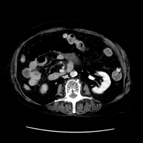
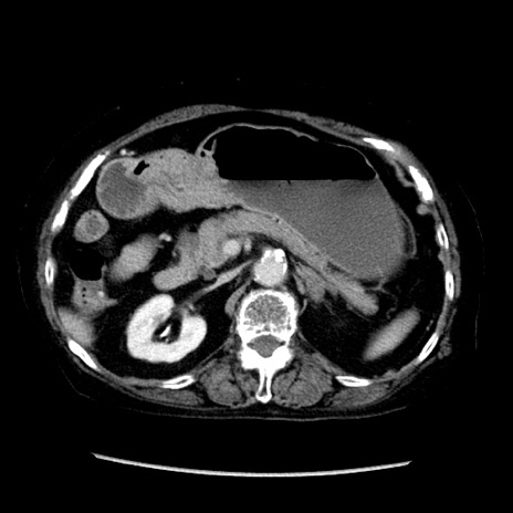
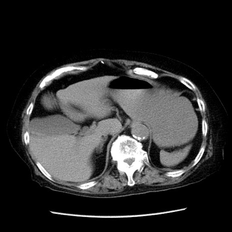
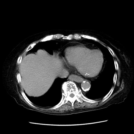
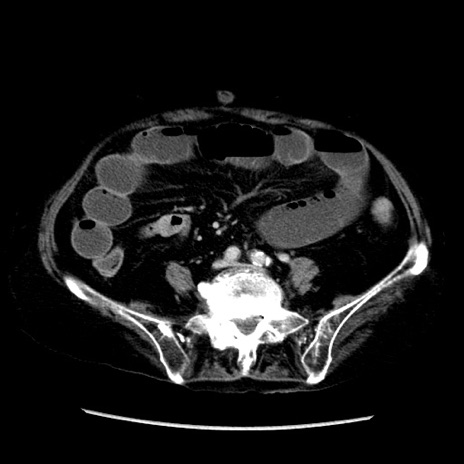
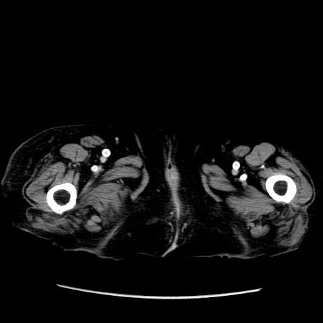
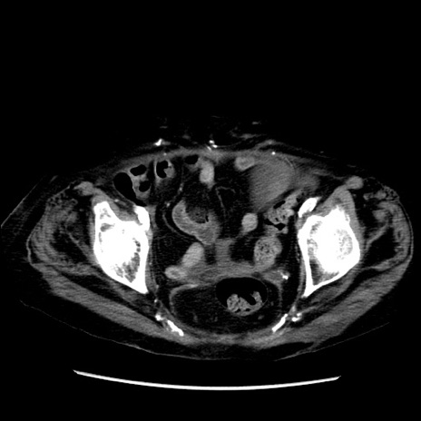
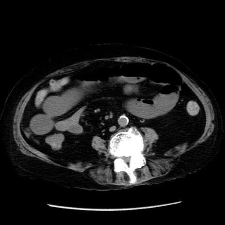
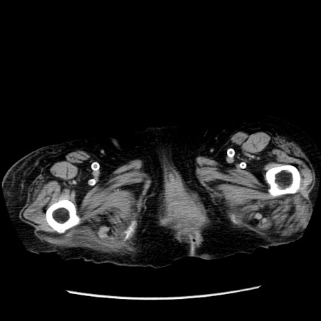
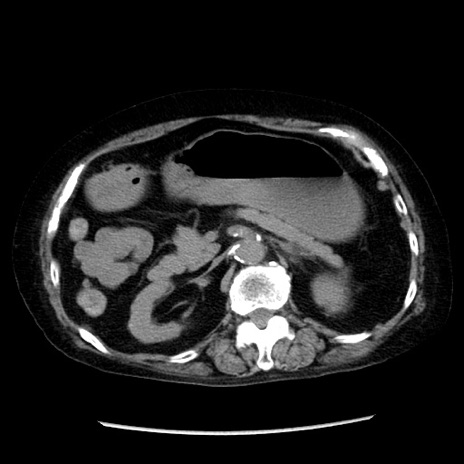
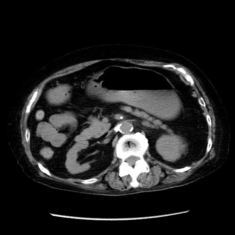
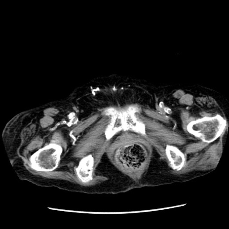
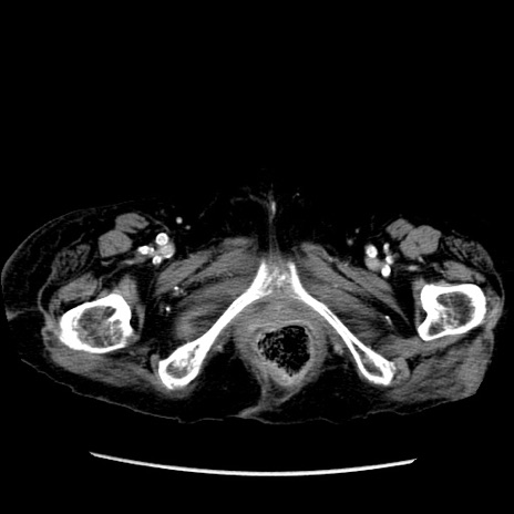
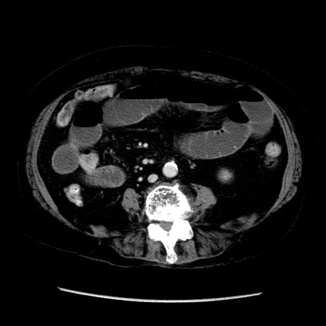
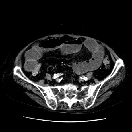
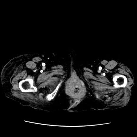
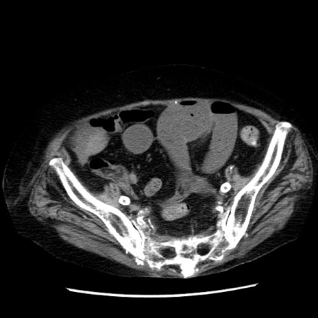
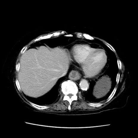
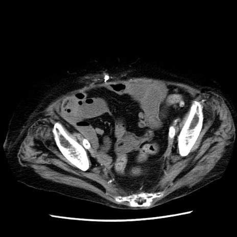
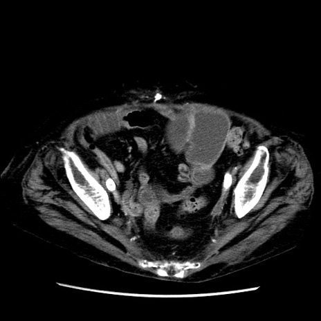
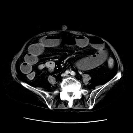
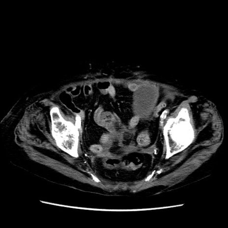
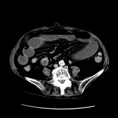
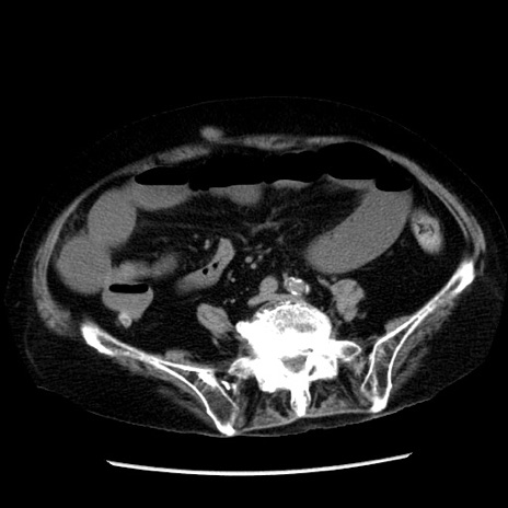
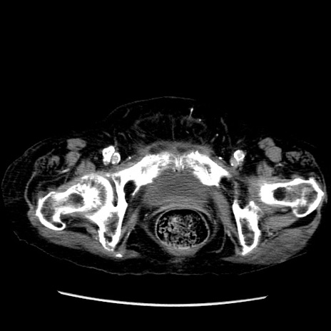
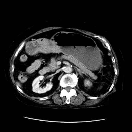
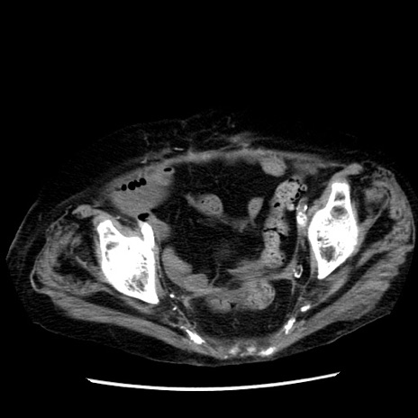
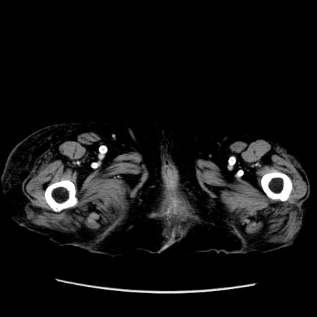
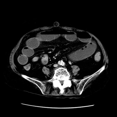
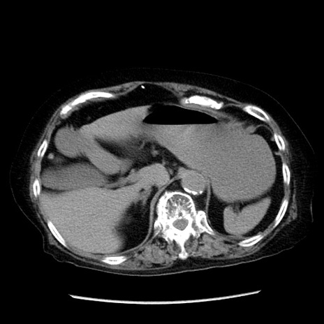
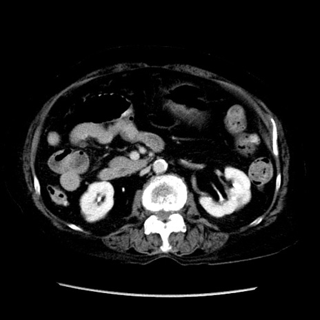
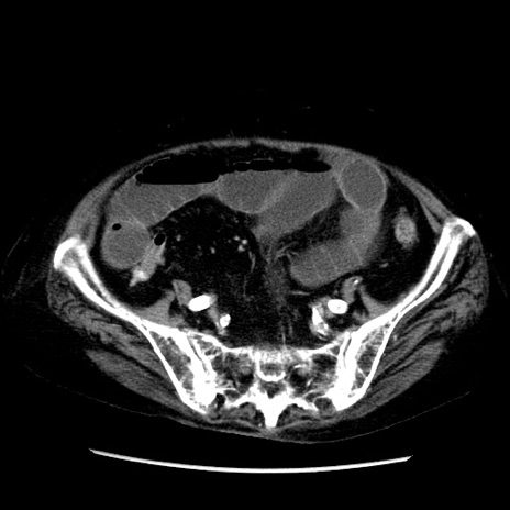
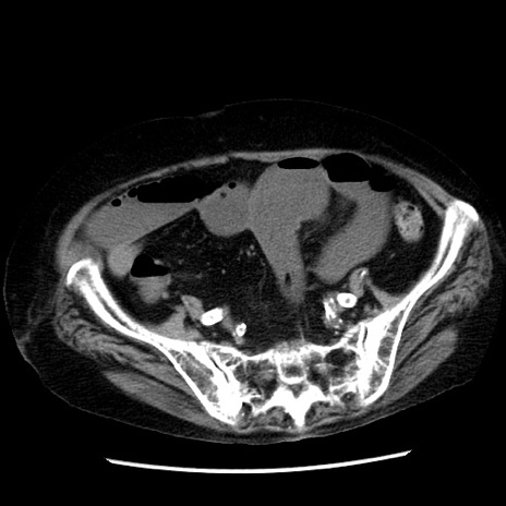
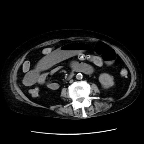
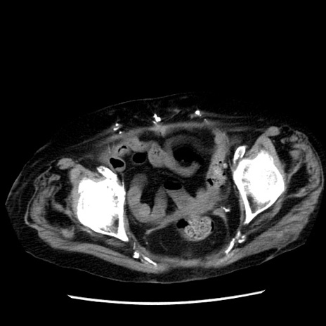
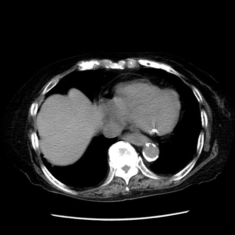
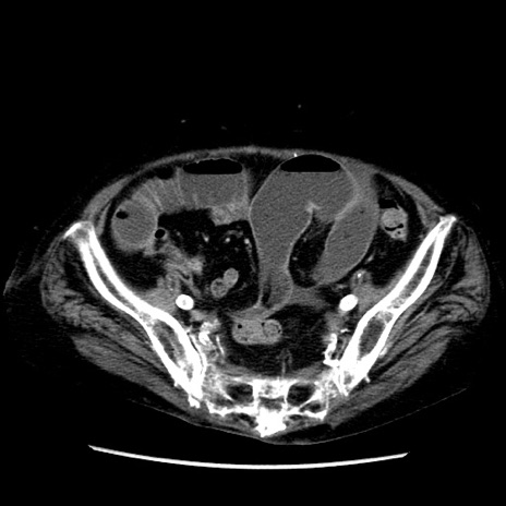
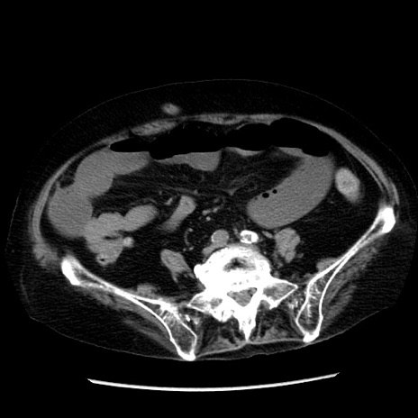
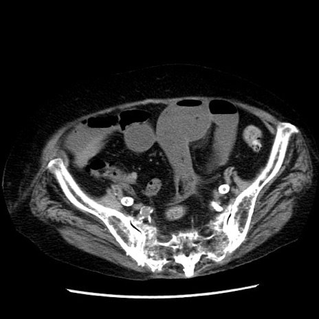
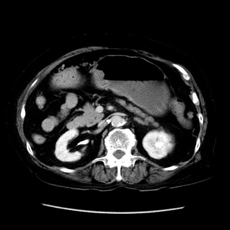
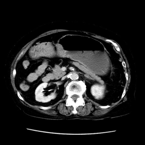
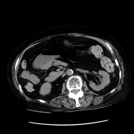
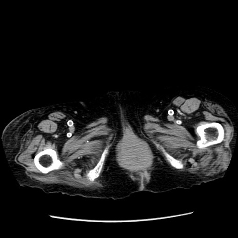
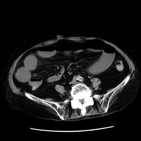
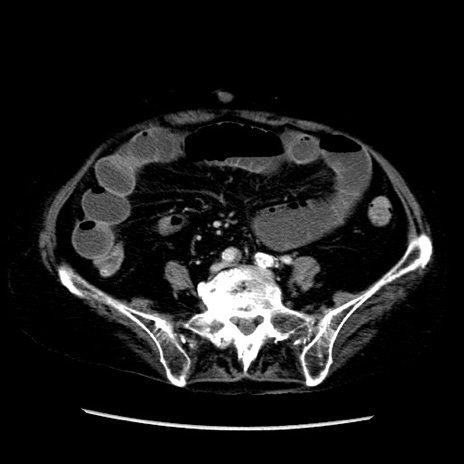
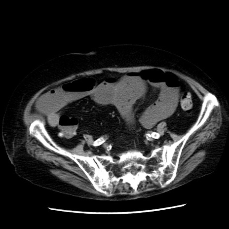
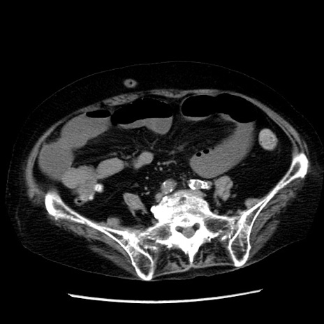
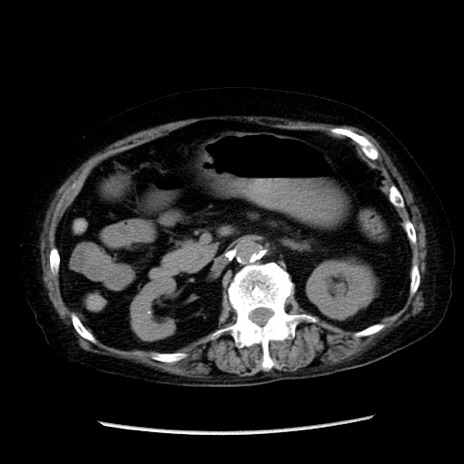
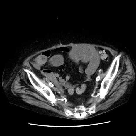
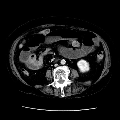
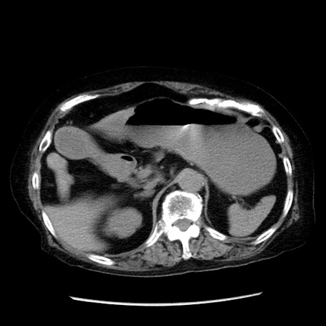
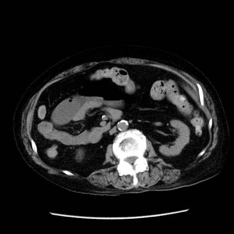
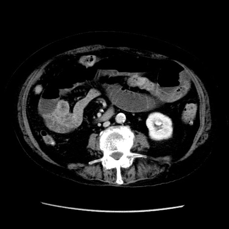
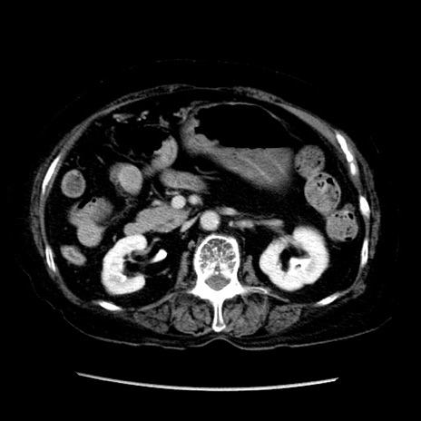
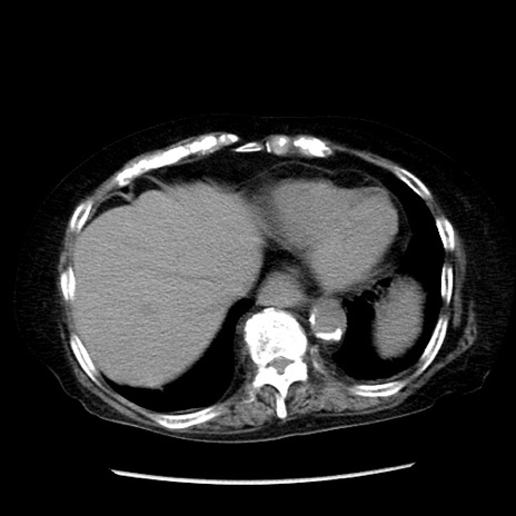
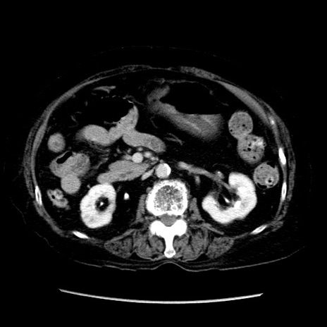
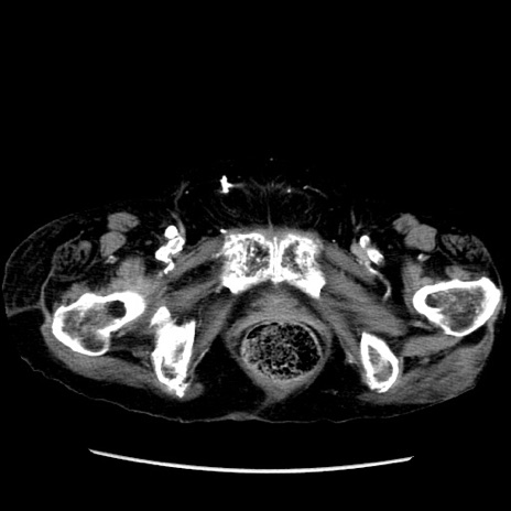
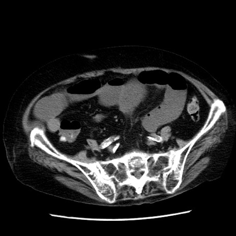
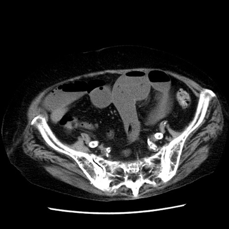
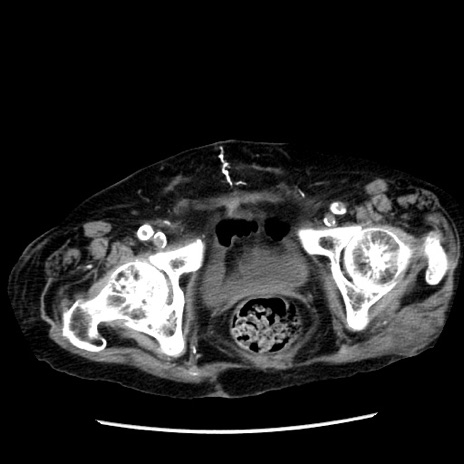
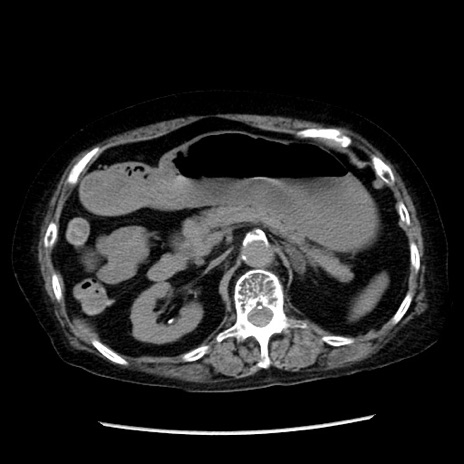
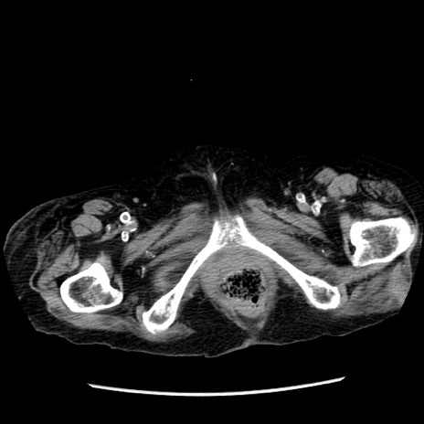
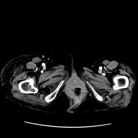
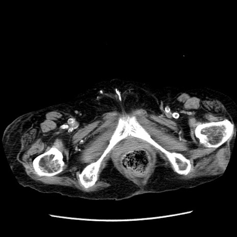
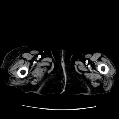
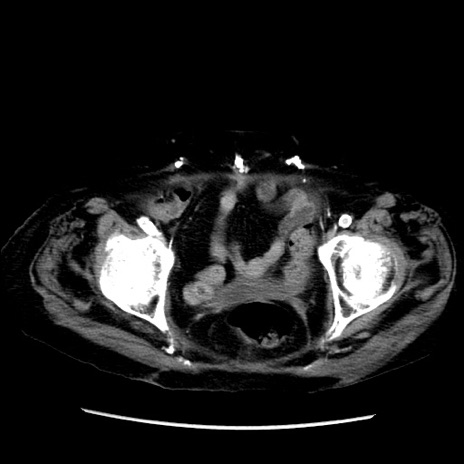
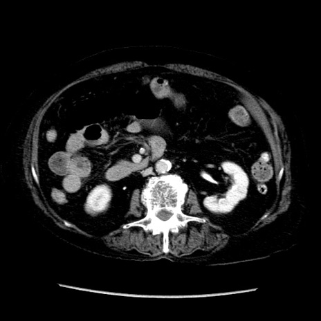
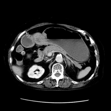
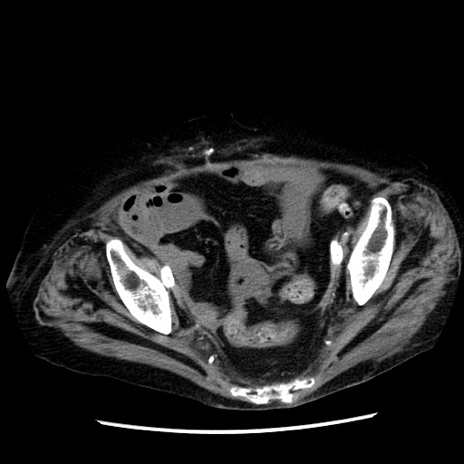
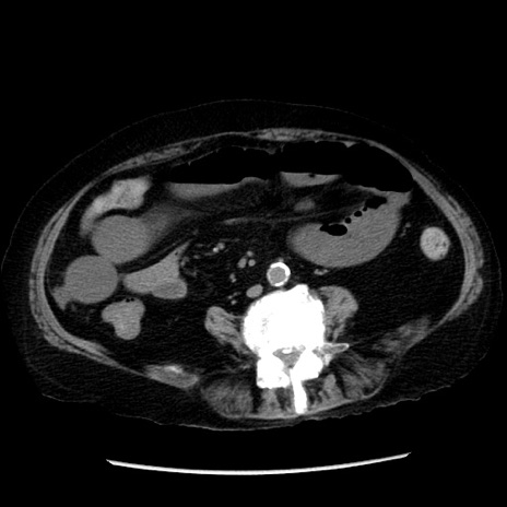
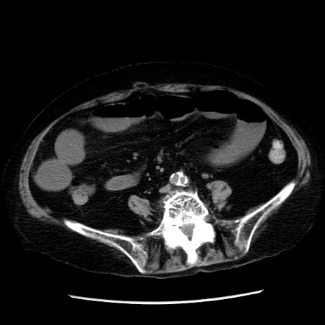
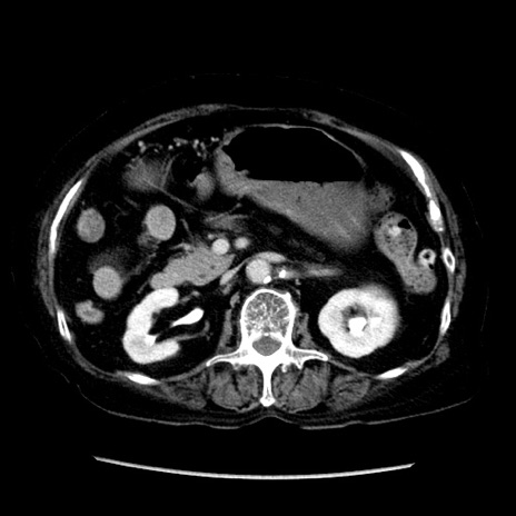
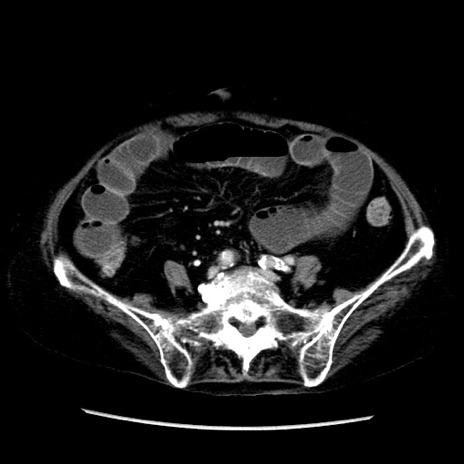
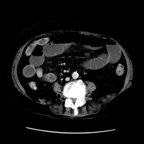
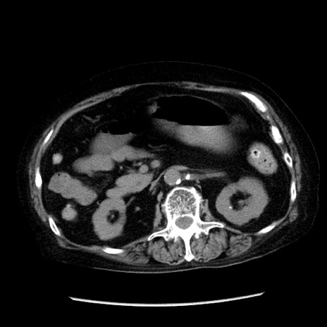
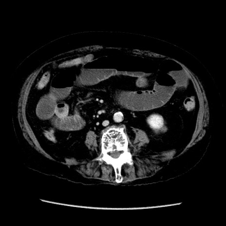
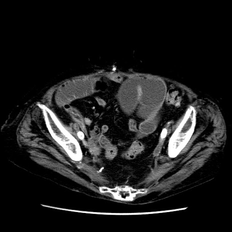
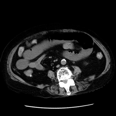
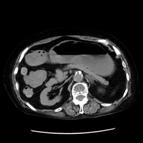
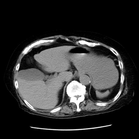
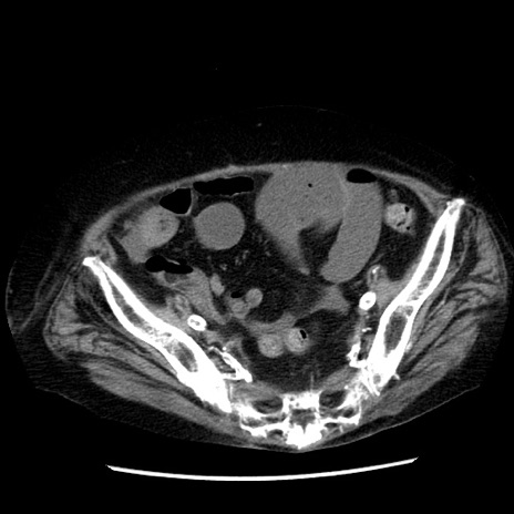
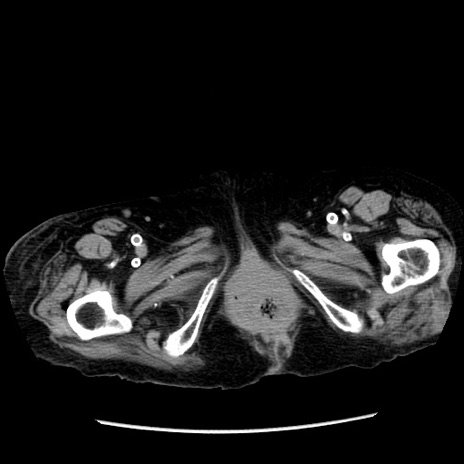
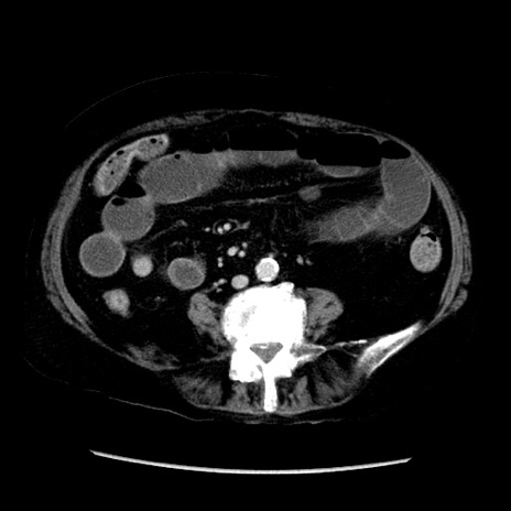
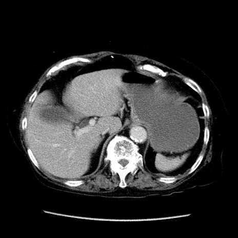
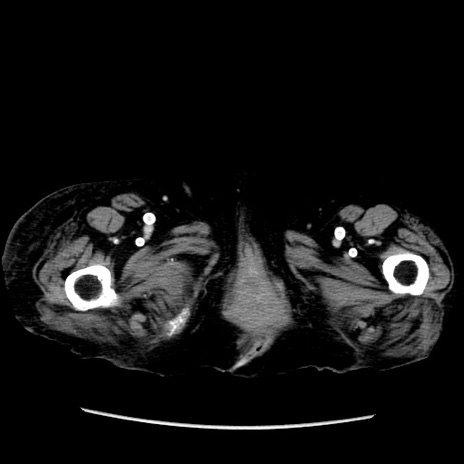
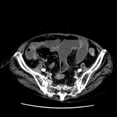
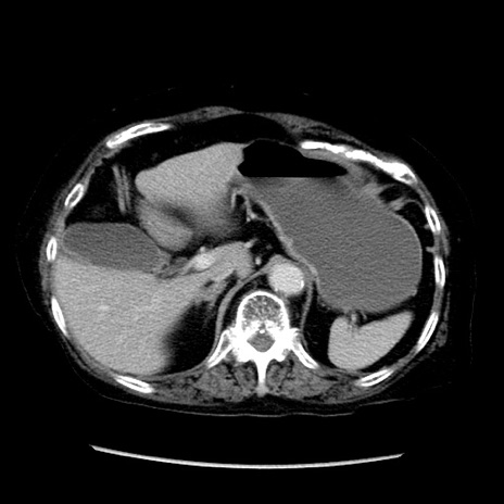
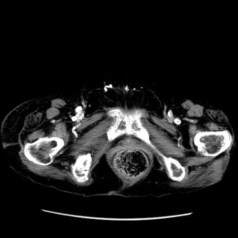
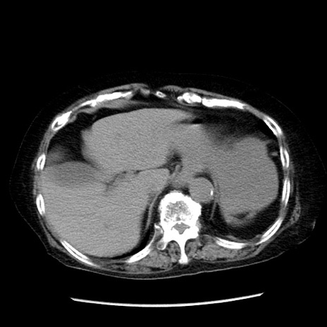
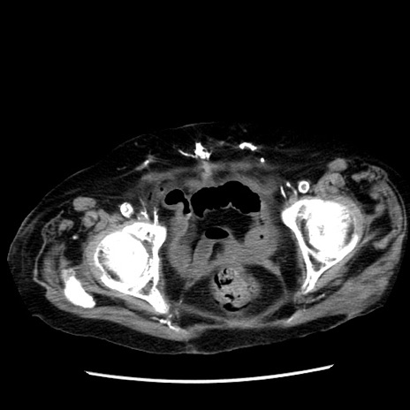
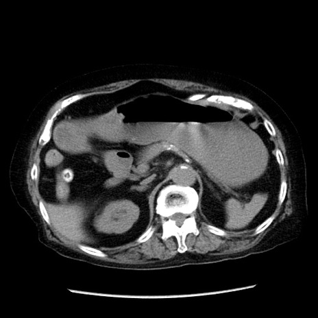
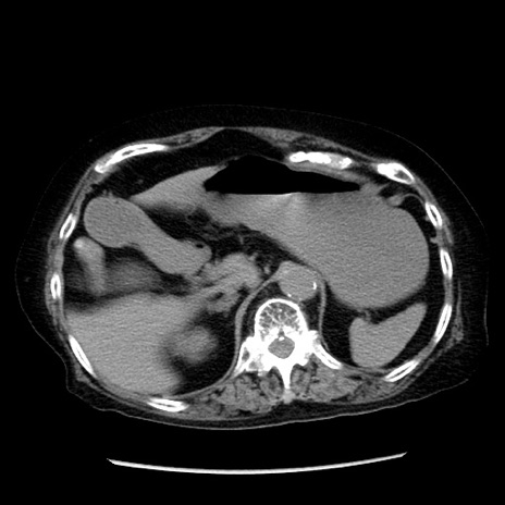
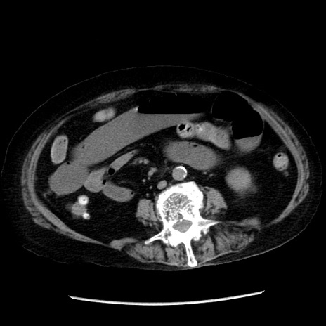
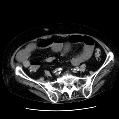
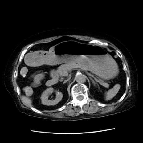
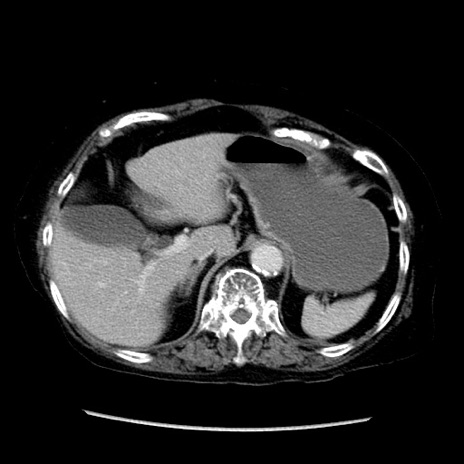
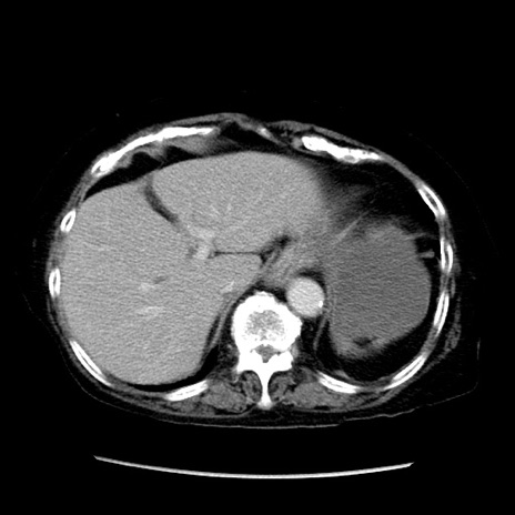
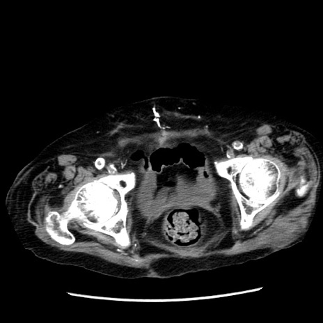
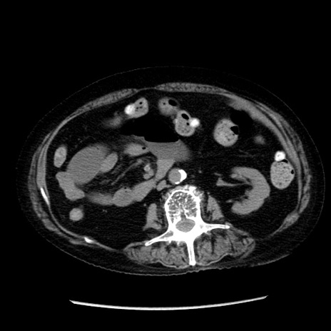
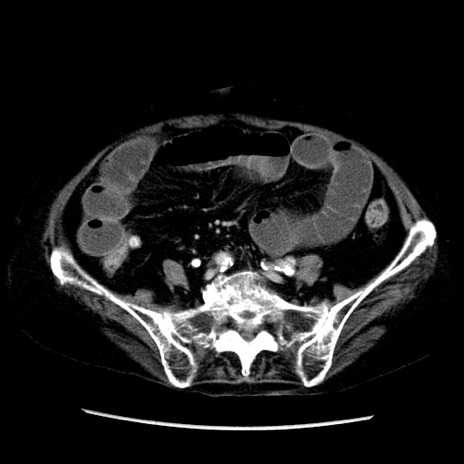
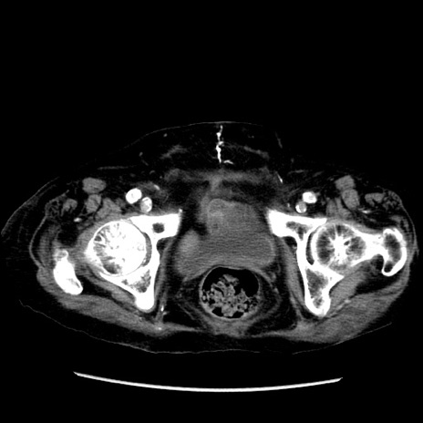
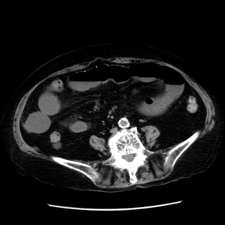
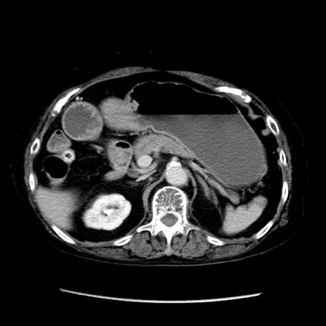
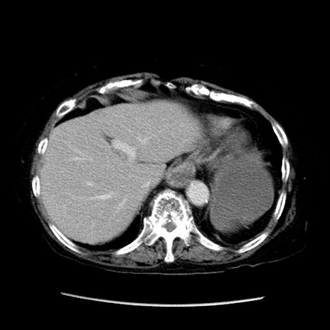
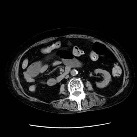
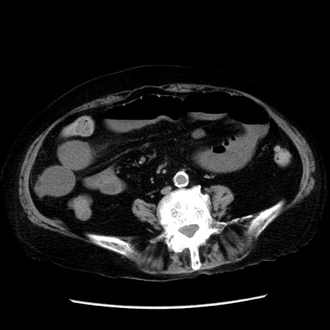
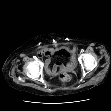
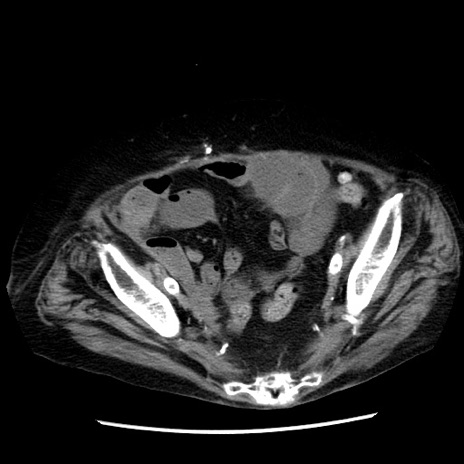
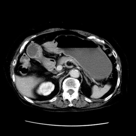
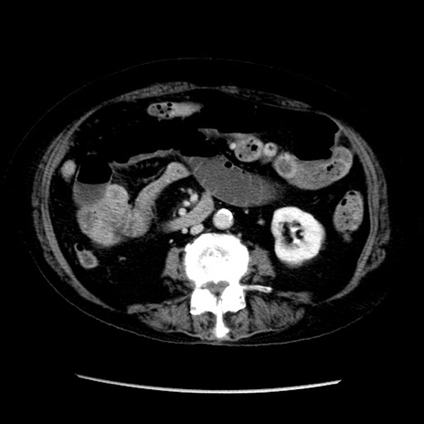
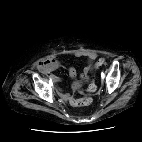
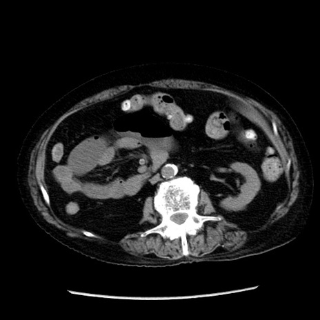
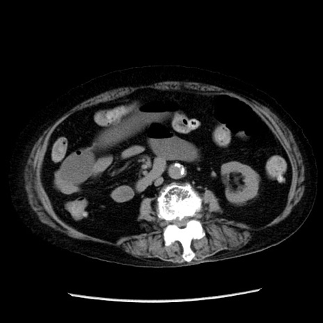
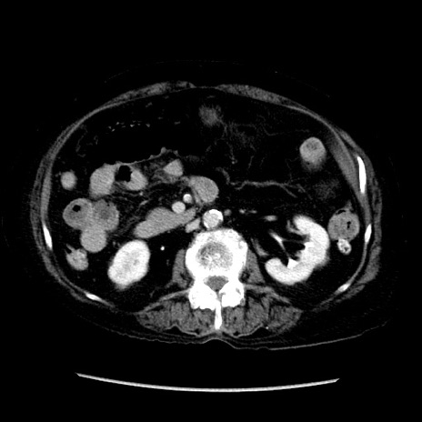
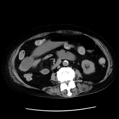
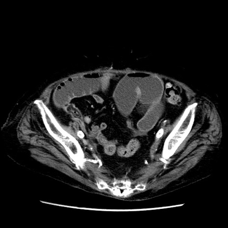
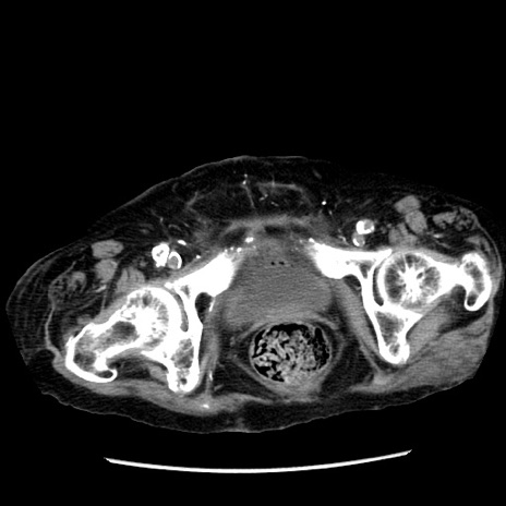
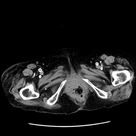
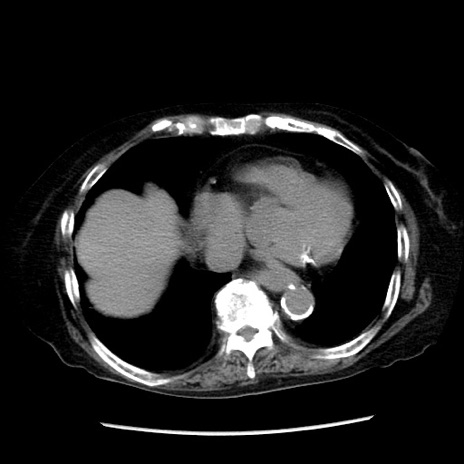
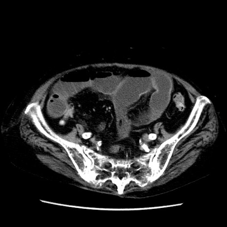
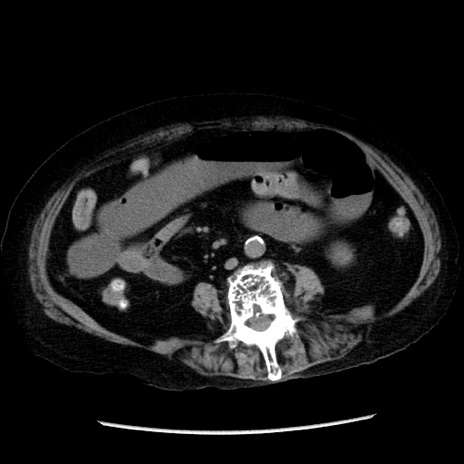
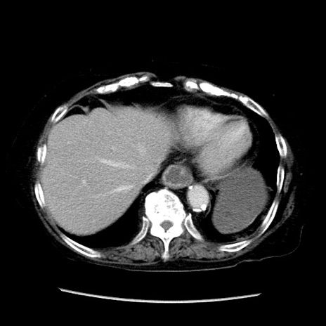
症例14(横断像)

 

症例

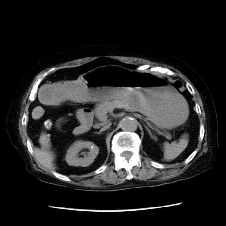
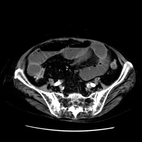
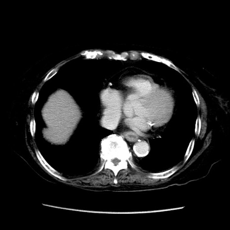
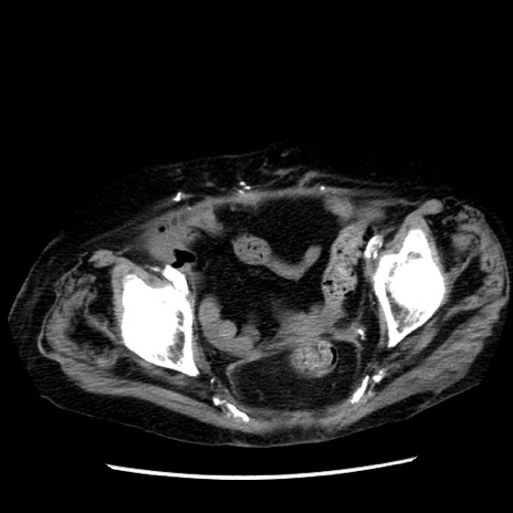
【症例】 90歳代女性
【主訴】 腹痛・嘔吐
【現病歴】今朝から左側腹部痛を認めた。 経過観察していたが、嘔吐を認めたため来院。
【既往歴】 子宮癌術後
【身体所見】 意識清明、BP 127/54mmHg、P 98bpm Sp02 95%(RA)、BT 35.8°C、腹部平坦・軟腸ぜん動音聴取良好、右下腹部圧痛(+) 反跳痛なし
【データ】WBC 9800、CRP 0.46

冠状断像