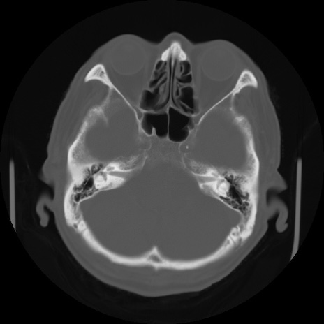
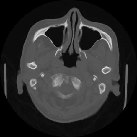
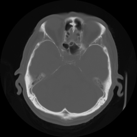
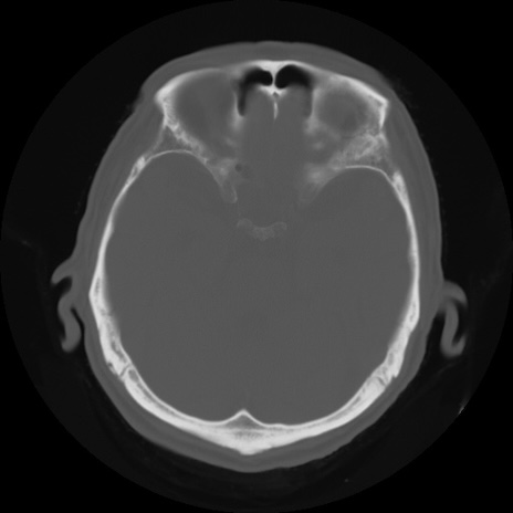
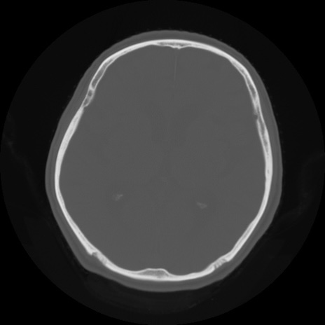
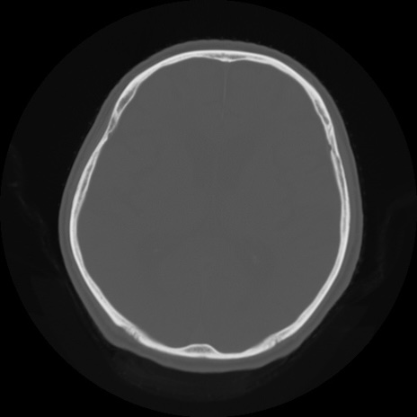
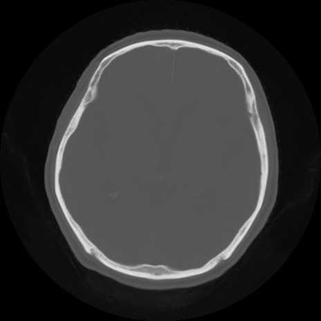
【頭部】症例5 CT(横断像)

 

症例

【症例】80歳代 男性
【主訴】頭部打撲
【現病歴】外出先で椅子から立ち上がる際に、つまづいて後方へ転倒し受傷。転倒時に意識はあった。
【既往歴】高血圧、不整脈、アルツハイマー病
【身体所見】BP 217/71、HR 96、JCS1-1、 難聴あり、顔色良好、右後頭部に擦過創あり。神経学的異常なし。

症例5の画像所見と診断は?

CT(冠状断像)
CT(矢状断像)