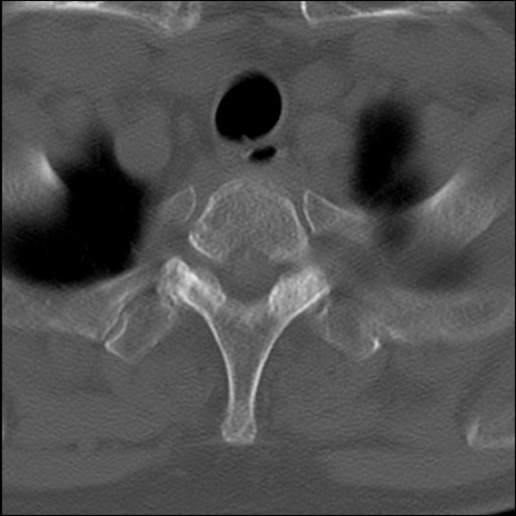
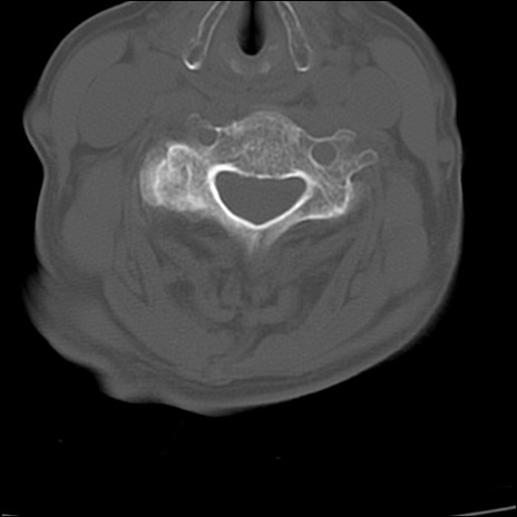
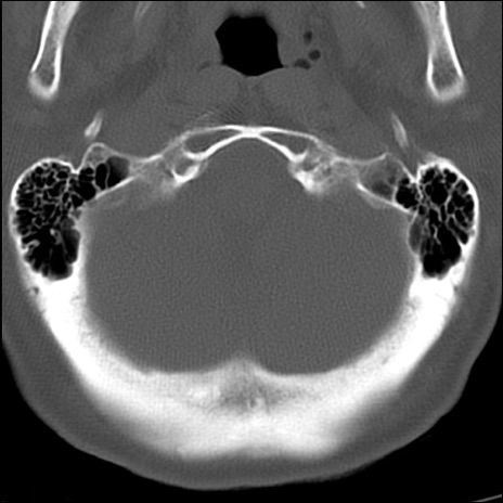
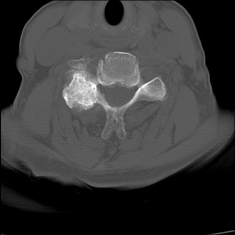
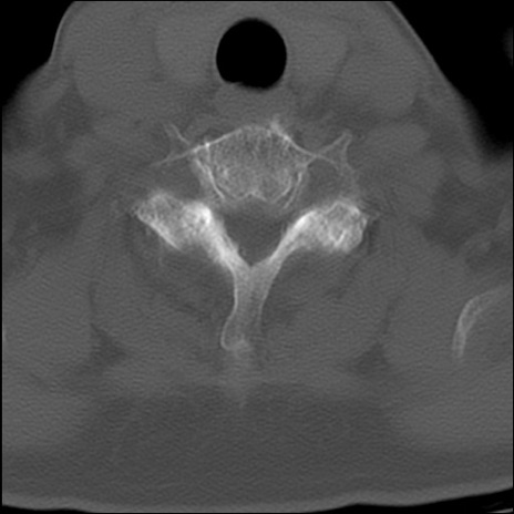
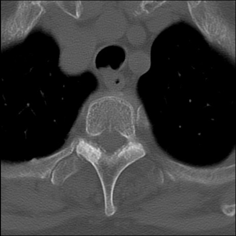
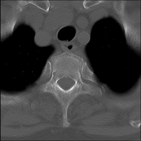
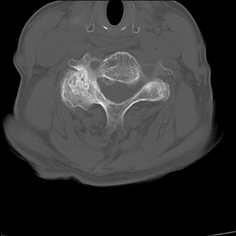
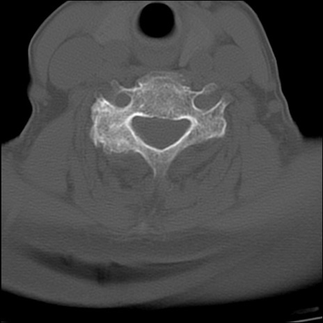
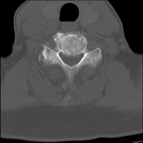
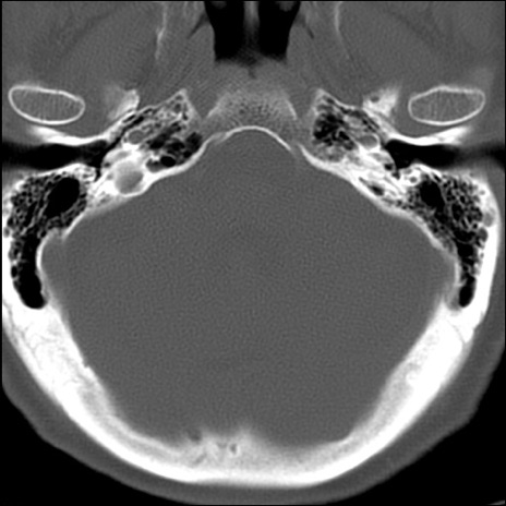
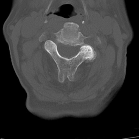
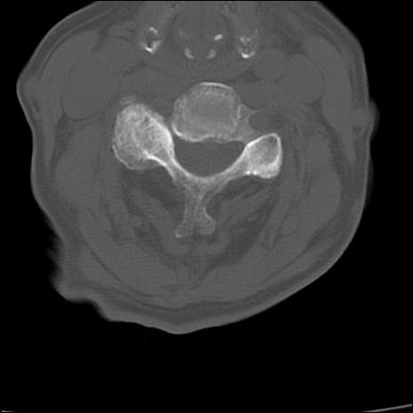
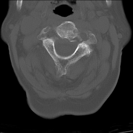
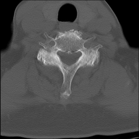
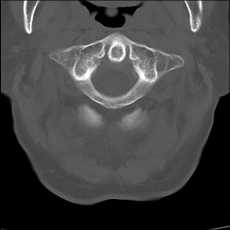
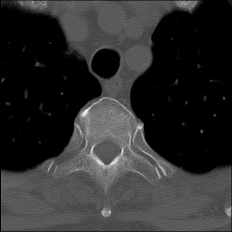
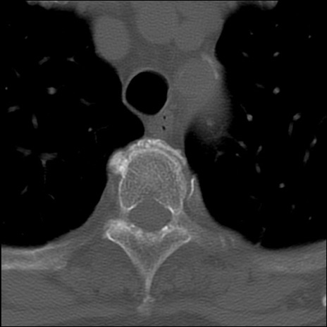
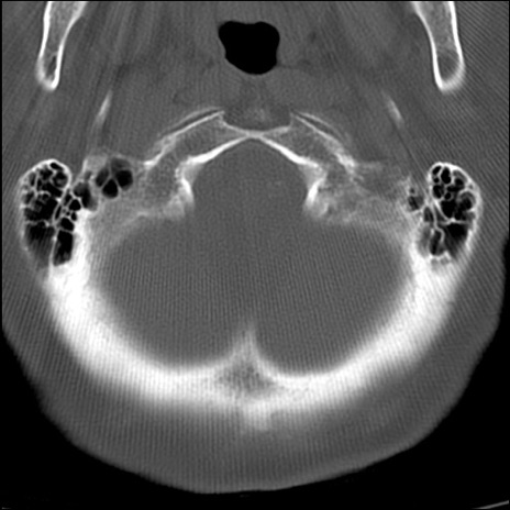
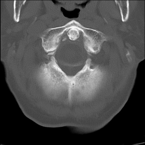
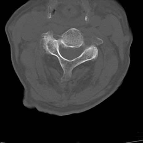
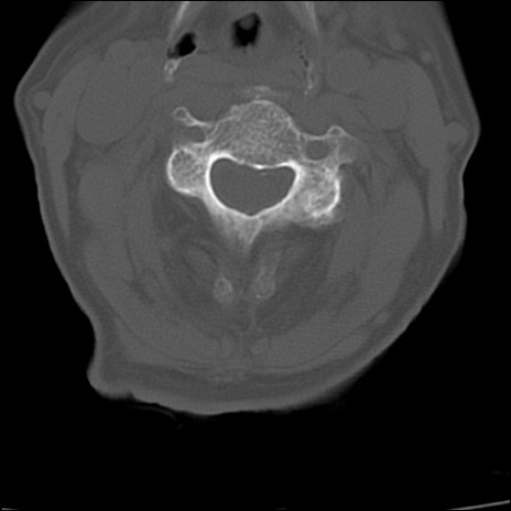
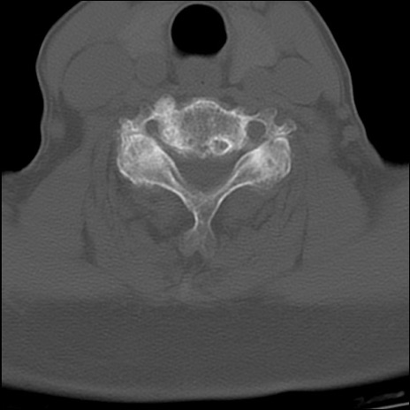
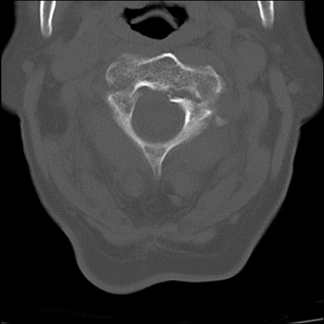
症例48 頚椎CT(横断像)

 

症例

【症例】80歳代女性
【主訴】頸部痛
【現病歴】昨日家の階段を2段くらい上がったところで転倒して受傷。
【既往歴】糖尿病、高血圧
【身体所見】神経学的異常なし。

異常所見と診断は?

頚椎レントゲン
正面像
側面像

頚椎CT
冠状断像
矢状断像