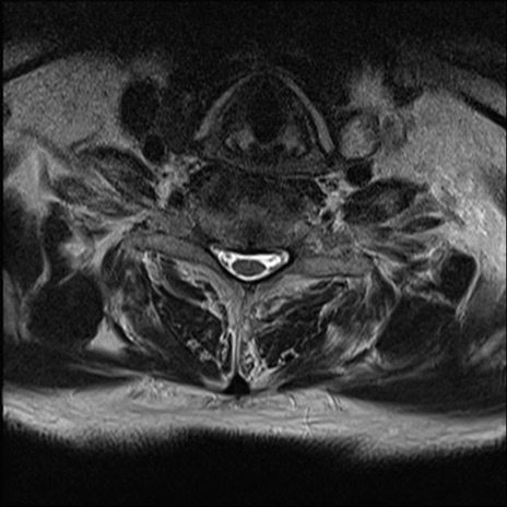
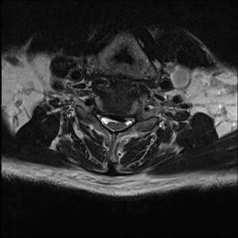
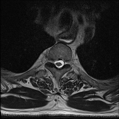
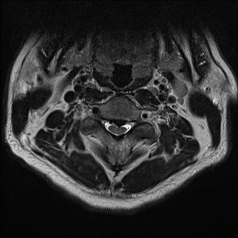
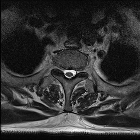
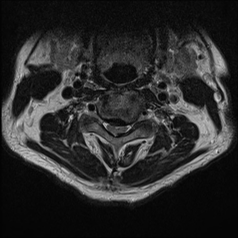
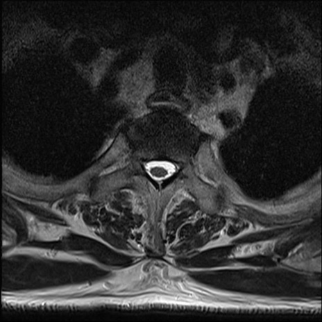
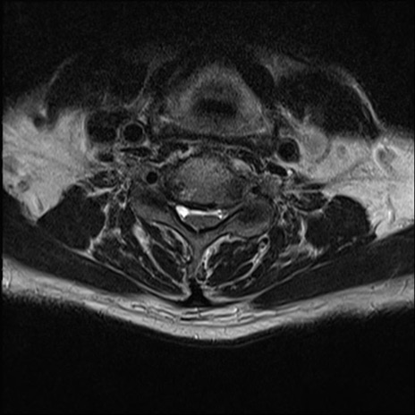
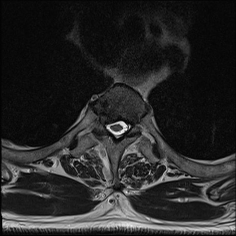
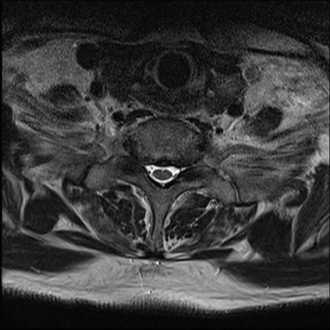
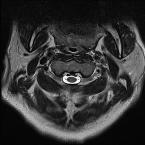
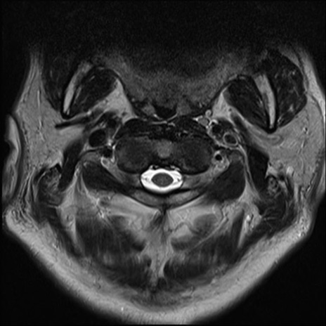
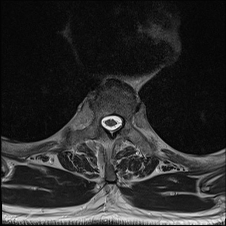
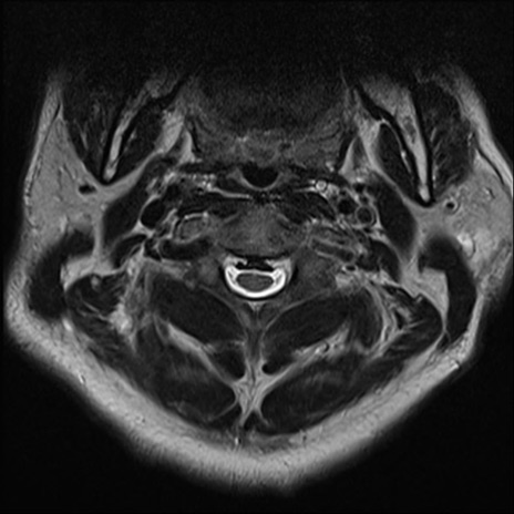
【整形】TIPS症例7 頚椎MRI T2WI(横断像)

 

症例

【症例】60歳代男性
【主訴】両手のしびれ
【現病歴】15年前より右手のしびれあり。4ヶ月前から左手のしびれあり。最近、症状増悪あり。
【身体所見】BTR+/+、BRR+/+、TTR+/+、PTR ++/++、ATR ++/++、Babinski-/

異常所見と診断は?

頚椎レントゲン
正面像
側面像
側面像(屈曲)
側面像(伸展)

頚椎CT
横断像
冠状断像
矢状断像

頚椎MRI
T1WI(矢状断像)
T2WI(矢状断像)
矢状断像と横断像