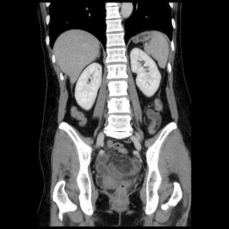
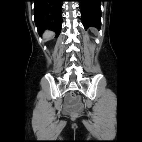
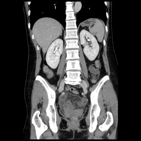
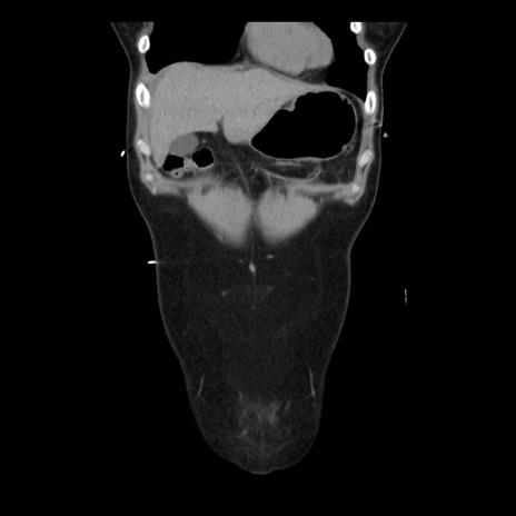
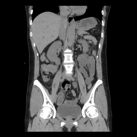
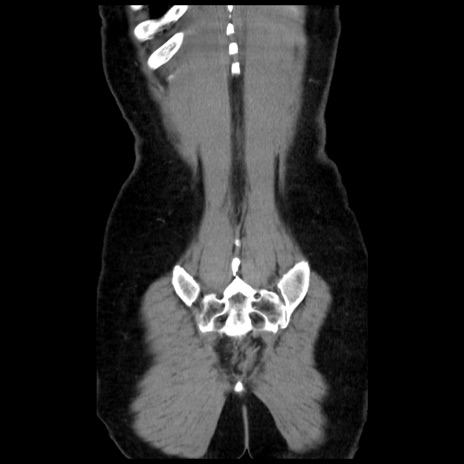
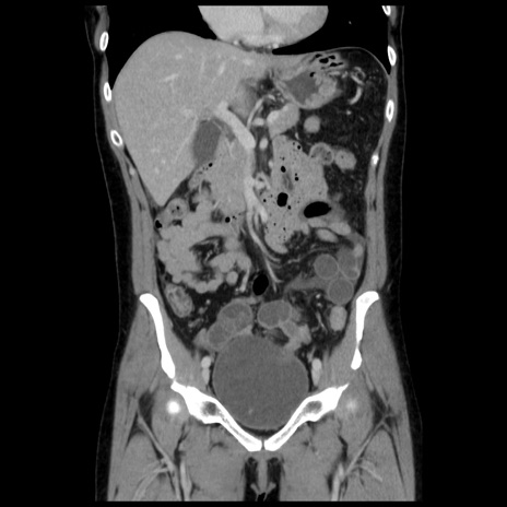
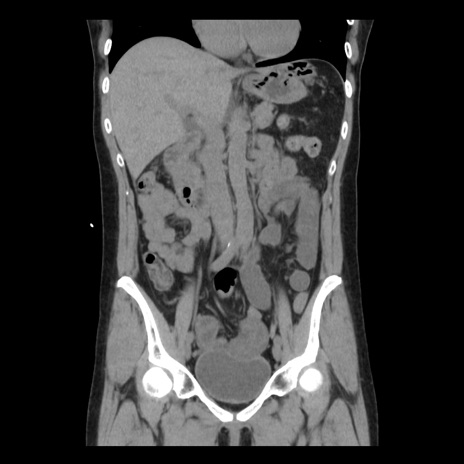
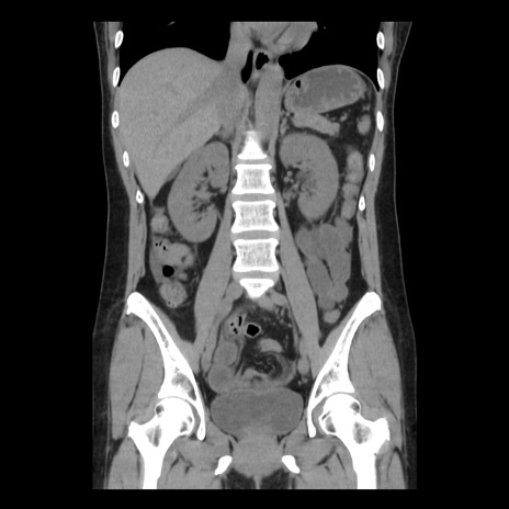
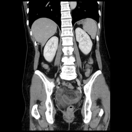
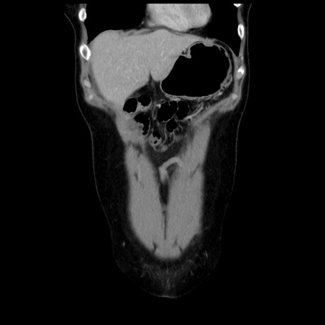
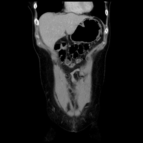
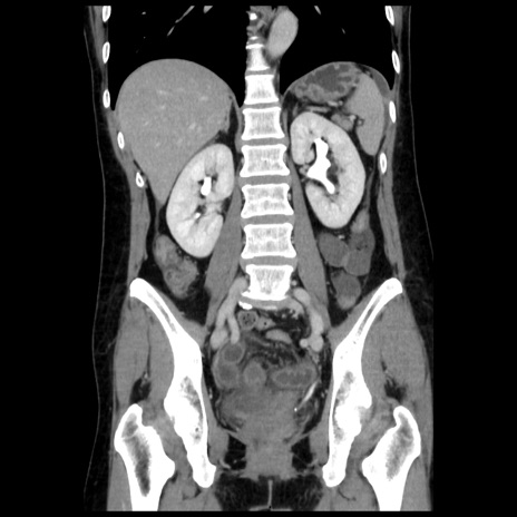
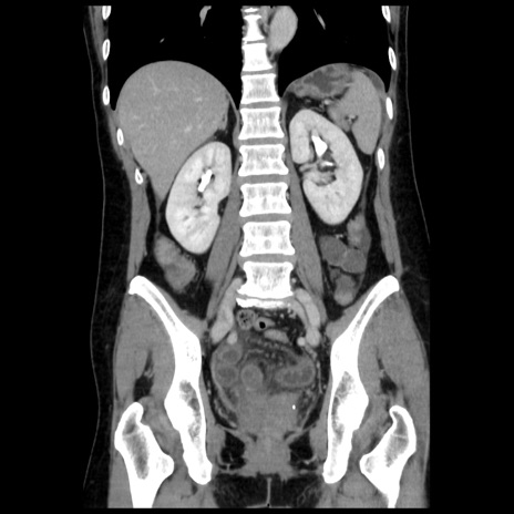
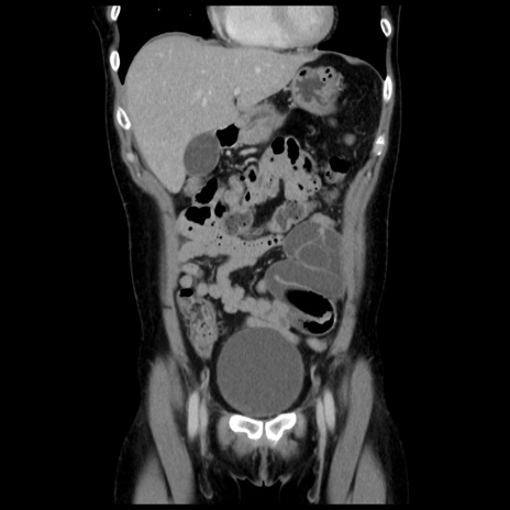
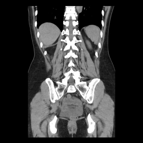
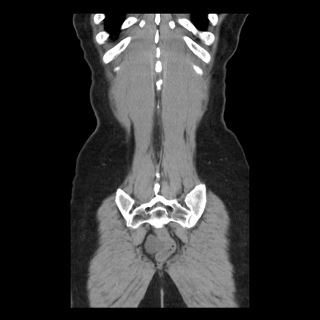
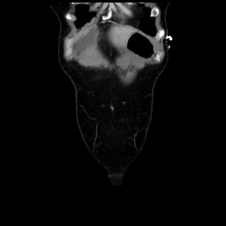
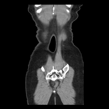
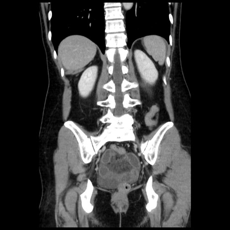
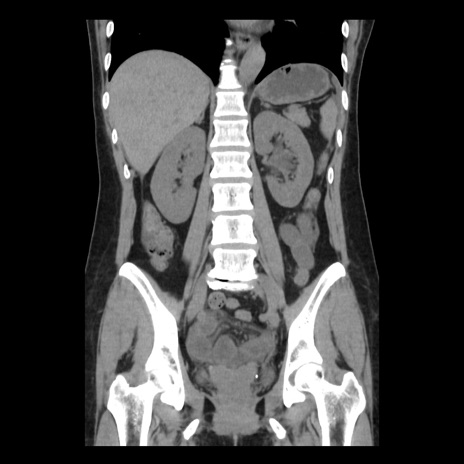
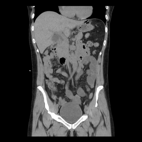
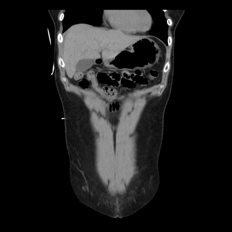
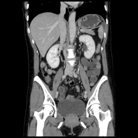
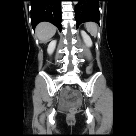
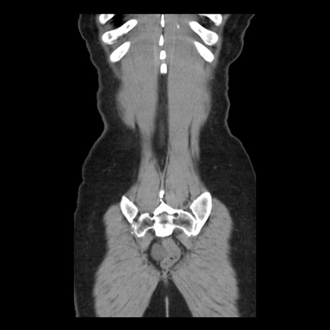
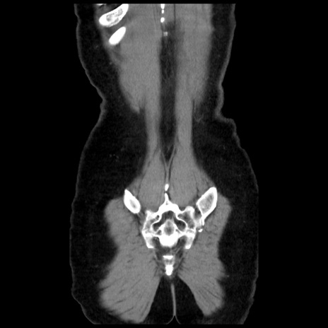
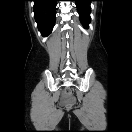
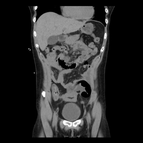
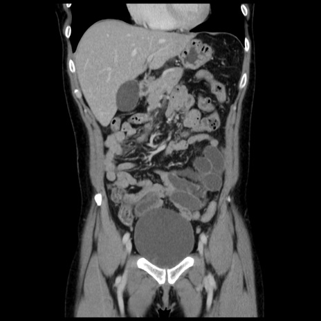
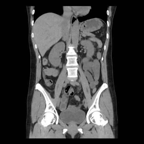
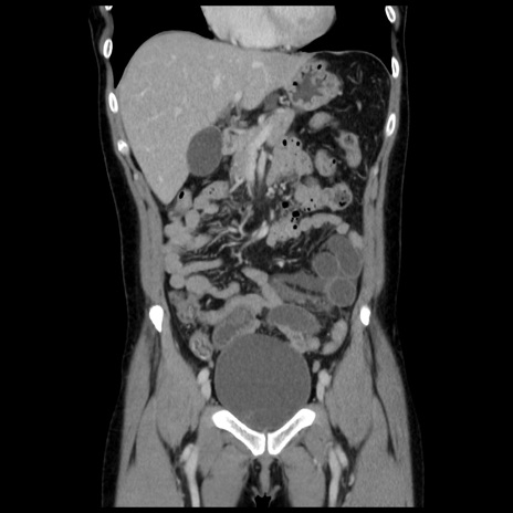
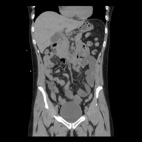
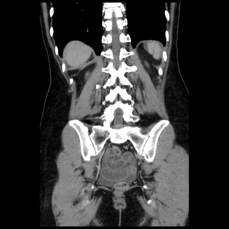
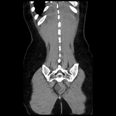
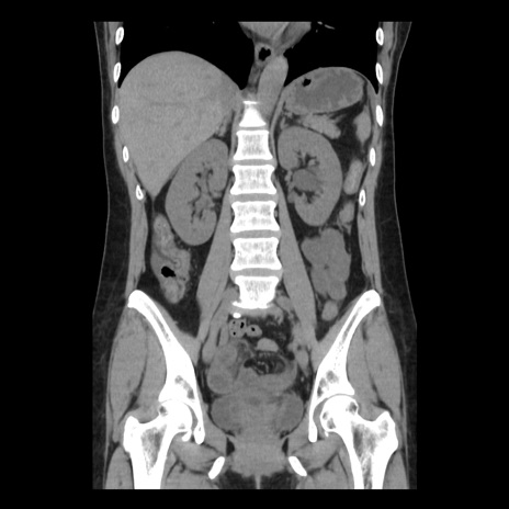
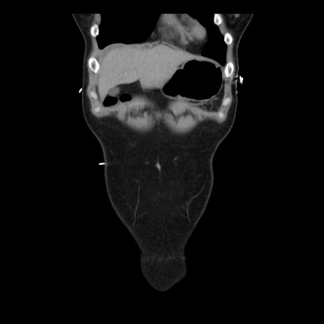
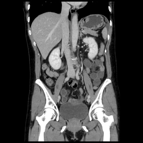
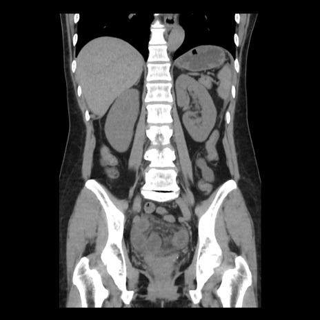
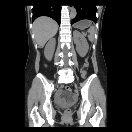
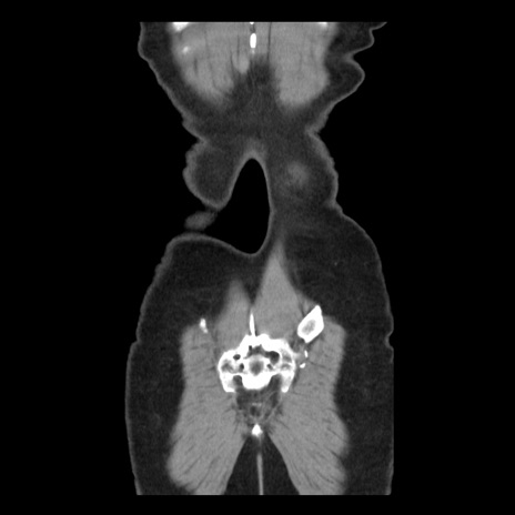
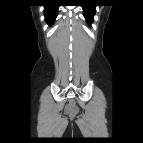
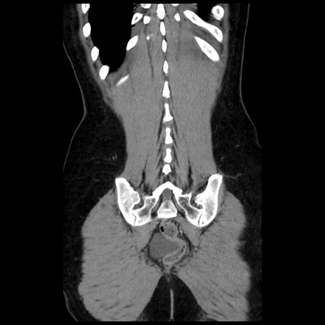
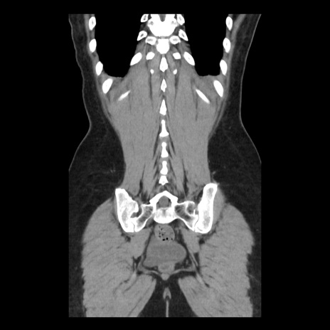
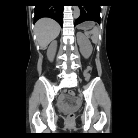
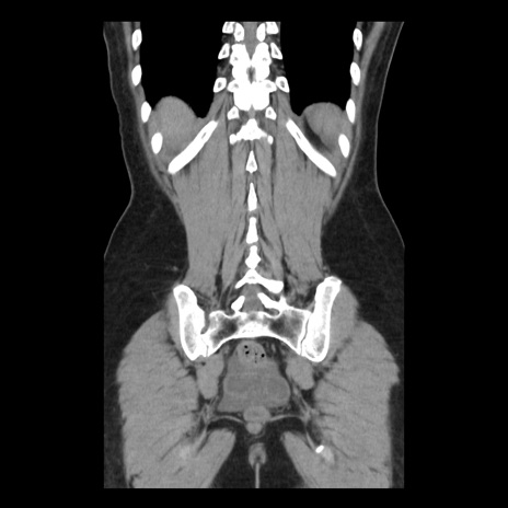
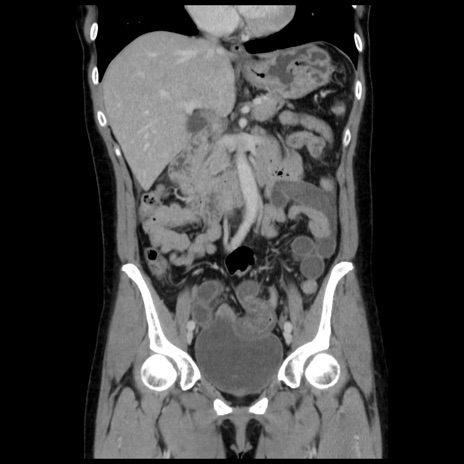
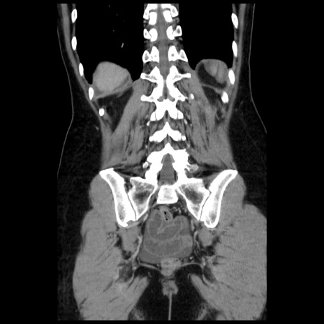
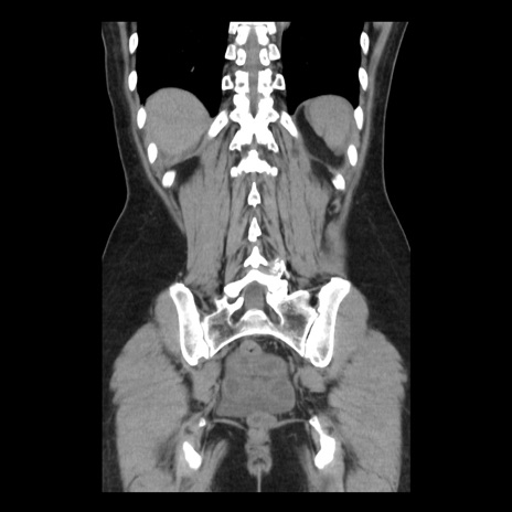
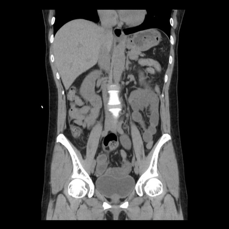
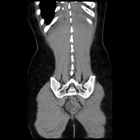
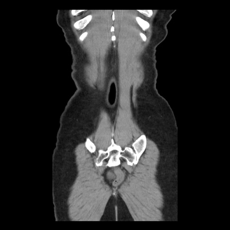
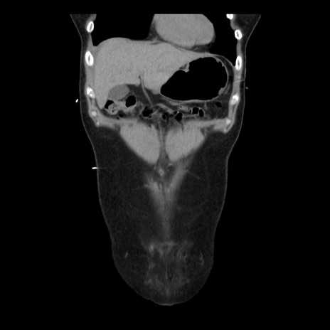
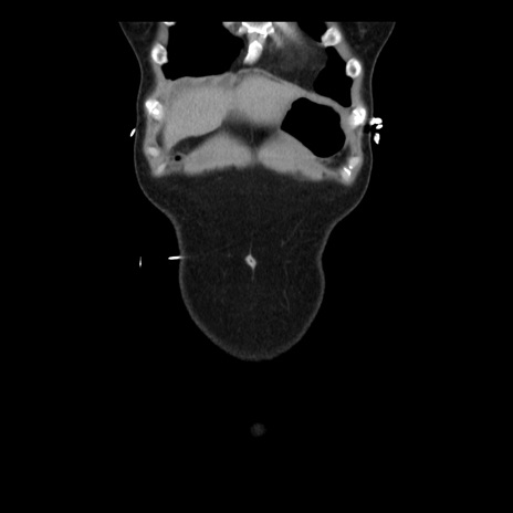
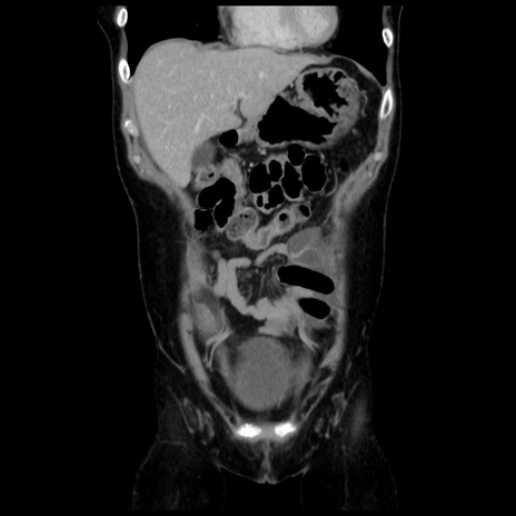
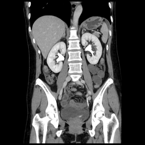
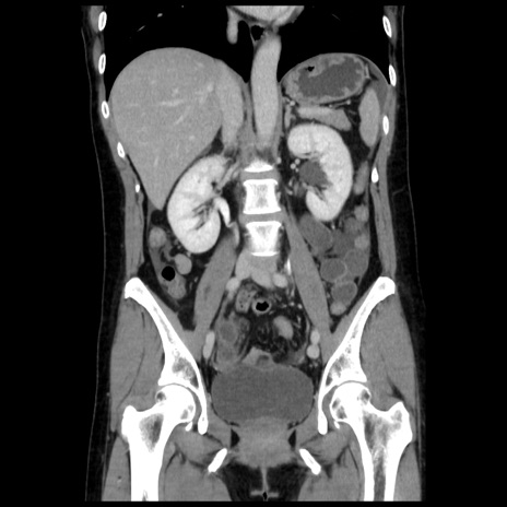
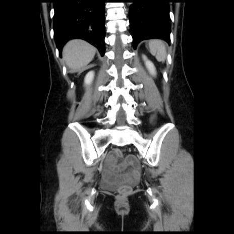
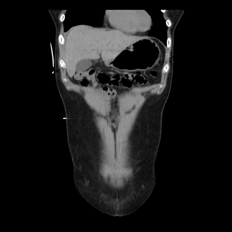
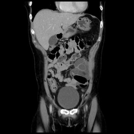
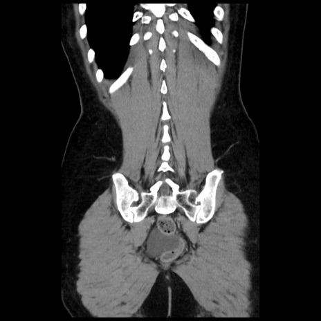
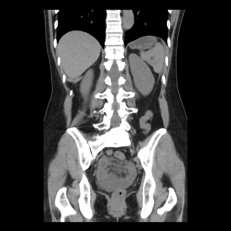
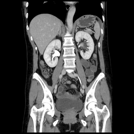
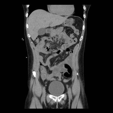
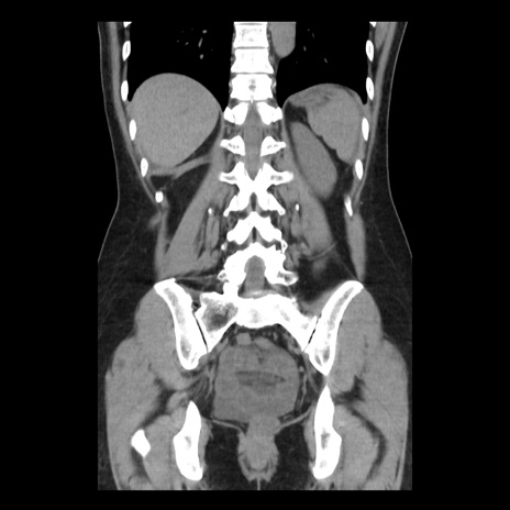
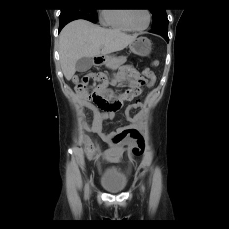
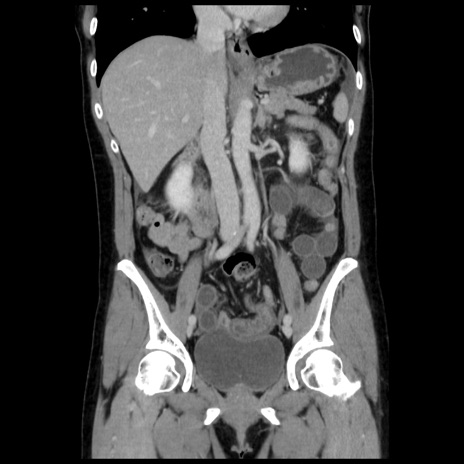
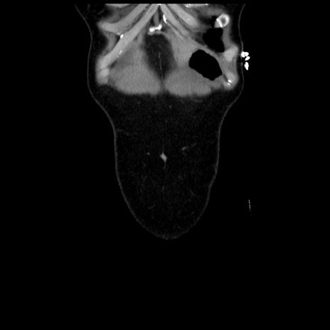
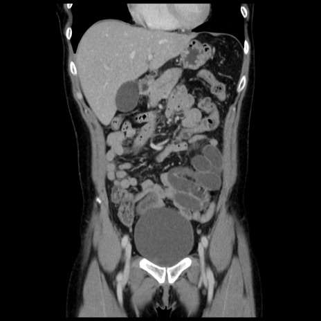
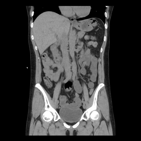
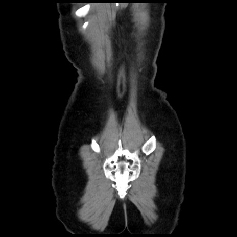
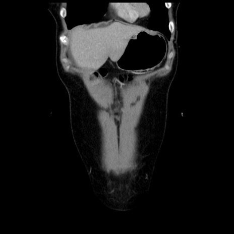
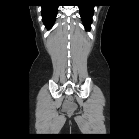
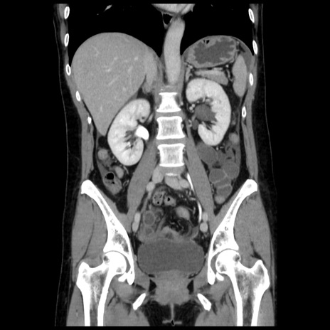
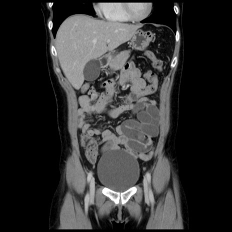
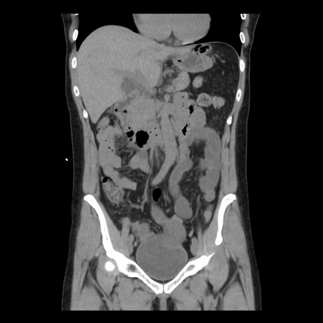
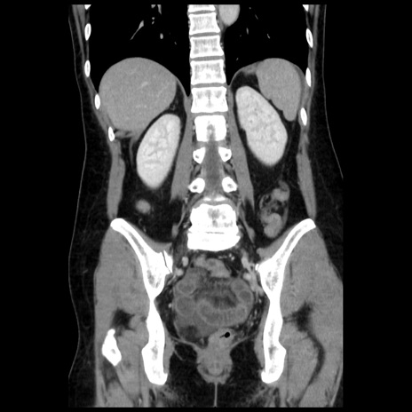
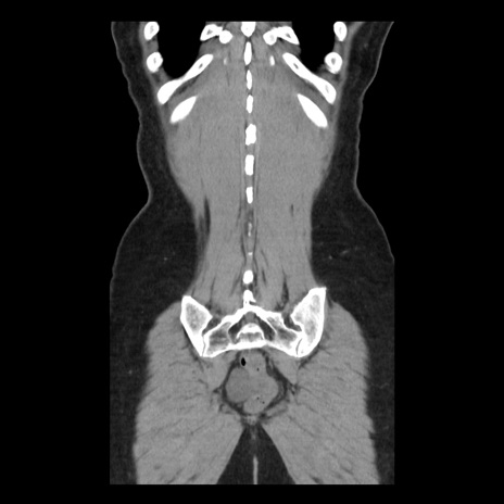
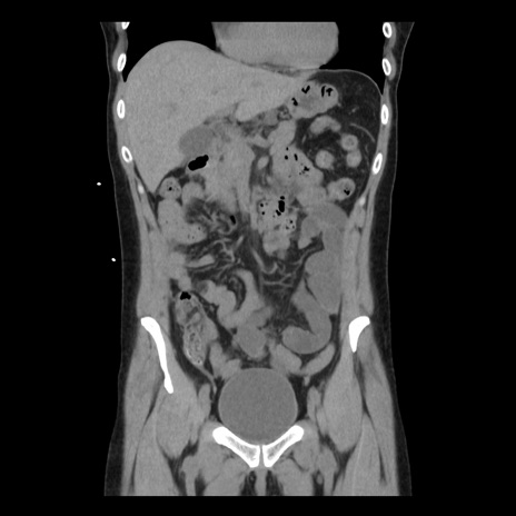
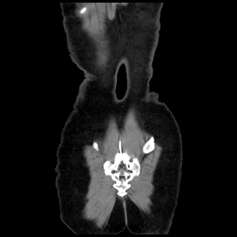
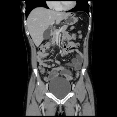
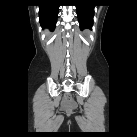
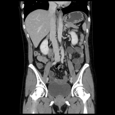
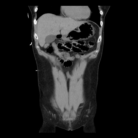
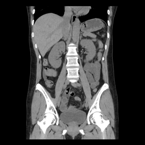
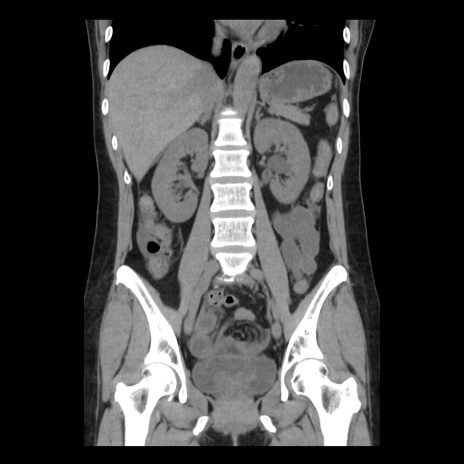
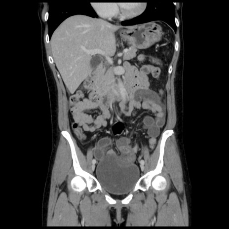
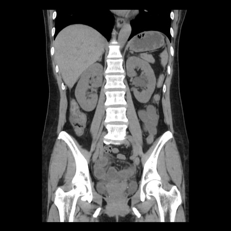
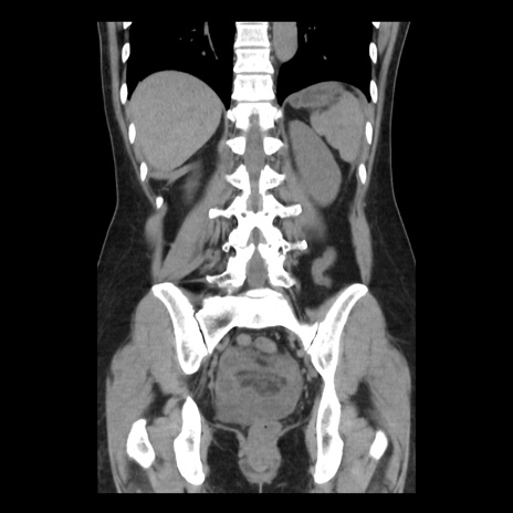
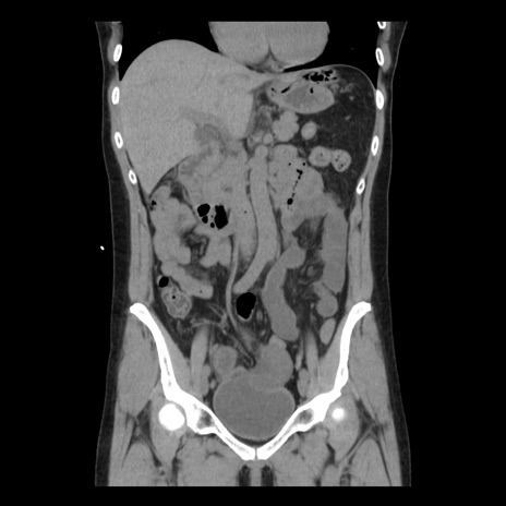
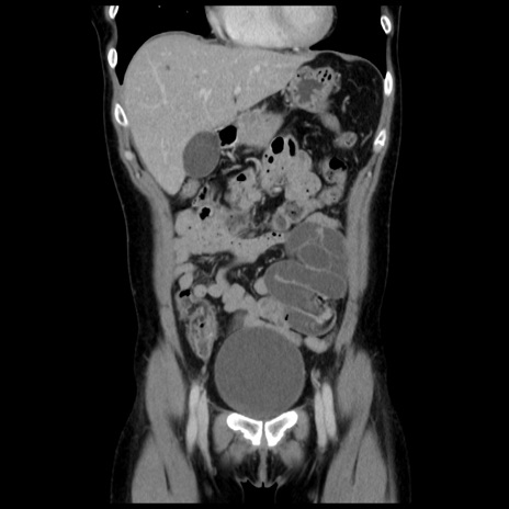
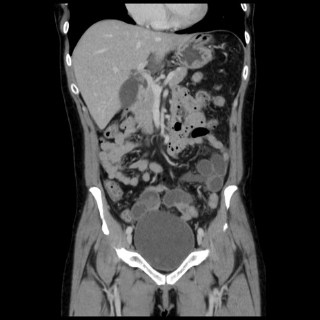
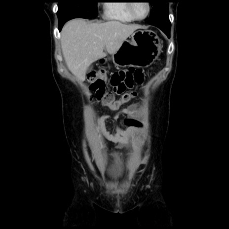
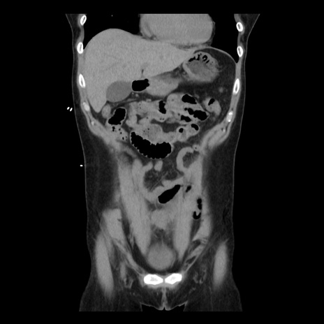
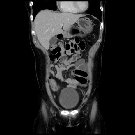
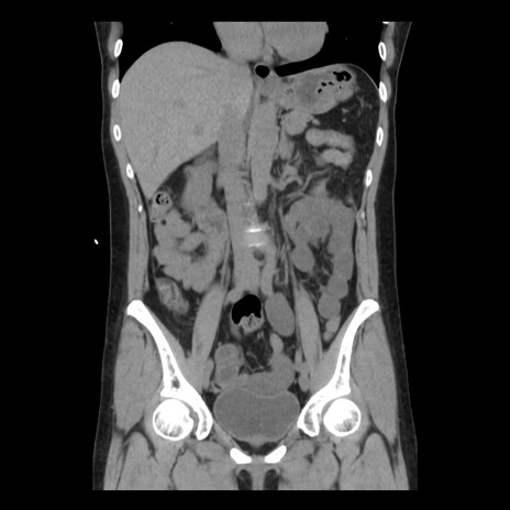
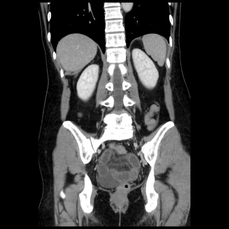
症例10(冠状断像)

 

症例

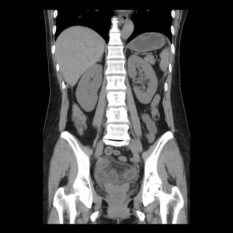
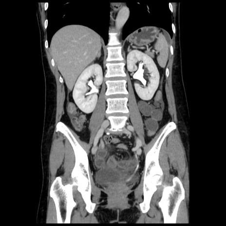
【症例】 50歳代女性
【主訴】 腹痛
【現病歴】前日生レバーを食べた。今朝に排便あり。 昼前に突然発症の腹痛を生じ、当院救急外来を受診した。
【既往歴】 子宮筋腫にてで子宮全摘後
【身体所見】 意識清明、腹部:平坦、軟、下腹部やや左を中心に圧痛・反跳痛あり、筋性防御あり
【データ】WBC 7800、CRP 0.07

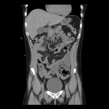
横断像
矢状断像