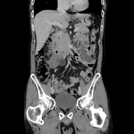
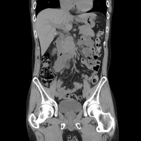
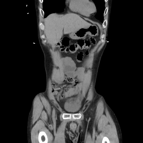
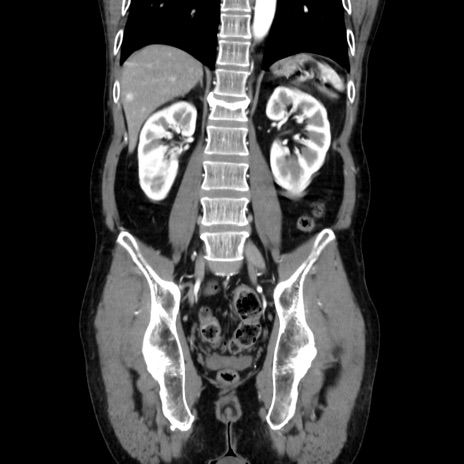
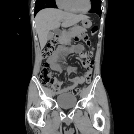
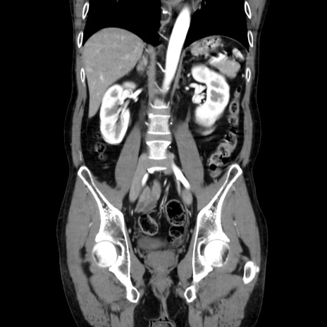
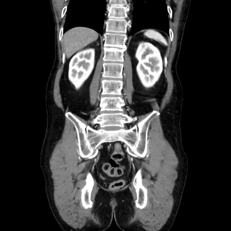
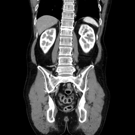
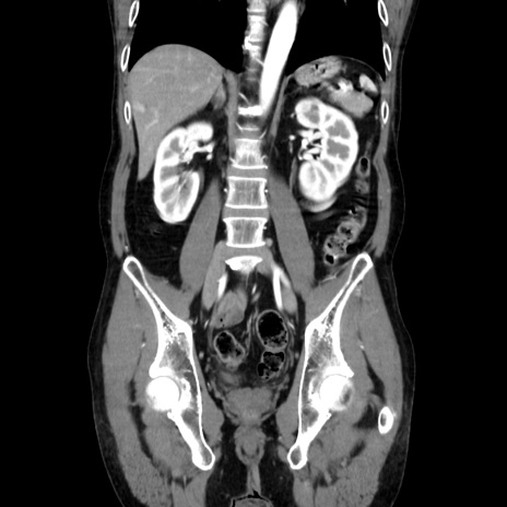
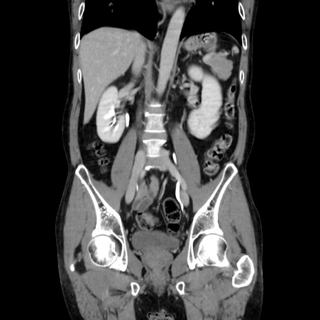
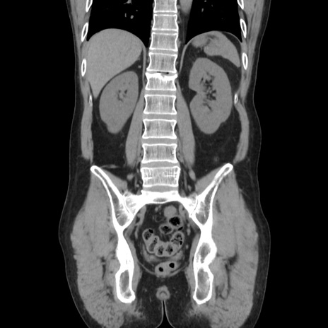
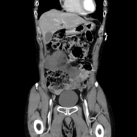
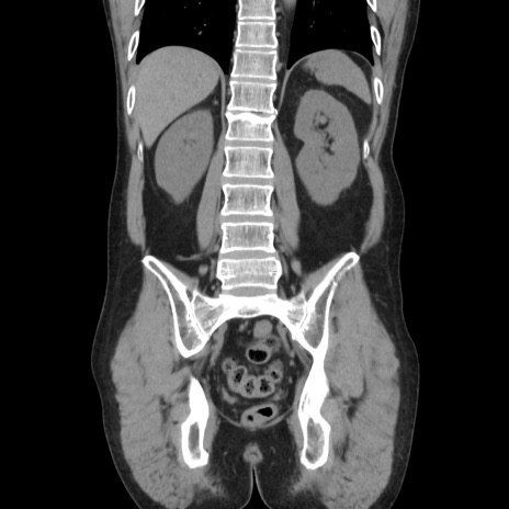
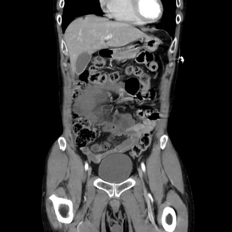
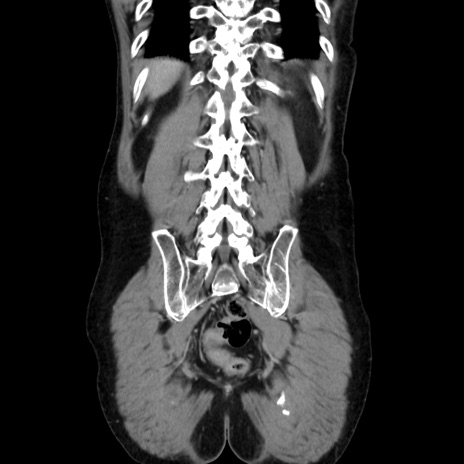
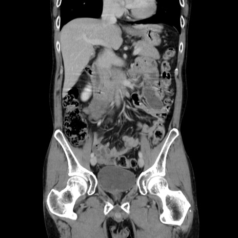
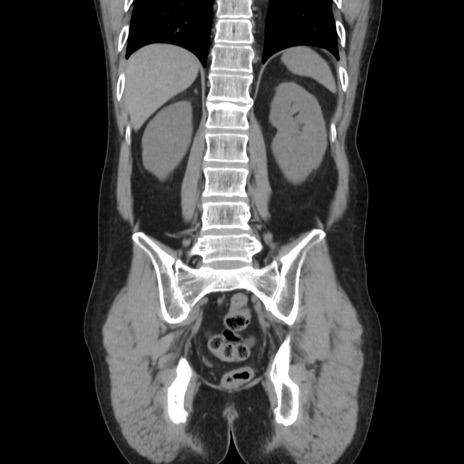
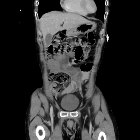
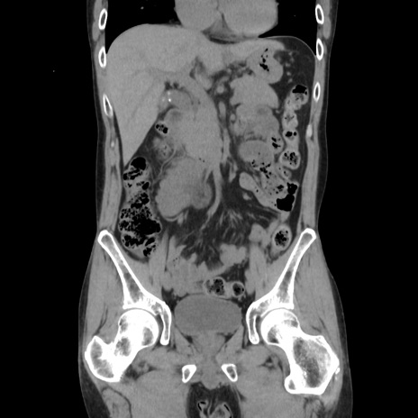
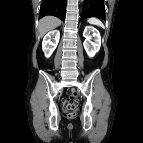
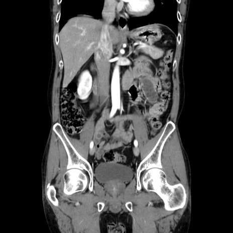
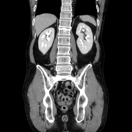
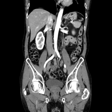
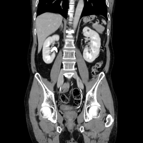
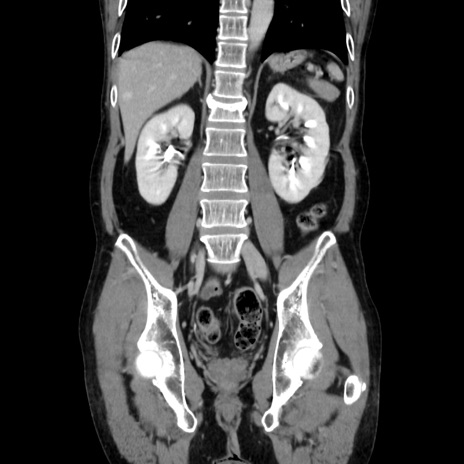
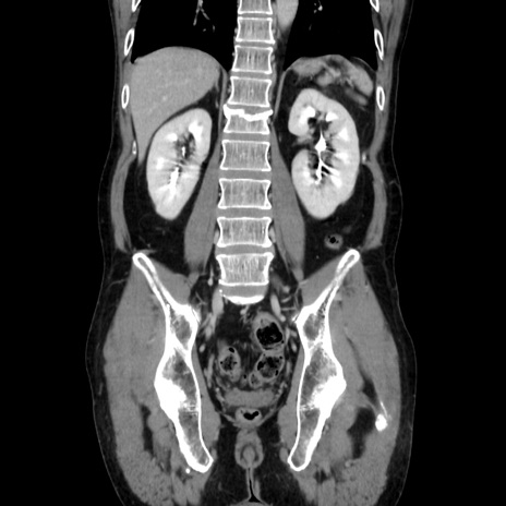
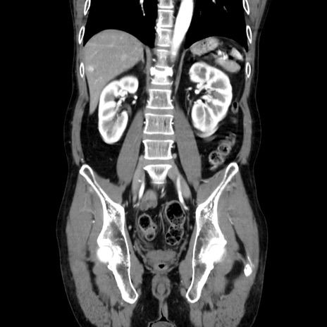
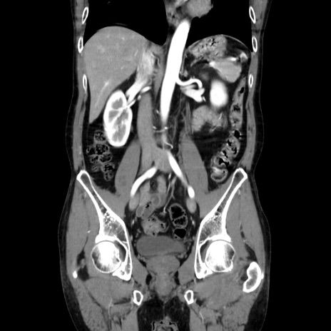
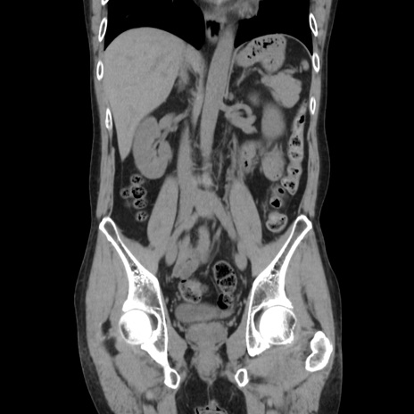
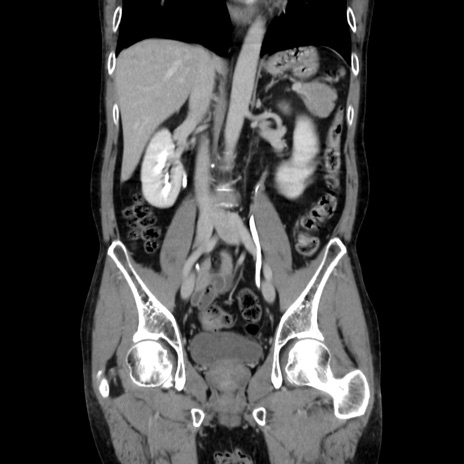
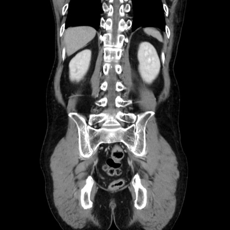
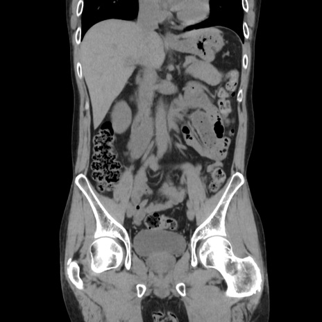
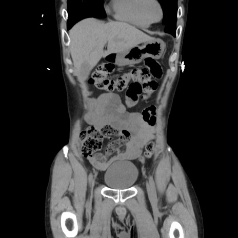
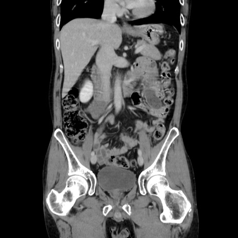
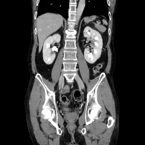
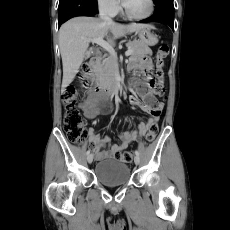
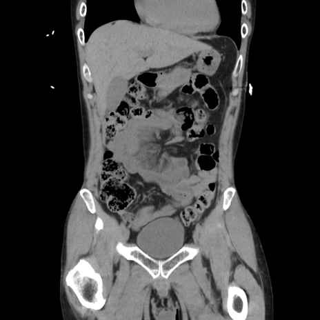
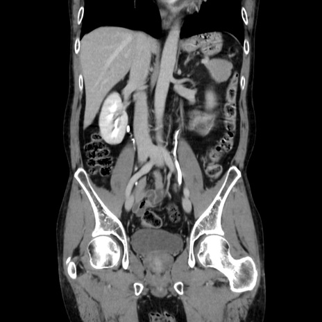
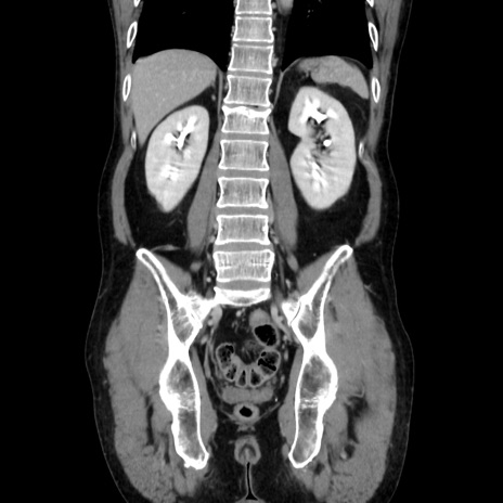
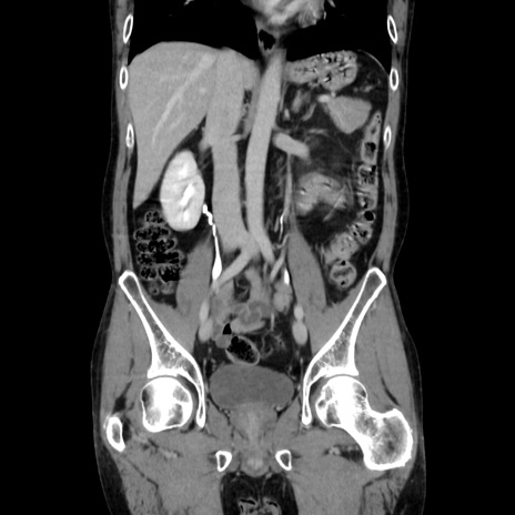
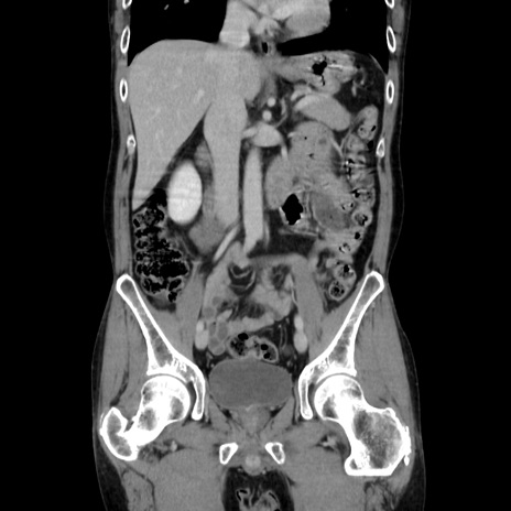
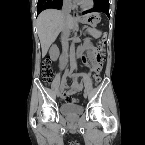
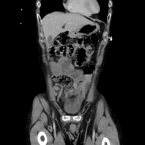
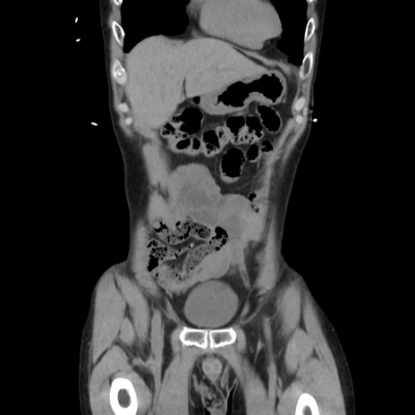
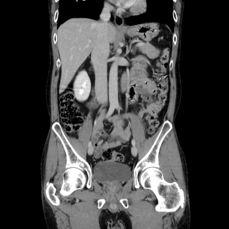
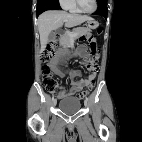
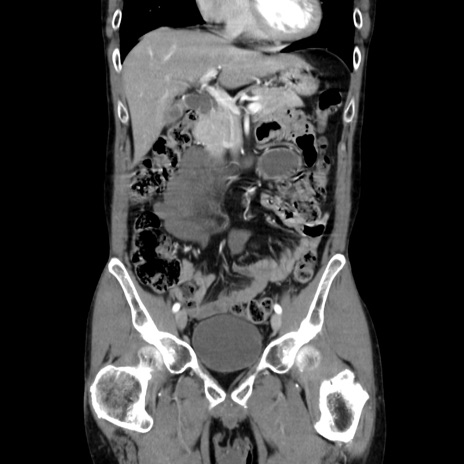
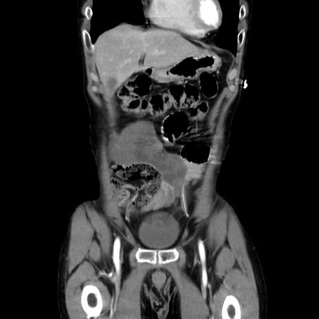
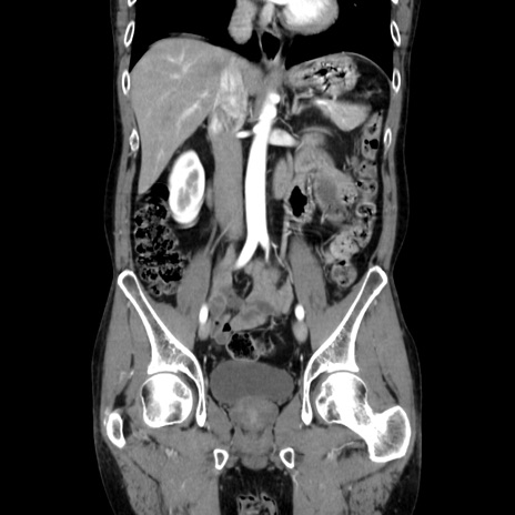
症例37(冠状断像)

 

症例

【症例】40歳代 男性
【主訴】腹痛

【現病歴】4時間ほど前に電車に乗車中に臍部上より腹痛出現。徐々に増悪し起立困難となり、救急外来受診。生ものは数日食べていない。今朝お雑煮を食べた。
【既往歴】なし
【身体所見】BT 36.8℃、BP 117/84mmHg、HR 91/min、SpO2 97%、苦悶様、腹部:臍上部広範囲圧痛あり、反跳痛±
【データ】WBC 8100、CRP 0.03

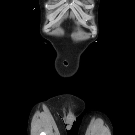
横断像