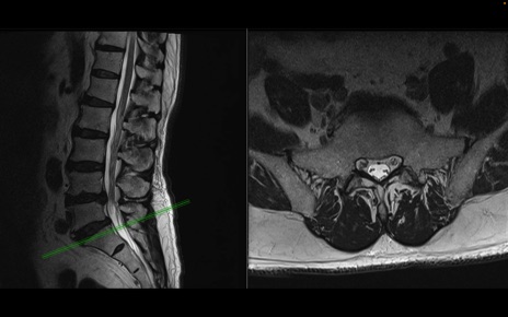
【整形】TIPS症例2 腰椎MRI 横断像と矢状断像
症例
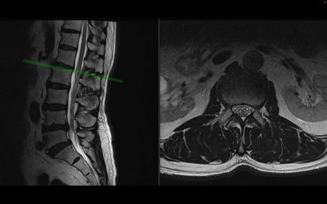
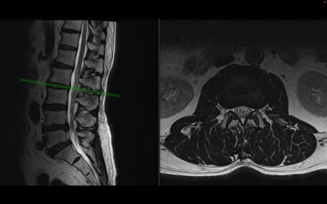
【症例】70歳代男性
【主訴】左下肢痛
【現病歴】2週間前くらいから腰痛、左下肢痛あり。左臀部から大腿、下腿外側のしびれが常時ある。歩行とともに同部位の痛みあり。
【身体所見】Lasegue70-/60+、Bragard-/±、PTR ±/±、ATR -/-、IP 5/5、TA 5/4、TS 5/5、EHL 右第1足趾なし/3、FHL 5/5、hypersthesia(-)、足背動脈触知良好
異常所見と診断は?





















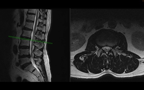
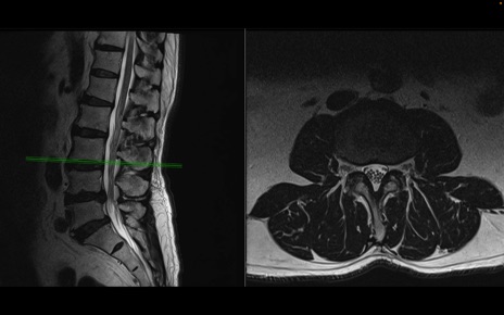
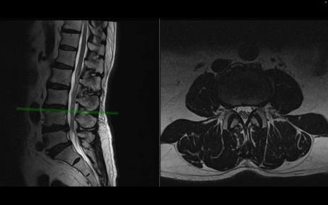
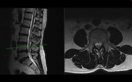
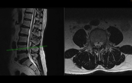
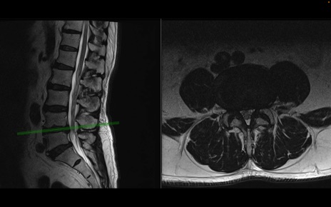
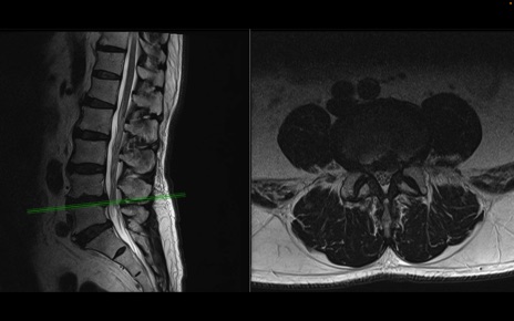
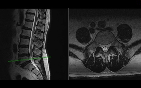
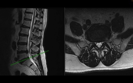
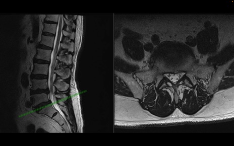
【症例】70歳代男性
【主訴】左下肢痛
【現病歴】2週間前くらいから腰痛、左下肢痛あり。左臀部から大腿、下腿外側のしびれが常時ある。歩行とともに同部位の痛みあり。
【身体所見】Lasegue70-/60+、Bragard-/±、PTR ±/±、ATR -/-、IP 5/5、TA 5/4、TS 5/5、EHL 右第1足趾なし/3、FHL 5/5、hypersthesia(-)、足背動脈触知良好
異常所見と診断は?