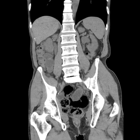
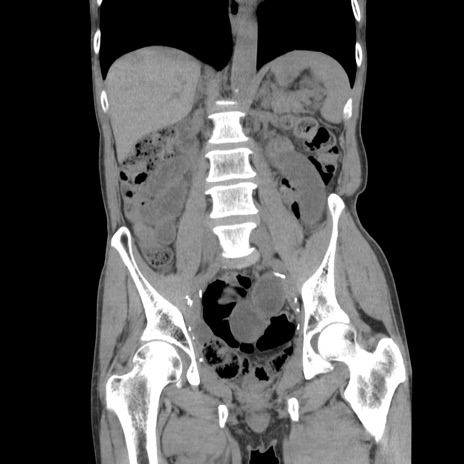
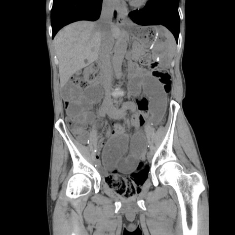
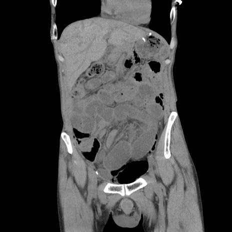
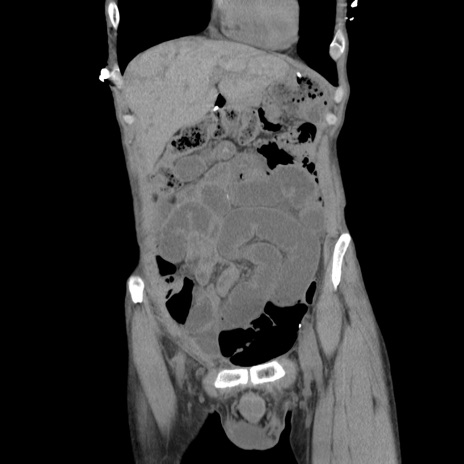
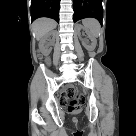
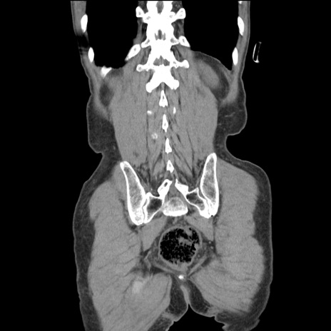
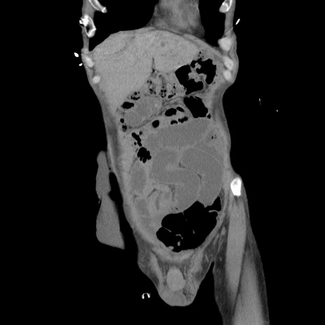
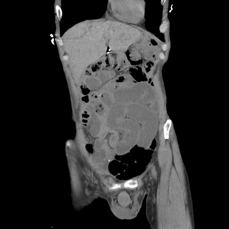
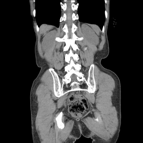
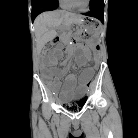
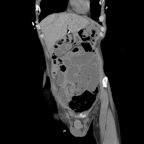
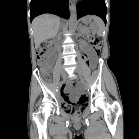
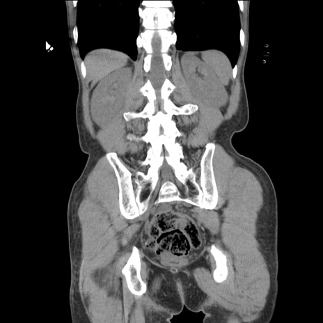
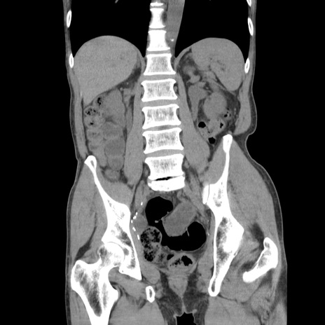
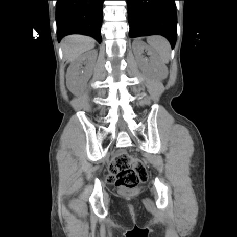
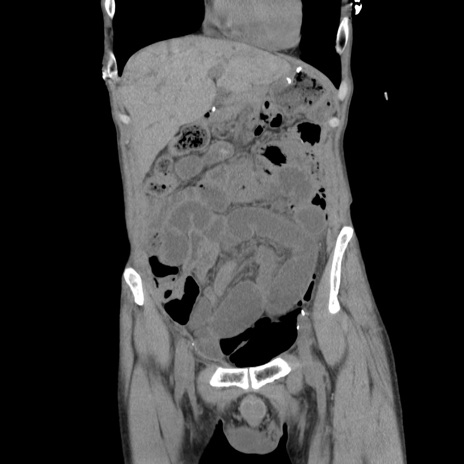
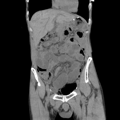
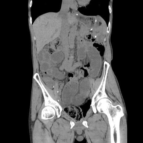
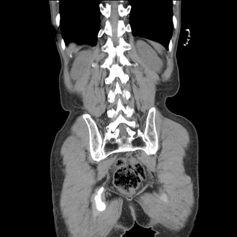
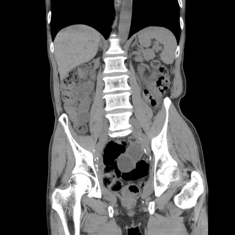
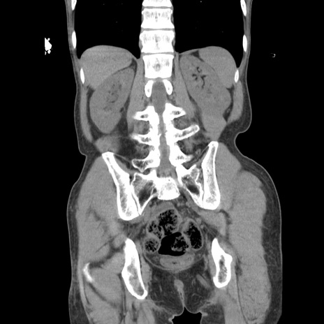
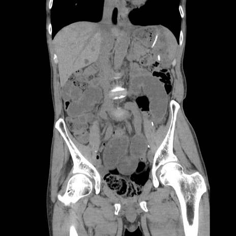
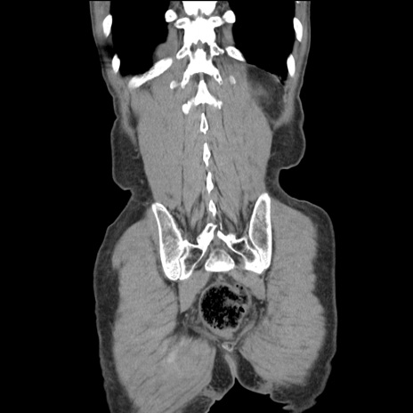
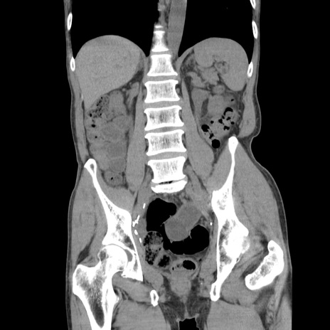
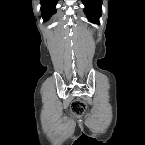
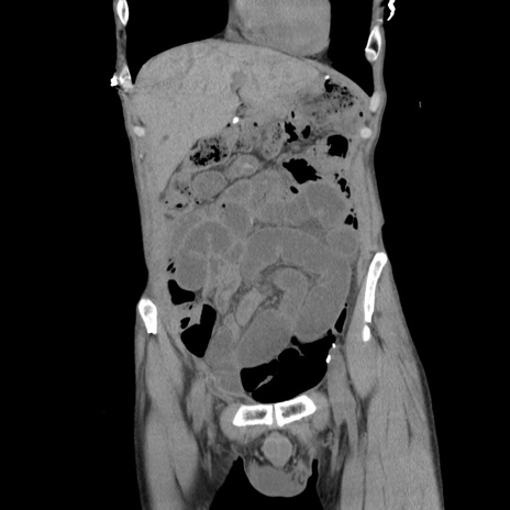
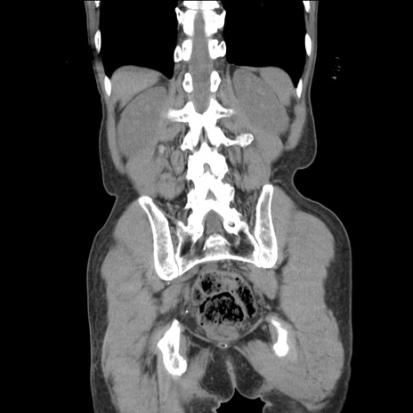
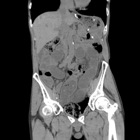
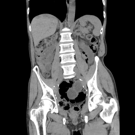
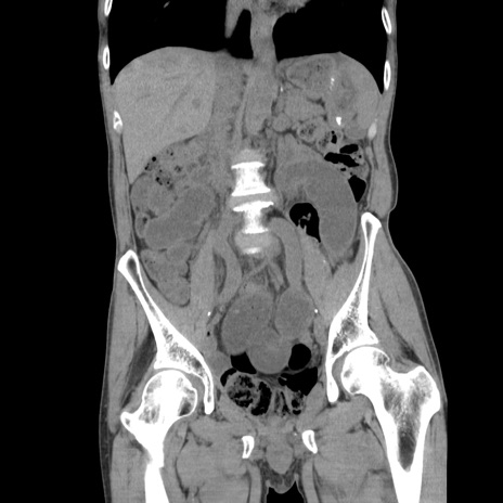
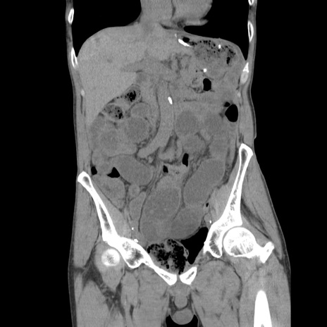
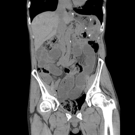
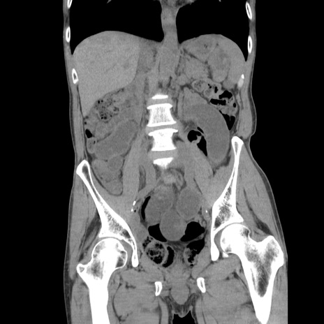
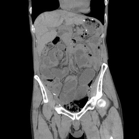
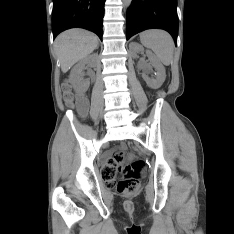
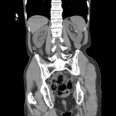
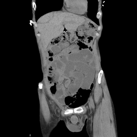
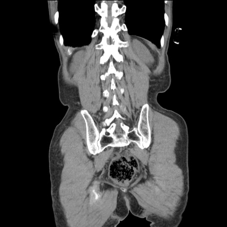
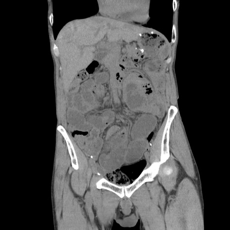
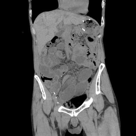
症例11(冠状断像)

 

症例

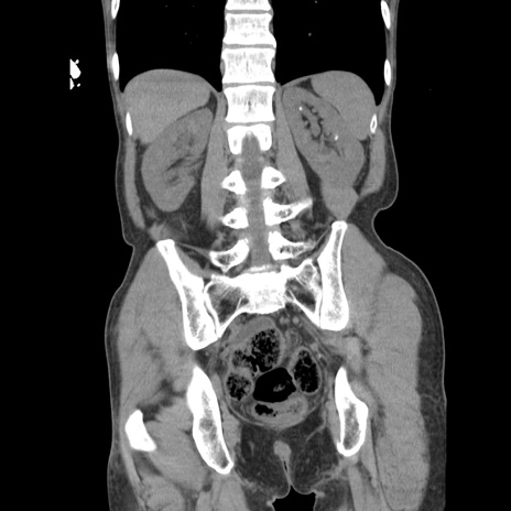
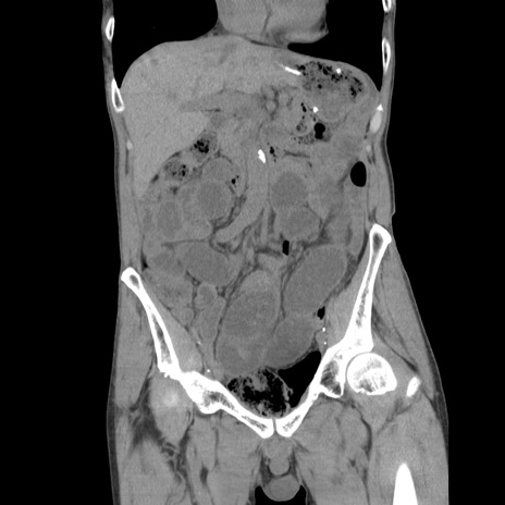
【症例】 60歳代男性
【主訴】 下腹部痛
【現病歴】 本日夜中より下腹部痛の症状認め、受診。
【既往歴】 膀胱癌(膀胱全摘+尿管皮膚瘻術) 、胃癌術後
【身体所見】 BT 35.3℃、PR 58/min、BP 136/98mHg、腹部平坦、軟、腸蠕動音±、ストマ留置あり、左上腹部~正中部に圧痛あり、反跳痛なし。
【データ】WBC 5100、CRP0.01

横断像