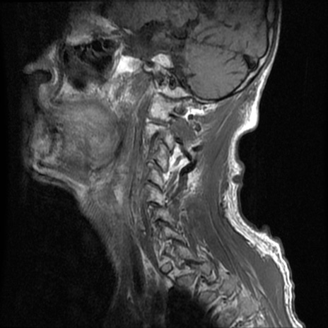
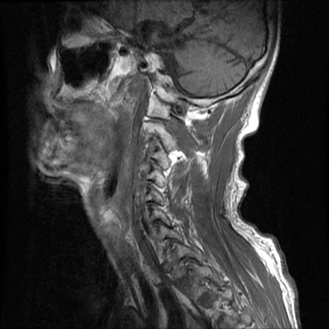
症例46 頚椎MRI T1WI(矢状断像)
症例
【症例】80歳代男性
【主訴】両側頚部〜上肢のしびれ
【現病歴】昨日、自宅内で転倒、その後より上記症状あり。意識障害なし。
【身体所見】両側上肢のallodynia(熱痛覚過敏)あり。MMTおよびDTRは正確な所見取れず。両上肢の挙上はなんとか可能。
異常所見と診断は?
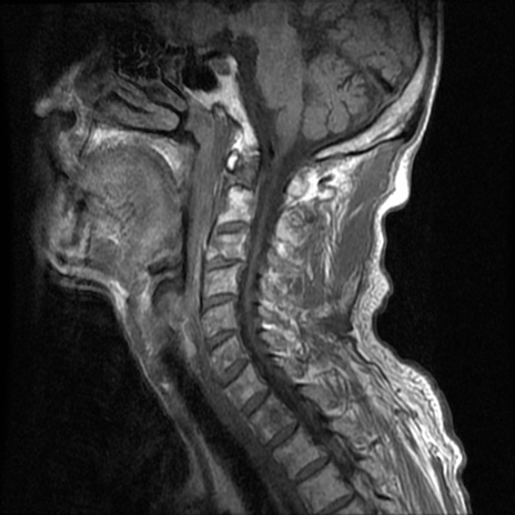
頚椎MRI
T1WI(横断像)
T2*WI(横断像)
T2WI(矢状断像)











【症例】80歳代男性
【主訴】両側頚部〜上肢のしびれ
【現病歴】昨日、自宅内で転倒、その後より上記症状あり。意識障害なし。
【身体所見】両側上肢のallodynia(熱痛覚過敏)あり。MMTおよびDTRは正確な所見取れず。両上肢の挙上はなんとか可能。
異常所見と診断は?
頚椎MRI
T1WI(横断像)
T2*WI(横断像)
T2WI(矢状断像)