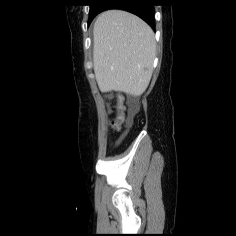
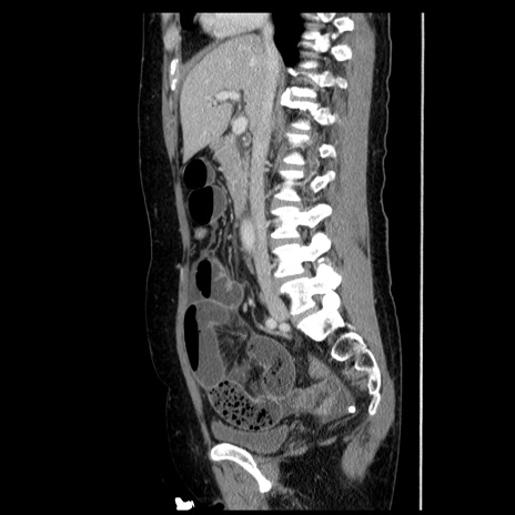
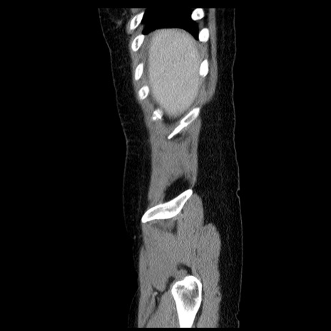
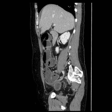
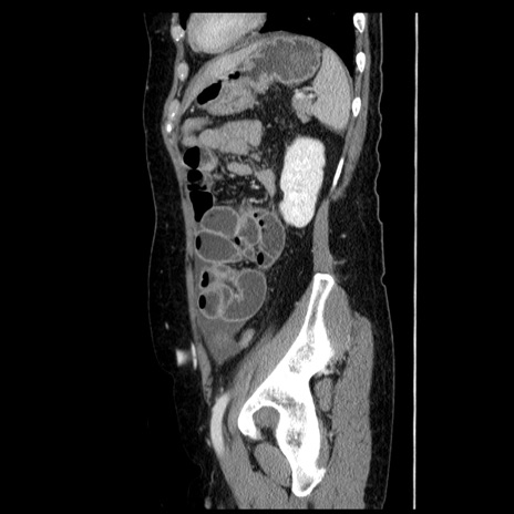
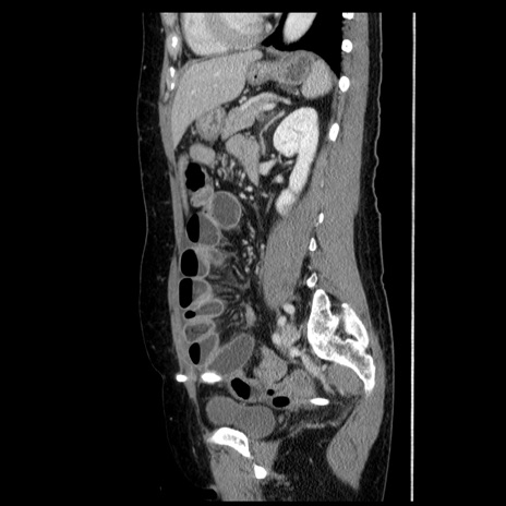
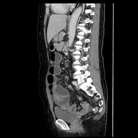
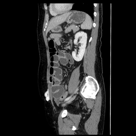
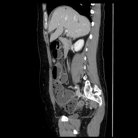
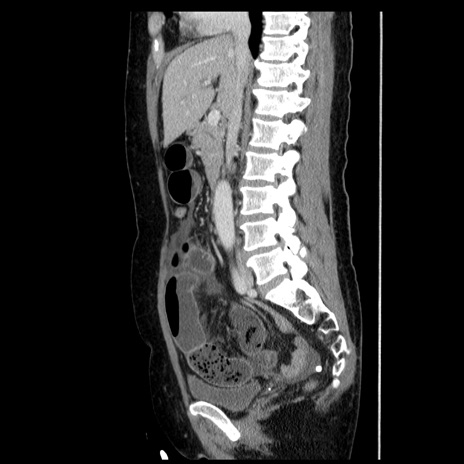
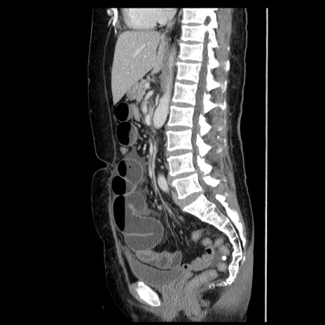
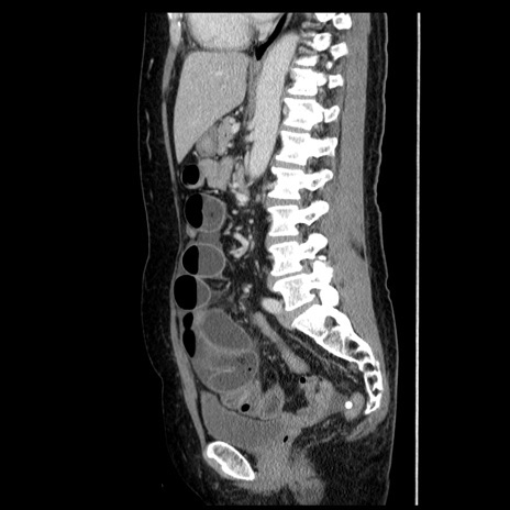
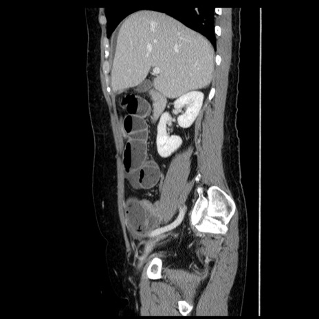
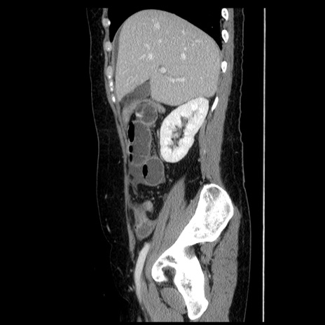
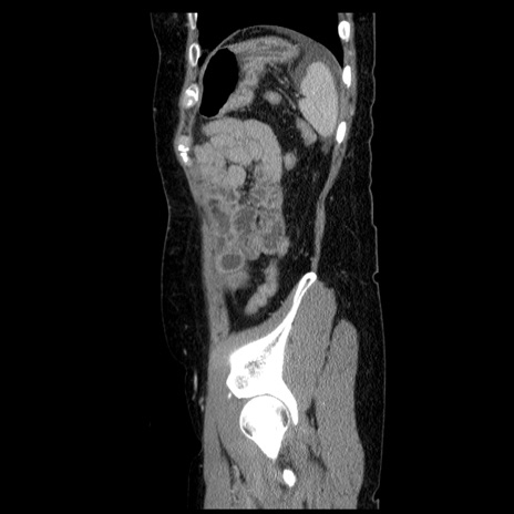
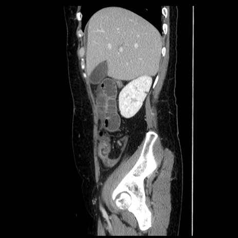
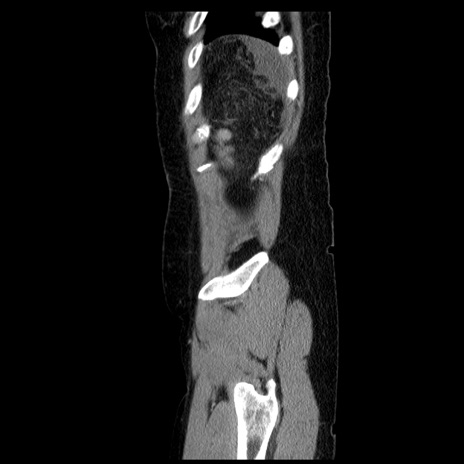
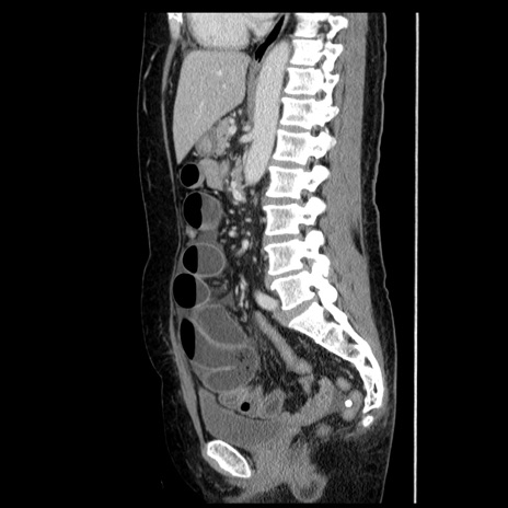
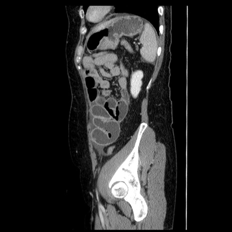
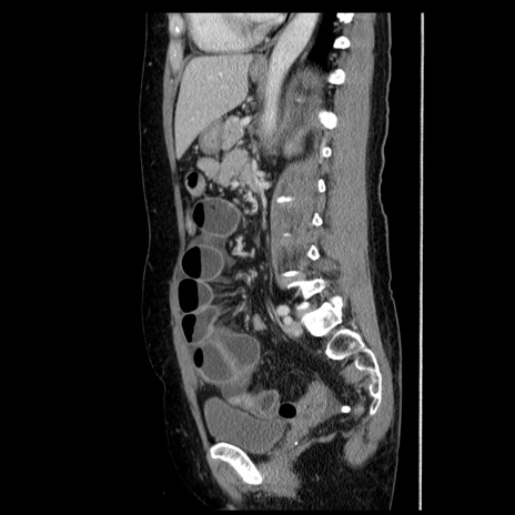
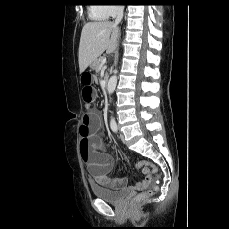
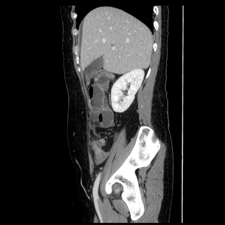
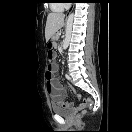
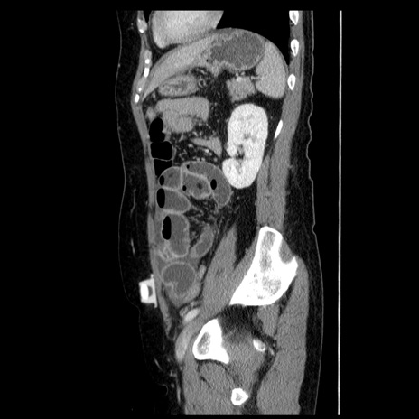
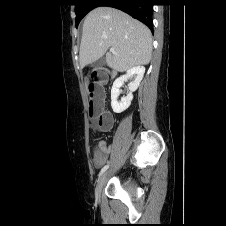
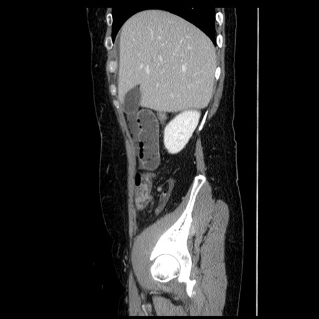
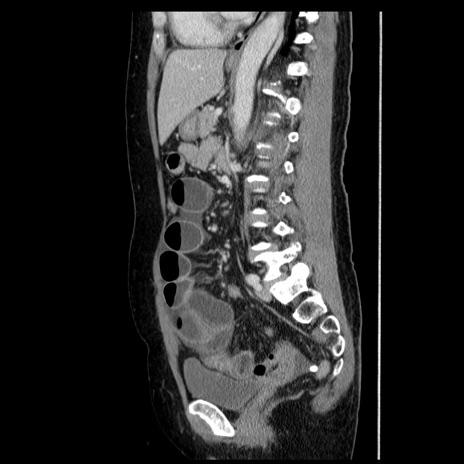
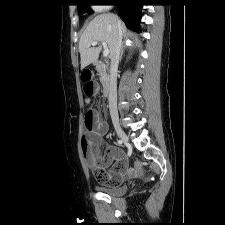
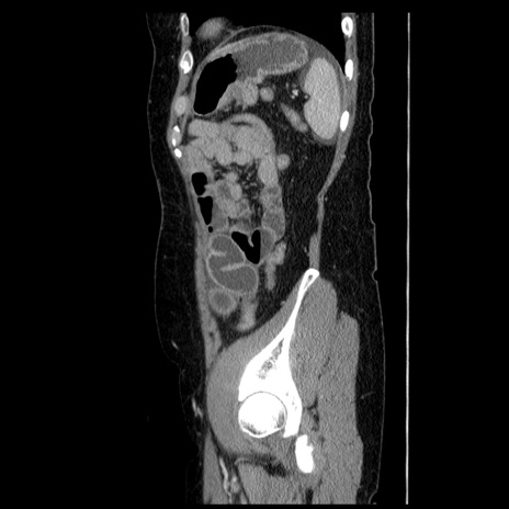
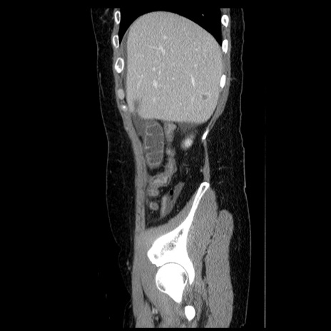
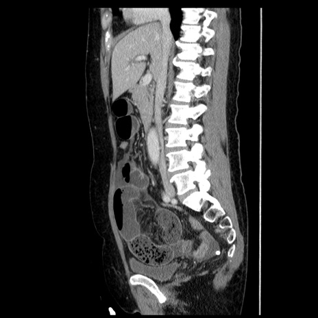
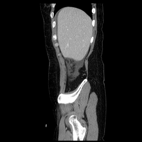
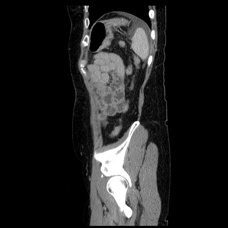
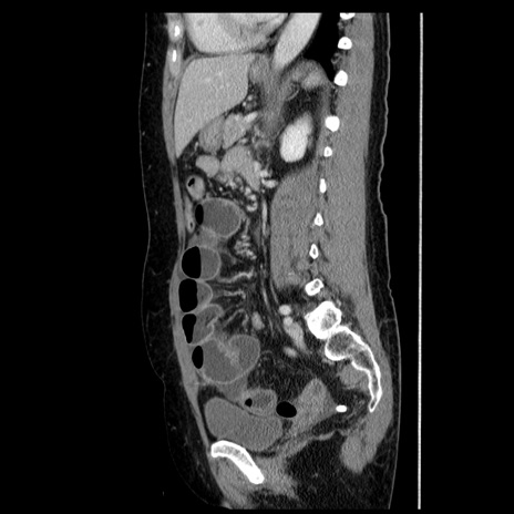
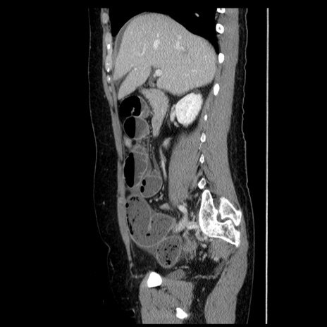
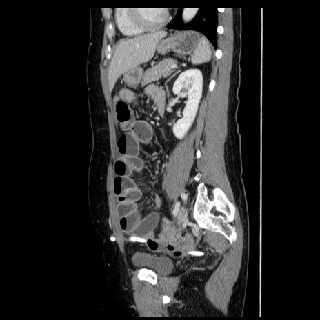
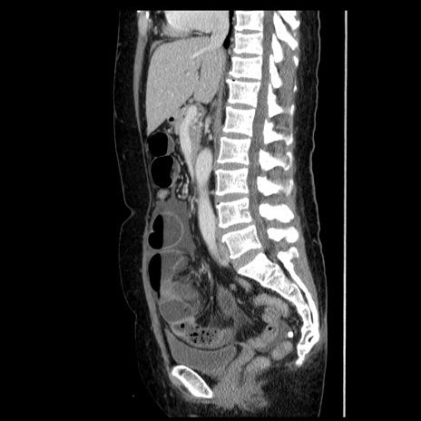
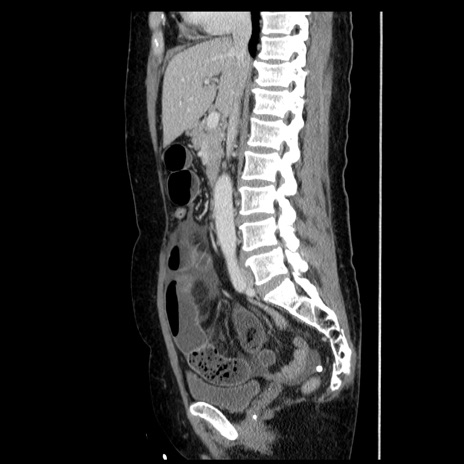
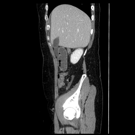
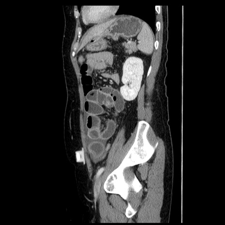
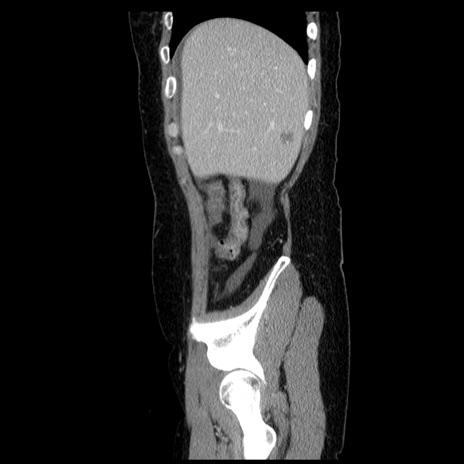
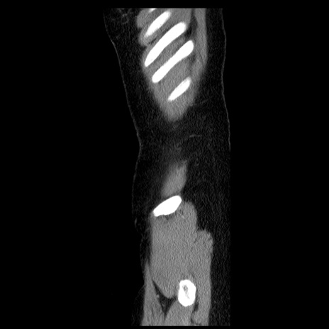
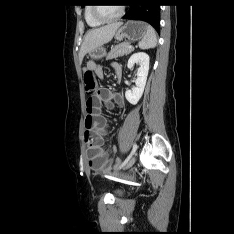
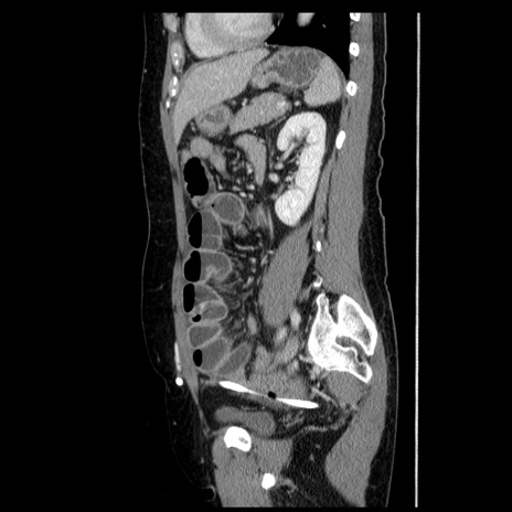
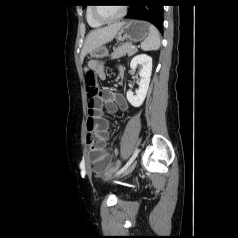
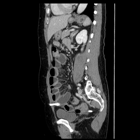
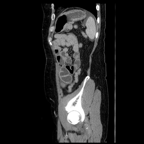
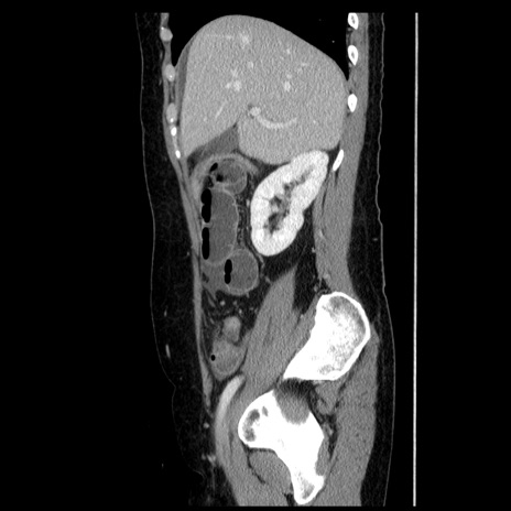
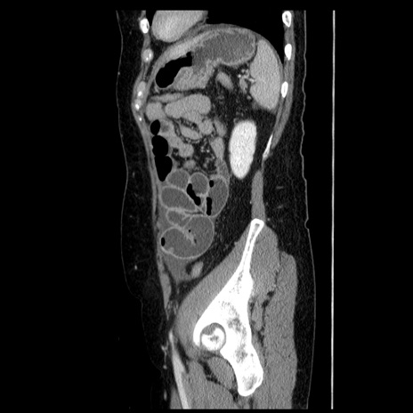
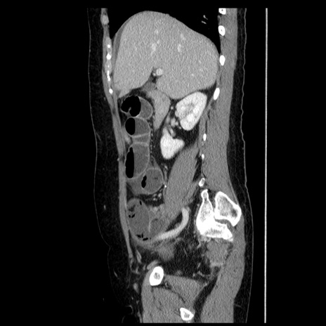
症例6(矢状断像)

 

症例

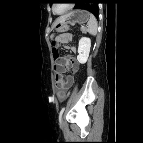
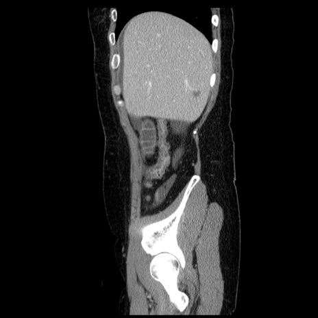
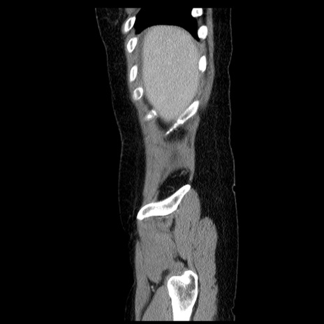
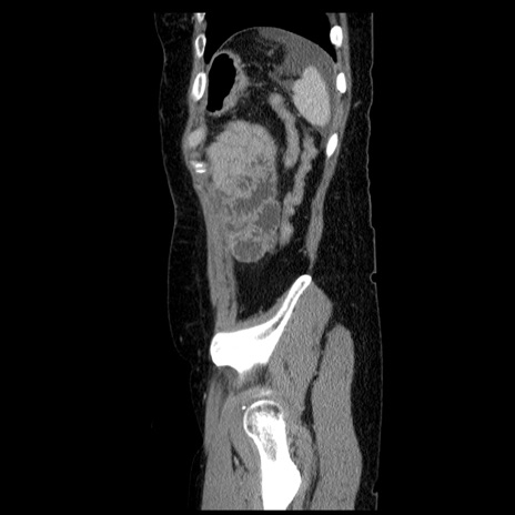
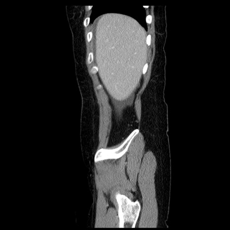
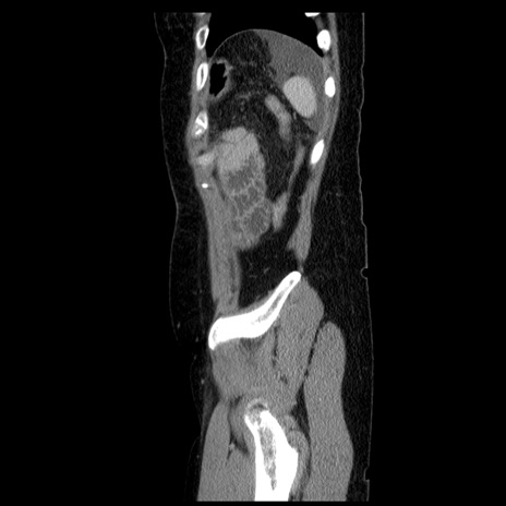
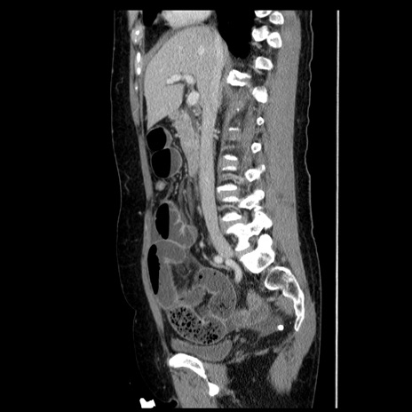
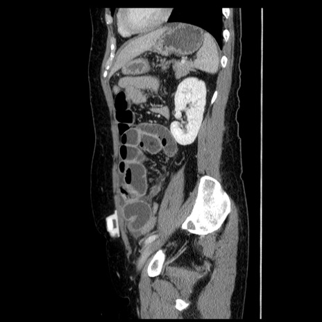
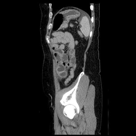
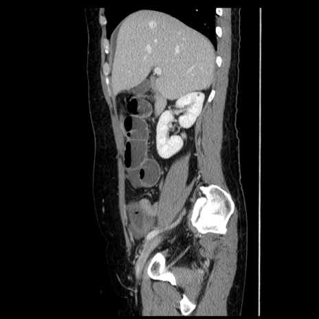
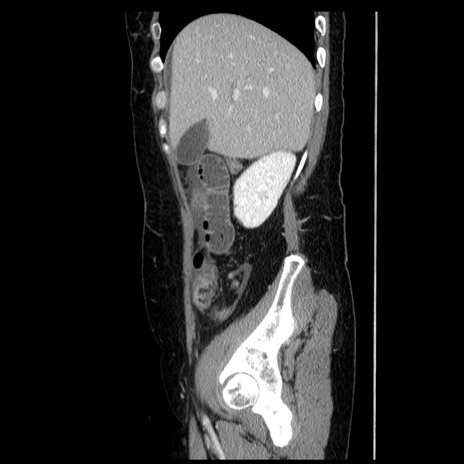
【症例】50歳代女性
【主訴】下腹部痛
【現病歴】本日朝より下痢2回あり。 昼食を食べた後、嘔吐3回、下腹部痛認め、症状軽快せず、当院救急搬送。
最終食事:本日昼(生ものなし)。 昨日の夜、刺身を食ぺたとのこと。周囲に同様の症状の者なし。普段、排便は毎日あるとのこと。
【既往歴】卵巣癌術後(8年前に当院で卵巣摘出)
【身体所見】 意識清明、腹部:平坦、腸蠕動音→、やや硬、下腹部自発痛・圧痛あり、反跳痛あり、筋性防御なし。
【データ】WBC 16000、CRP 0.01

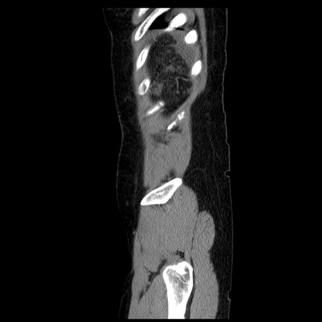
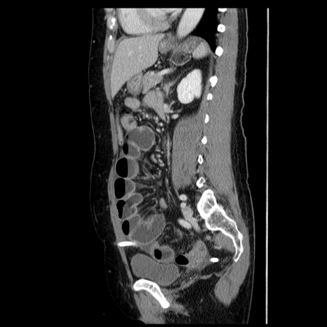
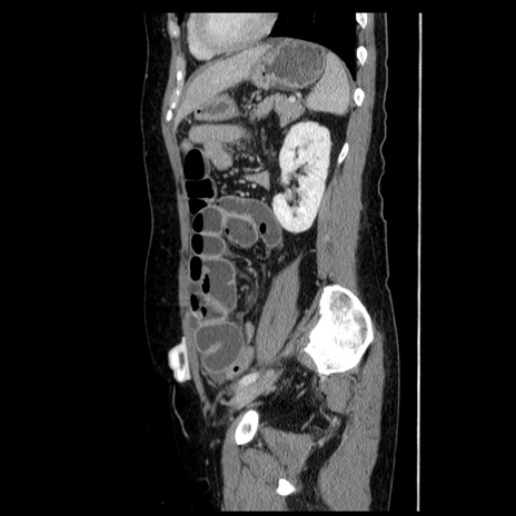
横断像
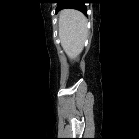
冠状断像