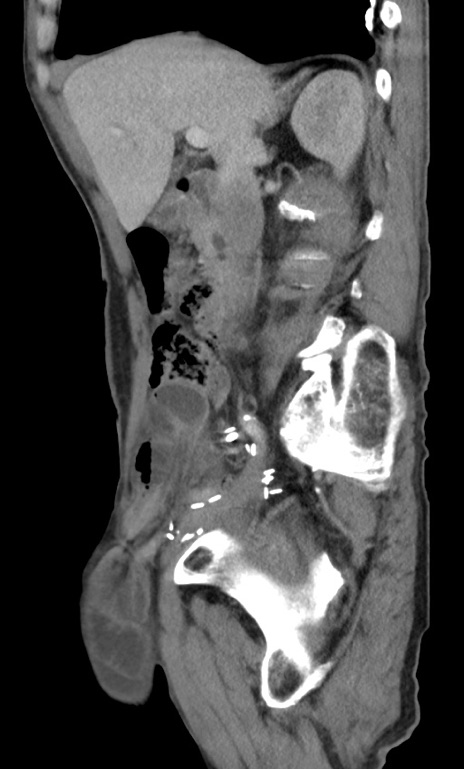
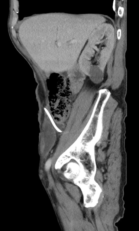
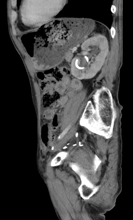
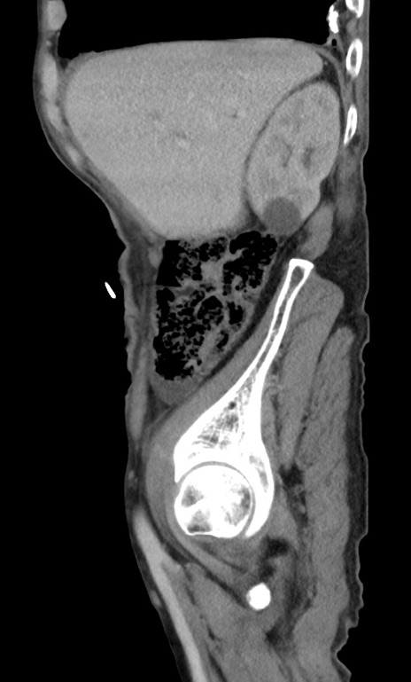
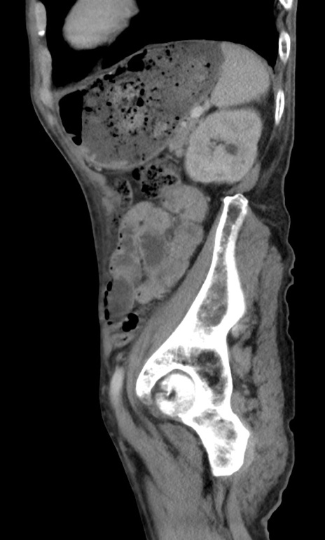
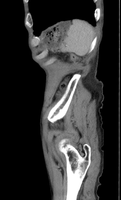
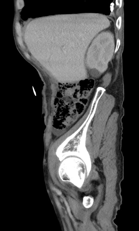
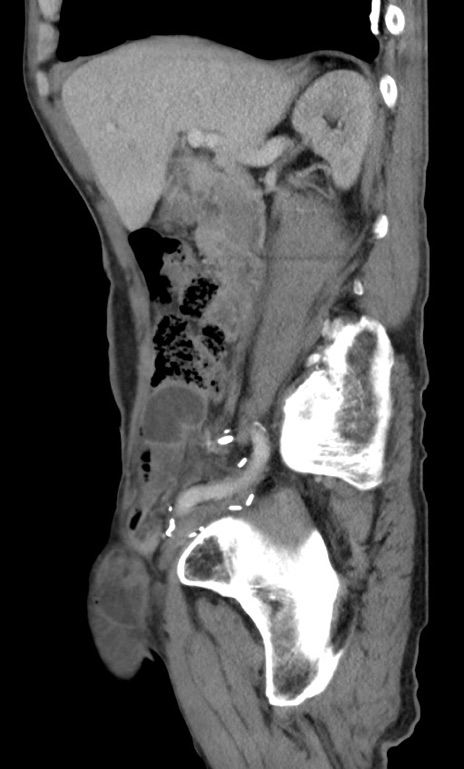
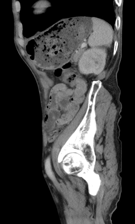
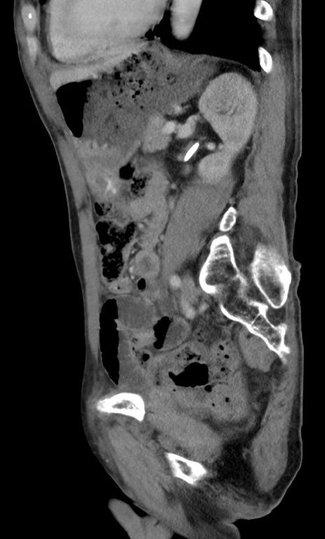
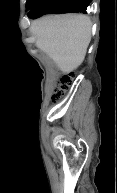
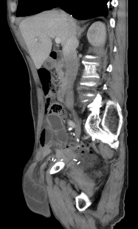
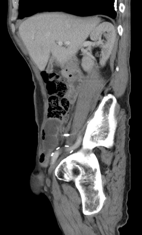
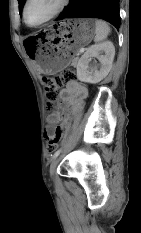
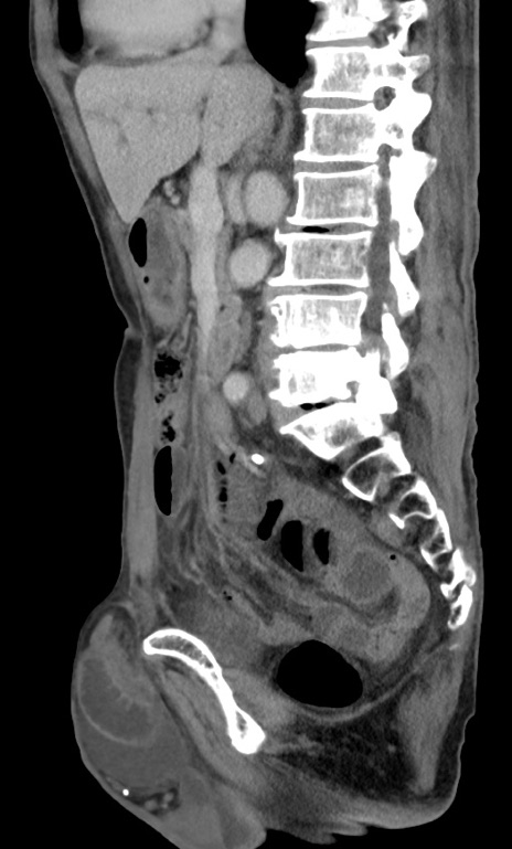
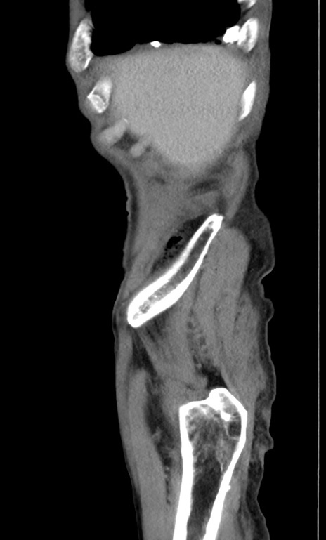
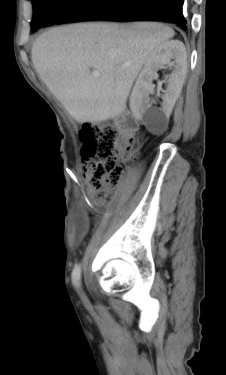
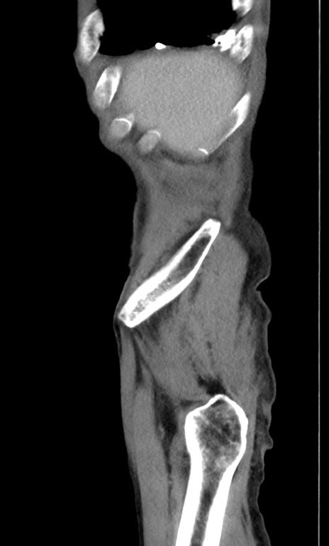
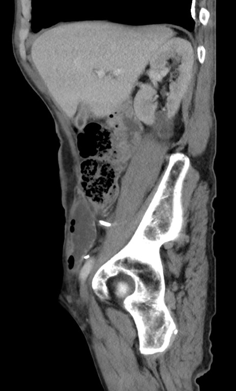
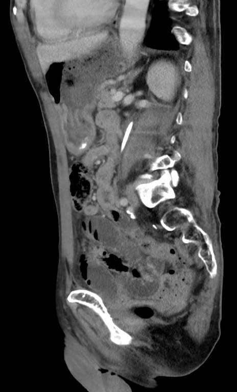
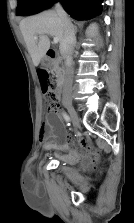
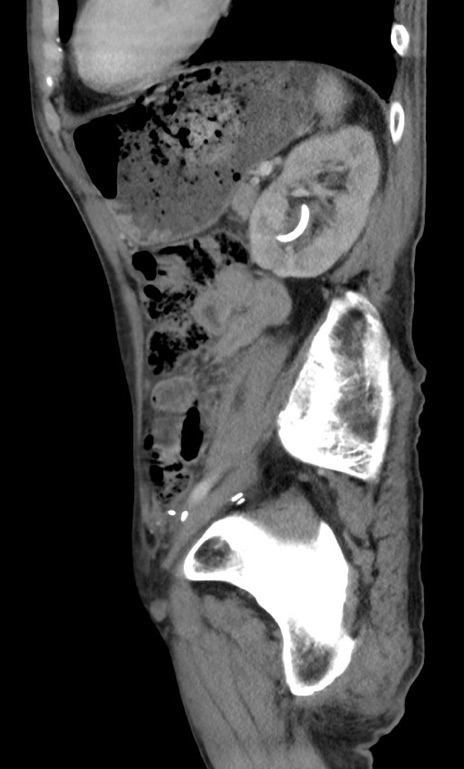
症例3(矢状断像)

 

症例

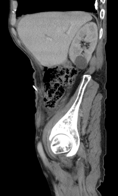
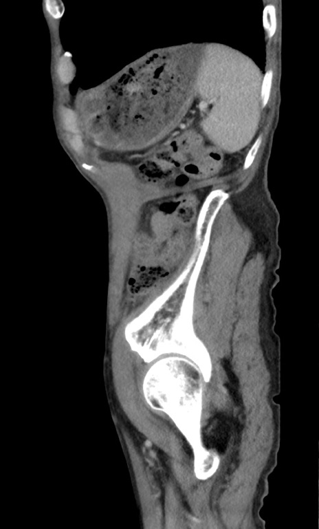
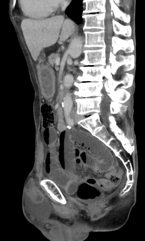
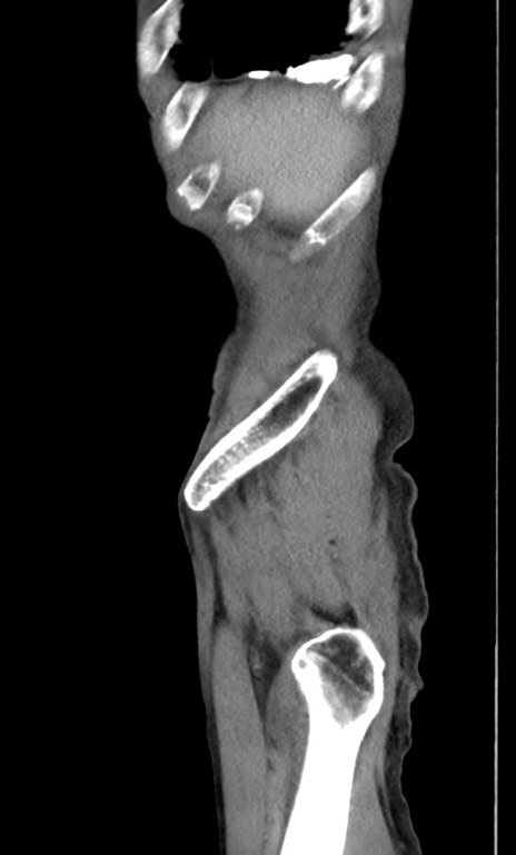
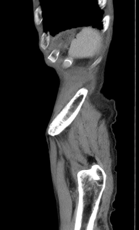
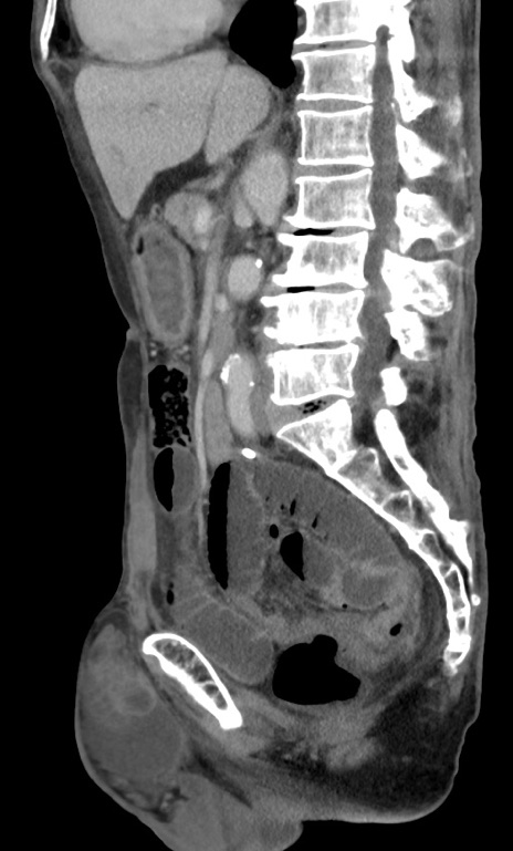
【症例】 70歳代男性
【主訴】右鼠径部腫瘤、疼痛
【現病歴】本日朝より上記主訴あり、受診。
【既往歴】膀胱癌にて膀胱全摘、両側尿管皮膚瘻
【データ】WBC 5600、CRP 0.56

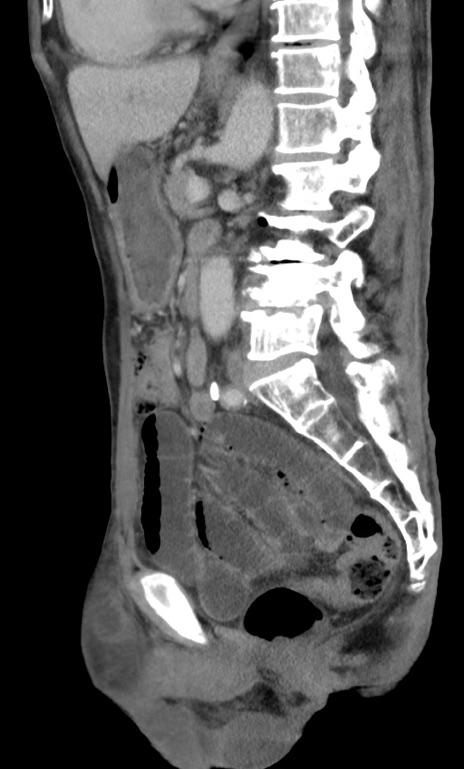
横断像
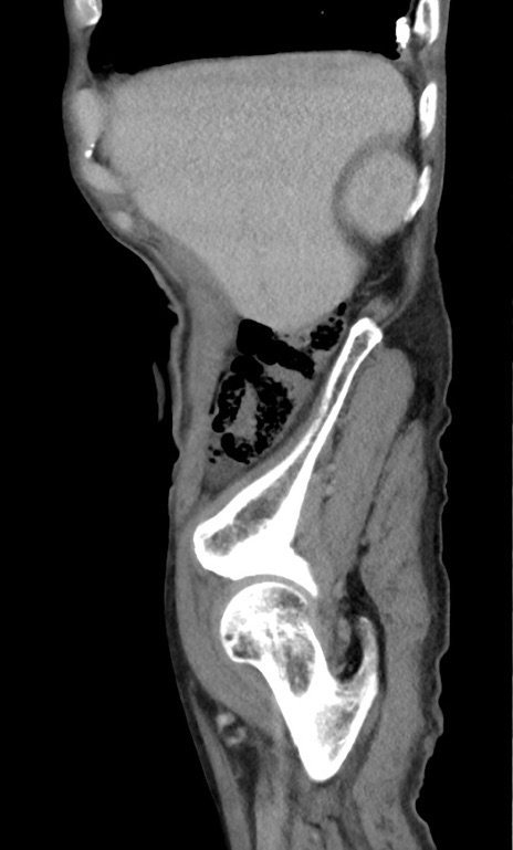
冠状断像