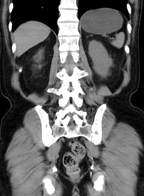
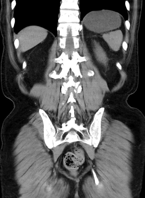
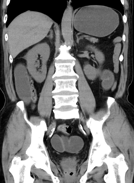
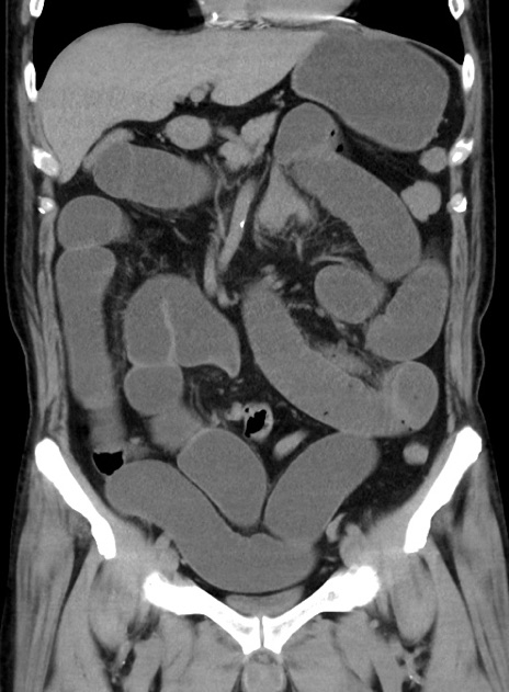
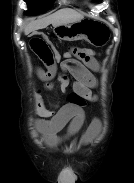
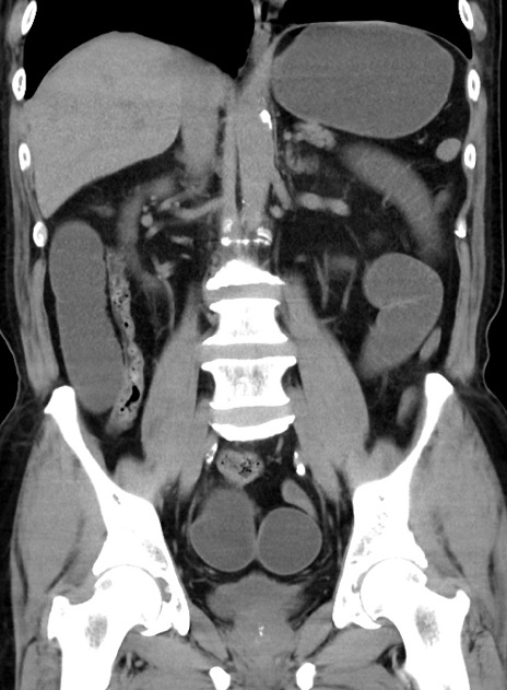
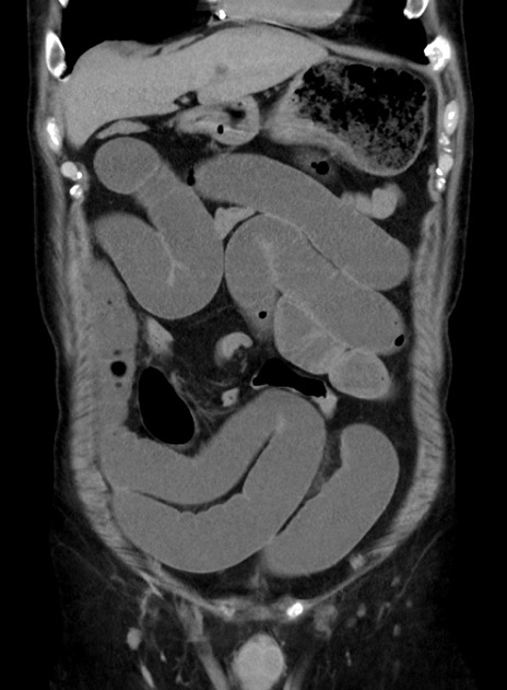
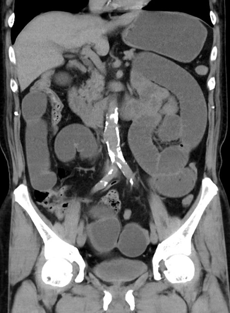
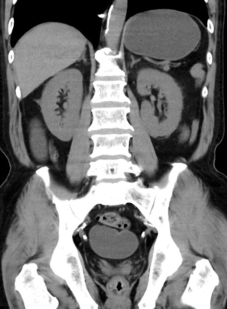
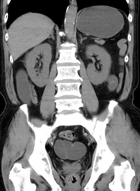
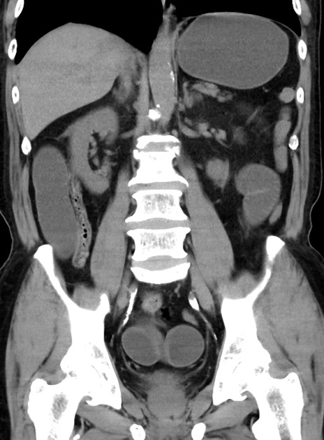
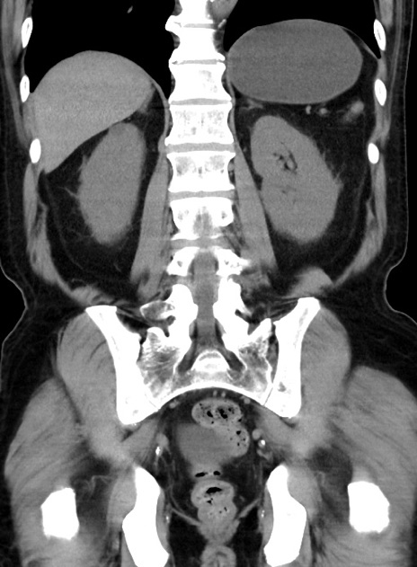
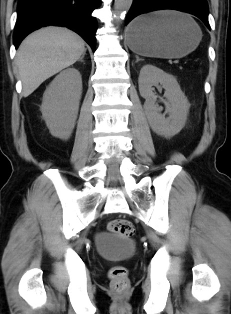
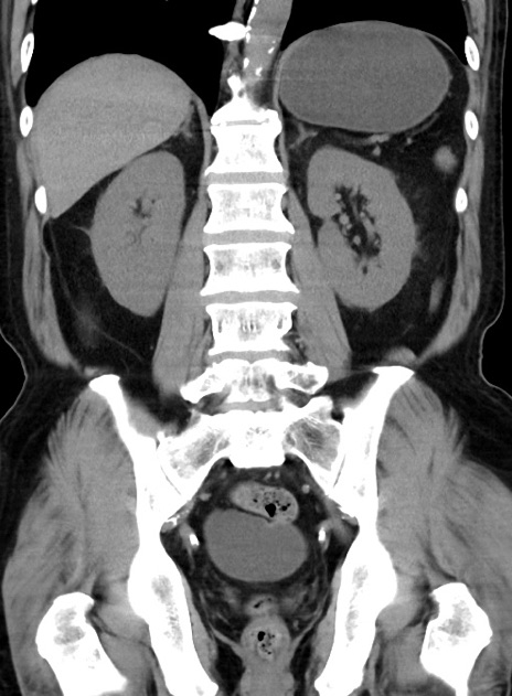
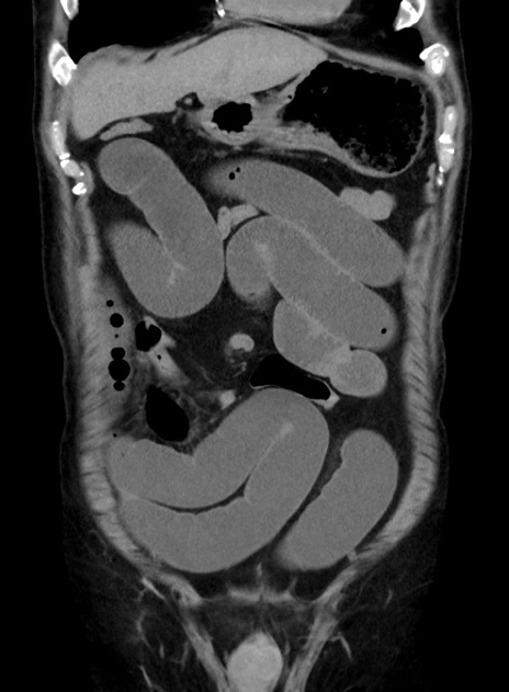
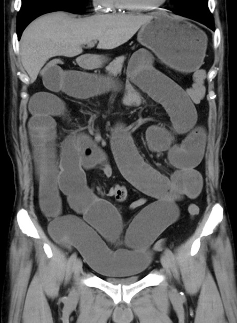
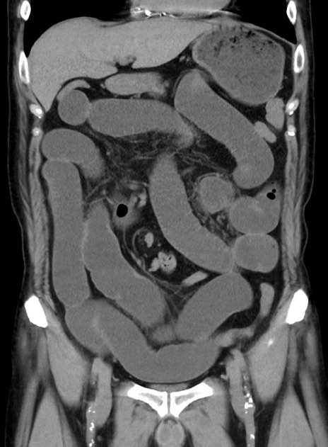
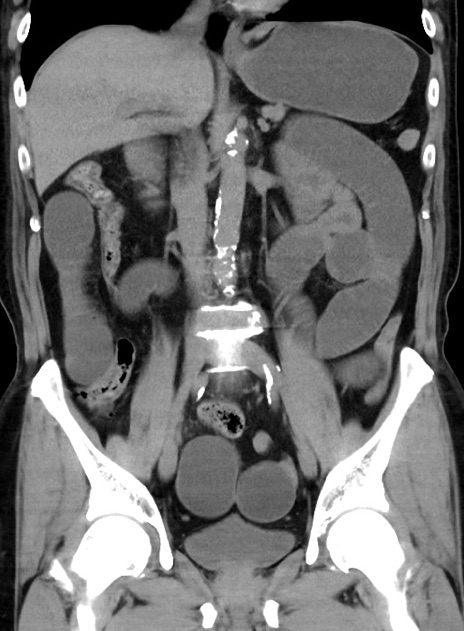
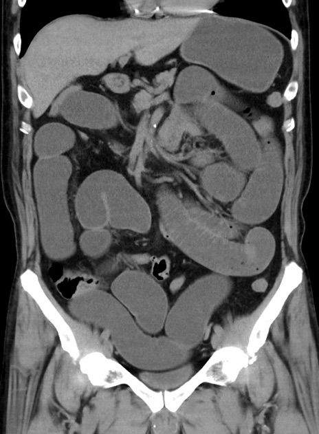
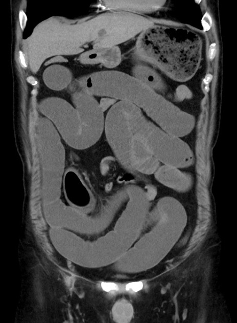
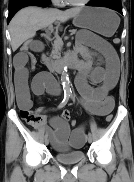
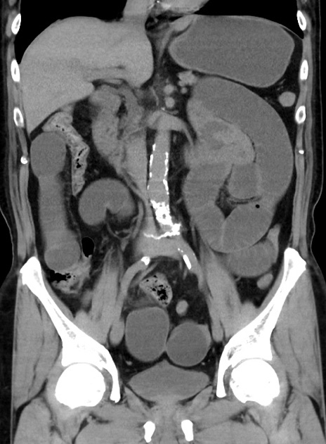
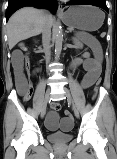
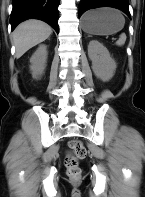
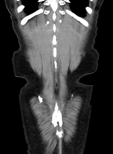
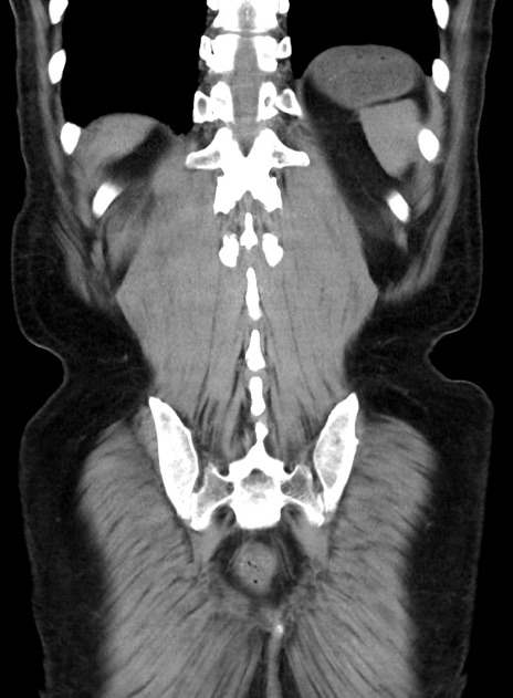
症例38(冠状断像)

 

症例

【症例】70歳代 男性
【主訴】腹痛・嘔吐

【現病歴】昨晩より、嘔吐・腹痛あり。今朝になっても嘔吐あり。来院。
【既往歴】心臓バイパス手術、開腹胆摘、腸閉塞
【身体所見】BP 107/71mmHg、HR 116/min、腹部:平坦、軟、下腹部に軽度圧痛あり。反跳痛なし。
【データ】WBC 15100、CRP 0.32

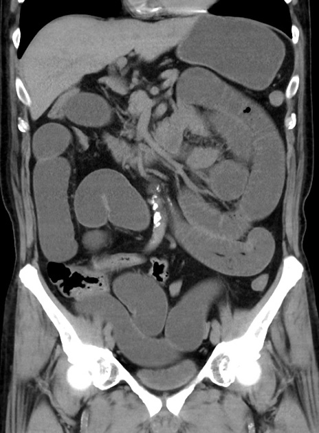
横断像