脾静脈(splenic vein)のCT画像における解剖
症例
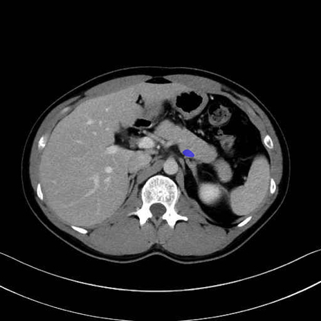
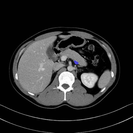
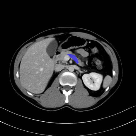
【症例】20歳代 男性 スクリーニング
脾静脈の画像解剖
■起始:脾門で脾静脈枝が合流して本幹を形成。
■走行:膵体尾部の後面溝を右走し、膵頸部の後方で上腸間膜静脈(SMV)と合流して門脈を形成。
■主な流入枝:短胃静脈・左胃大網静脈・膵静脈、そして下腸間膜静脈(IMV)(変異あり)。















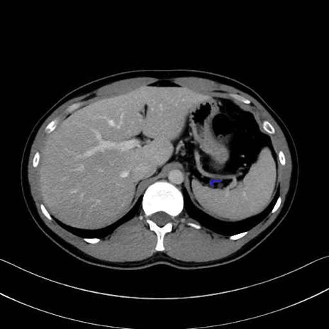
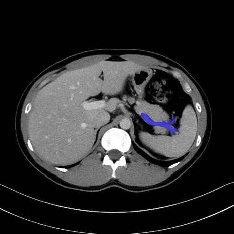
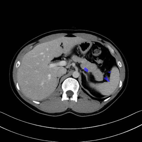
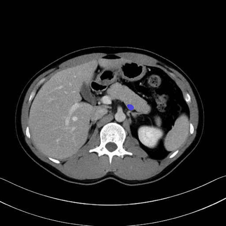
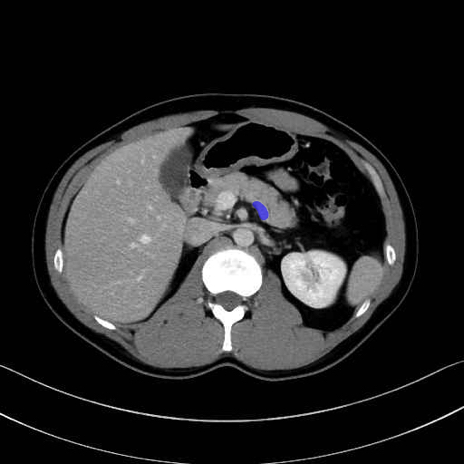
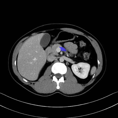
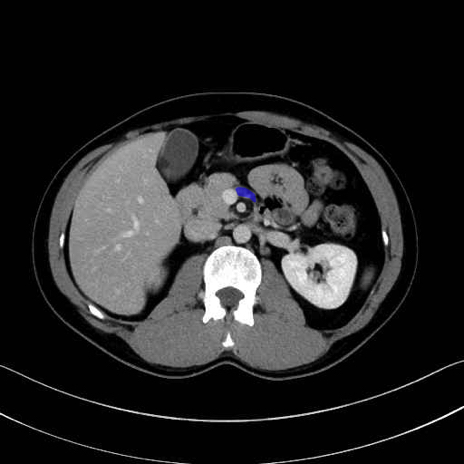
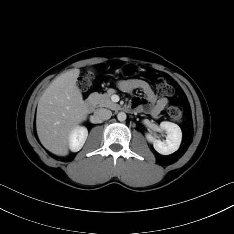
【症例】20歳代 男性 スクリーニング
脾静脈の画像解剖
■起始:脾門で脾静脈枝が合流して本幹を形成。
■走行:膵体尾部の後面溝を右走し、膵頸部の後方で上腸間膜静脈(SMV)と合流して門脈を形成。
■主な流入枝:短胃静脈・左胃大網静脈・膵静脈、そして下腸間膜静脈(IMV)(変異あり)。