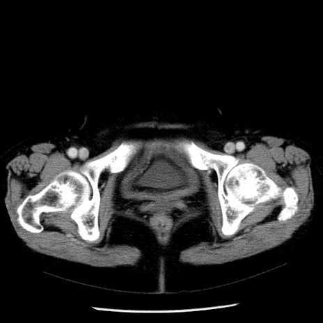
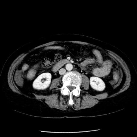
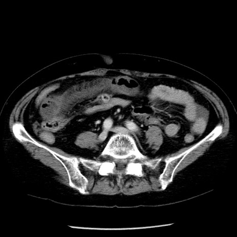
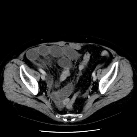
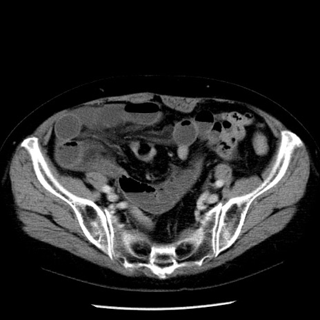
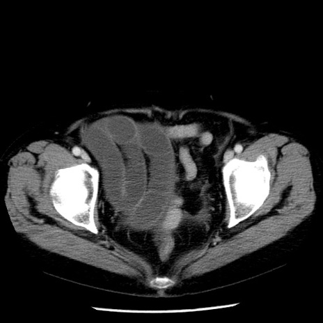
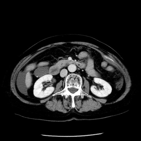
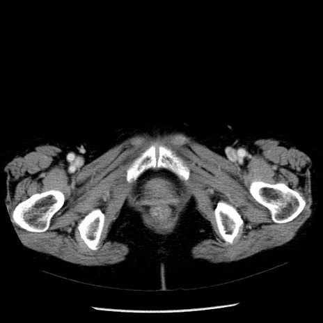
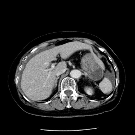
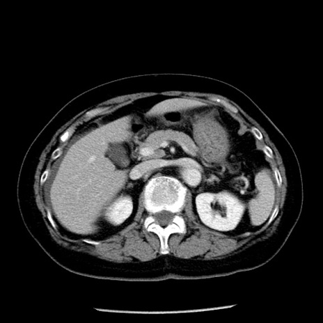
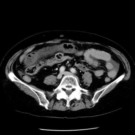
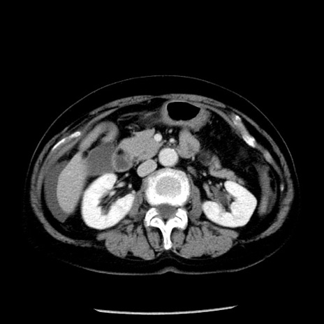
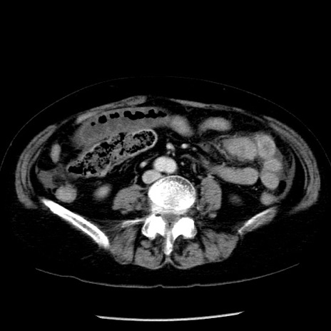
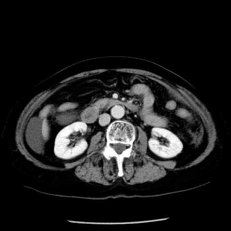
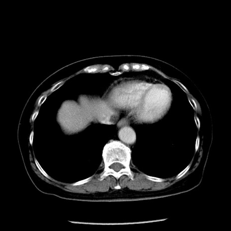
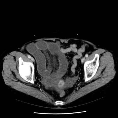
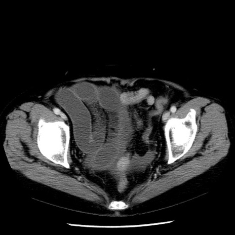
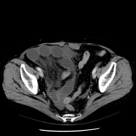
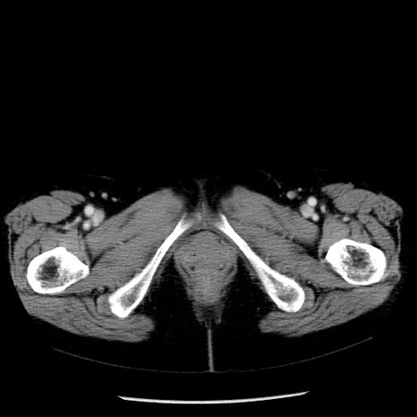
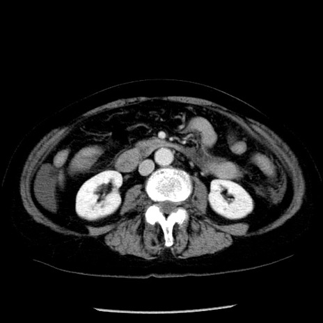
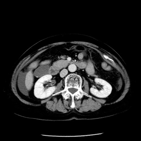
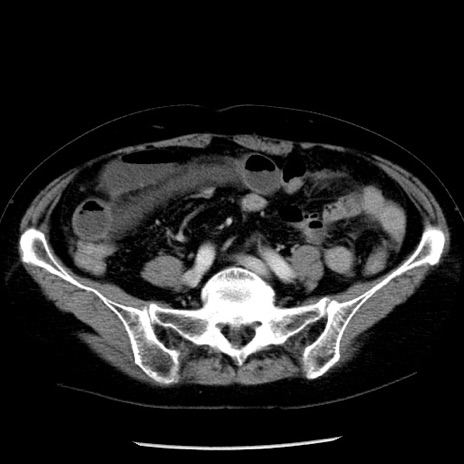
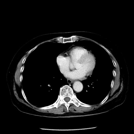
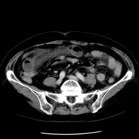
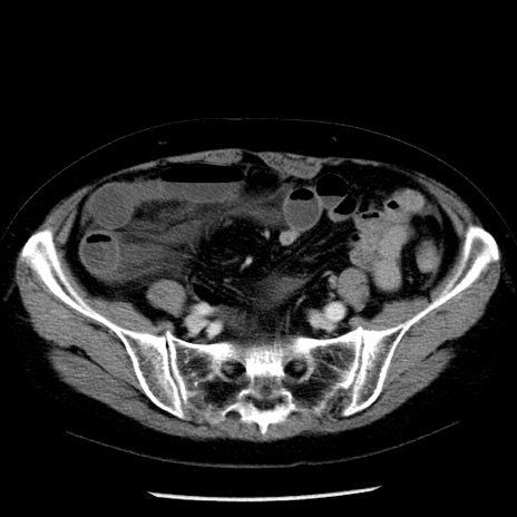
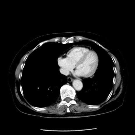
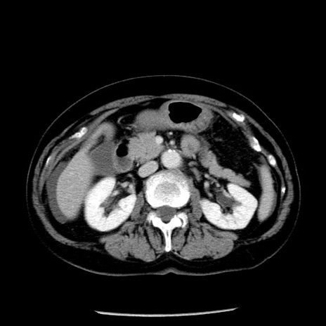
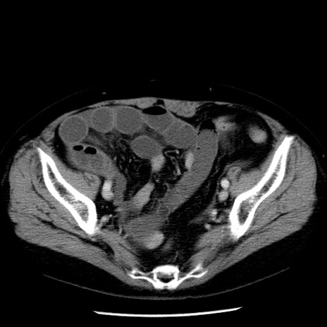
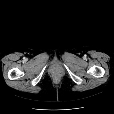
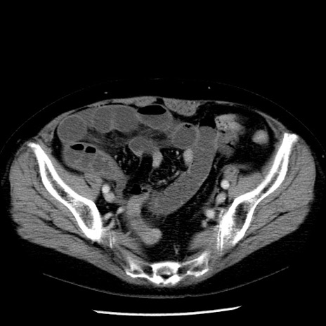
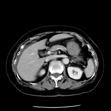
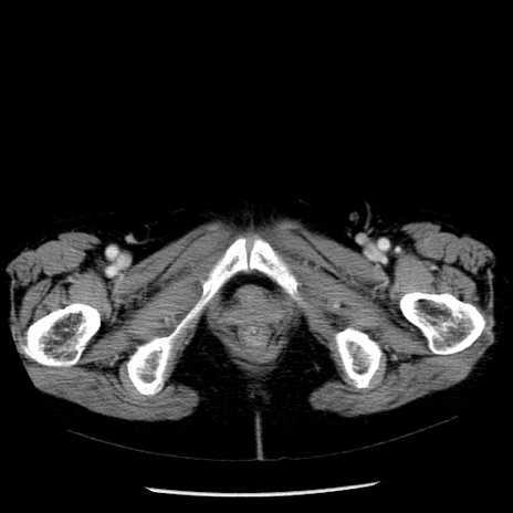
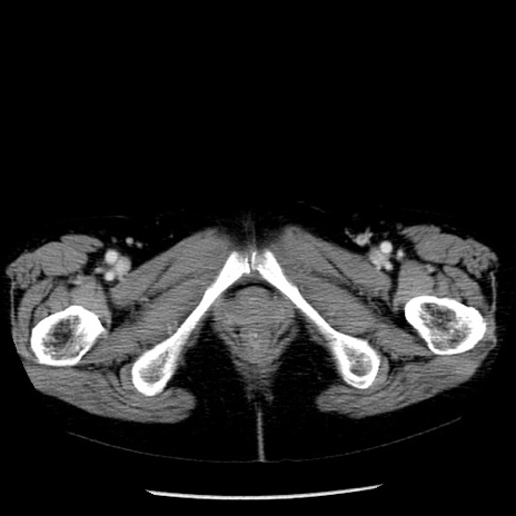
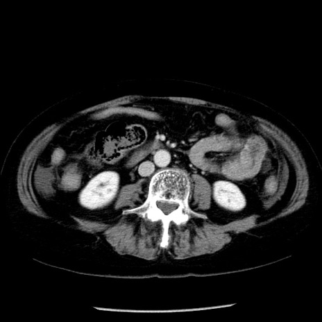
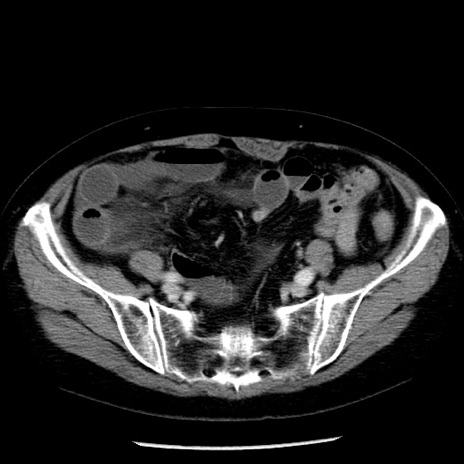
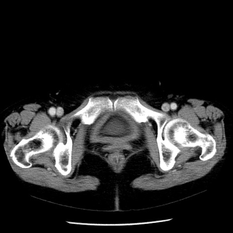
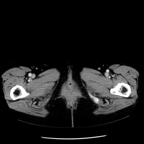
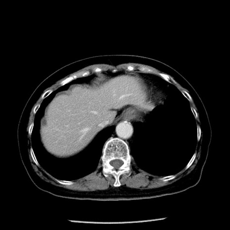
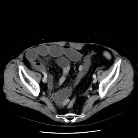
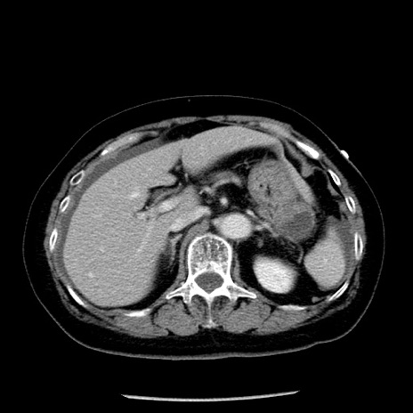
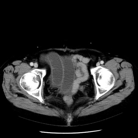
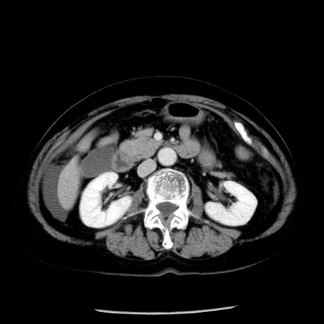
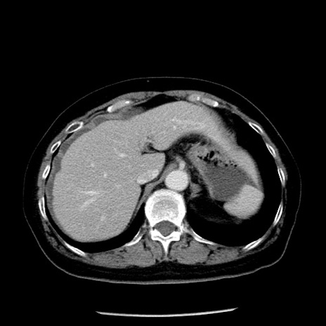
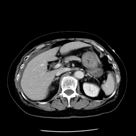
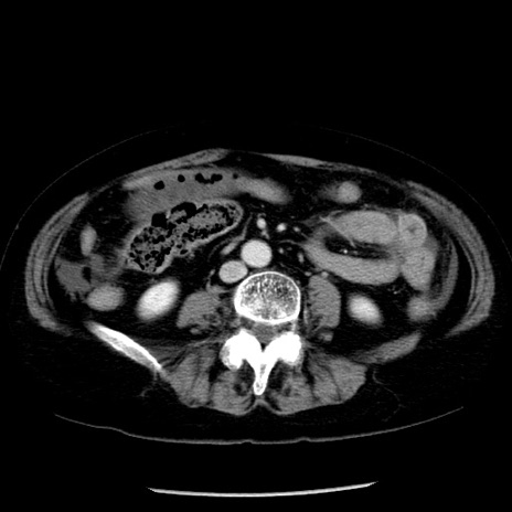
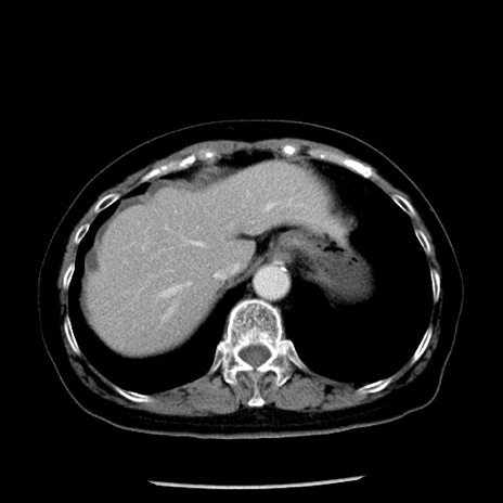
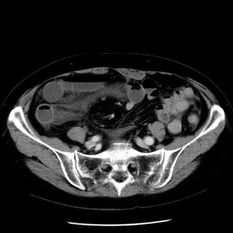
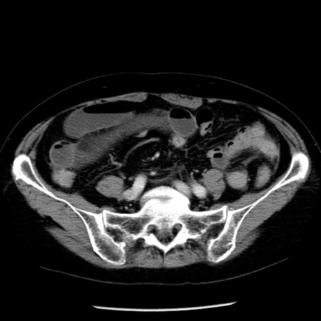
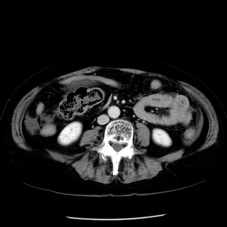
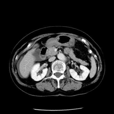
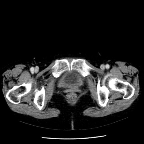
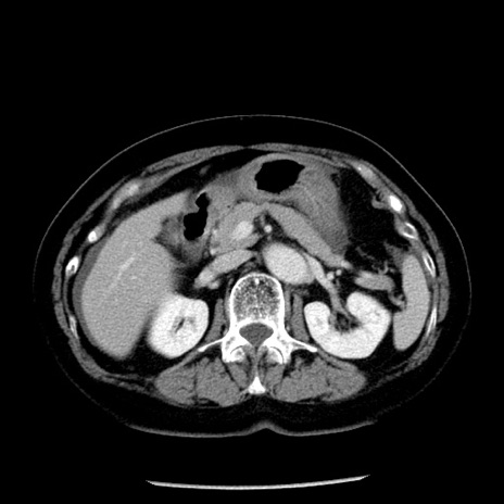
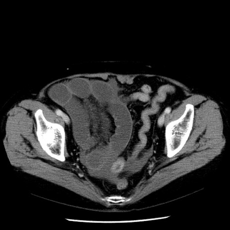
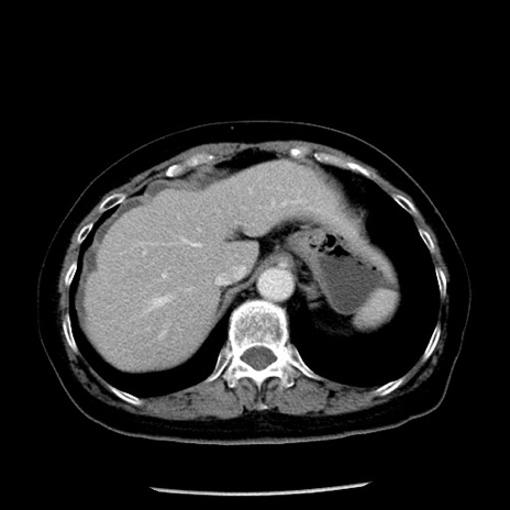
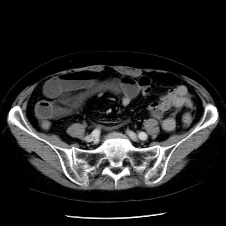
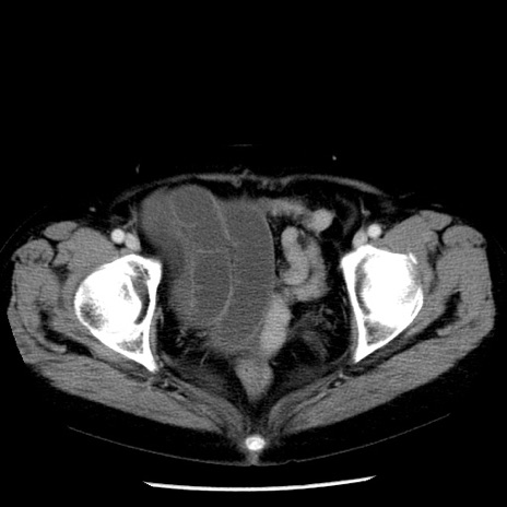
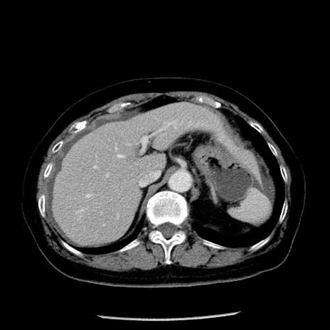
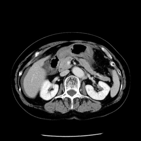
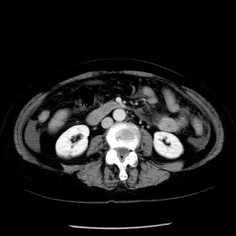
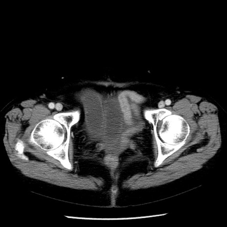
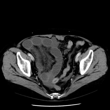
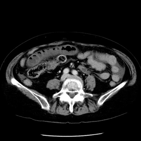
症例13(横断像)

 

症例

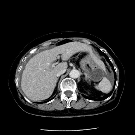
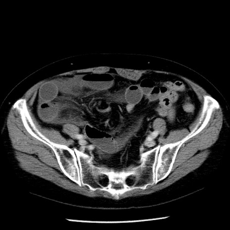
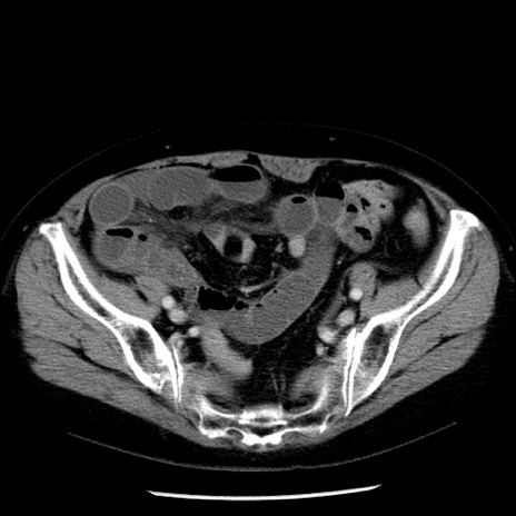
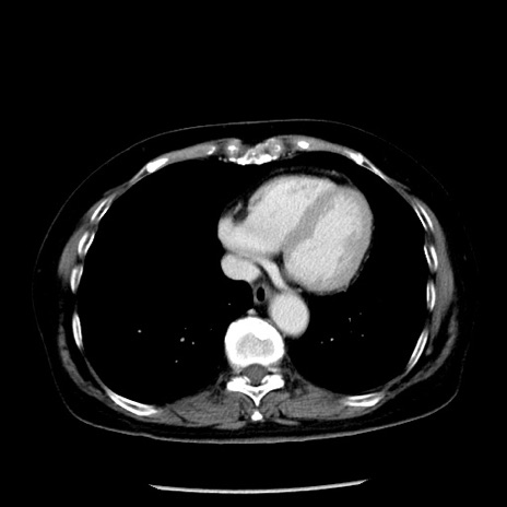
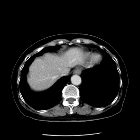
【症例】70歳代女性
【主訴】腹痛、嘔吐
【現病歴】15時間程前(昨晩)より腹痛あり。今朝になっても症状の改善なく、嘔吐あり。腹痛も増悪あり、救急外来受診。
【既往歴】子宮癌全摘術後
【身体所見】意識清明、BP 121/72mmHg、P 74bpm、SpO2 100%(RA)、腹部:平坦・軟、腸雑音ほぼ聴取せず。下腹部・心窩部・臍左上に圧痛あり。反跳痛なし。
【データ】WBC 10600、CRP 0.15

冠状断像