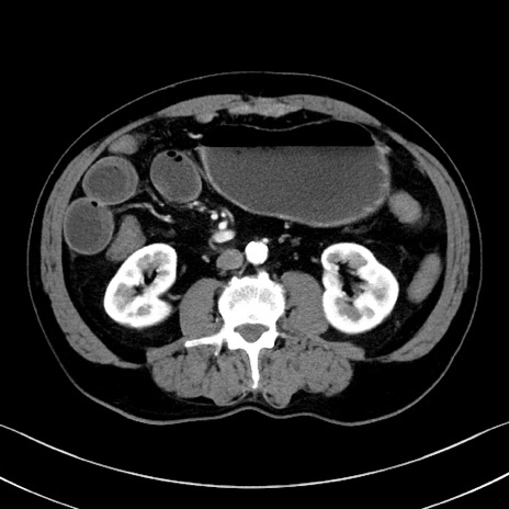
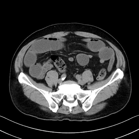
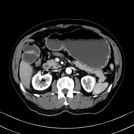
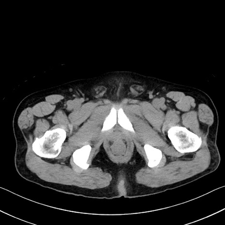
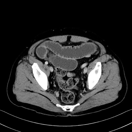
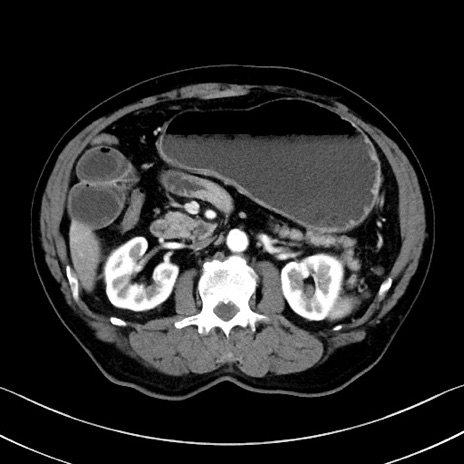
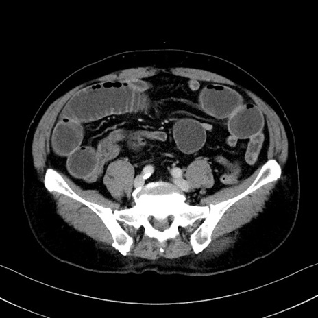
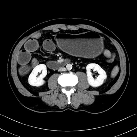
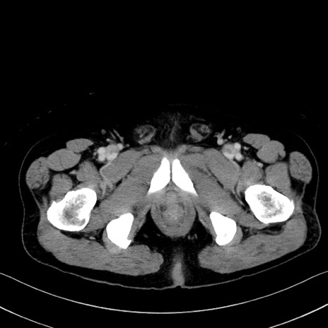
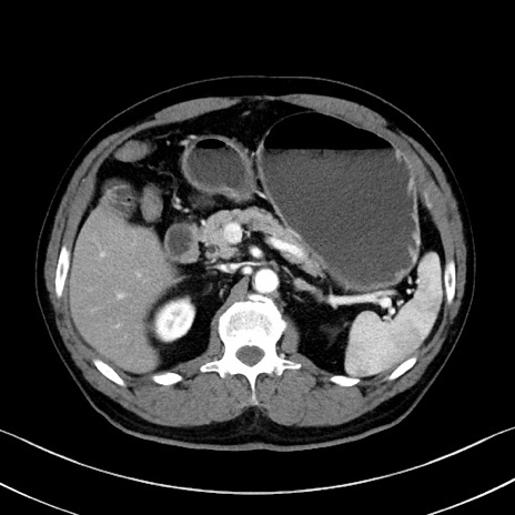
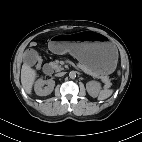
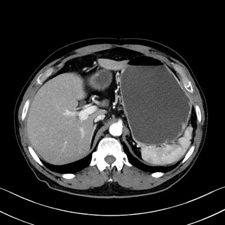
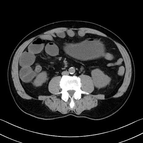
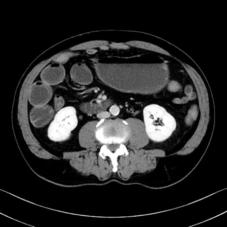
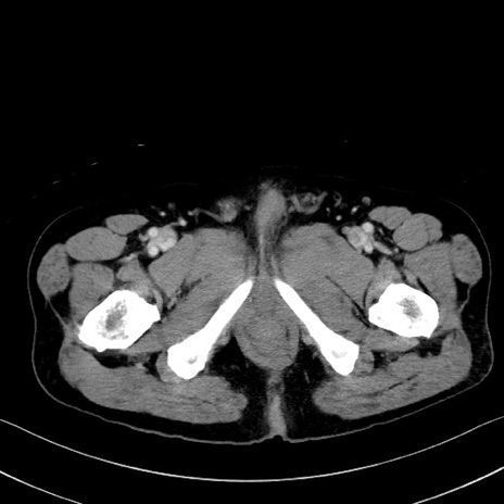
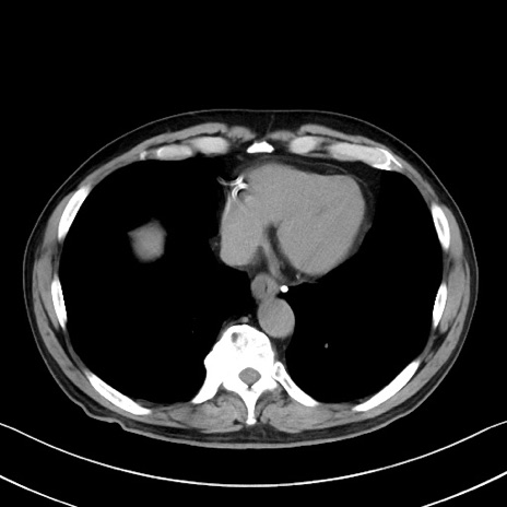
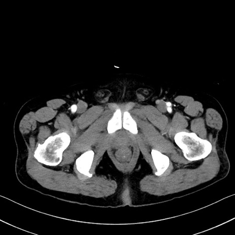
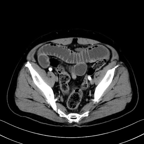
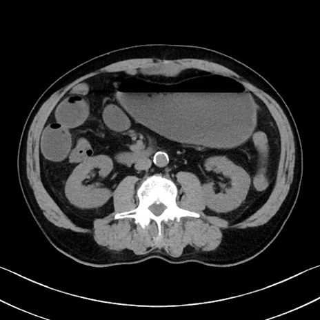
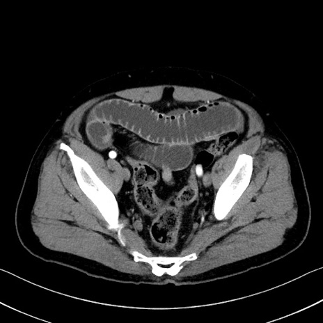
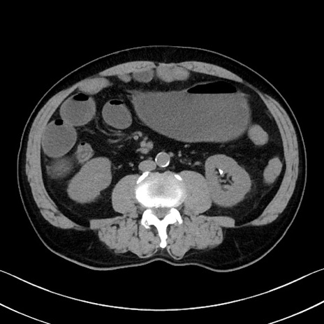
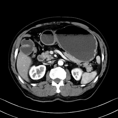
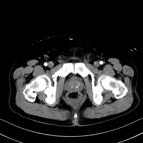
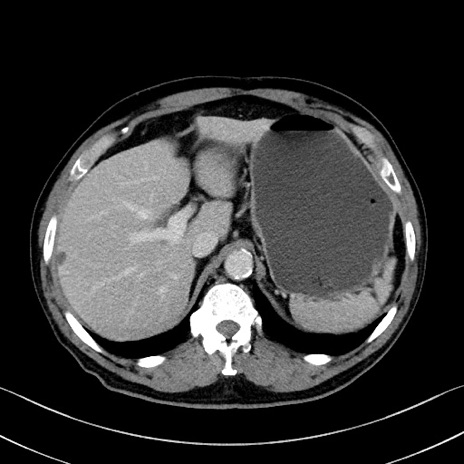
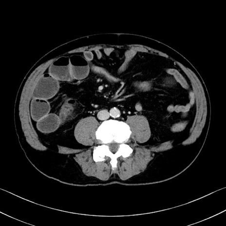
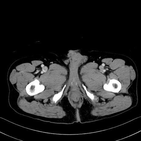
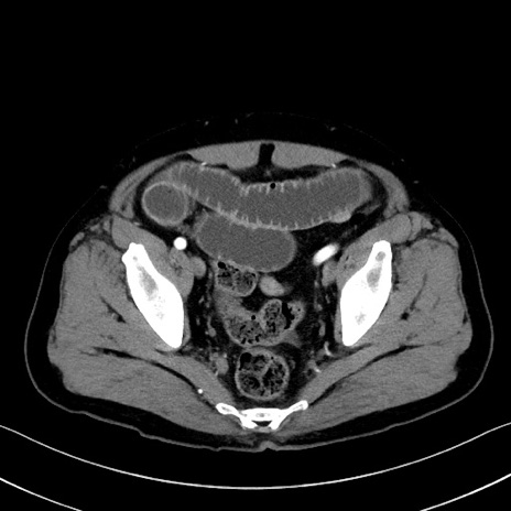
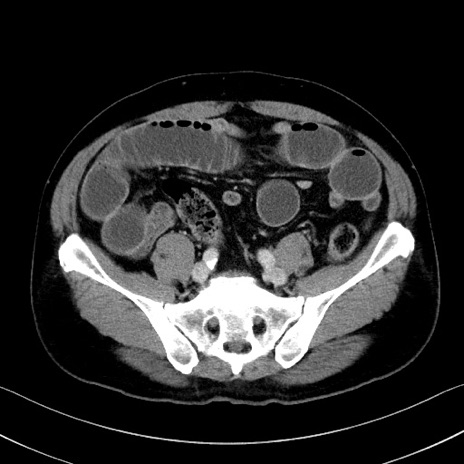
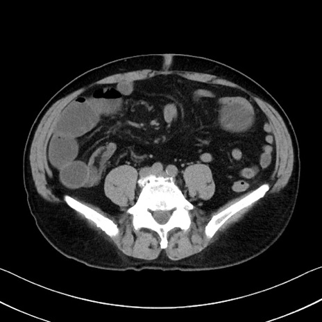
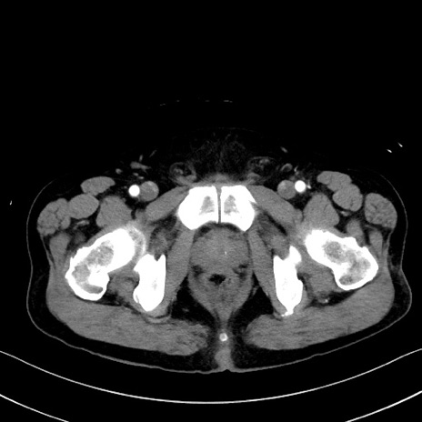
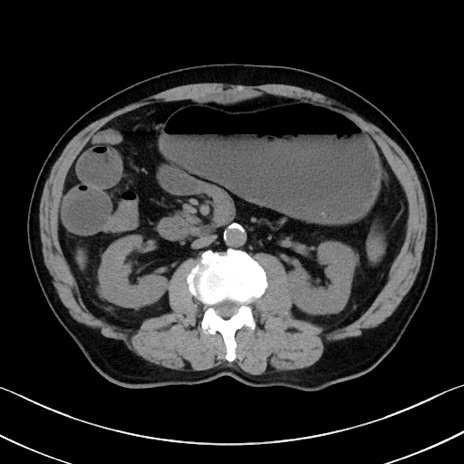
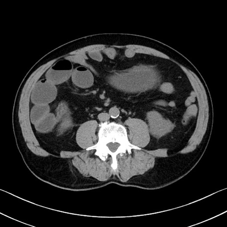
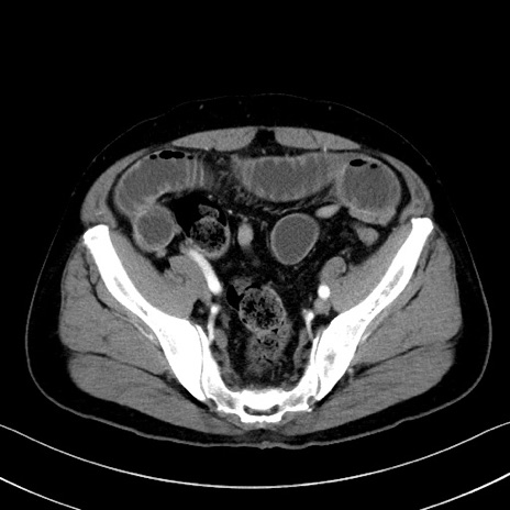
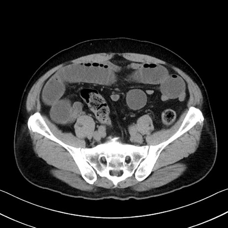
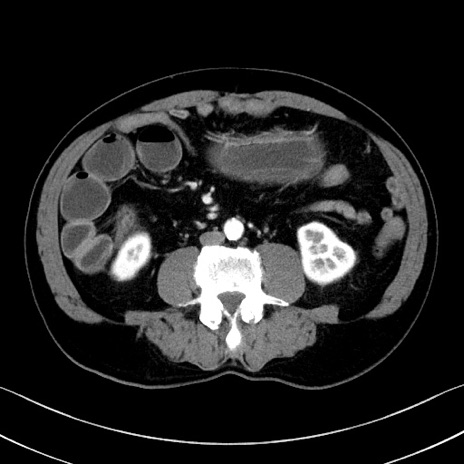
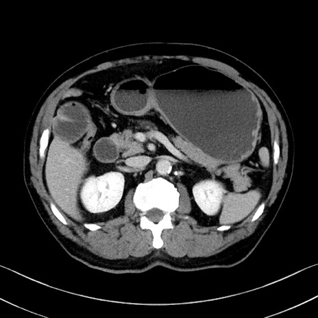
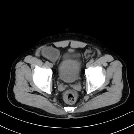
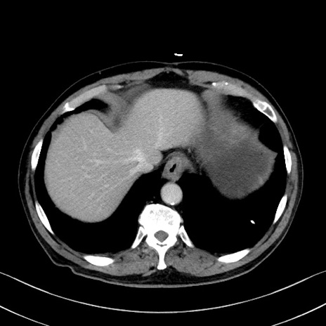
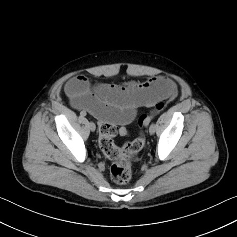
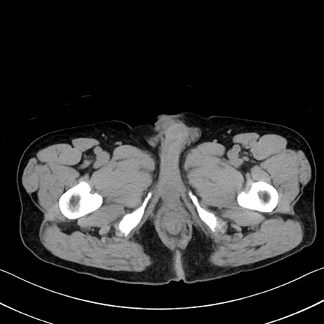
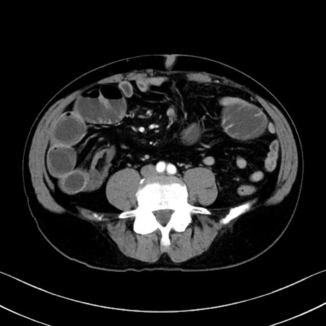
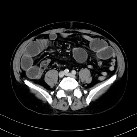
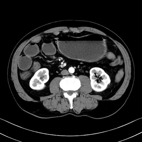
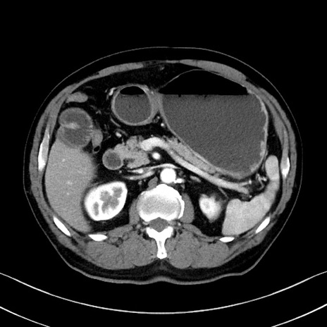
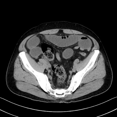
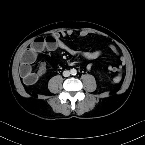
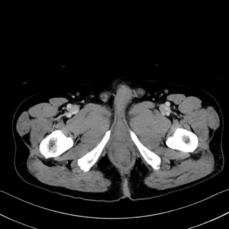
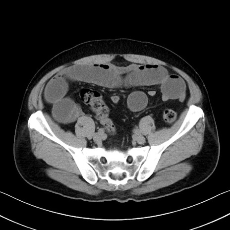
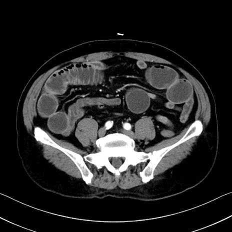
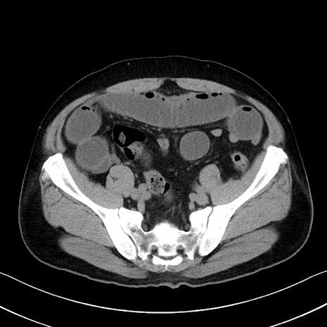
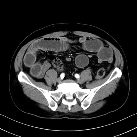
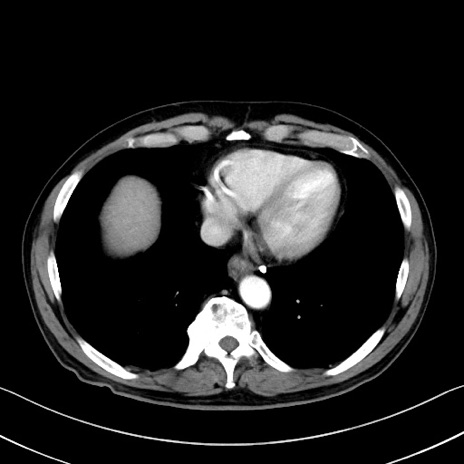
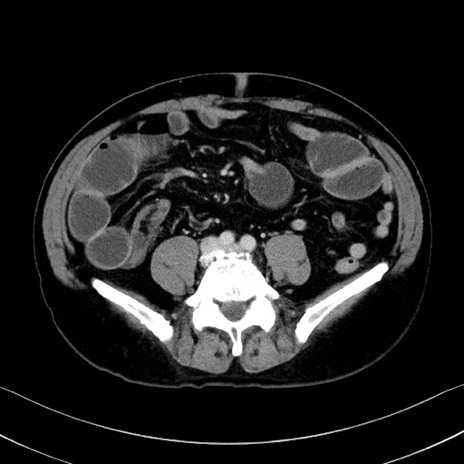
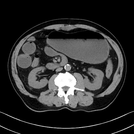
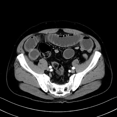
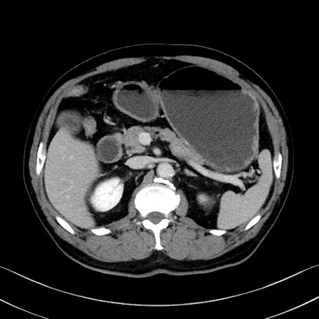
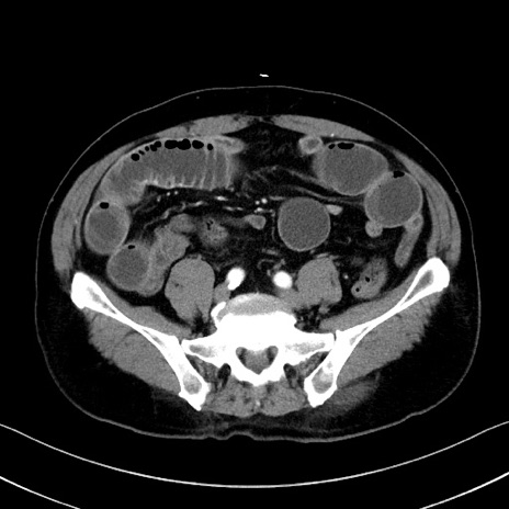
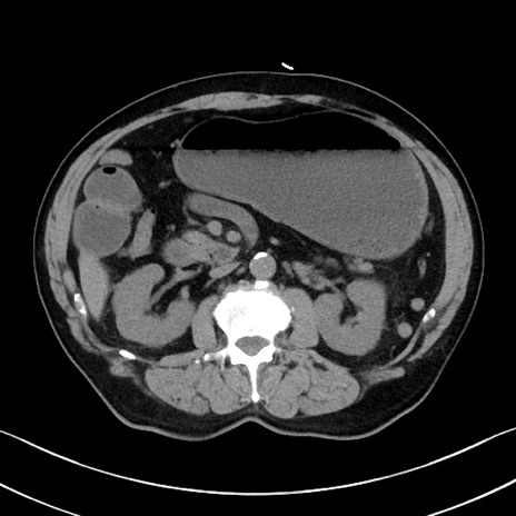
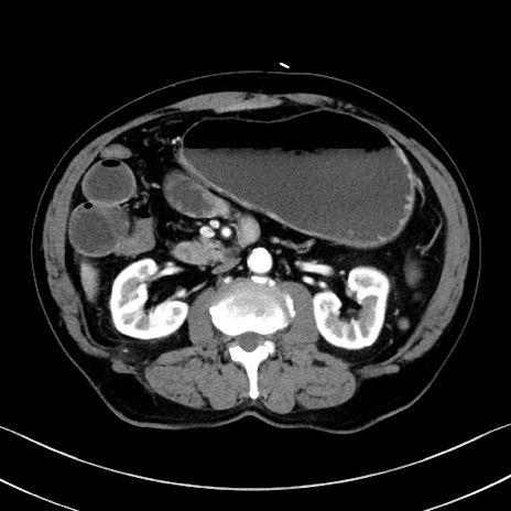
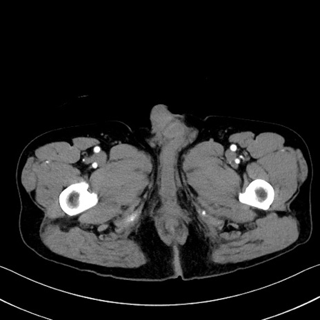
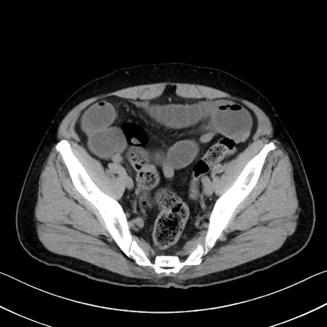
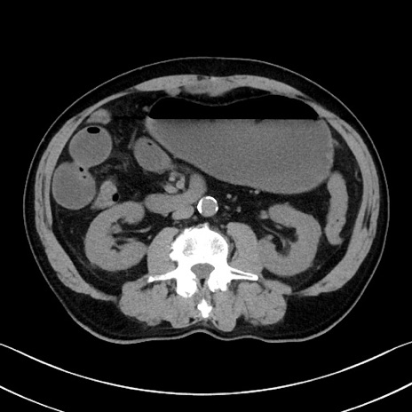
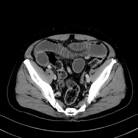
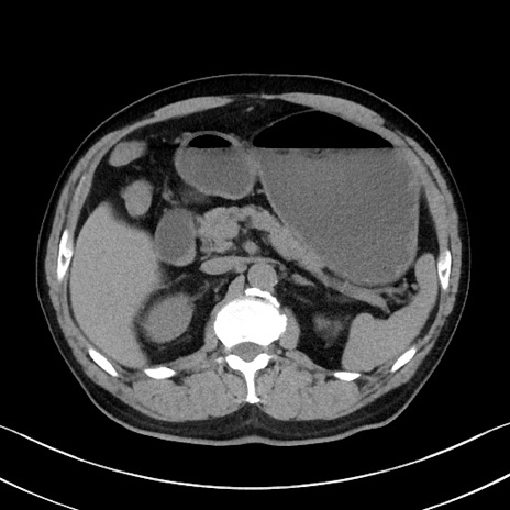
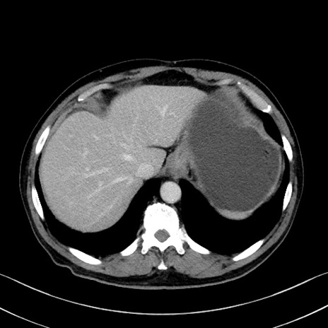
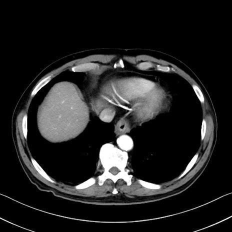
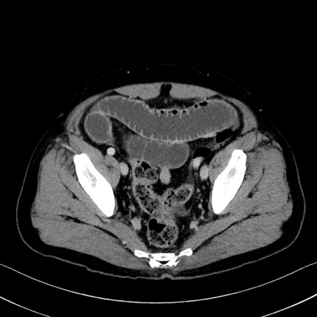
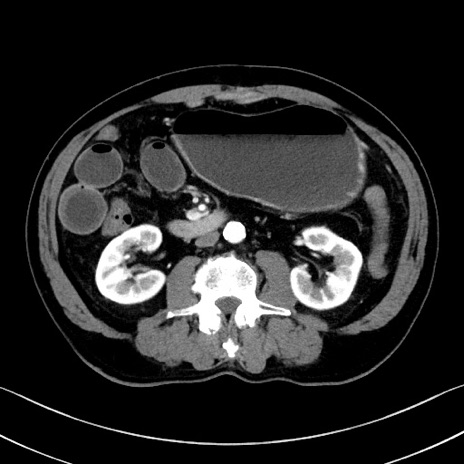
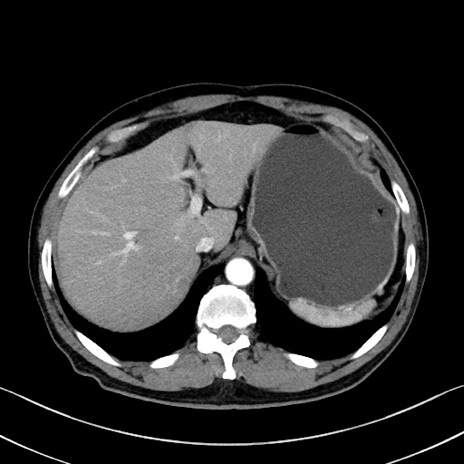
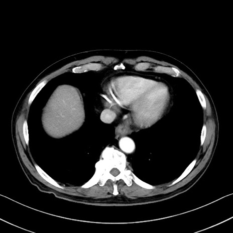
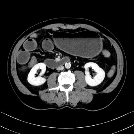
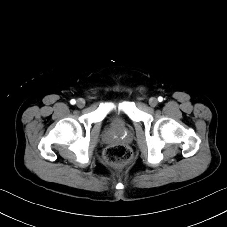
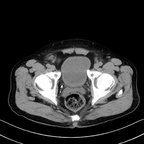
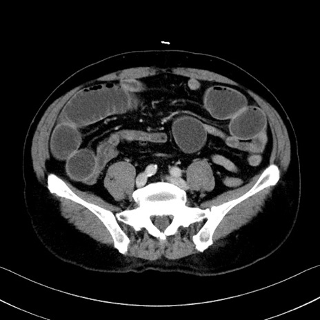
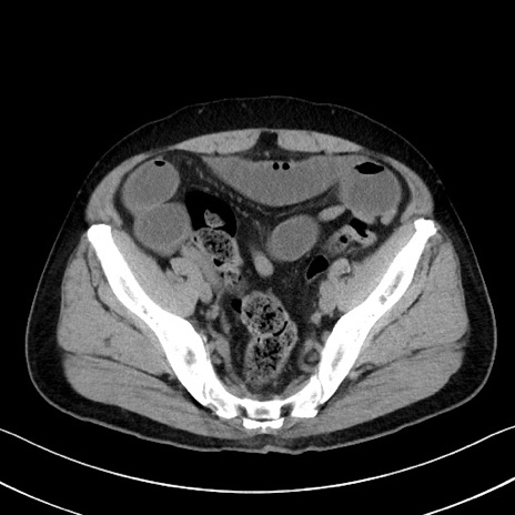
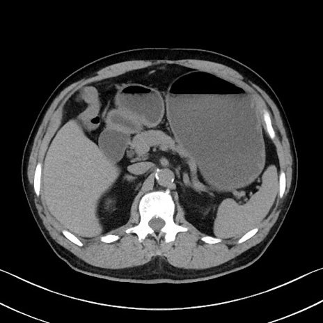
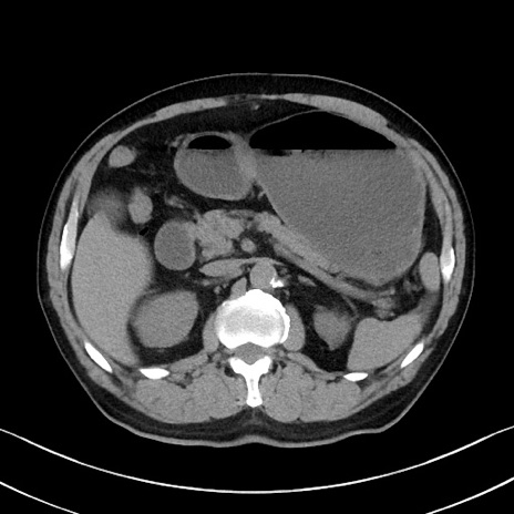
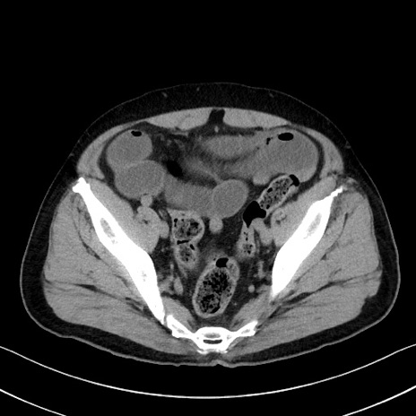
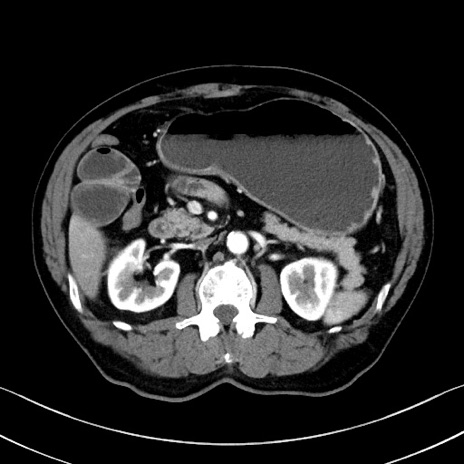
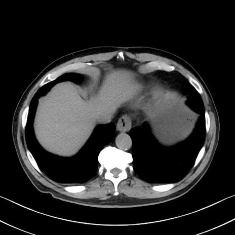
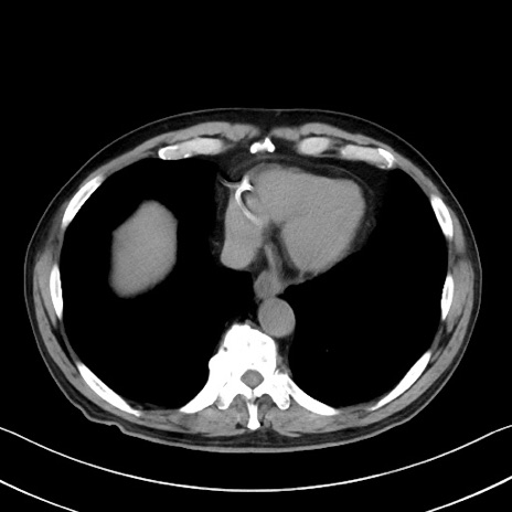
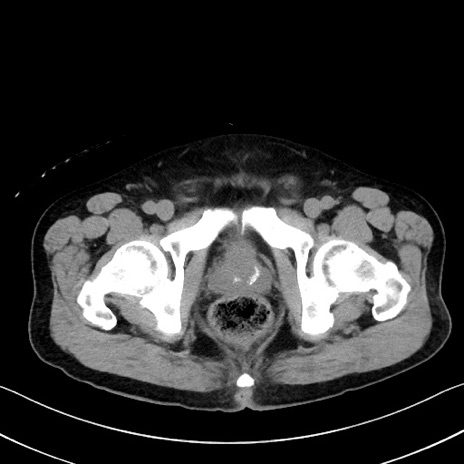
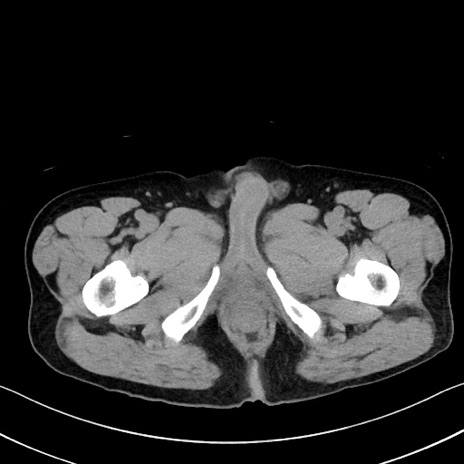
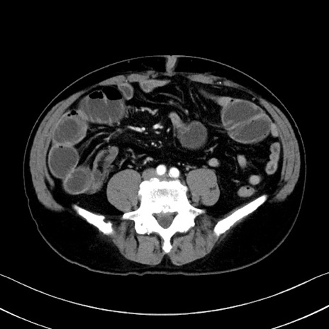
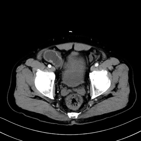
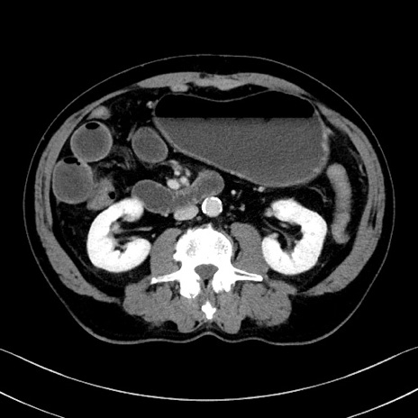
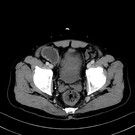
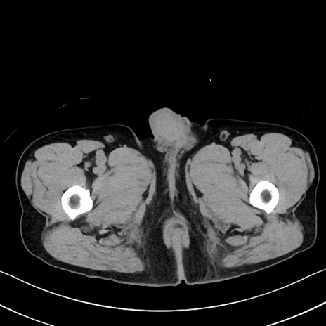
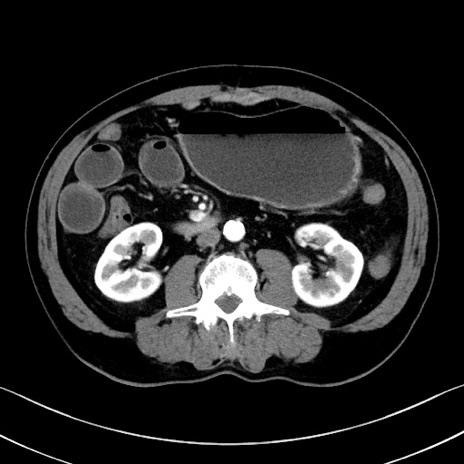
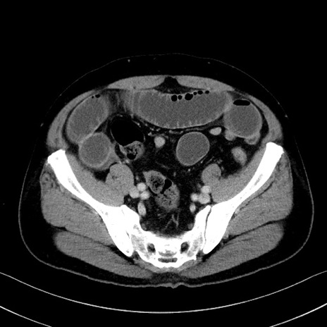
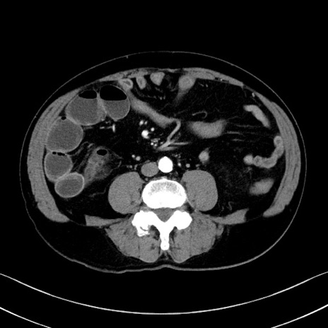
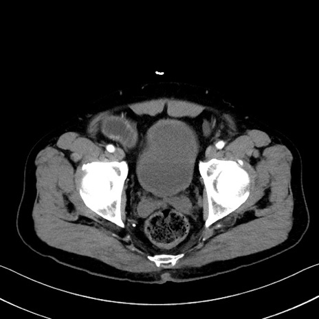
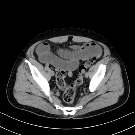
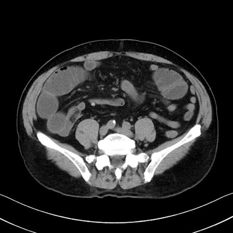
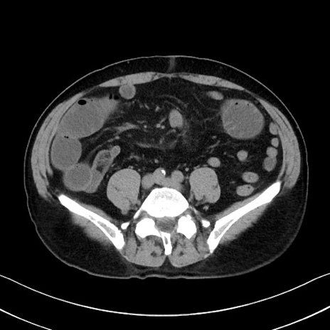
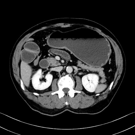
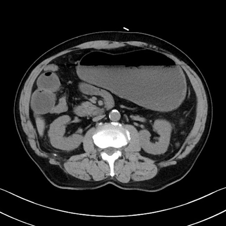
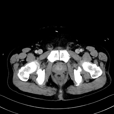
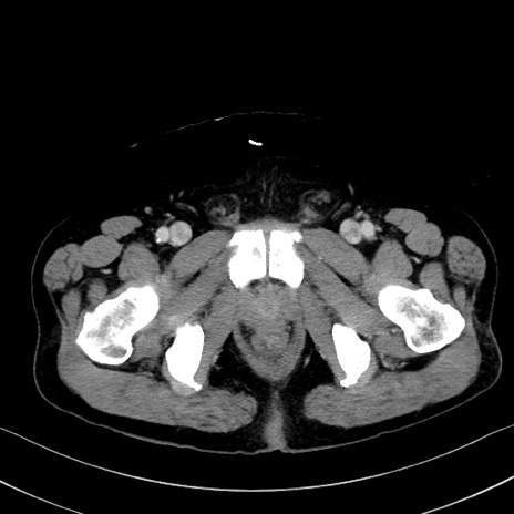
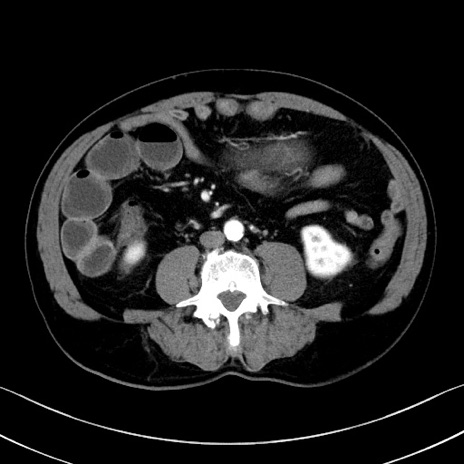
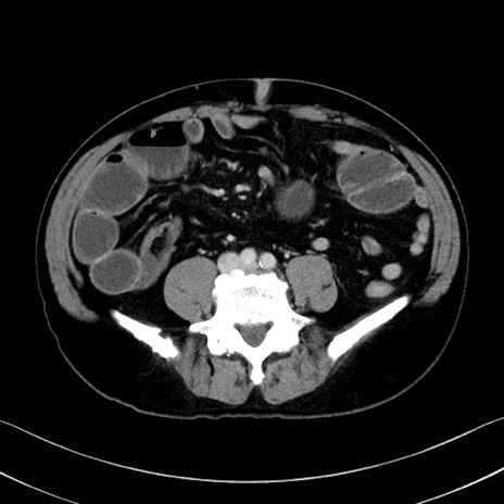
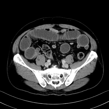
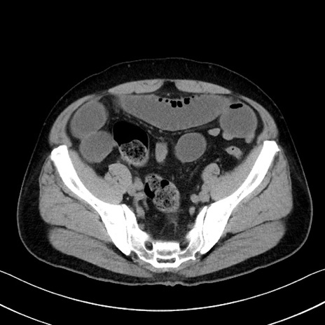
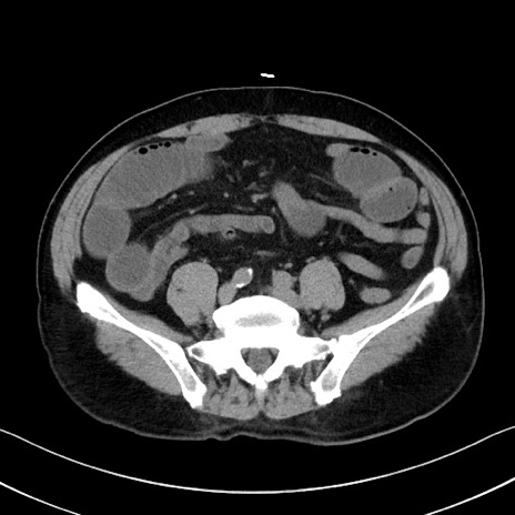
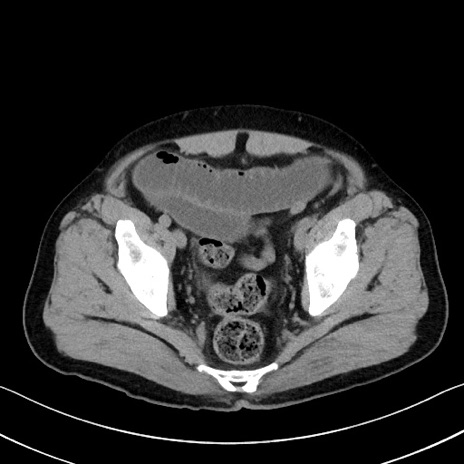
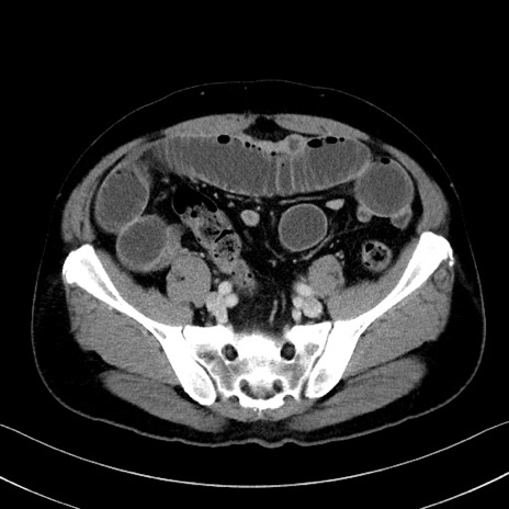
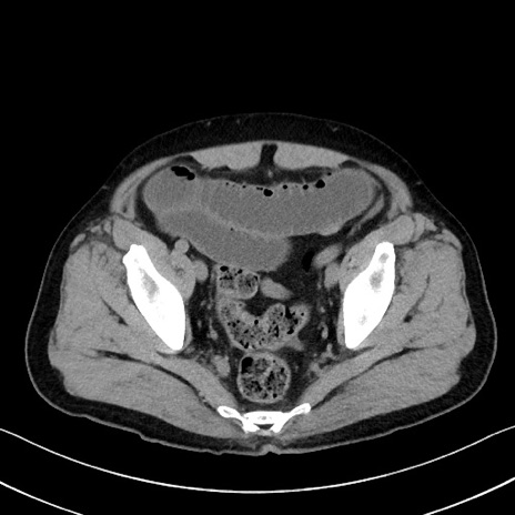
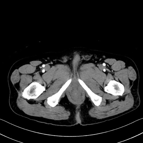
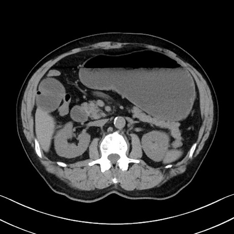
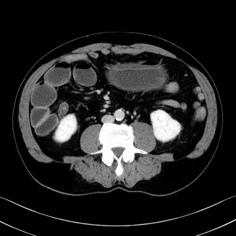
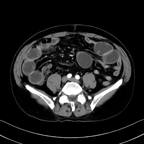
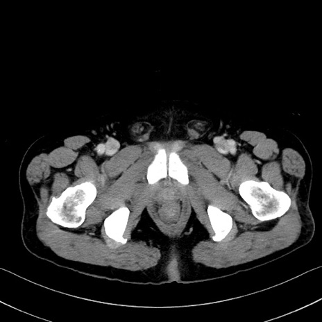
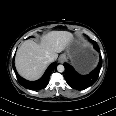
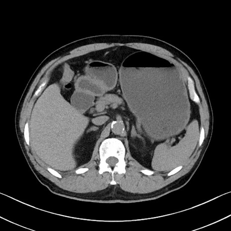
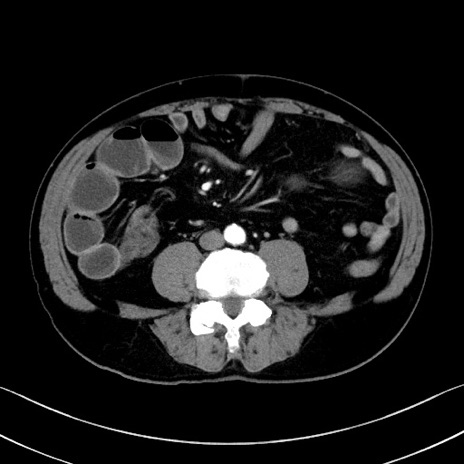
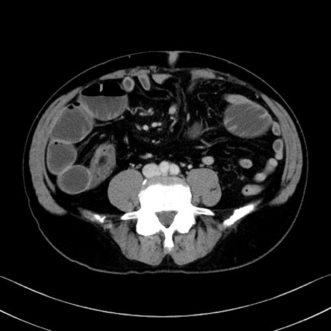
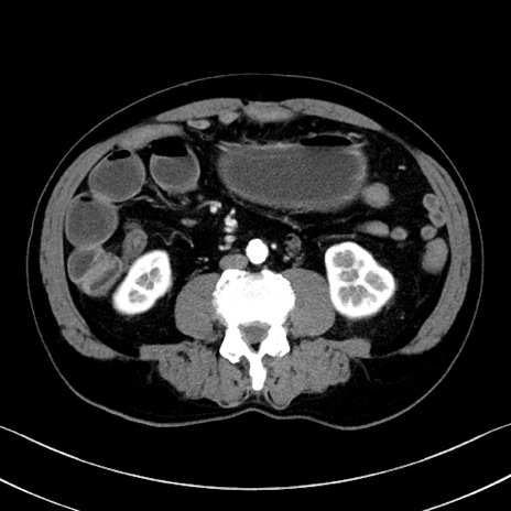
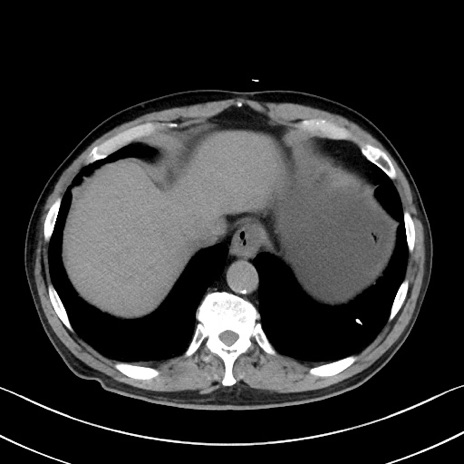
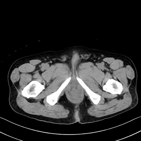
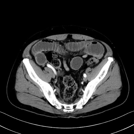
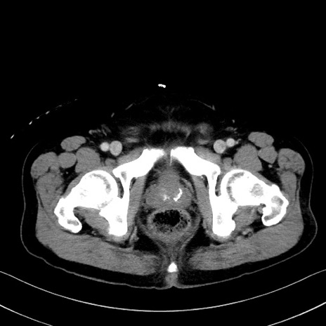
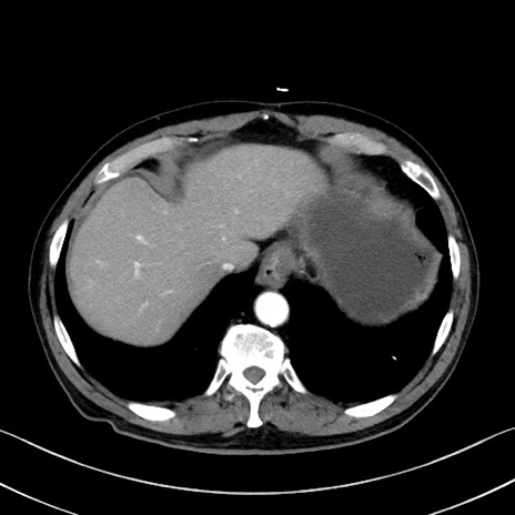
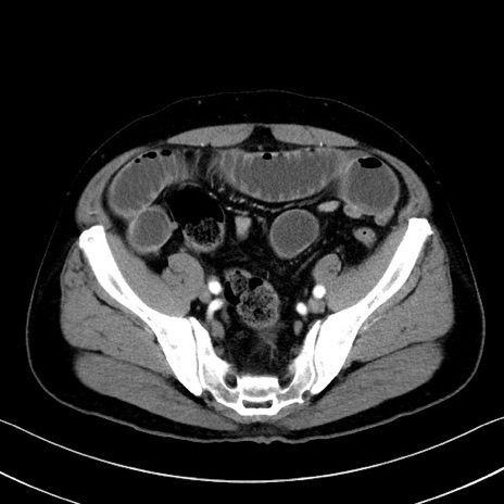
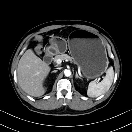
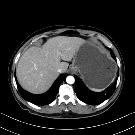
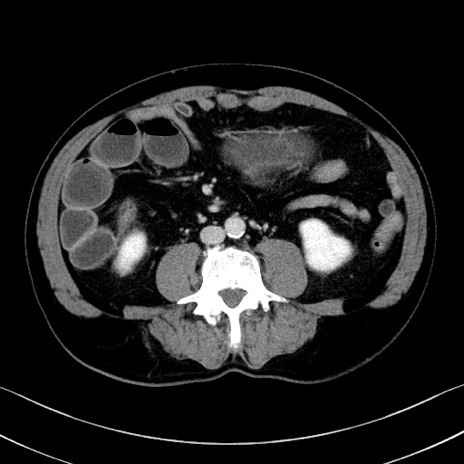
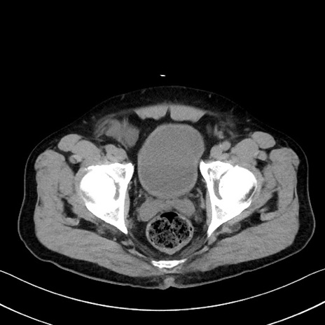
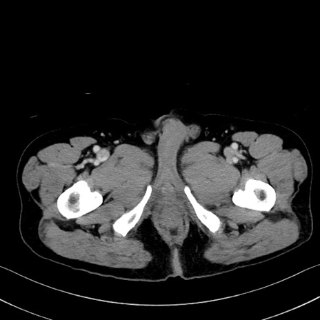
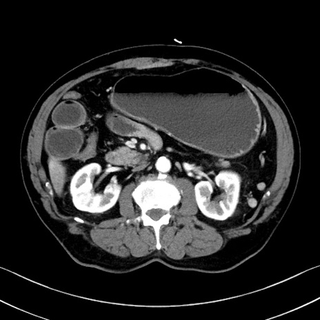
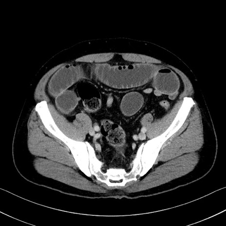
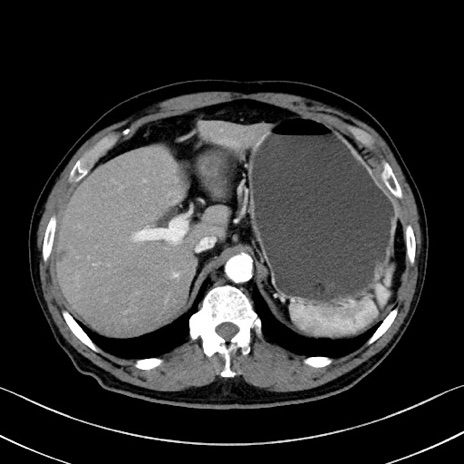
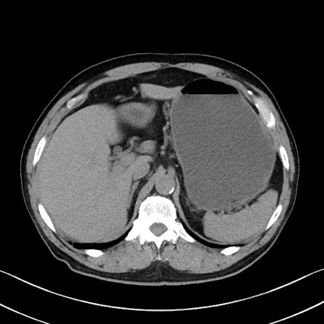
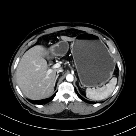
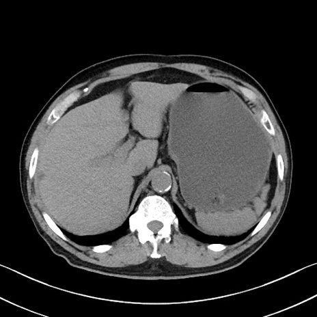
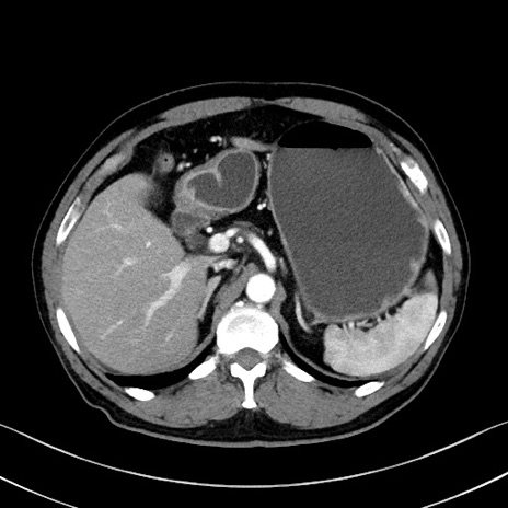
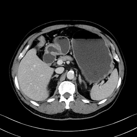
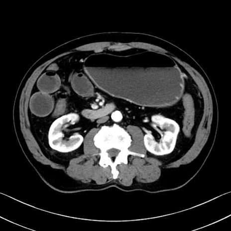
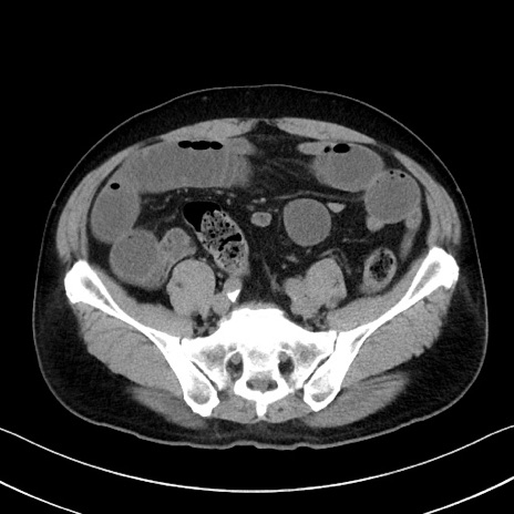
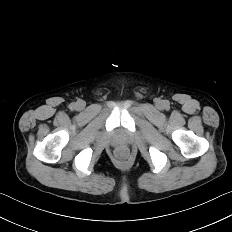
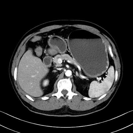
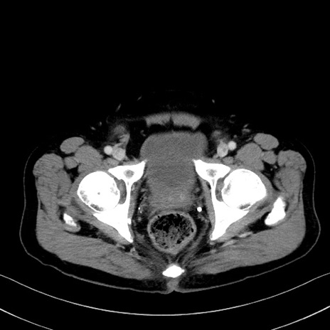
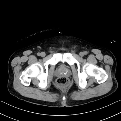
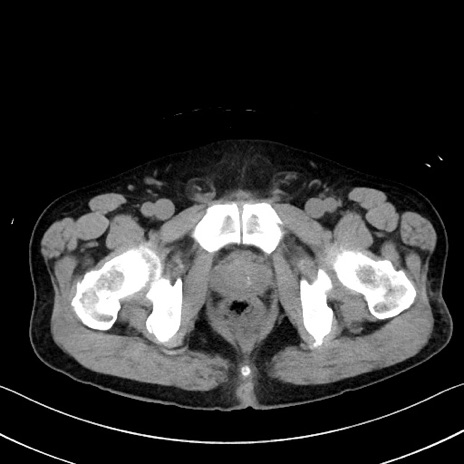
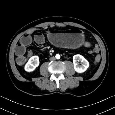
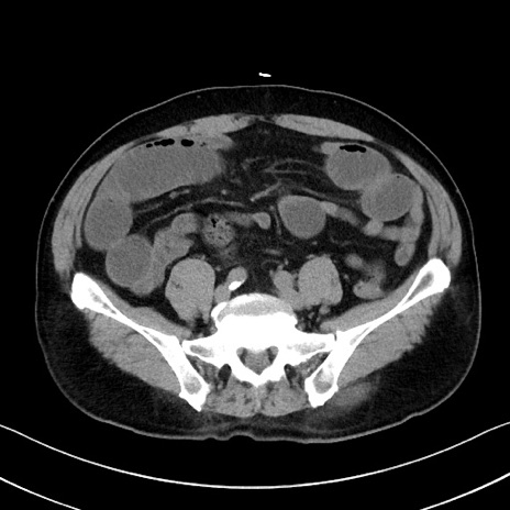
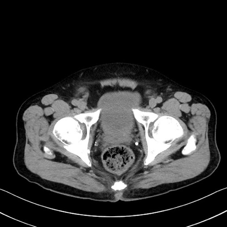
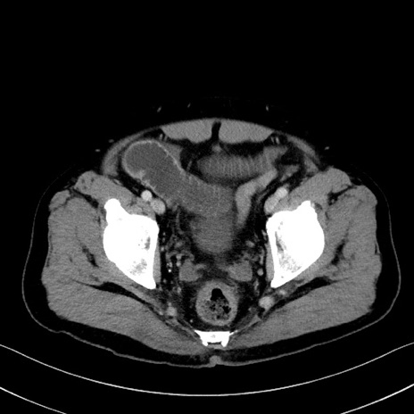
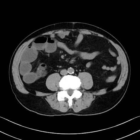
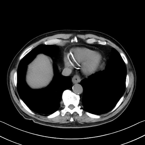
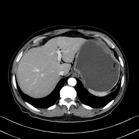
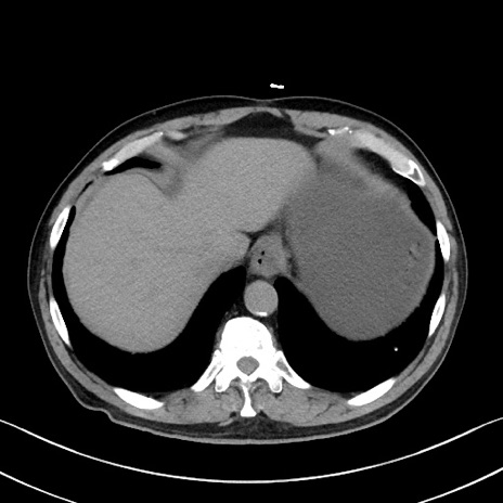
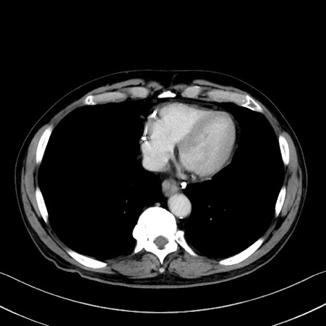
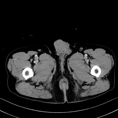
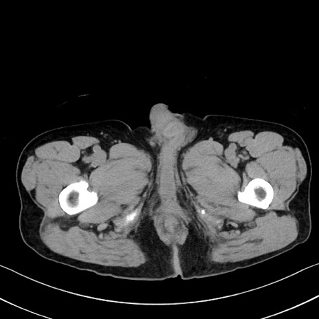
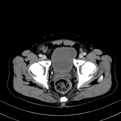
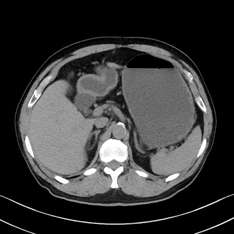
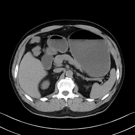
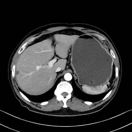
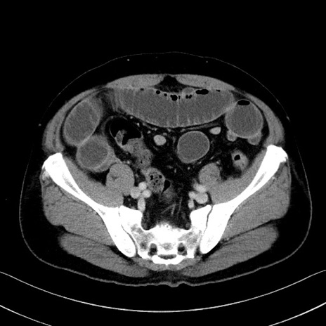
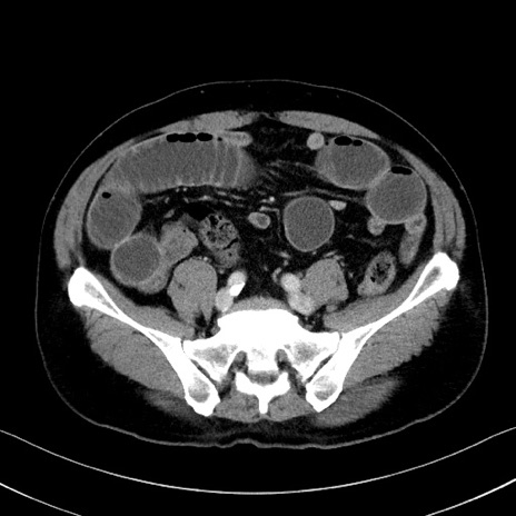
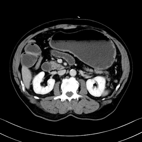
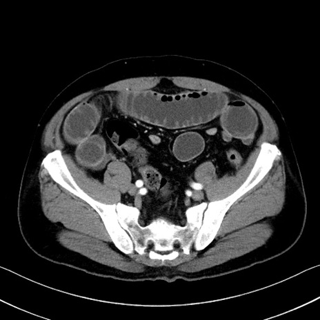
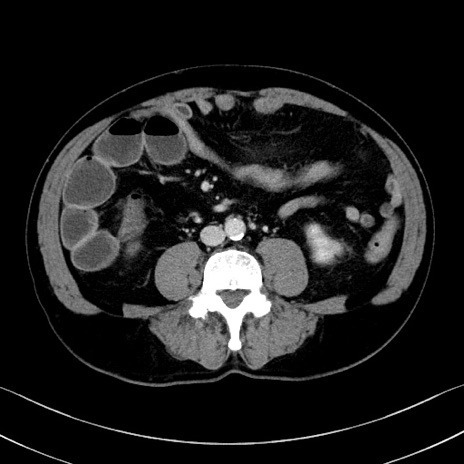
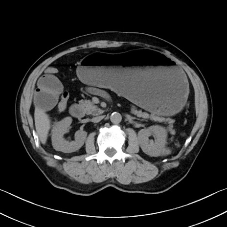
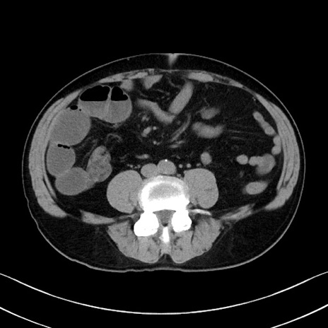
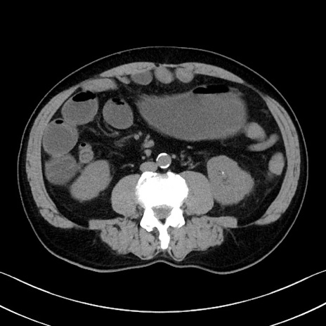
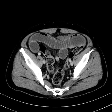
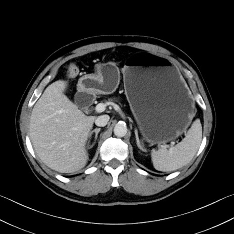
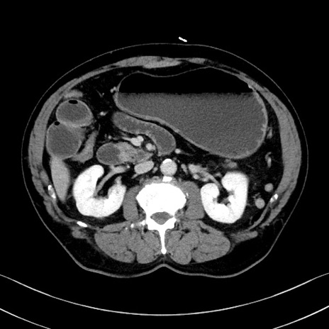
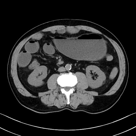
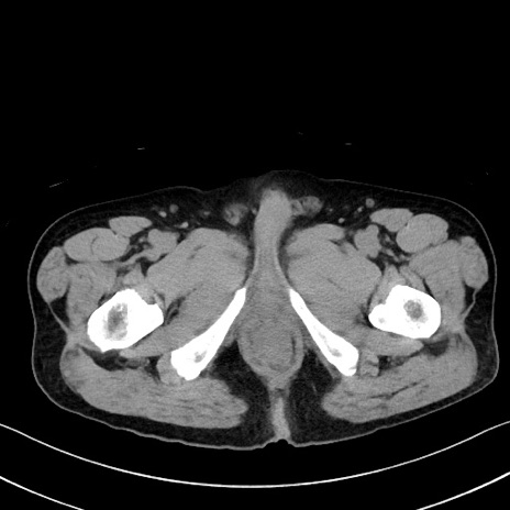
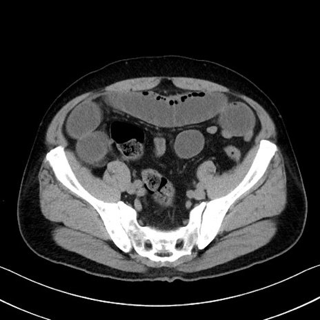
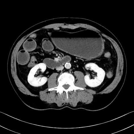
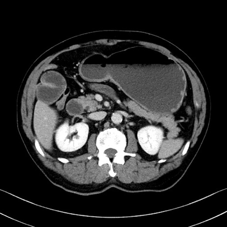
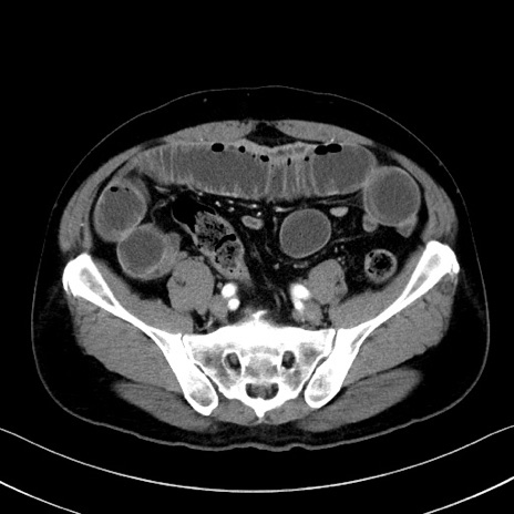
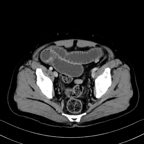
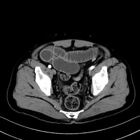
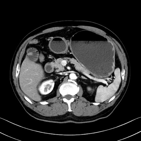
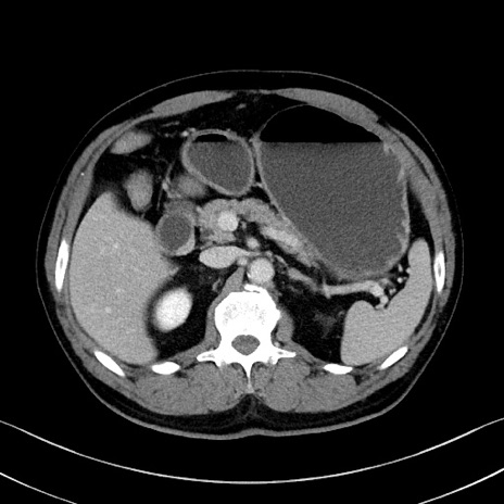
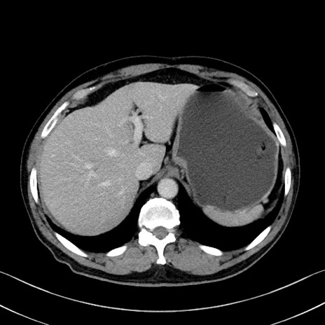
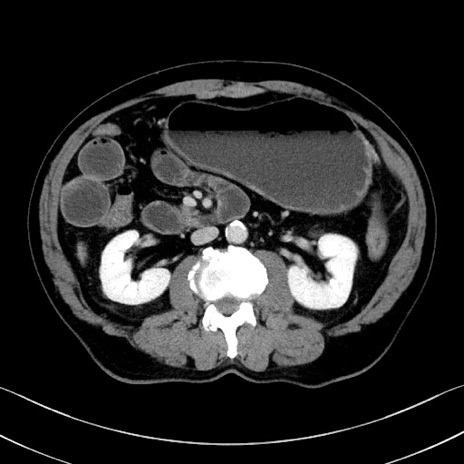
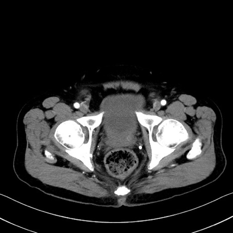
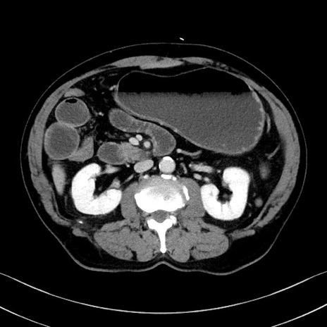
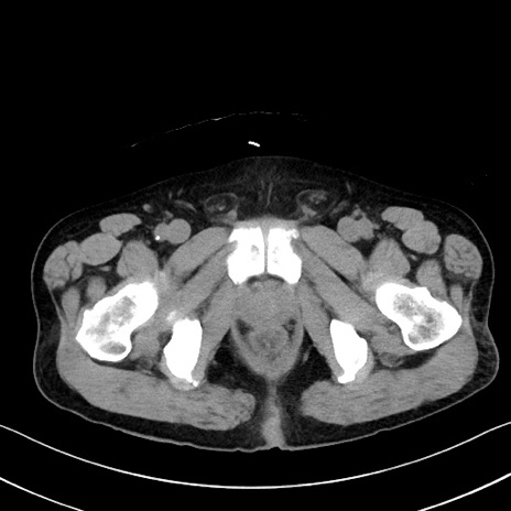
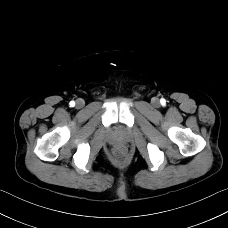
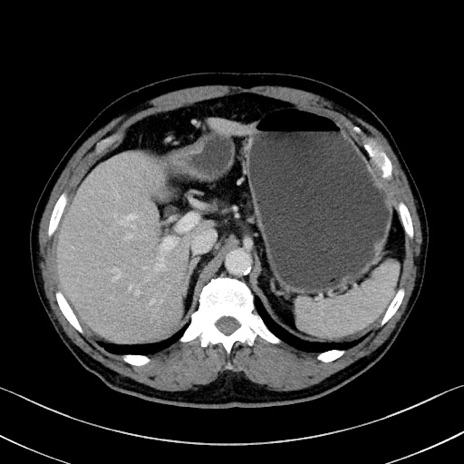
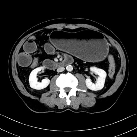
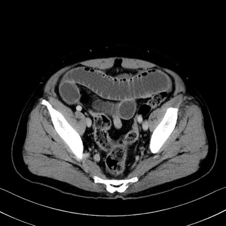
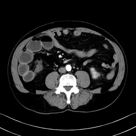
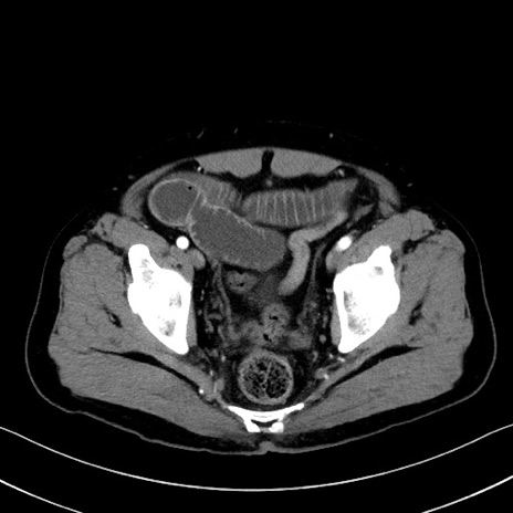
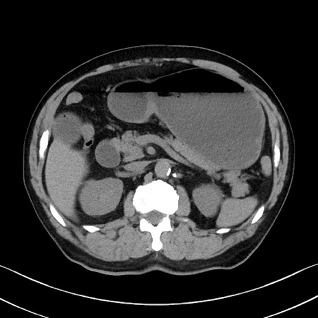
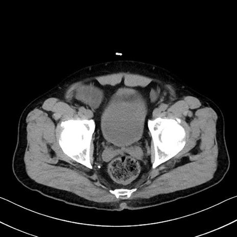
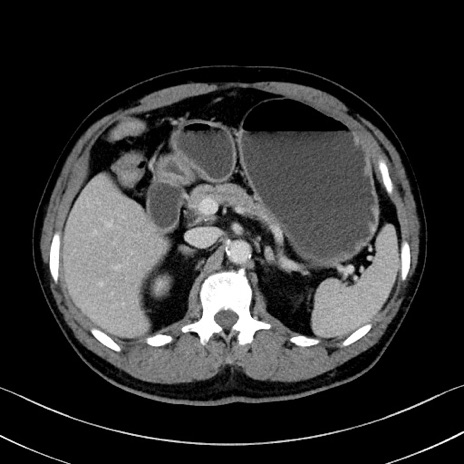
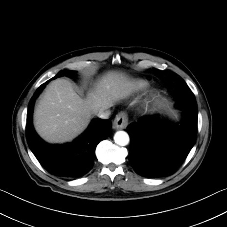
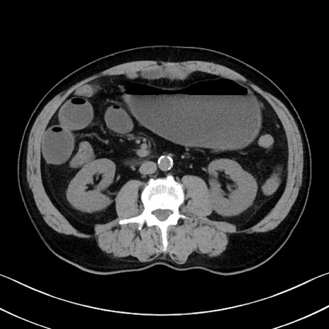
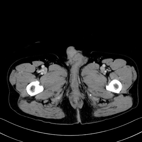
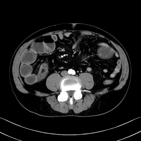
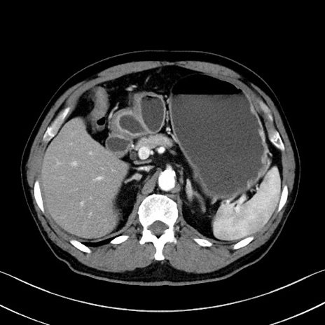
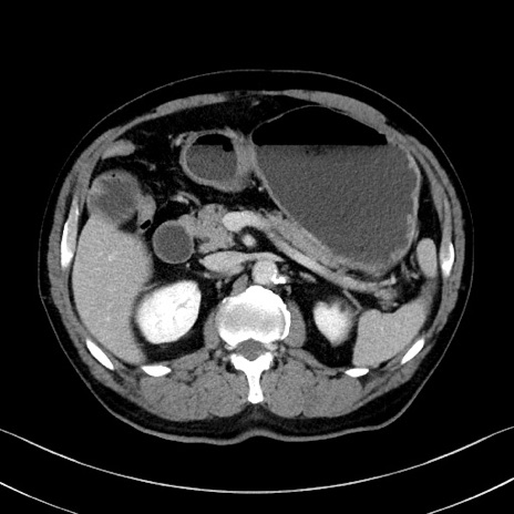
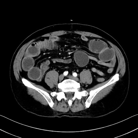
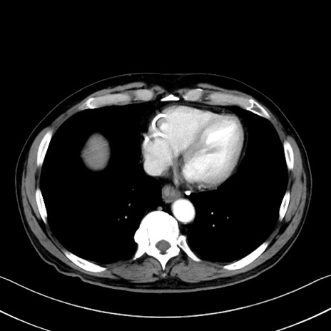
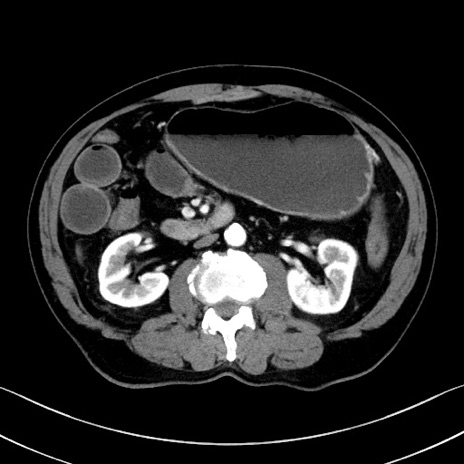
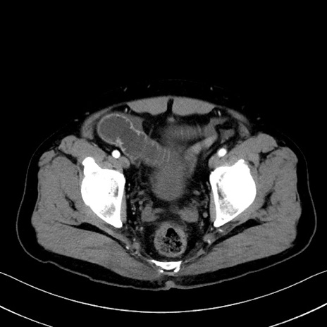
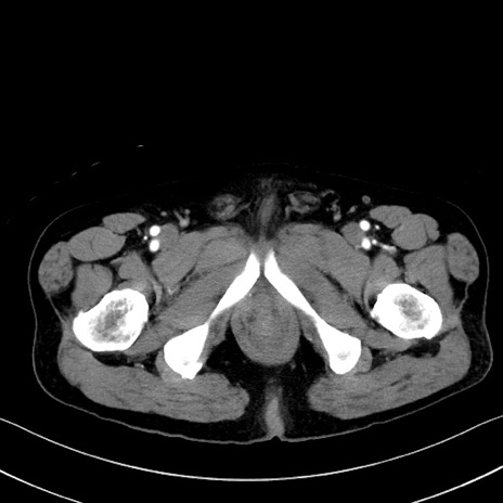
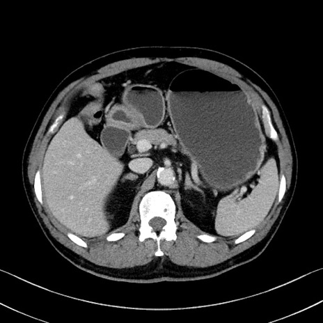
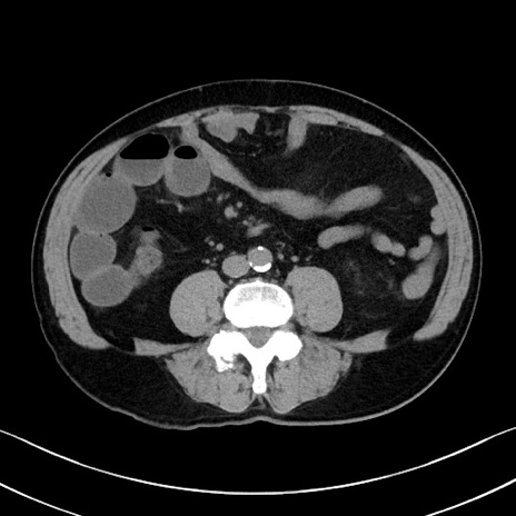
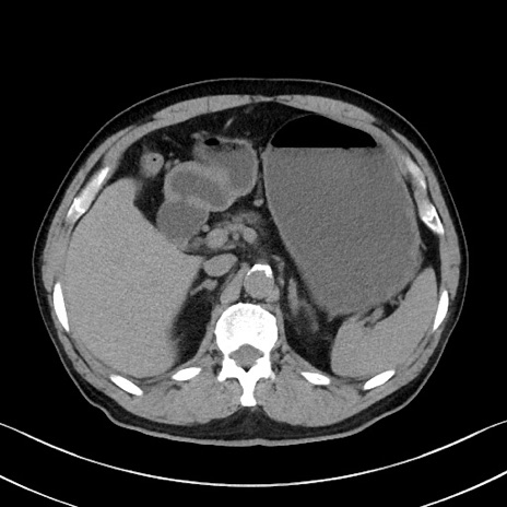
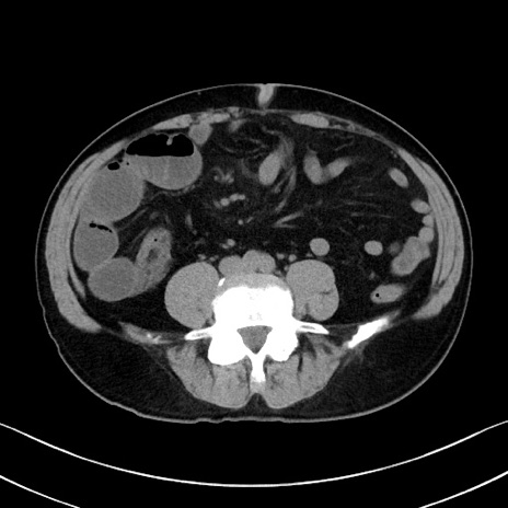
症例35(横断像)

 

症例

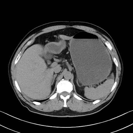
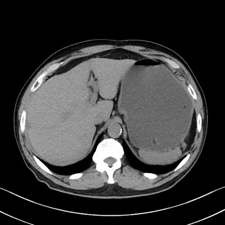
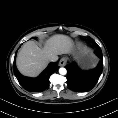
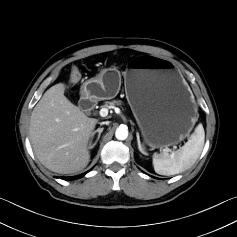
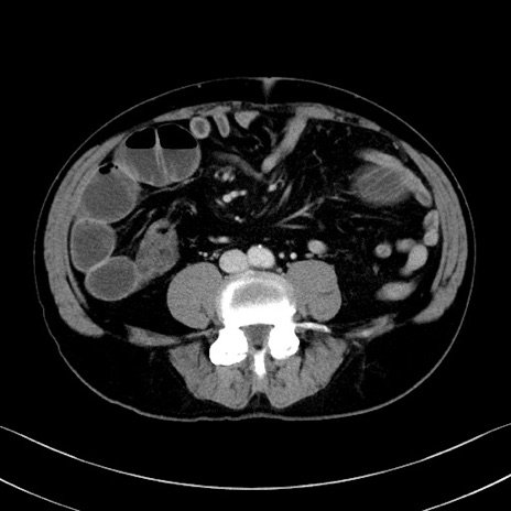
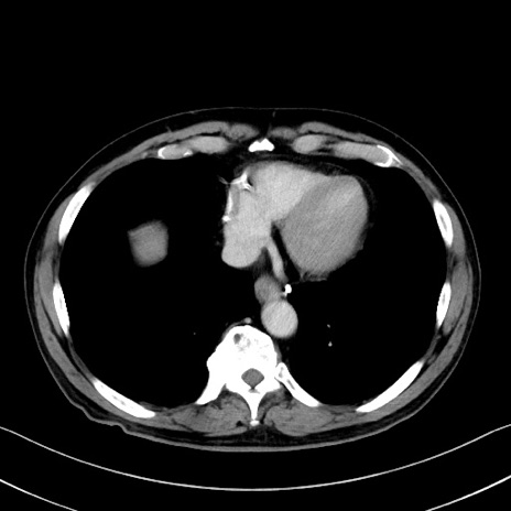
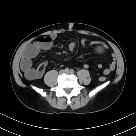
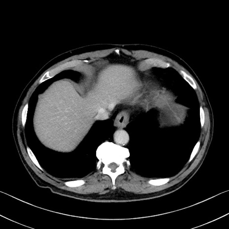
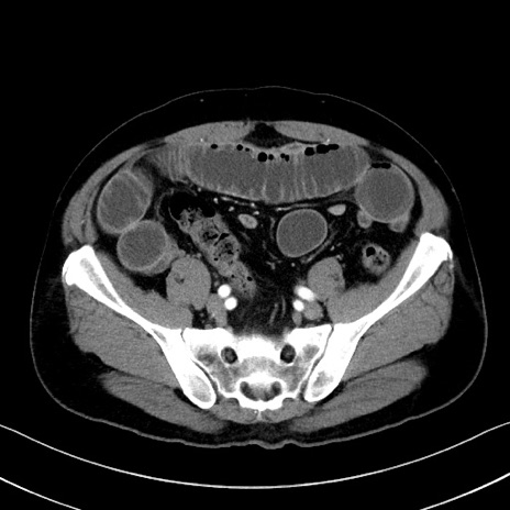
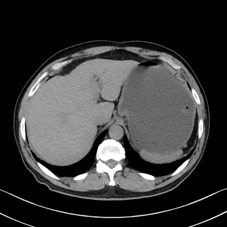
【症例】70歳代 男性
【主訴】腹部膨満、嘔吐

【現病歴】昨日より腹部膨満感出現。本日増悪し、仙痛出現。嘔吐あり、受診。
【既往歴】糖尿病、胆摘後
【身体所見】BP 149/80mmHg、HR 74/min、BT 35.9℃、腹部:膨満、軟、圧痛なし。腸雑音減弱あり。上腹部正中切開瘢痕あり。
【データ】WBC 13500、CRP 1.72

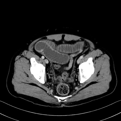
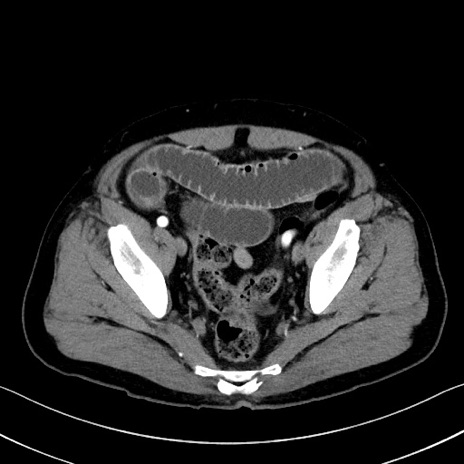
冠状断像