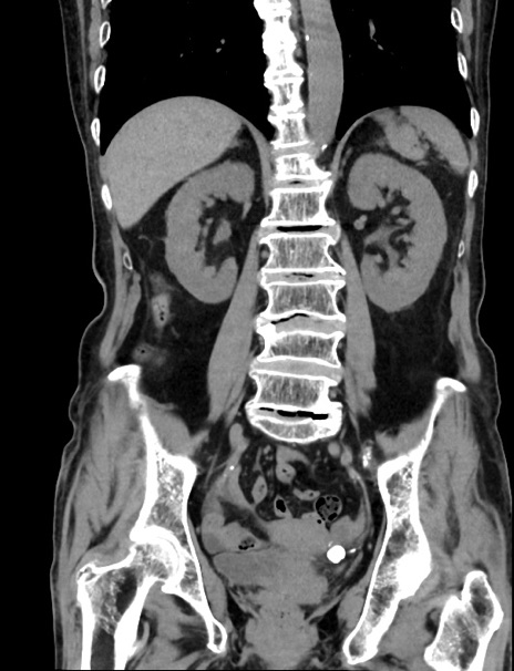
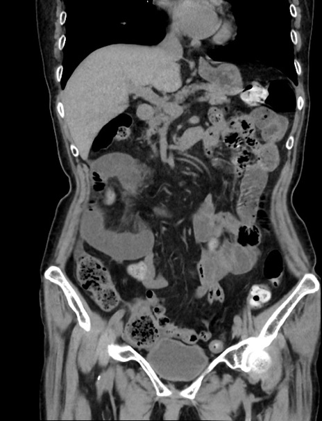
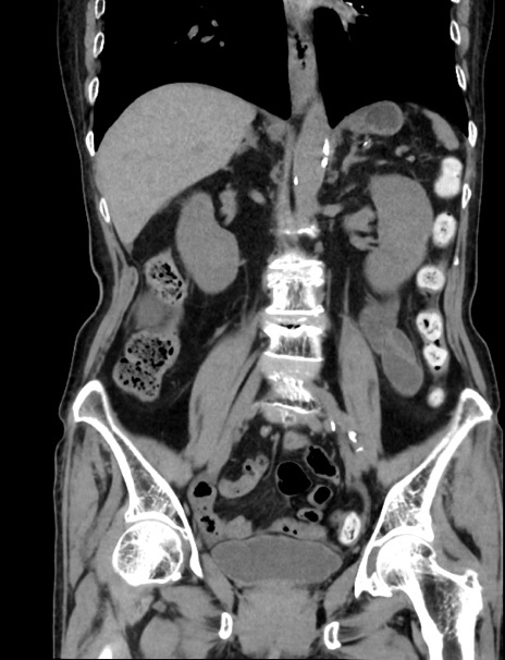
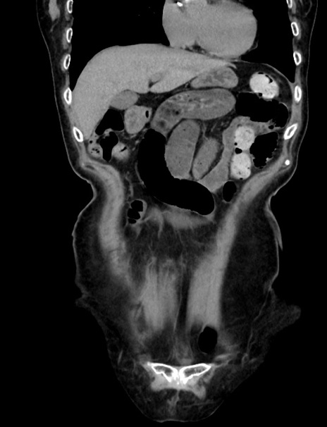
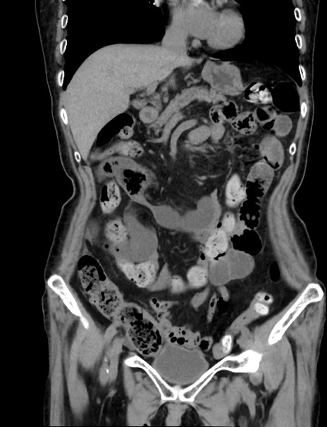
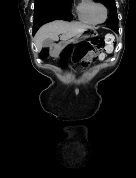
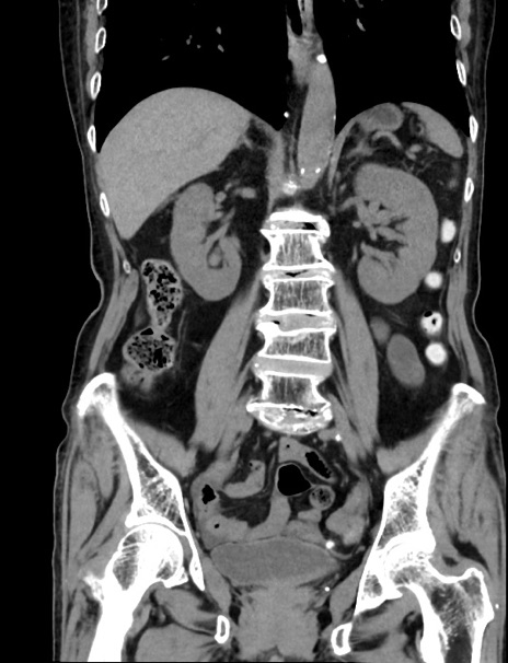
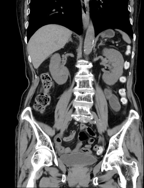
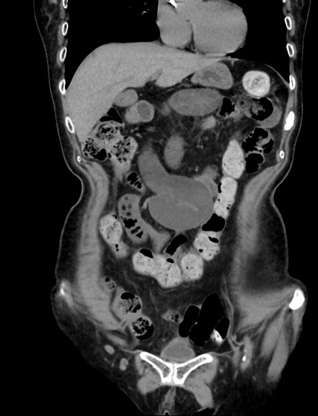
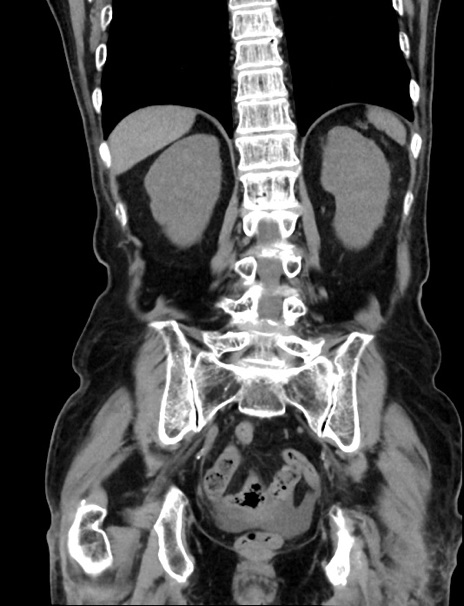
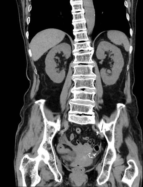
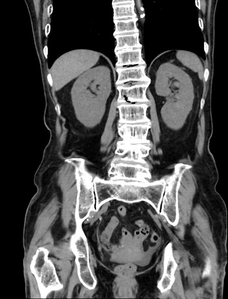
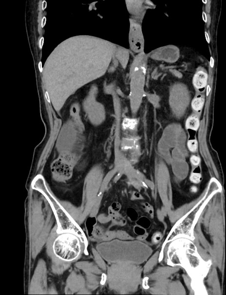
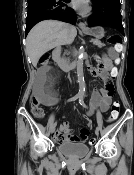
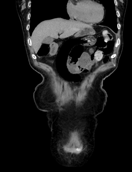
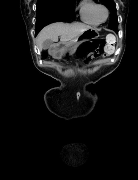
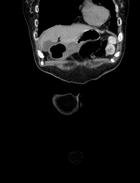
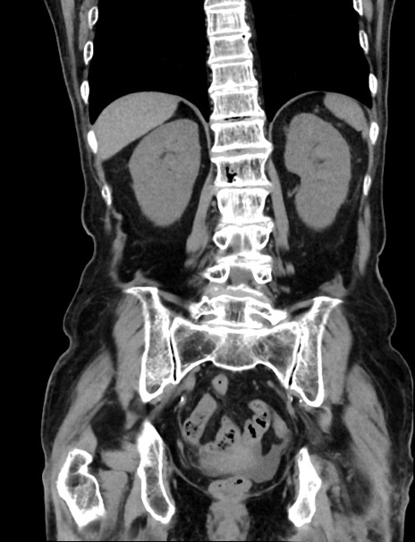
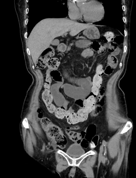
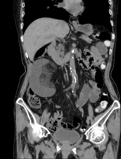
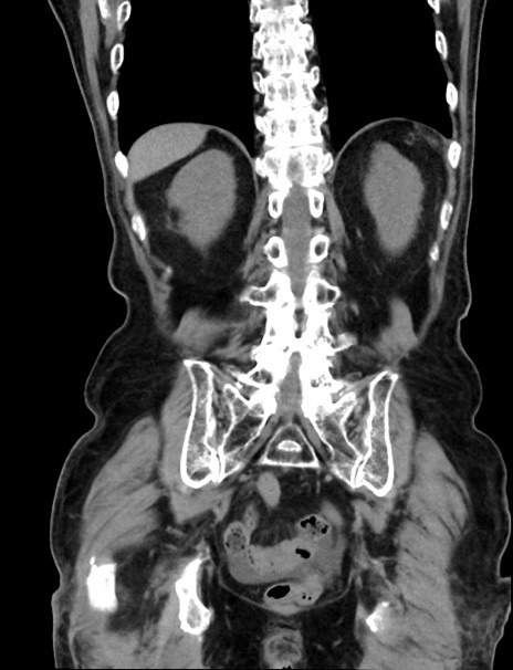
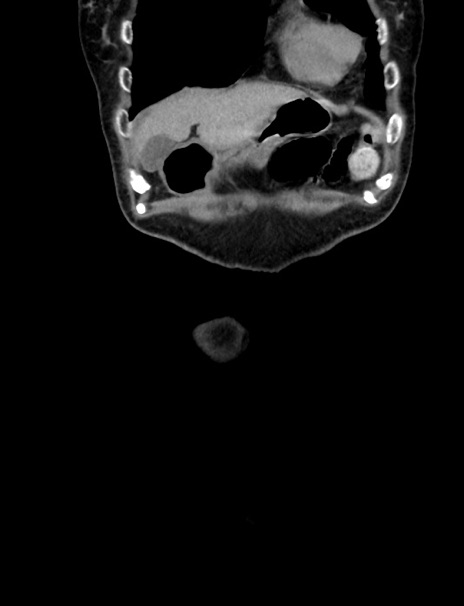
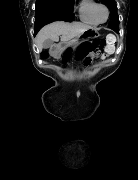
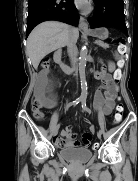
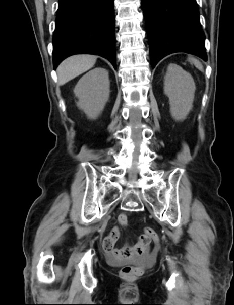
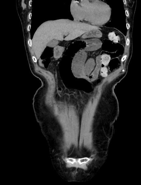
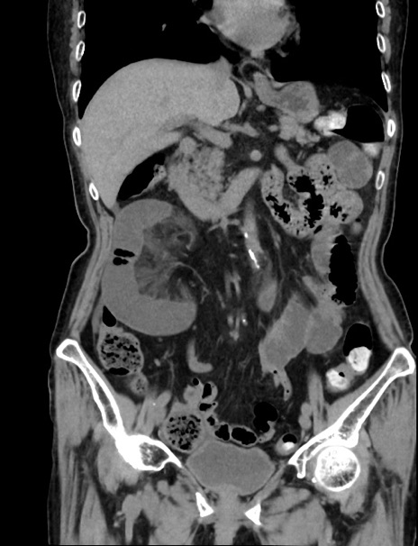
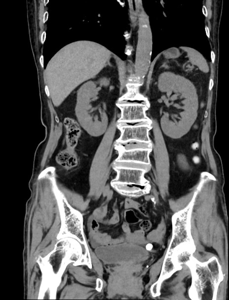
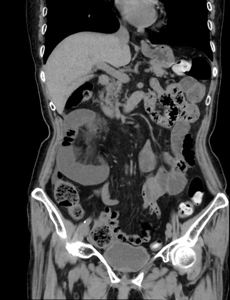
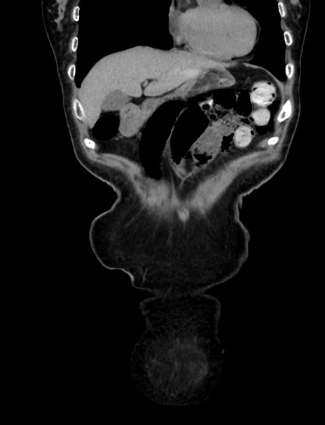
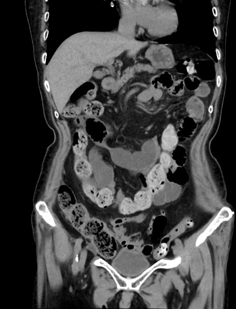
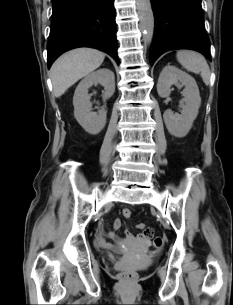
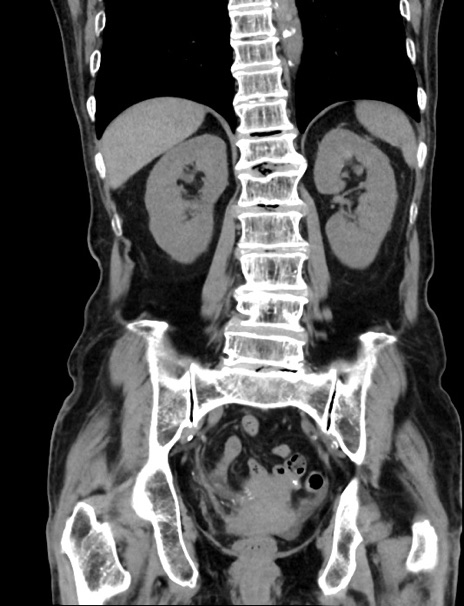
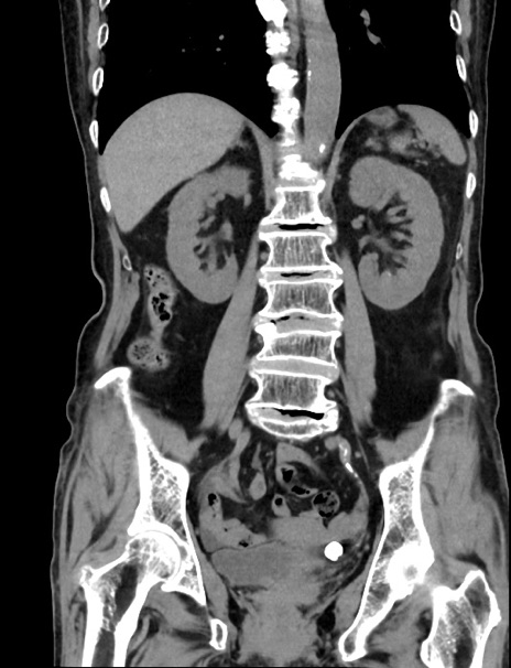
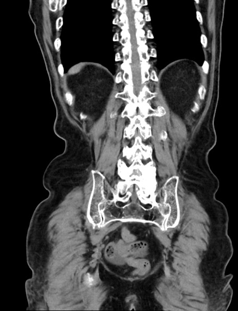
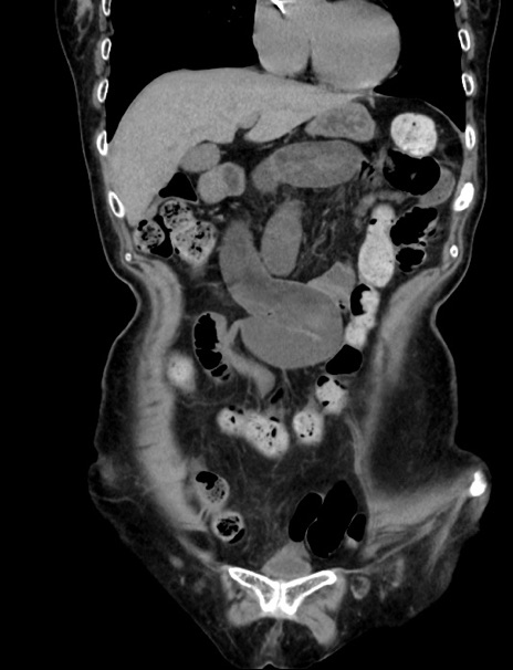
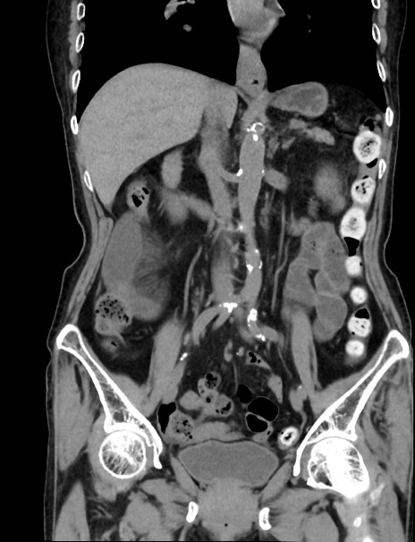
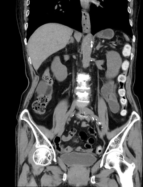
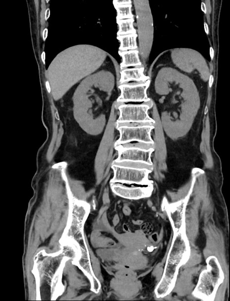
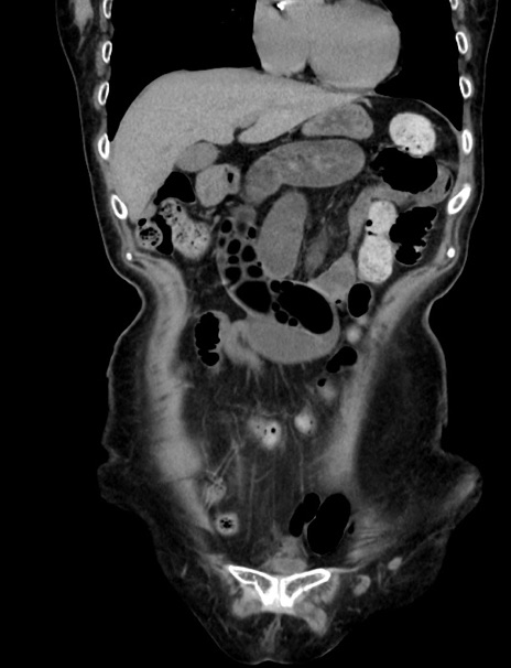
症例33(冠状断像)

 

症例

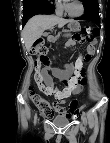
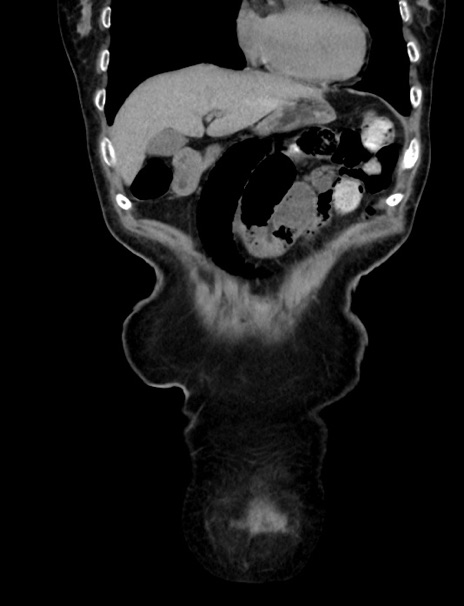
【症例】70歳代 女性
【主訴】心窩部痛

【現病歴】延髄病変の精査・加療にて神経内科入院中。本日より心窩部痛あり。
【既往歴】虫垂炎
【身体所見】右下腹部を中心に圧痛と反跳痛あり。
【データ】WBC 10900、CRP 0.02

横断像