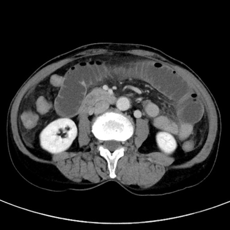
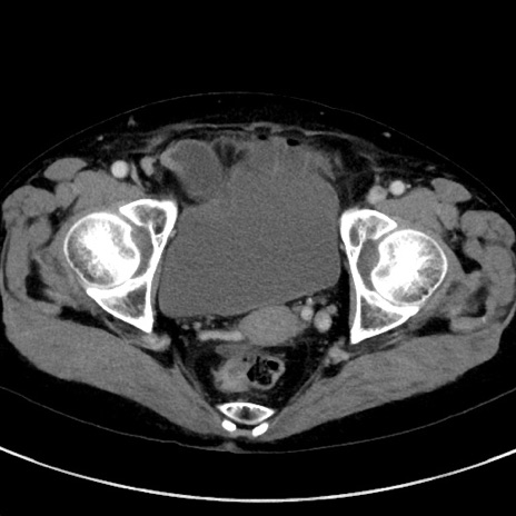
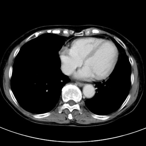
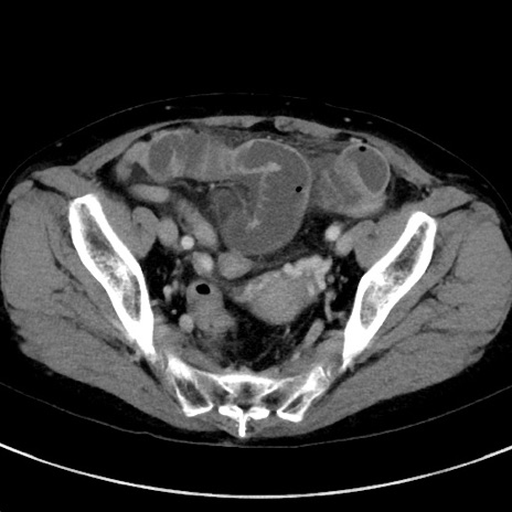
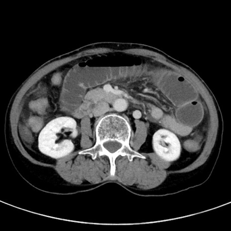
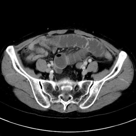
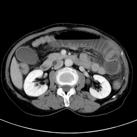
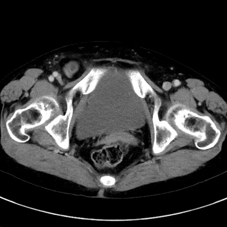
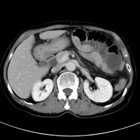
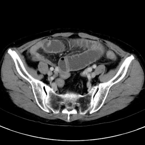
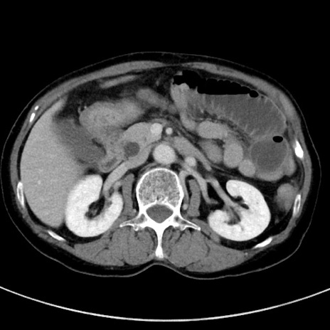
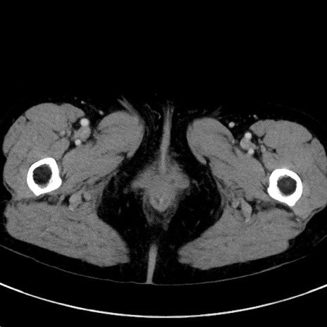
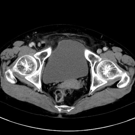
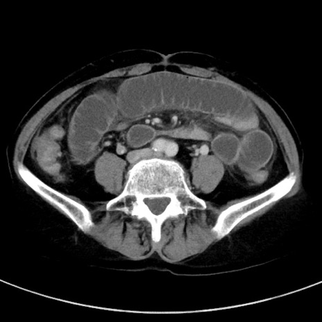
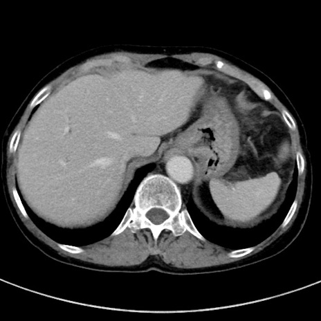
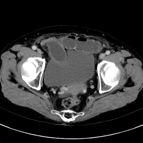
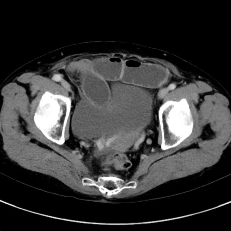
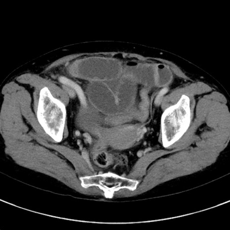
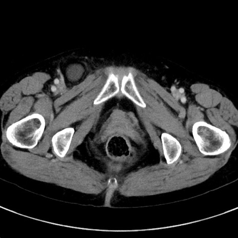
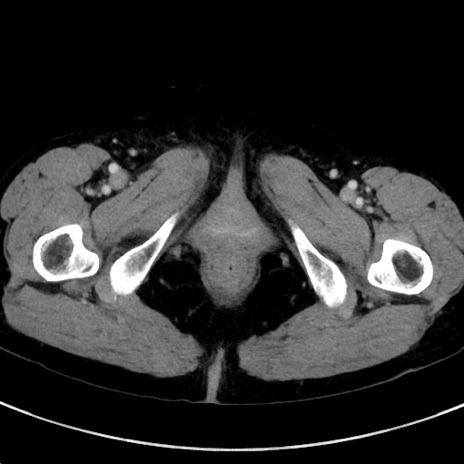
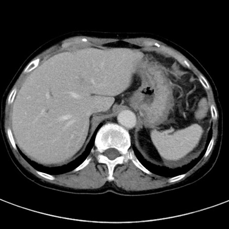
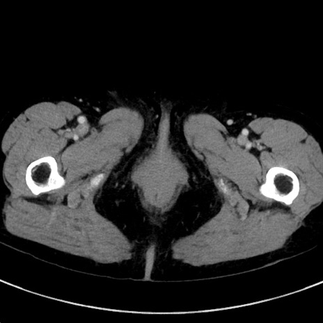
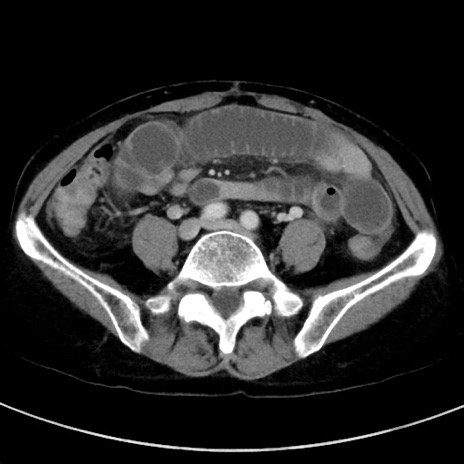
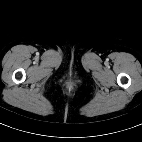
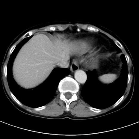
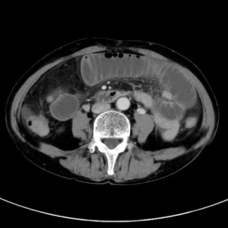
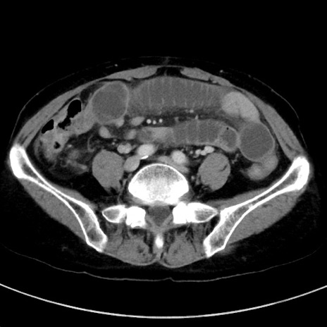
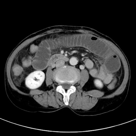
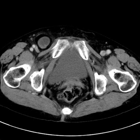
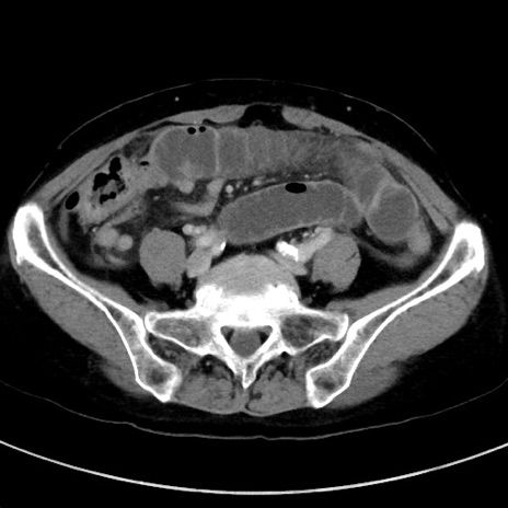
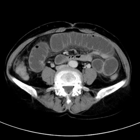
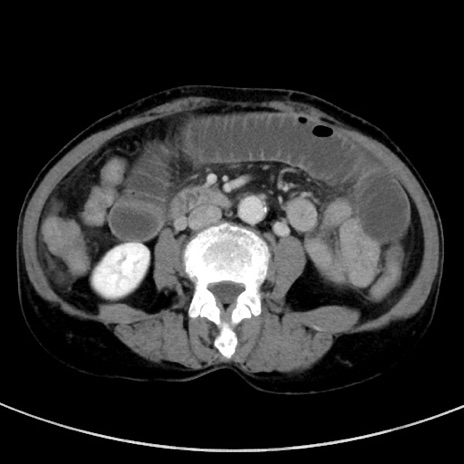
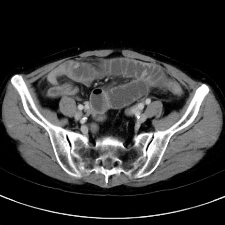
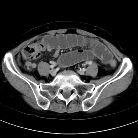
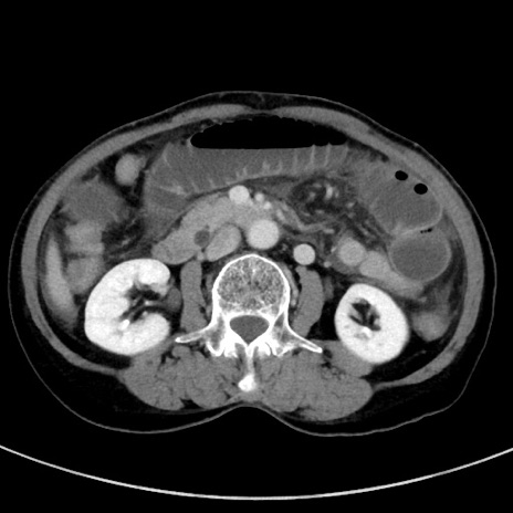
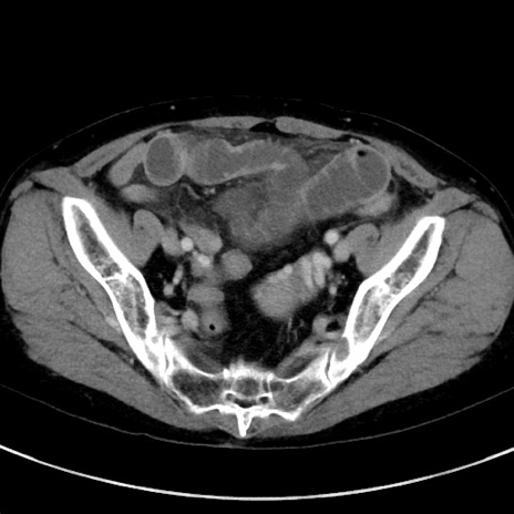
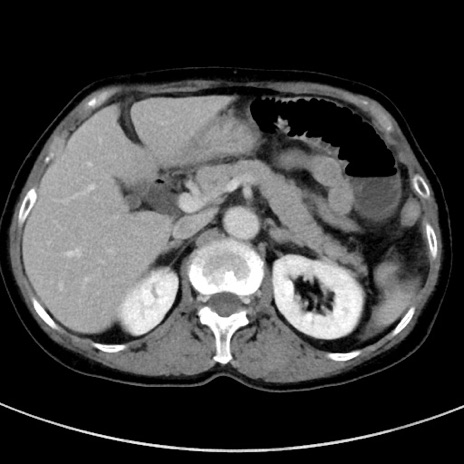
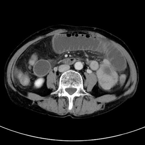
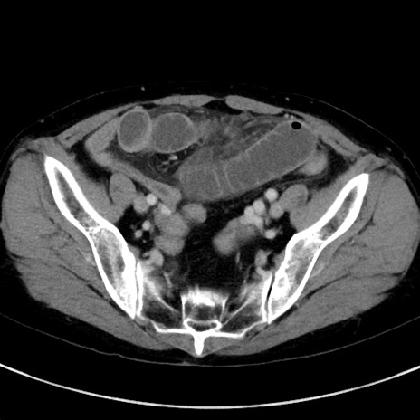
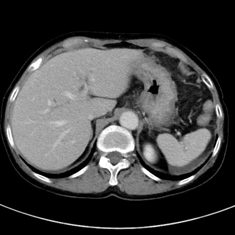
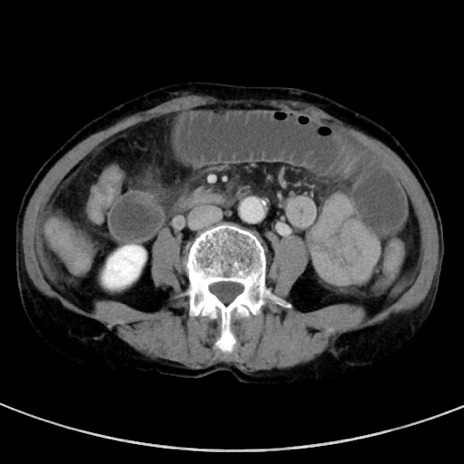
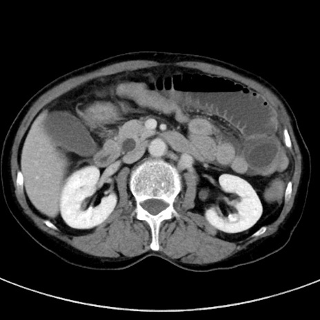
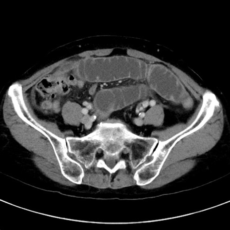
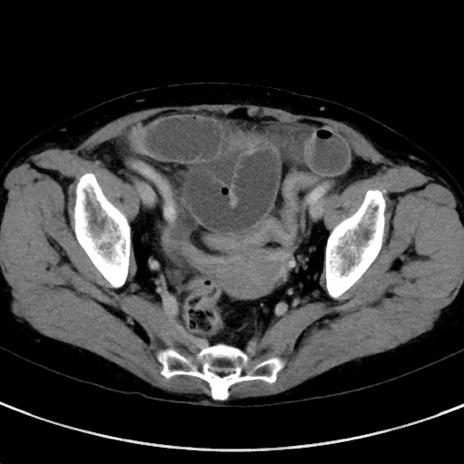
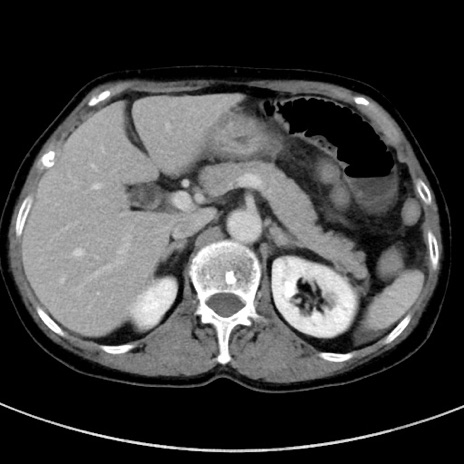
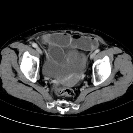
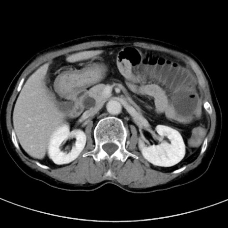
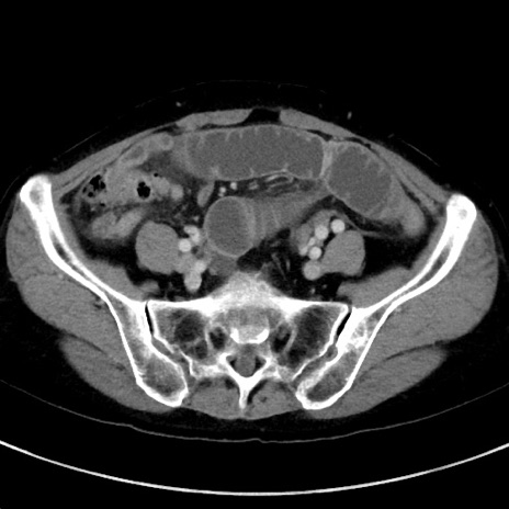
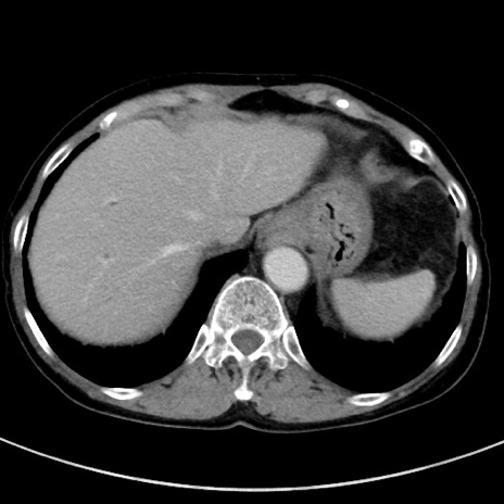
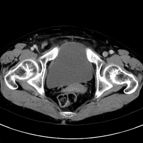
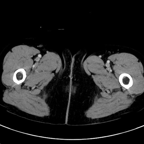
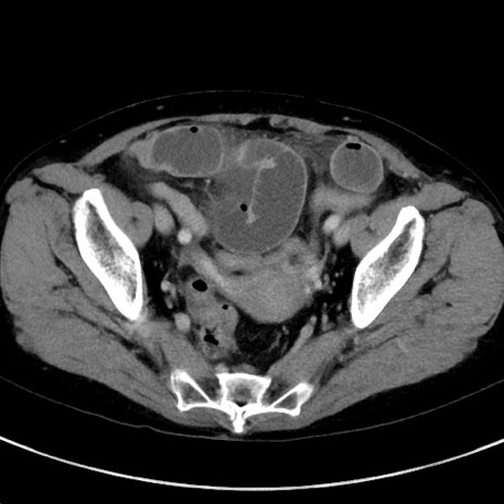
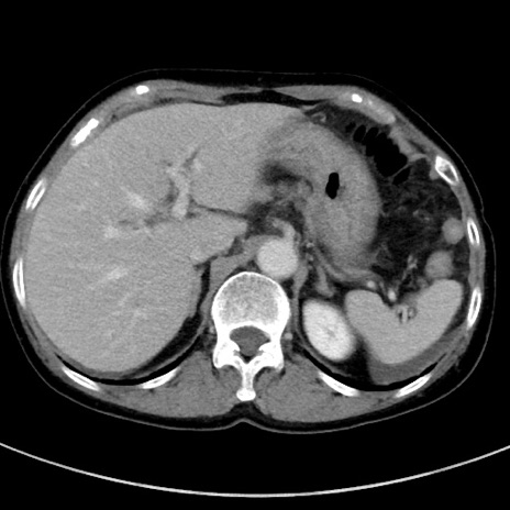
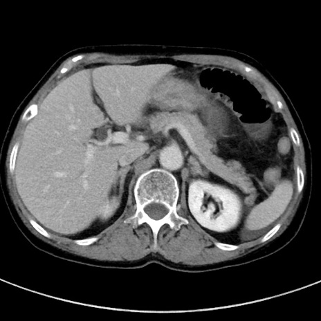
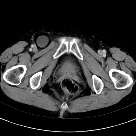
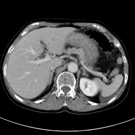
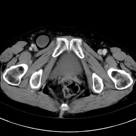
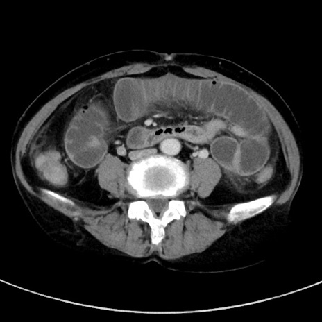
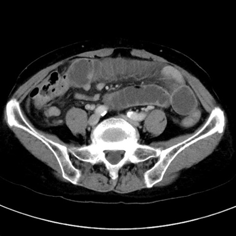
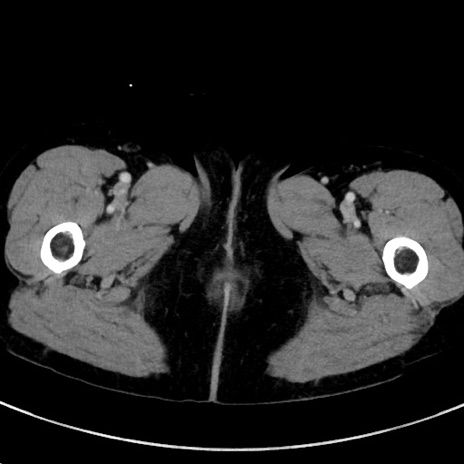
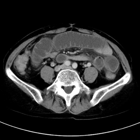
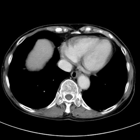
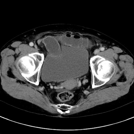
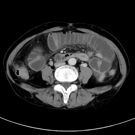
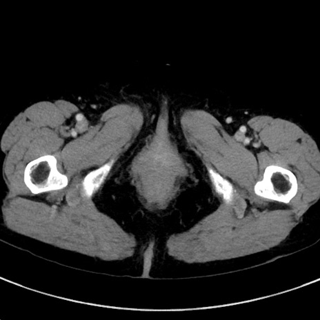
症例23(横断像)

 

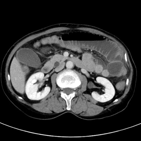
症例

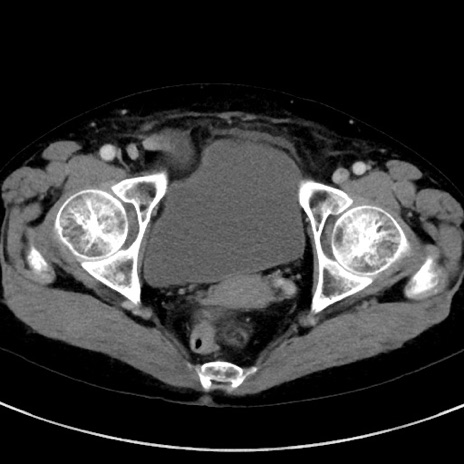
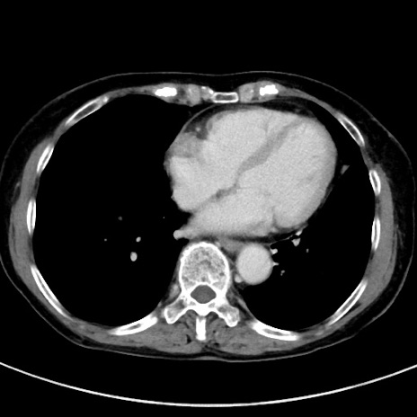
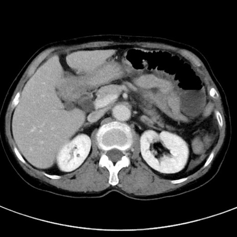
【症例】70歳代女性
【主訴】下腹部痛・嘔吐
【現病歴】2日前より腹痛あり。昨日嘔吐あり。症状改善しないため来院。
【既往歴】胃GISTに対して胃部分切除後。
【身体所見】BT 37.1℃、BP 128/77mmHg、腹部:平坦・軟、下腹部に圧痛あり。
【データ】WBC 10200、CRP 0.31

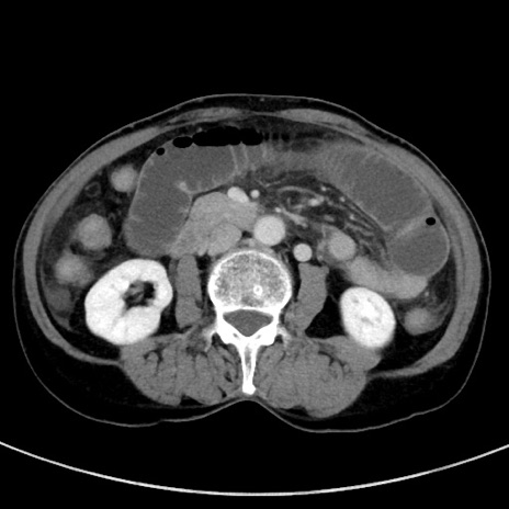
冠状断像