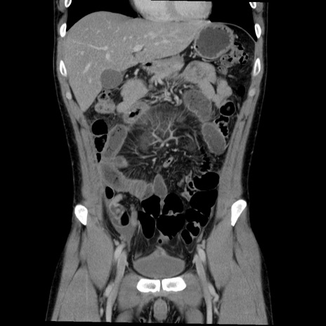
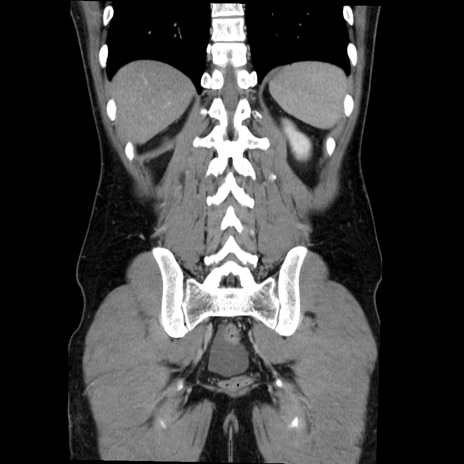
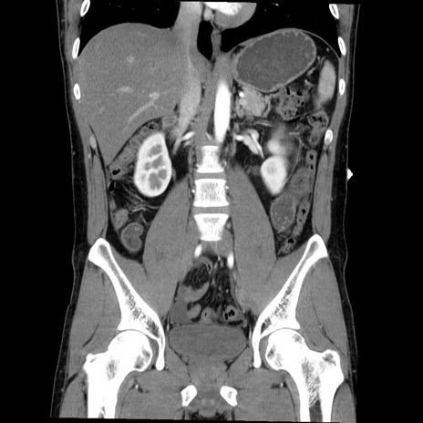
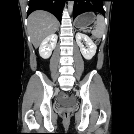
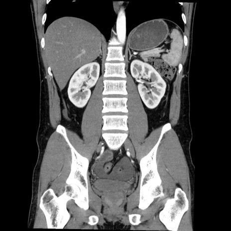
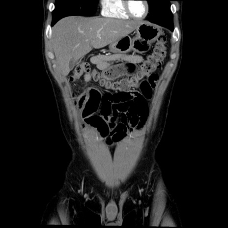
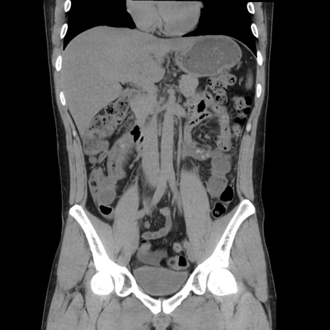
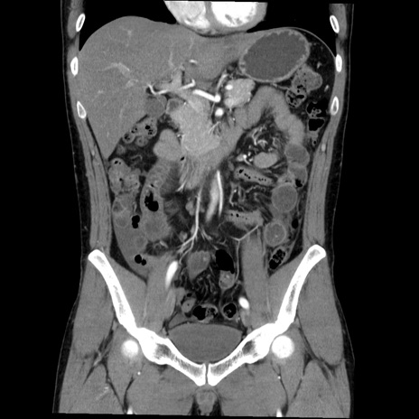
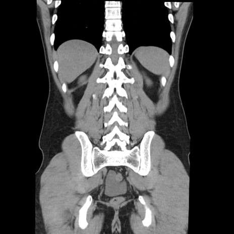
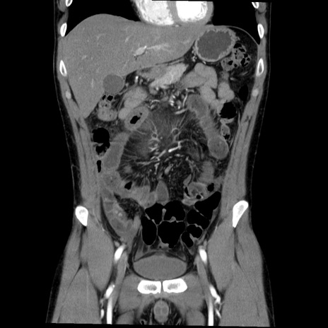
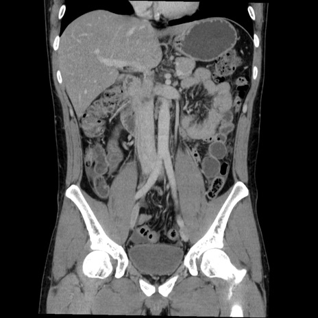
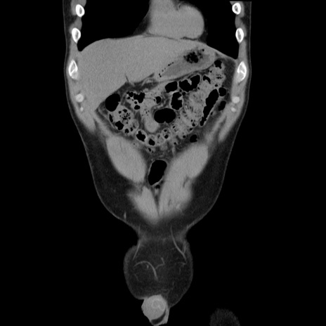
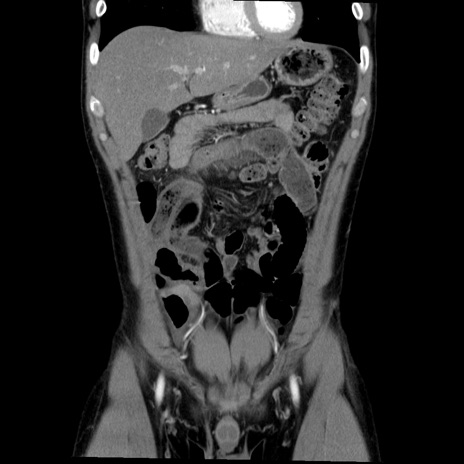
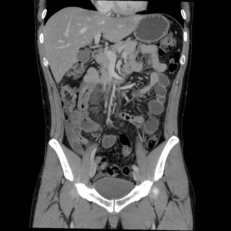
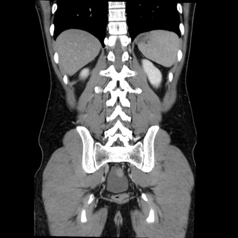
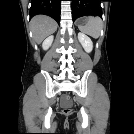
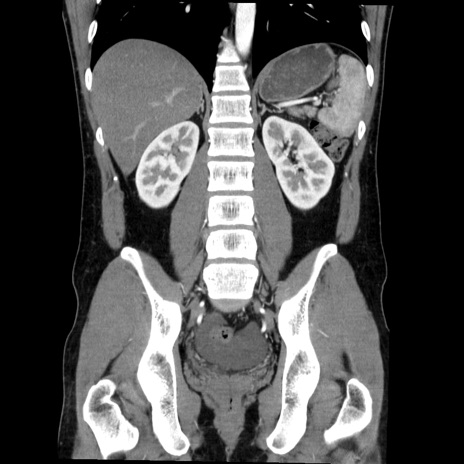
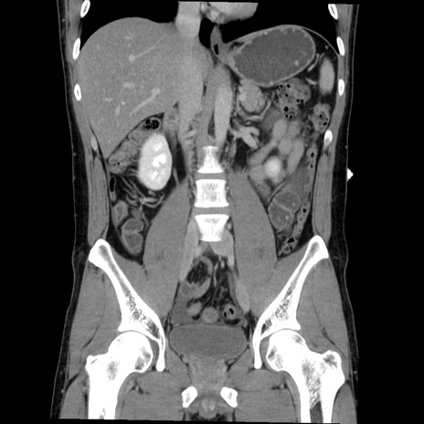
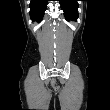
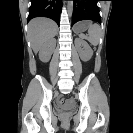
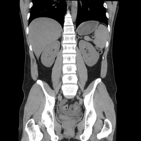
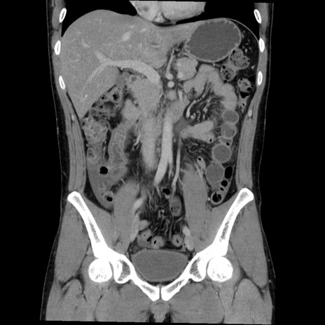
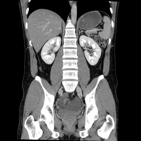
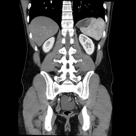
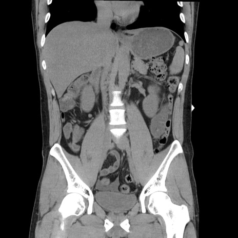
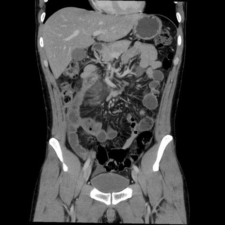
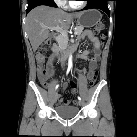
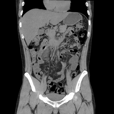
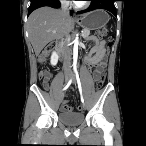
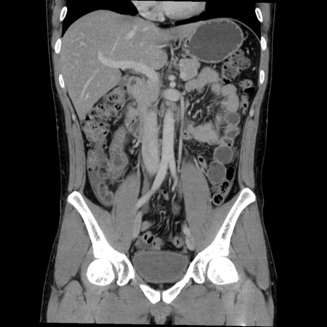
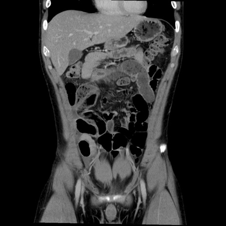
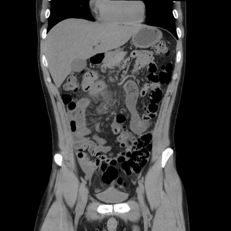
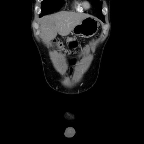
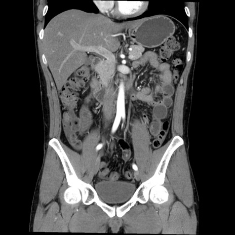
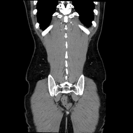
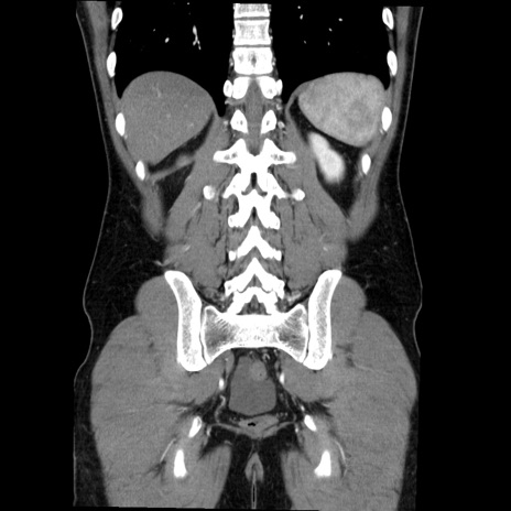
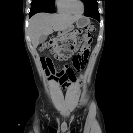
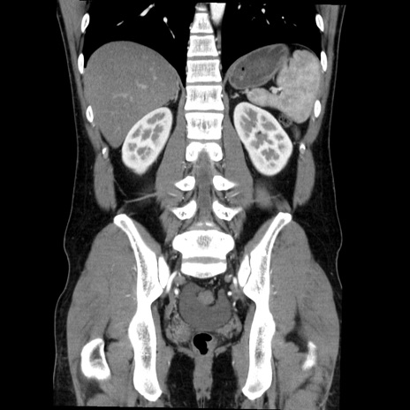
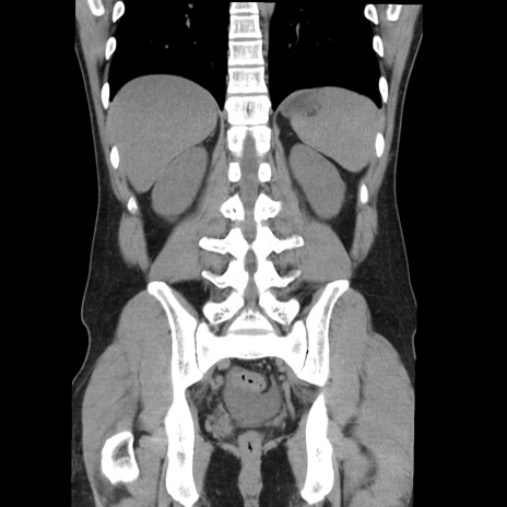
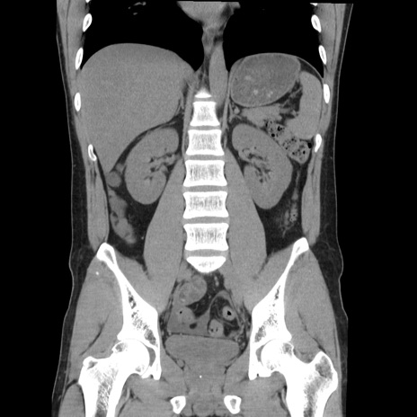
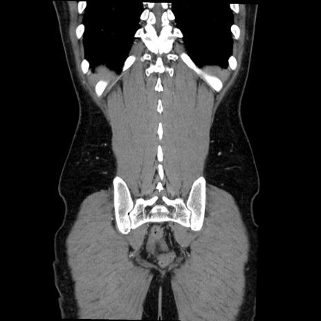
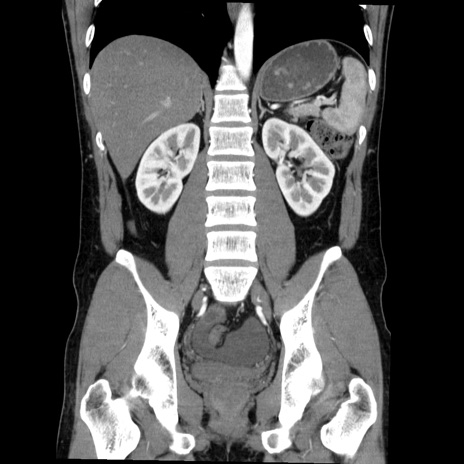
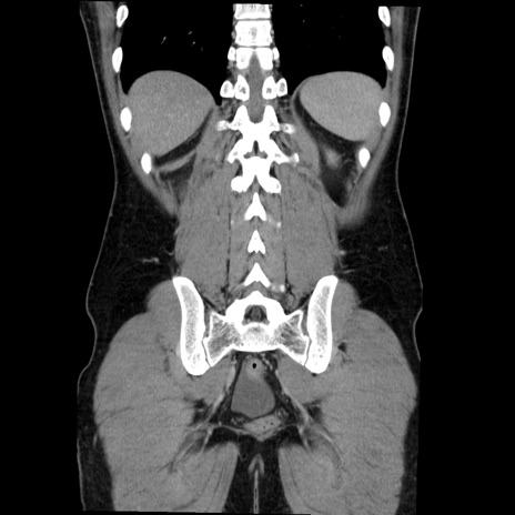
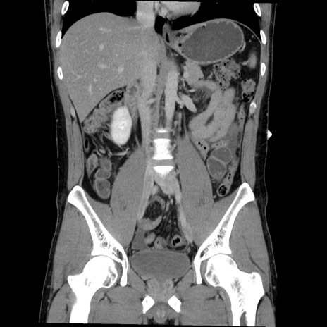
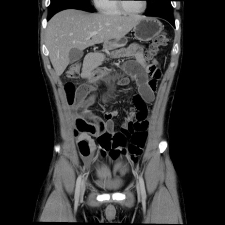
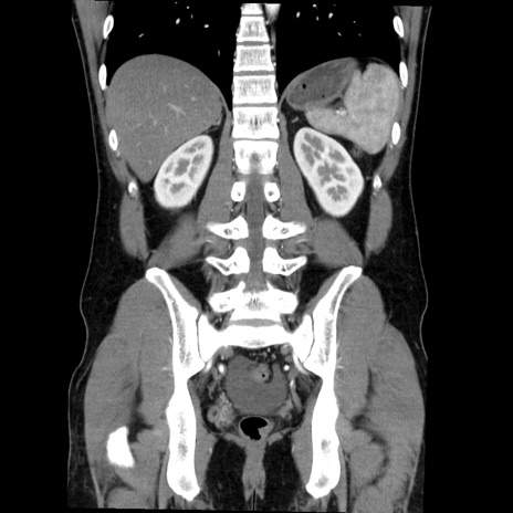
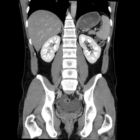
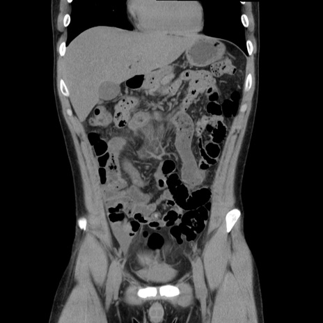
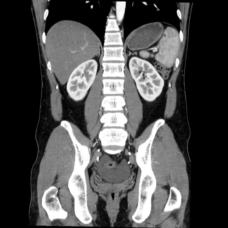
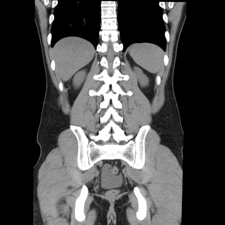
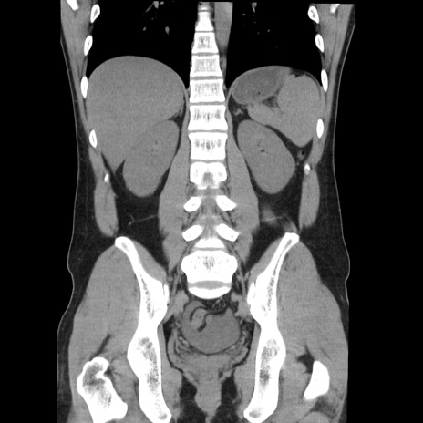
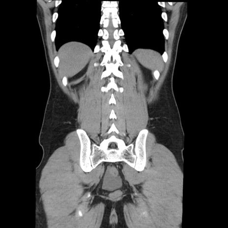
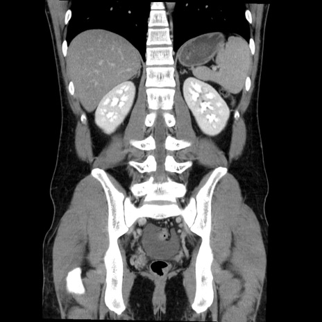
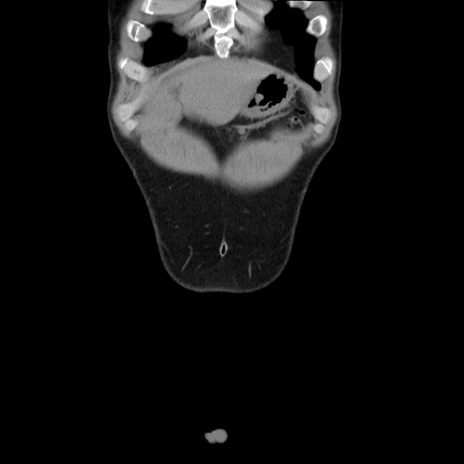
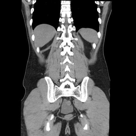
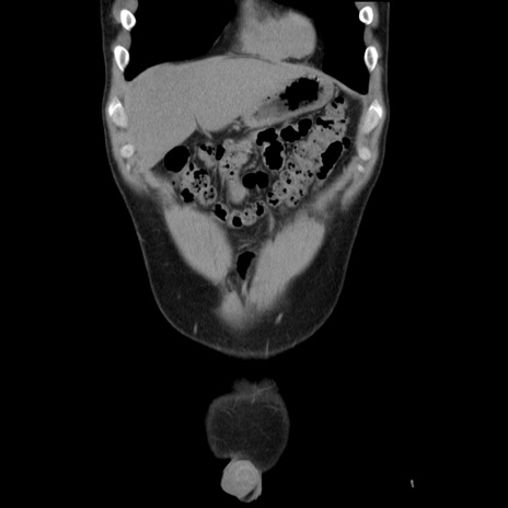
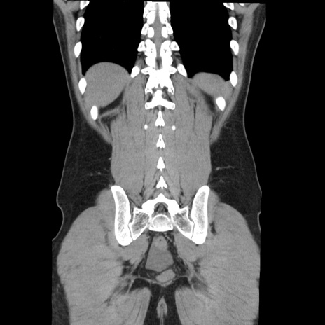
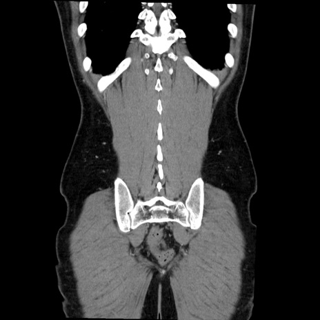
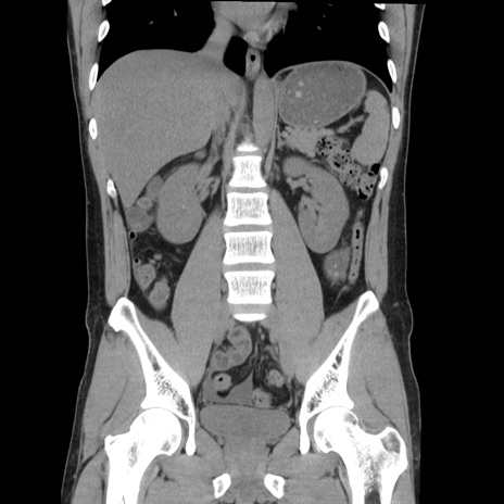
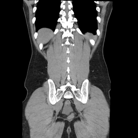
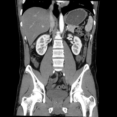
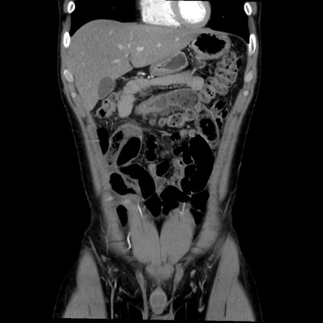
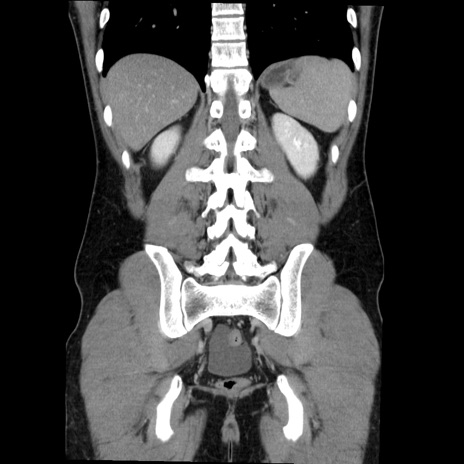
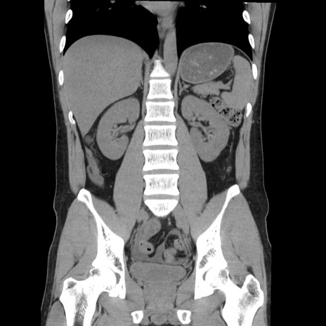
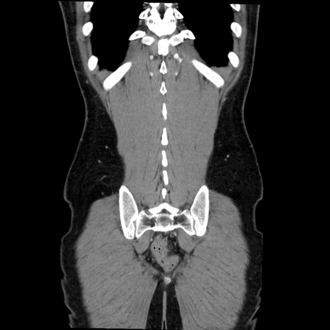
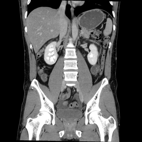
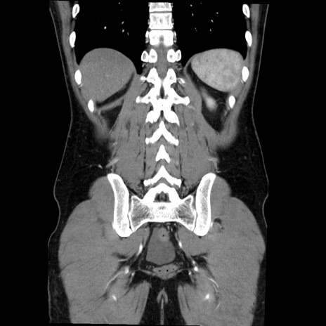
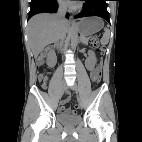
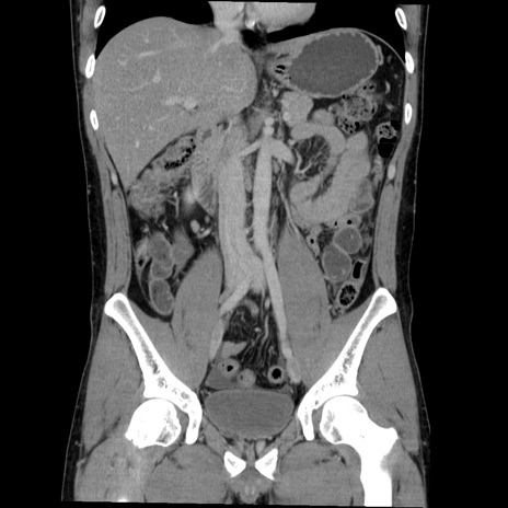
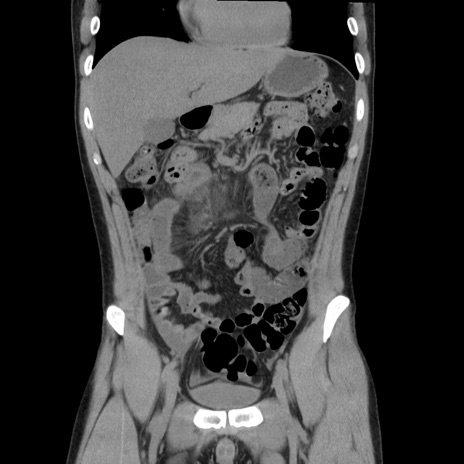
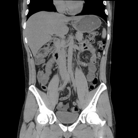
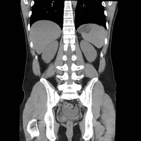
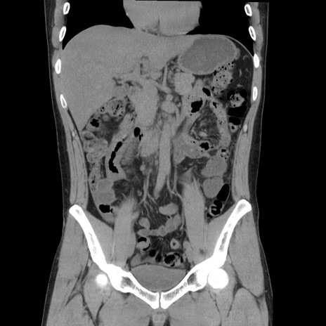
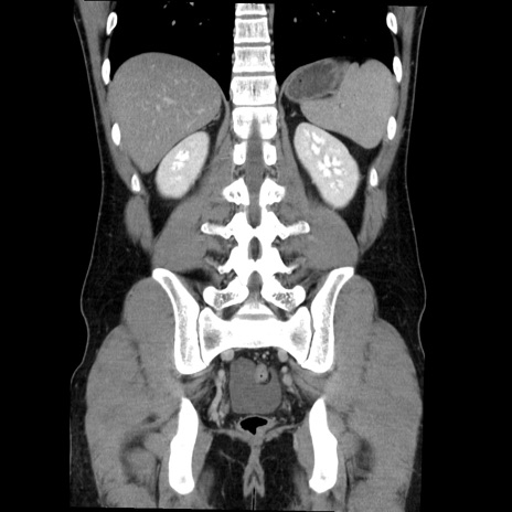
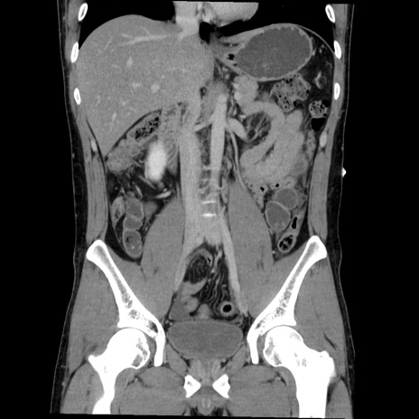
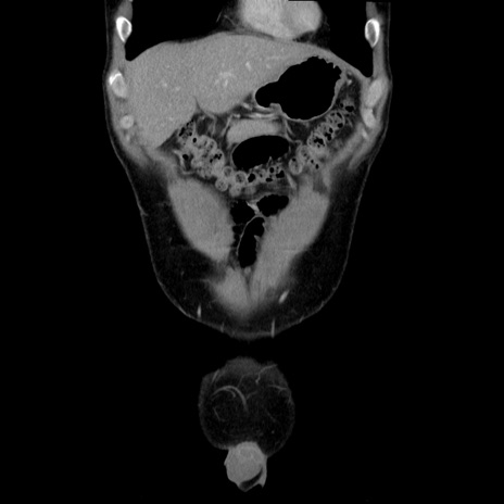
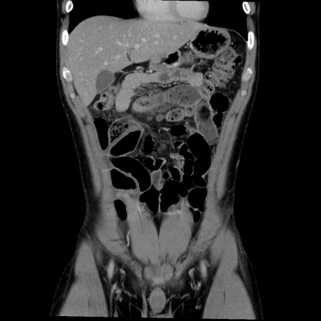
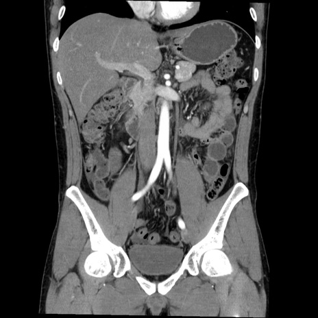
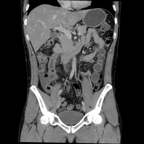
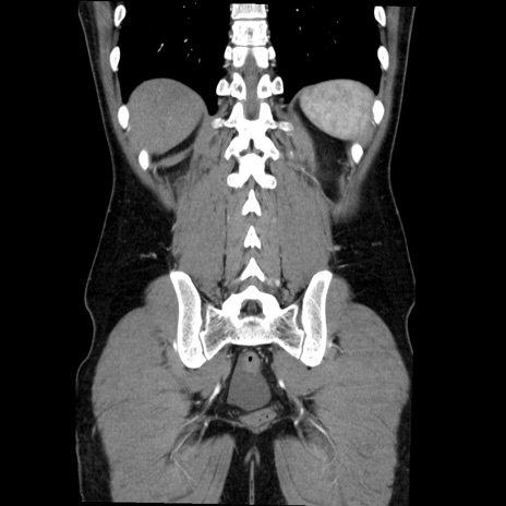
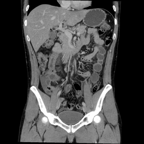
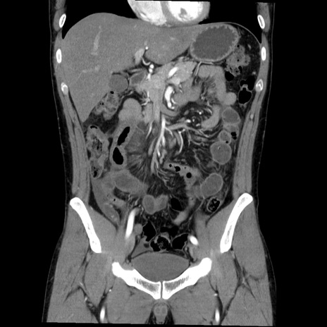
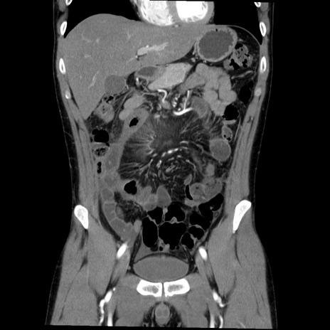
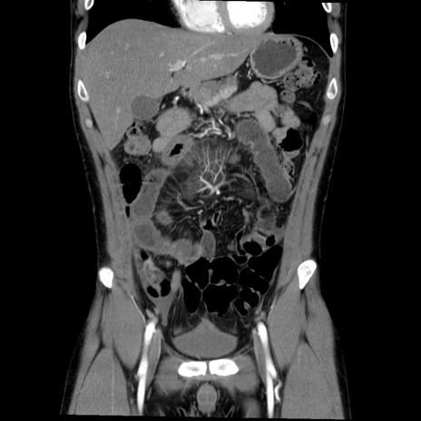
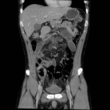
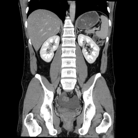
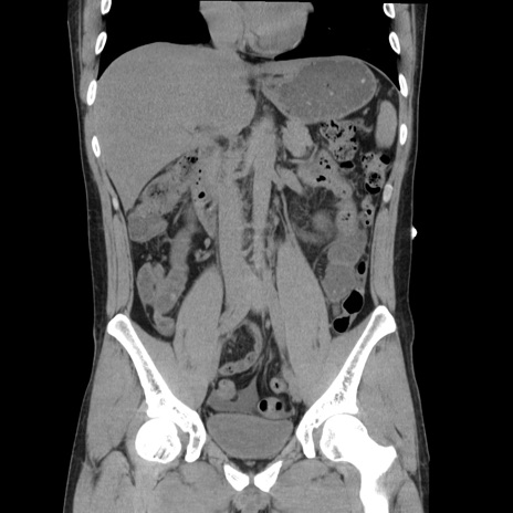
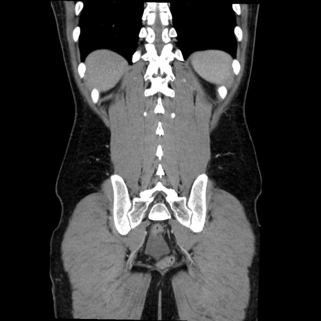
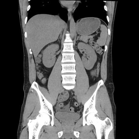
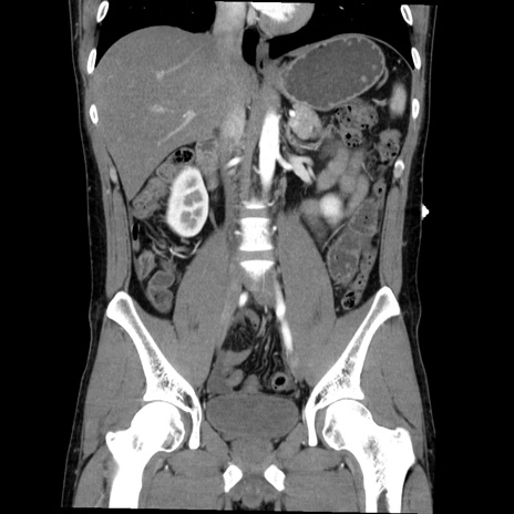
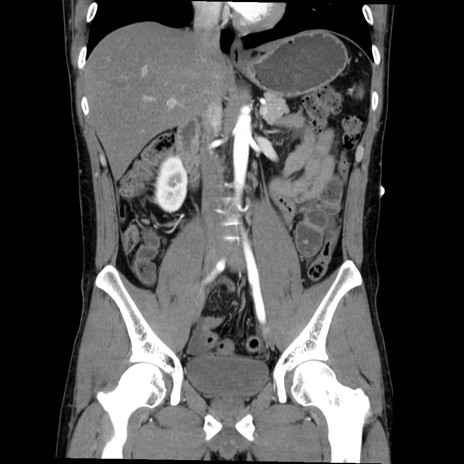
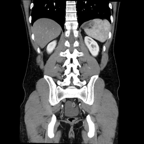
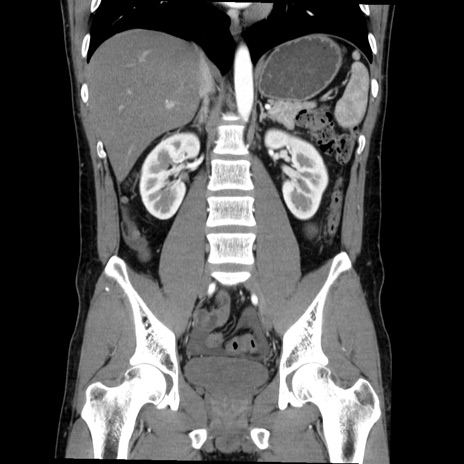
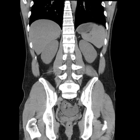
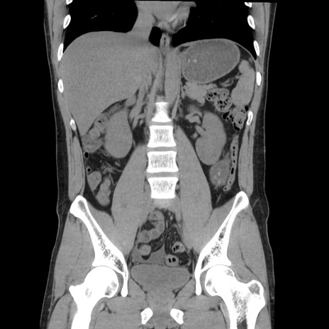
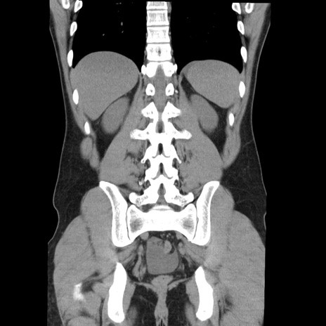
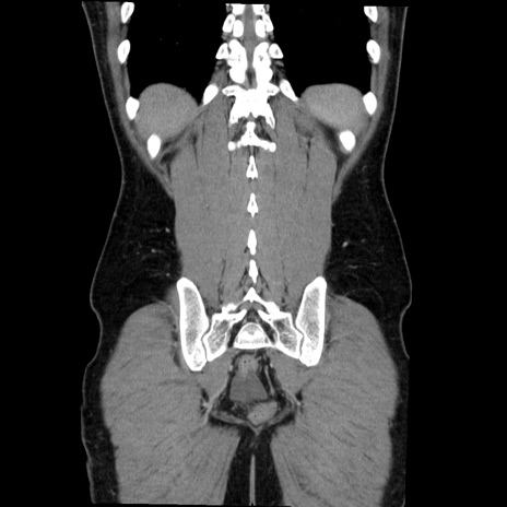
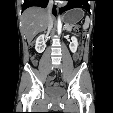
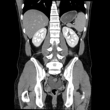
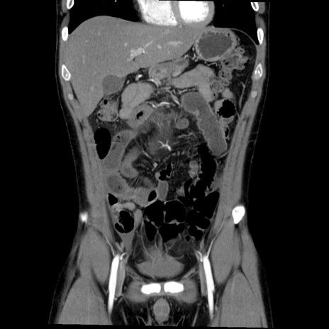
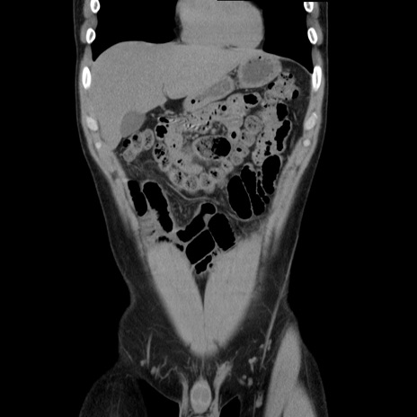
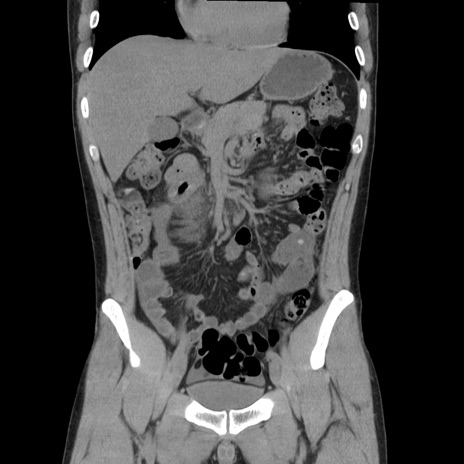
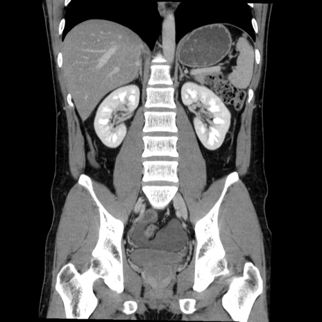
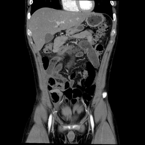
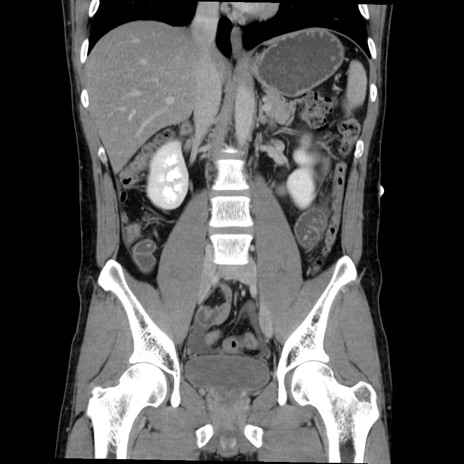
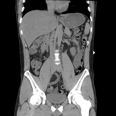
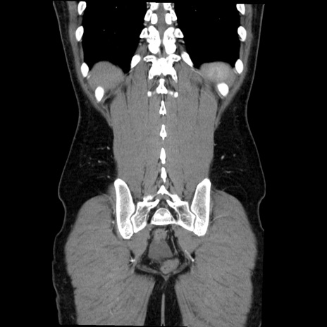
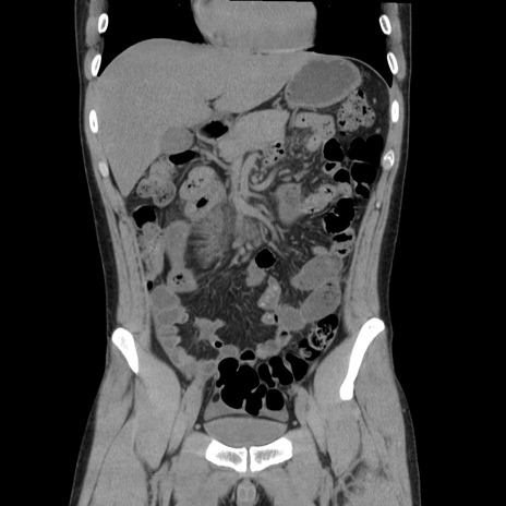
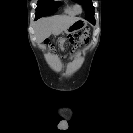
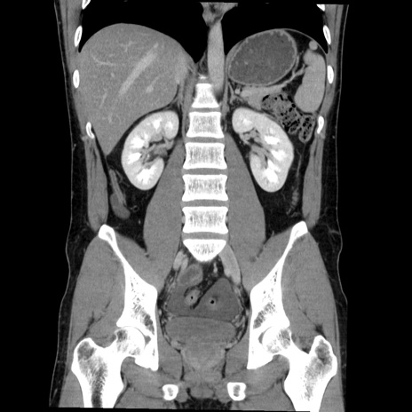
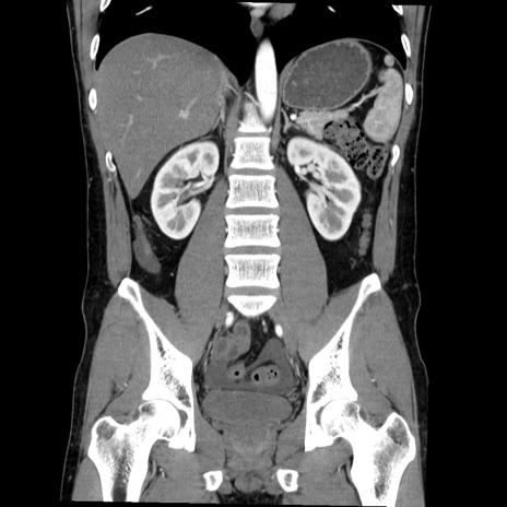
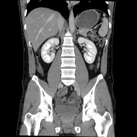
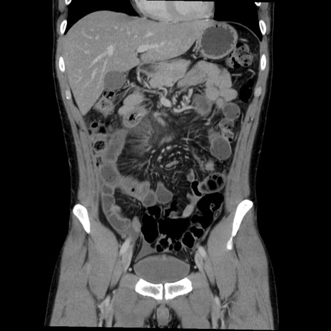
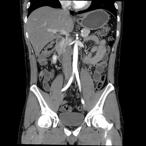
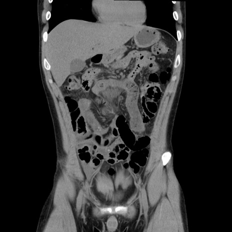
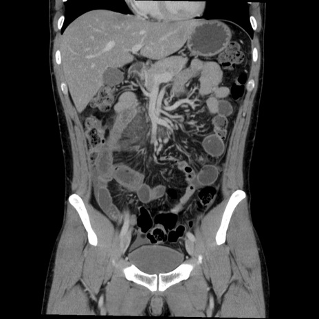
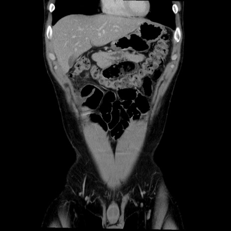
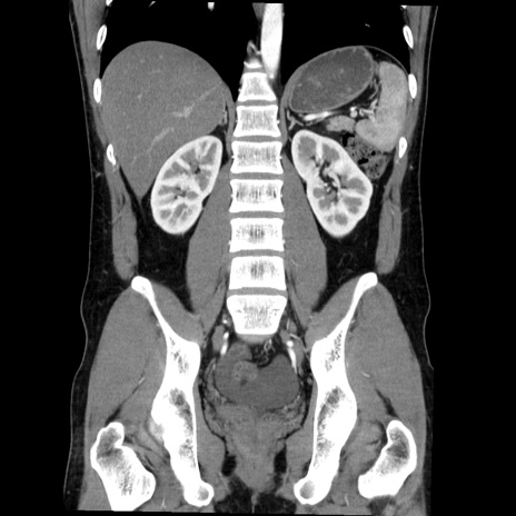
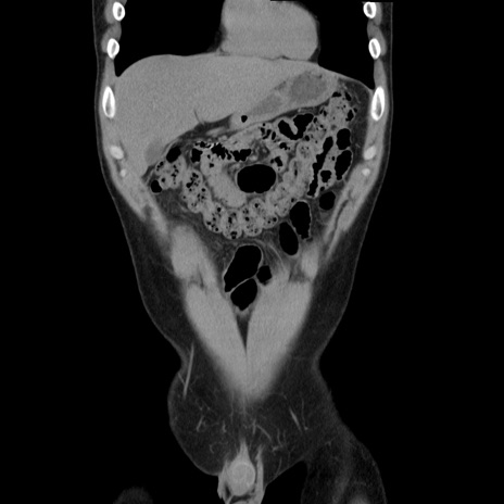
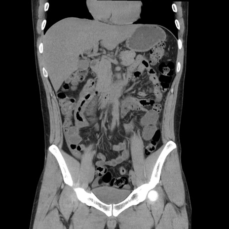
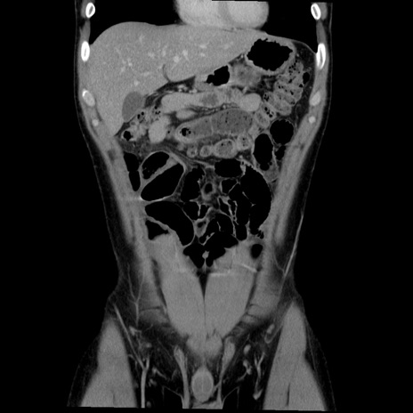
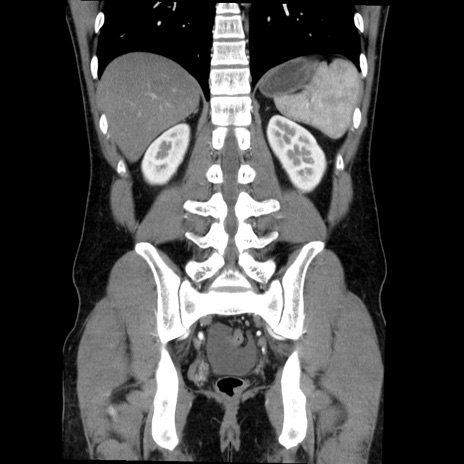
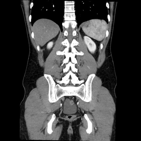
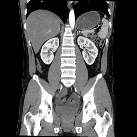
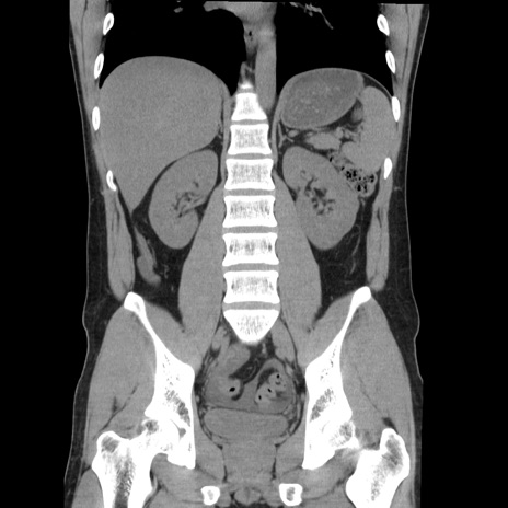
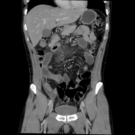
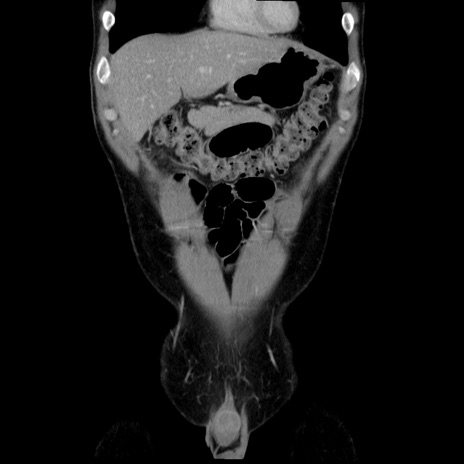
症例36(冠状断像)

 

症例

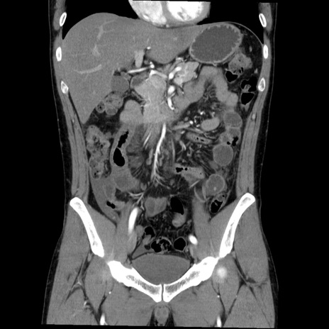
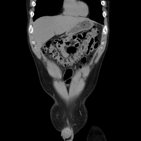
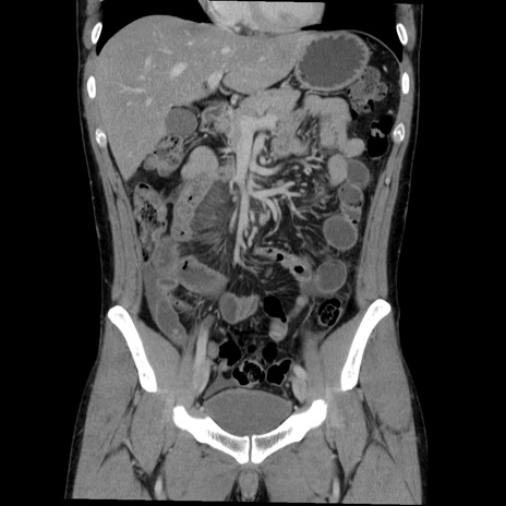
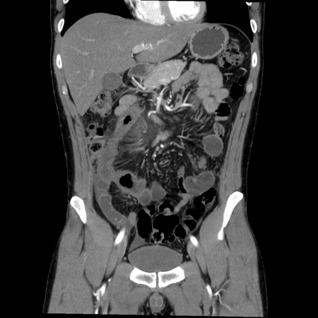
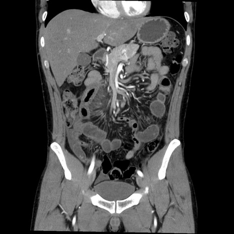
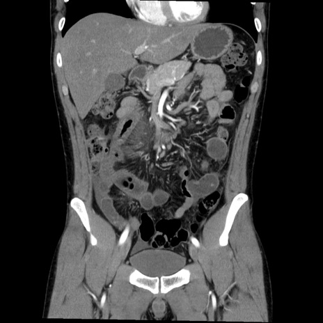
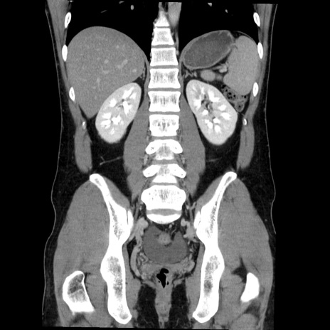
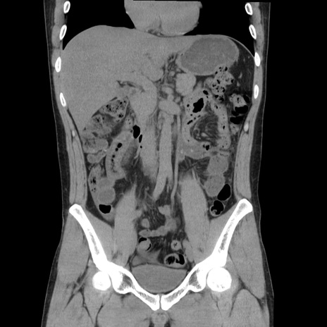
【症例】20歳代 男性
【主訴】心窩部痛

【現病歴】今朝より上腹部痛あり。一旦軽快していたが再度出現したため救急要請。昨日夕に白身の魚を含む刺身を食べた。
【既往歴】なし
【身体所見】BP 136/89mmHg、HR 74/min、BT 37.0℃、腹部:膨満、軟、心窩部に圧痛あり。反跳痛なし、筋性防御なし、腸雑音やや亢進あり。
【データ】WBC 17700、CRP 0.48

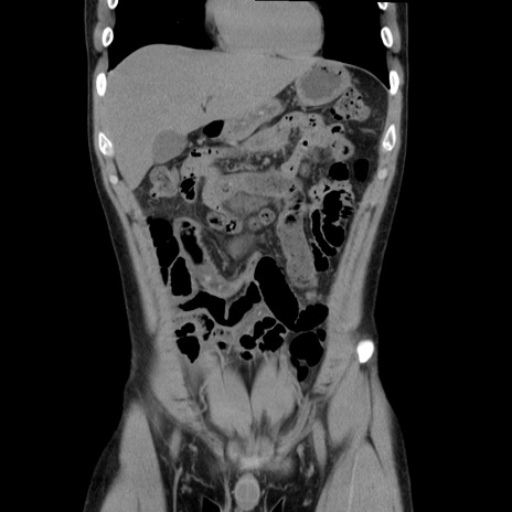
横断像