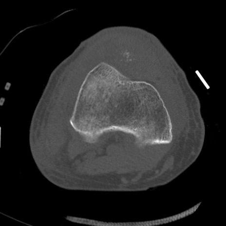
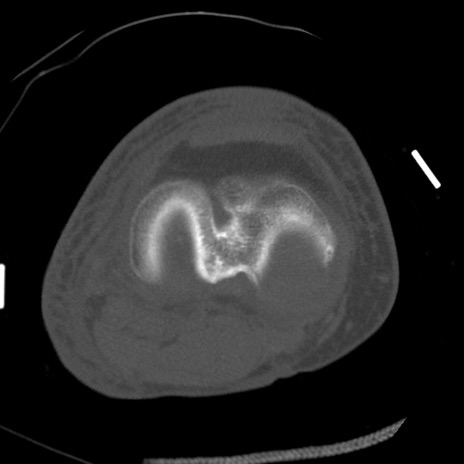
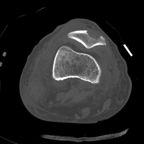
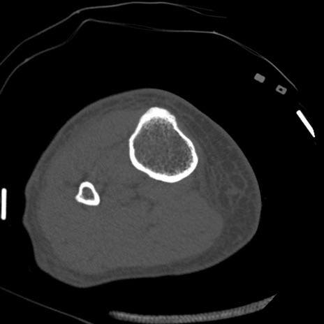
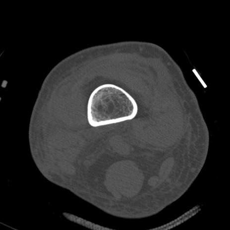
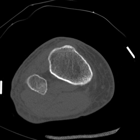
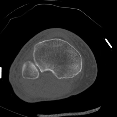
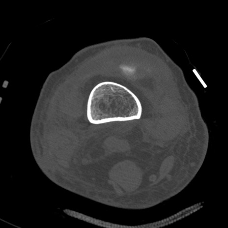
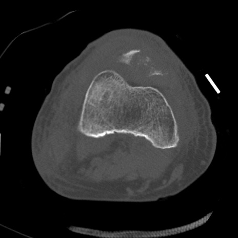
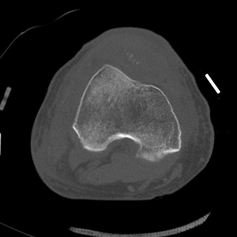
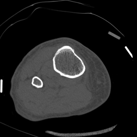
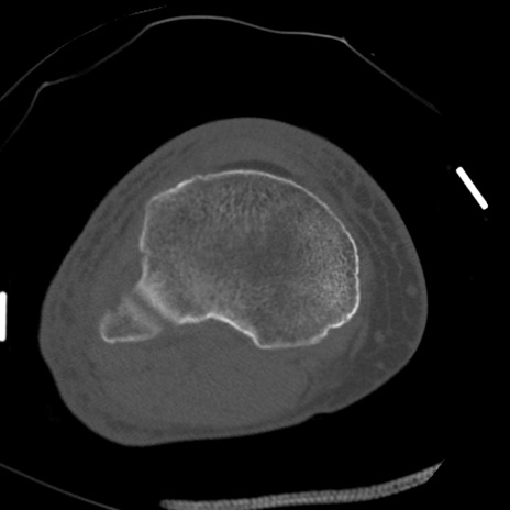
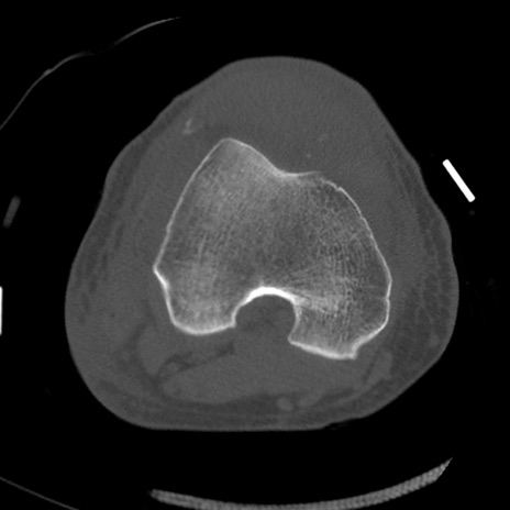
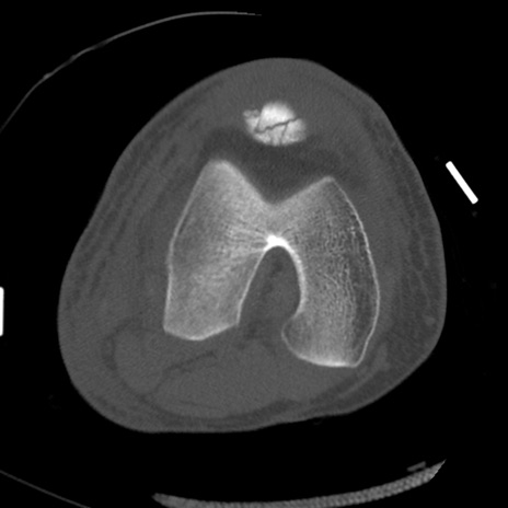
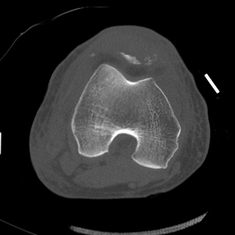
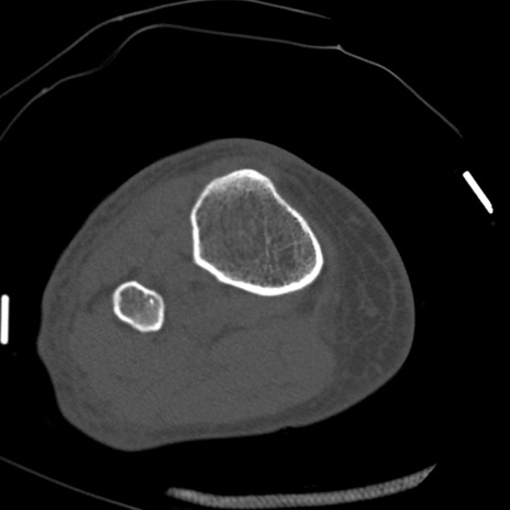
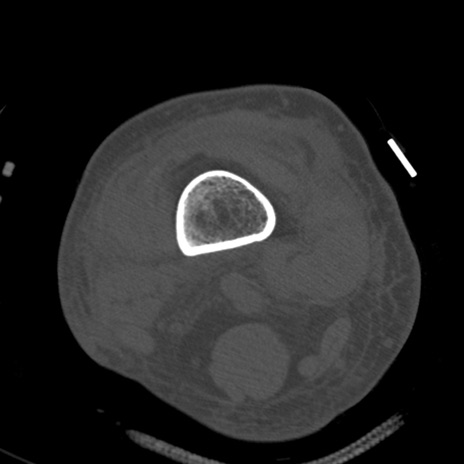
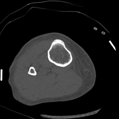
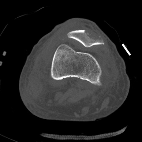
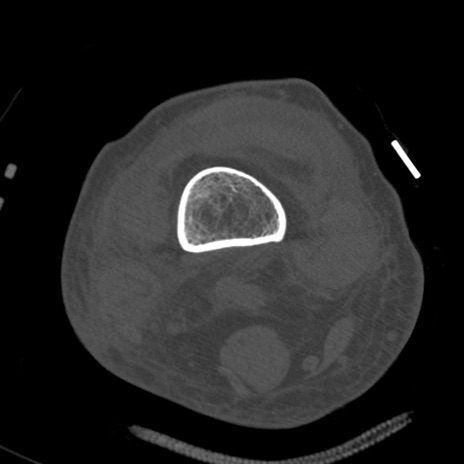
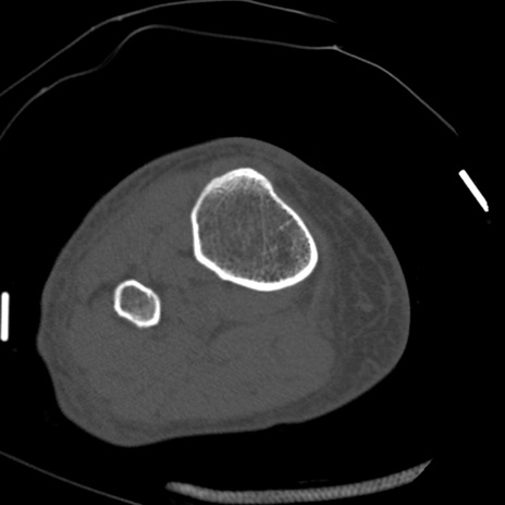
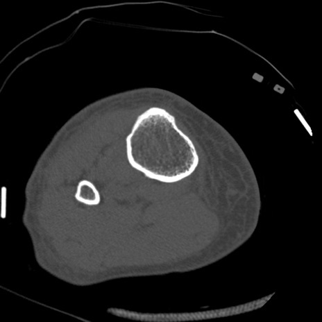
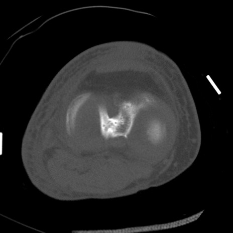
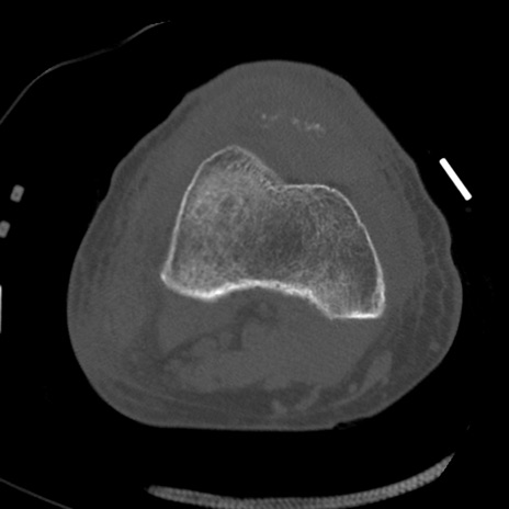
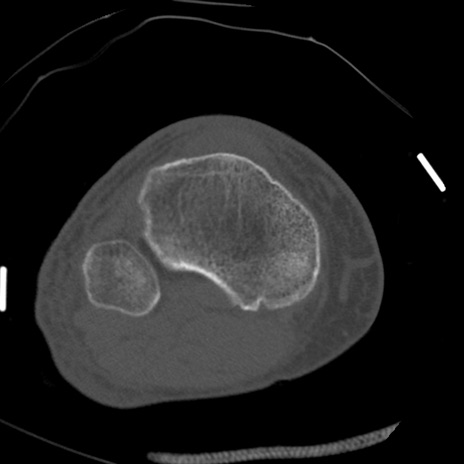
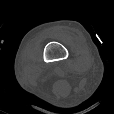
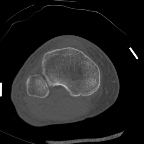
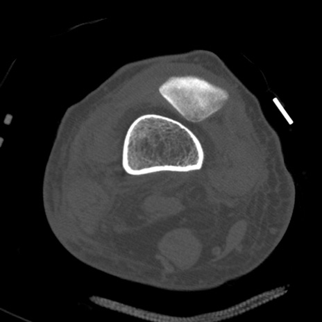
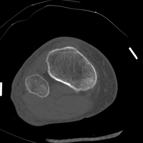
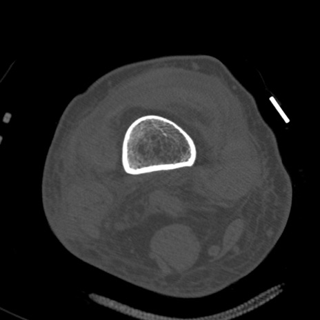
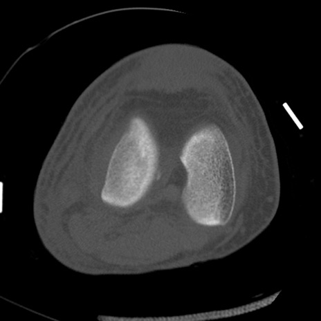
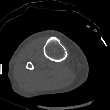
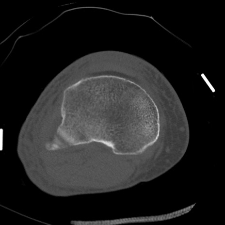
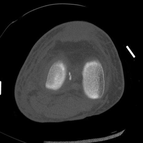
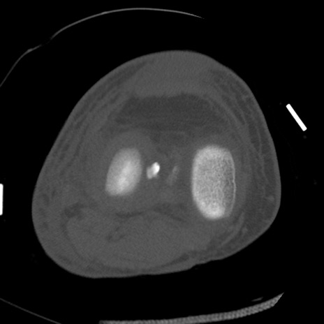
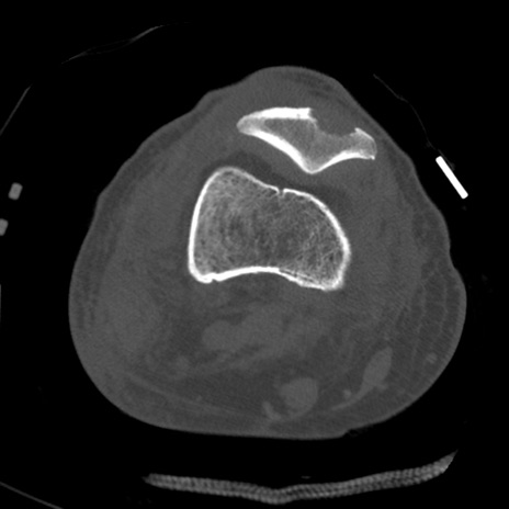
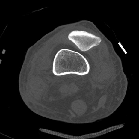
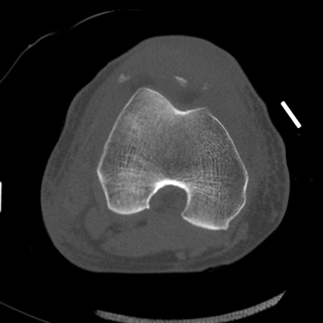
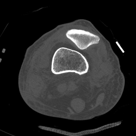
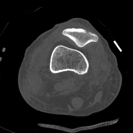
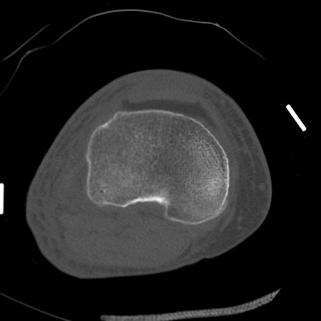
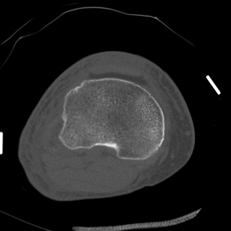
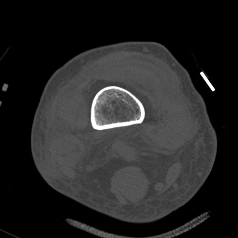
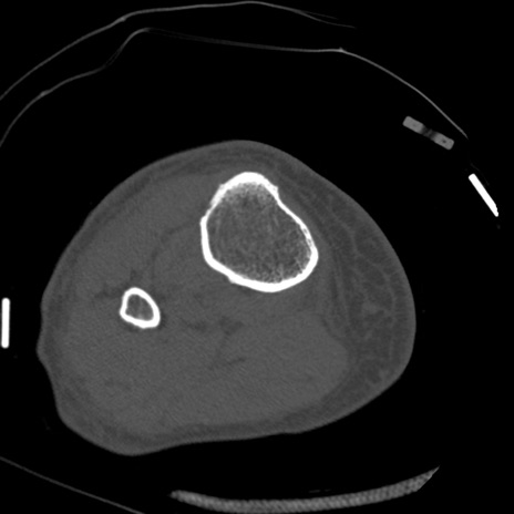
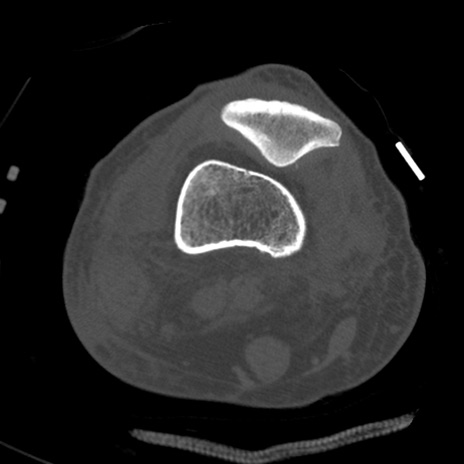
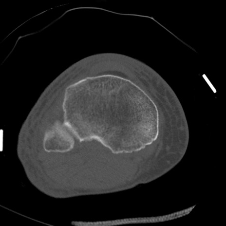
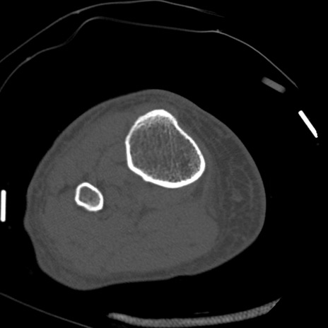
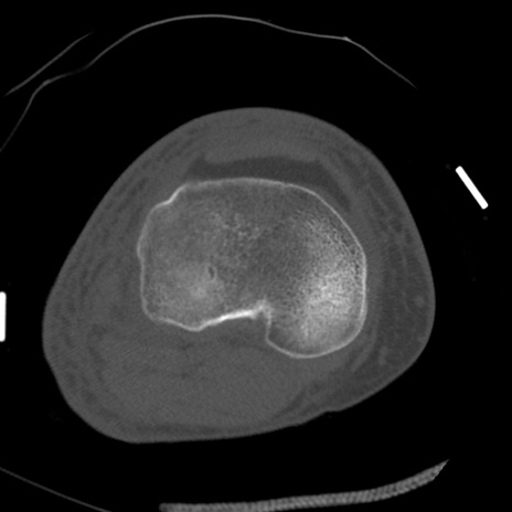
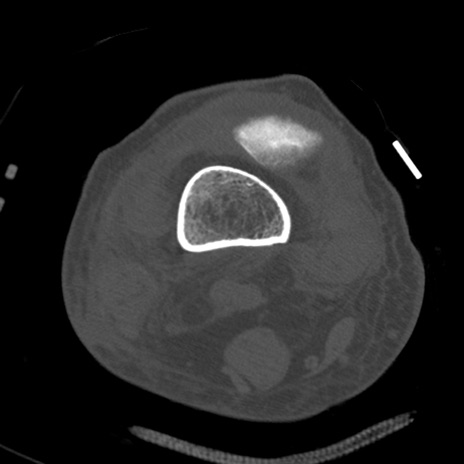
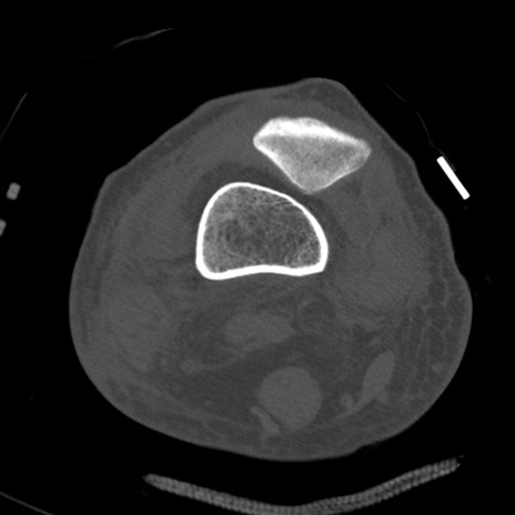
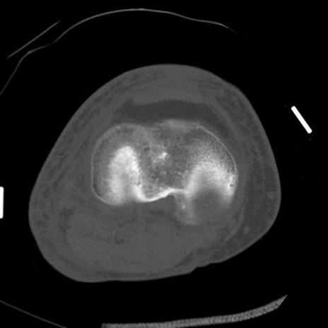
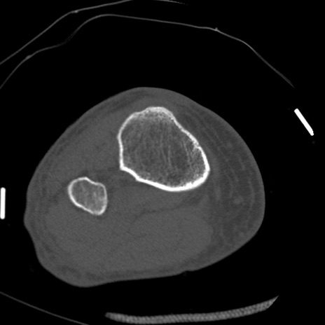
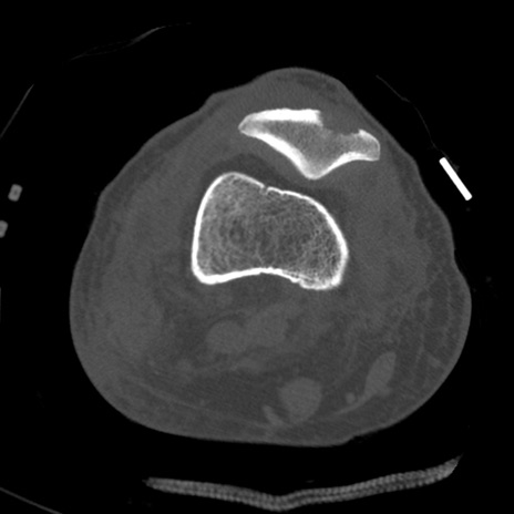
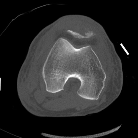
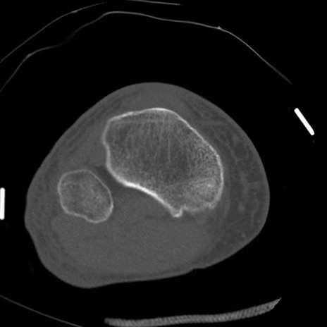
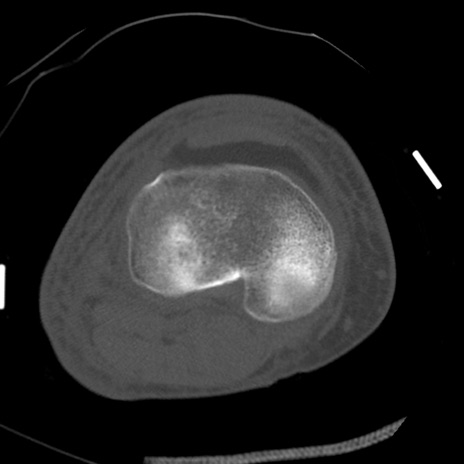
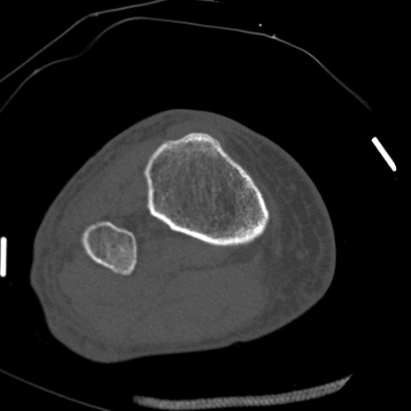
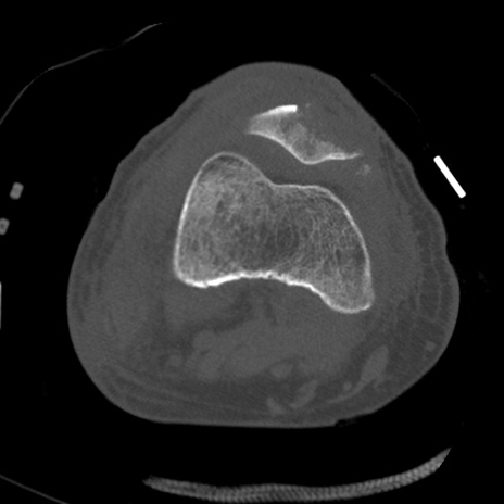
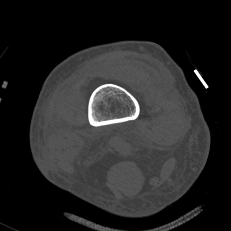
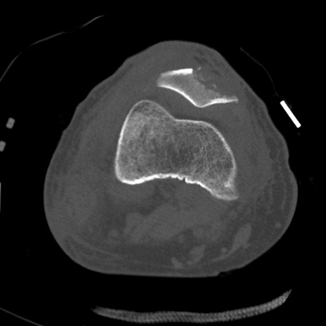
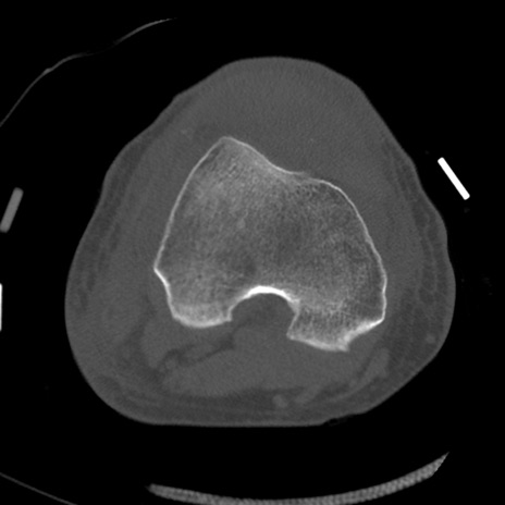
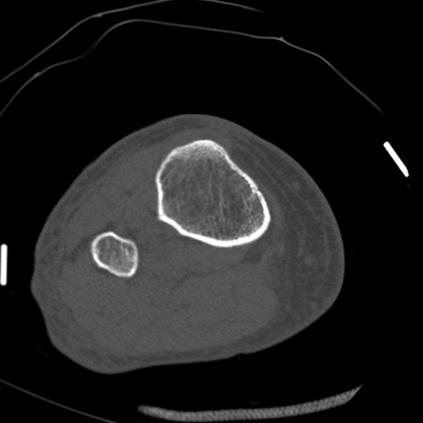
症例28 右膝関節CT(横断像)

 

症例

【症例】60歳代女性
【主訴】右膝痛
【現病歴】本日椅子より転落し受傷。右膝痛及び歩行困難となり来院。
【身体所見】右膝腫脹++、右足関節の運動は良好、感覚障害なし。

異常所見と診断は?

右膝関節レントゲン
正面像
側面像

右膝関節CT
冠状断像
矢状断像