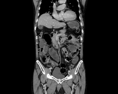
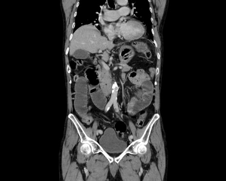
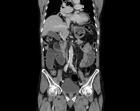
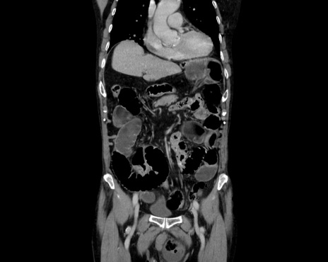
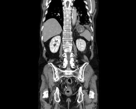
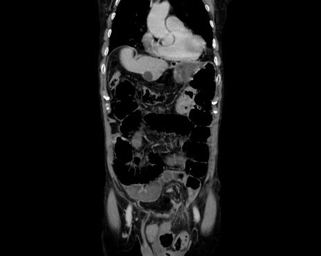
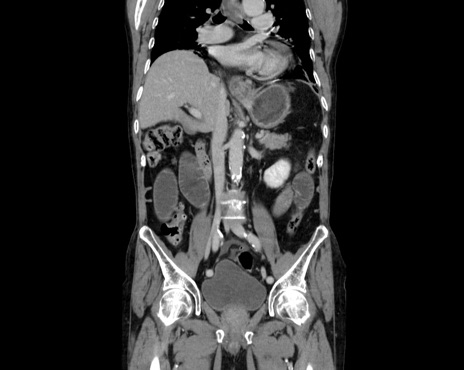
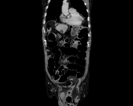
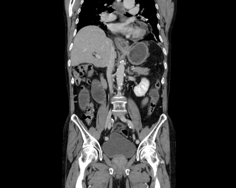
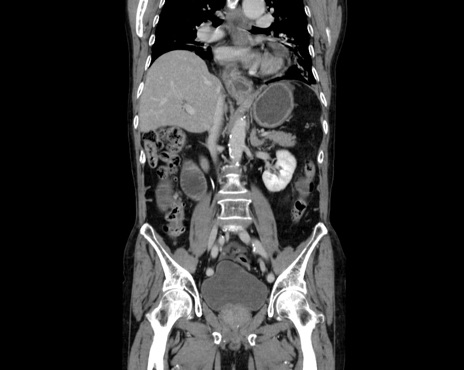
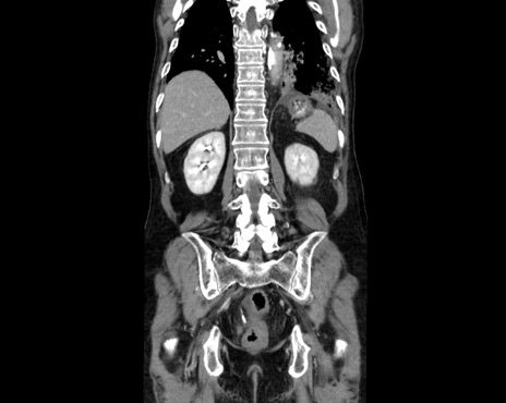
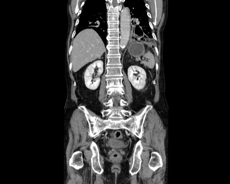
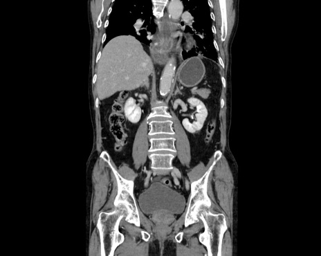
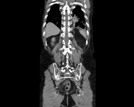
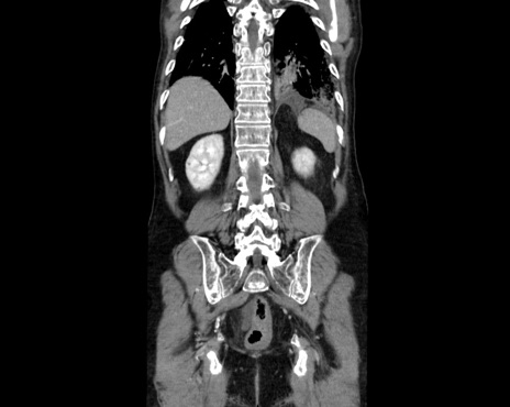
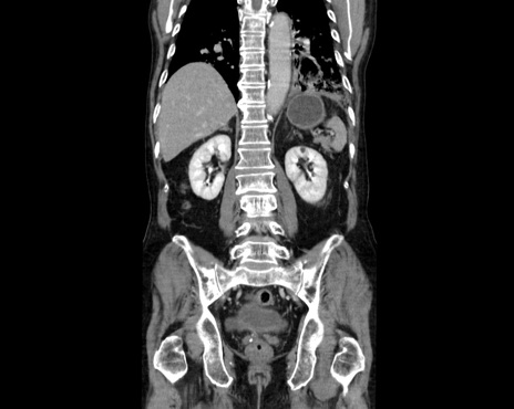
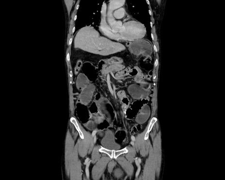
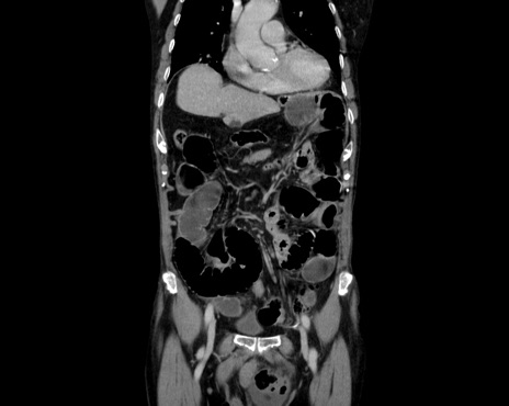
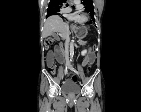
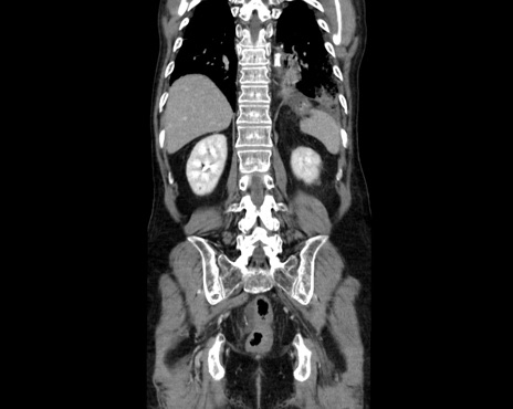
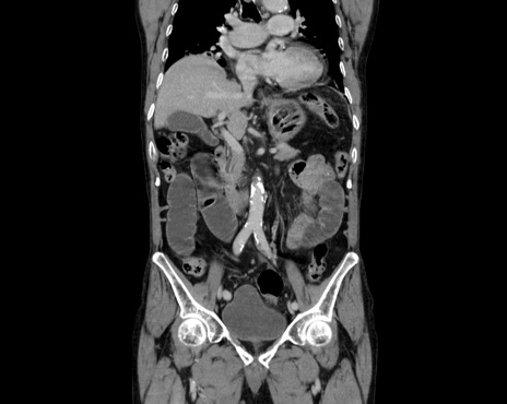
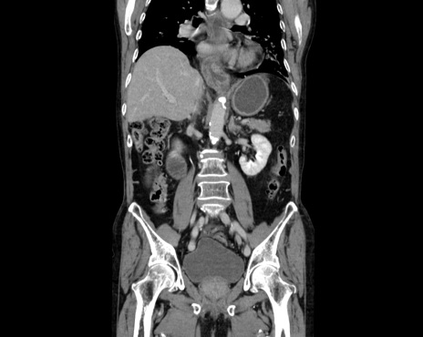
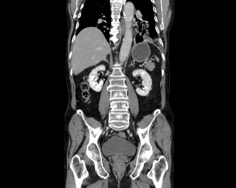
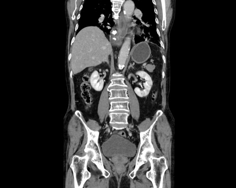
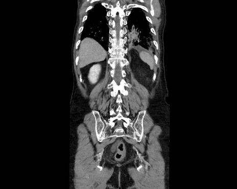
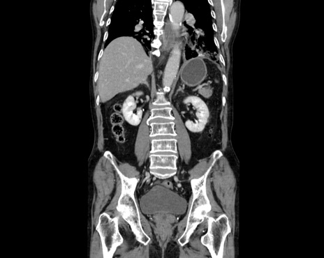
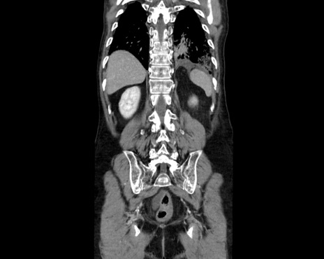
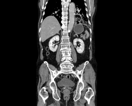
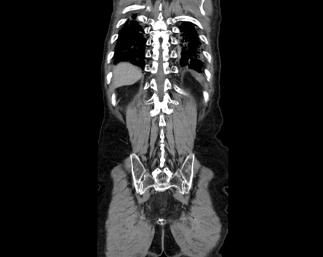
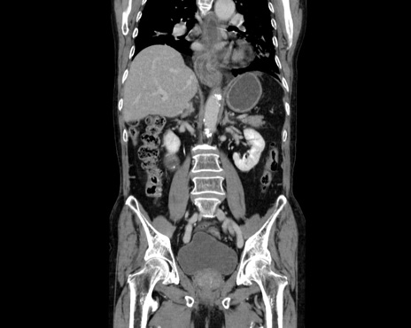
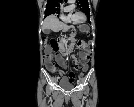
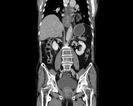
症例26(冠状断像)

 

症例

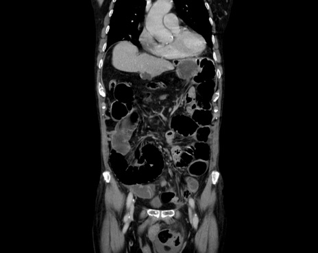
【症例】80歳代男性
【主訴】嘔吐
【現病歴】昨晩2回嘔吐あり、今朝になっても嘔吐あり。来院。
【既往歴】胃潰瘍
【身体所見】意識清明、BT 37.6℃、BP 166/95mmHg、HR 100bpm、SpO2 97%、腹部:平坦・軟、腸蠕動音聴取良好、圧痛なし。
【データ】WBC 21900、CRP 1.4

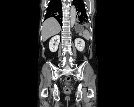
横断像