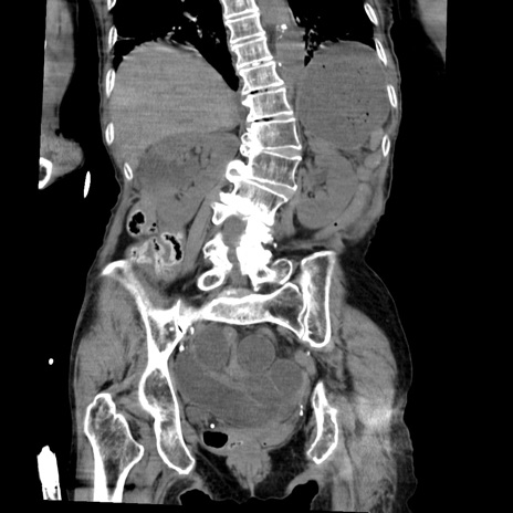
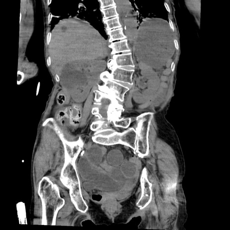
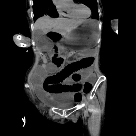
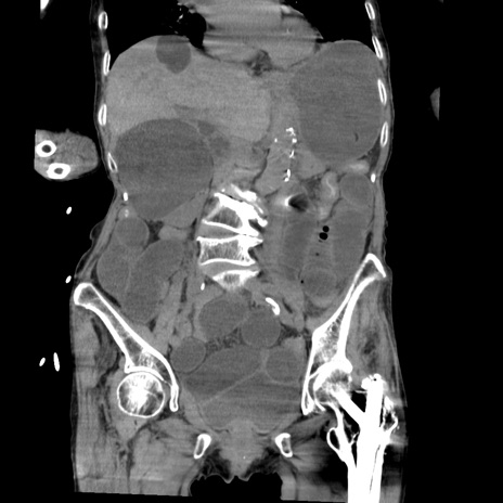
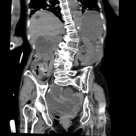
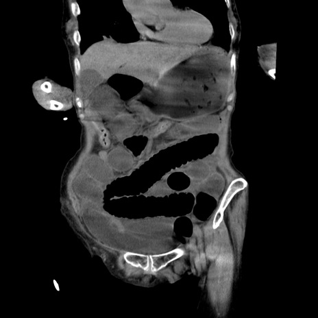
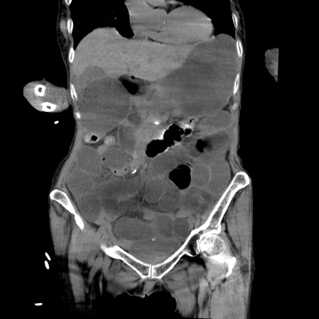
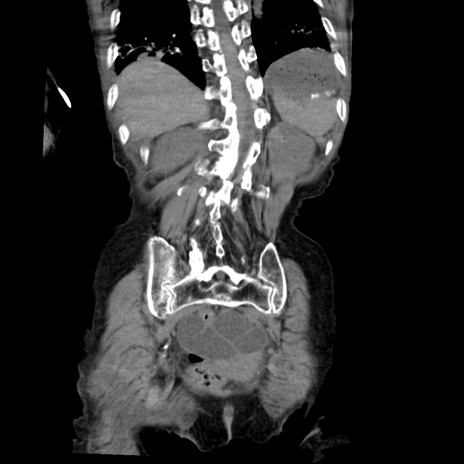
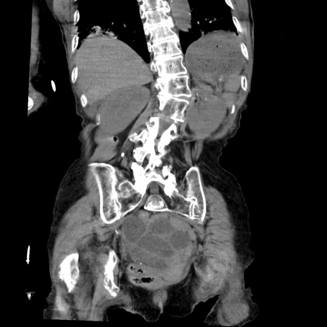
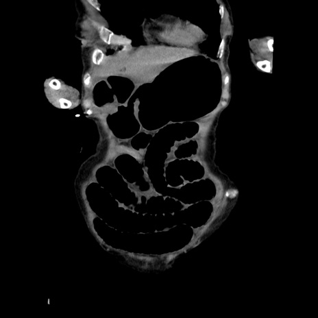
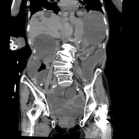
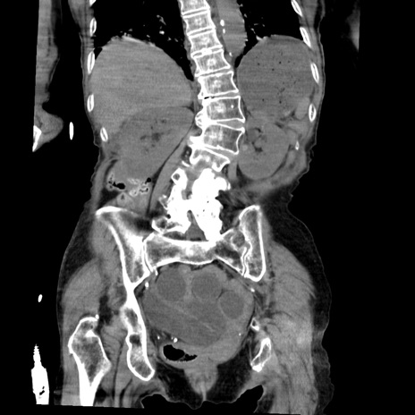
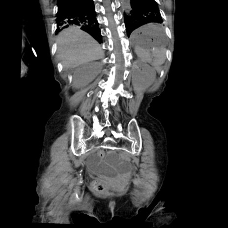
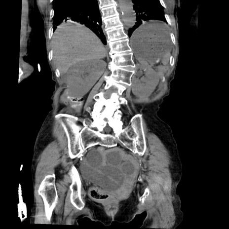
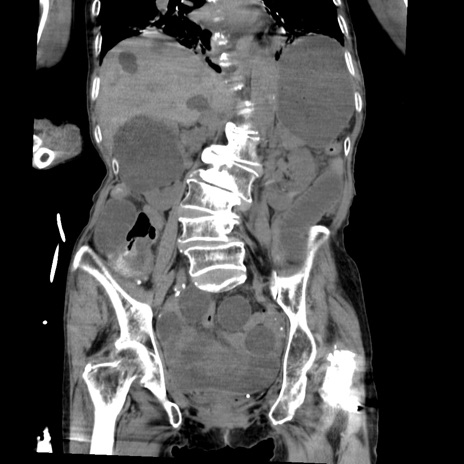
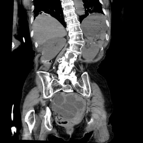
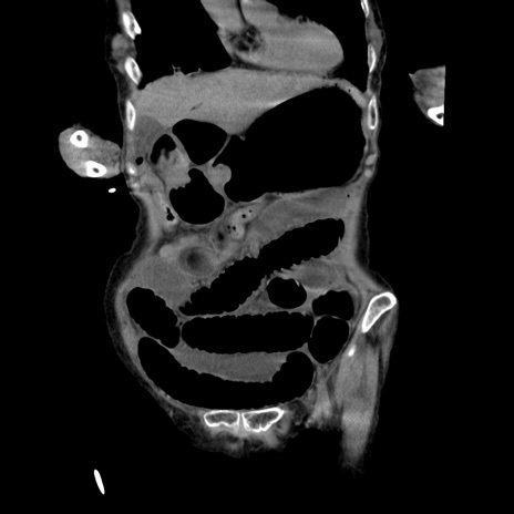
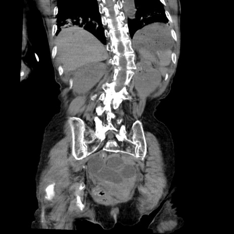
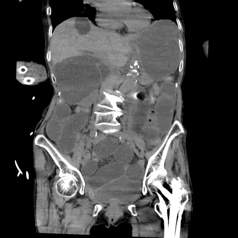
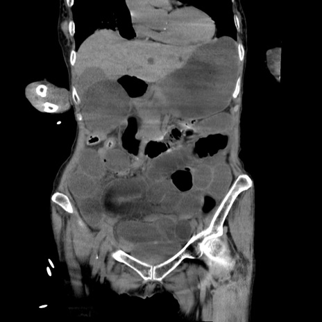
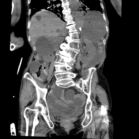
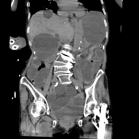
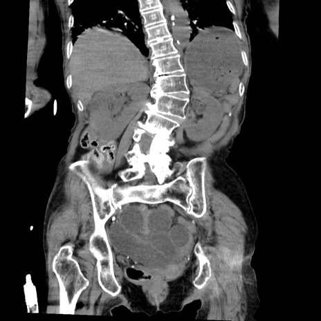
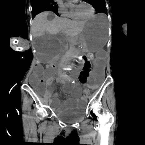
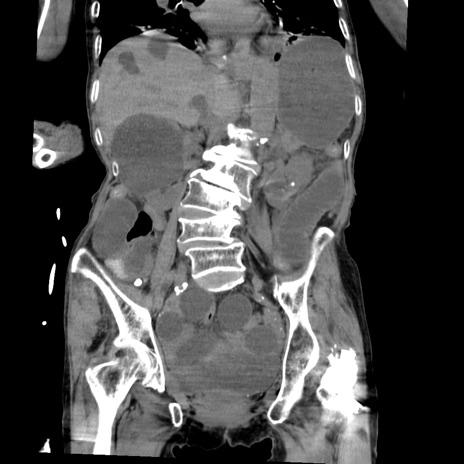
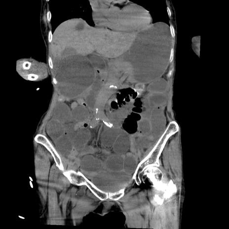
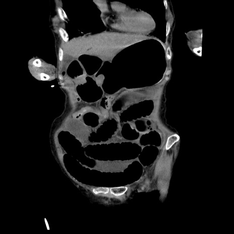
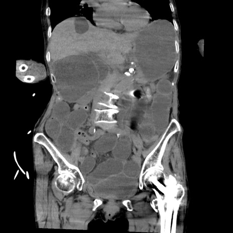
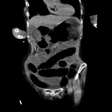
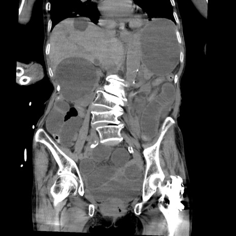
症例27(冠状断像)

 

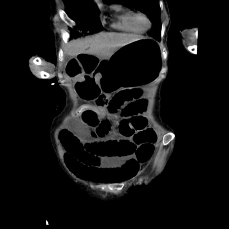
症例

【症例】80歳代女性
【主訴】嘔吐、腹痛
【現病歴】数時間前より嘔吐あり。心窩部痛出現し、徐々に右下腹痛あり。その後も数回嘔吐あり救急搬送となる。
【既往歴】左大腿骨頚部骨折手術
【身体所見】腹部は膨隆しているが軟らかく圧痛なし。腸雑音はやや亢進。
【データ】WBC 12000、CRP 19.05

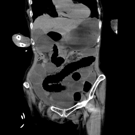
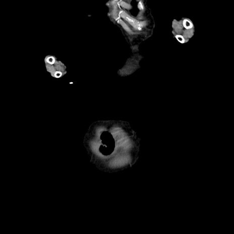
横断像