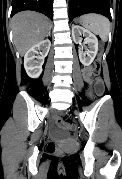
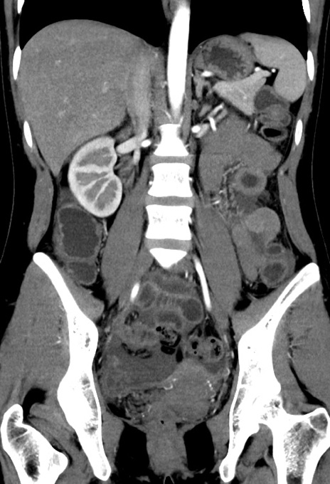
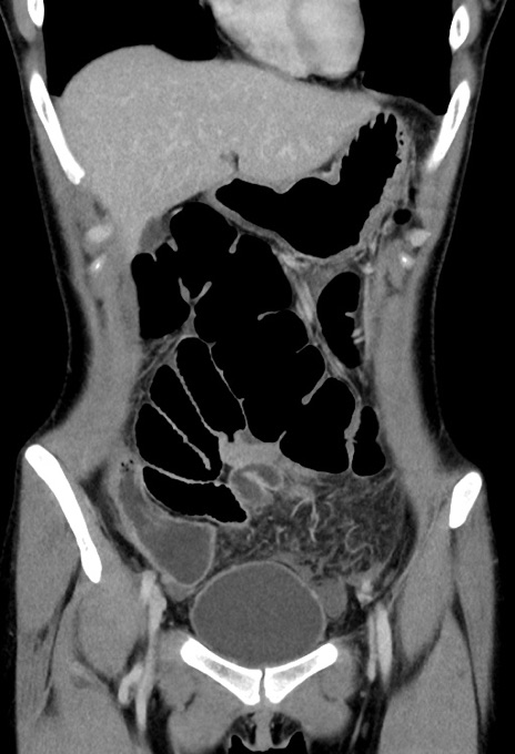
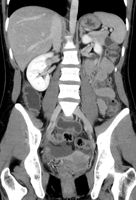
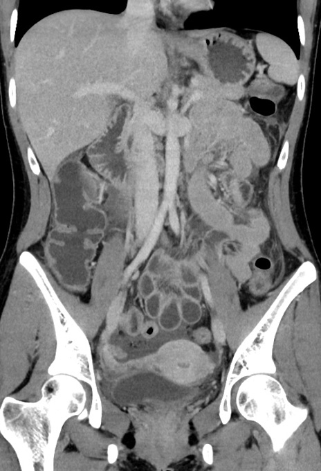
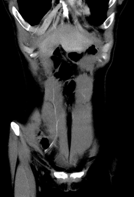
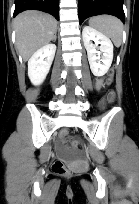
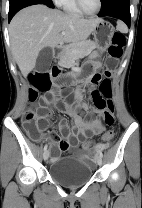
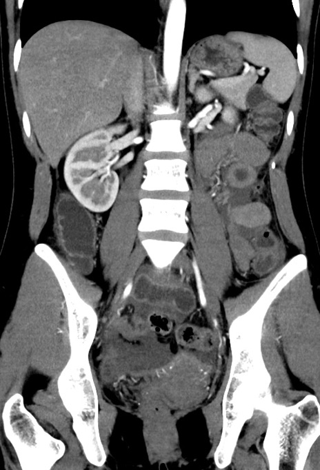
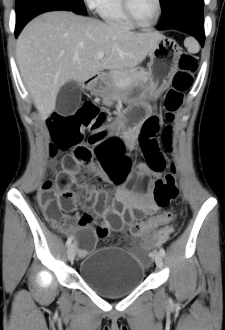
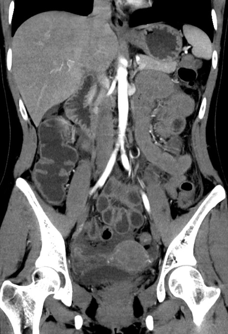
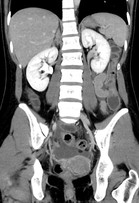
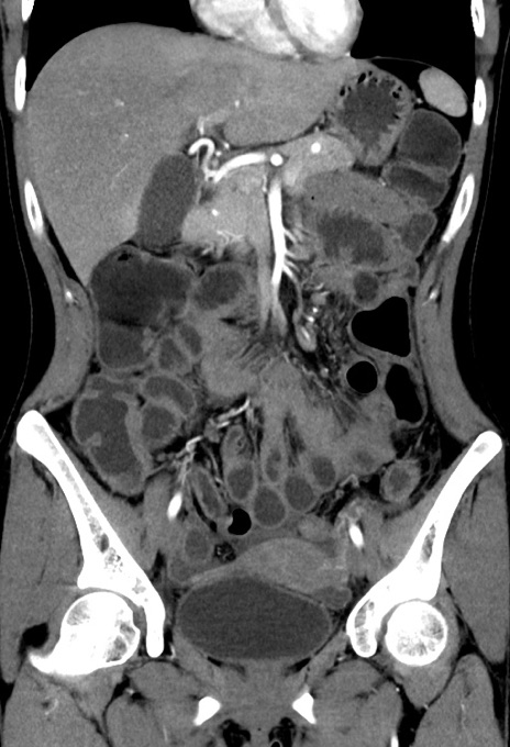
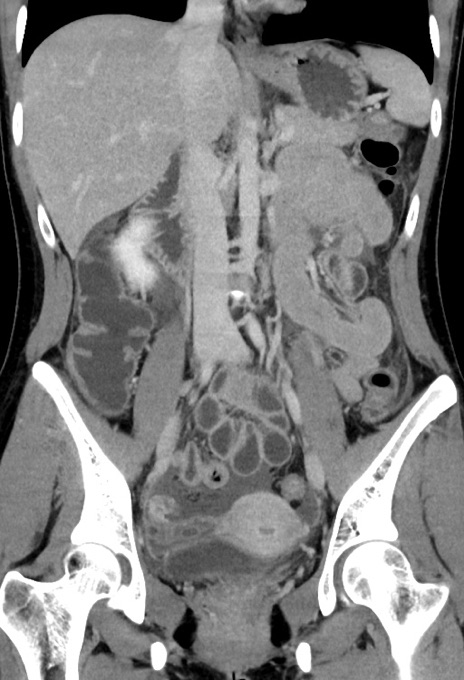
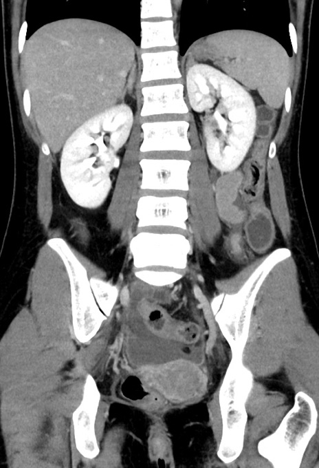
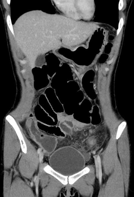
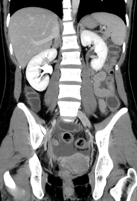
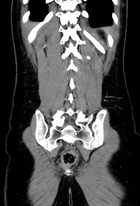
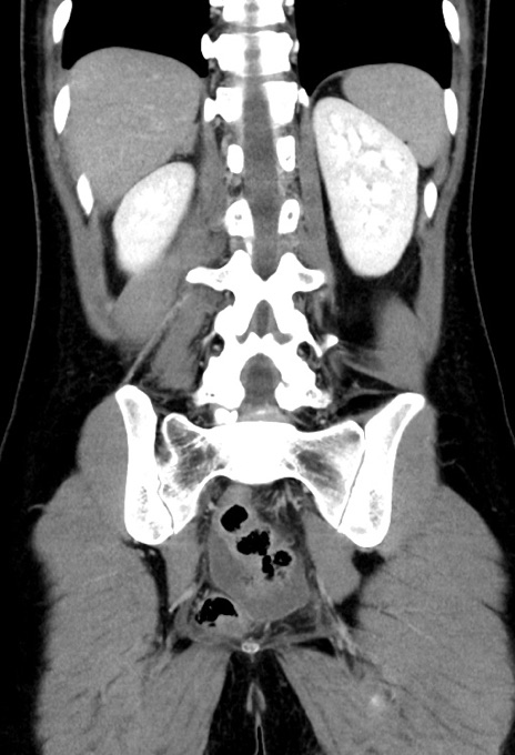
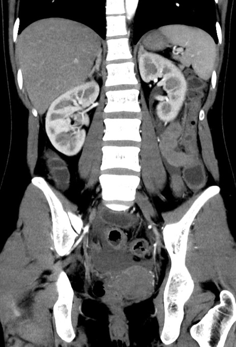
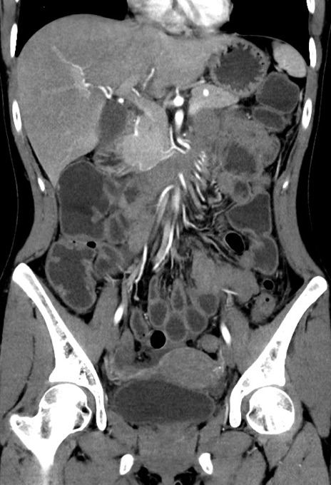
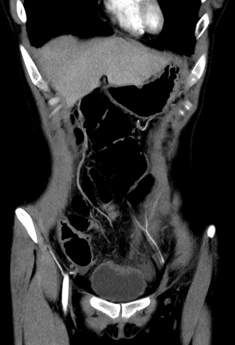
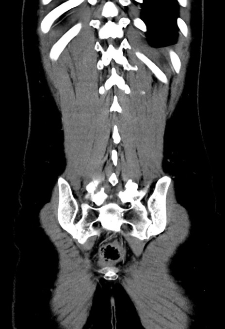
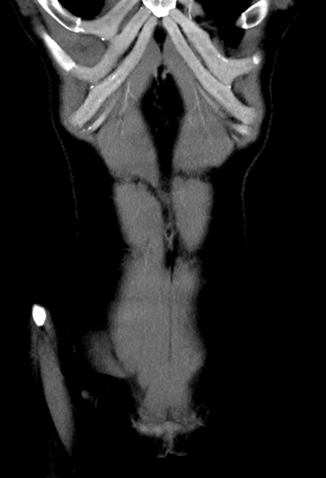
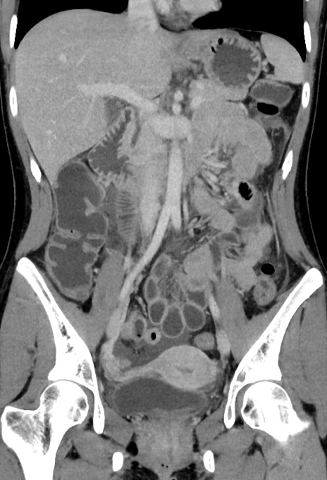
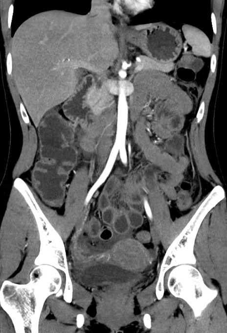
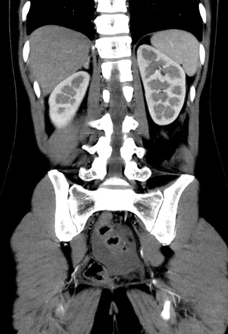
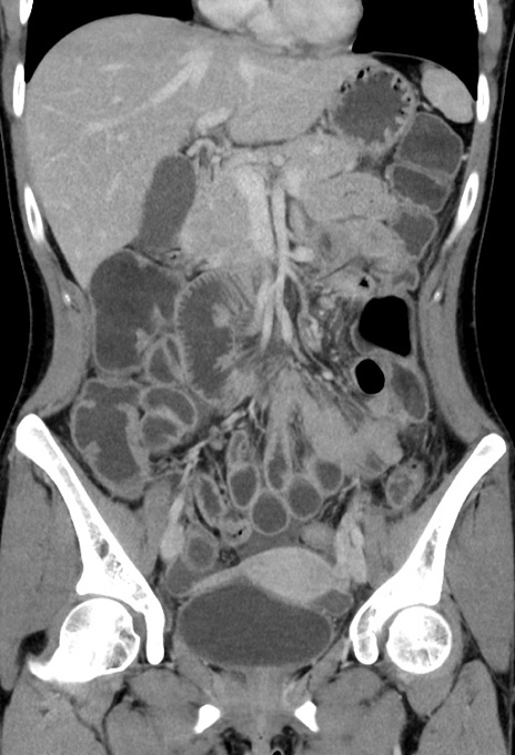
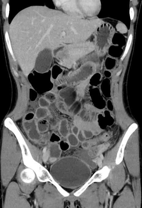
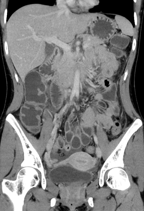
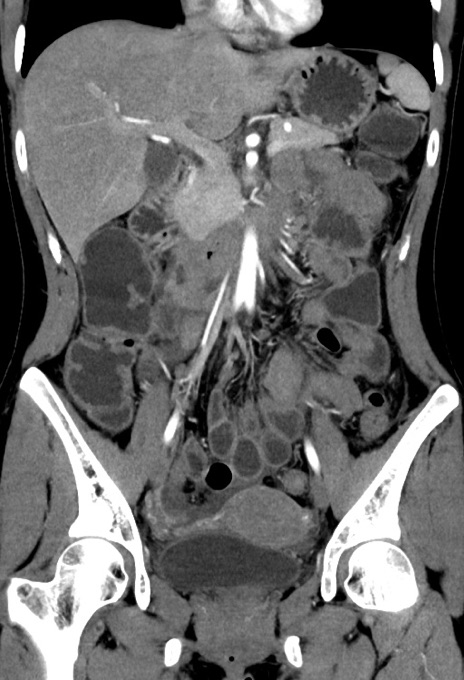
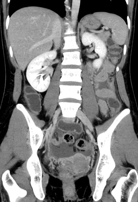
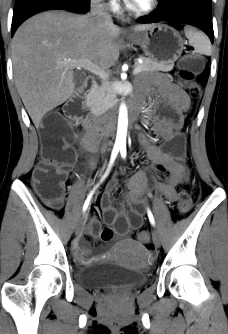
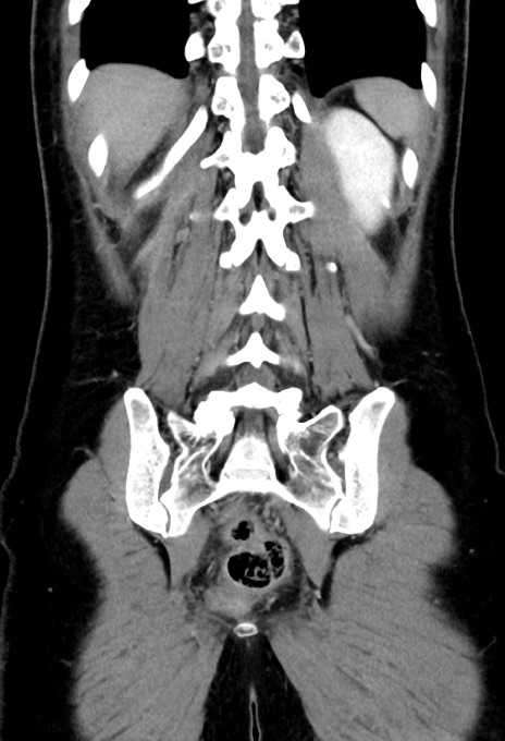
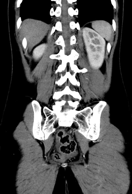
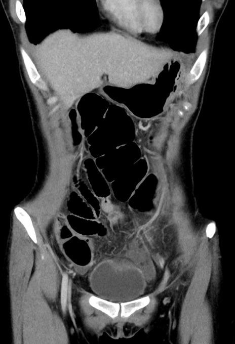
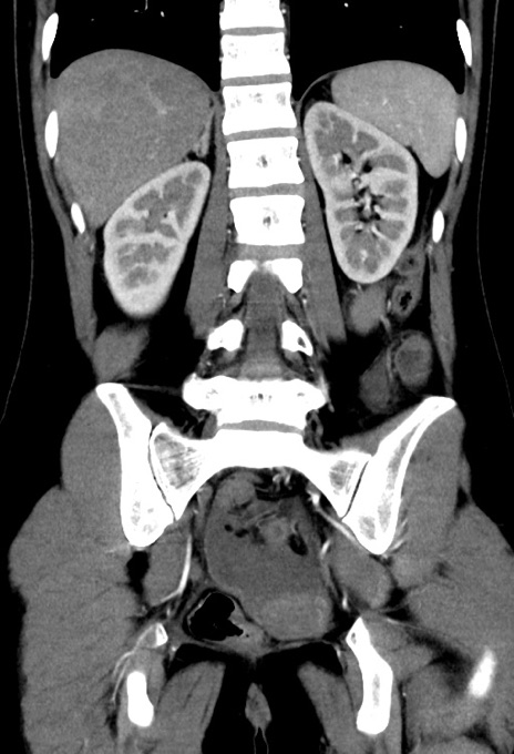
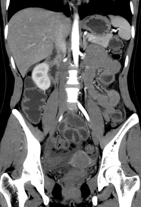
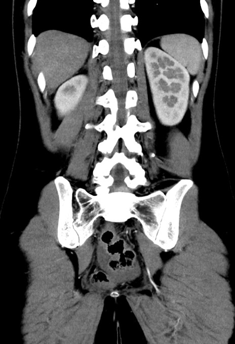
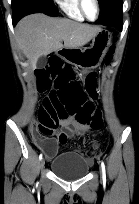
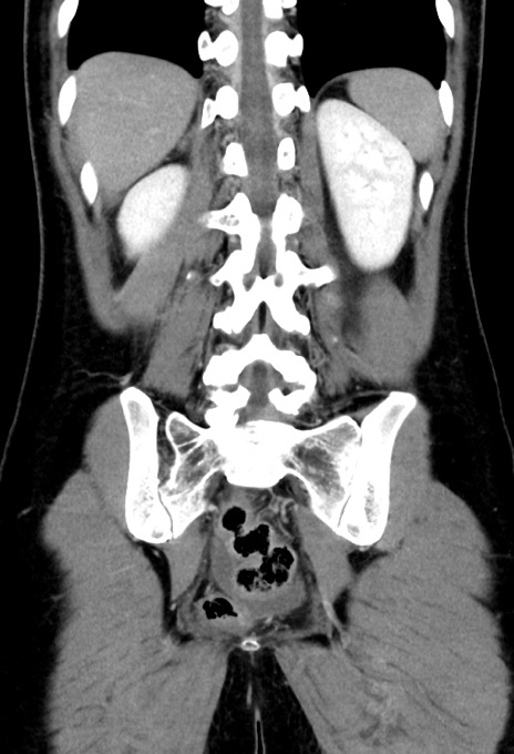
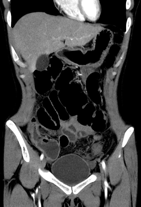
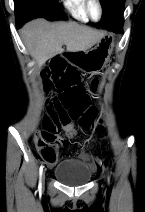
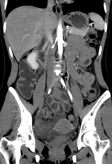
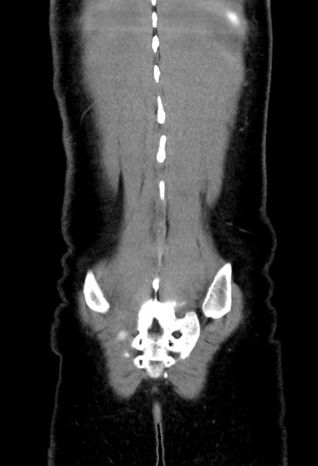
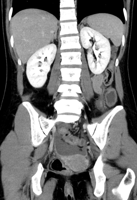
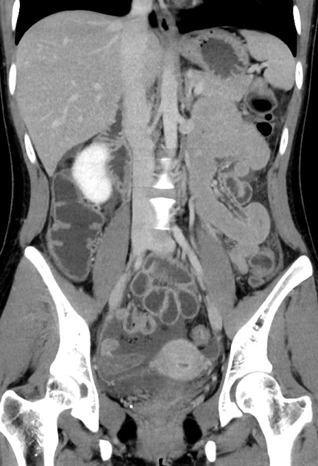
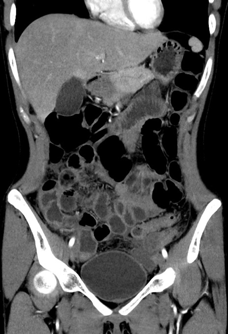
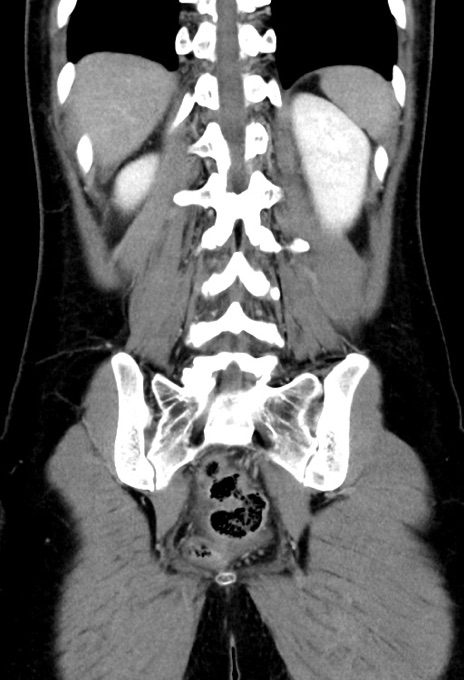
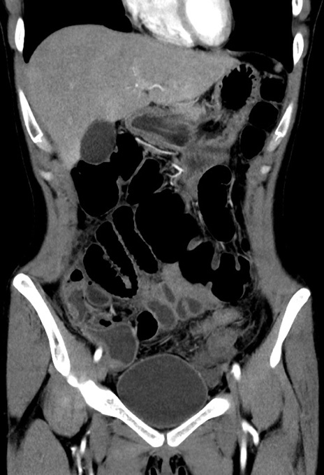
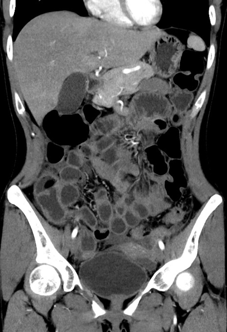
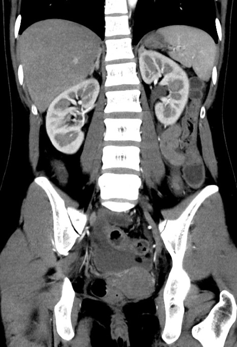
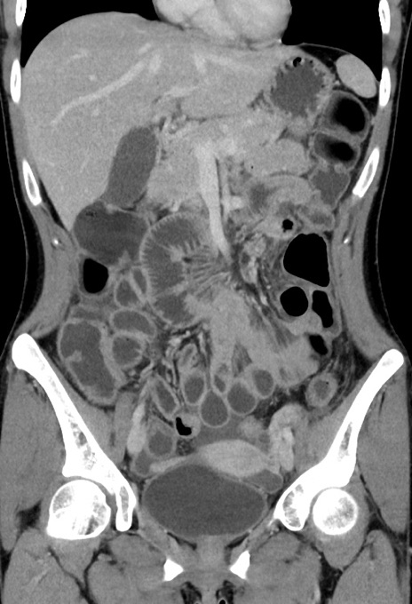
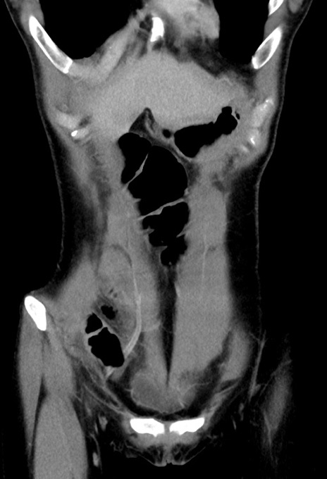
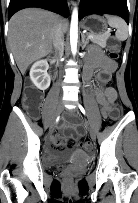
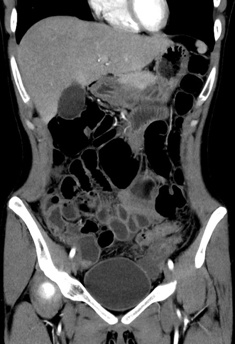
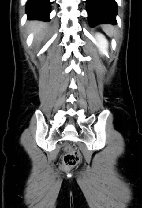
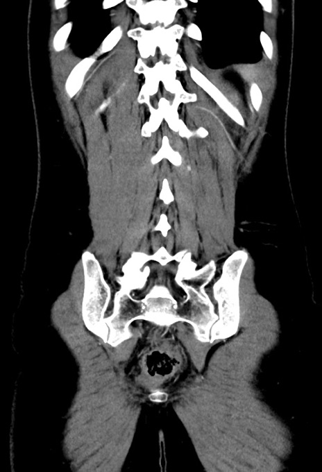
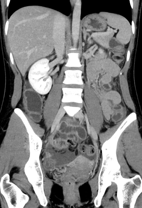
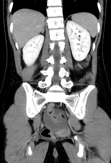
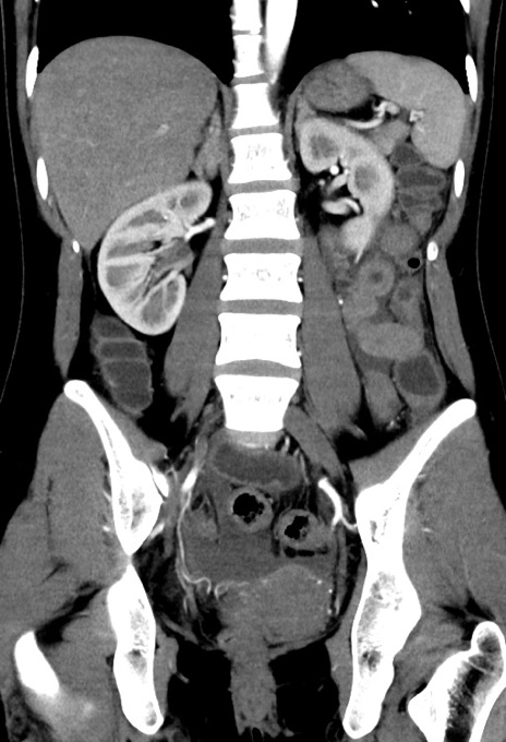
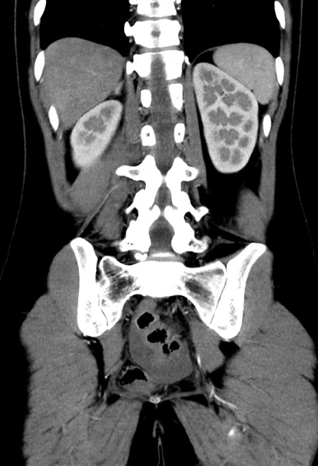
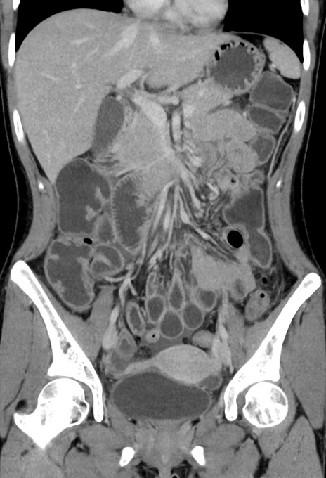
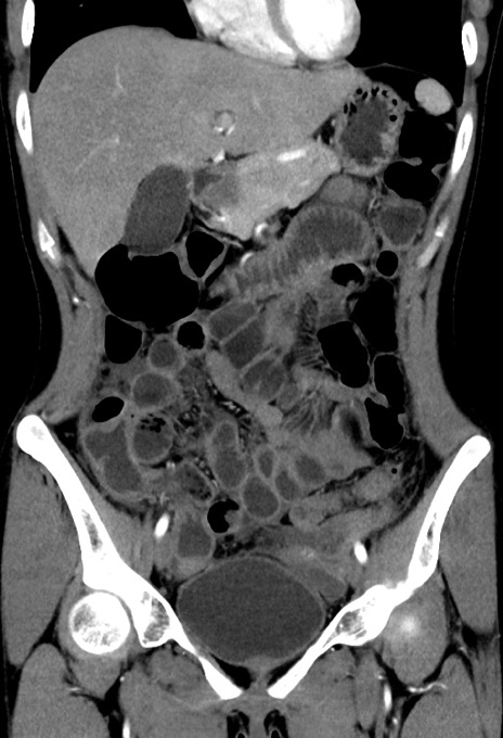
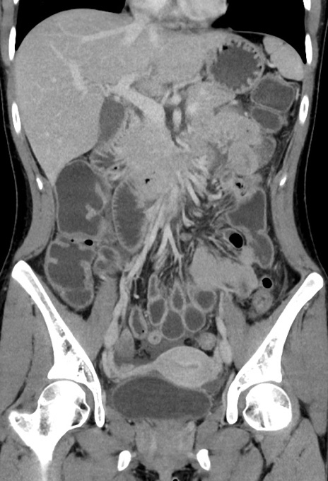
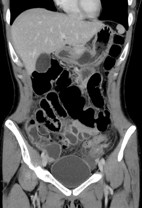
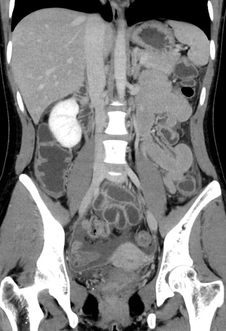
症例17(冠状断像)

 

症例

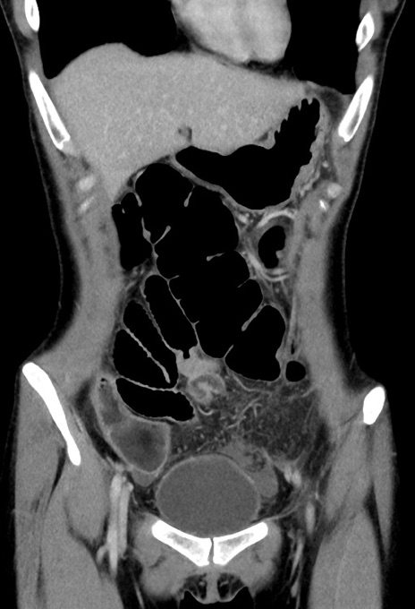
【症例】20歳代女性
【主訴】嘔吐、下腹部痛
【現病歴】昨日夕食後に嘔吐し下腹部痛が出現。本日になっても嘔吐持続し改善しないため来院。
【既往歴】なし。
【身体所見】意識清明、BT 37.2℃、BP 108/67mmHg、腹部:平坦、やや硬、下腹部正中から右にかけて圧痛あり、反跳痛軽度あり、tapping pain(+)。
【データ】WBC 13600、CRP 14.94

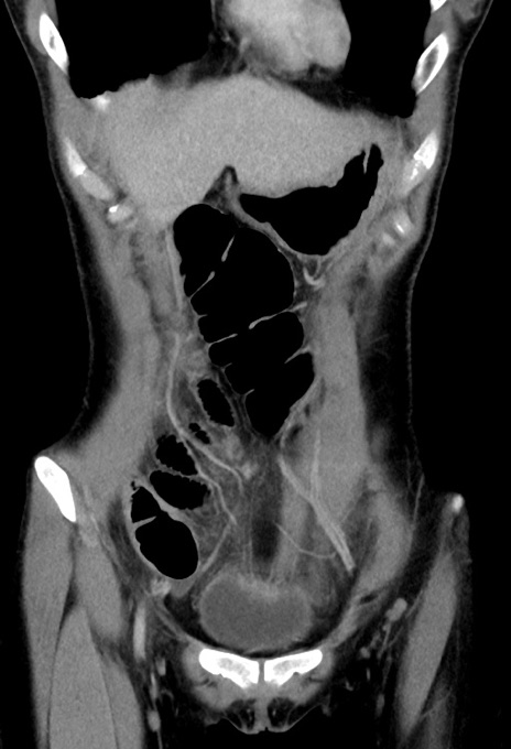
横断像